Presentación de caso
¿Cuerpo extraño o tumor ocular? Presentación de un caso
Foreign body or eye tumor? Case presentation
¿Cuerpo extraño o tumor ocular? Presentación de un caso
MediSur, vol. 18, núm. 4, pp. 706-711, 2020
Facultad de Ciencias Médicas de Cienfuegos, Centro Provincial de Ciencias Médicas Provincia de Cienfuegos.
Recepción: 12 Febrero 2020
Aprobación: 21 Junio 2020
RESUMEN : Se presenta el caso de una paciente femenina, de 15 años de edad, cuyo motivo de consulta fue la sensación de cuerpo extraño y aumento de volumen de coloración oscura en el globo ocular derecho. Antecedentes personales de trauma no referidos. Al examen físico se encontró una masa alargada, oscura, de bordes regulares y dura a la palpación, por debajo de la conjuntiva bulbar. Se realizó tratamiento quirúrgico y se extrajo un cuerpo extraño subconjuntival compatible con la punta de un lápiz, englobado en su extremo distal por un tejido fibrovascular, oscuro y con brillo metálico. Se exponen algunas consideraciones que pudieran ser la explicación para el comportamiento tisular adyacente al cuerpo extraño. Por lo poco común del caso se decidió su presentación.
Palabras clave: cuerpos extraños en el ojo, grafito.
ABSTRACT : The case of a 15-year-old female patient is presented, whose main complaint was the sensation of a foreign body and increased volume of dark coloration in the right eyeball. Personal history of trauma not reported. On physical examination, an elongated, dark mass with regular edges and hard on palpation was found below the bulbar conjunctiva. Surgical treatment was performed and a subconjunctival foreign body compatible with the tip of a pencil was removed, encompassed at its distal end by a dark, fibrovascular tissue with metallic luster. Some considerations that could be the explanation for the tissue behavior adjacent to the foreign body are exposed. Due to its unusual nature, the presentation of the case was decided.
Key words: eye foreign bodies, graphite.
Introducción
El trauma ocular se define como el traumatismo originado con objetos contusos o penetrantes sobre el globo ocular o sus estructuras anexas, ocasionando daño tisular de diverso grado y pudiendo comprometer la función visual temporal o permanentemente.1
Alrededor del 10 % de las lesiones traumáticas que se reportan en los seres humanos son oculares. Es la principal causa de morbilidad oftalmológica y de pérdida unilateral de la visión. Son responsables de aproximadamente 19 millones de casos de ceguera unilateral y de 2,3 millones de pacientes con baja visión bilateral.2 En Estados Unidos son reportados cada año más de 2000 traumas oculares de origen ocupacional. Hong Kong reporta una incidencia anual aproximada de 8000 casos. En el suroeste de China se reportó una incidencia anual de 1055 casos de traumas y la presencia de cuerpos extraños se reportó en el 59,4 % de los ocupacionales y en un 26,7 % de los no ocupacionales.3
En cuanto a los traumas en edades pediátricas, se estima que el 55 % de los accidentes oculares tiene lugar antes de los 25 años de edad y un tercio de las pérdidas oculares en la primera década de la vida tienen origen traumático. Se plantea además que es la principal causa de ceguera unilateral no congénita y tiene una particular relevancia por su gran potencial ambliogénico, considerando que la visión desempeña un papel fundamental en el desarrollo global del niño.4
A las consultas de urgencias acuden con frecuencia pacientes con traumas oculares asociados a la presencia de cuerpos extraños oculares los cuales pueden tener origen vegetal, animal o mineral. El objetivo de este trabajo es exponer un caso interesante que demuestra la presencia de un cuerpo extraño (punta de lápiz) en la conjuntiva bulbar de un paciente sin antecedentes referidos de traumatismo ocular así como la respuesta tisular ante la agresión.
Presentación del caso
Se trata de una paciente femenina, origen asiático, de 15 años de edad, procedencia urbana. Acude al cuerpo de guardia del Centro Oftalmológico Amistad Cuba China en la ciudad de Xining, China; en el año 2010. El motivo de consulta era sensación de cuerpo extraño y aumento de volumen de coloración oscura en el ojo derecho (OD). En el interrogatorio no refería antecedentes patológicos personales ni familiares de enfermedades generales ni oculares y negaba el antecedente de traumatismos en la infancia y adolescencia. Fue examinada en el cuerpo de guardia y se remitió a la consulta de córnea de dicho centro oftalmológico para mejor evaluación.
Al examen de la agudeza visual se constató AVMC 1.0 en ambos ojos. En los anexos oculares se detectó la presencia de epicanto bilateral, propio de la procedencia de la paciente. En lámpara de hendidura se observó ligera hiperemia conjuntival en el cuadrante ínfero temporal del OD. Se podía visualizar además una masa alargada, fina, de bordes regulares y romos, color oscuro, dura a la palpación, que parecía ser un cuerpo extraño. El reflejo rojo naranja de fondo y el fondo de ojo resultaron normales. (Fig. 1).

Se planteó el diagnóstico clínico de un cuerpo extraño subconjuntival en OD y se decidió la intervención quirúrgica electiva y ambulatoria previo consentimiento informado a la paciente y sus padres.
En el acto quirúrgico se decoló la conjuntiva extrayéndose íntegramente un cuerpo extraño oscuro, alargado (de aproximadamente 7 mm de longitud), con uno de los extremos puntiagudo y el otro romo, compatible con una punta de lápiz. La escalera a ese nivel estaba íntegra. (Fig. 2).

En su porción distal se encontraba formando parte de una masa engrosada, de color oscuro, con brillo metálico, vascularizada, irregular y de aspecto fibrovascular, la cual se extrajo para la realización del estudio histopatológico. (Fig. 3 y 4).


Se suturó conjuntiva y epiesclera con seda 8-0. (Fig. 5).

Se indicó tratamiento posoperatorio con colirio de tobramicina y dexametazona (Tobradex) 1 gota cada 4 horas y fue retirada la sutura conjuntival a los 21 días. No hubo complicaciones posoperatorias.
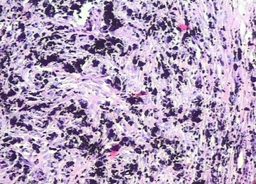
Se le realizaron cortes histológicos a la lesión extirpada para estudio anatomopatológico. (Fig. 6).

Examen anatomopatológico:
Macroscópico: espécimen rotulado como conjuntiva, que mide 2,2 x 1,5 cm, de color pardo oscuro, brillo metálico, consistencia suave, al corte de iguales características, de donde se extrae cuerpo extraño de aproximadamente 1 cm de longitud pardo oscuro (grafito).
Histología: biopsia donde se observa tejido fibroso con pigmento pardo oscuro presente en la totalidad de la muestra examinada.
Diagnóstico: pigmento exógeno.
Discusión
El interrogatorio y el examen físico detallado son fundamentales para llegar al diagnóstico presuntivo de cuerpo extraño ocular, el cual no debe descartarse en aquellos pacientes en los cuales exista la sospecha de un traumatismo de cualquier causa.5 En este caso, tanto la paciente como su familiar negaban el antecedente de trauma y por las características que se evidenciaban al examen físico se decidió intervenir quirúrgicamente para remover la masa que se encontraba por debajo de la conjuntiva bulbar. El cuerpo extraño extraído resultó ser compatible con una punta de lápiz.
La punta de lápiz no es una causa etiológica reportada frecuentemente en estudios relacionados con los traumatismos oculares, esta, como otros tipos de cuerpos extraños implicados, puede estar localizada tanto en la superficie del globo ocular como dentro del mismo.6,7
El lápiz está compuesto por una parte vegetal y otra mineral; esta última constituida en mayor proporción por grafito. El grafito a su vez está compuesto por átomos de carbono. Es blando y sus capas están a menudo separadas por átomos intercalados. En química, el término intercalación se refiere a la inclusión de un grupo o molécula entre otras dos moléculas o grupos, de manera reversible. Los ejemplos más comunes de intercalación los encontramos en el ADN y en el grafito. En la intercalación, la estructura original de la molécula es alterada por el grupo o molécula que se han intercalado. Las moléculas capaces de interactuar con cadenas de ADN (ligandos) pueden enlazarse con el ADN, interactuar o intercalarse. Con estas modificaciones estructurales el ADN también se ve afectado desde el punto de vista funcional; y muchas veces los procesos de transcripción, replicación y reparación del mismo resultan inhibidos provocando un marcado efecto mutágeno y carcinógeno. Dentro de los intercaladores de ácidos nucleicos más conocidos tenemos: daunomicina, doxorubicina, proflavina, bromuro de etidio y talidomida. Otra aplicación frecuente de intercaladores de ADN es en quimioterapia induciendo una alteración en la estructura de la cadena de ADN de las células cancerígenas, de manera tal que se inhibe la reproducción de dichas células.8
En el caso expuesto la masa que englobaba el extremo distal del cuerpo extraño estaba compuesta por un tejido fibroso con presencia de pigmento intra y extracelular. Cabe entonces preguntarse si este pudiera ser un caso de intercalación de grafito en tejidos oculares humanos y si esta misma forma de reacción tisular tendría lugar en otros tejidos u órganos del cuerpo. Estas interrogantes podrían ser resueltas con más investigaciones y reportes de casos relacionados. Esto ayudaría a entender mejor las formas de reacción de nuestro organismo ante las agresiones externas.
La presencia de un cuerpo extraño retenido en las estructuras oculares puede causar modificaciones tisulares adyacentes. La decisión de realizar el abordaje quirúrgico debe evaluarse de manera individualizada. El examen histopatológico de la pieza anatómica extraída es fundamental para llegar a un diagnóstico definitivo y conducta terapéutica en cada caso.
Referencias bibliográficas
1. Morera Sánchez F, Balcells González R, Pérez Araya M. Manejo del trauma ocular para profesionales de la salud. Santiago de Chile: Ministerio de Salud; 2019
2. Gallo Borrero DE, Letfor Allen S. Trauma ocular en la infancia. Rev Cubana Oftamol [revista en Internet]. 2019 [citado 05/05/2019];32(3):[aprox. 9p]. Disponible en: Disponible en: http://www.revoftalmologia.sld.cu/index.php/oftalmologia/article/view/773
3. Cai M, Zhang J. Epidemiological Characteristics of Work-Related Ocular Trauma in Southwest Region of China. Int J Environ Res Public Health. 2015;12:9864-75
4. Quezada del Cida NC, Zimmermann-Paiza MA, Ordoñez-Rivas AM. Características clínicas y epidemiológicas del trauma ocular en menores de 14 años. Arch Argent Pediatr. 2015;113(5):e260-e263
5. Collado Valverde G. Cuerpo extraño en el ojo. Revista Médica Sinergia. 2016;1(10):12-8
6. Gül A, Can E, Yücel OE, Niyaz L, Akgün H?, Ar?türk N. Suspected endothelial pencil graphite deposition. Case Rep Ophthalmol Med. 2013;2013:369-374
7. Amritanand A, Sheeja SJ, Swetha SP, Deepa J, Sarada D. Unusual case of a graphite foreign body in the anterior chamber. Clinics and Practice. 2011;1:e73
8. González M. Intercalación [Internet]. Cuba: CONICET; 2010 [citado 05/05/2019]. Disponible en: Disponible en: https://quimica.laguia2000.com/conceptos-basicos/intercalacion
Notas de autor
*Autor para correspondencia. Correo electrónico: sandra.saray@gal.sld.cu