Ciencias clínicas y patológicas
Causas infrecuentes de ascitis: Reporte de 5 casos
Uncommon causes of ascites: Report of 5 cases
Causas infrecuentes de ascitis: Reporte de 5 casos
Revista Habanera de Ciencias Médicas, vol. 20, núm. 5, e4392, 2021
Universidad de Ciencias Médicas de La Habana
Recepción: 15 Julio 2021
Aprobación: 22 Agosto 2021
RESUMEN
Introducción: La ascitis se define como la presencia de líquido en la cavidad peritoneal. La etiología más común la constituyen las enfermedades hepáticas que cursan con hipertensión portal, dentro de ellas la cirrosis hepática reportada en un 40 %, a 5 años de seguimiento de los casos. Estudios previos muestran que la ascitis por enfermedad cirrótica hepática es entre un 80-85 %, también la carcinomatosis se presenta en un 10 %, y dentro de las causas más raras están la insuficiencia cardiaca y la tuberculosis peritoneal en un 3 %, junto con la trombosis de la vena porta, sarcoidosis, tumores intraperitoneales, ascitis pancreática y la enteritis eosinofílica.
Objetivo: Describir presentaciones clínicas infrecuentes como causa de ascitis en pacientes hospitalizados en el Hospital Clínico Quirúrgico “Hermanos Ameijeiras”.
Presentación de casos: Se presentan cinco casos que ingresaron en el Hospital Hermanos Ameijeiras con diagnóstico de Ascitis: quilosa, hemorrágica, eosinofílica y coloide, con las patologías que los llevaron a esa manifestación clínica y una breve descripción de la misma.
Conclusión: El análisis de las presentaciones clínicas de los casos, los hallazgos en los estudios imagenológicos y en los exámenes de laboratorio, así como los resultados anatomopatológicos permitieron el diagnóstico de las entidades causantes de ascitis atípicas en estos pacientes.
Palabras claves: ascitis quilosa+ ascitis hemorrágica+ ascitis eosinofílica+ ascitis coloide.
ABSTRACT
Introduction: Ascites is defined as the presence of fluid in the peritoneal cavity. The most common etiology is liver diseases with portal hypertension; among them liver cirrhosis is reported in 40 % of cases with 5-year follow-up. Previous studies demonstrate that ascites due to cirrhotic liver disease occurs in 80-85 % of the cases, that carcinomatosis is also present in 10 %, and also that among the rarest causes, heart failure and peritoneal tuberculosis are present in 3 % of cases along with portal vein thrombosis, sarcoidosis, intraperitoneal tumors, pancreatic ascites and eosinophilic enteritis.
Objective: To describe uncommon clinical presentations as cause of ascites in patients admitted to “Hermanos Ameijeiras” Clinical Surgical Hospital.
Case presentation: Five cases of patients admitted to “Hermanos Ameijeiras” Clinical Surgical Hospital with the diagnosis of ascites: chylous, hemorrhagic, eosinophilic and colloid as well as the pathologies that led them to this clinical manifestation and a brief description of it are presented.
Conclusion: The analysis of the clinical presentation of the cases, the findings in the imaging studies and laboratory tests and the anatomopathological results allowed the diagnosis of the entities causing atypical ascites in these patients.
Keywords: chylous ascites, hemorrhagic ascites, eosinophilic ascites, colloid ascites.
Introducción
La ascitis se define como la presencia de líquido en la cavidad peritoneal. La etiología más común la constituyen las enfermedades hepáticas que cursan con hipertensión portal, dentro de ellas la cirrosis hepática reportada en un 40 % a 5 años de seguimiento de los casos.1 El artículo de revisión de Vargas, R. plantea la ascitis por enfermedad cirrótica hepática en un 80-85 %, también la carcinomatosis se presenta en un 10 %, y dentro de las causas más raras son la insuficiencia cardiaca y la tuberculosis peritoneal en un 3 % junto con trombosis de la vena porta, sarcoidosis, tumores intraperitoneales, ascitis pancreática y la enteritis eosinofílica entre otras.2)
El objetivo de este artículo es describir presentaciones clínicas infrecuentes como causa de ascitis en pacientes hospitalizados en el “Hospital Clínico Quirúrgico Hermanos Ameijeiras”.
Presentación de casos
Caso 1
Paciente masculino de 73 años de edad, de piel blanca, con antecedentes de hipertensión arterial esencial, sin antecedentes de alcoholismo, transfusiones sanguíneas, ni enfermedades virales del hígado.
Seis meses antes de la admisión es intervenido quirúrgicamente por hernia inguinal sin complicaciones post operatorias, y un mes después comienza con distensión abdominal, sensación de plenitud y diarreas escasas en cantidad, acompañadas de pujos y tenesmos, para lo cual cumple tratamiento con metronidazol, los que desaparecen al cuarto día de tratamiento.
La distensión abdominal y la sensación de plenitud mejoraron transitoriamente, pero fueron progresando rápidamente hasta llegar a ser muy marcadas, acompañadas de dificultad respiratoria y edemas en miembros inferiores.
Llamaba la atención el mal estado general del paciente. En la exploración física se evidenciaba ictericia de ligera intensidad, edemas en miembros inferiores de fácil Godet, fríos, no dolorosos que llegaban hasta el tercio medio de ambas piernas. El abdomen prominente con edema de la pared abdominal y abundante líquido ascítico, con maniobra de Tarral positiva.
Los resultados de las analíticas, incluyendo estudios hematológicos, de coagulación, química sanguínea, marcadores tumorales y serologías para virus de hepatitis solo evidenciaron hiperbilirrubinemia (62mmol/L), hipoalbuminemia (28,1g/L) y tiempo de protrombina prolongado.
Mediante una paracentesis se obtuvieron 5000 ml de líquido amarillo turbio, lactescente. En su estudio destacaban valores de triglicéridos en 245 mg/dL y albúmina en 5,4 g/L. No presencia de células neoplásicas y cultivos BAAR y bacteriológico negativos. El gradiente entre albúmina sérica y de líquido ascítico (GASA), fue superior a 1,1, se evidenció la existencia de hipertensión portal.
La ecografía abdominal definió que el hígado era pequeño y de aspecto irregular, con alteración del patrón ecográfico, sugestivo de enfermedad hepática crónica. Esplenomegalia moderada. La vena porta tenía un calibre de 9mm y su luz se encontraba ocupada por un trombo. No se observaron adenopatías intra ni retroperitoneal.
La exploración del tracto digestivo superior por panendoscopía evidenció várices esofágicas Grado II (Paquet). Sin otros elementos de interés.
El paciente no aceptó realizarse TAC abdominal ni estudio histológico hepático.
El puntaje estimado de Child Pugh fue de 10 puntos (Grado C), por lo que la sobrevida es desfavorable en este paciente.
Con el empleo de diuréticos de asa y espironolactona se logró una reducción progresiva del perímetro abdominal y del peso corporal. No se presentaron otras complicaciones. El paciente se egresó mejorado.
Caso 2
Paciente masculino, piel blanca, 27 años, admitido en el hospital por presentar epigastralgia, vómitos precedidos de náuseas y diarreas, asociado también a anorexia y pérdida de peso de aproximadamente 30 libras en 1 mes de evolución. Hace 5 años desarrolló un cuadro similar que motivó la realización de una panendoscopía y se diagnosticó úlcera péptica, la que conllevó tratamiento, con mejoría de la sintomatología.
Al examen físico no existían elementos positivos a señalar, se estaba en presencia de un paciente con muy buen estado general.
En las analíticas se reportó hematocrito: 45 vol %, VSG: 7 mm/h, leucocitos: 22,3 x 109 /L, segmentados: 8,2 %, linfocitos: 9,7 %, monocitos: 10,7 % y eosinófilos: 71,4 % con conteo absoluto de eosinófilos en 15,9x 109 /L, plaquetas: 301x 109 /L. La química sanguínea fue normal.
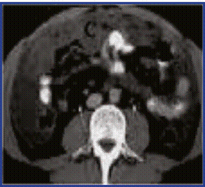
Los estudios imagenológicos reportaron radiografía de tórax sin alteraciones, ultrasonido abdominal que informa líquido libre en cavidad (fig.1), pero llamó la atención la existencia de asas intestinales delgadas (duodeno y yeyuno), ligeramente distendidas con líquido en su interior y pobre peristalsis observándose íleon terminal rígido, de aspecto inflamatorio a descartar ileítis regional (Figura. 2), duodeno engrosado con aspecto inflamatorio del patrón mucoso con sospecha de úlcera en segunda porción, el resto sin alteraciones. (Figura 1 y 2).


Se realiza panendoscopía, entre segunda y tercera porción del duodeno se evidenciaron áreas engrosadas de la mucosa, la que aparecía edematosa, con pérdida de la elasticidad; se toma biopsia; estómago con mucosa eritematosa a nivel del antro y lesiones prepilóricas; resto normal. Se concluye como duodenitis eritematoedematosa (eosinofílica) y una pangastritis eritematoerosiva antral tomando una biopsia de duodeno y dos gástricas, las que informaron duodenitis crónica inespecífica y pangastritis crónica reactiva, Helicobacter pylori negativo.
Ante este paciente con eosinofilia periférica y los hallazgos comentados, se procede a realizar laparoscopía que informa hígado de tamaño normal, pálido, superficie lisa, no lesiones larva migrans visceral y consistencia normal. No se visualiza vesícula biliar. Asas algo distendidas y presencia de líquido ascítico serohemático, por lo que se concluye como una ascitis de causa no precisada.
Se toma biopsia de hígado que solo muestra ligera dilatación sinusoidal y ligera esteatosis panlobulillar a gota gruesa y fina sin fibrosis ni infiltración tumoral.
El estudio del líquido ascítico evidencia: coloración amarilla, aspecto turbio, glucosa: 3,17mmol/L, células 500, segmentados: 6 %, linfocitos: 3 % y eosinófilos: 91 %, proteínas: 47 g/L, LDH: 238U/L y albúmina: 22.7 g/L. Con estos datos determinamos el Índice de Light que resultó en 0,68 por lo que se confirma un exudado, estando en presencia de una ascitis eosinofílica.
Con estos elementos, se inició tratamiento con prednisona 40 mg diarios con muy buena evolución clínica y resolución total de la sintomatología. La eosinofilia con exámenes evolutivos a los 2 meses de tratamiento no se evidenció (eosinófilos: 1 % con recuento de eosinófilos en 0,04x109/L (VR:0,04 -0,4x109 /L) se concluye el caso como enteritis eosinofílica con afectación de la serosa (ascitis eosinofílica).
Caso 3
Paciente femenina, de 39 años de edad con antecedentes de haber sido operada de diverticulitis (Meckel) hacía 2 años y a los 24 días, intervenida por perforación de 2 mm en pared anterior del estómago con peritonitis fibrino purulenta.
A partir de entonces comenzó a presentar aumento de volumen del “vientre”, falta de apetito y pérdida de peso. Niega haber tenido fiebre, dolor, diarreas, trastorno menstrual u otros síntomas orientadores.
Al realizar el examen físico: piel blanca, 160 cm de talla y 36 Kg de peso, índice de masa corporal: 14, sin hábitos tóxicos, edema de fácil Godet en tercio inferior de ambas piernas, disminución del murmullo vesicular en base pulmonar derecha, pulso en 80/minuto y tensión arterial 110/70mmHg. En el abdomen se halló evidente ascitis a tensión, sin precisar visceromegalia, y disminución generalizada del trofismo muscular.
En los exámenes realizados se constató una trombocitosis (plaquetas: 781 × 109 /L) con una hiperamilasemia (amilasa sérica en 353 (hasta 90 U/L) el resto de la química sanguínea fue normal. El marcador tumoral CA-125 se encontraba elevado en 59,2 U/mL (VR: 0-35).
El estudio del líquido ascítico: líquido hemorrágico, Glucosa: 3,5 mmol/L, Amilasa: 4 907,6 U/L, LDH- 470 U/L, Colesterol: 1,38 mmol/L, Albúmina: 32,4 g/L. Gradiente de albúmina suero/ascitis: 0,3. Cultivos BAAR y bacteriológico negativos. La primera citología del líquido ascítico reportó un extendido de carácter reactivo con numerosos histiocitos, negativo de células neoplásicas y la segunda citología mostró un extendido sero fibrinoso con abundantes polimorfos e histiocitos, grupos celulares altamente sospechosos de malignidad.
Los estudios de imágenes: Rayos X de tórax: borramiento del ángulo costo frénico derecho. El resto fue normal. Ultrasonido abdominal: gran cantidad de líquido ascítico. Hígado pequeño de contornos regulares. TAC de abdomen: Estudio simple con marcada ascitis sin alteraciones hepáticas ni esplenomegalia. TAC con contraste oral y endovenoso: (después de evacuar ascitis francamente hemorrágica) informó útero ligeramente agrandado con cavidad prominente. Quiste en ovario derecho con cuello uterino engrosado de aspecto tumoral. Ultrasonido transvaginal: el útero y el ovario izquierdo son normales, el ovario derecho está ligeramente aumentado de tamaño con una imagen quística de 24 mm y muy fina, hay varias imágenes nodulares muy pequeñas adheridas al peritoneo a este nivel. TAC ginecológica (endovenosa): Severa ascitis con imagen quística de paredes regulares y tabique en su interior en proyección de ovario derecho que mide 49 × 44 × 50 mm. No masa tumoral.
La Panendoscopía evidenció una pangastritis crónica eritematosa ligera. La Laparoscopía: lesión elevada blanquecina deprimida en su centro al nivel del lóbulo izquierdo del hígado el cual está disminuido de tamaño con algunas depresiones cicatrízales, vesícula de paredes engrosadas, genitales internos y bazo normales. Se concluyó como hepatopatía crónica (se tomó biopsia la cual resultó negativa), posible hígado infiltrado y adherencia posquirúrgica no reciente.
La paciente fue valorada por Ginecología, Oncología y Grupo de Apoyo Nutricional y se decidió inicio inmediato de aporte nutritivo especializado, pero sin orientación diagnóstica específica dado el resultado del examen ginecológico totalmente normal y los resultados actuales.
Ocho meses después la paciente es nuevamente hospitalizada y en esta ocasión se constató: Hemoglobina: 90 g/L, plaquetas: 606 × 109 /L, leucocitos: 8 × 109/L, Amilasa sérica: 420 U/L.
El marcador tumoral CA-125: 53,7U/mL, Antígeno carcinoembrionario (CEA) y Alfa feto proteína (AFP): Normales. El resto de la hemoquímica no difirió del primer ingreso de forma significativa.
Líquido ascítico con hematíes incontables y Pandy de 3 cruces. Amilasa: 1 005 U/L, Líquido ascítico citológico: extendido constituido por elementos inflamatorios crónicos y células reactivas mesoteliales.
Los estudios de imágenes mostraron los hallazgos siguientes: Ultrasonido de abdomen: Moderada ascitis con abundantes elementos celulares. Engrosamiento nodular del peritoneo visceral. No alteraciones ginecológicas. TAC de abdomen con contraste oral: Ascitis, no alteraciones pancreáticas ni lesiones metastásicas en hígado. Bazo normal. TAC de abdomen (con contraste endovenoso): Engrosamiento nodular extenso en peritoneo parietal del lado izquierdo.
Se concluyó el caso como una endometriosis peritoneal específicamente una Endosalpingiosis peritoneal intensa, diagnóstico este último corroborado por los estudios histológicos. Considerada la entidad como el equivalente tubárico de la endometriosis, se inició tratamiento mensual con 3,6mg de goserelina (Zoladex), un inhibidor hipotalámico de la liberación de gonadotropina y después de la segunda dosis la enferma se mantuvo libre de síntomas.
Caso 4
Paciente masculino de 43 años de edad con antecedentes de ser bebedor habitual. Seis meses previos a su ingreso inicia con astenia, anorexia, sensación de plenitud gástrica además de un aumento de volumen progresivo que se asoció a dolor, a nivel de hemiabdomen inferior.
Al examen físico, el abdomen se encontraba tenso, seguía poco los movimientos respiratorios y a los golpes de tos, la pared abdominal impresionaba estar endurecida, doloroso a la palpación a nivel de hipogastrio sin precisar visceromegalia o masa tumoral. El resto del examen físico sin elementos positivos.
Dentro de los estudios de laboratorio se encontró VSG acelerada, el hemograma y la química sanguínea fueron normales al igual que los marcadores tumorales realizados, dígase antígeno carcinoembrionario y alfafetoproteína.
El ultrasonido abdominal mostró desplazamiento de los órganos del hemiabdomen superior por un gran proceso expansivo complejo, predominantemente de baja ecogenicidad con gruesos tabiques. El bazo apareció rodeado por la lesión y la aorta y la cava estaban desplazadas por esta, se definían con mucha dificultad. Vejiga y próstata normal, La masa demostró poca vascularización al estudio Doppler, y existió escaso líquido libre que se acumulaba hacia fosa ilíaca izquierda.
En la TAC de abdomen con contraste vía oral se observó marcado engrosamiento del peritoneo visceral y parietal en todo el abdomen, el cual englobaba todas las estructuras abdominales, y tenía una densidad de aproximadamente 26 UH, sospechándose la existencia de líquido ascítico, pero escaso y muy denso, predominando mayormente el engrosamiento y las masas descritas. Existían adenopatías intraperitoneales, peri aórticas y peri pancreáticas, así como nódulos superficiales umbilicales que impresionaban secundarios. (Figura 3).

Se realizó laparoscopía donde el hígado y la vesícula biliar no se pudieron visualizar por encontrarse cubiertos por material coloide, con toda la cavidad peritoneal cubierta por un contenido de ascitis gelatinosa, de color verdoso con algunas sinequias de este material con el peritoneo parietal y pequeñas lesiones blanca nacaradas en este último, concluyéndose como una ascitis gelatinosa. Se tomó biopsia de peritoneo que informó una carcinosis peritoneal por un adenocarcinoma mucinoso de probable origen del tracto digestivo.
Con estos datos se continuó con el estudio del aparato digestivo donde en endoscopía superior sólo se evidenciaba una pangastritis eritematosa. En colonoscopía realizada se constató una deformidad a nivel del orificio apendicular con compresión extrínseca a este nivel.
Con estos elementos al paciente se le realizó laparotomía exploratoria con hemicolectomía derecha de 38 por 4 cm que en biopsia evidenció adenocarcinoma papilar mucinoso bien diferenciado de apéndice cecal que infiltraba mesocolon y pared del ciego; además se precisó carcinosis peritoneal mucinosa: tamaño aproximado de la masa tumoral: 10cm y metástasis en todos los ganglios linfáticos disecados formando una gran masa tumoral. Además, se precisaron alteraciones a nivel del bazo y vesícula biliar por lo que se procedió a su exploración. Vesícula biliar con material mucinoso que en biopsia resultó ser un adenocarcinoma mucinoso con presencia de abundante mucus, con un volumen aproximado de 30 cm realizándosele colecistectomía que en biopsia mostró una colecistitis crónica reactiva con infiltración serosa de un adenocarcinoma mucinoso. Se realizó además esplenectomía, encontrando en la biopsia congestión del parénquima esplénico con infiltración capsular por un adenocarcinoma mucinoso.
Se concluyó el caso como un adenocarcinoma papilar mucinoso de apéndice como causa de una ascitis gelatinosa y con metástasis múltiples (ganglionar, vesícula biliar y bazo).
El paciente presentó una recuperación satisfactoria de la cirugía, posteriormente se le realizó esquema de quimioterapia con varios ciclos de folfox-4.
Caso 5
Paciente femenina de 30 años de edad, piel blanca, antecedentes de cesárea alrededor de 2 meses antes de su ingreso, con historia de embarazo normal, que posteriormente comienza con aumento de volumen abdominal acompañado de sensación de plenitud, no contaba con sintomatología respiratoria y negaba otros síntomas.
A la exploración física se encontró un abdomen globuloso, con submatidez en hemiabdomen inferior y maniobra de Tarral positiva. Resto del examen físico normal.
Se le realizó hemoquímica que sólo arrojó elevación del CA -125: 704 U/mL. Una prueba de Mantoux en 0 y tres esputos BAAR negativos. El resto de los exámenes de laboratorio fueron normales.
Mediante paracentesis se extrajo líquido de aspecto serohemático, y en el estudio llamaba la atención la linfocitosis marcada (95 %).
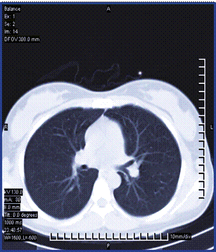
La tomografía de tórax (Figura 4) y el electrocardiograma fueron normales. El ultrasonido de abdomen reportaba ligera hepatoesplenomegalia y líquido libre en cavidad abdominal.

Se decidió realizar posteriormente laparoscopía exploratoria, donde se apreciaron lesiones granulomatosas en el peritoneo y ovarios, tomándose muestra de la lesión, la cual reveló proceso granulomatoso peritoneal y crónico con patrón epitelial y células gigantes, no confluentes, no caseificantes, histológicamente compatible con sarcoidosis.
Con estos hallazgos se decidió iniciar tratamiento con esteroides a dosis bajas, con posterior resolución de la ascitis. La paciente se mantuvo asintomática.
Discusión
Caso 1: La ascitis quilosa es una rara forma de presentación caracterizada por ser un líquido lechoso con triglicéridos producida por la presencia de linfa torácica o intestinal en la cavidad abdominal,1 la bibliografía refiere su incidencia aproximadamente 1 por cada 20,000 ingresos hospitalarios en un estudio realizado en un período de 20 años. 2 El consenso actual utiliza un valor de corte >200 mg/dL de triglicéridos como criterio para el diagnóstico de esta patología.1,2
La fisiopatología se relaciona con los mecanismos de la disrupción de los vasos del sistema linfático ya sean causas malignas o benignas.3
Dentro de la etiología, se pueden clasificar como de causas portal (pre hepática, hepática y post hepática) y no portal (congénita, inflamatoria, infecciosa, neoplásica, postoperatoria y traumática), dependiendo de la presencia o ausencia de enfermedad que condicionen el sistema portal de la persona.2
En el caso expuesto, el paciente presentaba una patología de base como la cirrosis hepática, la cual está presente en un 0.5 - 1 % de las etiologías planteadas,4 junto con una trombosis de la vena porta, y ambas entidades produjeron una ascitis quilosa.
Caso 2: La gastroenteritis eosinofílica es un trastorno inflamatorio del tracto gastrointestinal caracterizado por infiltración eosinofílica de la pared intestinal, el estómago y el intestino delgado son las áreas más afectadas.5 En un estudio de prevalencia que abarcó del 2009 - 2011, se estimó que por cada 100,000 ingresos hospitalarios 8,4 de estos se identificaron dentro de esta patología.6
Se definieron 3 criterios diagnósticos: 1) presencia de síntomas gastrointestinales; 2) biopsias del tracto gastrointestinal mostrando infiltración eosinofílica o características radiológicas con eosinofilia periférica o ascitis rica en eosinófilos; y 3) ausencia de enfermedad parasitaria o extraintestinal.7
Clínicamente se reconocen 3 patrones de presentación según sea el compromiso; mucoso, muscular o seroso. La forma menos frecuente es la que cursa con alteración de la capa serosa (10 %) y se manifiesta con ascitis eosinofílica.8
El tratamiento incluye terapia con glucocorticoides dentro de la cual, Prednisona, Fluticasona y Budesonida, son los medicamentos principales.8
En el caso revisado, el paciente contaba con los 3 criterios establecidos, así como un diagnostico terapéutico positivo al tener una mejoría de su cuadro clínico posterior al tratamiento con glucocorticoides.
Caso 3: La ascitis hemorrágica se define como aquella en la que se encuentran más de 10000 hematíes por litro de líquido peritoneal, la cual se presenta con 3 causas principales: carcinomatosis peritoneal, pancreatitis aguda y la tuberculosis peritoneal.9
En el caso de nuestra paciente que presentaba un engrosamiento del peritoneo secundario a una endometriosis, esta patología es una enfermedad caracterizada por la existencia de tejido endometrial fuera de la cavidad uterina, la localización extra pélvica es realmente excepcional, lo que representa 9 % de los casos.10
Se han reportado pacientes con ascitis masiva de tipo hemorrágica causados por endometriosis, llegando a complicarse con estado de choque hipovolémico.11
Caso 4: El adenocarcinoma papilar mucinoso de apéndice tiene una incidencia de 1 a 2 casos por cada millón de habitantes por año. Se caracteriza por una colección gelatinosa intrabdominal localizada en el omentun o la superficie peritoneal. Desde el año 1884 se conoce con el término de Pseudomixoma peritoneal y no es hasta 1991 que se describe un caso asociado al apéndice.12
Estos pacientes que progresan a pseudomixoma peritoneal deben recibir el tratamiento agresivo conformado por hemicolectomía derecha, excéresis de todo el material implantado y citorredución.13
Caso 5: La ascitis como manifestación de la sarcoidosis es muy rara, y cuando está presente generalmente se asocia a insuficiencia cardiaca o hipertensión portal secundaria a infiltración hepática.14 La elevación del CA -125 se debe a la respuesta de las células mesoteliales del peritoneo particularmente a la inflamación. La biopsia peritoneal es necesaria para confirmar el diagnóstico y hay que descartar la infección por Mycobacterium tuberculosis y procesos malignos. 15
El curso clínico de la ascitis en la sarcoidosis no asociada a hipertensión portal es benigno y resuelve a dosis bajas de esteroides. Su frecuencia es muy baja reportándose 3 casos por 100 000 habitantes. 16
Conclusiones
El análisis de las presentaciones clínicas de los casos, los hallazgos en los estudios imagenológicos y en los exámenes de laboratorio, así como los resultados anatomopatológicos permitieron el diagnóstico de las entidades causantes de ascitis atípicas en estos pacientes.
Referencias bibliográficas
1. Garcia Tsao G. Ascitis. Fisiopatología y tratamiento. Acta Med Colomb. 1992;17(3):198-200.
2. Vargas R. Ascitis. Act Med Per. 2007;24(1):34-9.
3. Lizaola B, Bonder A, Trivedi HD. The diagnostic approach and current management of chylous ascites. Aliment Pharmacol Ther.2007;46:816-24.
4. Bhardwaj R, Vaziri H, Gauntam A, Ballesteros E, Karimeddini D, Wu G. Chylous Ascites: A review of Pathogenesis, Diagnosis and Treatment. J ClinTransl Hepatol. 2018;6:105-13.
5. Uribe J, Sepúlveda R, Cruz R, Illanes P, Trucco C, Le Roy C, et al. Ascitis quilosa post cirugía abdominal: caso clínico y revisión de la literatura. Gastroenterol Latinoame.2018;29:193-9.
6. Cardenas A, Chopra S. Chylous ascites. Am JGastroenterol.2002;97:1896-900.
7. Sunkara T, Rawla P, Yarlagadda K, Gadaputi V. Eosinophilic gastroenteritis: diagnosis and clinical perspectives. Clin Exp Gastroenterol.2019;12:239-53.
8. Jensen E, Martin C, Kappelman M, Dellon E. Prevalence of Eosinophilic gastritis, gastroenteritis, and colitis: Estimates from a national administrative database. J Pediatr Gastroenterol Nutr.2016;62:36-42.
9. Talley NJ, Shorter RG, Phillips SF, Zinsmeister AR. Eosinophilic gastroenteritis: A clinicopathological study of patients with disease of the mucosa, muscle layer, and subserosal tissues. Gut.1990;31:4-8.
10. Zhang M, Li Y, Eosinophilic gastroenteritis: A state-of-the-art review. J Gastroenterol Hepatol. 2017; 32(1):64-72.
11. Velásquez J, Moncayo A, Andrade A, Álvarez A, Morán J, Morán J. Ascitis hemorrágica en tuberculosis peritoneal: reporte de caso. Rev Fac Cien Soc Univ Cau.2021;21:49-55.
12. Juan L, Rodríguez M, Puente M, Fernández C, Laguna M, Hernández J. Ascitis y neumotórax secundarios a endometriosis. Ginecol Obstet Méx.2020;88: 890-6.
13. Lin J, Lin H, Huang C, Lai C, Chung H, Liang S, et al. Endometriosis presenting as bloody ascites and shock. J Emer Med.2008;38:30-2.
14. Macri A, Bevan K, Mohamed F. Pseudomyxoma peritonei. World J Gastrointest Oncol.2010;2(1):44-50.
15. Vicuña P, Rivas M, Arredondo A. Neoplasia mucinosa apendicular, hallazgo inusual en apendicectomías de urgencia: reporte de un caso. Rev Soc Méd S Reg. 2017;5:21-4.
16. Rivarola S, Veltri M, Padilla I, Avagnina A, Biagioni M, De la hoz A, et al. Hipertensión portal secundaria a sarcoidosis hepática. A Gastroenterol Lat. 2020;50:43-4.
Contribución de autoría
Notas de autor
*Autor para la correspondencia: odriozola@infomed.sld.cu
Declaración de intereses