Presentación de caso
Gigantismo acromegaloide. Presentación de un caso
Acromegaloid gigantism. Case presentation
Gigantismo acromegaloide. Presentación de un caso
MediSur, vol. 20, núm. 1, pp. 154-159, 2022
Facultad de Ciencias Médicas de Cienfuegos, Centro Provincial de Ciencias Médicas Provincia de Cienfuegos.
Recepción: 02 Mayo 2021
Aprobación: 06 Diciembre 2021
RESUMEN: Tanto el gigantismo como la acromegalia pueden deberse a una secreción excesiva de hormona del crecimiento por parte de la hipófisis anterior. Cuando los afectados son jóvenes en edades próximas al cierre de los cartílagos se manifiestan signos y síntomas de gigantismo y de acromegalia. Se presenta el caso de un paciente masculino de 20 años de edad atendido en el Servicio de Endocrinología del Hospital Gustavo Aldereguia Lima de Cienfuegos con manifestaciones clínicas de alta talla, crecimiento acral e hipertensión arterial. Se le realizó prueba de tolerancia oral a la glucosa que midió hormona de crecimiento y confirmó el exceso hormonal. La resonancia magnética contrastada con gadolinio informó macroadenoma hipofisario. Se diagnosticó como gigantismo acromegaloide por un tumor hipofisario productor de hormona del crecimiento. Se realizó exéresis del macroadenoma, con evolución favorable. Es indiscutible la importancia del diagnóstico precoz de esta enfermedad, pues acorta la esperanza de vida, aumenta la mortalidad global no solo por la hipersecreción hormonal, sino también por el efecto de masa del tumor.
Palabras clave: gigantismo, acromegalia, diagnóstico precoz, informes de casos.
ABSTRACT: Both gigantism and acromegaly can be due to excessive secretion of growth hormone by the anterior pituitary. When those affected are young, close to cartilage closure, signs and symptoms of gigantism and acromegaly appear. The case of a 20-year-old male patient treated in the Endocrinology Service of the Gustavo Aldereguia Lima Hospital in Cienfuegos with clinical manifestations of tall stature, acral growth and arterial hypertension is presented. An oral glucose tolerance test was performed that measured growth hormone and confirmed the excess of hormones. Gadolinium-enhanced MRI reported pituitary macroadenoma. It was diagnosed as acromegaloid gigantism due to a growth hormone-producing pituitary tumor. The macroadenoma was excised, with a favorable evolution. The importance of early diagnosis of this disease is indisputable, since it shortens life expectancy, increases global mortality not only due to hormonal hypersecretion, but also due to the mass effect of the tumor.
Key words: gigantism, acromegaly, early diagnosis, case reports.
INTRODUCCIÓN
Los niveles elevados de hormona del crecimiento (GH, por sus siglas en inglés) en forma crónica establecen un cuadro clínico característico que depende del momento en que se inicie la hiperfunción. Si dicha elevación ocurre en la niñez o adolescencia temprana, cuando aún el cartílago de crecimiento esta funcionalmente activo, se conoce como gigantismo; si la hiperfunción de GH se presenta en la edad adulta, cuando ya está cerrado el cartílago de crecimiento, ocasiona el cuadro conocido por acromegalia. Existe una variante clínica entre ambas y es cuando los afectados son jóvenes en edades próximas al cierre de los cartílagos que manifiestan signos y síntomas de las dos entidades y se denomina gigantismo acromegaloideo.1,2,3
Más del 75 % de los adenomas hipofisarios que se diagnostican en pacientes en edad pediátrica o en edad inferior a los 21 años son hormonalmente activos. Los adenomas hipersecretores de GH son los segundos en frecuencia después de los prolactinomas y originan los síndromes de gigantismo y acromegalia. Ambas alteraciones afectan en igual proporción a hombres y mujeres y suelen diagnosticarse después de cuatro años de su inicio, debido a su lenta evolución.4,5
El diagnóstico se establece con criterios clínicos, pero requiere confirmarse con estudios bioquímicos y de imagen para determinar el volumen y extensión del adenoma. La cirugía transesfenoidal es el tratamiento de primera elección, además de radioterapia y medicamentos. La importancia estriba en la relevancia del diagnóstico y el abordaje multidisciplinario de la enfermedad.6,7,8Por tales razones se decidió presentar el presente caso.
PRESENTACIÓN DEL CASO
Paciente masculino, de 20 años de edad, con antecedentes patológicos personales de hipertensión arterial e hipertensión ocular bilateral con tratamiento de timolol. Acude a consulta de Endocrinología del Hospital General Universitario Gustavo Aldereguia Lima de Cienfuegos por una alta talla. Al interrogatorio el paciente refiere que ha notado aumento de peso e incremento de la talla.
Al examen físico se constató:
Fascie acromegálica con macroquelia, macroglosia, nariz ancha y gruesa, prominencia de los arcos superciliares. Aumento de volumen de manos y pies con dedos engrosados.
Tiroides: bocio grado 1b
Peso: 56 kg.
Talla:1,87 cm.
IMC:23,6 kg/m2
Se realizaron exámenes complementarios. (Tabla 1).

Se realizó:
Rayos X de tórax: índice cardiotorácico normal. No lesiones pleuropulmonares.
Rayos X de almohadilla plantar: con espesor de 34 mm.
Perfilograma: Aumento de volumen de partes blandas.
Ultrasonido de tiroides: lóbulo derecho mide 18,2 mm x 21,3 mm x 35,3 mm.; vol. 7,3 cc, Lóbulo izquierdo 19,4 mm x 19 mm x 33,8 mm vol. 4,7 cc, istmo 5,3 mm.
EKG bradicardia sinusal
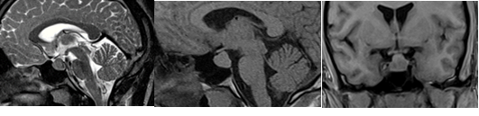
En la resonancia magnética de hipófisis contrastada con gadolinio se observó imagen hiperintensa de 14x15x11 mm, a nivel de la hipófisis. (Figura 1).

Se concluyó como un gigantismo acromegaloide por macroadenoma productor de hormona del crecimiento.
Se realizó exéresis del macroadenoma productor de GH, con evolución favorable y sin complicaciones quirúrgicas.
A los tres meses de realizada la cirugía se repitieron los exámenes complementarios. (Tabla 2).

Rayos X de almohadilla plantar: con espesor de 25 mm.
Resonancia magnética: Aracnoidocele, no tumor selar.
La evolución fue satisfactoria.
DISCUSIÓN
Los adenomas hipofisarios son tumores, en su mayoría, de aparición esporádica y benignos; parecen tener un origen monoclonal. Aunque la mayoría de los adenomas hipofisarios son de aparición esporádica, existen formas familiares ligados a mutaciones que determinan una predisposición familiar al desarrollo de estos tumores.9
Más del 75 % de los adenomas hipofisarios que se diagnostican en pacientes en edad pediátrica o en edad inferior a los 21 años son hormonalmente activos. Los adenomas productores de GH constituyen el 10 % de los adenomas operados en menores de 20 años.10
Los adenomas hipofisarios que se desarrollan en los niños antes de completar el crecimiento provocan gigantismo. El gigantismo hipofisario es muy raro, en una amplia serie de 2 367 niños y adolescentes con adenomas hipofisarios, solo el 0,6 % presentaban gigantismo.2 Suelen ser varones, con edad media de 13,4 años.10La clínica principal viene dada por el excesivo crecimiento longitudinal de los huesos fundamentalmente de crecimiento acral.11
El diagnóstico de los adenomas hipofisarios funcionantes en la edad infanto-juvenil se realiza por la presencia de los síntomas típicos relacionados con el exceso hormonal, la demostración de la secreción excesiva o inapropiada de la hormona y, finalmente, tras la confirmación bioquímica del exceso de GH debe realizarse una resonancia magnética del área hipotálamo-hipofisaria a fin de confirmar el origen del exceso de GH. La demora en el diagnóstico se asocia con mala calidad de vida y peores resultados en la resolución de las morbilidades. 4,7
El tratamiento de elección es la cirugía transesfenoidal. El éxito es del 60-91 % para los microadenomas, que desciende a 40-65 % para los macroadenomas. Las complicaciones son mínimas (<3 %), con mortalidad inferior al 0,5 %; hipopituitarismo <3 % y diabetes insípida transitoria en un 30 % de los casos.12,13
REFERENCIAS BIBLIOGRÁFICAS
Pereira Despaigne OL, Palay Despaigne MS, Rodríguez Cascaret A. Acromegalia: diagnóstico y tratamiento. Medisan[Internet]. 2015[citado 5/11/2020];19(3):[aprox. 5p.]. Disponible en: http://scielo.sld.cu/scielo.php?script=sci_arttext&pid=S1029-30192015000300013
Cordido F, García JA, Marazuela M, Torres E. Grupo de Neuroendocrinología de la Sociedad Espaola de Endocrinología y Nutrición. Guía práctica de diagnóstico ytratamiento de la acromegalia. Endocrinol Nutr. 2013;60(8):457-78. Disponible en: https://www.elsevier.es/es-revista-endocrinologia-nutricion-12-articulo-guia-practica-diagnostico-tratamiento-acromegalia-S1575092213000934
Ceballos Macías JJ, Mendizálbal Méndez AL, Rodríguez Benítez HG. Acromegalia-gigantismo: reporte de un caso y revisión bibliográfica. Rev Sanid Milit Mex. 2015;69:483-93.
Leal Cerro A. Tumores hipofisarios funcionantes en la edad pediátrica. Rev Esp Endocrinol Pediatr. 2014; 5(Suppl]:17-18.
Blanco Carrera C, Fernández Fernández C, Escribano Taioli P. Adenomas funcionantes de la hipófisis. Medicine. 2016;12(15):838-49.
Rojas D. Manejo de los tumores de hipófisis. Revista Médica Clínica Las Condes. 2017;28(3):409-19.
Romero Paiffer I, Tamayo Rodríguez W, Odou Cobian JR. Presentación de un adolescente con gigantismo. CCM[Internet]. 2016[citado 23/8/2019];20(1):[aprox. 9 p.]. Disponible en: http://scielo.sld.cu/scielo.php?script=sci_abstract&pid=S1560-43812016000100017&lng=es&nrm=iso
Pereira Despaigne OL, Palay Despaigne MS, Rodríguez Cascaret A. Sánchez G. Acromegalia: diagnóstico y tratamiento. Medisan[Internet]. 2015[citado 23/8/2019]; 19(3):[aprox. 11 p.]. Disponible en: http://scielo.sld.cu/scielo.php?script=sci_arttext&pid=S1029-30192015000300013
Castaño L, Martínez I, Portillo N, Rica I. Adenomas hipofisarios: impacto clínico de los hallazgos moleculares. Rev Esp Endocrinol Pediatr. 2017;8(Suppl):35-45.
Gracia Bouthelieer R, Barreda Bonis AC. Patología del tallo. Tumores adenohipofisarios. Rev Esp Endocrinol Pediatr. 2010;1(Suppl):55-66.
Buitrago LA, Pardo D, Lozano A, Benítez B, Carbajal M. Resección de adenomas hipofisiarios. Rev CSV. 2017;9(2):104-11.
Núñez Delgado N. Acromegalia. Revista Médica de Costa Rica y Centroamérica. 2018;873(620):485-90.
Melgar V, Espinosa E, Cuenca D, Valle V, Mercado M. Diagnóstico y tratamiento actual de la acromegalia. Rev Med Inst Mex Seguro Soc. 2015;53(1): 74-83.
Notas de autor
*Autor para correspondencia: elodiara@minsap.cfg.sld.cu
Declaración de intereses