Presentaciones de casos
Fibroadenoma de la vulva. A propósito de un caso
Vulvar Fibroadenoma with regards
Fibroadenoma de la vulva. A propósito de un caso
MediSur, vol. 16, núm. 6, pp. 974-979, 2018
Universidad de Ciencias Médicas de Cienfuegos

Aprobación: 22 Octubre 2018
Resumen: El fibroadenomavulvar es una lesión extremadamente rara. Se presenta como una masa unilateral, de tamaño variable, asintomático y ocasionalmente asociado a otras lesiones vulvares o extravulvares y existe gran controversia sobre su origen. Estas lesiones necesitan del examen histopatológico para llegar al diagnóstico definitivo. El comportamiento de este tumor es similar al mamario. La escisión generalmente tiene un buen pronóstico y rara vez recidiva. Presentamos un caso donde se diagnosticó histopatológicamente esta lesión en una mujer de 26 años de edad con masa tumoral en la vulva, a la que se le realizó excéresis quirúrgica.
Palabras clave: fibroadenoma, neoplasias de la vulva, informes de casos.
Abstract: Vulvar fibroadenoma is extremely rare. It presents as a unilateral mass of variable size, asymptomatic and occasionally associated to other vulvar and extra-vulvar lesions. There is a great controversy about their origin. These lesions need a histo-pathological exam to reach a concluding diagnosis. Its behavior is similar to the breast tumor. Its removal generally has a good prognosis and there is rarely a relapse. This is a case of a 26 year old woman who was histo-pathologically diagnosed a vulvar tumor. A surgical removal was performed.
Keywords: fibroadenoma, vulvarneoplasms, case reports.
INTRODUCCIÓN
El fibroadenoma es una lesión bastante común en la mama, pero su localización en zona vulvar es extremadamente rara, con aproximadamente 40 casos descritos en la literatura. El fibroadenoma vulvar (FV) se ha descrito en mujeres en edad fértil y en la menopausia, presentándose como una masa unilateral, de unos cuantos milímetros a centímetros, asintomática y ocasionalmente asociado a otras lesiones vulvares y extravulvares1. Estas lesiones necesitan del examen histopatológico para llegar al diagnóstico. Existe abundante controversia sobre su origen. Se han postulado dos hipótesis para justificar su aparición, la primera de ellas señala que estas lesiones derivan de remanentes de la línea embrionaria de la mama, siendo esta una cresta ectodérmica, dos estructuras similares a bandas de ectodermo, que se extiende en cada lado del cuerpo, que parte durante el sexto mes de gestación desde la axila hasta el área de la ingle. Algunos autores han propuesto que puede llegar hasta el pubis o la zona medial superior del muslo. Esta normalmente desaparece, a excepción de la región torácica, y penetra en el mesénquima subyacente, pudiendo en otras zonas puede fallar su involución. Esta hipótesis es soportada por algunos reportes que muestran tejido mamario ectópico normal en vulva. La otra hipótesis, más reciente, indica que las glándulas anogenitales similares a tejido mamario son constituyentes normales de la vulva. Estas glándulas tienen el potencial de convertirse en lesiones benignas tales como fibroadenoma o malignas como la enfermedad de Paget extramamario. Esta teoría desecha la hipótesis de la línea de la leche, ya que no hay evidencia convincente de la extensión caudal de la cresta mamaria a la vulva en humanos ni tampoco migración de las células glandulares primordiales mamarias que se extiendan a la región axilar-pectoral. Esto podría explicar las raras lesiones de fibroadenomas perianales. Se puede concluir que la histogénesis de estas lesiones es todavía incierta, por lo cual el debate continuará hasta que aparezcan nuevos estudios.1,2Se presenta el siguiente caso, donde se diagnosticó histopatológicamente un FV en una mujer de 26 años de edad con lesión tumoral en la vulva, a la que se le realizo exéresis quirúrgica con diagnostico presuntivo de lesión quística en dicha zona.
PRESENTACIÓN DEL CASO
Paciente de 26 años de edad, femenina, de procedencia rural sin antecedentes patológicos personales. Acude a consulta por presentar desde hace 3 meses masa de crecimiento lento, indolora, no sangrante, descubierta por la propia paciente, en la región vulvar.
Al examen físico se observó una masa de aproximadamente 4 centímetros en su diámetro mayor, firme, móvil, en labio mayor derecho. Se realiza resección de la masa enviando dicha pieza al departamento de anatomía patológica para su estudio.
Descripción macroscópica: pieza quirúrgica rotulada como quiste de la región vulvar. Se recibe un fragmento de 3,5 x 3,8 x 3 centímetros (cm) de superficie irregular de color blanco grisáceo y firme. Al corte blanquecino con áreas nodulares. (Figura 1).

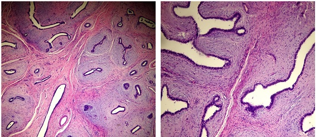
Microscópicamente: estructuras glandulares comprimidas por una gran proliferación colágena, tapizadas por un epitelio cúbico y cilíndrico según zonas, con proliferación fibroblástica periglandular. (Figura 2). Presentó inmunohistoquímica positiva para los receptores de estrógenos (RE) y progesterona (RP). La inmunomarcación para antígeno de membrana epitelial (EMA) tiñe positivamente la secreción glandular. Así comprobado, el diagnóstico anatomopatológico confirma un fibroadenoma vulvar. (Figura 3).


DISCUSIÓN
El FV puede aparecer entre los 20-80 años de edad.3 Por lo general, se manifiesta como nódulos subcutáneos o una masa. Comúnmente es solitario, principalmente en los labios mayores, rara vez se presenta como quistes vulvares y muy infrecuentemente bilateral. La lesión generalmente mide de 0.8 a 6.0 cm de tamaño. La masa puede aumentar de tamaño significativamente durante el embarazo o la lactancia.4 Se presenta esta entidad en una mujer de 26 años, con una masa solitaria de aproximadamente 4 cm de diámetro que fue presuntivamente interpretada como lesión quística en dicha zona.
Los diagnósticos diferenciales incluyen el quiste epidérmico, quiste folicular, quiste del conducto de la glándula de Bartholin, lipoma, hiperplasia estromal pseudoangiomatosa, enfermedad fibroquística y adenosis esclerosante. La enfermedad de Paget mamaria adicional, el adenocarcinoma ductal / lobular / mucinoso son diferenciales malignos. Las características histopatológicas son similares al fibroadenoma de mama que muestra una cápsula bien definida, proliferación epitelial y estromal con glándulas comprimidas y estroma fibromixoide que lo rodea. Las glándulas están revestidas por células columnares luminales y células mioepiteliales. El fibroadenoma vulvar tiene un buen pronóstico y rara vez recurre después de la escisión.5, 6, 7 Este tumor es positivo para RE, RP, Actina musculo liso (SMA), Proteína S-100, Citoqueratinas, EMA y GCDF-15 (grosscysticdiseasefluidprotein15) por inmunohistoquímica. Sin embargo, la expresión de estos receptores no es específica para tumores de origen mamario. El comportamiento del tumor es similar al mamario. La escisión generalmente tiene un buen pronóstico y rara vez se repite.8 En nuestro caso, las características histopatológicas mostraron particularidades propias del fibroadenoma con inmunohistoquímica positiva para los RE y RP. El tejido mamario se desarrolla generalmente a lo largo de la cresta mamaria embrionaria, también denominada línea de la leche, derivada del ectodermo, y que se extiende bilateralmente en la superficie ventral del cuerpo, desde el pliegue axilar anterior hasta la zona media inguinal y muslo, y aparece en la sexta semana de gestación. La localización más común del tejido mamario ectópico es la axila. Otras localizaciones menos comunes son la cara, los muslos, el perineo, la ingle, la vulva, como en este caso y los hombros.9 En todas estas localizaciones se pueden desarrollar procesos patológicos tanto de carácter benigno como maligno.10
El FV es una lesión muy rara, cuya importancia radica en que puede simular procesos benignos o malignos, con una presentación clínica inespecífica, donde la única manera de llegar al diagnóstico es a través del estudio microscópico.
REFERENCIAS BIBLIOGRÁFICAS
1. Jiménez Tobón GA, Vélez Hoyos A. Fibroadenoma vulvar: reporte de un caso y revisión de la literatura. Médicas UIS [Internet]. 2014 [citado 22 mar 2018]; 27(2): [aprox. 1 p.]. Disponible en: http://www.scielo.org.co/scielo.php?script=sci_arttext&pid=S0121-03192014000200010
2. Ramos Sosa A, Ramos Ortiz M, López Vergara J. Cáncer en mama supernumeraria. Presentación de un caso. Hospital Clínico Quirúrgico Docente 10 de Octubre. Panorama Cuba y Salud [Internet]. 2017 [citado 27 Ene 2018]; 12(1): [aprox. 5 p.]. Disponible en: http://www.revpanorama.sld.cu/index.php/panorama/article/view/628.
3. Kalyani R, Srinivas MV, Veda P. Vulvar fibroadenoma - a report of two cases with review of literature. Int J Biomed Sci [Internet]. 2014 [citado 19 Ene 2018]; 10(2): [aprox. 2 p.]. Disponible en:https://pdfs.semanticscholar.org/78db/80373a13b63fabdd1a18a839060eced8df18.pdf
4. Lev-Cohain N, Kapur P, Pedrosa I. Vulvar Fibroadenoma with Lactational Changes in Ectopic Breast Tissue. Case Reports in Obstetrics and Gynecology [Internet]. 2017 [citado 27 Ene 2018]; 2013: [aprox. 4 p.]. Disponible en: http://dx.doi.org/10.1155/2013/924902.
5. Lee S, Nodit L. Phyllodes tumor of vulva: A brief diagnostic review. Arch Pathol Lab Med [Internet]. 2014 [citado 27 Ene 2018]; 138(11): [aprox. 5 p.]. Disponible en:https://www.researchgate.net/profile/Laurentia_Nodit/publication/267734371_Phyllodes_Tumor_of_Vulva_A_Brief_Diagnostic_Review/links/5751ae9608ae10d93370ac3d/Phyllodes-Tumor-of-Vulva-A-Brief-Diagnostic-Review.pdf.
6. Chalapathi Rao AV, Srikanth U, Haqq W. Vulvar Fibroadenoma: Case Report and Review of Literature. SAJ Case Reports [monografía en Internet]; 2017 [citado 18 Ene 2018]. Disponible en: http://article.scholarena.co/Vulvar-Fibroadenoma-Case-Report-and-Review-of-Literature.pdf.
7. Cantú de León D, Pérez Montiel D, Vázquez H, Hernández C, Cetina L, Hernández Lucio M. Vulvar fibroadenoma: a common neoplasm in an uncommon site. World Journal of Surgical Oncology [Internet]. 2009 [citado 2018 Oct 5]; 7(70): [aprox. 4 p.]. Disponible en: https://wjso.biomedcentral.com/track/pdf/10.1186/1477-7819-7-70.
8. Bianchi A, Ochogavia Seguí A, Jiménez Segovia M, Fernández Isart M, Pagan Pomar A, Martínez Corcoles JA et al. Breast tissue in benign tumor of anal margin. AMS [Internet]. 2018 [citado 19 Ene 2018]; 1(1): [aprox. 4 p.]. Disponible en: http://edicions.uib.cat/ojs/index.php/AMS/article/view/380/391
9. Alonso Uribe O, Carla Berrios L, Yang Yi Li Z. Cáncer en mama axilar: Revisión de la literatura a propósito de un caso. Rev Chil Obstet Ginecol [Internet]. 2017 [citado 18 Ene 2018]; 82(4): [aprox. 8 p.]. Disponible en: http://www.scielo.cl/scielo.php?script=sci_arttext&pid=S0717-75262017000400416&lng=es.
10. Bustamante Bohigas PM, Camargo Villalba GE. Fibroadenoma en Glándula Mamaria Supernumeraria Axilar: Presentación de un caso. Global Journal of Medical Research [Internet]. 2014 [citado 19 Ene 2018]; 14(2): [aprox. 5 p.] Disponible en:https://medicalresearchjournal.org/index.php/GJMR/article/view/622/539.