Presentación de un caso
Tuberculosis pulmonar en paciente con signo de la raqueta de tenis. Presentación de un caso
Pulmonary tuberculosis in a patient with the tennis racket sign. A case report
Tuberculosis pulmonar en paciente con signo de la raqueta de tenis. Presentación de un caso
MediSur, vol. 20, núm. 2, pp. 360-365, 2022
Facultad de Ciencias Médicas de Cienfuegos, Centro Provincial de Ciencias Médicas Provincia de Cienfuegos.
Recepción: 16 Noviembre 2021
Aprobación: 25 Enero 2022
RESUMEN: La tuberculosis pulmonar puede afectar cualquier órgano y sus manifestaciones clínicas son variables. Se presenta un caso de tuberculosis pulmonar con diagnóstico, tratamiento y seguimiento en la Atención Primaria de Salud. La paciente de 52 años de edad, dispensarizada como adulto grupo III, riesgo de tuberculosis pulmonar, hipertensa y diabética, fue atendida en su consultorio médico de la familia por presentar malestar general, tos productiva y persistente mayormente en horario de la noche, anorexia y astenia. Había convivido durante cinco años con dos familiares diagnosticados de tuberculosis pulmonar. El examen radiológico y el estudio microbiológico confirmaron el diagnóstico. El tratamiento logró la mejoría, evidente desde el punto clínico y radiológico; así como la disminución de la codificación en la baciloscopia. La confirmación del diagnóstico resulta fundamental, sobre todo en aquellos pacientes con factores de riesgo. La radiografía de tórax y la baciloscopia garantizan el seguimiento. La imagen radiográfica cavitaria extendida, también conocida como signo de la raqueta de tenis o punta de flecha, se observa con poca frecuencia en el diagnóstico en la comunidad.
Palabras clave: Tuberculosis pulmonar, atención primaria de salud, diagnóstico clínico.
ABSTRACT: Pulmonary tuberculosis can affect any organ and its clinical manifestations are variable. A case of pulmonary tuberculosis with diagnosis, treatment and follow-up in Primary Health Care is presented. The 52-years-old patient, discharged as a group III adult, at risk of pulmonary tuberculosis, hypertensive and diabetic, was treated at her family doctor's office due to physical discomfort, productive and persistent cough mainly at night, anorexia and asthenia. She had lived for five years with two relatives diagnosed with pulmonary tuberculosis. Radiological examination and microbiological study confirmed the diagnosis. The treatment achieved the improvement, evident from the clinical and radiological point of view; as well as the decrease in the coding in the bacilloscopy. Confirmation of the diagnosis is essential, especially in those patients with risk factors. Chest X-ray and smear microscopy guarantee follow-up. The extended cavitary radiographic image, also known as the tennis racket or arrowhead sign, is rarely seen at diagnosis in the community.
Keywords: Tuberculosis, pulmonary, primary attention of health, clinical diagnosis.
INTRODUCCIÓN
La tuberculosis (TB) pulmonar, se caracteriza por un periodo de latencia prolongado entre la infección inicial y las manifestaciones clínicas, entre las cuales predomina la neumopatía y una respuesta granulomatosa con inflamación y lesión de los tejidos.1
Es una infección producida por Mycobacterium tuberculosis, que resurge como problema sanitario de primera magnitud.2 Puede afectar cualquier órgano y las manifestaciones clínicas son variables; así como la presencia de fatiga, debilidad, pérdida de peso y fiebre. Las lesiones pulmonares llegan a asociares a tos crónica y esputo sanguinolento.
El diagnóstico y tratamiento rápido de los pacientes con TB activa y el seguimiento cuidadoso de sus contactos constituyen las bases fundamentales del Programa Nacional de Control de la Tuberculosis, cuyos propósitos, funciones y actividades competen a los integrantes del equipo de salud en el consultorio médico de la familia. Se plantea como propósito: curar 95 % de los casos nuevos; detectar el 90 % de los casos nuevos de la enfermedad con baciloscopia positiva; lograr reducción anual de 5-10 % en la incidencia de casos nuevos; y perfeccionar el trabajo de la red de laboratorios.2,3,4
El examen bacteriológico del esputo constituye la técnica de elección para la búsqueda de casos de TB pulmonar. El examen directo o baciloscopia permite la detección de bacilos ácido - alcohol resistentes (BAAR), y tiene un valor prioritario en el diagnóstico de esta enfermedad, para proceder al inmediato tratamiento y control. También resulta eficaz en el seguimiento del tratamiento, por ser rápida, simple, específica y tener bajo costo; teniendo amplia cobertura en el diagnóstico.2
Se estima que la tercera parte de la población mundial ha sido infectada por Mycobacterium tuberculosis, y que se incrementarán las cifras de casos nuevos. Para la región de las Américas, la Oficina Sanitaria Panamericana informa que en los últimos años cerca de 400 mil personas enfermaron de TB, y más de 60 mil mueren anualmente por esta causa.2,4
Cuba muestra una tendencia descendente, como expresión del resultado de la lucha contra esta entidad, favorece con el fortalecimiento del Sistema Nacional de Salud y las transformaciones socioeconómicas,4 aun así se mantiene la vigilancia estrecha en la atención primaria de salud (APS), en lo que a diagnóstico y tratamiento oportuno se refiere.
Este trabajo tiene como objetivo presentar un caso de TB pulmonar con diagnóstico, tratamiento y seguimiento en la APS.
PRESENTACIÓN DEL CASO
Se presenta una paciente femenina de 52 años de edad, mestiza, ama de casa, dispensarizada como adulto grupo III, riesgo de TB, operada de neoplasia intracervical (NIC) III, hipertensa y diabética. Fue atendida en su consultorio médico de la familia, por presentar malestar general, tos productiva y persistente; mayormente en horario de la noche, anorexia, astenia, no disnea. Según refirió la paciente, mantenía adecuado control metabólico y de la hipertensión arterial con medidas generales y tratamiento específico.
APF: esposo e hija con diagnóstico de TB pulmonar cinco años atrás, periodo en el cual convivieron en la vivienda con ella.
APP: operada de NIC III (año 2016), hipertensión arterial desde hacía aproximadamente 10 años (para ello lleva tratamiento con enalapril (20 mg) 1 tableta cada 12 horas y espironolactona (25 mg) 1 tableta diaria); diabetes mellitus desde hacía aproximadamente nueve años (tratamiento con metformina (500 mg), 1 tableta en desayuno, almuerzo y comida).
Examen físico: Aparato cardiovascular: ruidos rítmicos, bien golpeados, no soplos. Pulso radial: 89 pulsaciones por minuto. Tensión arterial: 120/80 mmHg; aparato respiratorio: murmullo vesicular disminuido; crepitantes en la mitad superior del hemitórax izquierdo. Frecuencia respiratoria: 18 respiraciones por minuto.
Exámenes complementarios: hemoglobina (HB) 13,2 g/dl; hematocrito: 0,40, glucemia en ayunas: 15,5 mmol/ml; creatinina sérica 57,6 mg/dL; eritrosedimentación: 72 mm; serología para sífilis: no reactiva; VIH vía rápida: negativo; colesterol: 4,7 mmol/l; triglicéridos: 1,5 mmol/l.
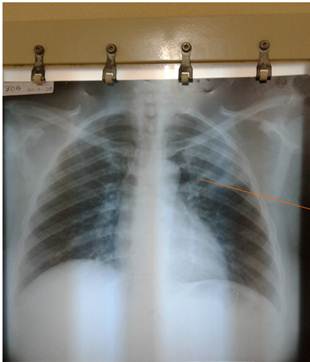
Procederes diagnósticos específicos se realizó radiografía simple de tórax antero-posterior y basiloscopia. La radiografía mostró en el lóbulo superior izquierdo una imagen cavitaria radiotransparente de aproximadamente 4 cm, con lesiones inflamatorias asociadas extendidas hasta el cuerpo superior del hilio (signo de la raqueta de tenis o punta de flecha). Por ello se planteó tuberculosis pulmonar (Fig. 1). Baciloscopia: Esputo BAAR 1: codificación 9.

Por todo lo anterior se diagnosticó TB pulmonar activa con baciloscopia positiva y signo radiológico de la raqueta de tenis, asociado a diabetes mellitus tipo 2 e hipertensión arterial. La paciente fue remitida para ingreso en el Hospital provincial para su tratamiento inicial. Este en su primera fase fue diario, con descanso de un día: isoniacida (tab 150 mg) 2 tab, rifampicina (cáps 300 mg) 2 cáps; pirazinamida (tab 400 mg) 2 tab; y etambutol (tab 400 mg) 3 tab.
Una vez estabilizada la paciente con respuesta favorable, se decidió por el nivel secundario el egreso para su seguimiento ambulatorio en el área de salud mediante el consultorio médico de la familia y el equipo multidisciplinario correspondiente.
Ya en la comunidad, la paciente fue recibida realizando aún el tratamiento en la primera fase. La conducta en el consultorio médico de la familia fue ingreso en el hogar.
Se mantuvo afebril, hidratada, durmiendo bien, con buen apetito y estado general; incremento de 2 kg de peso. El examen físico de aparato respiratorio evidenció: murmullo vesicular audible; no crepitantes. Frecuencia respiratoria: 18 respiraciones por minuto.
Exámenes complementarios de seguimiento: mantuvo esputo BAAR con disminución de la codificación: esputo BAAR 1: codificación 9; esputo BAAR 2: codificación 7; esputo BAAR 3: codificación 6. Eritrosedimentación: 35 mm; glucemia: 11 mmol/ml.
Se indicaron orientaciones generales: cuidado de la higiene general del hogar y sus alrededores; uso de sustancias desinfectantes en el hogar, limpieza del baño, lavado diario de la ropa de cama, fregar utensilios del paciente, separar objetos comunes, cuidado de la higiene personal, manejo adecuado de la expectoración, uso de nasobuco incluso dentro de la vivienda, aislamiento dentro del hogar, evitar el estrés, dieta hiperproteica y balanceada, y cuidado de los pies.
DISCUSIÓN
Los programas de prevención y control de la TB se basan en el diagnóstico precoz, el cumplimiento del tratamiento y el estudio de contactos.
En Cuba se realiza la lectura de la baciloscopia en los laboratorios de acuerdo a la observación microscópica de 300 campos en cuatro líneas de la lámina (dos horizontales y dos verticales); se establece la codificación del 0 al 9 en dependencia del conteo de bacilos en todo el recorrido. Esta detección de BAAR en frotis teñidos es el procedimiento más rápido y sencillo para el diagnóstico y control del tratamiento en la TB pulmonar.2,4) Es la técnica principal de diagnóstico en la cual se sustenta el Programa para el diagnóstico de TB, por ser una técnica fácil, rápida y barata, así como para el seguimiento evolutivo mensual de los casos en tratamiento.4
Según plantea el Programa Nacional para el control de la Tuberculosis4 en sus normas para la localización de casos, los grupos de alto riesgo, considerando como tales a aquellos contactos de casos de TB pulmonar BAAR+, deben mantenerse bajo vigilancia por dos años posteriores al contacto con el enfermo. La paciente presentada era contacto de dos pacientes convivientes y familiares desde hacía cinco años.
Gómez y otros investigadores en la provincia de Matanzas reportan mediante la pesquisa activa y pasiva, que el mayor número de pacientes diagnosticados en grupos vulnerables corresponde a adultos mayores, seguidos de los diabéticos, personas que viven en asentamientos críticos y pacientes contacto de TB. En el caso descrito, el riesgo radicaba en la diabetes mellitus, y el ser contacto de dos pacientes con TB.5
En Timor Oriental el contacto con pacientes afectados por TB pulmonar y positividad de BAAR constituyó una de las variables de fuerte asociación en el contagio de la enfermedad.6
La TB y la diabetes mellitus son dos patologías que han acompañado a la humanidad a lo largo de su historia. En los casos clínico-radiológicos presentados de por Álvarez y colaboradores se comprueba que existe una relación importante entre ambas enfermedades, siendo la diabetes mellitus un factor de riesgo para la TB pulmonar.7
Serra y colaboradores, en su presentación de caso diagnosticado en La Habana, refieren que el paciente era contacto de TB de un familiar.8
Un estudio de estratificación del riesgo de TB pulmonar en consejos populares del municipio Cienfuegos determinó que el contacto persona sana con enfermos de TB incrementa el riesgo de infección. En nuestra sociedad el aislamiento de la persona sana y el familiar enfermo, en ocasiones se dificulta, tanto por los lazos afectivos como por la baja percepción de riesgo.9
La exploración mediante Rayos X constituye un método de diagnóstico irreemplazable que se debe utilizar cuando de este estudio dependen decisiones terapéuticas. Para cada región a examinar existen técnicas y proyecciones precisas. En los estudios radiográficos del tórax se precisa la presencia de imágenes cavitarias, las cuales tienen entre sus principales etiologías las cavernas tuberculosas, el absceso del pulmón y el cáncer ulcerado. De acuerdo a sus características será su interpretación. Las cavernas tuberculosas se encuentran sobre todo a nivel de los vértices. Sus paredes pueden ser delgadas o gruesas, únicas o aisladas o, por el contrario, múltiples. Se asientan en parénquima sano o en el seno de un infiltrado.1) Alves y Póvoas recientemente publicaron el caso de una niña angolana con imagen radiológica compatible con TB pulmonar, pero que revela cavitación extensa apical en ambos pulmones, adyacente a los bronquios de drenaje (signo de la raqueta de tenis o punta de flecha).10
La imagen radiográfica cavitaria extendida, también conocida como signo de la raqueta de tenis o punta de flecha, no se observa con frecuencia en el diagnóstico en la APS. En dicho contexto, un enfoque integral está dirigido a detectar y modificar factores de riesgo. En este caso en particular, se consideró, en primer lugar, el antecedente de familiares de primer grado de consanguinidad con la enfermedad, con quienes convivió durante años la paciente. Otro factor importante fue el antecedente de diabetes mellitus e hipertensión arterial.
Se plantea que la mayoría de los pacientes diagnosticados evolucionan favorablemente, no requieren hospitalización y pueden ser tratados y seguidos de manera ambulatoria.3
La vigilancia del tratamiento se basa en dos aspectos fundamentales: la evolución clínica del paciente y el seguimiento de las muestras bacteriológicas.4
La baciloscopia es el examen evolutivo mensual aplicado a todo caso nuevo de TB. En la mayoría de los pacientes BAAR+, es negativa al finalizar el segundo mes de tratamiento; si se mantiene positiva en este tiempo, la primera fase de tratamiento se prolongará por un mes más.2
Romero y otros investigadores en su investigación en Santiago de Cuba demuestran que la forma de presentación más frecuente en su investigación es la tuberculosis pulmonar.11
El caso presentado tuvo evolución favorable, dada por la mejoría clínica evidenciada por el incremento de peso, la ausencia de síntomas generales y respiratorios, y cifras de tensión arterial dentro de parámetros normales; aunque los valores de glucemia se presentaron ligeramente elevados. La mejoría de las imágenes radiológicas y la evolución mediante esputo BAAR que al inicio presentó codificación 9 y en fase posterior ya presentó codificación 6, son signos clínicos, radiológicos y microbiológicos de evolución favorable. El interés del caso radica precisamente en que fue diagnosticado oportunamente en la APS, y ello posibilitó su mejor seguimiento, tratamiento y control. De ahí la importancia de mantener la vigilancia sobre los pacientes con riesgo en la comunidad.
REFERENCIAS
Isemar MD. Infecciones micobacterianas. Tuberculosis. En: Bennet JC, Plum F. Cecil. Tratado de Medicina Interna. Vol. 3. 20ed. México: Mc Graw Hill Inter-Americana; 1998. p. 1941-51.
Llop A. El Laboratorio de Microbiología en la lucha contra las enfermedades infecciosas emergentes y reemergentes. En: Llop A, Valdés-Dapena M, Zuazo JL. Microbiología y Parasitología Médicas. T 1. Ciudad de La Habana: Editorial Ciencias Médicas; 2001. p. 654-62.
Álvarez SR. Afecciones respiratorias más frecuentes. En: Temas de Medicina General Integral. Principales afecciones del individuo en los contextos familiar y social. Vol. 3. Ciudad de La Habana: Editorial Ciencias Médicas; 2014. p. 500-5.
Ministerio de Salud Pública. Resolución Ministerial 277/2014. Programa Nacional de Control de la Tuberculosis. Manual de normas y procedimientos[Internet]. La Habana: Editorial Ciencias Médicas; 2014[citado 18/05/2021]. Disponible en: Disponible en: http://www.sld.cu/galerias/pdf/sitios/tuberculosis/programa_2015.pdf
Gómez, PR, Mc-Farlane E, García R, González L, Armas L. Magnitud de la pesquisa activa en diagnóstico de tuberculosis implementada en grupos vulnerables. Matanzas 2009-2013. Rev Méd Electr[Internet]. 2016[citado 18/05/2021];38(3):[aprox. 12p]. Disponible en: http://revmedicaelectronica.sld.cu/index.php/rme/article/view/1661/html_114
Marrero H, Quintero S. Factores de riesgo de la tuberculosis pulmonar en pacientes timorenses. MEDISAN[Internet]. 2018[citado 18/05/2021];22(1):[aprox. 10p]. Disponible en: http://www.medisan.sld.cu/index.php/san/article/view/1707/html
Álvarez T, Placeres JF. Tuberculosis pulmonar y diabetes mellitus. Presentación de dos casos. Rev Med Electr[Internet]. 2016[citado 18/05/2021];38(3):[aprox. 9p]. Disponible en: http://revmedicaelectronica.sld.cu/index.php/rme/article/view/1611/html_121
Serra MA, Aboy L, Díaz Á. Tuberculosis pulmonar. Presentación de caso. Rev Haban Cienc Méd[Internet]. 2015[citado 18/05/2021];14(6):[aprox. 9p]. Disponible en: http://www.revhabanera.sld.cu/index.php/rhab/article/view/965/898
Delgado H, González L, Valdés M, Hernández S, Montenegro T, Rodríguez D. Estratificación de riesgo de tuberculosis pulmonar en consejos populares del municipio Cienfuegos. Medisur[Internet]. 2015[citado 18/05/2021];13(2):[aprox. 8p]. Disponible en: http://www.medisur.sld.cu/index.php/medisur/article/view/2802/1765
Alves S, Póvoas D, Silva T. Signo de la raqueta de tenis: un caso de tuberculosis pulmonar complicada. An Pediatr (Barc)[Internet]. 2020[citado 18/05/2021];92(5):[aprox. 2p]. Disponible en: https://www.analesdepediatria.org/es-pdf-S1695403319301742
Romero LI, Bacardí PA, Paez Y, Gondres KM, Bandera DC. Morbilidad por tuberculosis: aspectos epidemiológicos, clínicos y diagnósticos. Santiago de Cuba. 2007-2011. MEDISAN[Internet]. 2016[citado 18/05/2021];20(10):[aprox. 10p]. Disponible en: http://scielo.sld.cu/scielo.php?script=sci_arttext&pid=S1029-3019201600100000
Notas de autor
*Email: irenedp@jagua.cfg.sld.cu
Declaración de intereses