Ciencias clínicas y patológicas
Tratamiento ortodóncico en paciente adulta con Periodontitis crónica controlada
Orthodontic treatment in an adult patient with controlled chronic periodontitis
Tratamiento ortodóncico en paciente adulta con Periodontitis crónica controlada
Revista Habanera de Ciencias Médicas, vol. 18, núm. 5, pp. 741-751, 2019
Universidad de Ciencias Médicas de la Habana
Recepción: 27 Noviembre 2018
Aprobación: 23 Mayo 2019
RESUMEN
Introducción: En pacientes adultos con periodontitis el tratamiento de Ortodoncia constituye un reto, por las condiciones biomecánicas que impone la edad, y el estado de afectación del periodonto; principal responsable de los movimientos ortodóncicos.
Objetivo: Describir el tratamiento ortodóncico realizado en paciente adulta con periodontitis crónica controlada y los resultados conseguidos.
Presentación del caso: Paciente femenina de 41 años, con periodontitis crónica tratada. Diastemas y extrusión en incisivos, pérdida de la inserción periodontal y exposición del cemento radicular. Apiñamiento incisivo inferior, con extrusión e incremento de la curva de Spee. Trauma oclusal interincisivo. El plan de tratamiento incluyó control de la periodontitis, la extracción de un incisivo inferior y la intrusión dentaria incisiva bimaxilar. El tratamiento duró año y medio. Los resultados fueron excelentes. Se devolvió la función perdida; se consiguió incrementar la inserción periodontal, con la consiguiente disminución de la movilidad dentaria. Se corrigió la estética afectada y se obtuvo la satisfacción de la paciente.
Conclusiones: A partir de la aplicación del tratamiento de Ortodoncia se consiguió corregir las anomalías de posición dentarias y de la oclusión, devolver a la paciente adulta portadora de periodontitis crónica la estética perdida y una oclusión funcional. Las decisiones terapéuticas consideraron el estado del periodonto, el control de la enfermedad y la edad de la paciente. Las fuerzas aplicadas fueron extremadamente controladas y el tiempo de tratamiento el menor posible. La motivación y el cuidado de la higiene bucal contribuyeron a los resultados alcanzados.
Palabras claves: Tratamiento ortodoncia+ periodontitis crónica+ adulto+ extracción de incisivo inferior+ intrusión incisiva+ control periodontal.
ABSTRACT
Introduction: The orthodontic treatment is a challenge in adult patients with periodontitis because of the biomechanical conditions imposed by age and the state of involvement of the periodontium, which is the main responsible for orthodontic movements.
Objective: To describe the orthodontic treatment performed in an adult patient with controlled chronic periodontitis and to show the results obtained.
Case Presentation: Forty-one years old female patient with chronic periodontitis. She presented diastemas and incisors extrusion, loss of periodontal insertion and exposure of the root cement, lower incisor crowding with extrusion and increase of the curve of Spee. She also had interincisive occlusal trauma. The treatment plan included the control of periodontitis, the removal of a lower incisor and the intrusion of bimaxillary incisor. The treatment lasted a year and a half. The results were excellent. The lost function was restored and periodontal insertion was increased with the consequent decrease in tooth mobility. The affected aesthetics was corrected obtaining patient satisfaction.
Conclusions: From the application of the orthodontic treatment, it was possible to correct the dental position and occlusion anomalies and give the patient back the lost esthetics and a functional occlusion. Therapeutic decisions considered the state of the periodontium, the control of the disease and the age of the patient. The applied forces were extremely controlled and the treatment time was as short as possible. The motivation and care of oral hygiene contributed to the results achieved.
Keywords: Orthodontic treatment, chronic periodontitis, adult, lower incisor extraction, incisive intrusion, periodontal control.
Introducción
Mucho se habla en la actualidad de la relación entre la ortodoncia y la periodoncia. Para que un paciente pueda ser tratado por Ortodoncia deberá ser controlado el factor infeccioso a nivel periodontal. Los requisitos para comenzar con el tratamiento son: existir hueso de soporte suficiente, dos tercios de la longitud de la raíz, saber que la oclusión podrá ser estabilizada una vez finalizado el tratamiento, buen estado de salud general y paciente motivado y cooperador.1
El paciente periodontal clásico presenta una serie de alteraciones típicas tales como la proinclinación de dientes antero-superiores, diastemas interincisales, rotaciones y sobre erupciones, que pueden agravar la situación periodontal a largo plazo y empeorar la estética y la función dental. Una de las soluciones que se plantean ante este problema es el tratamiento ortodóncico.2
El movimiento dentario se lleva a cabo a través de la aplicación de fuerzas mecánicas capaces de activar el hueso y células relacionadas. Los elementos tisulares que sufren cambios durante este movimiento dentario son principalmente el ligamento periodontal y el hueso alveolar. Estos tejidos tienen una plasticidad que permite el movimiento fisiológico y ortodóncico de los dientes, donde el hueso se forma o reabsorbe y facilita el desplazamiento dentario.3 Es por eso que la salud periodontal contribuye a los resultados satisfactorios y estables del tratamiento de Ortodoncia.
Sin embargo, todos coinciden en que la realización del tratamiento de Ortodoncia en pacientes periodontales ayuda significativamente a conseguir mejor función, estética e integridad de los tejidos periodontales.4
Los artículos revisados muestran5,6,7,8 que es posible realizar tratamiento ortodóncico en pacientes adultos que padezcan algún tipo de alteración periodontal, incluso cuando haya afectación importante en el nivel de soporte óseo. Pero el éxito del tratamiento dependerá de una serie de factores, entre estos el control de la enfermedad periodontal tiene un papel clave.
La edad del paciente en estos casos constituye un elemento importante a considerar. En un paciente adulto la respuesta de los tejidos a las fuerzas ortodóncicas es mucho más lenta que en niños y adolescentes. Aunque la edad del paciente no es contraindicación para la ortodoncia, es más fácil que se produzcan fenómenos de hialinización, ya que con los años disminuye la actividad celular y los tejidos se vuelven más ricos en colágeno, la respuesta tisular es más lenta, por lo que los movimientos deben ser más suaves.9
La mecánica en pacientes adultos debe incluir un movimiento logrado con fuerzas ligeras para evitar la sobrecarga del periodonto. La combinación de intrusión ortodóncica y tratamiento periodontal ha demostrado mejorar las condiciones del periodonto comprometido, siempre y cuando se mantenga la higiene y los tejidos saludables.10
En experiencia de los autores, en considerables ocasiones, los pacientes con secuelas de periodontitis (movilidad dentaria, pérdida de la inserción periodontal, extrusión dentaria) son condenados a la extracción dentaria. En muchos de estos casos no se considera la ortodoncia como una opción terapéutica que podría devolver al paciente la función y estética perdidas. Esta presentación de caso pretende difundir los resultados de un tratamiento posible, que debería ser considerado antes de decidir condenar al paciente a la pérdida dentaria.
Se realiza esta presentación de caso clínico con el objetivo de describir el tratamiento de Ortodoncia realizado en paciente adulta con periodontitis crónica controlada y los resultados conseguidos.
Presentación del caso
Paciente femenina de 41 años, sin antecedentes de enfermedades sistémicas. Acude a consulta remitida por Periodoncia para tratar secuelas de Periodontitis crónica, refiriendo por motivo de consulta “espacios en dientes anterosuperiores”.
La enfermedad periodontal avanzada fue tratada siguiendo el protocolo de actuación que indican las guías de tratamiento. La paciente se encontraba en fase de mantenimiento y control de la enfermedad.
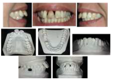
En el examen clínico se detectaron rasgos y anomalías (Figura 1) que se consideraron en la toma de decisiones durante el tratamiento, los cuales se exponen a continuación.

Faciales: Perfil recto, tercios proporcionales, labios finos, con presencia de pliegues labiales por hipotonía típica del proceso de envejecimiento.
Intraorales: Arcada superior: Dientes presentes de 18 a 28. Restaurados: 160, 11IP, 12I 24od, 26od, 27o.11 tratamiento endodóntico realizado y discromía. Malposición dentaria. Vestibuloversión, extrusión y mesoversión de incisivos. Diastemas 12-11 de 3 mm, y 11-21 de 2 mm. Corona clínica aumentada, Movilidad grado III de 11 y grado II de 12, migración patológica periodontal; expuesto cemento en 11 y 21 (3 mm). Encías de coloración normal. Biotipo periodontal con margen gingival delgado y marcadamente festoneado.5 Falta de la papila interdentaria entre 11 y 21.
Arcada inferior: extraído 46. Malposición dentaria: vestibuloversión de incisivos, 44RML, 43MV, 31RML, 33RMV, 34RML. Movilidad dentaria grado II en incisivos, 44 y 47; resto de los dientes grado I.
Arcadas en oclusión: Relación Antero posterior: Relación molar: neutroclusión izquierda, derecha no clasificable. Relación canina neutroclusión bilateral. Resalte 8 mm, curva de Spee aumentada.
Transversal: Línea media superior desviada a la izquierda 3 mm. Resalte posterior normal.
Vertical: Sobrepase 1/3 corona
Examen oclusal funcional: trauma oclusal interincisivo en oclusión céntrica. En movimiento de protrusión, desoclusión posterior exagerada por acentuación de la curva de Spee, ausencia de movimientos de lateralidad.
Clasificación sindrómica: Síndrome de clase I
Discrepancia hueso diente superior = 3,8 mm, Inferior= -1,9 mm
Al sondaje no sangramiento ni bolsas de 4 mm o más.
Estudio radiográfico periapical: pérdida ósea horizontal hasta tercio medio a nivel de incisivos superiores. Pérdida ósea ligera en el resto de las arcadas dentarias, ensanchamiento periodontal y pérdida de la cortical alveolar. TPR en 11, con región periapical sin alteraciones visibles
Los objetivos del tratamiento estuvieron encaminados fundamentalmente a mejorar la inserción periodontal, la estética y la función oclusal. Enunciándose detalladamente como sigue:
Plan de tratamiento:
Fase de control y Mantenimiento periodontal:
Con una frecuencia trimestral se visitó la consulta de periodoncia. En cada cita se realizó el control de placa dentobacteriana, se reforzaron las instrucciones de higiene bucal y se eliminó la placa dental presente.
Estomatología General integral: realizó carilla estética del 21 una vez concluido el tratamiento mecánico ortodóncico.
Ortodoncia: Secuencia de tratamiento
Se utilizaron tubos de cementado directo para evitar la colocación de bandas lo que crearía una zona de mayor retención de placa de difícil control.
Se utilizaron brackets MBT ranura 0,022" con una biomecánica orientada hacia la utilización de fuerzas ligeras, mínimo desplazamiento dentario y menor tiempo de tratamiento.
Se utilizó como aparatología auxiliar arco utilitario de Ricketts para intruir incisivos superiores e inferiores.
Se realizó como anclaje, además, la retroligadura y doblez distal y la fuerza aplicada durante el cierre de espacio fue controlada.
Secuencia de arcos: de NiTi térmico (0,014; 0,016; 0,017 x 0,025) y acero 017 x 0,025 en fase de alineado y nivelación. En fase de cierre de espacio acero 0,019 x 0,025 con módulos elastoméricos y arcos de acero 0,016 como arcos de finalización.
Se realizó ajuste oclusal.
La etapa de contención se realiza actualmente con férulas preformadas termoplásticas.
Se mantiene el control periodontal.
Se consiguió la satisfacción de la paciente con los resultados del tratamiento; lo que contribuyó a una mejoría de sus relaciones sociales, emociones y autosatisfacción con su apariencia.
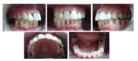
El tratamiento duró 18 meses y se consideró exitoso debido a que se consiguieron los objetivos planteados al inicio del mismo. Los resultados se describen a continuación (Figura 2).

Se observa alineación dentaria superior e inferior, disminución de la corona clínica y resalte normal.
Se mantuvo la estética facial sobre todo de la zona de los labios. Mejoró la sonrisa y la exposición gingival.
Se redujo la protrusión y proinclinación superior e inferior, se cerraron los espacios interdentales. Se corrigieron las malposiciones dentarias, mejoró la extrusión dental anterior.
Se consiguió una oclusión funcional, sin contactos exagerados en céntrica, con guía incisiva en movimientos protrusivos y función en grupo bilateral.
Hubo un incremento considerable en la inserción periodontal, con una disminución de la movilidad dentaria, la cual se redujo a grado I en todos los dientes con una movilidad inicial mayor y se eliminó en el resto. Se mantuvo la integridad del periodonto de protección. Se recuperó la forma de las papilas interdentales.
Radiográficamente (Figura 3) se observó reparación ósea con incremento de la densidad ósea y recuperación de la cortical alveolar.

El tiempo de evolución y seguimiento fue de 30 meses luego de concluido el tratamiento. La paciente se mantiene en fase de evolución y seguimiento con visitas en una frecuencia trimestral. Se conserva la estabilidad en el resultado del tratamiento ortodóncico y la salud periodontal.
Discusión
En cualquier tratamiento de Ortodoncia es muy importante la actitud del paciente frente a su problema, si conoce lo que padece y la posible evolución de la enfermedad. La colaboración del paciente constituye un factor decisivo para continuar el tratamiento interdisciplinario o dar por concluido este.9 En este caso se estaba ante una paciente con una gran motivación y expectativa hacia su tratamiento y los resultados de este.
Los pacientes deben tener un constante monitoreo periodontal y mantener bajo control la placa dentobacteriana. La relación ortodoncia-periodoncia debe mantenerse en todas las etapas del tratamiento ortodóncico.4 La educación en higiene bucal es fundamental para obtener un resultado exitoso durante y al final del tratamiento.11 Los aparatos de ortodoncia, por lo general, tienen un efecto negativo en la higiene oral, por lo tanto, una cuidadosa evaluación y motivación se hacen necesarias. Se aconsejan citas de revisión periodontales una vez cada 3 meses, durante el período de tratamiento activo de ortodoncia.1
La paciente cumplió de manera estricta con estas orientaciones. El cuidado de la higiene bucal y el seguimiento periodontal contribuyeron al mantenimiento de la salud periodontal necesaria para la realización de los movimientos ortodóncicos, al ser el ligamento periodontal la fuente de los elementos celulares que intervienen en este movimiento.
Al planificar cualquier tratamiento, el ortodoncista tiene en cuenta la situación actual de los tejidos óseos y dentarios y su evolución previsible, con el fin de conseguir el mejor efecto terapéutico. Sin embargo, no debe excluir de su sistemática la valoración de los tejidos blandos periodontales, elemento esencial sin el que resulta imposible alcanzar la excelencia en los resultados.9
El paciente adulto es quien por lo general recibe tratamiento combinado orto- periodontal.1 En este caso particular, la edad es un elemento de consideración. Al aumentar la edad, la actividad celular disminuye y los tejidos se hacen más ricos en colágeno, afectan la respuesta de los tejidos adultos a las fuerzas ortodóncicas. Esto se debe a los cambios fisiológicos que sufre el tejido periodontal en el adulto, donde el hueso alveolar está menos vascularizado y los espacios medulares adquieren más tejido adiposo. Del mismo modo, la tasa de renovación celular en el ligamento periodontal es menor en el adulto, la situación es más estable, y las fibras colágenas son más gruesas, lo que retrasa la respuesta proliferativa ante la aplicación de fuerzas ortodoncias.
Aristizábal y Martínez presentan casos de pacientes con enfermedad periodontal tratados con ortodoncia e igualmente obtienen resultados de tratamiento según lo planificado; pero requieren en dos pacientes adultos de 41 años un período más largo de tratamiento; 30 y 24 meses.12
La decisión de extraer incisivo inferior fue adoptada teniendo en cuenta varios elementos.
El análisis del espacio evidenció una discrepancia hueso-diente de -1,9 mm, espacio que podría conseguirse fácilmente con expansión o striping en cualquier caso. La posibilidad de expansionar la arcada dentaria inferior se encontraba supeditada a la necesidad de expansión superior. Sin embargo, el elemento que definitivamente condujo al rechazo de esta maniobra fue la posibilidad de incrementar la recesión periodontal. En relación con el tratamiento ortodóntico, no se ha demostrado que este en sí ocasione recesiones gingivales. No obstante, se ha reportado que el movimiento de dientes hacia vestibular fuera de la envoltura del hueso alveolar genera pérdida de la cortical bucal y una disminución del grosor de la encía debido al estrechamiento de las fibras tisulares gingivales. Castro Rodríguez no encontró evidencia de la relación entre movimientos ortodóncicos y aparición de recesiones gingivales. No obstante, concluye que el principal movimiento ortodóncico que ocasiona recesiones gingivales postratamiento son los movimientos de vestibularización.13
Por otra parte, la necesidad de espacio para resolver el caso era mayor, teniendo en cuenta que la curva de Spee se encontraba aumentada y que se requería su nivelación, y que los incisivos se encontraban protruidos. Además, los requisitos para conseguir una oclusión mutuamente protegida imponen la ubicación de los incisivos de manera que permitan una guía anterior y los requerimientos periodontales contraindicaban la expansión para conseguir el espacio, por la delgadez de la tabla ósea vestibular y la recesión periodontal presente.
Para conseguir la nivelación de la curva de Spee se necesitó intruir los incisivos 2 mm y por cada mm de aplanamiento de la curva por intrusión de los incisivos es necesario 0,5 mm de aumento de la longitud del arco.14 Este proceder permitiría además el incremento de la inserción periodontal y la reducción de la movilidad dentaria. El resto del espacio generado por la extracción (3,1 mm) se empleó en la reducción de la protrusión dentaria.
En la arcada dentaria superior la discrepancia hueso-diente positiva permitió la intrusión de los incisivos extruidos.
Se debe ser cauteloso al aplicar fuerzas a los dientes con enfermedad periodontal. La intrusión es un movimiento muy peligroso, pero posible y útil para mejorar la estética (especialmente en incisivos extruidos) y la función.
Aun en pacientes con periodonto sano la intensidad de la fuerza empleada en este tipo de movimiento no debe exceder los 15g para proteger las raíces dentarias de la reabsorción. El arco utilitario seccional de Rickets se empleó para manipular los cuatro incisivos superiores e inferiores desde la región molar, para alinear, sostener e instruir estos dientes. Además, se modificó el diseño del arco utilitario inferior, para retruir los incisivos inferiores sin perturbar a los caninos o premolares, ni depender de ellos. Este aparato permitió el anclaje molar durante la intrusión y retrusión de los incisivos inferiores luego de la extracción incisiva y un control estricto de la fuerza aplicada en ambas arcadas dentarias, lo cual fue sumamente importante en este caso. Contribuyó además a la reducción del tiempo de tratamiento.15
Conclusiones
En esta paciente adulta con secuelas de una enfermedad periodontal crónica se consiguió, a partir de la aplicación del tratamiento de Ortodoncia, corregir las anomalías de posición dentarias y de la oclusión, y devolver a la paciente la estética perdida y una oclusión funcional. Las decisiones terapéuticas consideraron el estado del periodonto, el control de la enfermedad y la edad de la paciente. Las fuerzas aplicadas fueron extremadamente controladas y el tiempo de tratamiento el menor posible. La motivación y el cuidado de la higiene bucal contribuyeron a los resultados alcanzados.
Referencias bibliográficas
1. Bueno L. Ortodoncia y Periodoncia, dos especialidades que van de la mano. Rev Fundac Juan José Carraro [Internet]. 2004 Jun;9(18):41-5. [Citado 27/03/2018]. Disponible en: Disponible en: https://www.colibri.udelar.edu.uy/jspui/bitstream/123456789/2540/1/Bueno_L_2004.pdf
2. Rodríguez Molinero J, Doniz March M, Parrilla García MS, Ruslanova Karatancheva M, Tafalla Pastor H, Vasallo Torres FJ. Tratamiento ortodóncico en pacientes periodontales. Gac Dent [Internet] 2009 sep; 206:140-7. [Citado 27/03/2018]. Disponible en: Disponible en: https://www.gacetadental.com/2011/09/tratamiento-ortodncico-en-pacientes-periodontales-25680/
3. Moreno Moreno JJ, Covarrubias Güitrón M, García López E. Movimiento dentario ortodóncico: factores modificantes y alteraciones tisulares, revisión bibliográfica. Rev Latin Ortod Odontopediatría [Internet]. 2016;16. [Citado 21/03/2018 ]. Disponible en: Disponible en: https://www.ortodoncia.ws/publicaciones/2016/art-16/
4. Russell Valentín DA, Lara Mendieta P. Tratamiento ortodóncico en un paciente adulto con enfermedad periodontal inactiva. Rev Mex Ortod [Internet]. 2016 Ene-Mar;4(1):49-55. [Citado 21/03/2018]. Disponible en: Disponible en: http://www.medigraphic.com/pdfs/ortodoncia/mo-2016/mo161h.pdf
5. Hernández Girón F, Tavira Fernández S. Ortodoncia en un paciente adulto mayor. Rev Mex Ortod [Internet]. 2014 Sep;2(3):192-9. [Citado 27/03/2019]. Disponible en: Disponible en: https://www.sciencedirect.com/science/article/pii/S2395921516301489
6. Peña Raza CP, López Sedano D. Consecuencias periodontales después del tratamiento de ortodoncia en pacientes adultos con apiñamiento severo. Rev Latin Ortod Odotop [Internet]. 2017 Dic;49. [Citado 27/03/2019]. Disponible en: Disponible en: https://www.ortodoncia.ws/publicaciones/2017/art-49/
7. Arias Altamirano N E, Tavira Fernández S. Aumento de hueso en defecto vertical a través de intrusión ortodóncica en paciente adulto con periodonto reducido. Rev Mex Ortod [Internet]. 2017 Jul-Sep; ;5(3): 165-9. [Citado 01/06/2019]. Disponible en: Disponible en: https://www.medigraphic.com/pdfs/ortodoncia/mo-2017/mo173e.pdf
8. Santoyo Rivas P, Tavira Fernández S. Tratamiento de ortodoncia acelerada en paciente con tejidos periodontales reducidos. Caso clínico. Rev Mex Ortod [Internet]. 2015 Abr-Jun;3(2): 120-7. [Citado 01/06/2019]. Disponible en: Disponible en: https://www.sciencedirect.com/science/article/pii/S2395921516000362
9. Tortolini P, Fernández Bodereau E. Ortodoncia y periodoncia. Av Odontoestomatol [Internet]. 2011 Ago;27(4): 197-206. [Citado 01/03/2018]. Disponible en: Disponible en: http://scielo.isciii.es/scielo.php?script=sci_arttext&pid=S0213-12852011000400004&lng=es
10. Vanessa Gallo L, Gurrola Martínez B, Casasa Araujo A. Ortodoncia después de los 40 años, caso clínico. Rev Latin Ortod Odontop [Internet]. 2017 Dic;38. [Citado 27/03/2019]. Disponible en: Disponible en: https://www.ortodoncia.ws/publicaciones/2017/art-38/
11. Quintero J, Vivas G, Rey L, García R, Araque S, Zerpa Y. Alteraciones de los tejidos periodontales en pacientes con ortodoncia. Una revisión sistemática. Rev IADR. [Internet]. 2017;5(1): 119-40. [Citado 21/03/2018]. Disponible en: Disponible en: http://erevistas.saber.ula.ve/index.php/rvio/article/view/7975
12. Aristizábal JF, Martínez Smit R. Tratamiento ortodóncico y periodontal combinado en pacientes con periodontitis agresiva tratada y controlada. Rev Fac Odontol Univ Antioq [Internet]. 2014 Dic;26(1):180-204. [Citado 21/03/2018]. Disponible en: Disponible en: http://www.scielo.org.co/scielo.php?script=sci_arttext&pid=S0121-246X2014000200012&lng=en
13. Castro Rodríguez Y, Grados Pomarino S. Movimiento dentario ortodóntico y su asociación con la presencia de recesiones gingivales. Rev Odont Mex [Internet]. 2017 Ene-Mar;21(1):8-12. [Citado 21/03/2018]. Disponible en: Disponible en: http://www.medigraphic.com/pdfs/odon/uo-2017/uo171b.pdf
14. Gregoret J. Ortodoncia y cirugía ortognática diagnóstico y planificación clínica. Barcelona: Spaxs SA. 1998. 277-85p
15. Ricketts RM, Bench RW, Gugino CF, Hilgers JJ, Schulhof RJ, Mountain R. Técnica bioproqresiva de Ricketts. 2da Ed. Buenos Aires: Editorial Panamericana; 1983. 226-40p.
Notas de autor
*Autor para la correspondencia: suamiglez@infomed.sld.cu