Presentación de caso
Bucle vascular de la arteria cerebelosa antero inferior como causa de vértigo. Presentación de caso
Vascular loop of the antero-inferior cerebellar artery as a cause of vertigo. Case presentation
Bucle vascular de la arteria cerebelosa antero inferior como causa de vértigo. Presentación de caso
MediSur, vol. 19, núm. 5, pp. 872-876, 2021
Facultad de Ciencias Médicas de Cienfuegos, Centro Provincial de Ciencias Médicas Provincia de Cienfuegos.
Recepción: 12 Enero 2021
Aprobación: 27 Septiembre 2021
RESUMEN: La compresión vascular del nervio vestíbulo-coclear puede manifestarse con una sintomatología variada, incluyendo el vértigo, cuya causa, poco frecuente, son las asas vasculares. Se presenta el caso de un paciente del sexo masculino de 41 años, quien acudió a consulta en el Hospital General Universitario Dr. Gustavo Aldereguía Lima, de Cienfuegos, por presentar hipoacusia y acufenos del oído izquierdo, además vértigos. Se realizó una resonancia magnética simple que mostró un asa vascular en la arteria cerebelosa inferior anterior que ingresaba al conducto auditivo interno, lo cual explicaba la sintomatología. El paciente tuvo mejoría clínica después de tratamiento sintomático. Por lo poco común de la entidad se decidió la presentación del caso.
Palabras clave: enfermedades del nervio vestibulococlear, vértigo, imagen por resonancia magnética, clasificación de Chavda.
ABSTRACT: Vascular compression of the vestibule-cochlear nerve can manifest itself with a variety of symptoms, including vertigo, the cause of which is infrequent by vascular loops. We present the case of a 41-year-old male patient who came to the Dr. Gustavo Aldereguía Lima University General Hospital in Cienfuegos for hearing loss and tinnitus in the left ear, as well as dizziness. A simple MRI was performed that showed a vascular loop in the anterior inferior cerebellar artery that entered the internal auditory canal, which explained the symptoms. The patient had clinical improvement after symptomatic treatment. Due to the unusual nature of the entity, the presentation of the case was decided.
Key words: vestibulocochlear nerve diseases, vertigo, magnetic resonance imaging, Chavda classification.
INTRODUCCIÓN
El vértigo es una manifestación cortical producida por una alteración laberíntica o vestibular; el cual es definido como ilusión del movimiento del ambiente o del individuo; puede originarse a nivel central o periférico. (1,2
Se habla de vértigo periférico cuando está presente una lesión en el receptor o vías aferentes, las cuales incluyen las crestas ampollares o cualquier punto del laberinto posterior: utrículo, sáculo, ganglio de Scarpa del recorrido del nervio VIII. En este caso se suele presentar la triada clásica de hipoacusia perceptiva, acúfenos y vértigos; además de nistagmo y manifestaciones neurovegetativas. 3 Cuando las estructuras afectadas en la etiología del vértigo implican el tallo cerebral, el cerebelo o las conexiones vestíbulo-cerebelosas, se habla de vértigo de origen central. Dentro de esta clasificación también se incluyen los cuadros clínicos que sean explicados por la afección de estructuras supratentoriales, como el tálamo o la corteza cerebral.4
En 1975, Janetta describió el “síndrome de compresión vascular” como una entidad clínica caracterizada por la compresión de un nervio craneal por un vaso sanguíneo.5
La hipoacusia y el síndrome vertiginoso representan una parte importante de la clínica registrada en las consultas de los servicios de otorrinolaringología (ORL) de cualquier hospital. Es en este contexto en el que el radiólogo cobra un importante papel diagnóstico a través de los estudios mediante resonancia magnética (RM) de oído interno y fosa posterior. 6
El objetivo de este artículo es describir cómo se obtuvo el diagnóstico de un caso de bucle vascular de la arteria cerebelosa antero inferior, el tratamiento dado y su evolución, así como destacar lo poco frecuente de su diagnóstico mediante resonancia magnética en un paciente con vértigos.
PRESENTACIÓN DEL CASO
Paciente masculino de 41 años, sin antecedentes patológicos de interés que acudió a la consulta de otorrinolaringología del Hospital General Universitario Dr. Gustavo Aldereguía Lima, de Cienfuegos, por presentar hipoacusia y acufenos en el oído izquierdo, así como vértigos, desde hacía aproximadamente un año. No presentaba
otalgia ni otorrea.
No refirió antecedentes familiares ni personales de enfermedad ótica. La otoscopia resultó normal, al igual que la exploración vestibular. Se inició el estudio mediante pruebas audiológicas básicas, observándose una hipoacusia neurosensorial ligera unilateral de oído izquierdo.
Ante esta sintomatología, se le indicó una resonancia magnética de oído interno y fosa posterior.
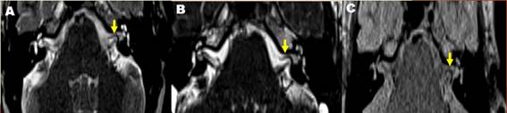
Se realizó una resonancia magnética nuclear (RMN) de oído interno mediante la que se observó un asa vascular en el ángulo pontocerebeloso izquierdo que ingresaba al conducto auditivo interno (CAI) en menos de 50 % de su longitud. Clasificación anatómica Chavda tipo II, formando un bucle entre el complejo del VII-VIII par craneal. (Fig. 1 y Fig. 2).


El paciente presentó mejoría clínica con tratamiento sintomático. Se mantiene en consulta, pues se decidió no realizar tratamiento quirúrgico en estos momentos.
Este caso aportó la importancia de la resonancia nuclear como medio diagnóstico en pacientes con esta sintomatología.
DISCUSIÓN
La anatomía del complejo neurovascular a nivel del ángulo pontocerebeloso (APC) es extremadamente variable, particularmente la relación entre los vasos de la fosa posterior y el complejo facial-vestibulococlear. Esta variabilidad se ha atribuido al desarrollo tardío de la arteria cerebelosa anteroinferior (ACAI) y la arteria cerebelosa posteroinferior (ACPI).7
La compresión vascular del nervio vestíbulo-coclear puede manifestarse con una sintomatología variada, incluyendo pérdida de audición, acúfenos, vértigo e inestabilidad. Entre las afecciones en las vías de transmisión, está descrito en varios trabajos que la compresión microvascular del nervio estatoacústico en el APC a consecuencia de trayectos aberrantes de la ACAI, ACPI o alguna de sus ramas puede producir dicha sintomatología.8
Los bucles vasculares consisten en cruces vasculares secundarios, fundamentalmente por un trayecto redundante de la arteria cerebelosa anteroinferior (AICA) o de algunas pequeñas venas. Estos bucles pueden producir compromiso de diferentes pares craneales (PC), principalmente del VIII PC. Aunque en unos casos puede tratarse de un hallazgo incidental, también pueden ser causa de acúfenos o de vértigo, aunque se han publicado artículos que no han demostrado la relación entre el cruce vascular y algunos síntomas como los acúfenos. 6
Las asas vasculares se presentan desde el nacimiento, y pueden ser asintomáticas o hacerse notorios clínicamente con el envejecimiento debido a la aterosclerosis, cuando las paredes, al ser más gruesas y rígidas, pueden llegar a comprimir el nervio. De igual forma, los nervios craneales se estiran con el envejecimiento por disminución del líquido cefalorraquídeo y por atrofia cerebral, llevando a un contacto anatómico entre una arteria y el nervio. 9
La introducción de la resonancia magnética nuclear (RMN) ha permitido visualizar adecuadamente el APC, siendo el método de elección para la evaluación del VII-VIII par craneal en pacientes con síntomas vestibulares y auditivos. 10,11 Es el método no invasivo más apropiado para la evaluación de la estructura microvascular en esa región. 12
Según la clasificación anatómica (Chavda) las asas vasculares son de 3 tipos:
Tipo I: situada sólo en el ángulo pontocerebeloso, pero no entra en el CAI.
Tipo II: entra, pero no se extiende a >50 % de la longitud de la CA.
TIPO III: s e extiende> 50 % de la CAI.13,14,15
A nivel quirúrgico, la descompresión microvascular ha sido descrita en algunos trabajos como un tratamiento efectivo, con unas tasas de éxito en torno al 80 % en algunos tipos de síndromes compresivos vestíbulococleares.16,17) No obstante, existen series donde los resultados no son tan positivos, con una mejoría no superior al 11 %.18 En consecuencia, dado que el tratamiento no es siempre aceptable, se deben excluir otras causas previamente a decidir la realización de la descompresión, la cual debe ser realizada siempre por manos expertas.19
La RM en el síndrome vertiginoso constituye uno de los estudios radiológicos más frecuentes utilizados. Los hallazgos patológicos, específicamente los bucles vasculares, son poco usuales; algunos casos incidentales, y con poco alcance en el tratamiento sintomático, pero el descubrimiento es importante para el manejo, para lo cual la RM sigue siendo una herramienta indispensable.
REFERENCIAS BIBLIOGRÁFICAS
1. Jalil JM, Castro MC, Pérez DP, Sánchez D, Martínez D. Perfil clínico y poblacional de pacientes con vértigo. Clínica Occidente de Otorrinolaringologia, Medellín, Colombia. Acta Otorrinolaringol Cir Cabeza Cuello. 2014;42(3):152-7.
2. Martínez Vila E, Riverol Fernández P, Irimia Sieira P. Síndrome vestibular central. Rev Med Univ Navarra. 2003;47(4):51-9.
3. Rivera Rodríguez T, Rodríguez Paradinas M. Síndrome vertiginoso. Medicine. 2007. ;9(91):5857-66.
4. Strupp M, Arbusow V. Acute vestibulopathy. Curr Opin Neurol. 2001;14:11-20.
5. Janetta PJ. Neurovascular cross-compression in patients with hyperactive dysfunction of the eighth cranial nerve. Sure Forum. 1975;26:467-9.
6. Martín Pérez MA, Marín Balbín M, Blanco Hernández R, Martín García I, Tabernerov Rico R, Gonzalo Domínguez M. Resonancia magnética en hipoacusia y vértigo. Rev ORL. 2017;8(1):31-46.
7. Wuertenberger CJ, Rosahl SF. Vertigo and Tinnitus Caused by Vascular Com-pression of the Vestibulocochlear Nerve, Not Intracanalicular Vestibular Schwannoma: Review and Case Presentation. Skull Base. 2009;19:417-24.
8. Bachor E, Selig Y, Jahnke K, Rettinger G, Karmody C. Vascular variations of the inner ear. Acta Otolaryngol. 2001;121(1):35-41.
9. Méndez Fandiño YR, López Sáenz LM, Moreno ManCipe C, Ochoa Sanabria CI, PeñalosaVillamizar DK, Pérez Hernández AJ. Vértigo como presentación clínica de asa vascular de la arteria cerebelosa antero inferior. Acta Med Colomb. 2018;43:226-9.
10. Schick B, Brors D, Koch O, Schäfers M, Kahle G. Magnetic resonance imaging in patients with sudden hearing loss, tinnitus and vertigo. Oto Neurotol. 2001;22(6):808-12.
11. Gultekin S, Celik H, Akpek S, Gumus T, Tokgos N. Vascular Loops at the Cerebellopontine Angle: Is there a Correlation with Tinnitus? AJNR. 2008;29(9): 1746-9.
12. Cicek E. The Analysis of the Relationship Between Subjective Tinnitus and Vascular Loop, and Age and Gender Distribution: An MRI Study. EJMO. 2018;2(4):231-7.
13. Reka D, Anand A, Kulasekaran N, Balachandran G, Elamparidhi P, Sibhithran R. Vascular Loops at Cerebellopontine Angle and Their Correlation with Otological Symptoms. International Journal of Anatomy, Radiology and Surgery. 2019;8(3): RO11-RO14.
14. Hyub Kim S, Rim Ju Y, Eun Choi J, Yun Jung J, Yoon Kim S, Young Lee M. Anatomical location of AICA loop in CPA as a prognostic factor for ISSNHL. Peer J. 2019;7:e6582.
15. Abreu Junior L, Kuniyoshi CH, Wolosker AB, Borri ML, Antunes A, Ota VKA, Uchida D. Vascular loops in the anterior inferior cerebellar artery, as identified by magnetic resonance imaging, and their relationship with otologic symptoms. Radiol Bras. 2016;49(5):300-4.
16. De Ridder D, Ryu H, Moller AR, Nowe V, Van de Heyning P, Verlooy J. Function-al anatomy of the human cochlear nerve and its role in microvascular decompressions for tinnitus. Neurosurgery. 2004;54:381-8.
17. Okamura T, Kurokawa Y, Ikeda N, Abiko S, Ideguchi M, Watanave K, et al. Microvascular decompression for cochlear symptoms. J Neurosurg 2000; 93(3):421-6.
18. Moller AR, Moller MB. Microvascular decompression operations. Prog Brain Res. 2007; 166:397-400.
19. Borghei-Razavi H, Darvish O, Schick U. Disabling Vertigo and Tinnitus Caused by Intrameatal Compression of the Anterior Inferior Cerebellar Artery on the Vestibulocochlear Nerve: A Case Report, Surgical Considerations, and Review of the Literature. J Neurol Surg Rep. 2014;75:47-51.
Notas de autor
*Autor para la correspondencia: masleidyvv@jagua.cfg.sld.cu
Declaración de intereses