Ciencias quirúrgicas
Recepción: 14 Octubre 2019
Aprobación: 13 Julio 2020
RESUMEN
Introducción: el embarazo ectópico se produce cuando el embrión se implanta fuera de la cavidad uterina, y se ubica mayormente en las trompas de Falopio.
Objetivo: presentar un caso clínico en el que la paciente desarrolló un embarazo ectópico en la cicatriz de una histerorrafia previa, fue diagnosticada cuando cursaba la sexta semana de gestación y se resistió ante la idea de perderlo irremediablemente, aunque su cuadro clínico es muy doloroso y se complica rápidamente.
Presentación del caso: paciente de 27 años de edad, de color de piel negra, con antecedente de cesárea previa 9 meses atrás. Según reporte ecográfico se diagnostica embarazo de 8,6 semanas de gestación localizado en la zona de cicatriz de cesárea previa. Recibe tratamiento inicial con metotrexate y cloruro de potasio, para luego ser intervenida quirúrgicamente a través de legrado instrumental, se corrobora diagnóstico ecográfico y se logra extraer el embrión exitosamente.
Conclusión: el manejo atendió a las características clínicas e individuales de la gestante y se respetó el principio de autonomía de la embarazada. La paciente pudo ser dada de alta con un estado de salud satisfactorio, conservó su capacidad de fecundidad.
Palabras clave: embarazo ectópico, embarazo abdominal, cesárea, cicatriz..
ABSTRACT
Introduction: Ectopic pregnancy occurs when the embryo is implanted outside the uterine cavity, mostly located in the fallopian tubes.
Objective: To present a clinical case in which the patient developed an ectopic pregnancy over a previous cesarean section scar; the diagnosis was made when she was in the sixth week of her pregnancy and she could not withstand the idea of losing the baby, but the clinical picture worsened, she was very painful and became complicated quickly.
Case report: Twenty-seven-year-old black patient with previous history of a cesarean section 9 months ago. According to ultrasound criteria, 8.6 weeks of pregnancy located in the area of a previous cesarean section scar is diagnosed. The patient receives initial treatment with methotrexate and potassium chloride to undergo a surgical procedure through instrumental intervention (curettage), confirming the diagnosis of the ultrasound and removing the embryo successfully.
Conclusions: The management was based on the clinical and individual characteristics of the pregnant woman respecting the principle of autonomy. The patient was in good health at the moment of discharge, preserving her fertility capacity.
Keywords: Ectopic pregnancy, abdominal pregnancy, cesarean section, scar.
Introducción
Albulcasis describe el embarazo ectópico por primera vez en 1863, desde entonces, su estudio se ha profundizado debido a las graves complicaciones que de este se derivan cuando no es oportunamente diagnosticado y tratado. Se define como la gestación que se presenta fuera de la cavidad uterina, que puede establecerse en diferentes localizaciones.1,2
Entre los principales factores de riesgo de esa entidad se señalan:3
Infección genital previa (especialmente la causada por Chlamydia trachomatis).
Cirugía tubaria previa.
Ligadura previa de las trompas.
Historia de embarazo ectópico anterior.
Uso de dispositivos intrauterinos.
Abortos provocados (sobre todo, los realizados con métodos inseguros).
La píldora del día siguiente.
La reproducción asistida.
Salpingitis ístmica nudosa.
Consumo de cigarrillos (20 o más por día).
El embarazo ectópico se ubica con mayor frecuencia en la trompa de Falopio (alrededor del 95 %); mientras que, solo un 1 % se reporta en el área de la cicatriz de una cesárea previa. El diagnóstico de este último se realiza generalmente cuando se cursa una edad gestacional entre la semana 5 y la 12; luego del primer trimestre, la madre corre un alto riesgo de rotura uterina y hemorragia masiva, generando la necesidad de tratamiento quirúrgico por histerectomía.4
La cesárea constituye el procedimiento quirúrgico para extraer el feto del útero materno mediante una incisión en la pared abdominal; en el mundo su incidencia se ha elevado considerablemente durante los últimos treinta años. Se relaciona con diferentes posibles complicaciones como: sangrado operatorio, infección del sitio quirúrgico, deciduomiometritis y otras (entre las que, muy raramente se reporta embarazo ectópico en el área de la cicatriz resultante).5
El embarazo ectópico en cicatriz de cesárea previa representa un alto riesgo de desarrollo de múltiples complicaciones: placenta acreta, perforación y hemorragia uterina e incluso muerte materna. La rareza de esta presentación con la consecuente necesidad de tomar conductas con celeridad, hacen que no exista consenso firme en cuanto a un tratamiento específico; la mayoría de las fuentes señalan el uso de metotrexate y cloruro de potasio principalmente, además del manejo quirúrgico en casos específicos.6
La fisiopatología del embarazo ectópico en la cicatriz de una histerorrafia previa no está firmemente descrita. Algunas teorías apuntan a la invasión del miometrio a través del tracto microtubular, pudiéndose formar entre la cicatriz de la cesárea y el canal del endometrio. También, se infiere que la migración precoz del blastocito por la cavidad uterina, las condiciones desfavorables para la implantación en la cavidad endometrial y el daño del canal cervical, representan factores desencadenantes en esta patología.7,8
Los investigadores se plantearon el objetivo de presentar un caso clínico en el que la paciente desarrolló un embarazo ectópico en la cicatriz de una histerorrafia previa, fue diagnosticada cuando cursaba la sexta semana de gestación y se resistió a la idea de que lo perdería irremediablemente, aunque su cuadro clínico es muy doloroso y se complica rápidamente. Los especialistas practican una combinación terapéutica medicamentosa y quirúrgica para que conserve su capacidad de fecundidad, que es el deseo manifestado fehacientemente por la gestante que no tiene ningún hijo vivo.
Presentación del caso
Anamnesis
Paciente de 27 años, de nacionalidad ecuatoriana, color de la piel negro, nivel de instrucción superior, con estado civil de unión libre, profesa la religión católica, diestra y con grupo sanguíneo ORh +.
Antecedentes
Clínico-patológicos personales y familiares de interés: no refiere.
Quirúrgicos: una cesárea 9 meses antes.
Ginecológicos y obstétricos: menarquia a los 13 años; ciclos menstruales regulares por 4 días sin dismenorrea; inicio de vida sexual a los 20 años; no refiere enfermedades de transmisión sexual; uso de anticonceptivos orales durante 5 meses; dos gestas; una cesárea; sin hijos vivos (el producto de la primera gesta tuvo cardiopatía congénita y falleció a los 8 días de nacida); 8,6 semanas de edad gestacional.
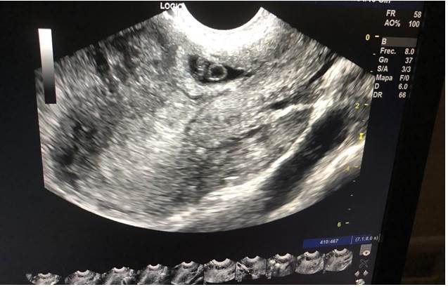
Otro antecedente ginecoobstétrico de interés estuvo dado por que la gestante acudió 19 días antes al servicio de emergencias por presentar dolor pélvico y sangrado vaginal; se establece un diagnóstico de ingreso de embarazo ectópico implantado en histerorrafia (corroborado mediante ecografía (Figura 1) en la que se visualiza saco gestacional regular con presencia de embrión de 6 semanas de gestación en su interior con latido cardíaco) más amenaza de aborto, se indicó maduración cervical, observación con revaloración e inicia tratamiento farmacológico con metotrexato (dos dosis) y cloruro de potasio. Cinco días después solicitó el alta voluntaria, pero reingresa ese mismo día con dolor abdominal en mesogastrio, los exámenes mostraron β-HCG en 13732, por lo que se decidió mantenerla en observación con antibióticoterapia, antes de proceder al alta con indicación de control en 8 días y nueva β-HCG.

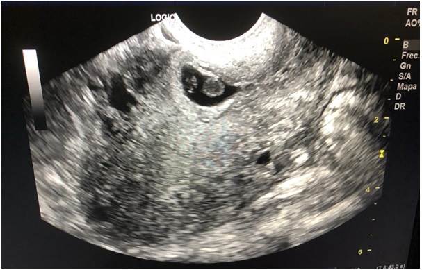
A tenor de esa última indicación, acude a servicio de consulta externa con un resultado reciente de laboratorio que muestra β-HCG de 6300. El médico tratante realiza ecografía que reporta ovillo vascular de 2.2 x 3cm en área de cicatriz de histerorrafia (Figura 2), se decide su ingreso para resolución quirúrgica (legrado instrumental).

Al realizar el examen físico se constata que la paciente está consciente y orientada en tiempo, espacio y persona; Glasgow 15/15; estado afebril, hidratada y sus signos vitales se encontraban dentro de parámetros normales.
La exploración ginecológica arrojó la presencia de rasgos grado IV en la escala de Tanner: glándulas mamarias desarrolladas; vello axilar presente; vulva con vello púbico ginecoide; labios mayores y menores, clítoris, meato urinario, periné y canal inguinal normales; ausencia de evidencia de pérdidas vaginales y sin sangrado vaginal. El tacto vaginal permitió apreciar el cérvix posterior de consistencia dura y el orificio cérvico externo cerrado.
Región abdominal suave, depresible, dolorosa a la palpación pélvica profunda, sin signos de irritación peritoneal y la altura de fondo uterino no era palpable.
Diagnóstico definitivo
Embarazo ectópico de implantación en histerorrafia previa.
Plan de tratamiento
Maduración cervical y expectativa quirúrgica.
Indicaciones al ingreso:
Nada por vía oral.
Control de signos vitales cada hora.
Medicación con lactato ringer 1000ml por vía intravenosa a 125ml/h.
Realización de exámenes de perfil quirúrgico, tipificación, pruebas cruzadas y β-HCG. (Tabla).
Alistamiento de 2 paquetes globulares.
Administración de misoprostol 400ug, 200ug sublingual y 200ug intravaginal stat.
Generación de consentimiento informado para procedimiento quirúrgico.
Realización de partes físicos.
Reporte de novedades.

Tratamiento farmacológico prequirúrgico:
400ug de misoprostol, 200ug sublingual y 200ug intravaginal stat (primera dosis).
400ug de misoprostol, 200ug sublingual y 200ug intravaginal stat (segunda dosis).
1000 cc de dextrosa en solución salina al 0.9 % más 10 UI de oxitocina, pasar IV a 125 cc/hora.
50 mg de ranitidina vía intravenosa cada 12 horas.
Ampicilina más 1,5 gramos de IBL vía intravenosa cada 6 horas.
1 gramo de paracetamol vía intravenosa cada 8 horas.
30 mg de ketorolaco vía intravenosa cada 8 horas.
1 ampolla de metilergometrina vía intramuscular stat y (0,125 mg vía oral cada 8 horas).
Una vez concluido el tratamiento clínico, se procedió a intervenir quirúrgicamente mediante legrado instrumental; en el que se corroboró diagnóstico de embarazo ectópico implantado en sitio de histerorrafia, luego del procedimiento se describieron los siguientes hallazgos:
Útero en avf de 1,3 x.
Cérvix posterior, permeable 1 dedo en todo su trayecto.
Presencia de abundantes restos corioplacentarios y coágulos en cavidad uterina, con mayor parte de coágulos sobre histerorrafia.
Existencia de tejido trofoblástico firmemente adherido a cara anterior de útero sobre cicatriz uterina previa, de difícil extracción.
Sangrado aproximadamente 200 cc.
Herida catalogada como limpia contaminada.
Indicación de antibioticoterapia.
La intervención quirúrgica resultó exitosa, la muestra remitida a Anatomía patológica reafirmó la existencia de tejido trofoblástico. Una vez que se cumplió con la indicación de antibioticoterapia, fue revalorada atendiendo a su recuperación y estado general: la paciente fue dada de alta.
Discusión
El embarazo ectópico constituye un tema de interés en el área de la Ginecología y Obstetricia; en especial, aquellos que no son tubáricos por su difícil diagnóstico y la gestante demora más en presentar manifestaciones clínicas que inducen a pedir ayuda facultativa. Al respecto, resulta importante realizar un diagnóstico oportuno para conservar la capacidad de fecundidad y evitar la muerte materna; además de prevenir las graves consecuencias que se pueden derivar para la salud de la mujer.9
En este tipo de casos, si la paciente está estable, el examen clínico no ofrece datos significativos para establecer el diagnóstico definitivo; sin embargo, la imagenología mediante ecografía transvaginal o transabdominal o la combinación de ambas permiten visualizar el sitio de implantación del embrión y decidir si existe un embarazo ectópico. Cuando esa patología se produce en la cicatriz de una cesárea previa, ese recurso posibilita verificar si se encuentra fuera de la cavidad endometrial, además de otros hallazgos, sugieren la presencia de esta patología: miometrio delgado o ausente entre el saco gestacional y la vejiga y la existencia de flujo Doppler periférico.10,11
La bibliografía recoge diversos abordajes terapéuticos (clínicos y quirúrgicos), aunque todavía no se reportan evidencias sobre cuál resulta más efectivo; mayoritariamente se alcanza a publicar reportes de casos clínicos o pequeñas series de estos donde se aprecian variados enfoques. Por esa razón, se recomienda particularizar las características de cada caso para decidir un plan terapéutico, a partir de cuestiones tales como: edad gestacional, viabilidad fetal, defecto miometrial, clínica de la paciente y sus deseos genésicos, además de los recursos disponibles en la unidad de salud. La principal coincidencia en las conductas observadas es la interrupción del embarazo en el primer trimestre; también se desaconsejado el manejo expectante debido a su mal pronóstico por el alto riesgo de hemorragia severa y rotura uterina.10
En relación con lo anterior, en el caso que se presenta, la paciente manifestó síntomas de dolor agudo y al encontrarse cursando la sexta semana de embarazo, se incrementaba el peligro de hemorragia severa y rotura uterina, por lo que se decidió tratamiento medicamentoso prequirúrgico para disminuir el proceso inflamatorio en los tejidos afectados y luego proceder mediante legrado instrumental, con el propósito de salvaguardar la capacidad de fecundidad de la paciente, en consideración a su solicitud y en respeto a su autonomía.
Aunque algunos autores como Urrutia et al. coinciden en que el legrado instrumental resulta el procedimiento quirúrgico básico en estos casos; Ramírez et al. describen un manejo laparoscópico exitoso en una paciente con embrión implantado que mostraba latido cardiaco presente y dimensiones similares a la del caso que se presenta.12,13
Conclusiones
El diagnóstico ecográfico permitió corroborar la entidad patológica en cuestión: embarazo ectópico en cicatriz de cesárea anterior. El caso fue manejado atendiendo a las características clínicas e individuales de la gestante y respetando el principio de la autonomía de la embarazada.
Luego del tratamiento medicamentoso, el procedimiento quirúrgico mediante legrado instrumental resultó exitoso y la paciente fue dada de alta con un estado de salud satisfactorio, conservó su capacidad de fecundidad.
Referencias bibliográficas
1. Pino Pérez F, Ledón Mora M, Moya Monet C, Moya Arechavaleta A, Reyes Moré C, Moya Arechavaleta N. Embarazo heterotópico tubo-abdominal. Rev Cubana de Obstet y Ginec [Internet]. 2017 [Citado 06/11/2019 ];43(1):[Aprox. 1 p.]. Disponible en: Disponible en: https://www.revginecobstetricia.sld.cu/index.php/gin/article/view/155
2. Loayza J, Benel A, Zegarra G, Curay J, Sigüenza K. Un caso de embarazo ectópico en cicatriz de cesárea anterior. Rev Peruana Invest Mat Perinat [Internet]. 2019 [Citado 30/08/2019];7(2):53-6. Disponible en: Disponible en: https://doi.org/10.33421/inmp.2018119
3. Villarreal Acosta A. Embarazo heterotópico. Cubana de Obstet y Ginecol [Internet]. 2019 [Citado 05/11/2019];45(1):[Aprox. 1 p.]. Disponible en: Disponible en: https://www.revginecobstetricia.sld.cu/index.php/gin/article/view/421
4. Cassana A, Yanque O. Embarazo en cicatriz de cesárea previa: ¿Es siempre quirúrgico?: Reporte de un caso. An Fac med [Internet]. 2017 Oct [Citado 25/11/2019];78(4):430-4. Disponible en: Disponible en: http://dx.doi.org/10.15381/anales.v78i4.14266
5. Maita F, Hochstatter E, Céspedes G, Muñoz L, Gandarillas D. Tratamiento conservador del embarazo ectópico en cicatriz de cesárea previa: reporte de un caso clínico. Gac Med Bol [Internet]. 2017 Jun [Citado 04/11/2019];40(1):49-52. Disponible en: Disponible en: http://www.scielo.org.bo/scielo.php?script=sci_arttext&pid=S1012-29662017000100011&lng=es
6. Roman J, Scornajenghi A, Pérez P, Sotero G. Embarazo ectópico en cicatriz de cesárea. Arch de Ginecol y Obstet [Internet]. 2016 [Citado 05/11/2019];54(1):22-6. Disponible en: Disponible en: https://www.sguruguay.org/img/noticias/AGO%202016%20%2054(1)%20%20web.pdf#page=22
7. Ramanah R, Marguier I, Mottet N, Magnin C, Riethmuller D. Embarazo extrauterino. EMC Ginecol Obstet [Internet]. 2018 Sep [Citado 24/08/2019]; 54(3):1-14. Disponible en: Disponible en: https://doi.org/10.1016/S1283-081X(18)91440-2
8. González de Jesús LP, Barrera Asyadette A. Embarazo ectópico en cicatriz de cesárea previa. Ginecol Obstet [Internet]. 2012 Abr [Citado 23/11/2019]; 80(4):295-9. Disponible en: Disponible en: http://nietoeditores.com.mx/nieto/Ginecologia/2012/abril12/caso.clinico_embarazo.pdf
9. López Luque PR, Bergal Mateo GJ, López Olivares MC. El embarazo ectópico: su interés actual en Atención Primaria de Salud. SEMERGEN-Medicina de Familia [Internet]. 2014 [Citado 02/11/2019];40(4):211-7. Disponible en: Disponible en: https://doi.org/10.1016/j.semerg.2013.11.007
10. Partal Lorente AB, Oliver Díaz M, Cueva Carrascosa I, Cidraque Orraj MA, López Moreno ME, Pérez López S. Opciones terapéuticas del embarazo ectópico sobre cicatriz de cesárea. Prog Obstet Ginecol [Internet]. 2017 [Citado 02/11/2019];60(6):586-9. Disponible en: Disponible en: https://sego.es/documentos/progresos/v60-2017/n6/12_embarazo%20ectopico%20sobre%20cicatriz.pdf
11. Ferri Folch B, Padilla Iserte P, Hidalgo Mora JJ, Aznar Carretero I, Roig Boronat S, Domingo Del Pozo S. Embarazo ectópico sobre cicatriz de cesárea. Diagnóstico Prenatal [Internet]. 2013 [Citado 27/09/2019];24(4):166-9. Disponible en: Disponible en: http://doi.org/10.1016/j.diapre.2013.02.001
12. Urrutia MT, Poupin L, Alarcón P, Rodríguez M, Stuven L. Embarazo ectópico: factores de riesgo y características clínicas de la enfermedad en un grupo de mujeres chilenas. Rev chil obstet ginecol [Internet]. 2007 [Citado 05/11/2019];72(3):154-9. Disponible en: Disponible en: http://dx.doi.org/10.4067/S0717-75262007000300004
13. Ramírez J, Pimentel J, Cabrera S, Campos G, Zapata B. Manejo laparoscópico de embarazo ectópico en cicatriz uterina por cesárea previa: reporte de un caso. Rev peru ginecol obstet [Internet]. 2015 Ene [Citado 05/11/2019];61(1):45-50. Disponible en: Disponible en: http://www.scielo.org.pe/scielo.php?script=sci_arttext&pid=S2304-51322015000100008&lng=es
Contribución de autoría
Notas de autor
*Autor para la correspondencia: yroque@unach.edu.ec
Declaración de intereses