Presentaciones de casos
Leiomiosarcoma primario en corazón. Presentación de un caso
Primary leiomyosarcoma of the Heart. Case Presentation
Leiomiosarcoma primario en corazón. Presentación de un caso
MediSur, vol. 16, núm. 1, pp. 95-103, 2018
Universidad de Ciencias Médicas de Cienfuegos
Aprobación: 15 Enero 2018
Resumen: El corazón se ve afectado con muy poca frecuencia por neoplasias, la mayoría de las veces de carácter metastásicas, siguen en orden de frecuencia las primarias benignas y finalmente las malignas. Los leiomiosarcomas ocupan el tercer lugar en orden de frecuencia dentro de estas últimas. Los reportes con este diagnóstico son escasos por lo que se decidió poner a disposición de la comunidad científica el caso de una paciente de 79 años de edad, de procedencia urbana, diabética tipo II desde hacía más de 20 años y con antecedentes, además, de insuficiencia cardiaca hacía aproximadamente 25 años para lo cual llevaba tratamiento regular. Fue atendida en el Hospital General Universitario Dr. Gustavo Aldereguía Lima, de Cienfuegos, donde falleció. El trabajo presenta las particularidades clínicas y morfológicas del caso y hace una breve alusión a las características que distinguen a esta neoplasia, en sentido general, en esta localización poco común.
Palabras clave: leiomiosarcoma, neoplasias cardiacas, metástasis de la neoplasia.
Abstract: The heart is very uncommonly affected by neoplasms, most of the times of metastatic nature; they are followed in order of frequency by the benign primary neoplasms and finally the malignant ones. Leiomyosarcomas are in the third place within the latter ones. Case Reports with this diagnosis are scarce, so it was decided to put at the scientific community disposal the case of a 79-year-old female patient, of urban origin, type II diabetic for more than 20 years and in addition, a previous history of heart failure about 25 years ago for which she was regularly treated. She was assisted at the Dr. Gustavo Aldereguía Lima General University Hospital in Cienfuegos, where she died. The work presents the case clinical and morphological characteristics and makes a brief allusion to the distinguishing characteristics of this neoplasm in general, in this unusual location.
Keywords: leiomyosarcoma, heart neoplasms, neoplasm metastasis.
INTRODUCCIÓN
Las neoplasias cardiacas son infrecuentes, y son las secundarias, o sea, las de naturaleza metastásicas, las que afectan con mayor frecuencia a este órgano, provocando el 5 % de las muertes por cáncer; se reporta una relación con los primarios desde 100:1 a 1000:1. Por su parte, las neoplasias cardiacas primarias poseen, en un 80-90 % de los casos, un carácter benigno y resultan ser, la mayoría de las veces, mixomas.1,2,3,4,5
Los leiomiosarcomas son las neoplasias que ocupan el tercer lugar en orden de frecuencia, luego de los angiosarcomas y de los rabdomiosarcomas,2 en la escasa lista de neoplasias cardiacas primarias malignas. Fueron muy pocos los casos reportados que los autores de este trabajo encontraron durante la búsqueda bibliográfica realizada a propósito del presente artículo. Este hecho, unido a la ausencia de casos reportados en los más de 20 años de experiencia y labor en el centro donde se presentó el que ahora se publica, resultó ser la mayor motivación para la realización de este informe, además de presentar las manifestaciones clínicas y morfológicas que caracterizan a este tipo de neoplasias en sentido general y a este caso en particular.
PRESENTACIÓN DEL CASO
Paciente de color de piel blanca, femenina, de 79 años de edad, de procedencia urbana, diabética tipo II hacía más de 20 años y con antecedentes, además, de insuficiencia cardiaca hacía aproximadamente 25 años para lo cual llevaba tratamiento regular. Fue atendida en el cuerpo de guardia por disnea a los pequeños esfuerzos e, incluso, al reposo, edemas en miembros inferiores, epístasis y fiebre de 38ºC.
Al examen físico se encontró edema en miembros inferiores, con depresión profunda en la producción del signo de godet. A la auscultación se escuchó murmullo vesicular globalmente disminuido con crepitantes bibasales, polipnea y soplo sistólico en foco pulmonar.
Se decidió ingreso en Servicio de Cardiología.
Fue consultada por un angiólogo debido a la presencia de múltiples pústulas pruriginosas a nivel del tercio inferior de la pierna derecha, asociadas a eritema y edema. Se descartó afección vascular aguda por este especialista y se sugirió la consulta con un dermatólogo, quien planteó como diagnóstico una vasculitis y una candidiasis.
Comenzó días después con tinte ictérico, aumento de enzimas hepáticas como la glutamiltransferasa gamma (GGT, por sus siglas en inglés) y la deshidrogenasa láctica (LDH, por sus siglas en inglés). La bilirrubina total directa también se encontró elevada.
Se le indicó un ecocardiograma donde se describieron tres tumoraciones en ventrículo derecho, la mayor con gran movilidad y entrada al tracto de salida de dicho ventrículo, provocando obstrucción en su eyección así como desplazamiento del tabique interventricular hacia el ventrículo izquierdo y se concluyó como una neoplasia intracardíaca múltiple, insuficiencia cardiaca con fracción de eyección conservada, cor pulmonale agudo e insuficiencia tricuspídea.
Durante su ingreso mantuvo disnea, crepitantes bibasales, edema en ambos miembros inferiores y cianosis en las extremidades.
La paciente permaneció ingresada por 17 días luego de los cuales falleció y se le practicó la necropsia clínica en la que se comprobaron los hallazgos del ecocardiograma. En el examen del aparato cardio-respiratorio destacó una formación de aspecto tumoral lobulada, de color amarillo rojizo, en la pared del ventrículo derecho por detrás de la válvula tricúspide, elevada hacia la cavidad y con aspecto polipoide. (Figura 1).

La lesión presentaba bordes infiltrantes y se extendía al miocardio y al cono de la arteria pulmonar. (Figura 2).

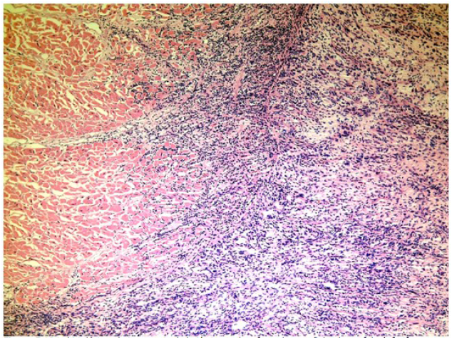
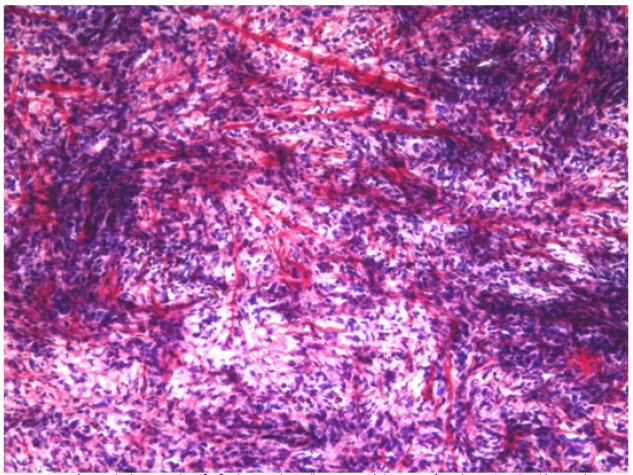
Al examen histológico, con la coloración de hematoxilina-eosina, las células que conformaban la tumoración mostraron aspecto fusocelular, atipia marcada y se precisó su naturaleza infiltrante. (Figura 3).

Se decidió la realización de técnicas de histoquímica útiles en la definición de tejidos conformados por células con morfología celular como lo son el colágeno, el músculo liso y el estriado con vistas a precisar el tejido de origen. Entre estas técnicas se empleó la coloración de van Gieson. (Figura 4)

Se realizó también la coloración de hematoxilina fosfotúgstica de Mallory en la definición del posible origen muscular estriado de la lesión, el cual fue descartado al no identificarse fibras coloreadas de azul. (Figura 5).

Se definió finalmente el origen muscular liso de la tumoración concluyéndose el caso como un leiomiosarcoma cardiaco.
DISCUSIÓN
La mayoría de los leiomiosarcomas cardiacos afectan a personas alrededor de los 30 años de edad, aproximadamente 15 años antes que el resto de los sarcomas y afectan con mayor predilección al atrio izquierdo.1,2,4,6,7 En este sentido, el caso que se reporta presentó un comportamiento poco usual, resaltando la avanzada edad de la fallecida y la localización en cavidades derechas.
La presentación clínica de las neoplasias cardiacas es muy variable, pues los síntomas y signos están en relación con su localización anatómica, tamaño, número y velocidad de crecimiento, grado de movilidad, consistencia, invasión, variedad histológica y grado de diferenciación.1,3,4,6,8,9
Tumores grandes pueden ser relativamente silenciosos, mientras que tumores pequeños con una ubicación crítica pueden dar origen a consecuencias devastadoras.6,7,10
Los tumores que afectan el lado derecho del corazón producen sintomatología que resulta del fallo cardiaco derecho por obstrucción atrio-ventricular o del tracto de salida a la pulmonar resultando en edemas periféricos, hepatomegalia y polipnea, síncope y hasta muerte súbita.1,6,7 También pueden producir embolia e infartos pulmonares, en cuyo caso se pueden presentar manifestaciones de hipertensión pulmonar y hemoptisis.7 Se han descrito, incluso, manifestaciones cutáneas dadas por máculas eritematosas, síntomas, muchos de ellos, manifestados en el caso presentado en este reporte.10
El diagnóstico clínico puede ser incidental durante la realización de una radiografía de tórax, pero una vez sospechada la tumoración se procede a evaluar varios parámetros necesarios para el tratamiento, tales como localización, extensión, relación con estructuras cardiacas adyacentes claves, tipo de tumor y afectación funcional mediante otros exámenes como el ecocardiograma, la resonancia magnética, la tomografía computarizada y la angiografía. El resultado de estos exámenes debe ser evaluado en conjunto ya que cada uno de ellos posee sus ventajas y limitaciones para la evaluación de este tipo de lesión. Sin embargo, y sobre todo los sarcomas, con independencia de su variedad histológica, poseen muy mal pronóstico pues provocan la muerte en aproximadamente dos años del diagnóstico.1,3,8,10,11
Por otra parte, el carácter infiltrativo, las metástasis, (generalmente a huesos, piel, ganglios y pleura), la agresividad tumoral y las recurrencias de la neoplasia hacen que la mortalidad operatoria sea alta y disminuya la supervivencia.1,3,7,8,9,10
La histología de los leiomiosarcomas cardiacos, al igual que los de otra localización, está representada por fascículos de células fusiformes que se mezclan unas con otras en ángulo recto pudiendo encontrarse, además, células gigantes multinucleadas del tipo osteoclásticas, abundantes necrosis y mitosis. Los núcleos pueden ser grandes y vesiculares o hipercromáticos.1,2,4,6,8Aunque algunos de los sarcomas pueden ser muy pleomórficos y requieran técnicas de inmunohistoquímica para poder ser diferenciados,1,9 en las lesiones bien diferenciadas el diagnóstico morfológico puede establecerse mediante técnicas de rutina y algunas de histoquímica que permitan determinar el origen de la célula fusiforme tumoral, como las que se emplearon para este caso. Otras técnicas de coloración para colágeno pueden ser utilizadas de igual forma.8
El diagnóstico diferencial histológico incluye los sarcomas miofibroblásticos, los angiosarcomas y los mixomas. Comparado con los sarcomas miofibroblásticos, los leiomiosarcomas tienen más células uniformes, más vacuolas perinucleares y glucogéno intracelular. Las áreas fusiformes de los angiosarcomas pueden semejar a los leiomiosarcomas, pero con una adecuada muestra la naturaleza vascular puede ser evidente. Un estroma mixoide es una característica importante en alrededor de un 25 % de los leiomiosarcomas, pero la densidad de los fascículos celulares, las escasas mitosis y necrosis fácilmente distinguen el tumor.1
Desafortunadamente la mayoría de los tumores cardiacos son diagnosticados en autopsias y para los sarcomas, aun cuando hayan sido detectados en vida, su resección quirúrgica completa es imposible, y la radio y quimioterapia resultan inefectivas la mayoría de las veces.7,12,13
REFERENCIAS BIBLIOGRÁFICAS
1 Ladich E, Virmani R. Tumors of the Cardiovascular System: Heartand Blood Vessels. In: Maximilian BL, Butany J, editors. Cardiovascular Pathology. 4 th ed. Amsterdam: Elsevier Editorial; 2016. p. 735-72
2 Rosai J. Cardiovascular system. In: Houston M, ed. Rosai and Ackerman´s Surgical Pathology. Vol 2. 10 th ed. Edinburgh: Elsevier Editorial; 2011. p. 2281-2.
3 Estévez AN, Milán GE, Paredes C, Mojena MG, Nodal LP, González CN. Leiomiosarcoma pleomórfico invasivo como causa de tumoración intracardiaca. Rev Cub Cardiol. 2014;20(2):108-10
4 Tazelaar HD, Maleszewski JJ. Tumors of the Heart and Pericardium. In: Fletcher CD, ed. Diagnostic Histopathology of Tumors. Vol 1. 4th ed. Philadelphia: Churchill Livingstone; 2013. p. 35
5 Kumar V, Abbas AK, Aster JC, eds. Heart. In: Robbins Basic Pathology. 9 th ed. Philadelphia: Saunders; 2013. p. 365-406
6 Burke AP, Veinot JP, Loire R, Virmani R, Tazelaar H, Kamiya H. Tumours of the Heart. In: Travis WD, Brambilla E, Müller-Hermelink HK, Harris CC, eds. Pathology and Genetics of Tumours of the Lung, Pleura, Thymus and Heart. 7 th ed. Lyon: OMS Editorial; 2004. p 249-88
7 Cubides SC, Salazar G, Muñoz A, Pedraza J, Hernández E, Martínez J. Tumores cardíacos primarios. Rev Col Cardiol. 2003;10(8):472-85
8 Abad C. Tumores cardíacos (II). Tumores primitivos malignos. Tumores metastásicos. Tumor carcinoide. Rev Esp Cardiol. 1998;51(2):103-14
9 Estévez AN, Rodríguez RV, Paredes CM, Mojena MG, Pérez LH, Taín BJ. Tumores cardiacos primarios. Generalidades y particularidades clínicas. Rev Cub Cardiol Cir Cardiovasc. 2014;20(3):195-202
10 Galván-Román L, García-Hernández E, Verdín-Vázquez R, Ferra R, Enciso-Gómez R, Lara-Ontiveros A. Tumores malignos cardiacos. Rev Mex Cardiol. 2008;19(3):138-44
11 Masuda I, Ferreño AM, Pasca J, Pereiro G, Lastrini H. Tumores cardíacos primarios. Mixoma auricular. Rev Fed Arg Cardiol. 2004;33:196-204
12 Uribe CE, Fernández A, Gómez CA. Tumores cardiacos: registro de 15 años de experiencia en la Clínica Cardiovascular Santa María. Rev Col Cardiol. 2005;12(1):45-7
13 Rodríguez MA, Flores SA, Estévez AN, Zorio VB, Bencomo R, Ll Álvarez SR. Tumor cardíaco primario maligno. A propósito de un caso. Rev Cub Cardiol[Internet]. 2016[citado 23 Ene 2017];22(2):[aprox. 9 p.]. Disponible en: http://www.revcardiologia.sld.cu/index.php/revcardiologia/article/view/641
Notas de autor