Terapia física y rehabilitación: diagnóstico y control de lesiones tendoligamentosas en perros atletas con ultrasonografía musculoesquelética
Terapia física y rehabilitación: diagnóstico y control de lesiones tendoligamentosas en perros atletas con ultrasonografía musculoesquelética
InVet, vol. 20, núm. 2, pp. 267-275, 2018
Universidad de Buenos Aires

Recepción: 16 Noviembre 2018
Aprobación: 15 Marzo 2019
Resumen: La competencia de Agility es una especialidad deportiva canina que está en auge. La dificultad de este deporte es sincronizar velocidad y calidad de ejecución, los caninos que practican este deporte sufren lesiones en sus extremidades anteriores. Las lesiones más frecuentes son tendoligamentosas y de las bolsas sinoviales debido a que deben saltar obstáculos y pueden ser causa de claudicación luego de la competencia y de una deformación liquida palpable. La ultrasonografía (US) musculoesquelética, es un estudio dinámico, no invasivo, de bajo costo y no requiere de sedación del paciente. Se atendieron 5 caninos, raza Border collie con diagnóstico de bursitis y tendinitis de codo confirmadas mediante ultrasonografía musculoesquelética. Para valoración del dolor se utilizó la Escala de Dolor Descriptiva Simple. Se realizó goniometría para evaluar funcionalidad de la articulación del codo. Protocolo Fisioterápico: Reposo relativo, Crioterapia 5 minutos (aplicación diaria), LASER semiconductor de arseniuro de galio, dosis de 8 J/cm2, ultrasonido terapéutico pulsátil 1 Mhz, dosis 0,5 W/cm2 5 minutos. 2 sesiones semanales. 24 sesiones totales. Para el análisis estadístico se aplicó la prueba de Wilcoxon. El objetivo de este trabajo fue observar la eficiencia del protocolo de fisioterapia para lesiones tendoligamentosas mediante ultrasonografía musculoesquelética.
Palabras clave: Agility, Ultrasonografía musculoesquelética, Bursitis, Caninos.
Abstract:
The Agility competition is a canine sports specialty that is booming. The difficulty of this sport is to synchronize speed and quality of execution.The canines that practice this sport suffer injuries in their forelimbs. Tendon lesions, ligaments and synovial bursae are the most frecuently in these dogs because they must jump obstacles which can be the cause for claudication after competition and palpable liquid deformation. Ultrasonography (US) musculoskeletal is a dynamic, non-invasive, low cost and does not require patient sedation. We treated 5 Border Collie breed canines with diagnosed bursitis and elbow tendonitis confirmed by musculoskeletal ultrasonography. The Simple Descriptive Pain Scale was used to assess pain. Goniometry was performed to evaluate functionality of the elbow joint. Physiotherapy protocol: Diagnóstico y control de lesiones tendoligamentosas en perros atletas 269 InVet Vol. 20 Nº 2, 2018 Relative rest, Cryotherapy 5 minutes (daily application), LASER semiconductor gallium arsenide, dose of 8 J / cm2, pulsatile therapeutic ultrasound 1 Mhz, dose 0.5 W / cm2 5 minutes. 2 sessions per week, a total of 24 sessions. For the statistical analysis, the Wilcoxon test was applied. The aim of this work was to observe the efficiency of the physiotherapy protocol for lesions tendo ligaments by means of musculoskeletal ultrasonography.
Keywords: Agility, Musculoskeletal ultrasonography, Bursitis, Dogs.
Introducción
En los últimos años los deportes caninos han alcanzado un alto grado de organización y desarrollo a escala mundial, aumentando la población de deportistas caninos. La competición de Agility es una disciplina deportiva y de obediencia, que se asemeja al salto de obstáculos en equitación. La dificultad de este deporte es sincronizar velocidad y calidad de ejecución. Todas las morfologías caninas son aptas para este deporte. En la República Argentina una de las razas que con mayor frecuencia participa en este deporte es el Border Collie. Debido a la velocidad, agilidad y motivación que poseen es una de las razas que se lesiona con mayor frecuencia.
Los caninos que practican este deporte de Agility sufren lesiones en sus extremidades anteriores. Éstos siempre aterrizan en la misma extremidad. El 58% se lesionan durante la competencia. La cantidad de impacto (fuerza vertical máxima) en las extremidades anteriores es de casi 45 newtons/kg de peso corporal cuando aterrizan luego de saltar algún obstáculo, en comparación con casi 25 newtons/kg mientras corren (1 newton=fuerza requerida para acelerar 1kg de masa 1m/s2). (4)
Las lesiones tendoligamentosas y de las bolsas sinoviales son frecuentes debido a que deben saltar obstáculos y pueden ser causa de claudicación luego de la competencia y de una deformación liquida palpable. Las bolsas sinoviales son estructuras muy irrigadas e inervadas, y las lesiones tendinosas que las involucran son, por lo tanto muy dolorosas. (1)
La ultrasonografía (US) musculoesquelética, es un estudio dinámico, no invasivo, de bajo costo y no requiere de sedación del paciente; observándose el patrón fibrilar tendinoso mejor que con resonancia magnética donde sí se necesita de la sedación del paciente y su costo es alto.
El tratamiento fisioterápico suele comenzar con el método RICE, por sus siglas en inglés significa Reposo-Hielo-Compresión-Elevación, para aliviar el dolor, reducir la inflamación y acelerar la curación. La rehabilitación es una parte importante del tratamiento. Esta incluye ejercicios que ayudan al área lesionada a volver a la normalidad.
Es un continuo reto para el equipo de fisioterapia y rehabilitación el realizar un correcto diagnóstico, tratamiento y alta médica con el fin de minimizar los efectos de la inmovilización para agilizar el retorno seguro a la actividad deportiva.
El objetivo de este trabajo fue observar la eficiencia del protocolo de fisioterapia para lesiones tendoligamentosas mediante ultrasonografía musculoesquelética.
Materiales y Métodos
Se atendieron 5 caninos, raza Border collie, con actividad en competencia de Agility; en la Unidad de Fisioterapia y Rehabilitación del Hospital Escuela de la Facultad de Ciencias Veterinarias, Universidad de Buenos Aires, Argentina; con diagnóstico de bursitis y tendinitis de codo confirmadas mediante ultrasonografía musculoesquelética. Como control se utilizó el miembro contralateral sano.
Se utilizó un ecógrafo, SonoScape A6V/A5V con traductor lineal de 7,5-12 MHz. Para evaluar el dolor se utilizó la Escala de Dolor Descriptiva Simple, presentando todos los pacientes en la sesión inicial dolor grado 1.
Se realizó goniometría para evaluar funcionalidad y rango de movilidad de la articulación del codo. Goniómetro manual, marca Prohab.
El Protocolo Fisioterápico utilizado fue: Reposo relativo, Crioterapia 5 minutos (aplicación diaria), LASER 8 J/cm2. Equipo LASER semiconductor de Arseniuro de Galio (AsGa), de 27 Watts, 904 nanómetros (nm), marca VIP 15 minutos con técnica de barrido y ultrasonido terapéutico 0,5 W/cm2 5 minutos; marca VIP de 1MHz (VIP-SONIC 1MHz), con intensidad variable de 0 a 4 W/cm2con pulsada (0,5’’; 1’’ y 2,5 ‘’) con una frecuencia de 2 sesiones semanales. 24 sesiones totales.
Se aplica la prueba de Wilcoxon y las diferencias resultan significativamente diferentes de cero (p valor =0.005)
Inicialmente los ángulos de extensión del miembro sano y del miembro enfermo son significativamente distintos (test de Wilcoxon, p valor = 0.0146).
Inicialmente los ángulos de flexión no son significativamente distintos entre el miembro sano y el miembro enfermo (test de Wilcoxon, p valor =0.06).
Resultados
En la primera sesión el 100% de los pacientes manifestaban dolor grado 1, en correspondencia con ecografía musculoesquelética que evidenciaba lesión tendinosa y bursitis. Resultando en sesión nº 15 el 80% de los caninos con dolor grado 0 pero con ecografía que marca cicatrización en proceso, mientras que el 20% tenían dolor grado 0 con ecografía normal. En sesión nº 24 el resto de los pacientes poseían dolor grado 0 pero con ecografía normal en comparación con el miembro contralateral sano.
Se define una variable: diferencia entre los ángulos de extensión en la sesión 24 menos los ángulos de extensión en la sesión 1.
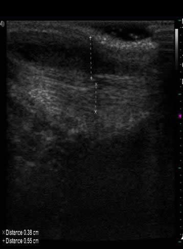
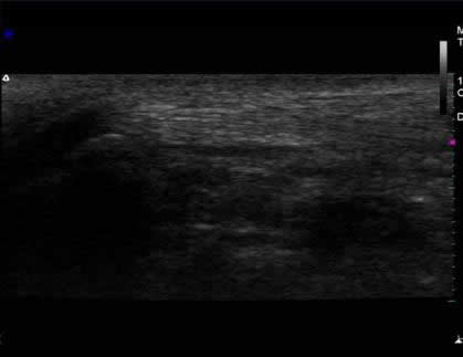
1) Ultrasonografía musculoesquelética inicial: Fotos 1 A y B. Imágenes corte longitudinal de bolsa sinovial.


(A) Se observa bursa distendida con contenido hipoecogénico (presencia de líquido). (B) Se observa con mayor detalle refuerzo acústico posterior delimitado por dos bandas hiperecoicas. En condiciones normales no suele apreciarse la bolsa sinovial.
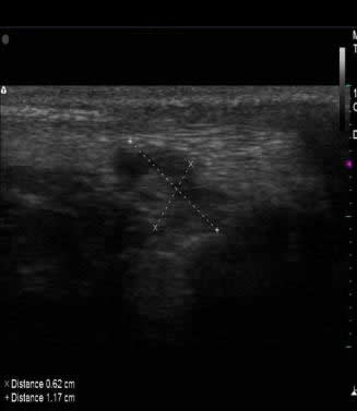
(C) Imagen del tendón del músculo tríceps braquial, corte longitudinal con pérdida del patrón fibrilar.

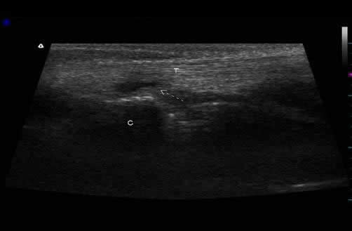
2) Ultrasonografía musculoesquelética de control:
Fotos 2 A y B. Imágenes de corte longitudinal articulación del codo. (A) Se observa bolsa sinovial con menor contenido hipoecogénico, delimitada por bandas hiperecogénicas más delgadas.
(B) Obsérvese mayor detalle


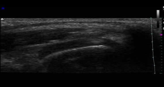
3) Ultrasonografía musculoesquelética previo al alta médica: Fotos 3 A, B. Articulación del codo. (A) Imagen corte longitudinal. No se visualiza bolsa sinovial y tendón del músculo tríceps braquial tiene aspecto fibrilar. (B) imagen de corte transversal aspecto moteado normal.


Se define una variable diferencia entre los ángulos de extensión en la sesión 24 menos los ángulos de extensión en la sesión 1. Se aplica la prueba de Wilcoxon y las diferencias resultan significativamente diferentes de cero (p valor =0.005). Inicialmente los ángulos de extensión del miembro sano y del miembro enfermo son significativamente distintos (test de Wilcoxon, p valor = 0.0146).

Extensión del miembro enfermo

Flexión miembro enfermo
Se procede de forma similar para los ángulos de flexión pero en este caso las diferencias no resultaron estadísticamente significativas ( test del signo, p valor =0.12). Inicialmente los ángulos de flexión no son significativamente distintos entre el miembro sano y el miembro enfermo (test de Wilcoxon, p valor =0.06).


Valores previos y posteriores al tratamiento con miembro en extensión y flexión
Discusión
La competencia de Agility es una especialidad deportiva que está en auge. Por lo tanto las lesiones de origen deportivo pueden presentarse con mayor frecuencia.
Durante muchos años, más que un diagnóstico exacto, el procedimiento clínico con pacientes con lesiones tendoligamentosas y bursitis se ha limitado a tratamientos analgésicos, antiinflamatorios y reposo.
Un correcto examen clínico-fisioterápico del paciente complementado con buenas técnicas de imagen ultrasonográficas son claves para poder realizar un preciso diagnóstico, tratamiento y pronóstico en lesiones tendoligamentosas deportivas
Conclusiones
La ecografía es un método que permite la exploración dinámica en tiempo real integrando imagen y hallazgos semiológicos del paciente. Esta característica hace que sea de elección para el estudio de ligamentos y tendones. Permite un control evolutivo y valoración de los tratamientos implementados. Pudiendo repetirse con facilidad para el seguimiento y detección de posibles complicaciones. Además es un método complementario no invasivo, rápido, eficaz de bajo costo y que no requiere sedación del paciente. Estamos de acuerdo con Sánchez-Valverde que permite evaluar el período de cicatrización de cada lesión, realizando tratamiento y alta médica en tiempo y forma adecuada, disminuyendo probabilidades de secuelas crónicas.
Ejercicios de calentamiento antes de competir ayudan al cuerpo del canino deportista a prepararse para la acción. Un período adecuado de calentamiento es de entre 5 y 15 minutos de caminata o trote sobre una superficie similar a la del evento.
Parte del calentamiento debería ser el estiramiento activo para reducir el riesgo a los desgarros musculares y de los tendones. Los estiramientos activos involucran movimientos que estiran los miembros y la espina dorsal del canino en formas similares a los movimientos que realizará durante la competencia. Estos ejercicios pre-estiramientos activos se realizan inmediatamente después del calentamiento, mientras que los músculos del canino siguen calientes.
El momento para hacer ejercicios pasivos de rango de movimiento y estiramiento estático es inmediatamente después de que el canino enfrió, mientras que sus músculos siguen calientes. Estirar estáticamente los grupos de músculos cuádriceps, isquiotibiales, paraespinales, tríceps para mantener su longitud y flexibilidad.
El canino de deporte necesita de una óptima preparación para poder lograr objetivos concretos. Para ello, es imprescindible un adecuado entrenamiento, correcto plan nutricional y medicina deportiva, acordes a la finalidad deportiva que practica el animal.
Bibliografía
1. Bojrab, J; Monnet, E. Tendinitis y bursitis. En: Mecanismos de enfermedad en cirugía de pequeños animales. Tercera Edición. Intermédica. 2011. pág 711-713.
2. Giménez, A.A; Radiología en traumatología y ortopedia. En: Sánchez-Valverde, M.A; Traumatología y Ortopedia de pequeños animales. Primera Edición. McGraw-Hill-Interamericana. España. 1997. pag 97-105.
3. Millis, D; Levine, D. Common conditions and Physical Rehabilitation of athletic Patient. Segunda Edición. Elsevier. 2014. pág 582-608.
4. Baltzer, W. Lesiones deportivas en perros. Veterinary Medicine en español. Agosto septiembre 2012. vol 7, Nº 1.