Ciencias básicas biomédicas
Efectos del Factor de crecimiento epidérmico sobre las características histológicas del riñón en ratas con Insuficiencia renal crónica
Effects of Epidermal growth factor on histological features of the kidney in rats with Chronic kidney failure
Efectos del Factor de crecimiento epidérmico sobre las características histológicas del riñón en ratas con Insuficiencia renal crónica
Revista Habanera de Ciencias Médicas, vol. 19, núm. 4, e3048, 2020
Universidad de Ciencias Médicas de La Habana
Recepción: 13 Noviembre 2019
Aprobación: 20 Mayo 2020
RESUMEN
Introducción: la Insuficiencia renal crónica es un problema de salud pública, por lo que surge la necesidad de incrementar las acciones dirigidas a su prevención, diagnóstico e intervenciones terapéuticas eficaces; estudios recientes emplean el Factor de crecimiento epidérmico para evaluar su efecto reno-protector en variables funcionales; sin embargo se carece de estudios relacionados con los efectos de este producto sobre las características histológicas de riñones insuficientes.
Objetivo: determinar los posibles efectos protectores y/o reparadores del Factor de crecimiento epidérmico humano recombinante sobre las características histológicas de riñones con insuficiencia renal crónica.
Material y métodos: se trabajó con tres series, formadas por un grupo control y uno experimental cada una, de cinco animales, a los grupos experimentales se les realizó ablación quirúrgica de 5/6 de la masa renal. La serie A se conformó por animales controles, la B por los tratados con Factor de crecimiento epidérmico 24 horas antes del procedimiento y la C por los tratados con el bioproducto 24 horas después. Pasados 56 días del acto operatorio a los animales se les practicó la eutanasia y se procedió al estudio histológico del riñón.
Resultados: en los animales de la serie A se observaron alteraciones histológicas en los corpúsculos y túbulos renales, en la serie B se observó que la mayor parte del parénquima renal presentó características normales y los de la serie C mostraron un daño renal incrementado.
Conclusiones: El Factor de crecimiento epidérmico humano recombinante posee efecto reno-protector, sin embargo, no ofrece efecto reno-reparador.
Palabras Clave: biomodelo+ insuficiencia eenal crónica+ histología del riñón+ Factor de crecimiento epidérmico.
ABSTRACT
Introduction: Chronic Kidney Failure is a public health problem; therefore, the need for actions aimed at its prevention, diagnosis and effective therapeutic interventions is a most. Recent studies use the Epidermal Growth Factor to evaluate its reno-protective effect on functional variables; however, there are no studies related to the effects of this product on histological features of kidney in chronic failure.
Objective: To determine the possible protective and / or repair effects of recombinant human epidermal growth factor on the histological features of kidneys in chronic renal failure.
Material and methods: We worked with three series, each consisting of a control group and an experimental group of five animals. The experimental groups underwent 5/6 surgical ablation of the renal mass. Series A consisted of control animals, series B included those animals treated with Epidermal Growth Factor 24 hours before the procedure and series C was made up of those animals treated with the bioproduct 24 hours after the procedure. Fifty-six days after surgical act, euthanasia was practiced on the animals and the kidneys were histologically studied.
Results: Histological alterations were observed in the renal corpuscles and tubules in the animals included in series A; in series B it was observed that most of the renal parenchyma presented normal characteristics and those in series C showed increased kidney damage.
Conclusions: Recombinant human epidermal growth factor has a reno-protective effect; however, it does not offer a repair effect of acute kidney.
Keywords: Animal model, Chronic Renal Failure, histology of the kidney, Epidermal Growth Factor.
Introducción
Desde los primeros años de este siglo se define a la enfermedad renal como la alteración morfológica y/o funcional del riñón que persiste por más de 3 meses, con implicaciones para la salud.1 Se considera una pandemia ya que afecta a alrededor del 15 % de la población mundial, e impacta sobre los sistemas de salud, con implicaciones sanitarias, económicas y sociales.1,2
De acuerdo con esta problemática la Organización Mundial de la Salud (OMS) considera que se deben incrementar las acciones de salud dirigidas a su prevención y diagnóstico precoz, las cuales unidas a intervenciones eficaces con terapia de bajo costo, pueden disminuir el ritmo de progresión de la enfermedad.3,4 En este sentido la comunidad científica se muestra interesada por encontrar vías de solución al problema, o al menos minimizar los daños.
Estudios sobre insuficiencia renal crónica (IRC) recientes, emplean el Factor de crecimiento epidérmico (EGF, derivado de las siglas en inglés Epidermal Growth Factor), para evaluar su efecto reno-protector sobre variables de función renal con resultados alentadores.5 Sin embargo, no se cuenta con investigaciones en las que se investiguen las características histológicas de los riñones en relación con los posibles efectos protectores o reparadores del EGF sobre estos.
Por otra parte, la posibilidad de realizar investigaciones clínicas de alta calidad afronta serias dificultades éticas y otras relacionadas con el control y monitoreo de la ingesta en pacientes que tienen diferentes hábitos dietéticos, estilos de vida y cultura, por lo que, con la finalidad de contribuir en alguna medida al conocimiento sobre esta problemática de salud, se ha desarrollado el estudio de esta enfermedad en biomodelos.6
Los biomodelos de IRC pueden dividirse en dos grandes grupos, los quirúrgicos y los químicos, los biomodelos quirúrgicos se obtienen por nefrectomía subtotal en diversos grados, aunque los más reportados son los que se producen por nefrectomía 5/6.6,7,8,9 Entre ellos se reportan disímiles diferencias relacionadas con los resultados de las variables funcionales y morfológicas que expresan, inclusive en su posible analogía con las enfermedades en el humano.8,9,10,11,12
En la presente investigación se utiliza un Biomodelo de IRC por ablación de 5/6 de la masa renal con el uso del Tisuacryl para el sellaje de la zona quirúrgica, en ratas Wistar; en el cual se logra establecer condiciones experimentales confiables y reproducibles, creado en el laboratorio de estudios de la Fisiología renal del Instituto de ciencias básicas y preclínicas (ICBP):”Victoria de Girón”;13 con el objetivo de determinar los posibles efectos protectores y/o reparadores del Factor de crecimiento epidérmico humano recombinante sobre las características histológicas de riñones con insuficiencia renal crónica.
Material y Métodos
Se realizó un estudio experimental, prospectivo y longitudinal, en ratas macho de la línea Wistar, no isogénicas, de 11 semanas, con un rango de peso entre 200 y 250 gramos, procedentes del Centro nacional para la producción de animales de laboratorio (CENPALAB), en el periodo comprendido entre diciembre del año 2018 y marzo de 2019.
Estos se distribuyeron en tres series de trabajo (A, B y C), de dos grupos cada una, uno control y otro experimental. Cada grupo quedó conformado por 5 animales, para un total de 30.
La serie A se integró con los animales controles, un grupo control negativo al que se le realizó laparotomía por incisión media abdominal y se disecaron ambos paquetes vasculonerviosos renales y un grupo control positivo al que se le realizó el procedimiento quirúrgico correspondiente al biomodelo de IRC, por ablación de 5/6 de la masa renal,13 se utilizó como sellante de la superficie de corte el adhesivo tisular Tisuacryl, de producción nacional.
La serie B se formó por un grupo control positivo del biomodelo de IRC y un grupo experimental al que se le aplicó el EGF humano recombinante (EGF-hr), en una única dosis, 24 horas antes del procedimiento quirúrgico, para la evaluación del efecto reno-protector.
La serie C se diseñó para la evaluación del efecto trófico-reparador en el riñón (reno-reparador), con un grupo control positivo del biomodelo de IRC y otro experimental en el cual se empleó el esquema de dosis múltiples del EGF-hr, a razón de tres dosis semanales por ocho semanas, comenzando 24 horas después de producido el daño (Biomodelo de IRC).
Se utilizó una dosis de EGF-hr de 100 µg/Kg14 de peso corporal del animal, diluidos en 1 mL de suero fisiológico, por vía intraperitoneal. En el caso de los animales de los grupos controles de las series B y C, se les aplicó solución salina de cloruro de sodio al 0,9 %, en igual volumen y vía de administración que a los grupos experimentales.
Al final del tiempo de experimentación cada animal se anestesió con Pentobarbital sódico a razón de 50 mg/kg de peso. Se extrajeron ambos riñones en las ratas de los grupos controles y la masa remanente de riñón izquierdo para los grupos experimentales con la utilización de tijeras, bisturí y pinzas sin dientes, en un tiempo inferior a cinco minutos, los cuales fueron lavados en solución salina al 0,9 %.
Se seccionaron los riñones mediante un corte sagital a través del hilio y se procedió a la inmersión de las hemisecciones en una disolución de formalina 10 % para su fijación. Con posterioridad se deshidrataron en alcoholes crecientes, se aclararon con xilol y fueron procesadas por el método convencional de inclusión en parafina 15. Se obtuvieron cortes de 3 µm de grosor y se utilizaron las técnicas de coloración: hematoxilina y eosina,15,16 tricrómica de Mallory15,16 y la reacción del ácido peryódico de Schiff (PAS).15,16 Los cortes fueron observados bajo un microscopio Karl Zeiss a 100x, 400x y 1000x de magnificación.
En el corpúsculo renal se analizaron los parámetros de daño glomerular:17 hipercelularidad, infiltración leucocitaria, presencia de sinequias en el ovillo glomerular, bandas de fibrina, formación de semilunas, engrosamiento de la membrana basal glomerular, dilatación de las asas capilares, hialinización y esclerosis. Estas lesiones fueron subdivididas en difusas, generalizadas, focales o segmentarias.17
En los túbulos renales se analizó la altura del epitelio, las características del ribete en cepillo, la denudación de la membrana basal tubular (MBT), así como la presencia o ausencia de células con núcleos apoptóticos, balonados o picnóticos, la vacuolización celular, los signos de necrosis y la presencia de células descamadas en la luz.17 Se consideró daño tubular a la ausencia del ribete en cepillo, la presencia de células vacuoladas y con signos de necrosis, células descamadas en la luz y/o alteraciones de la MBT.17,18 En el intersticio se analizó la presencia de infiltrado inflamatorio y/o fibrosis peritubulares.
Todos los animales fueron recibidos con los correspondientes certificados de calidad higiénico- sanitaria y genética. A su llegada al Bioterio del ICBP: “Victoria de Girón” se cumplió con el periodo de cuarentena, para la aclimatación a las nuevas condiciones, este Bioterio cumple con las reglamentaciones establecidas para el mantenimiento de los animales. Durante todo el trabajo experimental se cumplieron con los periodos de luz y oscuridad, 12 horas, así como temperatura y humedad relativas controladas. Todos los procedimientos en el trabajo con los animales incluyendo la eutanasia, fueron sometidos y aprobados por el comité de ética de la investigación institucional y cumplen con las regulaciones establecidas por los comités internacionales para el cuidado de los animales, en la Declaración universal de los derechos del animal y en el pre proyecto de ley nacional referente a la protección de animales.
Resultados
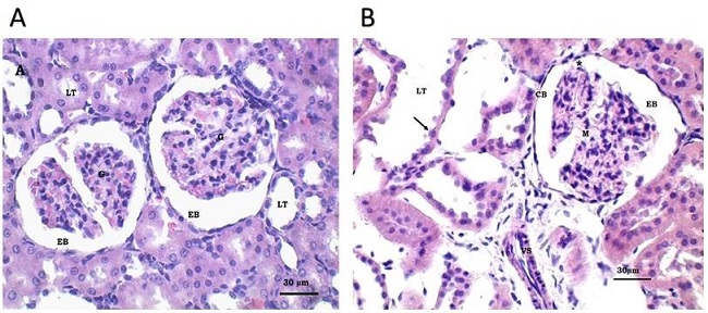
En los riñones de los animales de la serie A, correspondiente al grupo control negativo, se observaron características histológicas normales. No se observaron signos de infiltración inflamatoria y los vasos sanguíneos mostraron características histológicas normales (Figura 1: A).
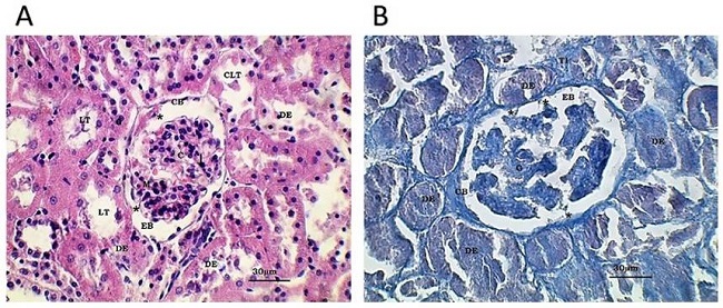
En el grupo control positivo de esta serie, se observó que la mayoría de los corpúsculos presentaban alteraciones caracterizadas por incremento de tamaño, hipercelularidad y aumento de la matriz mesangial glomerular, también se observó dilatación del espacio de Bowman con presencia de adherencias, engrosamiento de la cápsula, sinequias y un escaso número presentó discontinuidad de la hoja parietal; en aislados glomérulos se observó retracción del ovillo glomerular, mientras escasos corpúsculos presentaron apariencia normal. No se observaron signos de infiltración inflamatoria glomerular, ni alteración en los capilares. (Figura 1: B).

Se encontró un predominio de túbulos dilatados, en algunos se observó reducción de la altura del epitelio, pérdida del ribete en cepillo, signos de necrosis de las células epiteliales, células desprendidas y material hialino acidófilo hacia la luz, pérdida de la integridad de las MBT, que alternaban con túbulos renales de características histológicas normales. Se identificó escaso infiltrado inflamatorio focal hacia la región peritubular en algunos animales. No se constató engrosamiento del intersticio con incremento de fibras colágenas, ni se comprobaron cambios notables en los vasos sanguíneos. (Figura 1: B).
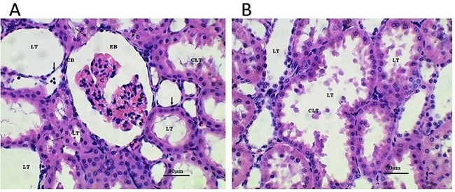
La corteza renal de los animales del grupo control de la serie B, a los que se les suministró solución salina, presentó características histológicas similares a las observadas en el grupo control positivo de la serie A, correspondientes al modelo de IRC, descritos con anterioridad. (Figura 2: A y B).

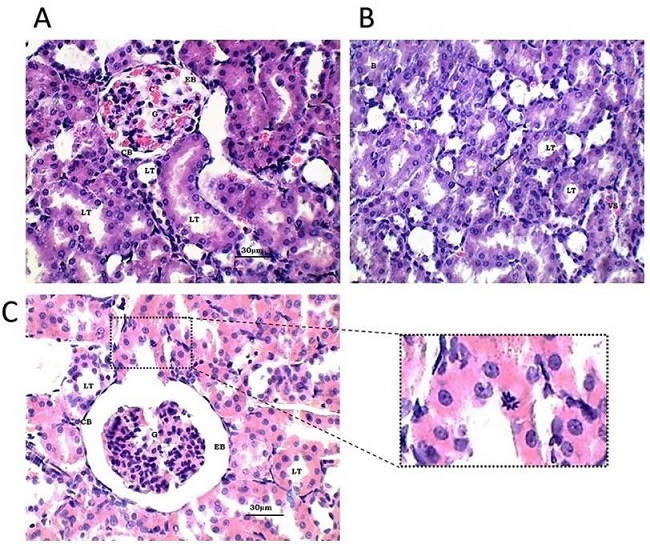
En el grupo experimental de esta serie B, tratados con una dosis de EGF-hr 24 horas antes de producido el daño, biomodelo de IRC, se observó que, en la corteza renal de la mayoría de los animales, alrededor de la mitad de los corpúsculos presentaron características histológicas de apariencia normal, en el resto se observó aumento de tamaño de los corpúsculos, hipercelularidad e incremento de la matriz mesangial glomerular, dilatación del espacio de Bowman con aisladas adherencias y sinequias (Figura 3: A). En los túbulos se observó el predominio de características histológicas normales con zonas de escasas alteraciones. El daño tubular difuso se caracterizó por dilatación de las luces sin que se apreciara aplanamiento del epitelio, tumefacción de las células epiteliales en grado discreto, vacuolización citoplasmática en células aisladas, presencia de células descamadas en la luz de algunos túbulos y denudación de la membrana basal. No se observó dilatación capilar en el intersticio, ni signos de inflamación aguda. (Figura 3: B y C).

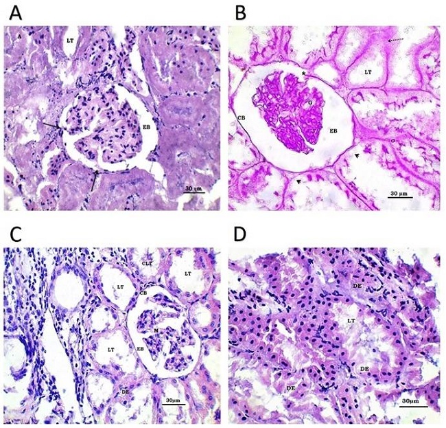
En el análisis de la corteza renal del grupo control de la serie C, al que se le administró solución salina al 0,9 % en múltiples dosis, se observó un incremento del daño renal en relación con el grupo control positivo del modelo de IRC, dado por hipertrofia en la mayor parte de los corpúsculos, hipercelularidad con aumento de la matriz mesangial glomerular, dilatación del espacio de Bowman, presencia de numerosas adherencias, sinequias y un elevado número presentó discontinuidad de la hoja parietal de la cápsula de Bowman. En aislados corpúsculos se observó retracción del ovillo glomerular, depósitos de material hialino y capilares dilatados. (Figura 4: A, B y C).
Además, se encontró un predominio de túbulos proximales y distales dilatados, con marcada reducción de la altura del epitelio e irregularidad del diámetro de la luz, pérdida del ribete en cepillo de los túbulos proximales, signos de necrosis de las células epiteliales con células descamadas hacia la luz y pérdida de la integridad de las MBT. Se identificaron signos de infiltración inflamatoria en el intersticio, que se mostró engrosado y cambios notables en los vasos sanguíneos. (Figura 4: D).

En la corteza renal del grupo experimental de esta serie, tratados con múltiples dosis de EGF-hr 24 horas después del procedimiento quirúrgico, se observaron características histológicas similares a las del grupo control positivo (modelo de IRC a los 56 días de evolución) de la serie A. (Figura 5: A y B).

Discusión
En la presente investigación los resultados obtenidos mostraron que se afectaron las características histológicas del riñón, en los animales del grupo control positivo de la serie A, correspondientes al Biomodelo caracterizado por ablación de 5/6 de la masa renal en ratas Wistar a los 56 días de tratamiento post quirúrgico, comprobándose cambios importantes en la arquitectura de los corpúsculos renales, túbulos e intersticio. Estos resultados apoyan criterios que expresan cómo la disminución del número de nefronas funcionantes se asocia a una pérdida progresiva e irreversible de la morfología y la función renal.13,19,20
En los riñones de los animales de 56 días con IRC, tratados con una sola dosis de EGF-hr antes del procedimiento quirúrgico, para la evaluación del efecto reno-protector, se comprobó una mejoría, que se evidenció por la disminución de las alteraciones glomerulares, presentadas en alrededor de la mitad de los corpúsculos de las masas renales remanentes, con escasas alteraciones tubulares e intersticiales. Cambios observados en animales estudiados en este modelo, pero con menor tiempo de evolución. Esto revela un posible efecto protector del EGF sobre el riñón, por la acción estimuladora de la proliferación y de la diferenciación celular que tiene el EGF.21,22,23,24
En modelos experimentales empleados en farmacología, se ha evaluado el potencial efecto cito-protector del EGF, en particular el efecto gastro-protector en ratas expuestas a la instilación oral de etanol, en otros estudios se evalúa el efecto protector en el tejido nervioso, hígado y tejidos periféricos,5,25,26,27,28 en los que se reconocen los efectos sobre la atenuación del daño y la resistencia celular ante la lesión renal aguda, principalmente por división de células.29 Sin embargo, las evaluaciones del EGF en modelos de daño crónico, son mucho menos frecuentes en la literatura14,28 y con discrepancias en cuanto a su efectividad.
En los riñones de los animales de 56 días con IRC, tratados con múltiples dosis de EGF-hr después del procedimiento quirúrgico, no se lograron los mismos resultados, a pesar de haberse utilizado un esquema de administración de tres dosis semanales durante ocho semanas.5,13,14,22) Se mantuvieron las características histológicas similares a los riñones de ratas del grupo control positivo de la serie A, lo que demuestra que en el estudio, el EGF no ejerció efectos reparadores. No se logró revertir el daño morfológico instaurado.
Estos resultados pueden estar determinados por el daño crítico del riñón durante un tiempo de experimentación de 56 días, además téngase en cuenta que el EGF-hr se comenzó a administrar 24 horas después de realizado el proceder quirúrgico o de instalado el daño, estando expuesto el riñón durante estas primeras horas a isquemia, hipoxia, estrés postoperatorio, inflamación, entre otros factores; que le pudieran impedir a las células ya afectadas responder a las acciones del EGF.
En el grupo de animales de 56 días con IRC, tratados con múltiples dosis de solución salina después del procedimiento quirúrgico, se observaron mayores alteraciones en las características histológicas del riñón, que los animales del grupo experimental de esta serie, lo que puede ser explicado por la sobrecarga de volumen y sal que recibieron estos animales con IRC, tres veces por semana, lo que representó una recarga para la actividad renal.1,30 No se observaron alteraciones notables en los vasos sanguíneos.
La mejoría morfológica encontrada en el estudio de reno-protección, no así en el de reno-reparación, fue un comportamiento plausible por ser más factible la protección del tejido antes del daño, que la reparación del tejido dañado. Efecto logrado por la administración sistémica del EGF-hr, a concentraciones suprafisiológicas, que se traduce en acciones farmacológicas por extensión o amplificación de las respuestas biológicas de mitogénesis, motogénesis, inducción de la diferenciación celular y cito-protección.
Conclusiones
La administración del Factor de crecimiento epidérmico humano recombinante ejerce efecto reno-protector, sin embargo, no muestra efecto reno-reparador, sobre las características histológicas de riñones con insuficiencia renal crónica.
Referencias bibliográficas
1. Martínez Castelao A, Górriz JL, Bover J, Segura de la Morena J, Cebollada J, Escalada J, et al. Documento de consenso para la detección y manejo de la enfermedad renal crónica. Aten Primaria. 2014 Nov;46(9):501-19.
2. Salvador González B, Rodríguez Pascual M, Ruipérez Guijarro L, Ferré González A, Cunillera Puertolas O, Rodríguez Latre LM. Enfermedad renal crónica en Atención Primaria: prevalencia y factores de riesgo asociados. Aten Primaria. 2015 Apr;47(4):236-45.
3. Ministerio de Salud Pública. Anuario Estadístico de Salud 2019 [Internet]. La Habana: Ministerio de Salud Pública; 2019 [Citado 14/10/2019]. Disponible en: Disponible en: https://files.sld.cu/bvscuba/files/2020/05/Anuario-Electr%C3%B3nico-Espa%C3%B1ol-2019-ed-2020.pdf
4. Magrans Buch Ch, Barranco Hernández E, Ibars Blañoz EV. Hemodiálisis y Enfermedad Renal Crónica. La Habana: ECIMED; 2016.
5. Bencomo DT, Brito S del R, González TM. Efecto del Factor de crecimiento epidérmico humano recombinante en estadios iniciales de insuficiencia renal crónica experimental. Resumen. Rev Habanera Cienc Médicas [Internet]. 2005 [Citado 30/11/2017];4(5):[Aprox. 2 p.]. Disponible en: Disponible en: http://www.revhabanera.sld.cu/index.php/rhab/article/view/841
6. Pérez García CC. Biomodelos experimentales en la insuficiencia renal crónica [Internet]. Madrid: Real Academia de Ciencias Veterinarias; 1995 [Citado 26/11/2018]. Disponible en: http://www.racve.es/publicaciones/biomodelos-experimentales-en-la-insuficiencia-renal-cronica/
7. Agaty SM. Triiodothyronine attenuates the progression of renal injury in a rat model of chronic kidney disease. Can J Physiol Pharmacol. 2018 Jun;96(6):603-10.
8. Fujihara CK, Kowala MC, Breyer MD, Sena CR, Rodríguez MV, Arias SCA, et al. A Novel Aldosterone Antagonist Limits Renal Injury in 5/6 Nephrectomy. Sci Rep. 2017 Aug 11;7(1):7899.
9. Van Koppen A, Verhaar MC, Bongartz LG, Joles JA. 5/6th nephrectomy in combination with high salt diet and nitric oxide synthase inhibition to induce chronic kidney disease in the Lewis rat. J Vis Exp Jove. 2013 Jul; (77):e50398.
10. Pawlak D, Domaniewski T, Znorko B, Oksztulska Kolanek E, Lipowicz P, Doroszko M, et al. The impact of peripheral serotonin on leptin-brain serotonin axis, bone metabolism and strength in growing rats with experimental chronic kidney disease. BONE. 2017 Dec;105:1-10.
11. Saracyn M, Czarzasta K, Brytan M, Murawski P, Lewicki S, Zabkowski T, et al. Role of Nitric Oxide Pathway in Development and Progression of Chronic Kidney Disease in Rats Sensitive and Resistant to its Occurrence in an Experimental Model of 5/6 Nephrectomy. Med Sci Monit [Internet].2017 Oct [Citado 26/11/2018];23:4865-73. Disponible en: https://www.ncbi.nlm.nih.gov/pmc/articles/PMC5649515/
12. Lai WS, Rais Bahrami S. Safety and Efficacy of En Bloc Renal Hilar Vascular Staple Ligation: A Meta-Analysis. J Urol. 2017 Jan;197(1):175-81.
13. Núñez Cairo CR. Biomodelo de insuficiencia renal crónica con el uso del tisuacryl en ratas. Rev Habanera Cienc Médicas [Internet]. 2012 [Citado 26/11/2018];11(5):593-604. Disponible en: http://www.revhabanera.sld.cu/index.php/rhab/article/view/1948
14. Núñez Cairo CR. Reno-protective and reno-restorative effect of the Epidermal Growth Factor in the biomodel of Chronic Renal Failure. Rev Habanera Cienc Médicas [Internet]. 2017 [Citado 26/11/2018];16(6):1032-43. Disponible en: http://www.revhabanera.sld.cu/index.php/rhab/article/view/2144
15. Salama AD, Cook HT. The Renal Biopsy. In: Taal MW, Chertow GM, Marsden PA, Sckorecki K, Yu A SL. Brenner and Rector´s The Kidney. 10 ed [Internet]. Amsterdam: Elsevier; 2011. p. 2962-72 [Citado 26/11/2018]. Disponible en: Disponible en: https://www.us.elsevierhealth.com/brenner-and-rectors-the-kidney-2-volume-set-9781455748365.html
16. Conn H. Biological Stain Geneva NY Biotech Publication 1953. In: Gretchem L. Animal Tissue Techniques [Internet]. London: WH Freeman and company; 1962. p.809-23 [Citado 26/11/2018]. Disponible en:https://pdfslide.net/documents/animal-tissue-techniques-1962.html
17. Kumar V, Abbas AK, Aster JC, eds. Kidney and Its Collecting System. En su: Robbins Basic Pathology. 9 ed [Internet]. Philadelphia: Saunders; 2013. p. 734-76. [Citado 26/11/2018]. Disponible en: Disponible en: https://www.elsevier.com/books/robbins-basic-pathology/kumar/978-1-4377-1781-5
18. Cohen A. Renal Anatomy and Basic Concepts and Methods in Renal Pathology. En su: Fundamentals of Renal Pathology [Citado 26/11/2018]. New York: Springer Science Business Media; 2006. p. 608-23. Disponible en: Disponible en: https://www.springer.com/gp/book/9780387311272
19. Carrera M, Poveda R. Histología renal y morfometría del intersticio en pacientes nefróticos tratados con ciclosporina. Nefrología [Internet]. 1995 [Citado 24/05/2016];15(3):[Aprox. 2 p.]. Disponible en: http://www.revistanefrologia.com/es-publicacion-nefrologia-articulo-histologia-renal-morfometria-del-intersticio-pacientes-nefroticos-tratados-con-ciclosporina-X0211699595007499
20. Patel HD, Druskin SC, Rowe SP, Pierorazio PM, Gorin MA, Allaf ME. Surgical histopathology for suspected oncocytoma on renal mass biopsy: a systematic review and meta-analysis. BJU Int. 2017 May;119(5):661-6.
21. Yen TH, Alison MR, Goodlad RA, Otto WR, Jeffery R, Cook HT, et al. Epidermal growth factor attenuates tubular necrosis following mercuric chloride damage by regeneration of indigenous, not bone marrow-derived cells. J Cell Mol Med. 2015 Feb;19(2):463-73.
22. Rodríguez Salgueiro S, González Núñez L, García Del Barco Herrera D, Santos Febles E, Maza Ares D, Millares López R, et al. Role of epidermal growth factor and growth hormone-releasing peptide-6 in acceleration of renal tissue repair after kanamycin overdosing in rats. Iran J Kidney Dis. 2014 Sep;8(5):382-8.
23. Berlanga Acosta J, Fernández Montequín J, Valdés Pérez C, Savigne Gutiérrez W, Mendoza Marí Y, García Ojalvo A, et al. Diabetic Foot Ulcers and Epidermal Growth Factor: Revisiting the Local Delivery Route for a Successful Outcome. BioMed Res Int. 2017 Aug; 21:1-10.
24. Berlanga J, Fernández JI, López E, López PA, del Río A, Valenzuela C, et al. Heberprot-P: a novel product for treating advanced diabetic foot ulcer. MEDICC Rev. 2013 Jan;15(1):11-5.
25. Berlanga J. Heberprot-P: antecedentes experimentales y bases farmacológicas. Biotecnol Apl [Internet]. 2010 [Citado 24/05/2016];.27(2):88-94. Disponible en: https://elfosscientiae.cigb.edu.cu/PDFs/Biotecnol%20Apl/2010/27/2/BA002702RV081-087.pdf
26. Perez Saad H, Subiros N, Berlanga J, Aldana L, Garcia Del Barco D. Neuroprotective effect of epidermal growth factor in experimental acrylamide neuropathy: an electrophysiological approach. J Peripher Nerv Syst JPNS. 2017 Jun;22(2):106-11.
27. Valenzuela Silva CM, Tuero Iglesias AD, García Iglesias E, González Díaz O, del Río Martí A, Year Alos IB, et al. Granulation response and partial wound closure predict healing in clinical trials on advanced diabetes foot ulcers treated with recombinant human epidermal growth factor. Diabetes Care [Internet]. 2012 [Citado 24/05/2016];35:[Aprox. 2 p.]. Disponible en:https://www.ncbi.nlm.nih.gov/pubmed/22966096
28. Hotchkiss H, Chu TT, Hancock WW, Schröppel B, Kretzler M, Schmid H, et al. Differential expression of profibrotic and growth factors in chronic allograft nephropathy. Transplantation. 2006 Feb;81(3):342-9.
29. Cornejo Uribe R. El factor de crecimiento epidérmico y la diferenciación celular del epitelio mamario. Int J Morphol. 2011;29(3):821-4.
30. Lamb EJ, Levey AS, Stevens PE. The Kidney Disease Improving Global Outcomes (KDIGO) guideline update for chronic kidney disease: evolution not revolution. Clin Chem. 2013 Mar;59(3):462-5.
Contribución de autoría
Notas de autor
*Autor para la correspondencia: crn@infomed.sld.cu
Declaración de intereses