Presentación de caso
Pansinusopatía complicada. Presentación de un caso
Complicated pansinusopathy. A case Presentation
Pansinusopatía complicada. Presentación de un caso
MediSur, vol. 19, núm. 4, pp. 690-697, 2021
Facultad de Ciencias Médicas de Cienfuegos, Centro Provincial de Ciencias Médicas Provincia de Cienfuegos.
Recepción: 30 Diciembre 2020
Aprobación: 30 Marzo 2021
RESUMEN: La sinusitis es una entidad frecuente dentro de las afecciones de los senos paranasales. Es un trastorno inflamatorio de la nariz, y uno o más de los senos paranasales; su diagnóstico es clínico. Las complicaciones de las sinusitis a nivel orbitario, óseo y endocraneal son una circunstancia poco usual, pero de gravedad extrema; en estas, la tomografía computarizada juega un rol indispensable para el diagnóstico y evolución, y en casos puntuales, la resonancia magnética puede ser muy oportuna. Se presenta el caso de un adolescente con edema palpebral derecho, proptosis moderada y signos de desorientación. El resultado de tomografía computarizada de cráneo y órbitas informó evidencias consistentes con complicaciones a causa de una pansinusopatía. La interpretación del estudio imagenológico fue fundamental para los diagnósticos y conducta inmediata.
Palabras clave: Enfermedades de los senos paranasales, sinusitis, tomografía computarizada por rayos X, adolescente.
ABSTRACT: Sinusitis is a frequent entity within the conditions of the paranasal sinuses. It is an inflamatory disorder of the nose, and one or more of the paranasal sinuses; its diagnosis is clinical. The complications of sinusitis at the orbital, bone and intracranial levels are an unusual circumstance, but extremely serious; in these, computed tomography plays an important role for diagnosis and evolution; in specific cases, magnetic resonance imaging can be very timely. The case of an adolescent with right eyelid edema, moderate proptosis and signs of disorientation is presented. The result of computed tomography of the skull and orbits reported evidence consistent with complications due to pansinusopathy. The interpretation of the imaging study was essential for the diagnosis and immediate conduct.
Keywords: Paranasal sinus diseases, sinusitis, tomography, x-ray computed, adolescent.
INTRODUCCIÓN
Los senos paranasales constituyen un asiento frecuente de procesos inflamatorios que pueden estar infectados aisladamente o en todo su conjunto, lo que se conoce como pansinusitis. Por su alta incidencia y amplia variedad, las afecciones de los senos paranasales son parte cotidiana en la atención médica de los servicios de otorrinolaringología y de los cuerpos de guardia de hospitales pediátricos.1
La sinusitis es una de las entidades que con más frecuencia encuentra el médico dentro del grupo de afecciones de los senos paranasales. Es un trastorno inflamatorio de la nariz y uno o más de los senos paranasales.2
La sinusitis aguda se presenta como complicación de infecciones respiratorias altas o como una manifestación de alergia respiratoria. No son necesarias las imágenes para el diagnóstico de la rinosinusitis aguda bacteriana no complicada; su uso se reserva solo frente a la sospecha de complicaciones (compromiso orbitario o del SNC).3
Las complicaciones de las sinusitis a nivel orbitario, óseo y endocraneal, son una circunstancia infrecuente, pero de gravedad extrema. La complicación más frecuente es la extensión de la afectación a la órbita.
El estudio mediante tomografía computarizada multicorte con contraste intravenoso de senos paranasales y órbitas es de elección, ante la sospecha de complicaciones; e incluirá la observación de la fosa craneal anterior y media, en las primeras 24h del ingreso del paciente, con vistas al diagnóstico y tratamiento precoces, y evitar así secuelas irreversibles.4,5
La resonancia magnética (RM) no se utiliza habitualmente como primera opción en el estudio de la patología nasosinusal, sino que suele ser complementaria a la tomografía computarizada (TC). El mayor inconveniente, sin considerar su alto coste y escasa disponibilidad, es que es incapaz de discriminar de forma adecuada la interfase tejido-aire, y por lo tanto, es inadecuada para realizar el mapa prequirúrgico e identificar engrosamientos sutiles de la mucosa. Además, puede dar una imagen de falsa aireación cuando el contenido mucoso es altamente proteico.6,7
El objetivo del presente informe de caso es describir los hallazgos tomográficos resultantes del estudio imagenólogico de un caso de pansinusopatía complicada.
PRESENTACIÓN DEL CASO
Se presenta el caso de un paciente masculino, color blanco de la piel, de 17 años de edad, procedencia rural, situación socio-económica desfavorable, desvinculado de los estudios desde hacía cinco años (los familiares, aunque poco colaboradores con el interrogatorio, refirieron que “apenas aprendía”) y con antecedentes de salud aparente, quien fue traído a cuerpo de guardia del Hospital Pediátrico de Cienfuegos, por proceso inflamatorio en la órbita derecha, acompañado de dolor, visión nula, cefalea, mareos y astenia. Se ingresó en unidad de cuidados intensivos, acompañado por la madre.
Se precisaron al examen físico: edema palpebral derecho, proptosis moderada y signos de desorientación, por lo que se decidió realizar con urgencia TC de cráneo y órbitas.
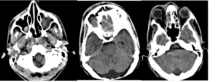
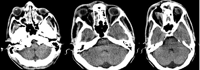
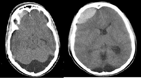
El estudio informó ausencia de línea de fractura; todas las cavidades que conforman los senos paranasales, exceptuando seno esfenoidal, se encontraban prácticamente ocupadas por material hiperdenso de aspecto inflamatorio, con formación de nivel en seno maxilar derecho y varios niveles en senos frontales, evidencias relacionadas con pansinusopatía. Se visualizó, además, proptosis del globo ocular de este lado, con aumento de la grasa alrededor del párpado y de la órbita, acompañado de colección con nivel hidroaéreo en la cara interna de la órbita, a nivel de los tejidos blandos subperiósticos, con erosión de la pared de las celdillas etmoidales contiguas y pared posterolateral derecha del seno frontal, presencia de gas periorbitario y perinasal anterior, con el aspecto de celulitis preseptal y orbitaria con absceso subperióstico y enfisema subcutáneo. A nivel de fosa posterior, fue visible un ensanchamiento del espacio subaracnoideo, con un IV ventrículo normal, por la presencia de una megacisterna magna (Fig. 1 y Fig. 2). En cortes a nivel de la región supratentorial se evidenció ligero borramiento de surcos y circunvoluciones por signos de hipertensión endocraneana (HTE). En la porción anterosuperior de la región frontal derecha se observó, además, imagen hiperdensa, de márgenes bien definidos, convexa hacia el parénquima cerebral, con grosor máximo de 23 mm, sin edema perilesional, la cual provocaba efecto de masa con compresión del asta frontal del sistema ventricular ipsilateral y desplazamiento 9 mm de estructuras de la línea media, por colección epidural (Fig. 3).
Todos estos hallazgos tomográficos condujeron a la siguiente impresión diagnóstica: Colección epidural, signos de HTE, celulitis orbitaria y absceso subperióstico secundarios a pansinusopatía complicada; megacisterna magna. El paciente fue intervenido quirúrgicamente, con evolución clínica favorable, a pesar de la pérdida de visión del ojo afectado.



DISCUSIÓN
Los estudios imagenológicos (TC y RM) juegan un rol fundamental en el diagnóstico y abordaje temprano de las complicaciones que se pueden presentar en estos pacientes, así como en hallazgos de entidades concomitantes al proceso agudo.
Varios autores apuntan, además, que la TC posee una excelente capacidad para el diagnóstico de las complicaciones de la rinosinusitis: define las interfases hueso-aire; permite hacer un mapa anatómico general del área en evaluaciones prequirúrgicas; la presencia de un seno opacificado por material hiperdenso es usualmente un signo de benignidad; por lo general, las lesiones tumorales no son hiperdensas; típicamente, la hiperdensidad puede estar generada por secreciones secas, sangre o enfermedad fúngica.1,8
En RM, en casos de sinusitis aguda, los hallazgos típicos son engrosamiento inespecífico de la mucosa, edema submucoso, niveles hidroaéreos o cúmulo de secreciones en los senos paranasales; hipointensos en T1 e hiperintensos en T2. Un nivel hidroaéreo en el seno como único hallazgo es bastante característico de la sinusitis aguda, pero no está presente en todoslos pacientes.9 La distribución puede dar una pista sobre la causa de la enfermedad aguda; así la sinusitis alérgica es generalmente más difusa y la bacteriana suele ser más localizada o asimétrica.10
La RM es más sensible en la detección del engrosamiento de la mucosa que la TC.9 Se puede considerar normal un engrosamiento de la mucosa de hasta 3 mm en los senos maxilares en pacientes sanos, considerándose anormal cualquier engrosamiento en la mucosa de los senos frontales y esfenoidales. Los hallazgos más frecuentes en el caso de sinusitis crónica son: el engrosamiento de la mucosa, cambios en el hueso adyacente, o incluso adelgazamiento del mismo (valorables mediante TC) y cúmulo de secreciones con alto contenido proteico que normalmente se apreciará hiperintenso en T1 (dependiendo de la proporción de proteínas en las secreciones). Las calcificaciones no son frecuentes, y cuando se ven, suelen ser periféricas y dispersas; las redondas o en “cáscara de huevo” son más habituales en pacientes con rinosinusitis crónica inflamatoria.6 Si el engrosamiento mucoso no realza tras la administración de contraste, hay que pensar en una fase fibrótica con áreas cicatriciales, y no en un proceso inflamatorio-infeccioso activo.9
La órbita es la estructura más comúnmente afectada por extensión de la rinosinusitis (3 % de las rinosinusitis aproximadamente). El origen más común es a partir del seno etmoidal.4,8 La celulitis orbitaria (CO) y preseptal (CP) se presentan con edema, eritema y aumento de calor local del párpado; la CP es una infección que no suele ocasionar grandes complicaciones; por el contrario, la CO puede conllevar complicaciones graves, como son la pérdida de agudeza visual o la infección del sistema nervioso central. La CO se diferencia de la CP por la presencia de ciertas características clínicas, como son la oftalmoplejía, el dolor a la movilización ocular y la proptosis.11,12
La CP es más común que la CO. Ambas entidades son más frecuentes en la edad pediátrica que en la adulta. La CO suele surgir como complicación por contigüidad (en más del 60 % de los casos) de una sinusitis bacteriana aguda o crónica, y la CP, por lesiones de la piel y conjuntiva.13 Otras causas de CO menos frecuentes pueden ser: por extensión de procesos infecciosos de estructuras periorbitarias (dacriocistitis, infección dental); por causas exógenas (trauma y cirugía orbital y periorbitaria); causas endógenas (bacteriemia con embolización séptica) y causas intraorbitarias (endoftalmitis y dacrioadenitis).12
Dentro de las complicaciones de las CO se encuentran las extracraneales (absceso orbitario u osteomielitis) e intracraneales (empiema epidural o subdural, absceso cerebral, meningitis o trombosis del seno cavernoso). Estas son poco frecuentes, pero han de tenerse en cuenta por su gravedad, pues pueden conllevar secuelas neurológicas, e incluso, la muerte.14,15
La CO se presenta en TC como un aumento de la densidad de la grasa orbitaria acompañada de CP (engrosamiento y aumento de la densidad de la grasa del párpado); también puede aparecer como complicación local de un absceso subperióstico que se visualiza a modo de aumento de la densidad de los de tejidos blandos, adyacente a la lámina papirácea, ubicado en la pared medial o superior de la órbita, con forma biconvexa.16
El paciente objeto de la presentación presentó también, dentro de sus complicaciones, un hematoma epidural (HE). La causa más frecuente de HE es el traumatismo craneoencefálico, con fractura del hueso temporal (90 % de los casos) que supone la sección de la arteria meníngea media, o algo menos frecuentemente, de la vena meníngea media. Un signo clásico de esta lesión es la pérdida inicial de conocimiento que da paso a un “intervalo lúcido”, experimentado en el 50 % de los pacientes antes de sufrir un deterioro neurológico de rápida evolución, debido frecuentemente a una herniación uncal.17) El HE epidural espontáneo no traumático es raro, y posiblemente secundario a enfermedad infecciosa, malformaciones vasculares, coagulopatías o tumores hemorrágicos.18
La TC supone la técnica de imagen de primera elección para diagnosticar una colección intracraneal, por ser un procedimiento rápido, relativamente sencillo, no invasivo y de gran fiabilidad en la mayoría de las ocasiones. Posee también la ventaja de que permite describir con precisión las fracturas óseas, que en muchos casos acompañan a los traumatismos craneales. La TC pierde eficacia diagnóstica en caso de hemorragias muy pequeñas, o cuando afecta a la parte inferior del tronco-encéfalo o a la fosa posterior, donde la RM tiene mayor sensibilidad. Generalmente basta con realizar una TC de cráneo sin contraste intravenoso. Los HE suelen presentar una morfología de masa hiperdensa biconvexa, con límites bien definidos y que se dispone adyacente a la línea de fractura, si la hay. Su localización preferente es la región temporo-parietal, seguida de la frontal y fosa posterior (este último es el sitio habitual cuando la rotura es venosa). El sangrado comprime el parénquima cerebral adyacente, y provoca importante efecto de masa, y con frecuencia puede dar lugar a una herniación cerebral. El sangrado no cruza suturas, pero sí la hoz cerebral (anterior para la colección epidural)16y el tentorio.
Por último, en este joven paciente la TC describió una megacisterna amplia, entidad consistente en una malformación congénita. Estas pueden extenderse lateral, superior y posteriormente más allá de sus límites anatómicos, y comunicarse libremente con el espacio subaracnoideo perimedular. Ocasiona más de la mitad de las malformaciones quísticas de la fosa posterior, que bien puede conservar un tamaño normal o estar agrandada con elevación del tentorio. El IV ventrículo y el cerebelo son normales. En ocasiones puede ser asimétrica y producir un efecto de masa, simulando un quiste aracnoideo.
En el estudio de Langarica y colaboradores se plantea considerar la posibilidad de que, tanto la megacisterna como el trastorno psicótico sean la expresión de una alteración subyacente en el neurodesarrollo, apoyados en que un subgrupo de pacientes con trastornos psicóticos, y más particularmente con esquizofrenia, existe una serie de sutiles alteraciones cerebrales que son la expresión de anomalías del desarrollo de la línea media cerebral, tales como dilatación de los ventrículos laterales, anomalías del cuerpo calloso, atrofia del hipocampo, y la presencia del cavum septum pelucidum.19
Otra posibilidad alternativa es considerar a las alteraciones del neurodesarrollo (en el caso presentado, la megacisterna magna) como un factor de riesgo más entre los muchos conocidos, de presentar un trastorno psicótico, o incluso, otros trastornos mentales; lo cual tiene perfecta correspondencia con este paciente, dadas las características descritas en cuanto a su comportamieto.
En el caso en cuestión se trataba primariamente de un diagnóstico de pansinusopatía crónica, mal tratada (falta de atención y seguimiento), con agudización del cuadro, sin tratamiento, que concomitaban con una malformación congénita de fosa posterior; por lo cual se desarrollaron complicaciones múltiples derivadas de ello. La interpretación del estudio de TC fue fundamental para los diagnósticos y conducta inmediata.
REFERENCIAS
. Zayas D, Herrera M, Vera M. Caracterización epidemiológica, clínica y tomográfica de pacientes con afecciones no traumáticas de los senos paranasales. Artículo original. MEDISAN[Internet]. 2018[citado 20/02/2021];22(4):[aprox. 15p]. Disponible en: http://www.medisan.sld.cu/index.php/san/article/view/1780/html
. Angulo G, Vivar E, Vargas A, López E. Prevalencia, localización y severidad tomográfica de rinosinusitis crónica en adultos con inmunodeficiencia común variable: prevalencia y severidad tomográfica. Rev Alergia México[Internet]. 2015[citado 20/02/2021];62(1):[aprox. 8p]. Disponible en: Disponible en: https://revistaalergia.mx/ojs/index.php/ram/article/view/55/102
. Pavez D, Pérez R, Rodríguez J, Cofré J. Recomendaciones para el diagnóstico y tratamiento antimicrobiano de la rinosinusitis aguda bacteriana en pediatría. Rev Chilena Infectol. 2019;36(1):78-82.
. Azuara E. Sinusitis. Sus complicaciones en los niños. Acta Pediátrica México[Internet]. 2020[citado 20/02/2021];21(5):[aprox. 6p] Disponible en: Disponible en: http://repositorio.pediatria.gob.mx:8180/bitstream/20.500.12103/1414/1/ActPed2000-39.pdf
. Martínez KS. Correlación clínica, imagenológica e histopatológica de las tumoraciones de nariz y senos paranasales en el servicio de Otorrinolaringología, Hospital Escuela Antonio Lenín Fonseca, Octubre de 2015-Noviembre de 2017[Internet]. Managua: Universidad Nacional Autónoma de Nicaragua; 2018[citado 20/02/2021]. Disponible en: Disponible en: http://repositorio.unan.edu.ni/10246/1/99343.pdf
. Blanco R, Martín I, Tabernero RD Gonzalo M, Hernández C, Martín MA. Resonancia magnética en el diagnóstico y seguimiento de la patología nasosinusal. Revista ORL[Internet]. 2017[citado 20/02/2021];8(2):[aprox. 25p]. Disponible en: Disponible en: https://revistas.usal.es/index.php/2444-7986/article/view/orl201782.14827
. Huang BY, Senior BA, Castillo M. Current Trends in Sinonasal Imaging. Neuroimaging Clin N Am. 2015;25(4):507-25.
. Canales DM. Variantes anatómicas de la cavidad nasal y senos paranasales de pacientes con sinusitis crónica, mediante Tomografía computarizada Multicorte, en el Departamento de Imagenología del Hospital Dr. Fernando Vélez Paíz, en el período Enero-Noviembre 2019[Internet]. Managua: Universidad Nacional Autónoma de Nicaragua; 2020[citado 20/02/2021]. Disponible en: Disponible en: http://repositorio.unan.edu.ni/13942/
. Joshi VM, Sansi R. Imaging in Sinonasal Inflammatory Disease. Neuroimaging Clin N Am. 2015;25(4):549-68.
. Calderón FA, Zatarain L, Peraza F. Prevalencia de patología inflamatoria rinosinusal mediante tomografía computarizada en la unidad de imagen del Hospital Civil de Culiacán. Rev Med UAS[Internet]. 2021[citado 23/03/2021];11(2):[aprox. 24p]. Disponible en: http://hospital.uas.edu.mx/revmeduas/articulos/v11/n2/rinosinusal.pdf
. Daoud Z, Lupiani MP, Ramos JT. Celulitis orbitaria y periorbitaria (v.2/2020) Guía_ABE. Infecciones en Pediatría. Guía rápida para la selección del tratamiento antimicrobiano empírico[Internet]. Madrid: Guía-ABE; 2020[citado 23/03/2021]. Disponible en: Disponible en: https://www.guia-abe.es/files/pdf/Celulitis%20orbitaria%20y%20periorbitaria.pdf
. Cortés F, Quesada JV. Celulitis Preseptal y Orbitaria. Revista Médica Sinergia[Internet]. 2018[citado 20/02/2021];3(11):[aprox. 6p]. Disponible en: https://revistamedicasinergia.com/index.php/rms/article/view/150/373
. Yero O, Rodríguez M, Rodríguez ME, Abreu Y. Celulitis orbitaria secundaria a sinusitis. Medisur[Internet];2018[citado 20/02/2021];16(6):[aprox. 8p]. Disponible en: http://www.medisur.sld.cu/index.php/medisur/article/view/4094/2691
. Spini R, Cruz D, Fernández L, Urquiola F. Complicación orbitaria recurrente por rinusinusitis. Reporte de un caso. Arch Argent Pediatr. 2019;117(6):670-5.
. Ruíz JD, Vázquez E, Mercado MC. Celulitis orbitaria complicada por absceso subperióstico debido a infección por Streptococus pyogenes. Bol Méd Hosp Infant Méx. 2017;74(2):134-40.
. Dankbaar J, van Bemmel A, Pameijer FA. Imaging findings of the orbital and intracranial complications of acute bacterial rhinosinusitis. Insights Imaging. 2015;6(5):509-18.
. Miras JA, Díaz L, Muñoz AM. Diagnóstico radiológico de los distintos tipos de hematoma intracraneal en el paciente con traumatismo craneoencefálico. Revisión del tema. Seram[Internet]. 2018[citado 20/02/2021];(34 Congreso de la Seram):[aprox. 50p]. Disponible en: https://piper.espacio-seram.com/index.php/seram/article/view/1688/856
. Martens V, Bravo S. Tomografía computarizada como método diagnóstico de elección en los traumatismos craneoencefálicos. Salud & Ciencias Médicas[Internet]. 2021[citado 20/02/2021];1(1):[aprox. 14p]. Disponible en: https://saludycienciasmedicas.uleam.edu.ec/index.php/salud/article/view/14/8
. Langarica M, Peralta V. Psicosis asociada a megacisterna magna. Anales Sis San Navarra[Internet]. 2005[citado 20/02/2021];28(1):[aprox. 6p.]. Disponible en: https://scielo.isciii.es/scielo.php?script=sci_arttext&pid=S1137-66272005000100012&lng=es&nrm=iso&tlng=es
Notas de autor
*Email: juancarlosgv@nauta.cu
Declaración de intereses