Presentación de caso
Tratamiento de una fractura-luxación del tobillo mediante la fijación externa RALCA. Seguimiento de cinco años
Treatment of an ankle fracture-dislocation using RALCA external fixation. Five-year monitoring
Tratamiento de una fractura-luxación del tobillo mediante la fijación externa RALCA. Seguimiento de cinco años
MediSur, vol. 18, núm. 6, pp. 1225-1232, 2020
Facultad de Ciencias Médicas de Cienfuegos, Centro Provincial de Ciencias Médicas Provincia de Cienfuegos.
Recepción: 03 Noviembre 2019
Aprobación: 04 Diciembre 2020
RESUMEN : La fractura luxación del tobillo se presenta con alguna frecuencia en la práctica médica. La asociación de una luxación en las fracturas de tobillo modifica su abordaje terapéutico puesto que la articulación no debe permanecer por más de seis horas en dicha situación y por ende se requerirá del tratamiento quirúrgico de urgencia. Son conocidas las complicaciones relacionadas con la no reducción de una luxación en el periodo de tiempo mencionado anteriormente, dentro de estas, la necrosis avascular del astrágalo representa la más temida debido a la incapacidad que genera. Por tales razones se decidió presentar un caso que muestra el tratamiento de una fractura -luxación del tobillo derecho, en una paciente de 30 años de edad, estabilizada mediante el empleo de un mini fijador RALCA, la cual fue seguida por un periodo de cinco años.
Palabras clave: fracturas de tobillo, traumatismos del tobillo, terapéutica, fijadores externos.
ABSTRACT : Ankle fracture dislocation occurs with some frequency in medical practice. The association of a dislocation in ankle fractures modifies its therapeutic approach since the joint should not remain for more than six hours in this situation and therefore emergency surgical treatment will be required. Complications related to the non-reduction of a dislocation in the previously mentioned period of time are known; within these, avascular necrosis of the talus represents the most feared due to the disability it generates. For these reasons, it was decided to present a case that shows the treatment of a fracture -luxation of the right ankle, in a 30-year-old patient, stabilized by using a RALCA mini fixator, which was followed for a period of five years.
Key words: ankle fractures, ankle injuries, therapeutics, external fixators.
Introducción
La fractura luxación del tobillo se presenta con alguna frecuencia en la práctica médica. Se produce generalmente por traumatismos de alta energía, los mismos introducen serias lesiones en las estructuras de soporte del tobillo propiciando la aparición de fracturas en los maléolos y por ende la posible luxación del astrágalo contenido entre estos.(1,2,3)
La asociación de una luxación en las fracturas de tobillo modifica su abordaje terapéutico puesto que la articulación no debe permanecer por más de seis horas en dicha situación y por ende se requerirá del tratamiento quirúrgico de urgencia.
Son conocidas las complicaciones relacionadas con la no reducción de una luxación en el periodo de tiempo mencionado anteriormente, dentro de estas, la necrosis avascular del astrágalo representa la más temida debido a la incapacidad que genera.
Habitualmente estas lesiones se tratan realizando la reducción cerrada de la luxación bajo anestesia espinal o general y se procede con posterioridad a la realización de una síntesis estable de las fracturas asociadas. La materialización de dicha osteosíntesis se basa en el empleo de láminas y tornillos, pines endomedulares y tornillos maleolares, entre otros medios. Para implementar estos métodos de osteosíntesis es necesario la realización de vías de abordaje para acceder a las estructuras óseas fracturadas. Dichas vías, si bien no son complejas de realizar para el cirujano, consumen parte del tiempo quirúrgico e introducen la posible aparición de un grupo de complicaciones asociadas con la herida quirúrgica.(4,5,6,7,8)
Otro método de fijación utilizado para este tipo de lesiones lo constituye la fijación externa, si bien no es el más empleado por los traumatólogos a nivel mundial para tratar la fractura -luxación del tobillo, la pertinencia de su aplicación está bien fundamentada en la literatura y por ende es una herramienta que no se debe dejar en el olvido.(9,10,11,12,13,14)
En nuestro país contamos con una variedad de aparatos de fijación externa, sin duda el más empleado es el fijador externo creado por el profesor Dr. Rodrigo Álvarez Cambras, dicho fijador ha mostrado ser universal dada su amplia aplicación y su poder resolutivo.
El fijador externo RALCA a pesar de no utilizarse de forma rutinaria para la estabilización de las fracturas y luxaciones del tobillo o su combinación es una herramienta que puede ser de utilidad para solucionar estas lesiones.
Ventajas del empleo de un fijador externo RALCA para la fijación de una fractura -luxación de tobillo:
Por todo lo anterior se ha querido compartir con los colegas dedicados a la atención de pacientes con lesiones graves del tobillo la experiencia en el Hospital de Cienfuegos, con el empleo del fijador externo RALCARpara la estabilización de una compleja lesión de tobillo en una paciente a la cual se le ha dado seguimiento por un periodo de cinco años en este centro.
Presentación del caso
Paciente femenina, de 30 años de edad, con antecedentes de salud anterior, que fue atendida en el Cuerpo de Guardia del Hospital Dr. Gustavo Aldereguía Lima de la provincia de Cienfuegos, tras sufrir una caída mientras montaba bicicleta.
La paciente a su llegada a nuestro centro asistencial fue sometida a exámenes radiológicos y de laboratorio previa realización de un examen físico meticuloso.
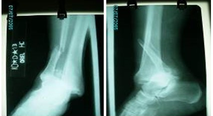
Las imágenes de rayos X mostraron fractura luxación del tobillo derecho. (Fig. 1).

La paciente sufría de una grave fractura- luxación del tobillo derecho con fractura suprasindesmal del peroné, lesión sindesmal, lesión del ligamento deltoideo y fractura del reborde antero externo del pilón tibial.
Para enfrentar esta combinación de lesiones se preparó un mini fijador RALCA con dos cuadriláteros, se trenzó un alambre calibre 18 para ser usado como método de fijación sindesmal y se empleó un cuadrilátero aparte para anclar el alambre de sujeción sindesmal por la cara medial del tobillo.
Procedimiento para la aplicación del fijador
Se muestran imágenes del procedimiento quirúrgico y rayos X del posoperatorio. (Fig. 2 y 3).


La paciente, después de la cirugía de urgencia permaneció por 24 horas en nuestro servicio tras las cuales recibió el alta médica. Se puso tratamiento con cefalexina por vía oral e ibuprofeno por un periodo de 7 días. Además se le orientaron los ejercicios que debía ir realizando. La primera consulta se realizó a los 15 días de la intervención quirúrgica, en la misma se evaluaron las radiografías de control y se comprobó el estado del implante. Después de lo explicado se realizó un seguimiento mensual evaluándose los aspectos antes señalados en cada caso. (Fig. 4).

A las 12 semanas se retiró el aparato tras constatarse la consolidación de la fractura peroneal, en este momento comienza la marcha con apoyo. La recuperación total de la paciente se logró a los cinco meses de la cirugía.
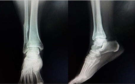
Teniendo en cuenta que la fijación externa no es un método de tratamiento habitualmente empleado en la resolución de estos casos se realizó un seguimiento por cinco años de la paciente operada, durante este tiempo se pudo constatar la buena función articular, la no presencia de edema residual así como la poca degeneración articular existente teniendo en cuenta la gravedad de la lesión inicial. (Fig. 5 y 6).


Discusión
La fijación externa puede ser empleada para solucionar algunas de las lesiones traumáticas que afectan la articulación del tobillo, los resultados pueden ser satisfactorios si se escoge de forma adecuada el paciente. En nuestro medio es posible que no contemos en un momento determinado con los dispositivos más empleados para la fijación de las lesiones del tobillo,(15,16,17,18,19,20,21) por esta razón la fijación externa se convierte en una alternativa viable para dar total solución a estos trastornos.
El seguimiento de la paciente por un periodo de cinco años nos mostró la viabilidad del proceder, creímos importante compartir con los lectores interesados en el tema las imágenes contenidas en la presentación pues estas nos brindan siempre la evidencia del resultado obtenido a largo plazo.
Referencias bibliográficas
1. Jensen SL, Andresen BK, Mencke S, Nielsen PT. Epidemiology of ankle fractures. A prospective population-based study of 212 cases in Aalborg,Denmark. Acta Orthop Scand. 1998;69:48-50
2. Kannus P, Palvanen M, Niemi S, Parkkari J. Increasing number and incidence of low-trauma ankle fractures in elderly people: Finnish statistics during 1970-2000 and projections for the future. Bone. 2002;31(3):430-3
3. Ahl T, Dalen N, Selvik G. Ankle fractures: a clinical and roentgenographic stereophotogrammetric study. Clin Orthop Relat Res. 1989;(245):246-55
4. Yablon IG, Heller FG, Shouse L. The key role of the lateral malleolus in displaced fractures of the ankle. J Bone Joint Surg. 1977;59A:169
5. Yablon IG. Ankle fractures: internal fixation, I: reduction of displaced bimalleolar ankle fractures. Instr Course Lect. 1979;28:72
6. Tornetta P, Nguyen S, Scott C. Lag screw fixation of the lateral malleolus. Paper presented at the annual meeting of the Orthopaedic Trauma Association. Vancouver: British Columbia; 1998
7. Boden SD, Labropoulos PA, McCowin P, Lestini WF, Hurwitz SR. Mechanical considerations for the syndesmosis screw. J Bone Joint Surg Am. 1989 ;71(10):1548-55
8. Warner WC, Farber LA. Trimalleolar fractures. South Med J. 1965;58:1292
9. Kim SK, Oh JK. One or two lag screws for fixation of Danis-Weber type B fractures of the ankle. J Trauma. 1999;46:1039
10. Marsh JL, Muehling V, Dirschl D, Hurwitz SR, Brown T, Nepola J. Tibial plafond fractures treated by articulated external fixation: a randomized trial of postoperative motion versus nonmotion. J Orthop Trauma. 2006;20:536
11. Laskin RS. Steinmann pin fixation in the treatment of unstable fractures of the ankle. J Bone Joint Surg. 1974;56A:549
12. Kaye RA. Stabilization of ankle syndesmosis injuries with a syndesmosis screw. Foot Ankle. 1989;9:290
13. Borens O, Kloen P, Richmond J, Goetz R, Levine D, Helfet L. Minimally invasive treatment of pilon fractures with a low profile plate: preliminary results in 17 cases. Arch Orthop Trauma Surg. 2009;129(5):649-59
14. Anglen JO. Early outcome of hybrid external fixation for fracture of the distal tibia. J Orthop Trauma. 1999;13:92
15. Brown OL, Dirschl DR, Obremskey WT. Incidence of hardware-related pain and its effect on functional outcomes after open reduction and internal fixation of ankle fractures. J Orthop Trauma. 2001;15:271
16. Tile ON. Fractures of the ankle. En: Schatzker J, Tile ON, editores. The rationale of operative fracture care. New York: Springer-Verlag; 1987. p. 56-9
17. Koval KJ, Petraco DM, Kummer FJ. A new technique for complex fibula fracture fixation in the elderly: a clinical and biomechanical evaluation. J Orthop Trauma. 1997;11:28
18. Ostrum RF. Posterior plating of displaced Weber B fibula fractures. J Orthop Trauma. 1996;10:199
19. McLennan JG, Ungersma J. Evaluation of the treatment of ankle fractures with the Inyo nail. J Orthop Trauma. 1988;2:272-6
20. Hovis WD, Bucholz RW. Polyglycolide bioabsorbable screws in the treatment of ankle fractures. Foot Ankle Int. 1997;18:128-131
21. Juutilainen T, Patiala H, Ruuskanen M. Comparison of costs in ankle fractures treated with absorbable or metallic fixation devices. Arch Orthop Trauma Surg. 1997;116:204-8
Notas de autor
*Autor para correspondencia. Correo electrónico: annialh@jagua.cfg.sld.cu
Declaración de intereses