Presentaciones de casos
Caso clínico radiológico de colangitis piógena recurrente
Radiological clinical case of recurrent pyogenic cholangitis
Caso clínico radiológico de colangitis piógena recurrente
MediSur, vol. 19, núm. 5, pp. 863-871, 2021
Facultad de Ciencias Médicas de Cienfuegos, Centro Provincial de Ciencias Médicas Provincia de Cienfuegos.
Recepción: 20 Mayo 2021
Aprobación: 29 Septiembre 2021
RESUMEN: Se presenta paciente de 28 años, bangladeshi, ingresado en el Cuban Hospital de Qatar por dolor abdominal, fiebre moderada e ictericia ligera, elevación de las enzimas hepáticas y pancreáticas, además de presentar patrón humoral de colestasis. La ecografía abdominal y la tomografía de abdomen con contraste endovenoso detectaron vesícula biliar distendida con pared gruesa, litiasis en las vías biliares extra e intrahepáticas con dilatación de las mismas y escasa cantidad de líquido y edema peri pancreático, concluyéndose como pancreatitis aguda secundaria a colecistitis litiásica. Se realizó una colangiopancreatografia retrógrada endoscópica, y se comprobaron estos hallazgos y estenosis del conducto hepático derecho asociado a no permeabilidad del conducto hepático izquierdo. El diagnóstico cambió a colangitis piógena oriental. Por esta vía se extrajeron los cálculos y se colocó stent. El paciente fue tratado complementariamente con antibióticos, piperacilina y tazobactam vía IV, egresado con evolución satisfactoria después de nueve días del ingreso. Actualmente se encuentra en seguimiento por equipo multidisciplinario para definir conducta quirúrgica definitiva.
Palabras claves: hepatolitiasis, colangitis piógena recurrente, colangitis oriental.
ABSTRACT: A 28-year-old Bangladeshi patient is presented, admitted to the Cuban Hospital in Qatar for:abdominal pain, moderate fever and mild jaundice, elevated liver and pancreatic enzymes, as well as a humoral pattern of cholestasis. Abdominal ultrasound and abdominal tomography with intravenous contrast detected a distended gallbladder with a thick wall, lithiasis in the extra and intrahapatic bile ducts with dilatation of the same and little amount of fluid and peri-pancreatic edema, concluding as acute pancreatitis secondary to lithiasic cholecystitis. An endoscopic retrograde cholangiopancreatography was performed, verifying these findings and stenosis of the right hepatic duct associated with non-patency of the left hepatic duct, the diagnosis changed to oriental pyogenic cholangitis. By this route, the stones were extracted and a stent was placed. The patient was treated with complementary antibiotics, piperazine and IV tazobactam, and was discharged with satisfactory evolution nine days after admission. He is now being followed by a multidisciplinary team to define definitive surgical conduct.
Keywords: Hepatolithiasis, recurrent pyogenic cholangitis, oriental cholangiohepatitis.
INTRODUCCIÓN
La colangitis piógena recurrente (CPR) se caracteriza por ser un síndrome recurrente de colangitis bacteriana, asociada a cálculos de pigmento intrahepáticos, estenosis fibrótica de las vías y obstrucción biliares intrahepática. Fue descrita por primera vez en 1930 por Digby 1) y ha recibido diferentes nombres, que incluyen enfermedad de Hong Kong, hepato-litiasis primaria, colangitis oriental, colangio-hepatitis oriental y colangitis infestacional oriental. Las infecciones recurrentes del sistema biliar se han implicado como una de las causas importantes de la progresión de la enfermedad, que resulta en complicaciones como: cirrosis biliar y colangiocarcinoma. (2
Los medios diagnósticos por imágenes, además de su función en el diagnóstico de la colangitis piógena recurrente, permiten una evaluación anatómica precisa de la ubicación, extensión y gravedad de la enfermedad, información importante que se requiere para la planificación de un tratamiento médico o quirúrgico adecuado. 3,4)
Los objetivos terapéuticos para el tratamiento de la colangitis piógena recurrente deben incluir, en primer lugar: la mejoría de la sepsis biliar aguda mediante la descompresión del árbol biliar infectado. Esto puede lograrse de forma no operatoria, mediante drenaje biliar transhepático percutáneo o esfinterotomía endoscópica y / o colocación de un stent biliar. En segundo lugar: la eliminación completa de los cálculos y los restos de partículas del tracto biliar, mediante métodos como la litotomía colangioscópica transhepática percutánea y la colangioscopía peri-oral. En tercer lugar: la eliminación de la estasis biliar, esencial para prevenir la colangitis recurrente y la formación de cálculos. Por lo tanto, es imperativo de ser posible, que las anomalías anatómicas, incluidas la ectasia del tracto biliar y las estenosis, se aborden y rectifiquen definitivamente. 5 Existe una gran variedad de intervenciones, que incluyen procedimientos endoscópicos y guiados por radiología, así como procedimientos quirúrgicos que incluyen drenaje biliar quirúrgico y hepatectomía. 6
A la luz de los conocimientos actuales sobre el diagnóstico y manejo de la colangitis piógena oriental, se realizó el presente informe de caso, con el objetivo de mostrar la evolución clínica y radiológica de un paciente diagnosticado con esta patología, en el Hospital cubano de Qatar.
PRESENTACION DEL CASO
Presentamos el caso de un paciente masculino, bangladesí, de 28 años, trabajador de la construcción, que acude al servicio de urgencias del Hospital Cuban de Qatar. El paciente mostraba dolor abdominal de moderada intensidad, localizado en el epigastrio, de carácter fijo, irradiado a ambos hipocondrios, de tipo calambre, asociado a ictericia leve notable en la esclerótica y fiebre moderada. No se recogen antecedentes patológicos familiares o enfermedades hereditarias. Se registró visita a la institución tres días atrás por el mismo motivo, (asociado a vómitos) por lo que fue interpretado como un síndrome gastroentérico.
Los hallazgos positivos al examen físico fueron: dolor a la palpación profunda en hipocondrio derecho y epigastrio con vesícula biliar palpable e ictericia ligera. Los demás aspectos de la exploración, palpación y percusión realizados donde fue necesario, no arrojaron datos relevantes.
Los exámenes complementarios de laboratorio durante la admisión mostraron: elevación moderada de las enzimas de citólisis hepática, alanina transaminasa y aspartato aminotransferasa (ALT y AST por sus siglas en ingles), alto nivel de enzimas del patrón de colestasis (fosfatasa alcalina, bilirrubina total y bilirrubina directa) y alto nivel de enzimas pancreáticas (amilasa y lipasa), el leucograma también se mostró elevado.
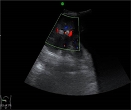
Los hallazgos más significativos de la ecografía abdominal al ingreso fueron (Fig. 1)(Fig.2): Textura hepática homogénea, vesícula dilatada que mide 100x40mm, pared 3,5mm, dilatación de más de 5mm en las vías biliares intrahepáticas con litiasis pequeñas en su interior, colédoco tortuoso, mide 14mm de diámetro con litiasis de 13x7mm en su interior, el resto de las vísceras abdominales sin alteraciones aparentes.


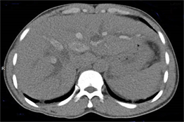
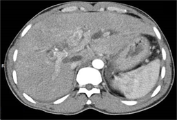
Al segundo día después de la admisión, se complementó estudio con tomografía axial computarizada previa administración de contraste EV (Fig. 3) y se observó: vesícula biliar distendida, colédoco dilatado con litiasis mixta cálcica-biliar, alargada de 13x7mm en su interior y calcificaciones mixtas cálcica-biliares alargadas dentro de los conductos biliares intrahepáticos, los cuales lucían dilatados. En la (fig. 4) se comprobó: páncreas de tamaño normal, con mínima cantidad de líquido y edema peri pancreático, confirmando el diagnóstico de colecistitis litiásica y pancreatitis aguda secundaria, dilatación y litiasis de vías biliares intra y extrahepáticas.


Al tercer día fue remitido a hospital terciario. Con fines diagnósticos y terapéuticos, se procedió a realizar colangiopancreatografia endoscópica retrógrada (Fig 5). Durante el proceder, al paso de la sonda, se demostró papila duodenal normal. Seguidamente se canalizó el colédoco. El colangiograma evidenció un gran defecto lineal de llenado en el colédoco y múltiples pequeños defectos de llenado en el conducto hepático derecho, asociados a no visualización del conducto hepático izquierdo. Se procedió a realizar esfinterotomía biliar y extracción de los cálculos de las vías biliares mediante barrido con balón, el conducto hepático derecho lucía con reducción de su diámetro por estenosis fibrótica que, aunque permitió el paso de la sonda, no fue posible la colocación de stent. No obstante, se logró colocar stent en el colédoco. Se complementó tratamiento con antibioticoterapia, piperacilina y tazobactam por vía intravenosa. Posterior a la colangiopancreatografia endoscópica retrógrada, se planteó el diagnóstico de colangitis piógena recurrente.

El paciente fue clínicamente evolucionando de forma satisfactoria, sin complicaciones después del tratamiento practicado. Los resultados de laboratorio fueron regresando a la normalidad, por lo que fue dado de alta médica a los 9 días de tratamiento. Fue programado el seguimiento por consulta de gastroenterología y cirugía para definir tratamiento restaurador de la vía biliar. En la actualidad, el paciente se encuentra asintomático, sin que se evidencie nuevas litiasis; pendiente de tratamiento quirúrgico definitivo de la vía biliar para reparar las anomalías que provocan éxtasis de bilis y formación de cálculos.
DISCUSIÓN
El presente informe de caso, demuestra la eficiencia de los servicios de salud en la corporación Hamad de Qatar, que cuenta con una red hospitalaria interconectada formada por hospitales e instituciones de atención primaria, atención secundaria y atención terciaria, garantizando una atención sanitaria de calidad. Nuestro hospital (Cuban Hospital) es un hospital secundario, con equipamiento de laboratorio y de imágenes que permitieron hacer la primera parte del diagnóstico de este paciente en breve tiempo; aunque no se contó con equipo de colangiopancreatografia endoscópica retrógrada, que dificultó el diagnóstico final y tratamiento temporal. Quedó pendiente el tratamiento definitivo, como lo sugiere Hamed y col en el 2018 en su presentación de caso, paciente al que finalmente se le realizó como tratamiento final resección del colédoco con hepato-yeyunostomia. 7) Nuestro caso aún está pendiente de la reparación definitiva del árbol biliar.
La colangitis piógena recurrente (CPR) o colangiohepatitis oriental, se caracteriza por la formación de cálculos pigmentarios intrabiliares, cuya principal manifestación consiste en episodios recurrentes de colangitis, aunque también pueden presentarse otras complicaciones biliopancreáticas. El CPR se desarrolla principalmente en pacientes asiáticos, en los que esta entidad es una de las principales causas de dolor abdominal agudo 8. El diagnóstico diferencial debe establecerse con todas las demás entidades asociadas a la formación de cálculos intrahepáticos, que es más común en los países asiáticos en comparación con el predominio de formación de cálculos biliares en occidente. 8 El enfoque diagnóstico y terapéutico requiere la colaboración entre gastroenterólogos, radiólogos y cirujanos gastrointestinales, hecho que fue demostrado por nosotros en nuestro caso.
La hepatolitiasis primaria (HL), la colangitis piógena recurrente y la colangiohepatitis oriental, son términos que se usan comúnmente en Japón, Hong Kong y Corea respectivamente, y describen los diferentes aspectos de la misma enfermedad, donde "HL" indica los cambios patológicos, "colangitis piógena recurrente y "colangiohepatitis oriental", destacan la presentación clínica e inflamación supurativa. El HL es una enfermedad predominantemente del lejano oriente y muestra grandes diferencias regionales en la incidencia y el tipo de litiasis intrahepática. 9 Nuestro paciente clínicamente se presentó con dolor abdominal, ligera ictericia y fiebre moderada. Los exámenes de laboratorio y las imágenes, mostraron colecistitis aguda y pancreatitis secundaria. Fue la pancreatografia retrograda endoscópica, el medio que permitió el diagnóstico de colangitis piógena oriental, al permitir la visualización de estenosis de los conductos hepáticos, permitió además el tratamiento de sostén que soluciono temporalmente el problema de la colestasis, se denota claramente la importancia de los medios diagnósticos de imágenes en el diagnóstico y tratamiento de esta patología.
Patológicamente, la CPR se caracteriza por cálculos pigmentados de bilirrubinato cálcico dentro de las vías biliares intrahepáticas dilatadas, que presentan inflamación crónica, fibrosis mural y proliferación de las glándulas peribiliares, sin obstrucción biliar extrahepática. Los episodios de inflamación supurativa se acumulan en colangitis esclerosante en los conductos periféricos y fibrosis parenquimatosa por cicatrización y colapso. El pseudotumor inflamatorio formador de masas y las neoplasias papilares intraductales similares a neoplasias y el colangiocarcinoma, son complicaciones cada vez más reconocidas. Se cree que la infección bacteriana y los factores dietéticos son importantes en la formación de cálculos de pigmento dentro de los conductos biliares intrahepáticos, mientras que la infestación parasitaria es probablemente una coincidencia. Con la mejora de las condiciones ambientales y la occidentalización de la dieta, la incidencia de cálculos pigmentarios ha disminuido. La tríada de Charcot describe la presentación clínica clásica de fiebre, dolor e ictericia y, si se asocia con shock y letargo, la constelación de hallazgos se ha descrito como la pentada de Reynold. (10) El paciente presentado coincidió con una tríada de Charcot, conocer las características de esta enfermedad, la aparición especifica en etnias orientales, y los flujos migratorios por la globalización mundial, favorecen el diagnóstico de esta patología en países occidentales, resultando de vital importancia la publicación de reportes de caso relacionado con esta patología.
Otras características que pueden detectarse mediante ecografía incluyen cálculos biliares, abscesos hepáticos, "biloma" y colangiocarcinoma. Se puede realizar una aspiración percutánea con aguja fina guiada por ecografía en caso de sospecha de tumor hepático. 11,12 En este caso, la primera investigación por imágenes realizada fue la ecografía de abdomen que muestra un cálculo alargado dentro del colédoco dilatado e imagen ecogénica dentro de las vías biliares intrahepáticas dilatadas y engrosamiento ecogénico adyacente a la pared de la vía biliar. Posteriormente se realizó una tomografía computarizada de abdomen con contraste, para definir la dilatación de la vía biliar que se aprecia mejor en un estudio contrastado, la constitución mixta de las litiasis, propias de los cálculos biliares y sirvió además para descartar otras complicaciones como formación de abscesos, cirrosis hepática, biloma o rotura de la vía biliar con peritonitis y colangiocarcinoma, como vimos la pancreatitis estaba presente como complicación. No se realizó colangiopancreato resonancia a este paciente porque fue remitido a institución terciaria para definir diagnostico y tratamiento, donde fue diagnosticado finalmente con la CPR por los hallazgos de litiasis biliares, estenosis fibrótica y dilatación de las vías biliares.
Aloridi en su serie de casos con su respectiva revisión bibliográfica, concluyo que la colangitis piógena oriental es causa de varias intervenciones quirúrgicas, con formación de litiasis en las vías biliares intrahepáticas, que la causa de esta patología era incierta aunque algunos autores alegan las malformaciones del aparato biliar, y que era frecuente en pacientes del continente asiático, el conducto hepático izquierdo usualmente estaba estenótico, 13 como ocurrió en nuestro paciente, ambos estamos de acuerdo en que se debe solucionar primariamente la obstrucción de la vía biliar, extracción de las litiasis y finalmente la reparación de las anomalías detectadas en la vía biliar.
Torres y col en su investigación concluyen que el tratamiento ideal definitivo de esta patología incluye, la resección hepática segmentaria, que remueve las litiasis y parte del parénquima hepático, generalmente de los segmentos afectados del lóbulo hepático izquierdo, evitando así la neoformación de colangiocarcinoma. 14 El paciente de nuestro reporte de casos se encuentra actualmente en consulta para definir el tratamiento definitivo, el cual probablemente se ajuste al antes descrito, porque precisamente es el conducto hepático izquierdo el mas afectado.
El informe de caso como aporte científico tiene sus limitaciones porque no brinda conclusiones sustanciales para ser generalizadas, pero es capaz de mostrar características de patologías poco comunes como la colangiohepatitis oriental, a tener en cuenta en el diagnostico diferencial y definitivo de determinados pacientes. Por otra parte, fue evidente la importancia de los medios diagnósticos de imágenes en el diagnostico y tratamiento de esta patología y adicionalmente la importancia de disponer con equipos medios diagnósticos de imágenes en las instituciones, que disminuyen el tiempo de espera de pacientes inconclusos, lo que se traduce en mejor evolución de los pacientes evitando secuelas y complicaciones.
CONCLUSIONES
Los autores agradecen a Hamad Medical Corporation por permitir realizar este estudio y utilizar las imágenes de sus archivos digitales. El manuscrito fue revisado y aprobado por el IRB de Qatar con el número de referencia del proyecto MRC-04-20-708 como informe de caso. La publicación se basa en la interpretación de los autores. No fue necesario el consentimiento del paciente porque no se utilizaron imágenes identificadas, ni enlace con la identificación del paciente.
REFERENCIAS BIBLIOGRÁFICAS
1. Verweij KE, van Buuren H. Oriental cholangiohepatitis (recurrent pyogenic cholangitis): a case series from the Netherlands and brief review of the literature. Neth J Med [Internet]. 2016 [citado 20/11/2020];74(9): [aprox. 4 p]. Disponible en:http://www.njmonline.nl/getpdf.php?id=1779
2. Tsui WM, Lam PW, Lee WK, Chan YK. Primary hepatolithiasis, recurrent pyogenic cholangitis, and oriental cholangiohepatitis: a tale of 3 countries. Adv Anat Pathol [Internet]. 2011 [citado 20/11/2020];18(4): [aprox. 10 p] Disponible en:http://www.ncbi.nlm.nih.gov/books/NBK564308/
3. Ibrarullah M, Meher S, Bruno WH, Modi MS. The "Christmas Tree" Sign on MR Cholangiogram in Left-Sided Cholangiohepatitis. Indian J Surg [Internet]. 2018[ citado 20/11/2020];80(1): [aprox. 1 p.] Disponible en: http://www.ncbi.nlm.nih.gov/pmc/articles/PMC5866814/
4. Parray FQ, Wani MA, Wani NA. Oriental cholangiohepatitis - is our surgery appropriate? Int J Surg [Internet]. 2014 [citado 20/11/2020];12(8):[ aprox. 5 p]. Disponible en:http://core.ac.uk/download/pdf/82046884.pdf
5. Metwally O, Man K. The role of endoscopy in the management of recurrent pyogenic cholangitis: a review. J Community Hosp Intern Med Perspect [Internet]. 2015 [citado 20/11/2020];5(4):[aprox. 14 p].Disponible en:http://www.ncbi.nlm.nih.gov/pmc/articles/PMC4558289/
6. Walshe TM, McLean KA, Patel R, Chang SD, Harris AC. Imaging of the biliary tree: Infection, inflammation and infiltration. J Appl Radiol [Internet]. 2016 [citado 20/11/2020];45(4): [aprox. 6 p]. Disponible en: http://appliedradiology.com/articles/imaging-of-the-biliary-tree-infection-inflammation-and-infiltration.
7. Hamed, Ahmed MD, Hamed, Amira MD, Talaat, Nizar. Oriental Cholangiohepatitis: Hong Kong Disease in the United States. American Journal of Gastroenterology. [Internet] 2018 [citado 20/11/2020];113:[aprox. 1 p].Disponible en:http://journals.lww.com/ajg/fulltext/2018/10001/oriental_cholangiohepatitis__hong_kong_disease_in.1349.aspx
8. Martín-Lagos Maldonado A, Alcázar Jaén LM, Martínez Tirado M del P, Salmerón Escobar J, Mundi Sánchez-Ramade JL. An Asian man with recurrent abdominal pain. Gastroenterol Hepatol [Internet].National of Laibrary of Medicine; 2012 [citado 20 /11/2020].Disponible en: http://pubmed.ncbi.nlm.nih.gov/22657568/
9. Higuchi R, Takada T, Strasberg SM, Pitt HA, Gouma DJ, Garden OJ,et al. TG13 miscellaneous etiology of cholangitis and cholecystitis. J Hepatobiliary Pancreat Sci [Internet]. 2013 [citado 20/11/2020];20(1): [aprox. 34 p].Disponible en:http://pubmed.ncbi.nlm.nih.gov/23307004/
10. Wilson Man-shan Tsui , Yiu-kay Chan , Chi-tat Wong , Yan-fai Lo , Yat-h Yeung , Yat-wing Lee. Hepatolithiasis and the Syndrome of Recurrent Pyogenic Cholangitis: Clinical, Radiologic, and Pathologic Features. Theme Medical Publishers. Semin Liver Dis [Internet] 2011 [ citado 20/11/2020 ]; 31(1): [aprox. 15 p].Disponible en:http://pubmed.ncbi.nlm.nih.gov/21344349/
11. Hennedige TP, Neo WT, Venkatesh SK. Imaging of malignancies of the biliary tract-an update. Cancer Imaging. [Internet] 2014.[citado 20/11/2020] ;14(1):[ aprox 14. p].Disponible en:http://www.ncbi.nlm.nih.gov/pmc/articles/PMC4331820/
12. Singla S, Warner AH, Jain A, Thomas RM, Karachristos A. Oriental cholangiohepatitis masquerading as cholangiocarcinoma: A rare presentation that surgeons need to know. Int J Surg Case Rep [Internet]. 2012 [ citado 20/11/2020];3(7): [aprox. 2 p ].Disponible en:http://www.ncbi.nlm.nih.gov/pmc/articles/PMC3356556/
13. Aloreidi K, Sethi P, Yeager T, Atiq M. Percutaneous Endoscopic Management for Oriental Cholangiohepatitis: A Case Report and a Brief Review of the Literature. Gastrointest Med [Internet]. 2017 [20/11/2020] ;2017 :[ aprox. 10 p].Disponible en:http://www.ncbi.nlm.nih.gov/pmc/articles/PMC5591995/
14. Torres OJM, Linhares MM, Ramos EJB, Amaral PCG, Belotto M, Lucchese AM, et al. Liver resection for non-oriental hepatolithiasis. Arq Bras Cir Dig [Internet]. 2019 [ citado 20/11/2020];32(4): [aprox. 17 p].Disponible en:http://www.ncbi.nlm.nih.gov/pmc/articles/PMC6918752/
Notas de autor
*Autor para la correspondencia: aimaravergarasantos@gmail.com
Declaración de intereses