CIENCIAS CLÍNICAS Y PATOLÓGICAS
Apraxia y la Arteria Cerebral Posterior fetal. Presentación de caso
Apraxia and the Fetal Posterior Cerebral Artery. Case presentation
Apraxia y la Arteria Cerebral Posterior fetal. Presentación de caso
Revista Habanera de Ciencias Médicas, vol. 22, no. 3, e5341, 2023
Universidad de Ciencias Médicas de la Habana
Received: 03 June 2023
Accepted: 23 June 2023
RESUMEN
Introducción: La Apraxia es un grupo de trastornos no paralítico de la función motora, donde la persona pierde la capacidad de ejecutar movimientos voluntarios aprendidos, sin debilidad muscular importante. Se ha podido relacionar con lesiones de los lóbulos frontales y parietales. Las causas más frecuentes son: vasculares, tumorales y traumatismo, siendo la primera la más prevalente en nuestro medio. La Arteria Cerebral Media es la encargada de irrigar estas estructuras.
Objetivo: Confirmar el valor de la integración de los hallazgos clínicos y de investigaciones diagnósticas en el diagnóstico topográfico y etiológico de los ictus. Caso clínico: Se trató de un varón de 68 años de edad, hipertenso, diabético y con dislipidemia, quien debutó con un cuadro de hemiparesia izquierda, apraxia cinética y hemianopsia homónima; focalidad neurológica que habitualmente corresponde y es atribuida al territorio vascular de la arteria cerebral media del hemisferio derecho, asociado con ausencia de flujo en la carótida interna proximal homónima y evidenciada en el Doppler.
Conclusiones: Se trató de un ictus del territorio de la arteria cerebral posterior con variante fetal que mimetizó clínicamente a la arteria cerebral media y presentó un trastorno apraxico como manifestación cardinal. Es muy importante el estudio cuidadoso de las neuroimagenes en todos los pacientes.
Palabras Claves: Apraxia cinética+ arteria cerebral posterior fetal+ Infarto cerebral aterotrombótico.
ABSTRACT
Introduction: Apraxia is a group of non-paralytic disorders of motor function, where the person loses the ability to execute learned voluntary movements, without significant muscle weakness. It has been related to lesions of the frontal and parietal lobes. The most frequent causes are: vascular, tumors, and trauma, the first being the most prevalent in our environment. The middle cerebral artery is responsible for supplying these structures.
Objective: To highlight the importance of clinical findings and complementary tests in the topographic and etiological diagnosis of stroke.
Clinical case: Here, we report the case of a 68-year-old man suffering from hypertension, diabetes and dyslipidemia who presented a picture of left hemiparesis, kinetic apraxia, and homonymous hemianopsia; a neurological focus that usually corresponds to and is attributed to the vascular territory of the middle cerebral artery of the right hemisphere, associated with absence of flow in the homonymous proximal internal carotid artery and evidenced by Doppler.
Conclusions: Strokes from the fetal posterior cerebral artery territory can clinically mimic the middle cerebral artery and present with an apraxic disorder as a cardinal manifestation; hence the importance of a careful review of the complete neuroimaging study in all cases.
Keywords: Kinetic apraxia, posterior cerebral artery of fetal origin, atherothrombotic cerebral infarction.
INTRODUCCIÓN
La Apraxia es el término que Liepmann utilizara por primera vez en 1900 para definir a un grupo de trastornos no paralítico de la función motora, donde la persona consciente, pierde la capacidad de ejecutar movimientos voluntarios aprendidos, sin debilidad muscular importante. Se han identificado tres tipos fundamentales: ideatoria, ideomotora y cinética. La apraxia ideatoria se caracteriza por la imposibilidad de realizar una acción después de una orden; en la ideomotora el individuo puede saber la acción planeada, pero es incapaz de realizarla con las dos manos al mismo tiempo; en otras palabras, la apraxia ideatoria se caracteriza por dificultad en lo que hay que hacer, en tanto la ideomotora es una dificulta en la manera de hacerlo. Sin embargo, muchos autores consideran que la diferencia entre una y otra es muy difícil en la mayoría de los casos.1,2
Un tercer tipo lo constituye la apraxia cinética de miembros, donde se producen movimientos torpes e inseguros como consecuencia de la imposibilidad de conectar los movimientos individuales de la mano y el brazo. Esta se puede asociar con ligeros grados de debilidad, que en muchas ocasiones esta última la oculta durante la exploración física. Con base en grandes estudios con un gran número de pacientes, donde se realiza un análisis detallado de imágenes cerebrales funcionales mediante Resonancia Magnética Nuclear (RMN) se ha podido relacionar estos diferentes subtipos de apraxias, con lesiones de los lóbulos frontales y parietales. En estos casos, la mayoría de las lesiones se asienta en el hemisferio izquierdo, pero el derecho pude verse afectado en algunos.2,3
En cuanto a la naturaleza de la lesión, se plantea que las causas más frecuentes son: vasculares, tumorales y traumatismo, siendo la primera la más prevalente en nuestro medio. En términos prácticos, estas apraxias suelen observarse en reiteradas ocasiones en lesiones parietales izquierdas donde se afectan las áreas asociativas visuales, auditivas y somestèsicas, localizadas en la circunvolución supramarginal y parietal superior (áreas 5 y 7 de Brodman). En estas circunstancias se asocian con afasia no fluida y diferente grado de paresia de la mano contralateral. La Arteria Cerebral Media (ACM) es la encargada de irrigar estas estructuras, y 80 % de los casos se deben a infartos cerebrales por la oclusión ya sea trombótica o embolica en dicha topografía.2,3,4
A pesar de lo debatido y estudiado el tema por varios autores, el síndrome clínico descrito con anterioridad se presenta sobre todo en casos donde se compromete el hemisferio izquierdo como se mencionó, pero en un número reducido de sujetos este puede observarse en lesiones del hemisferio derecho.2,3
Nuestro trabajo tiene como objetivo confirmar el valor de la integración de los hallazgos clínicos y de investigaciones diagnósticas en el diagnóstico topográfico y etiológico de los ictus.
PRESENTACIÓN DEL CASO
Anamnesis
Varón de 68 años de edad, con factores de riesgo vasculares que incluyen hipertensión arterial (HTA), Diabetes Mellitus tipo 2 (DM2), dislipidemia y cardiopatía isquémica; con todo esto, no cumple un tratamiento médico de manera regular. Acude al Servicio de Urgencias porque en la madrugada se despierta con un cuadro de debilidad en extremidades izquierdas y dificultad para la realización de actos motores coordinados como sostener un vaso y llenarlo de agua con la mano contralateral. Este cuadro se acompaña de cifras elevadas de tensión arterial y glucemia. Se realiza tomografía computarizada (TAC) de cráneo urgente informándose como normal, se decide su ingreso con el diagnóstico de ictus isquémico en territorio superficial de ACM derecha en evolución, de probable mecanismo aterotrombótico. En los días siguientes al ingreso el déficit neurológico se estabiliza y mejora de manera discreta. Al segundo día de evolución se practica un segundo estudio de TAC de cráneo, donde se visualiza área hipodensa en región occipital derecha que se extiende hasta el lóbulo parietal posterior; territorio frontera entre la ACM y arteria cerebral posterior (ACP) derechas.
Exploración física
Examen general: cabeza y cuello con pulsos carotideos ausentes en el lado derecho, no se definen soplos a la auscultación. Temperatura 36,5 C. TA: 150/90 mmHg. FC: 90 latidos por minutos, ruidos cardiacos rítmicos, sin soplos cardiacos. Abdomen globuloso, sin visceromegalia ni otras alteraciones.
Examen neurológico: Conciencia: estado de vigilia, coopera al interrogatorio, cumple órdenes y no se aprecia trastorno afásico. Lenguaje disártrico de ligera intensidad. En la maniobra de Barré para miembros superiores se produce ligera pronación de la mano y antebrazo (paresia braquial izquierda 4/5 distal), paresia crural ipsilateral 4/5 en el Barré de miembros inferiores. Se aprecia apraxia cinética de la mano izquierda que se evidencia por una dificultad en realizar movimientos finos como: contar con los dedos, abotonarse la camisa y tomar una moneda sobre la mesa. Al pedirle la orden de que haga el saludo militar es incapaz de hacerlo, solo esbozando movimientos torpes e irregulares. Reflejos osteotendinosos asimétricos más acentuados I>D, signo de Babinski (+) en el cutáneo plantar Izquierdo. No trastorno sensitivo superficial ni profundo. Hemianopsia homónima izquierda que compromete todo el campo temporal. No signos meníngeos. NIHSS: 10 puntos.
Exploraciones Complementarias
TAC de cráneo simple (al ingreso): Ligeros signos de atrofia cerebral cortical y subcortical, con diferenciación cortico-subcortical conservada sin dilatación del sistema ventricular, no se definen otras alteraciones.
Doppler carotídeo: Depósitos fibrolipídicos y fibrocálcicos con placa calcificada y ausencia de flujo a nivel de carótida derecha. En la carótida izquierda se observan placas blandas y calcificadas, pero con velocidad de flujo conservada al igual que las vertebrales. Estos hallazgos sugieren oclusión de arteria carótida interna derecha extra craneal en su tercio proximal.
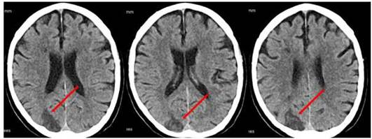
TAC de cráneo simple (a las 48 h de evolución) (Figura 1): Se observa imagen hipodensa de aspecto vascular en región occipital que se extiende hasta región parietal posterior, territorio limítrofe de ACM y ACP derechas. Las imágenes corresponden a un infarto isquémico en evolución.
Angio-TC de cráneo (Figura 2): Destaca la presencia de oclusión completa de la arteria carótida interna derecha en su origen, con demostración de flujo de contraste a nivel de la arteria carótida interna en regiones petrosa, cavernosa y ACM, con una ACP derecha que nace directamente de la carótida supraclinoidea, la misma se encuentra ocluida en su tercio distal. No signos de disección. Arterias carótida izquierda y vertebrales permeables sin hallazgos.


Ecocardiograma: Ventrículo izquierdo con hipertrofia ligera del septo interventricular (14 mm), disfunción diastólica ligera con función sistólica conservada. Raíz aórtica y aorta ascendente ateromatosa.
ECG: Ritmo sinusal.
Hemoquímica sanguínea: Hematimetría, perfil hepático y renal: normal. Perfil lipídico: aumento ligero del colesterol total (6,8 mmol/l) y los triglicéridos (2,00 mmol/l).
Diagnóstico
Ictus isquémico aterotrombótico con oclusión de la arteria carótida interna derecha en su origen y embolismo distal en la arteria cerebral posterior ipsilateral con un nacimiento fetal.
Tratamiento
Control estricto de factores de riesgo cardiovascular. Dieta hiposódica, hipograsa y adecuada para pacientes diabéticos. Fisioterapia precoz y regular según tolerancia.
ASA (125 mg), Enalapril (20 mg), Atorvastatina (80 mg) y Ácido Fólico (5 mg) al día; Metformina (500 mg) tres tabletas al día y esquema de insulina lenta.
Evolución
Paciente estable. Recuperó la función de articulación del habla. Mejoría del defecto motor, persistiendo el trastorno apráxico; sin embargo, el paciente no lo percibe y tiene poca repercusión en el desempeño de la vida diaria, en estos momentos los factores de riesgo vasculares se encuentran bajo tratamiento y controlados.
DISCUSIÓN
La apraxia cinética de la extremidad superior izquierda está relacionada con lesiones que comprometen el fascículo arqueado y desconectan la corteza parietal y frontal del hemisferio derecho. También se produce en lesiones callosas anteriores que desconectan las regiones premotoras de asociación derechas-izquierdas en el lóbulo frontal, lo que significa que tanto el compromiso de regiones corticales como de fibras subcortical en el hemisferio cerebral pueden producir el mismo trastorno apraxico. Las estructuras anatómicas antes mencionadas son irrigadas en su totalidad por la ACM.3,4,5
Hablamos de un varón de 68 años de edad, hipertenso, diabético y con dislipidemia, que debuta con un cuadro clínico de hemiparesia izquierda, apraxia cinética y hemianopsia homónima; focalidad neurológica que habitualmente corresponde y es atribuida a territorio vascular de la ACM del hemisferio derecho, asociado con una ausencia de flujo en la carótida interna proximal homónima evidenciada en el Doppler. Estos hallazgos sugieren plantear con mucha fuerza en sus inicios, un infarto en el territorio de la ACM derecha. Sin embargo, los estudios posteriores (TAC de cráneo a las 48 h de evolución) (Figura 1) imponen reconsiderar el diagnóstico y valorar la posibilidad de variantes anatómicas en la circulación intracraneal, comprobando estos últimos con el estudio de Angio-TC (Figura 2).
Las arterias cerebrales posteriores constituyen las ramas terminales de la arteria basilar, cuyo nacimiento se encuentra a nivel de la cisterna interpeduncular y se encargan de la irrigación de los lóbulos occipitales, así como de la región inferomedial de ambos lóbulos temporales. Además, emiten múltiples ramas que vascularizan distintas regiones entre las que se encuentran el mesencéfalo, tálamo, entre otras. Aproximadamente 20-25 % de la población general presenta un origen fetal o embrionario de las ACP como variante anatómica. Hablamos de ACP fetal parcial cuando el diámetro de la arteria comunicante posterior es mayor que el diámetro del segmento P1 ipsilateral, mientras que utilizamos el término ACP fetal completa para aquellos casos en los que el segmento P1 está ausente, de tal modo que la irrigación sanguínea de la arteria cerebral posterior de ese mismo lado depende exclusivamente de la circulación carotídea.4,5
La clínica acompañante a la oclusión de la ACP va a variar en función de la localización exacta de la misma y de la disponibilidad de colaterales que compensen el déficit de flujo. Clásicamente, la oclusión de esta arteria podría cursar con hemianopsia homónima izquierda (parcial o completa), alexia sin agrafia (ocasionado por infarto a nivel del esplenio del cuerpo calloso y lóbulo occipital, y dar lugar a una desconexión del sistema de integración visual-lenguaje), déficit sensitivo en lesiones talámicas y en caso de afectación mesencefálica, una parálisis del III par craneal con midriasis y hemiparesia contralateral (Síndrome de Weber). Sin embargo, en la literatura no se describe de forma clara y consistente la apraxia como una manifestación cardinal en este síndrome neurovascular.5,6,7
Se han publicado algunos artículos donde se describe la clínica de la ACP simulando una ACM. En cuanto a la hemiparesia que es el síntoma más frecuente de presentación de la ACM y como tal estuvo presente en este caso, hay que señalar la manifestación de esta en una forma muy frustre, siendo más evidente el trastorno apráxico antes descrito,8,9 lo cual le aporta una riqueza semiológica muy interesante y poco descrito en la literatura científica. Este caso resalta la importancia del incremento de distintas posibilidades etiológicas y topográficas como causantes de la sintomatología inicial.
En cuanto a la etiología del ictus, con los hallazgos encontrados en la exploración general y neurovascular, se concluyó que la causa del evento vascular que presentó el paciente fue la aterotrombótica; con un mecanismo subyacente embolico arteria-arteria, sin descartar del todo un fenómeno hemodinámico distal, ya que ambos mecanismos se consideran los principales en los infartos cerebrales aterotrombóticos. También el cuadro ocurre durante el sueño, ya que el paciente disminuye la ingesta de líquidos aumentando la viscosidad de la sangre y en ese horario es que se secretan los factores protrombóticos de la coagulación. Según las últimas guías, la antiagregación plaquetaria y las estatinas (Atorvastatina) se consideran el tratamiento de elección para la prevención secundaria en este tipo de ictus.10,11
CONCLUSIONES
Los ictus del territorio de la ACP pueden mimetizar clínicamente a la ACM y presentarse con un trastorno apráxico como manifestación cardinal; de ahí la importancia de una revisión detenida del estudio completo de neuroimagen en todos los casos y considerar la posibilidad de una ACP fetal, variante anatómica no tan infrecuente.
REFERENCIAS BIBLIOGRÁFICAS
Brazis PW, Masdeu J, Biller J. Localization in clinical Neurology. 7 ed. Philadelphia: Wolters Kluwer Lippincot Williams & Wilkins; 2017.
Ropper AH, Samuels MA, Klein JP. Adams y Victor: Principios de Neurología. México: McGraw Hill Medical; 2017.
Caplan LR. Basic pathology, anatomy, and pathophysiology of stroke. En: Caplan's Stroke: A Clinical Approach. 4 ed. Philadelphia: Saunders Elsevier; 2009. p. 22.
Iqbal S. A comprehensive study of the anatomical variations of the circle of willis in adult human brains. J Clin Diagn Res. 2013;7(11):2423-7.
Kim JS, Caplan LR, Wong KS. Clinical Stroke Syndromes. Front Neurol Neurosci. 2016;40:72-92.
Jankovic J, Mazziotta JC, Pomeroy SL, Daroff RB. Bradley's Neurology in Clinical Practice. 7 ed. Philadelphia: Elsevier; 2015.
Caplan LR, ed. Stroke: Clinical Approach. Cambridge: Cambridge University Press; 2016.
Southerland AM. Clinical evaluation of the patient with acute stroke. Continuum (Minneap Minn) [Internet]. 2017 [Citado 02/06/2022];23(1, Cerebrovascular Disease):40-61. Disponible en: https://pubmed.ncbi.nlm.nih.gov/28157743/
Pérez-Lázaro C, Santos-Lasaosa S, Garcés-Redondo M, Piñol-Ripoll G, Fabre-Pi O, Mostacero-Miguel E, et al. Ictus amnésico por infarto hipocampal. Servicio de Neurología, Hospital Clínico Universitario Lozano Blesa. Rev Neurol [Internet]. 2005 [Citado 02/06/2022];41:27-30. Disponible en. https://www.neurologia.com/articulo/2004220
Iglesias Mohedano AM, García Pastor A, Díaz Otero F, Vázquez Alen P, Vales Montero M, Luque Buzo E, et al. Efficacy of New Measures Saving Time in Acute Stroke Management: A Quantified Analysis. Journal of Stroke and Cerebrovascular disease [Internet]. 2017 [Citado 02/06/2022];26(8):1817-1823. Disponible en: https://pubmed.ncbi.nlm.nih.gov/28522232/
Powers WJ, Rabinstein AA, Ackerson T, Adeoye OM, Bambakidis NC, Becker K, et al. 2018 Guidelines for the Early Management of Patients With Acute Ischemic Stroke: A Guideline for Healthcare Professionals From the American Heart Ass. Stroke. [Internet] 2019 [Citado 02/06/2022];50(12). Disponible en: https://www.ahajournals.org/doi/10.1161/STR.0000000000000211
Author notes
*Autor para la correspondencia:ariagnam7@gmail.com
Conflict of interest declaration