Caso clínico de cardiología
Anomalías de las arterias coronarias
Coronary arteries abnormalities
As anormalidades das artérias coronárias
Anomalías de las arterias coronarias
Iatreia, vol. 29, núm. 1, pp. 88-96, 2016
Universidad de Antioquia
Recepción: 20 Septiembre 2015
Aprobación: 23 Septiembre 2015
RESUMEN: El dolor torácico no relacionado con trauma es una causa importante de consulta en los servicios de urgencias, con frecuencia alrededor del 10 %, y es secundario al síndrome coronario agudo. La mayoría de las veces está relacionado con la formación de un trombo por ulceración o ruptura de una placa aterosclerótica. En algunos casos es secundario a causas raras como las anomalías del origen de las arterias coronarias. Presentamos el caso de un paciente con origen anómalo del tronco de la arteria coronaria izquierda, que ingresó con cuadro clínico sugestivo de síndrome coronario agudo sin elevación del segmento ST. Se discuten sus principales aspectos, el significado clínico y las opciones terapéuticas.
PALABRAS CLAVE: Anomalías Congénitas, Circulación Coronaria, Enfermedad Coronaria.
SUMMARY: Chest pain not related with injury is an important cause of visit to emergency departments; it accounts for 10 % of such visits and is caused by acute coronary syndrome. In most cases it is related to thrombus formation secondary to ulceration or rupture of an atherosclerotic plaque. Sometimes it is secondary to rare causes such as the presence of congenital coronary artery anomalies. We report the case of a patient with anomalous origin of the left main coronary artery, who was admitted to the hospital with a clinical picture suggestive of acute coronary syndrome without ST segment elevation. Its main aspects, clinical significance and therapeutic options are discussed.
KEY WORDS: Congenital Abnormalities, Coronary Disease, Coronary Circulation.
RESUMO: A dor no peito não associados com o trauma é uma das principais causas de consulta a serviços de emergência, muitas vezes em torno de 10 por cento e é secundária à síndrome coronariana aguda. A maior parte das vezes está relacionada com a formação de um trombo por ulceração ou ruptura de uma placa aterosclerótica. Em alguns casos, é secundária a causas raras como as anomalias da origem das artérias coronárias. Apresentamos o caso de um paciente com origem anômala da artéria coronária esquerda do tronco, que ingressou com um quadro clínico sugestivo de síndromes coronarianas agudas sem elevação do segmento ST . Se discutem os principais aspectos, o significado clínico e opções de tratamento.
PALAVRAS-CHAVE: Anomalias Congênitas, Circulação Coronariana, Doença Coronariana.
INTRODUCCIÓN
El dolor torácico no relacionado con trauma es una causa importante de consulta en los servicios de urgencias(1), con frecuencia alrededor del 10 % de acuerdo con el tipo de institución y la población(2). Plantea un reto al clínico dado que son múltiples las enfermedades que lo producen y muchos de estos pacientes se hospitalizan con la impresión diagnóstica de un evento coronario agudo, sin que en realidad tengan enfermedad coronaria(3). Tan solo al 9 % de los pacientes se les confirma un síndrome coronario agudo, lo que aumenta el número de procedimientos invasivos innecesarios y por ende el costo de la atención(2). Ciertas características del dolor pueden orientar a un origen isquémico, pero no debe ser interpretado en forma aislada, sino en el contexto de los datos de la historia clínica, especialmente la presencia de factores de riesgo coronario, y de algunos estudios paraclínicos(4). La irradiación al hombro o al brazo izquierdo, el desencadenamiento con el ejercicio, la descripción como dolor opresivo y el asociarse con diaforesis o náuseas y vómito aumentan la probabilidad de infarto agudo de miocardio; la descripción del dolor como de tipo pleurítico o de punzada, posicional, reproducible a la palpación, de localización inframamaria o no relacionado con el ejercicio disminuye esta probabilidad.
Otro aspecto para considerar es la presencia de isquemia miocárdica secundaria a procesos no relacionados con trombosis coronaria(5), tales como taquiarritmias, hipertensión arterial, crisis hipertensivas, enfermedad valvular, consumo de cocaína y otros medicamentos, vasoespasmo, disección arterial coronaria espontánea y anomalías anatómicas congénitas de las arterias coronarias(5); todas estas causas fueron agrupadas como infarto de miocardio tipo 2 en la tercera definición universal de infarto de miocardio, por ser secundarias al desequilibrio entre el aporte y el consumo miocárdicos de oxígeno, para diferenciarlas del tipo 1, que es secundario a la formación de trombo por ulceración o ruptura de una placa aterosclerótica(6).
Presentamos el caso de un paciente con origen anómalo del tronco de la arteria coronaria izquierda, quien ingresó al hospital con cuadro clínico sugestivo de síndrome coronario agudo sin elevación del segmento ST. Además, se hace una revisión sistemática de la literatura y se discuten sus principales aspectos, el significado clínico y las opciones terapéuticas.
CASO CLÍNICO
Hombre de 56 años de raza negra, procedente del departamento de Chocó, con antecedente de hipertensión arterial severa, mal controlada, en tratamiento irregular con hidroclorotiazida 25 mg al día y losartán 50 mg al día.
Consultó al servicio de urgencias por dolor precordial opresivo, no irradiado, de dos meses de evolución, desencadenado por medianos esfuerzos, de menos de 20 minutos de duración, que mejora con el reposo, con progresión hasta presentarse en la última semana con mínimos esfuerzos.
Los hallazgos al examen físico fueron los siguientes: frecuencia cardíaca 85 latidos por minuto, presión arterial 140/90 mm Hg, fondo de ojo con retinopatía grado II; no tenía ingurgitación yugular ni soplos en el cuello; ruidos cardíacos rítmicos sin soplos, punto de máximo impulso en el quinto espacio intercostal izquierdo con línea medioclavicular, sin galope ventricular; pulmones: murmullo vesicular normal, sin crépitos; abdomen: sin masas ni visceromegalias; extremidades: pulsos presentes, simétricos, de buena intensidad, sin déficits.
Se lo admitió con diagnóstico de síndrome coronario agudo sin elevación del segmento ST, con patrón clínico de angina in crescendo, por angina estado funcional III de la clasificación canadiense y cambio mayor a un estado funcional en las últimas semanas.
El electrocardiograma inicial demostró ritmo sinusal con signos de hipertrofia ventricular izquierda y elevación no significativa del punto J en las derivaciones V1-V3 (< 0,2 mV en hombres mayores de 40 años), que no se modificó en los controles (Figura 1). Las troponinas fueron negativas, por lo cual se diagnosticó angina inestable.

La estratificación con base en las escalas TIMI (1 punto) y GRACE (71 puntos) fue de riesgo bajo, por lo que se lo admitió a la unidad coronaria para tratamiento médico, observar la evolución y definir entre las estrategias invasiva y no invasiva.
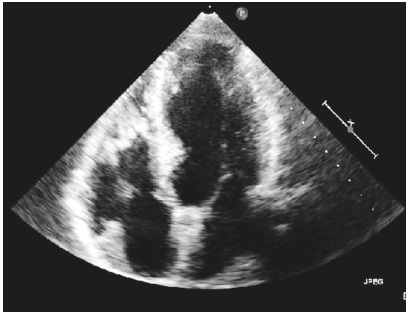
La ecocardiografía transtorácica mostró hipertrofia ventricular izquierda severa, grosor de la pared posterior en sístole de 17 mm, sin dilatación ventricular ni trastornos segmentarios de la contractilidad, con flujo valvular por doppler de color normal, válvulas sin alteración morfológica y función ventricular sistólica izquierda conservada, con fracción de eyección del 75 % calculada por el método de Simpson (Figura 2).

Durante la hospitalización en la unidad de dolor torácico, el paciente presentó nuevamente episodios recurrentes de angina, y a pesar de no tener cambios electrocardiográficos, se decidió hacerle coronariografía; en esta se hallaron las arterias coronarias epicárdicas sin lesiones ateroscleróticas significativas, pero con origen anómalo del tronco de la arteria coronaria izquierda, lo cual se observó en el aortograma; la imagen permitió localizar exactamente el sitio del ostium de la arteria y posteriormente canularla en forma selectiva; se determinó su ubicación precisamente en el seno coronariano derecho, contiguo al nacimiento de la arteria coronaria derecha (Figura 3).

Dado el hallazgo angiográfico se decidió hacer una evaluación anatómica con resonancia magnética cardíaca (RMC) para definir el trayecto de la arteria coronaria izquierda, la severidad de la hipertrofia ventricular izquierda y detectar posibles anomalías concomitantes. La RMC demostró hipertrofia ventricular izquierda posiblemente secundaria a la cardiopatía hipertensiva, origen anómalo de la arteria coronaria izquierda en el seno coronariano derecho, confirmando el hallazgo angiográfico, con trayecto interarterial, entre la aorta y la arteria pulmonar (Figura 4).

Se instauró tratamiento médico con control de la presión arterial y mejoría clínica importante. Teniendo en cuenta las características clínicas, la edad, la respuesta al tratamiento médico y las preferencias del paciente y su familia se decidió continuar manejo expectante, en espera de la decisión con respecto al tratamiento quirúrgico planteado.
DISCUSIÓN
Aunque existen variantes en la anatomía de las arterias coronarias, la mayoría de ellas son inocuas y se las considera benignas o normales(7). Se considera normal cada una de estas modificaciones del patrón anatómico usual si se presenta en más del 1 % de la población general o si está entre las dos desviaciones estándar del valor promedio de una distribución normal(8). Las anomalías coronarias tienen una prevalencia del 0,6 % al 2 % en la población general y son la segunda causa de muerte súbita en atletas luego de la cardiomiopatía hipertrófica(9, 10). Sin embargo, puede existir sesgo de selección dado que los datos se extraen de cohortes de pacientes evaluados en el laboratorio de hemodinámica; según los datos de resonancia magnética cardíaca del Centro para Anomalías Coronarias del Texas Heart Institute en población pediátrica no seleccionada dicha prevalencia es hasta del 5,64 (11). Hay un amplio espectro de estas alteraciones y algunas tienen significado clínico, se asocian con isquemia miocárdica y/o muerte súbita y requieren tratamiento quirúrgico.
Se han propuesto muchas clasificaciones, sin lograr un consenso. Desde el punto de vista práctico mencionamos dos de ellas. La primera las clasifica en cuatro grupos: 1) anomalías del origen y el trayecto; 2) anomalías intrínsecas de la arteria; 3) anomalías de la terminación; y 4) anomalías de los vasos colaterales. Entre las alteraciones del origen y el trayecto se encuentra el origen del tronco de la arteria coronaria izquierda en el seno coronario derecho con trayecto anormal: 1) surco atrioventricular posterior o retrocardíaco; 2) retroaórtico; 3) entre la aorta y la arteria pulmonar, preaórtico, intramural (ACAOS, por su sigla en inglés); 4) intraseptal; 5) anterior al tracto de salida pulmonar o precardíaco; 6) surco interventricular posteroanterior(12, 13). El paciente descrito se clasificó como preaórtico.
De las 66 variantes reportadas, la única que parece estar asociada a isquemia miocárdica es el origen anómalo del seno de Valsalva opuesto con curso intramural (ACAOS)(14).
Otra forma práctica de clasificarlas es dividirlas, por el compromiso hemodinámico que generan, en significativas y no significativas; las anomalías hemodinámicamente significativas son la atresia coronaria, el origen anómalo de la coronaria izquierda en la arteria pulmonar (ALCAPA), el curso interarterial y las fístulas congénitas; las lesiones no hemodinámicamente significativas son el origen alto del ostium en la aorta, el origen en el seno opuesto con trayectos prepulmonares, retroaórticos, transeptales y la terminación sistémica o en otras estructuras vasculares(15); estas últimas no están asociadas a riesgo de muerte súbita.
Los estudios de autopsias y los métodos de imágenes han demostrado que la arteria coronaria con curso interarterial, en realidad no discurre entre la aorta y la arteria pulmonar, sino dentro de la capa media de la aorta en su porción proximal(16). Aunque la tomografía de arterias coronarias es el estándar de referencia para el diagnóstico, y se la considera superior a la angiografía coronaria(17, 18), las técnicas intraarteriales de imágenes como el ultrasonido intravascular (IVUS) y la tomografía de coherencia óptica (OCT), son las que permiten determinar en cada caso la gravedad de la estenosis proximal(19); la resonancia magnética cardíaca también es útil para determinar la localización y el trayecto(20). Con el IVUS y la OCT se puede definir la gravedad teniendo en cuenta los siguientes aspectos: la longitud del segmento intramural; la severidad de la hipoplasia circunferencial con referencia al vaso distal; la asimetría del vaso o la relación entre su longitud y su diámetro; y el área de la estenosis durante el ciclo cardíaco y con el ejercicio simulado(21).
El espectro de presentación clínica es variable desde el estado asintomático hasta pacientes que se presentan con angina, disnea, síncope con el ejercicio o en reposo, infarto agudo de miocardio, falla cardíaca y muerte súbita. En atletas que han sufrido muerte súbita se han detectado síntomas premonitorios hasta en el 40 % de los casos(22) y se presenta durante o inmediatamente después de la actividad física. Cuando los síntomas aparecen en pacientes menores de 30 a 35 años hay mayor riesgo de muerte súbita(23, 24).
No está claro el mecanismo fisiopatológico por el cual se produce la isquemia; existen diversas hipótesis para explicarla, entre ellas la compresión entre la aorta y la pulmonar por aumento de presión en ambos vasos durante el ejercicio; la deformación del ostium de la arteria, su orientación tangencial desde el origen y la presencia de cordones fibrosos proximales; sin embargo, la teoría más aceptada en la actualidad es la disposición intramural de la arteria en la capa media de la aorta. Si el trayecto es intramural en la aorta se produce obstrucción de la coronaria durante períodos de hipertensión arterial o por espasmo coronario(25, 26).
La mayoría de las veces el diagnóstico de las anomalías coronarias es casual porque se hace una angiotomografía u otra técnica de imágenes por otras razones, o por coronariografía previa a cirugía en pacientes con cardiopatía isquémica o con enfermedad valvular. Es un reto diagnóstico en pacientes jóvenes que hacen actividad competitiva o en reclutas del servicio militar; se debe sospechar ante la presencia de síncope con el esfuerzo y angina sin otros factores de riesgo cardiovasculares, y es vital descartarlo en todos los pacientes resucitados exitosamente de una muerte súbita, con arritmias ventriculares letales o disfunción ventricular sin causa aparente.
En niños y adolescentes es posible observar el origen anómalo por ecocardiografía transtorácica y en ellos debe ser la prueba inicial(27). Como ya se mencionó, el estándar para el diagnóstico es la angiotomografía de coronarias(28); aunque la resonancia magnética permite evaluar el origen y el trayecto de las arterias coronarias, cobra mayor importancia en la detección de otras enfermedades congénitas asociadas(28, 29).
En pacientes mayores de 35 años con sospecha de enfermedad coronaria por angina podrían estar indicadas las pruebas de inducción de isquemia con imágenes como la tomografía por emisión de positrones (PET), la gammagrafía de perfusión (SPECT) y la ecocardiografía de estrés. En la mayoría de las ocasiones, en manos expertas, la coronariografía establece el origen anómalo de la arteria y sugiere el trayecto intraseptal o intramural(14).
El tratamiento es motivo de controversia. En pacientes con síntomas severos o menores de 35 años se recomienda la intervención quirúrgica por el mayor riesgo de muerte súbita, que puede ser la primera manifestación(30). Las guías de práctica clínica de la American Heart Association y el American College of Cardiology recomiendan como clase I con nivel de evidencia B la revascularización coronaria quirúrgica en pacientes con anomalía del tronco de la arteria coronaria con trayecto interarterial, isquemia coronaria documentada debido a compresión por curso interarterial o intramural, y origen anómalo de la arteria coronaria derecha con isquemia documentada(31).
El Centro para Anomalías Coronarias del Texas Heart Institute(14) propone el siguiente algoritmo:
Paciente asintomático con ACAOS en prueba de tamización realizada por cualquier razón
Derecho:
PET, SPECT o ecocardiografía de estrés para inducción de isquemia.
Si es negativa: seguimiento clínico.
Si es positiva con isquemia reversible, cicatriz o miopatía: evaluación con IVUS u OCT; si la estenosis es severa ofrecer revascularización percutánea o quirúrgica.
• Izquierdo:
Paciente menor de 35 años: reparación quirúrgica de rutina.
Paciente mayor de 35 años: reparación quirúrgica si la prueba de estrés es positiva.
Paciente con ACAOS derecho
Sintomático o con prueba de estrés positiva:
Evaluación de la severidad con IVUS u OCT; ofrecer revascularización percutánea o quirúrgica.
Paciente con ACAOS izquierdo
•Sintomático o con prueba de estrés positiva:
Evaluación de la severidad con IVUS u OCT; ofrecer revascularización quirúrgica.
En pacientes con ACAOS derecho es posible ofrecer revascularización percutánea con gran probabilidad de éxito, mejoría sintomática y del estado funcional; sin embargo, no ha sido evaluada en ensayos clínicos con asignación aleatoria, ni comparada con el tratamiento quirúrgico(32). En ACAOS izquierdo la intervención quirúrgica ofrece beneficios importantes; en centros especializados en el tratamiento de esta enfermedad se usan diferentes procedimientos; la experiencia favorece la técnica del unroofing, en la que se libera el segmento intramural de la coronaria y se crea un neoorificio en el seno correcto; también es posible la reimplantación ostial, si se remueve el segmento intramural; no se recomienda la revascularización con puente coronario de arteria mamaria interna, dado el flujo competitivo y la hipoplasia del injerto si la estenosis no es crítica, que es usualmente el caso(33, 34).
CONCLUSIÓN
Las arterias coronarias que se originan en el seno de Valsalva contralateral pueden ser hemodinámicamente significativas, en especial si tienen trayecto interarterial, con riesgo de isquemia miocárdica y muerte súbita.
El diagnóstico se sospecha en pacientes jóvenes con síncope con el ejercicio o angina y se confirma con imágenes; de estas, el estándar es la tomografía de coronarias. Los hallazgos de la arteriografía coronaria confirman el origen anómalo y sugieren el trayecto intraseptal o intramural. El tratamiento es motivo de controversia, pero se sugiere que sea quirúrgico en los casos con origen anómalo del tronco de la arteria coronaria izquierda y trayecto interarterial, o con origen anómalo de la arteria coronaria derecha con inducción de isquemia demostrada.
REFERENCIAS BIBLIOGRÁFICAS
1. Foy AJ, Filippone L. Chest pain evaluation in the emergency department. Med Clin North Am. 2015 Jul;99(4):835-47. DOI 10.1016/j.mcna.2015.02.010.
2. Lindsell CJ, Anantharaman V, Diercks D, Ho Han J, Hoekstra JW, Hollnmader JE, et al. The Internet Tracking Registry of Acute Coronary Syndromes (i*trACS): a multicenter registry of patients with of acute coronary syndromes reported using the standardized reporting guidelines for emergency department chest pain studies. Ann Emerg Med. 2006 Dec;48(6):666-77.e9. DOI 10.1016/j.annemergmed.2006.08.005.
3. Mendoza F. Dolor torácico en el servicio de urgencias: un reto por enfrentar. Rev Col Cardiol. 2003 Sep-Oct;10(8):455-64.
4. Swap CJ, Nagurney JT. Value and limitations of chest pain history in the evaluation of patients with suspected acute coronary syndromes. JAMA. 2005 Nov;294(20):2623-9. Erratum in: JAMA. 2006 May;295(19):2250.
5. Graidis C, Dimitriadis D, Karasavvidis V, Dimitriadis G, Argyropoulou E, Economou F, et al. Percutaneous treatment of spontaneous left main coronary artery dissection using drug-eluting stent. BMC Cardiovasc Disord. 2014 Dec;14:191. DOI 10.1186/1471-2261-14-191.
6. Thygesen K, Alpert JS, Jaffe AS, Simoons ML, Chaitman BR, White HD, et al. Third universal definition of myocardial infarction. Circulation. 2012 Oct;126(16):2020-35. DOI 10.1161/CIR.0b013e31826e1058.
7. Ogden JA. Congenital anomalies of the coronary arteries. Am J Cardiol. 1970 Apr;25(4):474-9.
8. Angelini P, Villason S, Chan AV, Diez JG. Normal and Anomalous Coronary Arteries in Humans. In: Angelini P, Fairchild VD, editors. Coronary Artery Anomalies: A Comprehensive Approach. Philadelphia , PA: Lippincott Williams & Wilkins; 1999. p. 27-79.
9. Barriales-Villa R, Morís de la Tassa C. Anomalías congénitas de las arterias coronarias con origen en el seno de Valsalva contralateral: ¿qué actitud se debe seguir? Rev Esp Cardiol. 2006 Apr;59(4):360-70.
10. Yamanaka O, Hobbs RE. Coronary artery anomalies in 126,595 patients undergoing coronary arteriography. Cathet Cardiovasc Diagn. 1990 Sep;21(1):28-40.
11. Angelini P. Coronary artery anomalies: an entity in search of an identity. Circulation. 2007 Mar;115(10):1296-305.
12. Shriki JE, Shinbane JS, Rashid MA, Hindoyan A, Withey JG, DeFrance A, et al. Identifying, characterizing, and classifying congenital anomalies of the coronary arteries. Radiographics. 2012 Mar-Apr;32(2):453-68. DOI 10.1148/rg.322115097.
13. Kragel AH, Roberts WC. Anomalous origin of either the right or left main coronary artery from the aorta with subsequent coursing between aorta and pulmonary trunk: analysis of 32 necropsy cases. Am J Cardiol. 1988 Oct;62(10 Pt 1):771-7.
14. Angelini P, Monge G. Coronary Artery Anomalies. In: Moscucci M, editor. Grossman & Baim’s Cardiac Catheterization, Angiography, and Intervention, 8th ed. Philadelphia: LWW; 2014. p. 335-53.
15. Hauser M. Congenital anomalies of the coronary arteries. Heart. 2005 Sep;91(9):1240-5. DOI 10.1136/hrt.2004.057299.
16. Angelini P. Coronary artery anomalies--current clinical issues: definitions, classification, incidence, clinical relevance, and treatment guidelines. Tex Heart Inst J. 2002;29(4):271-8.
17. Angelini P, Velasco JA, Flamm S. Coronary anomalies: incidence, pathophysiology, and clinical relevance. Circulation. 2002 May;105(20):2449-54.
18. Shriki JE, Talkin B, DeFrance T, Wilcox A. Classic images: coronary computed tomographic angiography. Curr Probl Cardiol. 2010 Dec;35(12):599-632. DOI 10.1016/j.cpcardiol.2010.09.004.
19. Angelini P, Walmsley RP, Libreros A, Ott DA. Symptomatic anomalous origination of the left coronary artery from the opposite sinus of valsalva. Clinical presentations, diagnosis, and surgical repair. Tex Heart Inst J. 2006;33(2):171-9.
20. Krittayaphong R, Maneesai A, Saiviroonporn P, Nakyen S, Thanapiboonpol P, Yindeengam A. Prevalence and characters of anomalous coronary artery from coronary magnetic resonance angiography. J Med Assoc Thai. 2014 Mar;97 Suppl 3:S124-31.
21. Angelini P, Flamm SD. Newer concepts for imaging anomalous aortic origin of the coronary arteries in adults. Catheter Cardiovasc Interv. 2007 Jun;69(7):942-54.
22. Basso C, Maron BJ, Corrado D, Thiene G. Clinical profile of congenital coronary artery anomalies with origin from the wrong aortic sinus leading to sudden death in young competitive athletes. J Am Coll Cardiol. 2000 May;35(6):1493-501.
23. Pelliccia A. Congenital coronary artery anomalies in young patients: new perspectives for timely identification. J Am Coll Cardiol. 2001 Feb;37(2):598-600.
24. Taylor AJ, Rogan KM, Virmani R. Sudden cardiac death associated with isolated congenital coronary artery anomalies. J Am Coll Cardiol. 1992 Sep;20(3):640-7.
25. Angelini P, Velasco JA, Ott D, Khoshnevis GR. Anomalous coronary artery arising from the opposite sinus: descriptive features and pathophysiologic mechanisms, as documented by intravascular ultrasonography. J Invasive Cardiol. 2003 Sep;15(9):507-14.
26. Almeida C, Dourado R, Machado C, Santos E, Pelicano N, Pacheco M, et al. [Coronary artery anomalies]. Rev Port Cardiol. 2012 Jul-Aug;31(7-8):477-84. DOI 10.1016/j.repc.2012.05.001. Portuguese.
27. Pelliccia A, Spataro A, Maron BJ. Prospective echocardiographic screening for coronary artery anomalies in 1,360 elite competitive athletes. Am J Cardiol. 1993 Oct;72(12):978-9.
28. Manghat NE, Morgan-Hughes GJ, Marshall AJ, Roobottom CA. Multidetector row computed tomography: imaging congenital coronary artery anomalies in adults. Heart. 2005 Dec;91(12):1515-22.
29. Bunce NH, Lorenz CH, Keegan J, Lesser J, Reyes EM, Firmin DN, et al. Coronary artery anomalies: assessment with free-breathing three-dimensional coronary MR angiography. Radiology. 2003 Apr;227(1):201-8.
30. Basso C, Corrado D, Thiene G. Congenital coronary artery anomalies as an important cause of sudden death in the young. Cardiol Rev. 2001 Nov-Dec;9(6):312-7.
31. Warnes CA, Williams RG, Bashore TM, Child JS, Connolly HM, Dearani JA, et al. ACC/AHA 2008 guidelines for the management of adults with congenital heart disease: a report of the American College of Cardiology/American Heart Association Task Force on Practice Guidelines (Writing Committee to Develop Guidelines on the Management of Adults With Congenital Heart Disease). Developed in Collaboration With the American Society of Echocardiography, Heart Rhythm Society, International Society for Adult Congenital Heart Disease, Society for Cardiovascular Angiography and Interventions, and Society of Thoracic Surgeons. J Am Coll Cardiol. 2008 Dec;52(23):e143-263. DOI 10.1016/j.jacc.2008.10.001.
32. Angelini P, Uribe C, Monge J, Tobis JM, Elayda MA, Willerson JT. Origin of the right coronary artery from the opposite sinus of Valsalva in adults: Characterization by intravascular ultrasonography at baseline and after stent angioplasty. Catheter Cardiovasc Interv. 2015 Aug;86(2):199-208. DOI 10.1002/ccd.26069.
33. Reul RM, Cooley DA, Hallman GL, Reul GJ. Surgical treatment of coronary artery anomalies: report of a 37 1/2-year experience at the Texas Heart Institute. Tex Heart Inst J. 2002;29(4):299-307.
34. Krasuski RA, Magyar D, Hart S, Kalahasti V, Lorber R, Hobbs R, et al. Long-term outcome and impact of surgery on adults with coronary arteries originating from the opposite coronary cusp. Circulation. 2011 Jan;123(2):154-62. DOI 10.1161/CIRCULATIONAHA.109.921106
Notas de autor
*Correspondencia: Juan Manuel Sénior; mmbt@une.net.co