Revisión bibliográfica
Inteligencia artificial explicable, una perspectiva al problema de la clasificación automática de COVID-19 mediante radiografías de tórax
Explainable artificial intelligence, a perspective to the automatic classification of COVID-19 through chest X-rays problem
Inteligencia artificial explicable, una perspectiva al problema de la clasificación automática de COVID-19 mediante radiografías de tórax
MediSur, vol. 20, núm. 2, pp. 341-351, 2022
Facultad de Ciencias Médicas de Cienfuegos, Centro Provincial de Ciencias Médicas Provincia de Cienfuegos.
Recepción: 10 Enero 2022
Aprobación: 27 Enero 2022
RESUMEN: Esta investigación pretende dilucidar, a partir del análisis de técnicas de inteligencia artificial explicables, la robustez y el nivel de generalización de los métodos de visión por computadora propuestos para identificar COVID-19 utilizando imágenes de radiografías de tórax. Asimismo, alertar a los investigadores y revisores sobre el problema del aprendizaje por atajos. En este estudio se siguen recomendaciones para identificar si los modelos de clasificación automática de COVID-19 se ven afectados por el aprendizaje por atajos. Para ello, se revisaron los artículos que utilizan métodos de inteligencia artificial explicable en dicha tarea. Se evidenció que al utilizar la imagen de radiografía de tórax completa o el cuadro delimitador de los pulmones, las regiones de la imagen que más contribuyen a la clasificación aparecen fuera de la región pulmonar, algo que no tiene sentido. Los resultados indican que, hasta ahora, los modelos existentes presentan el problema de aprendizaje por atajos, lo cual los hace inapropiados para ser usados en entornos clínicos.
Palabras clave: inteligencia artificial, clasificación, radiografía torácica, COVID-19.
ABSTRACT: This research aims to elucidate, from the analysis of explainable artificial intelligence techniques, the robustness and level of generalization of the proposed computer vision methods to identify COVID-19 using chest X-ray images. Also, alert researchers and reviewers about the problem of learning by shortcuts. In this study, recommendations are followed to identify if the automatic classification models of COVID-19 are affected by shortcut learning. To do this, articles that use explainable artificial intelligence methods were reviewed. It was shown that when using the full chest X-ray image or the bounding box of the lungs, the regions of the image that contribute the most to the classification appear outside the lung region, something that does not make sense. The results indicate that, so far, the existing models present the problem of learning by shortcuts, which makes them inappropriate to be used in clinical settings.
Key words: artificial intelligence, classification, radiography, thoracic, COVID-19.
INTRODUCCIÓN
El coronavirus SARS-CoV-2 es un nuevo tipo de coronavirus que puede afectar a las personas y que se detectó por primera vez en diciembre de 2019 en la ciudad de Wuhan, provincia de Hubei, en China. Desde marzo de 2020 esta enfermedad por coronavirus (COVID-19) fue declarada por la Organización Mundial de la Salud (OMS) como pandemia. Una de sus características es el alto nivel de contagio, lo que ha provocado su llegada a casi todas las latitudes del planeta. Hasta la fecha, se han reportado más de 212 millones de personas infectadas y más de 4,4 millones han muerto 1.
El estándar dorado para diagnosticar el COVID-19 es la identificación del ARN viral mediante la reacción en cadena de la polimerasa con transcripción inversa (RT-PCR, por sus siglas en inglés). Sin embargo, este método tiene algunas limitaciones. Una de ellas es su modesto rendimiento diagnóstico y el retraso en la obtención de resultados. Es decir, la toma de muestras introduce una variabilidad muy elevada, dependiendo del lugar, el personal y la carga viral del individuo en ese momento.2 Por tanto, la prueba disminuye su sensibilidad si no se aplica en un periodo de tiempo determinado.3,4
La rápida propagación del coronavirus y los graves efectos que provoca en el ser humano hacen imprescindible el diagnóstico precoz de la enfermedad.5 El hecho de que el COVID-19 manifieste alteraciones pulmonares ha llevado a un gran número de estudios a basarse en el análisis de imágenes radiográficas de tórax para determinar su presencia.3 Sin embargo, prestigiosas sociedades radiológicas han manifestado que este tipo de imágenes no deben ser utilizadas como método diagnóstico.6,7
Por otro lado, se ha publicado un gran número de trabajos basados en visión por computadora que identifican COVID-19 a partir de radiografías de tórax. 8,9,10,11 Estos trabajos alcanzan índices de rendimiento muy superiores a los reportados por los especialistas humanos. La mayoría de estas investigaciones se basan en técnicas de aprendizaje profundo (DL, Deep Learning). No obstante, una de las limitaciones de las técnicas basadas en DL se conoce como aprendizaje de atajos.12 Es decir, los modelos aprenden características que logran separar correctamente las clases, pero lo hacen basándose en características espurias. Por tanto, aprenden características que no se relacionan con la etiqueta que se intentan predecir. Este defecto lleva a que los modelos tengan tasas de rendimiento muy altas cuando se evalúan sobre conjuntos que provienen de la misma distribución. Sin embargo, no ocurre lo mismo cuando la evaluación se realiza sobre un conjunto que no procede de la misma distribución.
Esta investigación se centra en la revisión de artículos basados en imágenes de rayos X de tórax (CXR), ya que esta modalidad de imagen es ampliamente utilizada en el diagnóstico y seguimiento de los pacientes y presenta algunas ventajas en comparación con la modalidad de TC, especialmente en los pacientes positivos a la COVID-19.
El objetivo de este trabajo es presentar puntos débiles de los modelos propuestos hasta el momento para diagnosticar COVID-19 a partir de imágenes de CXR de forma autónoma, utilizando técnicas de inteligencia artificial (IA). También, alertar a los investigadores y revisores sobre el problema del aprendizaje por atajo. Este problema ha sido ignorado en casi todos los trabajos revisados en el contexto de la COVID-19 13 y en otros campos de clasificación automática de imágenes 12. En esta investigación se analiza una de las vías existentes para comprobar si los métodos se ven afectados por el aprendizaje por atajos. En concreto, se revisan los estudios que hacen uso de la inteligencia artificial explicable (XAI) para determinar las regiones que más contribuyen a la clasificación.
MÉTODOS
Se realizó una revisión bibliográfica, que incluye artículos que abordan el uso de técnicas de inteligencia artificial explicable para la identificación automática de COVID-19 basado en radiografías de tórax. Además, se localizaron artículos que utilizan conjuntos de datos externos para realizar la evaluación de los modelos propuestos. Esta tarea se realizó a partir del uso del Google académico con palabras reservadas como “COVID-19”, “CXR”, “XAI”, “Automatic Classification”. A partir de los resultados obtenidos se decidió discutir 18 artículos los cuales reflejan el problema que se trata en esta investigación. Se incluyen 50 referencias que sirven de base a dicha discusión.
DESARROLLO
Importancia de las imágenes por CXR y por TC en el manejo oportuno de pacientes positivos a COVID-19
Sin duda, las imágenes médicas de los pulmones son una herramienta importante para ayudar a los especialistas, tanto en el manejo de pacientes con infecciones respiratorias agudas (IRA) como para confirmar otras enfermedades. En el caso de la COVID-19, los estudios confirman anormalidades visibles en la región pulmonar de algunos pacientes, sirviendo así como herramienta de decisión para los especialistas humanos. 14 Es importante tener en cuenta que existen pacientes con PCR positiva que no desarrollan signos o síntomas, por lo que es imposible diagnosticarlos mediante una imagen radiológica de sus pulmones. Las imágenes de TC presentan una mayor sensibilidad como método de diagnóstico y seguimiento en comparación con la CXR. Por ejemplo, se han descrito casos de COVID-19 con lesiones visibles en la TC, pero no visibles en la CXR.15 De hecho, uno de los principales hallazgos en las imágenes de TC de los pacientes con COVID-19 son las opacidades en vidrio esmerilado en las regiones periféricas de los lóbulos inferiores, las cuales en ocasiones no se pueden apreciar en las imágenes de CXR, como se muestra a continuación: (Fig. 1).

Sin embargo, en la mayoría de los centros de salud no se dispone del equipamiento necesario para adquirir la imagen de TC. Además, si existe un equipo de TC, no es posible dedicarlo exclusivamente a este diagnóstico en particular, dada la alta cantidad de pacientes infectados por COVID-19 existentes y la presión asistencial. Por otro lado, la CXR tiene la ventaja de estar disponible en la mayoría de los centros sanitarios. Su costo es mucho menor en comparación con la imagen de TC, y existe una modalidad portátil que evita que el paciente se mueva, minimizando la posibilidad de propagación del virus. Esto hace que se prefiera esta modalidad de imagen CXR, aunque sea menos sensible para el diagnóstico y el seguimiento del paciente.
El uso de esta técnica como método diagnóstico ha mostrado una baja sensibilidad (Se) y especificidad (Sp) en la práctica radiológica actual en pacientes asintomáticos o con enfermedad de grado leve a medio. 17 Por ejemplo, según Ippolito y cols.18 la sensibilidad alcanzada utilizando CXR para detectar la neumonía por SARS-CoV-2 fue de 57 %, y en el trabajo de Cartiglioni y cols. 19 fue de 65 %. Estos valores demuestran la dificultad por parte de los radiólogos para hacer un diagnóstico de COVID-19 utilizando la CXR.
El aprendizaje por atajos en la clasificación de CXR
El uso de métodos de DL ha sido ampliamente estudiado en el campo de las imágenes CXR.20 Asimismo, algunos trabajos reportan evidencias sobre la existencia de aprendizaje por atajos. 21,22 Por ejemplo, Zech JR y cols. 23 lograron identificar el hospital de origen de la radiografía con más del 95 % de exactitud (Acc). De acuerdo con el mapa de activación de la red, se observó que, para lograr este resultado, el modelo se basó en las etiquetas de texto de las imágenes CXR, en lugar de la región del pulmón. Esto demuestra que el rendimiento de las CNN en el diagnóstico de enfermedades mediante radiografías puede reflejar no sólo su capacidad para identificar hallazgos específicos de la enfermedad en la imagen, sino también su capacidad para explotar información de confusión.
Los modelos actuales de DL para la identificación de COVID-19 utilizando imágenes de CXR no escapan del problema del aprendizaje por atajo. Por ejemplo, el estudio desarrollado por Maguolo G. 24 consigue realizar una clasificación con más del 90 % de Acc, sin utilizar la región del pulmón. Esto evidencia que los modelos tienen mucha información que explotar que no está relacionada con las manifestaciones de la enfermedad en la región pulmonar. Por otro lado, Roberts M. y cols. 25 reconocen que la mayoría de los trabajos publicados no han realizado ningún análisis para demostrar la fiabilidad de las predicciones de la red, lo que en el contexto de las soluciones médicas cobra especial relevancia. Es decir, la mayoría de los trabajos del estado del arte han validado sus resultados con conjuntos de datos que contienen decenas o unos pocos cientos de muestras de COVID-19, lo que limita el impacto de las soluciones propuestas. Como se propone en este estudio, una de las formas de obtener una mayor fiabilidad de los métodos es utilizar técnicas que visualicen las regiones en las que se centran los modelos.
Es importante señalar que la mayoría de las investigaciones publicadas hasta ahora se basan en imágenes de diferentes fuentes. Tras la publicación del conjunto de datos de imágenes de Cohen y otros,26 en el que se pone a disposición de la comunidad científica internacional un conjunto de imágenes positivas a la COVID-19, se han realizado numerosos trabajos aplicando técnicas de IA para la clasificación automática de enfermedades. Es decir, hasta la fecha, ésta ha sido la fuente de imágenes COVID-19 positivas más utilizada por la comunidad científica.
La fórmula utilizada por la mayoría de las investigaciones para aumentar el número de imágenes negativas (no COVID-19) ha sido añadir imágenes de conjuntos disponibles en otras fuentes. Una explicación detallada de los conjuntos actuales, así como sus limitaciones, aparece en los trabajos de García.27,28 Esta forma de generar los conjuntos de imágenes hace que los modelos entrenados puedan estar aprendiendo a determinar la fuente de proveniencia de imagen en lugar de la enfermedad que se intenta clasificar. 9,11,24
Los métodos de diagnóstico automático requieren la interpretación de los especialistas humanos, lo que ayuda a confiar en sus decisiones. De hecho, una de las líneas de investigación actuales es el desarrollo de métodos de XAI. 29 En concreto, en el campo de las aplicaciones médicas basadas en imágenes, es esencial una explicación adecuada de la decisión obtenida. Es decir, un sistema de apoyo a la decisión debe ser capaz de sugerir el diagnóstico y mostrar, lo mejor posible, qué contenidos de la imagen han contribuido a la decisión. Además, estos métodos, como se ha comentado anteriormente, son una forma de evaluar la veracidad de los modelos. Por lo tanto, a través de estas técnicas es posible verificar si realmente se presta atención a las regiones que deben ser utilizadas para el diagnóstico.
Análisis de las técnicas XAI
Las técnicas XAI también se han aplicado en el entorno de la detección automática de COVID-19 a partir de la CXR. Existen algunos trabajos publicados hasta la fecha que hacen uso de estas herramientas XAI. Se reportan varias técnicas, entre las más utilizadas están LIME, 30 Grad-Cam, 31 y Grad-Cam++. 32
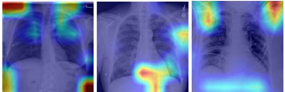
La figura 2 muestra el mapa de activación para una modificación de la CNN COVID-Net,33 obtenida a partir del método Grad-Cam, se usó toda la imagen para realizar la clasificación. Obsérvese que en todos los casos las regiones en las que se basa la red para realizar la clasificación están fuera de los pulmones. Esto significa que hay regiones que proporcionan suficiente información para separar adecuadamente las clases, pero las características utilizadas para la clasificación no están relacionadas con la enfermedad que se intenta clasificar. En otras palabras, el modelo sufre de aprendizaje por atajo. (Figura 2).

En el trabajo de Tsiknakis 35 se evaluó el resultado de los mapas de atención por dos radiólogos. Estos reportan que el modelo, la mitad de las veces, se centró en regiones fuera de los pulmones para realizar la clasificación. Por otro lado, en el estudio de De Grave y cols. 13 se aplicó la técnica CycleGAN, la cual generó imágenes sintéticas clasificadas correctamente por el clasificador. Estas imágenes generadas mostraron las marcas textuales como patrones importantes para determinar la clase. Asimismo, en otro trabajo se utilizaron mapas de saliencia, los cuales resaltaron con frecuencia los marcadores de lateralidad en las imágenes CXR, que difieren en estilo entre los conjuntos de datos COVID-19 negativo y COVID-19 positivo, y de forma similar resaltaron flechas y otras anotaciones que aparecen exclusivamente en el conjunto de datos.26
Una de las variantes para mitigar estos errores es usar una imagen segmentada de los pulmones. Es decir, no aplicar la segmentación lleva a los modelos a utilizar regiones fuera del área pulmonar, marcándolas como importantes para la clasificación.36 Por lo tanto, los estudios que utilizan la imagen completa para realizar la clasificación y logran resultados espectaculares (nótese que son más de 30 puntos porcentuales en relación con los especialistas en radiología) no son válidos, aunque se publiquen en revistas revisadas por pares.
Por ejemplo, en el trabajo de Arias 34 se evaluaron las regiones de imagen que más contribuyeron a la identificación de COVID-19 utilizando tres variantes de imagen. En el primer experimento, se utilizó la imagen completa y, de nuevo, se observó que el modelo tomaba regiones fuera de los pulmones para realizar la clasificación. En el segundo experimento, se utilizó la región del cuadro delimitador de los pulmones, donde también apareció el mismo problema que en el experimento anterior. Por último, en el tercer experimento se utilizó una imagen de los pulmones segmentada, lo que obligó al método a encontrar las características dentro de estas regiones. Esta vez los resultados obtenidos fueron inferiores a los obtenidos con las variantes anteriores, demostrando así que, al utilizar las variantes anteriores, los modelos utilizan características que no están relacionadas con la patología a identificar.
Otro intento de evaluar visualmente las regiones que un modelo utiliza para determinar la clase es el reportado por Teixeira y cols.37 En ese estudio se demostró que, al utilizar la imagen completa como entrada, las CNNs señalaban como regiones importantes aquellas que no pertenecían a los pulmones. Al igual que en el trabajo de Grave y cols. 13 los modelos basaron su atención en las etiquetas presentadas en las imágenes. En ese estudio también se observó que los modelos fueron capaces de identificar con gran precisión el lugar de origen de las imágenes. Esto ocurrió incluso después de aplicar la segmentación pulmonar. Por lo tanto, hay características ocultas en las imágenes que pueden ser explotadas por los modelos para realizar la clasificación y que deben ser tratadas con cuidado para conseguir modelos fiables.
Por ejemplo, las características demográficas de la población pueden ser un fuerte factor de confusión. Obsérvese que varios trabajos han utilizado conjuntos de imágenes en los que una de las clases pertenece a los niños.28 Por otro lado, los pacientes con COVID-19 muestran artefactos como electrodos y sus cables, algunos están intubados. Además, la posición de los pacientes puede afectar ya que, en los pacientes sanos, la vista de rayos X suele ser AP y en otros casos como COVID-19, los pacientes están en posición supina y la vista es PA.9,10
En correspondencia con los trabajos revisados, los métodos XAI se han utilizado para determinar las regiones de la imagen que más contribuyen a la clasificación y así construir modelos más fiables. Esto ha evidenciado que utilizar la imagen completa conduce a marcar como regiones importantes aquellas que no se relacionan con lo que se quiere identificar, lo que invalida los resultados obtenidos.
Por otra parte, la segmentación de los pulmones no garantiza que los modelos se centren realmente en las regiones adecuadas y pueden contener características subyacentes que enmascaren el buen rendimiento de los modelos. No obstante, como puede verse en la tabla 1, hay estudios que, informando de las regiones en las que se basan sus modelos y sabiendo que no corresponden a la enfermedad que tratan de identificar, informan de altos índices de eficacia en la clasificación. Esto evidencia la presencia de aprendizaje por atajos, así como la omisión de este problema por parte de la comunidad científica.
De ahí que sea necesario un conjunto de evaluaciones externas como complemento para demostrar que los modelos mantienen su comportamiento. A pesar de esto, no se reporta este tipo de estrategia para la evaluación de los modelos en ninguno de los estudios que utilizan las técnicas XAI revisadas.
La tabla también registra la presencia de métodos de segmentación (IS) para determinar la región pulmonar. Esto es de vital importancia, pues cuando no se utiliza sólo la región pulmonar, los modelos tienden a centrarse en regiones que parecen imposibles de correlacionar con la enfermedad. (Tabla 1).

CONCLUSIONES
En este artículo se revisan los principales enfoques utilizados en la literatura científica para abordar el problema de la clasificación automática de la COVID-19 utilizando imágenes de rayos X. Según los trabajos revisados, los índices de rendimiento reportados por los clasificadores automáticos superan a los especialistas humanos en más de 30 puntos porcentuales. Se observó, basándose en la revisión de los trabajos publicados que utilizan XAI, que las CNN basan más su atención en las regiones fuera del área del pulmón para realizar la clasificación. Esto sugiere que estas redes están realizando un aprendizaje por atajos.
Por otro lado, en la mayoría de los estudios revisados no se utilizó un conjunto de evaluación externo para determinar el poder de generalización de los modelos. Esto demuestra que los modelos propuestos hasta ahora aprenden patrones que no están relacionados con la enfermedad que intentan clasificar. Por tanto, las soluciones propuestas hasta el momento no parecen ser adecuadas para su uso en entornos hospitalarios. Se debe tener presente que los pacientes pueden evolucionar negativamente si no reciben el tratamiento médico adecuado.
REFERENCIAS BIBLIOGRÁFICAS
1. Worldometer. COVID Live - Coronavirus Statistics[Internet]. New York: Worldometer; 2021[citado 25/01/2022]. Disponible en: Disponible en: https://www.worldometers.info/coronavirus/
2. Liu R, Han H, Liu F, Lv Z, Wu K, Liu Y, et al. Positive rate of RT-PCR detection of SARS-CoV-2 infection in 4880 cases from one hospital in Wuhan, China, from Jan to Feb 2020. Clinica Chimica Acta. 2020;505:172-5.
3. Ai T, Yang Z, Hou H, Zhan C, Chen C, Lu W, et al. Correlation of chest CT and RT-PCR testing in coronavirus disease 2019 (COVID-19) in China: a report of 1014 cases. Radiology. 2020;296(2):E32-40.
4. Kucirka LM, Lauer SA, Laeyendecker O, Boon D, Lessler J. Variation in False-Negative Rate of Reverse Transcriptase Polymerase Chain Reaction-Based SARS-CoV-2 Tests by Time Since Exposure. Ann Intern Med. 2020;173(4):262-7.
5. Xie M, Chen Q. Insight into 2019 novel coronavirus-An updated interim review and lessons from SARS-CoV and MERS-CoV. International Journal of Infectious Diseases. 2020;94:119-24.
6. Dennie C, Hague C, Lim RS, Manos D, Memauri BF, Nguyen ET, et al. Canadian Society of Thoracic Radiology/Canadian Association of Radiologists. Consensus Statement Regarding Chest Imaging in Suspected and Confirmed COVID-19. Can Assoc Radiol J. 2020;71(4):470-481.
7. Rubin GD, Ryerson CJ, Haramati LB, Sverzellati N, Kanne JP, Raoof S, et al. The Role of Chest Imaging in Patient Management During the COVID-19 Pandemic: A Multinational Consensus Statement From the Fleischner Society. Chest. 2020;158(1):106-16.
8. Islam MM, Karray F, Alhajj R, Zeng J. A Review on Deep Learning Techniques for the Diagnosis of Novel Coronavirus (COVID-19). IEEE Access. 2021;9:30551-72.
9. López-Cabrera JD, Orozco-Morales R, Portal-Diaz JA, Lovelle-Enríquez O, Pérez-Díaz M. Current limitations to identify COVID-19 using artificial intelligence with chest X-ray imaging. Health Technol. 2021;11(2):411-24.
10. López-Cabrera JD, Orozco-Morales R, Portal-Diaz JA, Lovelle-Enríquez O, Perez-Diaz M. Current limitations to identify COVID-19 using artificial intelligence with chest X-ray imaging (Part II). The Shortcut Learning Problem. Health Technol (Berl). 2021;11:1331-45.
11. López-Cabrera JD, Díaz JAP, Morales RO, Díaz MP. Revisión crítica sobre la identificación de COVID-19 a partir de imágenes de rayos x de tórax usando técnicas de inteligencia artificial. Rev Cub Transf Dig. 2020;1(3):67-99.
12. Geirhos R, Jacobsen JH, Michaelis C, Zemel R, Brendel W, Bethge M, et al. Shortcut learning in deep neural networks. Nature Machine Intelligence. 2020;2(11):665-73.
13. DeGrave AJ, Janizek JD, Lee SI. AI for radiographic COVID-19 detection selects shortcuts over signal. Nature Machine Intelligence. 2021;3:610-9.
14. Kanne JP, Little BP, Chung JH, Elicker BM, Ketai LH. Essentials for Radiologists on COVID-19: An Update-Radiology Scientific Expert Panel. Radiology. 2020;296(2):E113-4.
15. Cellina M, Orsi M, Toluian T, Valenti Pittino C, Oliva G. False negative chest X-Rays in patients affected by COVID-19 pneumonia and corresponding chest CT findings. Radiography. 2020;26(3):e189-94.
16. Ng MY, Lee EY, Yang J, Yang F, Li X, Wang H, et al. Imaging Profile of the COVID-19 Infection: Radiologic Findings and Literature Review. Radiology Cardiothoracic Imaging. 2020;2(1):e200034.
17. Yoon SH, Lee KH, Kim JY, Lee YK, Ko H, Kim KH, et al. Chest radiographic and CT findings of the 2019 novel coronavirus disease (COVID-19): analysis of nine patients treated in Korea. Korean J Radiol. 2020;21(4):494-500.
18. Ippolito D, Pecorelli A, Maino C, Capodaglio C, Mariani I, Giandola T, et al. Diagnostic impact of bedside chest X-ray features of 2019 novel coronavirus in the routine admission at the emergency department: case series from Lombardy region. Eur J Radiol. 2020;129:109092.
19. Castiglioni I, Ippolito D, Interlenghi M, Monti CB, Salvatore C, Schiaffino S, et al. Artificial intelligence applied on chest X-ray can aid in the diagnosis of COVID-19 infection: a first experience from Lombardy, Italy. medRxiv[Internet]. 2020[citado 07/6/2021]: doi: https://doi.org/10.1101/2020.04.08.20040907. Disponible en: https://www.medrxiv.org/content/10.1101/2020.04.08.20040907v1.full.pdf
20. Albahri OS, Zaidan AA, Albahri AS, Zaidan BB, Abdulkareem KH, Al-qaysi ZT, et al. Systematic review of artificial intelligence techniques in the detection and classification of COVID-19 medical images in terms of evaluation and benchmarking: Taxonomy analysis, challenges, future solutions and methodological aspects. Journal of Infection and Public Health. 2020;13:1381-96.
21. Cohen JP, Hashir M, Brooks R, Bertrand H. On the limits of cross-domain generalization in automated X-ray prediction. En: Medical Imaging with Deep Learning[Internet]. Zurich: PMLR; 2020[citado 1/02/2021]. p.136-55. Disponible en: Disponible en: http://proceedings.mlr.press/v121/cohen20a.html
22. Prevedello LM, Halabi SS, Shih G, Wu CC, Kohli MD, Chokshi FH, et al. Challenges Related to Artificial Intelligence Research in Medical Imaging and the Importance of Image Analysis Competitions. Radiology: Artificial Intelligence. 2019;1(1):e180031.
23. Zech JR, Badgeley MA, Liu M, Costa AB, Titano JJ, Oermann EK. Variable generalization performance of a deep learning model to detect pneumonia in chest radiographs: A cross-sectional study. PLOS Medicine. 2018;15(11):e1002683.
24. Maguolo G, Nanni L. A critic evaluation of methods for COVID-19 automatic detection from X-ray images. Information Fusion. 2021;76:1-7.
25. Roberts M, Driggs D, Thorpe M, Gilbey J, Yeung M, Ursprung S, et al. Common pitfalls and recommendations for using machine learning to detect and prognosticate for COVID-19 using chest radiographs and CT scans. Nature Machine Intelligence. 2021;3(3):199-217.
26. Cohen JP, Morrison P, Dao L, Roth K, Duong T, Ghassemi M. COVID-19 Image Data Collection: Prospective Predictions are the Future[Internet]. Ithaca: Cornell university; 2020[citado 07/02/2021]. Disponible en: Disponible en: https://arxiv.org/abs/2006.11988
27. Garcia Santa Cruz B, Nicolás Bossa M, Sölter J, Dominik Husch A. Public Covid-19 X-ray datasets and their impact on model bias - a systematic review of a significant problem. Medical Image Analysis. isysmedRxiv. 2021;74:1022225
28. Garcia Santa Cruz B, Sölter J, Nicolas Bossa M, Dominik Husch A. On the Composition and Limitations of Publicly Available COVID-19 X-Ray. Imaging Datasets[Internet]. Ithaca: Cornel University; 2020 [citado 21/09/2020]. Disponible en: Disponible en: https://arxiv.org/abs/2008.11572
29. Barredo Arrieta A, Díaz-Rodríguez N, Del Ser J, Bennetot A, Tabik S, Barbado A, et al. Explainable Artificial Intelligence (XAI): Concepts, taxonomies, opportunities and challenges toward responsible AI. Information Fusion. 2020;58:82-115.
30. Ribeiro MT, Singh S, Guestrin C. "Why Should I Trust You?": Explaining the Predictions of Any Classifier. En: Proceedings of the 22nd ACM SIGKDD International Conference on Knowledge Discovery and Data Mining[Internet]. New York : Association for Computing Machinery; 2016[citado 10/11/2020]. p. 1135-44. (KDD '16). Disponible en: Disponible en: https://doi.org/10.1145/2939672.2939778
31. Selvaraju RR, Cogswell M, Das A, Vedantam R, Parikh D, Batra D. Grad-CAM: Visual Explanations from Deep Networks via Gradient-Based Localization. En: 2017 IEEE International Conference on Computer Vision[Internet]. Ithaca: Cornell University; 2017. p. 618-26. Disponible en: https://arxiv.org/pdf/1610.02391.pdf
32. Chattopadhay A, Sarkar A, Howlader P, Balasubramanian VN. Grad-CAM++: Generalized Gradient-Based Visual Explanations for Deep Convolutional Networks. En: 2018 IEEE Winter Conference on Applications of Computer Vision (WACV) [Internet]. Ithaca: Cornell University; 2018. p. 839-47. Disponible en: https://ieeexplore.ieee.org/document/8354201
33. Wang L, Lin ZQ, Wong A. COVID-Net: a tailored deep convolutional neural network design for detection of COVID-19 cases from chest X-ray images. Scientific Reports. 2020;10(1):19549.
34. Arias-Londoño JD, Gómez-García JA, Moro-Velázquez L, Godino-Llorente JI. Artificial Intelligence Applied to Chest X-Ray Images for the Automatic Detection of COVID-19. A Thoughtful Evaluation Approach. IEEE Access. 2020;8:226811-27.
35. Tsiknakis N, Trivizakis E, Vassalou EE, Papadakis GZ, Spandidos DA, Tsatsakis A, et al. Interpretable artificial intelligence framework for COVID-19 screening on chest X rays. Experimental and Therapeutic Medicine. 2020;20(2):727-35.
36. Haghanifar A, Majdabadi MM, Choi Y, Deivalakshmi S, Ko S. COVID-CXNet: Detecting COVID-19 in Frontal Chest X-ray Images using Deep Learning[Internet]. Ithaca: Cornell University; 2020[citado 05/05/2021]. Disponible en: Disponible en: http://arxiv.org/abs/2006.13807
37. Teixeira LO, Pereira RM, Bertolini D, Oliveira LS, Nanni L, Costa YMG. Impact of lung segmentation on the diagnosis and explanation of COVID-19 in chest X-ray images[Internet]. Ithaca: Cornell University; 2020[citado 05/05/2021]. Disponible en: Disponible en: https://arxiv.org/abs/2009.09780
38. Karim MR, Döhmen T, Rebholz-Schuhmann D, Decker S, Cochez M, Beyan O. Deep COVIDExplainer: Explainable COVID-19 Diagnosis Based on Chest X-ray Images[Internet]. Ithaca: Cornell University; 2020[citado 05/05/2021]. Disponible en: Disponible en: https://arxiv.org/abs/2004.04582
39. Qi X, Brown LG, Foran DJ, Nosher J, Hacihaliloglu I. Chest X-ray image phase features for improved diagnosis of COVID-19 using convolutional neural network. Int J CARS[Internet]. Ithaca: Cornell University; 2020[citado 05/05/2021] Disponible en: Disponible en: https://arxiv.org/abs/2011.03585
40. Chowdhury NK, Rahman MdM, Kabir MA. PDCOVIDNet: a parallel-dilated convolutional neural network architecture for detecting COVID-19 from chest X-ray images. Health Inf Sci Syst. 2020;8(1):27.
41. Chowdhury NK, Kabir MA, Rahman MM, Rezoana N. ECOVNet: An Ensemble of Deep Convolutional Neural Networks Based on EfficientNet to Detect COVID-19 From Chest X-rays[Internet]. Ithaca: Cornell University; 2020[citado 05/05/2021] Disponible en: Disponible en: http://arxiv.org/abs/2009.11850
42. Chatterjee S, Saad F, Sarasaen C, Ghosh S, Khatun R, Radeva P, et al. Exploration of Interpretability Techniques for Deep COVID-19 Classification using Chest X-ray Images[Internet]. Ithaca: Cornell University; 2020[citado 13/03/2021]. Disponible en: Disponible en: http://arxiv.org/abs/2006.02570
43. Mangal A, Kalia S, Rajgopal H, Rangarajan K, Namboodiri V, Banerjee S, et al. CovidAID: COVID-19 Detection Using Chest X-Ray[Internet]. Ithaca: Cornell University; 2020[citado 28/02/2021]. Disponible en: Disponible en: http://arxiv.org/abs/2004.09803
44. Siddhartha M, Santra A. COVIDLite: A depth-wise separable deep neural network with white balance and CLAHE for detection of COVID-19[Internet]. Ithaca: Cornell University; 2020[citado 28/02/2021]. Disponible en: Disponible en: http://arxiv.org/abs/2006.13873
45. Liu B, Yan B, Zhou Y, Yang Y, Zhang Y. Experiments of Federated Learning for COVID-19 Chest X-ray Images[Internet]. Ithaca: Cornell University; 2020[citado 10/03/2021]. Disponible en: Disponible en: http://arxiv.org/abs/2007.05592
46. Kedia P, Anjum P., Katarya R. CoVNet-19: A Deep Learning model for the detection and analysis of COVID-19 patients. Applied Soft Computing. 2021;104:107184.
47. Aviles-Rivero AI, Sellars P, Schönlieb C-B, Papadakis N. GraphXCOVID: Explainable Deep Graph Diffusion Pseudo-Labelling for Identifying COVID-19 on Chest X-rays[Internet]. Ithaca: Cornell University; 2020[citado 28/02/2021]. Disponible en: Disponible en: http://arxiv.org/abs/2010.00378
48. Karthik R, Menaka R, M. H. Learning distinctive filters for COVID-19 detection from chest X-ray using shuffled residual CNN. Applied Soft Computing. 2020;(99):106744.
49. Singh RK, Pandey R, Babu RN. COVIDScreen: explainable deep learning framework for differential diagnosis of COVID-19 using chest X-rays. Neural Comput & Applic[Internet]. 2021[citado 25/01/2021];(14):[aprox. 7 p.]. Disponible en: https://www.springerprofessional.de/en/covidscreen-explainable-deep-learning-framework-for-differential/18753066
50. Oh Y, Park S, Chul Ye J. Deep Learning COVID-19 Features on CXR using Limited Training Data Sets. IEEE TRANSACTIONS ON MEDICAL IMAGING. 2020;39(8):2688-2700.
Notas de autor
*Autor para correspondencia: josedaniellc@uclv.cu
Declaración de intereses