Presentación de caso
Combinación de la fijación externa e interna en el tratamiento de una fractura expuesta del pilón tibial. Presentación de un caso
Combination of external and internal fixation in the treatment of an exposed fracture of the tibial pylon. Case Presentation
Combinación de la fijación externa e interna en el tratamiento de una fractura expuesta del pilón tibial. Presentación de un caso
MediSur, vol. 17, núm. 5, pp. 734-739, 2019
Facultad de Ciencias Médicas de Cienfuegos, Centro Provincial de Ciencias Médicas Provincia de Cienfuegos.
Recepción: 31 Julio 2018
Aprobación: 30 Agosto 2019
RESUMEN : Las fracturas expuestas del pilón tibial son lesiones poco frecuentes que se asocian con la aparición de múltiples complicaciones derivadas de la intensidad del trauma, a esto se añade la posibilidad real de sepsis de tejidos blandos o hueso y los trastornos de la consolidación ósea relacionados con la zona afectada. El adecuado manejo de estas afecciones por parte del personal médico evita la aparición de importantes complicaciones, por este motivo se decidió compartir la experiencia en el manejo de estas afecciones mediante la presentación de un caso.
Palabras clave: fracturas de la tibia, fracturas abiertas, fijación interna de fracturas, fijación externa de fracturas.
ABSTRACT : Exposed fractures of the tibial pylon are infrequent lesions that are associated with the appearance of multiple complications derived from the intensity of the traumain addition to the real sepsis possibility of soft tissues or bone and bone consolidation disorders related to the affected zone. Adequate management of these conditions by the medical staff avoids the appearance of important complications, for this reason it was decided to share the experience in the management of these conditions by presenting a case.
Key words: tibial fractures, fractures, open, fracture fixation/internal, fracture fixation/external.
Introducción
Los términos fractura de la cara articular inferior de la tibia, fractura de pilón y fracturas distales de la tibia por estallido han sido utilizados para referirse a las fracturas de la tibia distal.(1) Este tipo de lesiones pueden acompañarse de una marcada conminución metafisaria y el 85% de los casos tienen una fractura del peroné asociada, paralelamente a lo planteado, aquellas fracturas producidas por traumas de alta energía frecuentemente son abiertas como ocurre en los accidentes con vehículos de motor.(2,3)
De manera general estamos ante una lesión que representa menos del 10% de las fracturas de miembro inferior, su frecuencia es mayor en hombres entre las 30 y 40 años de edad y están sujetas a la aparición de un alto número de complicaciones durante su fase de tratamiento.(4)
El adecuado manejo de estas afecciones por parte del personal médico evita la aparición de importantes complicaciones, por este motivo se decidió compartir la experiencia en el manejo de estas afecciones mediante la presentación de un caso.
Presentación del caso
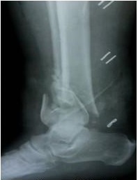
Se trata de un paciente masculino de 49 años de edad, con antecedentes de hipertensión arterial, atendido en el Hospital Gustavo Aldereguía Lima, de Cienfuegos, tras haber sufrido una caída desde una altura, que le produjo una fractura abierta tipo 2 de Gustillo-Anderson (Figura 1) y que se pudiera clasificar además como una fractura A3 según la fractura extrarticular con conminución metafisaria (AO/OTA). (Figuras 2 y 3).



Al recibir al lesionado se realizó su completa evaluación con el objetivo de determinar las posibles lesiones asociadas. Se indicaron todos los exámenes complementarios preoperatorios tales como Hb, Tc, Ts, Glucemia. Se realizaron rayos X de tórax anteroposterior, electrocardiograma, ultrasonido de abdomen y las radiografías anteroposterior y lateral del tercio distal de la tibia derecha lesionada.
En caso de dudas sobre la extensión de las fracturas, tras la evaluación radiológica se puede indicar una tomografía axial de la zona. En este caso no se consideró necesaria la realización del estudio por tratarse de una fractura extra articular.
Tras la culminación de la evaluación de los complementarios y con la certeza de que el paciente no era portador de otras lesiones asociadas, se realizó la cirugía de urgencia por tratarse de una fractura expuesta.
Como parte del plan quirúrgico trazado se realizó la limpieza quirúrgica requerida y se optó por la colocación de un fijador externo monopolar en puente para controlar la fractura del pilón, al montaje referido se le asoció una placa semitubular de un tercio de caña de seis perforaciones para estabilizar la lesión peroneal. (Figuras 4, 5, 6, 7).




Tras la cirugía, el paciente permaneció internado en Servicio de Ortopedia y Traumatología, con tratamiento antibiótico de amplio espectro y se empleó la terapia antitrombótica protocolizada en la institución. Pasados siete días de la cirugía se egresó el paciente y a partir de ese momento comenzó su seguimiento en la consulta externa de nuestro centro.
La consolidación de la fractura se obtuvo a las 12 semanas, el fijador externo se mantuvo todo este tiempo y afortunadamente los resultados finales fueron considerados satisfactorios tras la culminación del periodo de fisioterapia. (Figura 8).

Discusión
Estas complejas lesiones están sujetas a la aparición de un gran número de complicaciones como la sepsis de tejidos blandos o hueso, retardos de consolidación y pseudoartrosis, consolidaciones viciosas, entre otras.
La aplicación de la fijación externa en estas fracturas constituye un método fiable y validado por la literatura, la fijación del peroné con placa lateral posiblemente tiene sus aspectos negativos como son la posible consolidación en varo pero aporta muchos elementos positivos y por lo tanto preferimos su empleo asociado al fijador externo monopolar en puente.
En este caso fue empleada la fijación del primer metatarsiano con el objetivo de evitar el equino del tobillo. Existen otras opciones terapéuticas y la aplicación de cada una de ellas está sujeta a la disponibilidad de los recursos en cada institución y a la experiencia en la aplicación de estos métodos por parte del equipo médico.
En fin, los autores consideran que esta combinación de técnicas empleadas en el caso son plenamente viables y se pueden obtener resultados funcionales finales satisfactorios.
Referencias bibliográficas
1. Court-Brown CM, Walkel C, Garg A, McQueen MM. Half-ring external fixation in the management of tibial plafond fractures. J Orthop Trauma. 1999;13(3):200-6
2. Chaudhry S, Egol KA. Ankle Injuries and fractures in the obese patient. Orthop Clin North Am. 2011;42(1):45-53
3. Hanlon DP. Leg, ankle, and foot injuries. Emerg Med Clin North Am. 2010;28(4):885-905
4. Lee YS, Hsu TL, Huang CR, Chen SH. Lateral fixation of AO type-B2 ankle fractures: The Acutrak plus compression screw technique. Int Orthop. 2010;34(6):903-7
Notas de autor
*Autor para correspondencia. Correo electrónico: yanieltruffin@nauta.cu
Declaración de intereses