Ciencias clínicas y patológicas
Síndrome del ocho y medio secundario a vasculopatía lúpica. Presentación de un caso
Eight-and-a-half syndrome secondary to lupus vasculopathy. A case presentation
Síndrome del ocho y medio secundario a vasculopatía lúpica. Presentación de un caso
Revista Habanera de Ciencias Médicas, vol. 19, núm. 5, e3113, 2020
Universidad de Ciencias Médicas de La Habana
Recepción: 30 Diciembre 2019
Aprobación: 12 Mayo 2020
RESUMEN
Introducción: El manejo diagnóstico y terapéutico en los pacientes con lupus eritematoso sistémico que desarrollan una afectación neuropsiquiátrica representa un reto, debido a la heterogeneidad de las formas en que puede presentarse y la ausencia de criterios diagnósticos.
Objetivo: Reconocer las formas clínicas de presentación de los síndromes neuroftalmológicos que traducen afectación pontina.
Presentación del caso: Hombre de 71 años con antecedente de lupus eritematoso sistémico con afectación neuopsiquiátrica, que de forma aguda desarrolla un cuadro emético en el curso de una emergencia hipertensiva seguido de una parálisis de la mirada horizontal hacia la izquierda, una oftalmoplejía internuclear posterior derecha y una parálisis facial izquierda. En la neuroimagen se constata una afectación multifocal con marcado daño pontino.
Conclusiones: Reconocer las formas clínicas de presentación de estos trastornos neuroftalmológicos raros que generalmente se presentan de forma aguda/subaguda permite al neurólogo realizar el diagnóstico topográfico de la lesión a nivel protuberancial con elevada precisión desde la Sala de Urgencias, así como reducir los posibles diagnósticos diferenciales a una etiología vascular, desmielinizante u ocupativa de espacio.
Palabras claves: Síndrome del ocho y medio+ fascículo longitudinal medial+ formación reticular parapontina mediana+ infarto pontino+ vasculopatía lúpica.
ABSTRACT
Introduction: The diagnostic and therapeutic management of patients with systemic lupus erythematosus who develop a neuropsychiatric involvement represents one of the biggest challenges due to the heterogeneity of the ways in which it can occur and the absence of diagnostic criteria.
Objective: To recognize the clinical forms of presentation of neurophthalmological syndromes that express pontine involvement.
Case presentation: Seventy-one-year-old man with history of systemic lupus erythematosus with neuropsychiatric involvement who acutely develops an emetic episode in the course of a hypertensive emergency followed by a paralysis of the horizontal gaze to the left, a right-sided posterior internuclear ophthalmoplegia and a left facial palsy. In the neuroimaging, a multifocal involvement with marked pontine damage is observed.
Conclusions: Recognizing the clinical forms of presentation of these rare neurophthalmological disorders that generally occur in an acute or subacute form allows the neurologist to perform the topographic diagnosis of the lesion at a protuberancial level with high precision from the time when the patient attends the Emergency Department and reduces the possible differential diagnoses to a vascular, demyelinating or occupational etiology of space.
Keywords: Eight-and-a-half syndrome, medial longitudinal fascicle, paramedian pontine reticular formation, pontine infarction, lupus vasculopathy.
Introducción
El lupus eritematoso sistémico (LES) es el prototipo de las enfermedades autoinmunes caracterizada por una pérdida de tolerancia a antígenos propios, producción de autoanticuerpos patogénicos y daño a múltiples órganos. Debido a su naturaleza heterogénea y compromiso de diferentes órganos y sistemas es que presenta un amplio espectro de subfenotipos incluyendo las diversas manifestaciones psiquiátricas y neurológicas que se desarrollan secundarias al daño del Sistema nervioso central (SNC), siendo estas las que marcan la presencia de un peor pronóstico.
Puede evidenciarse compromiso neuropsiquiátrico en un 50-70 % de los pacientes con LES. Dentro de estos síndromes está la enfermedad cerebrovascular (ECV), la cual se presenta en el 7-10 % de los pacientes caucásicos y afroamericanos, y en el 4-8 % de los pacientes hispanos. A su vez, predomina el subtipo isquémico manifestándose en un 80 % en forma de ataque isquémico transitorio y en un 7-12 % se evidencia un daño vascular multifocal. Dentro del subtipo hemorrágico, hasta un 12 % desarrollan una hemorragia cerebral y de un 3-5 % una hemorragia subaracnoidea.1,2
La vasculitis como causa de lupus neuropsiquiátrico se ha informado en un 10 % de los casos, y afecta sobre todo las pequeñas arterias.3 Actualmente se ha logrado establecer que la presencia de ECV en el lupus más que una vasculitis, lo que ocurre es un proceso de vasculopatía, en el cual se acumulan múltiples células mononucleares alrededor de los vasos sanguíneos, se generan cambios proliferativos de la íntima y se produce hialinización vascular, lo que propicia alteraciones en la barrera hematoencefálica y permite el paso de autoanticuerpos al SNC o la generación de pequeños infartos debido a oclusión luminal.2
Un asunto controversial en el lupus neuropsiquiátrico son los pilares del tratamiento. Esto se debe a que no es posible tratar todas las manifestaciones neurológicas de la misma forma ya que su fisiopatología no es homogénea. pudiéndose deber a algunas a vasculopatía o lesiones desmielinizantes inflamatorias focales en la sustancia blanca cerebral cuyo tratamiento sería con esteroides e inmunosupresores, mientras que en otros casos puede ser debido a un estado protrombótico por la presencia de un síndrome antifosfolipídico que hace que adquiera un valor esencial la anticoagulación.3
Se presenta el caso de un paciente con diagnóstico de LES de varios años de evolución con complicaciones neuropsiquiátricas asociadas, que desarrolla de forma ictal una vasculopatía inflamatoria cerebral multifocal que se presenta como un síndrome del ocho y medio, con el objetivo de reconocer las formas clínicas de presentación de los síndromes neuroftalmológicos que traducen afectación pontina.
Presentación del caso
Paciente masculino, blanco, manualidad diestra, 71 años de edad con antecedentes de:
Hipertensión arterial esencial que se diagnosticó hace 37 años a punto de partida de un Hematoma intraparenquimatoso (HIP) hipertensivo, tratado actualmente con Enalapril 20mg diarios y Espironolactona 25mg al día.
LES diagnosticado hace 9 años al debutar con Pericarditis y afectación renal aguda constatándose anticuerpos antinucleares (ANA) positivos. Durante su evolución presentó una leucopenia severa por lo que se retira la Azatioprina y se mantiene prednisona oral.
Trastorno de ansiedad secundario a LES en tratamiento desde hace 2 años con Clorpromacina (50mg/día).
Acude al servicio de urgencias traído por sus familiares puesto que el día anterior en horas de la tarde había comenzado con cuadro emético asociado a inestabilidad para la marcha donde se constatan cifras tensionales de 200/130mmHg. En urgencias vuelve a presentar cifras tensionales elevadas (220/110mmHg) por lo que se incrementa a 40mg de Enalapril, se asocia Furosemida endovenosa y se suspende el tratamiento con esteroides orales.
En el momento de la valoración neurológica se constata al examen físico:
Mucosas: secas y ligeramente hipocoloreadas.
Piel: exantema eritematoso localizado sobre las mejillas y dorso de la nariz en “alas de mariposa”.
Cardiovascular: ruidos cardiacos irregulares con soplo diastólico III/VI en foco tricuspídeo. TA: 180/100mmHg
Neurológico: Disartria moderada. Parálisis facial periférica izquierda.
Neuroftalmológico: Limitación a la abducción del recto externo izquierdo y a la aducción del recto interno derecho evidenciando una parálisis de la mirada conjugada a la izquierda. Con la mirada hacia la derecha, el recto interno izquierdo no aduce y el recto externo derecho hace un nistagmo horizontal, lo cual se traduce en una oftalmoplejía internuclear posterior debido a que tenía conservación de la convergencia.
Exámenes complementarios (al ingreso):
Hb: 12,4g/L. Leucograma: 24,1 x 109/L Seg 0,94, Linf 0,04. Coagulograma: normal.
Velocidad de sedimentación globular: 31 mm/hora. Proteína C reactiva: negativa.
Glicemia: 4,8 mmol/l.
Lipidograma: Colesterol: 5,7 mmol/L y Triglicéridos 2,6 mmol/L.
Azoados: Creatinina 169 mmol/l, Ácido úrico: 500 (mol/L Urea: 26,8 mmol/L. (Filtrado glomerular: 34,9 ml/min/1.73m2)
Estudios de función hepática (TGP, TGO, GGT y Fosfatasa Alcalina) normales.
Proteínas Totales: 58 g/L y Albúmina: 29 g/L
Hepatitis B y C, VIH y VDRL: Negativos.
Factor reumatoide: Negativo.
ANA: Positivo (1:80) ANCA (anticuerpos citoplasmáticos antineutrófilos): Negativo.
Electrocardiograma: infarto miocárdico postero-inferior antiguo.
Ecocardiograma transtorácico: Hipertrofia concéntrica severa del ventrículo izquierdo y remodelado auricular izquierdo. Infarto miocárdico postero-inferior antiguo con función sistólica normal. Enfermedad valvular tricuspídea y mitral fibrótica sin repercusión hemodinámica FEVI: 60 %.
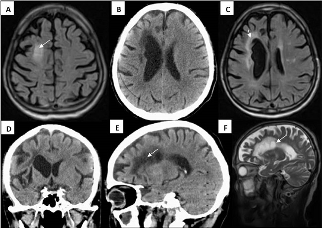
Tomografía axial computarizada (TAC) de cráneo: A nivel supratentorial en sustancia blanca periventricular derecha se evidencia hipodensidad de 10-13 UH de contornos irregulares que mide 48x18x36 mm, que produce atracción y ligera dilatación del ventrículo lateral ipsilateral en relación con lesión vascular antigua. Presenta otra hipodensidad a nivel pontino. Signos de atrofia cerebral difusa. (Figura 1).

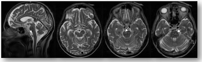
Resonancia Magnética Nuclear (RM) de Cráneo: múltiples lesiones supracallosas en centro oval con imágenes que impresionan dedos de Dawson que irradian de cuerpo calloso (Figura 2), otra mesencefálica derecha en pedúnculo y múltiples imágenes puntiformes en puente. (Figura 3) Atrofia cortical, subcortical y cerebelosa.


Estudio del LCR: Presión de apertura normal. Aspecto claro. Leucocitos: 7 células /ml. Glucosa: normal. Proteínas: 58 mg/dL. Ausencia de Bandas oligoclonales (BOC) mediante focalización isoeléctrica.
Tomografía por coherencia óptica (OCT): normal (no se evidencia daño de la capa de células ganglionares).
Potencial evocado visual: no se evidencia afectación subclínica.
Evolución y tratamiento
Durante su estadía en sala desarrolla una paresia crural izquierda que evoluciona a una hemiparesia total directa y proporcional 4+/5 con Babinski bilateral y movimientos coreicos de la mano izquierda. Ante esta progresión y una vez compensada la TA se inician pulsos endovenosos de 1 gramo diario de metilprednisolona durante 5 días y se mantiene control cardiovascular y glucémico estricto. Se evidencia una detención en la progresión del cuadro neurológico y no se constatan nuevas lesiones en RMN de cráneo evolutiva.
Al recibir los exámenes complementarios evolutivos se observa un incremento de los azoados (Creatinina: 239 mmol/l, Urea: 25,9 mmol/L y ácido úrico: 730 (mol/L) con diuresis conservada (Filtrado glomerular: 23,4 ml/min/1.73m2). Se interconsulta con Nefrología, los cuales realizan un ultrasonido renal y evidencian una disminución del tamaño de ambos riñones (Izquierdo: 9,2cm y Derecho: 8,5cm) con mala diferenciación cortico-medular y un adelgazamiento del parénquima. No litiasis. Sugieren mantener el tratamiento de base con IECA a dosis mínima para evitar un aumento de la proteinuria asociado a 100mg de Alopurinol al día y seguimiento por consulta especializada de Nefrología.
Se valora con Reumatología que mantiene el criterio de Vasculitis lúpica probable y la necesidad de comenzar tratamiento inmunosupresor nuevamente como terapia ahorradora de esteroides, así como mantener 20mg de Atorvastatina. Luego de dos semanas de evolución clínica favorable se decide dar alta con seguimiento por consulta externa en tratamiento con Azatioprina (50 mg) 1 tableta cada 12 horas y 10mg de prednisona oral.
Diagnóstico
Lupus eritematoso sistémico con afectación neuropsiquiatrica.
Enfermedad renal crónica (Nefropatía lúpica).
Urgencia hipertensiva asociada a deshidratación moderada.
Síndrome del ocho y medio secundario a vasculopatía lúpica.
Discusión
La mirada conjugada horizontal son movimientos binoculares que buscan sincronizar ambos ojos hacia una dirección, la cual tiene un origen supranuclear en el tallo o en el encéfalo. El centro primario de la mirada horizontal es la formación reticular pontina paramediana (FRPM) a nivel del colículo facial. La cual envía señales hacia el sexto nervio craneal (abducens) ipsilateral y el fascículo longitudinal medial (FLM) contralateral. Cuando se afectan estas estructuras se produce una parálisis conjugada de la mirada horizontal.
El FLM es un tracto que recibe señal de la FRPM contralateral y envía información al nervio oculomotor ipsilateral. Cuando se afecta, se produce una oftalmoplejía internuclear (OIN), en la cual hay dificultad para la aducción del ojo ipsilateral y nistagmo horizontal a la abducción del ojo contralateral. Sin embargo, la mirada hacia el lado de la lesión es normal.4,5,6
En 1943, Freeman, et al. publican por primera vez una entidad neuroftalmológica en la que debido a una afectación tanto de la FRPM como del FLM se produce ipsilateralmente una parálisis de la mirada conjugada horizontal y una OIN, y queda solo movimiento a la abducción del ojo contralateral. Sin embargo, este trastorno no recibe nombre hasta 1967 en que Miller Fisher lo describe como “Síndrome del uno y medio”. Raramente se le asocia una afectación del fascículo del séptimo nervio craneal, y se añade al cuadro una paresia facial periférica ipsilateral.4,5,7,8
Esto último se denomina “Síndrome del ocho y medio”, descrito por Eggenberger en 1998 en un paciente con ictus de territorio posterior demostrado por angiorresonancia.4,5,8,9,10 Aunque se reconoce que los infartos pontinos son la principal causa, existen casos reportados en revistas internacionales con placas desmielinizantes pontinas en dos adultos y un niño con Esclerosis múltiple; aún más infrecuentemente, casos asociados con arteritis de células gigantes y lesiones ocupativas como tuberculomas, gliomas de tallo, malformaciones arteriovenosas o aneurismas de la basilar.10,11 En la literatura nacional revisada no encontramos ningún reporte de casos sobre esta entidad.
Este síndrome a pesar de ser infrecuente permite una localización precisa de la lesión en la porción dorsocaudal del tegmento pontino e involucra además de la afectación del FLM y la FRPM, al núcleo y fascículo del séptimo nervio craneal a nivel del colículo facial.7,12,13
Es válido resaltar que dentro del espectro de presentaciones clínicas de la afectación protuberancial dorsal existe otra variante denominado “Síndrome del 9” (Nine syndrome) en el cual al trastorno de los movimientos oculares y la paresia facial periférica (Síndrome del ocho y medio) se asocia, para algunos autores una hemiataxia (½) y para otros una afectación sensori-motora contralateral por compromiso corticoespinal y del lemnisco medial. Lo anterior se traduce en que esta nueva variante involucra aquellos síndromes del ocho y medio que por la extensión de la lesión se afectan estructuras adyacentes al tegmento pontino y se producen otras manifestaciones de tallo.4,7,14 En nuestro caso la toma piramidal que aparece evolutivamente puede deberse a alguna de las lesiones tanto supra como infratentoriales y no directamente a la afectación pontina.
El manejo en pacientes con LES que desarrollan una afectación del SNC representa uno de los mayores retos, debido a la heterogeneidad de las formas en que puede presentarse y la ausencia de criterios diagnósticos.3 El primer paso es reconocer si la afectación se debe a una recaída de la enfermedad o secundario a un proceso concomitante, principalmente de causa infecciosa, metabólica o como consecuencia del tratamiento esteroideo o inmunosupresor. Ante esto, es imperativo una anamnesis y examen físico minucioso con el fin de priorizar aquellos medios diagnósticos que con mayor sensibilidad y especificidad descarten o confirmen etiologías puntuales. En este caso, teniendo en cuenta la forma clínica de presentación y topografía lesional nos planteamos la disyuntiva entre una etiología vascular o desmielinizante.
La forma desmielinizante (antiguamente Esclerosis lupoide) es una forma rara de presentación del LES que cuando se presenta como un proceso remitente-recidivante diseminado puede simular una esclerosis múltiple. Actualmente se identifican 5 subsíndromes dependiendo si la afectación está relacionada con el espectro de la neuromielitis óptica, si es a predominio cerebral o de tallo; o si se comporta como un síndrome clínico aislado.1 En este paciente, aunque tiene un síndrome de tallo con afectación intracraneal diseminada nos habla a favor de etiología vascular y no desmielinizante el hecho de que no existe afectación clínica, por neuroimagen ni por electrofisiología de daño del nervio óptico ni medular, ambos territorios con gran predilección por su gran mielinización. Teniendo en cuenta el LCR se observan características inflamatorias inespecíficas sin evidenciarse BOC a través de la focalización isoeléctrica, aunque como bien se reporta en la literatura, solo se confirma su presencia en un 42 % de los lupus neuropsiquiátricos.1
Múltiples enfermedades de tipo vascular pueden simular un evento desmielinizante, siendo decisivo el patrón lesional en la neuroimagen. En este caso, la RMN muestra hallazgos típicos de una vasculopatía de pequeños vasos con lesiones en sustancia blanca que predominan en distribución supratentorial frontoparietal, son pequeñas (<3mm) y se extienden más allá de la región periventricular. Además, son evidentes focos de atrofia cortical que pueden ser la huella de áreas de pequeños infartos previos. En cuanto a las lesiones infratentoriales apoya la presencia de un mecanismo vasculopático el hecho de que tienen una predilección central y el área de daño conforma el territorio clásico de distribución arterial.
Aunque los hallazgos clínicos no sugieren la presencia de un síndrome antifosfolipídico, debe ser una de las primeras causas vasculares a descartar, puesto que representa un estado protrombótico asociado al LES en un 20-30 % de los pacientes. Esta entidad debe tenerse en cuenta sobre todo en mujeres jóvenes con abortos o pérdidas fetales recurrentes, otros signos clínicos sugestivos son los episodios de trombosis a repetición tanto arteriales como venosos asociados a alteraciones hematológicas (Trombocitopenia o Anemia hemolítica). El ictus representa su principal complicación neurológica siendo frecuente que se manifieste con Corea como en este paciente, pero es muy infrecuente su presentación como un evento agudo sugestivo de desmielinización. Cuando se sospecha debe demostrarse una persistencia por, al menos, 12 semanas de títulos elevados de anticuerpos anticardiolipina y anticoagulante lúpico). La importancia de diagnosticarlo radica en el inicio de la anticoagulación para prevenir eventos trombóticos.3
Conclusiones
La asociación de una parálisis de la mirada conjugada horizontal (1) y una OIN (½) se denomina Síndrome del 1 y ½, lo cual al asociarse una parálisis facial periférica ipsilateral (+7) se convierte en Síndrome del ocho y medio. Ambas entidades representan una afectación pontina caudal ipsilateral. Cuando la lesión se extiende a estructuras adyacentes (+ ½) y produce otra sintomatología de tallo constituye el Síndrome del 9. Reconocer las formas clínicas de presentación de estos trastornos neuroftalmológicos raros que generalmente se presentan de forma aguda/subaguda permite al neurólogo realizar el diagnóstico topográfico de la lesión con elevada precisión desde la Sala de Urgencias, así como reducir los posibles diagnósticos diferenciales a una etiología vascular, desmielinizante u ocupativa de espacio.
Referencias bibliográficas
1. Chessa E, Piga M, Floris A, Mathieu A, Cauli A. Demyelinating syndrome in SLE: review of different disease subtypes and report of a case series. Reumatismo. 2017; 69 (4): 175-83.
2. Díaz Cortés D, Correa González N, Díaz MC, Martín Gutiérrez J, Fernández Ávila D. Compromiso del sistema nervioso central en el lupus eritematoso sistémico. Rev Colomb Reumatol. 2015;22(1):16-30.
3. Montiel Jarolin D, Paredes N, Oviedo R. Manifestaciones Neurológicas en el Lupus Eritematoso Sistémico. Caso clínico. Paraguay. Rev Nac (Itauguá) [Internet]. 2010 [Citado 02/07/2016];2(2):45-50. Disponible en: Disponible en: http://scielo.iics.una.py/scielo.php?script=sci_arttext&pid=S2072-81742010000200009&lng=en
4. Xue F, Zhang L, Zhang L, Ying Z, Sha O, Ding Y. One-and-a-half syndrome with its spectrum disorders. Quant Imaging Med Surg [Internet]. 2017 [Citado 02/07/2016];7(6):691-7. Disponible en: Disponible en: http://doi.org/10.21037/qims.2017.12.04
5. Mesina BV, Sosuan GM, Reyes KB. Eight-and-a-half syndrome: a rare potentially life-threatening disease. GMS Ophthalmol Cases [Internet]. 2018 [Citado 02/07/2016];8:[Aprox. 2 p.]. Disponible en: Disponible en: http://doi.org/10.3205/oc000086
6. Kirkpatrick C. Eight-and-a-Half Syndrome. In: EyeRounds.org [Internet]. Estados Unidos: University of Iowa Department of Ophthalmology and Visual Sciences; 2015 [Citado 02/07/2016]. Disponible en: Disponible en: https://www.webeye.ophth.uiowa.edu/eyeforum/atlas/pages/eightand-a-half-syndrome/index.htm
7. Mahale RR, Mehta A, John AA, Javali M, Abbas MM, Rangasetty S. "Nine" syndrome: A new neuroophthalmologic syndrome: Report of two cases. Ann Indian Acad Neurol [Internet]. 2015 [Citado 18/10/2019];18:335-7. Disponible en: Disponible en: http://www.annalsofian.org/text.asp?2015/18/3/335/157180
8. Skaat A, Huna Baron R. Eight-and-a-half syndrome: a rare pontine neuro-ophthalmologic syndrome. Arch Neurol [Internet]. 2012 Jul [Citado 18/10/2019];69(7):934-5. Disponible en: Disponible en: http://doi.org/10.1001/archneurol.2011.2185
9. Sampath Kumar NS, Raju CG, Kiran PR, Kumar TA, Gopal BV, Khaseem DB. Eight-and-a-half syndrome: a rare presentation of pontine infarction. J Stroke Cerebrovasc Dis [Internet]. 2014 Sep [Citado 18/10/2019];23(8):e389-e391. Disponible en: Disponible en: http://doi.org/10.1016/j.jstrokecerebrovasdis.2014.01.002
10. Mortzos P, Nordling MM, Sørensen TL. Eight-and-a-half syndrome as presenting sign of childhood multiple sclerosis. J AAPOS [Internet]. 2014 Oct [Citado 18/10/2019];18(5):490-2. Disponible en: Disponible en: http://doi.org/10.1016/j.jaapos.2014.05.007
11. Van Toorn R, Schoeman JF, Donald PR. Brainstem tuberculoma presenting as eight-and-a-half syndrome. Eur J Paediatr Neurol [Internet]. 2006 Jan [Citado 18/10/2019];10(1):41-4. Disponible en: Disponible en: http://doi.org/10.1016/j.ejpn.2005.11.003
12. Duffy A, Yi PS, Verro P. Eight-and-a-half syndrome. Neurol Clin Pract [Internet]. 2014 [Citado 18/10/2019];4:526-7. Disponible en: Disponible en: http://doi.org/10.1212/CPJ.0000000000000088
13. Bocos Portillo J, Ruiz Ojeda J, Gómez Beldarraín M, Vázquez Picon R, García Monco JC. Eight-and-a-Half Syndrome. JAMA Neurol [Internet]. 2015 Jul [Citado 18/10/2019];72(7):830. Disponible en: Disponible en: http://doi.org/10.1001/jamaneurol.2015.0255
14. Rosini F, Pretegiani E, Guideri F. Eight and a half syndrome with hemiparesis and hemihypesthesia: The nine syndrome?. Journal of Stroke and Cerebrovascular Diseases. 2013; 22(8):e637-e638.
Notas de autor
*Autor para la correspondencia: dado900511@gmail.com
Declaración de intereses