ARTÍCULO DE REVISIÓN
Hipertensión secundaria a paraganglioma: presentación de un caso y revisión de la literatura
Hypertension secondary to paraganglioma: case report and review of the literature
Hipertensão secundária paraganglioma: relato de caso e revisão da literatura
Hipertensión secundaria a paraganglioma: presentación de un caso y revisión de la literatura
Iatreia, vol. 29, núm. 2, pp. 206-217, 2016
Universidad de Antioquia
Recepción: 30 Marzo 2015
Aprobación: 17 Junio 2015
RESUMEN: Se presenta el caso de un hombre de 25 años, con historia de accidente cerebrovascular transitorio durante la adolescencia, e hipertensión arterial no controlada de larga data, que consultó por palpitaciones, diaforesis y cefalea holocraneana. Se le diagnosticó y confirmó por histopatología un paraganglioma paraórtico hipersecretor de catecolaminas. Los síntomas se resolvieron completamente después de la extracción del tumor. El paraganglioma es un tumor extraadrenal infrecuente derivado de las células cromafines; se lo considera como un diagnóstico relevante en la evaluación de la hipertensión arterial secundaria. Se presenta una revisión de la literatura de casos de paragangliomas hipersecretores de catecolaminas cuyo síntoma asociado fue la hipertensión arterial.
PALABRAS CLAVE: Feocromocitoma Extraadrenal, Hipertensión Arterial, Paraganglioma.
SUMMARY: We report the case of a 25 year-old man with a history of transient stroke during adolescence, and longstanding uncontrolled hypertension who presented with palpitations, diaphoresis and headache. He was diagnosed with a paraaortic paraganglioma associated with catecholamine hypersecretion, confirmed by histopathology. There was complete resolution of the symptoms after removal of the tumor. Paraganglioma, a rare extra-adrenal tumor, derived from chromaffin cells, should be considered in the diagnosis of secondary hypertension. We performed a literature review of paraganglioma cases with catecholamine hypersecretion, and associated hypertension.
KEY WORDS: Hypertension, Paraganglioma, Pheochromocytoma extra-adrenal.
RESUMO: Nós relatamos o caso de um homem de 25 anos com história de acidente vascular cerebral transitória durante a adolescência, e de longa data hipertensão não controlada que se apresentou com palpitações, sudorese e dor de cabeça. Ele foi diagnosticado com um paraganglioma parágrafo aórtica associada a catecolamina hipersecreção, confirmado pelo exame histopatológico. Houve resolução completa dos sintomas, após a remoção do tumor. Paraganglioma, um tumor extra-adrenal rara, derivada a partir de células de cromafina, devem ser considerados no diagnóstico de hipertensão secundária. Foi realizada uma revisão da literatura de casos de paraganglioma com hipersecreção de catecolaminas, e hipertensão associada.
PALAVRAS CHAVE: Hipertensão, Feocromocitoma extra-adrenal, Paraganglioma.
Los feocromocitomas y paragangliomas son tumores derivados de las células cromafines y, según la Organización Mundial de la Salud, se clasifican como neoplasias neuroendocrinas de la médula suprarrenal y extraadrenales, respectivamente (1),(2). Los paragangliomas constituyen de 15 % a 20 % de este grupo de neoplasias, y se originan en los ganglios simpáticos del tórax, el abdomen o la pelvis, así como en los ganglios parasimpáticos y simpáticos de la cabeza y el cuello; estos últimos en su mayoría no son secretores de catecolaminas (1),(3). Se estima que entre 0,2 % y 0,6 % de los pacientes adultos y 1,7 % de los niños con hipertensión arterial tienen este tipo de neoplasias, que pueden llevar a crisis hipertensivas graves, potencialmente letales (1),(4). Es importante sospechar, confirmar, localizar, tratar y resecar estos tumores, que causan una elevada morbimortalidad cardiovascular, o generan un efecto de masa compresiva en tejidos y órganos. Finalmente, fomentar la detección de estos casos conducirá al diagnóstico precoz de potenciales tumores malignos o familiares (1).
Los objetivos de este artículo son reportar un caso de paraganglioma funcional en un adulto joven con hipertensión arterial no controlada de larga data, asociado a síntomas típicos de esta neoplasia funcional, y hacer una revisión de la literatura sobre casos de paragangliomas hipersecretores de catecolaminas con hipertensión arterial como síntoma asociado.
PRESENTACIÓN DEL CASO
Un ingeniero de 25 años de edad, con antecedentes de haber sido fumador pesado por 3 años, con sobrepeso y dislipidemia mixta, consultó por palpitaciones, diaforesis y cefalea holocraneana. A los 15 años había presentado un episodio de debilidad en el hemicuerpo izquierdo y disartria, diagnosticado como isquemia cerebral transitoria, sin causa aparente. A los 17 años se le hizo diagnóstico de hipertensión arterial que fue tratada con enalapril y luego con losartán, sin conseguir un adecuado control de las cifras tensionales. En los últimos 5 años ha tenido dos hospitalizaciones por emergencias hipertensivas con cifras tensionales hasta de 260/140 mm Hg, asociadas a disnea y dolor torácico; en las dos ocasiones se descartaron tromboembolismo pulmonar e infarto agudo de miocardio. No tiene antecedentes familiares de importancia, ni hubo otros hallazgos positivos al examen físico.
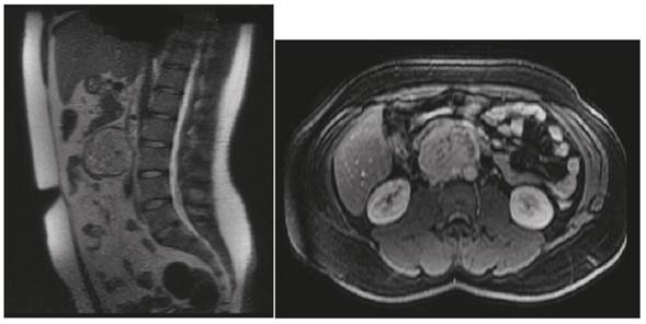
Los resultados de los siguientes exámenes de laboratorio fueron normales: perfil tiroideo, función hepática, paratohormona, calcitonina, perfil inmunológico, ecocardiograma y doppler renal y extraadrenal. El nivel de ácido vanilmandélico en la orina fue de 18,9 mg/24 horas (normal hasta 13,6), metanefrinas 1,9 mg/24 horas (normal hasta 1,0), adrenalina 16,8μg/24 horas (normal hasta 20), noradrenalina 2272,5μg/24 horas (normal hasta 90). La resonancia magnética abdominal simple y contrastada mostró una masa de aproximadamente 63 x 65 x 61 mm, situada anterior a la aorta y a la vena cava inferior (Figura 1).

Un mes antes de la cirugía se le inició tratamiento antihipertensivo con telmisartán, amlodipino, clonidina y propanolol, con lo cual se lograron cifras tensionales no superiores a 140/90 mm Hg. Por laparotomía se extrajo una masa vascularizada adherida a la pared posterior (Figura 2), cuyo examen histológico reveló una lesión tumoral compuesta por células poligonales rosadas con cromatina granular dispersa, dispuestas en un patrón alveolar en estroma con tractos delgados fibrovasculares y zonas de hialinización, edema y hemorragias antigua y reciente. Atipia moderada sin necrosis ni mitosis. El tumor estaba rodeado por una cápsula de grosor variable con tinta negra exterior distante de él. Las células tumorales mostraron inmunomarcación positiva para cromogranina y sinaptofisina. El marcador S100 fue positivo en células del estroma. El índice de proliferación Ki67 fue del 3 %.

En el seguimiento postoperatorio durante 5 meses presentó cifras tensionales promedio de 115/70 mm Hg y resolución completa de los síntomas, sin necesidad de tratamiento antihipertensivo.
MÉTODOS
Se diseñó una estrategia de búsqueda para revisar casos de hipertensión asociada a paragangliomas con hipersecreción de catecolaminas. Para ello se emplearon los términos libresparaganglioma y hypertensionen las base de datosPubmed, Scopus y Scielo. Se limitó la búsqueda a humanos y a publicaciones desde 1994, en español o inglés, incluyendo cartas al editor, reportes de casos, revisiones o revisiones sistemáticas. Se hizo una primera selección para excluir los artículos irrelevantes a partir de los títulos o los resúmenes; luego se buscaron los textos completos de donde se extrajo información sobre lugar de procedencia, edad, localización y descripción de los síntomas (figura 3).

RESULTADOS
De los 124 artículos finalmente seleccionados sobre casos de hipertensión arterial y paragangliomas funcionales, se clasificaron 112 como reportes de casos clínicos únicos caracterizados por una media de 36 años (desviación estándar: 16,9; rango: 6-76 años); 52 (46,4 %) eran hombres y 60 (53,6 %), mujeres; una vez resecado el tumor, 91 (81,3 %) presentaron normotensión y resolución de los síntomas, y en 21 (18,7 %) se desconoce la evolución postoperatoria o no se informó resolución de los síntomas. No hubo un antecedente familiar relevante en 41 (36,6 %) de los 112 casos, sí estuvo presente en 11 (9,8 %) y en los 60 restantes (53,6 %) no se reportó este dato. Ocho de los 112 casos (7,1 %) fueron en cabeza y cuello, 28 (25 %) en tórax y 76 (67,9 %) en abdomen (Tabla 1); solamente 8 casos (7,1 %) (5 en cabeza/ cuello y 3 en tórax) presentaron síntomas asociados al efecto compresivo de la masa. Diez pacientes tuvieron el síndrome de paragangliomas múltiples (5)-(14).

Del total revisado, ocho eran pequeñas series de 2 a 5 pacientes (22 pacientes en total), con ubicación abdominal en 16 de ellos; dos de estos 22 pacientes no presentaron hipertensión arterial y dos series de casos fueron reportadas como síndrome de paraganglioma familiar (15)-(22).
Cuatro de las series, todas ellas de Estados Unidos, incluían más pacientes, a saber: 14 (23), 16 (24), 18 (25) y 236 (26); esta última, de la Clínica Mayo, reunió pacientes vistos entre 1978 y 1998, con 141 mujeres (59,7 %) y 95 hombres (40,3 %), en el rango de edad de 14 a 93 años; se describieron en total 297 paragangliomas con la siguiente distribución: 204 (68,7 %) en cabeza y cuello, 28 (9,4 %) en tórax y 65 (21,9 %) en abdomen. En los de cabeza y cuello, la localización más frecuente fue en el cuerpo carotídeo; en los de tórax y abdomen fue periaórtica o pericava.
De los 236 pacientes, 124 (52,5 %) presentaron hipertensión arterial y a 128 (54,2 %) se les midieron las metanefrinas totales, norepinefrina, epinefrina y dopamina en orina preoperatoria de 24 horas con el resultado de al menos un valor elevado en 40 pacientes, o sea, que tenían paraganglioma funcional; 38 de ellos (95 %) eran hipertensos. De estos 38, 35 (92,1 %) continuaron el seguimiento por un tiempo promedio de 43,9 meses; 25 de los 35 (71,4 %) presentaron cifras tensionales normales sin necesidad de antihipertensivos, 5 (14,3 %) tuvieron recidivas e hipertensión y otros 5 (14,3 %) continuaron hipertensos, pero sin evidencia de paraganglioma; 29 de los 236 pacientes (12,3 %) informaron historia familiar de paragangliomas.
La edad promedio en la serie de 16 pacientes (12 mujeres y 4 hombres) con paraganglioma en vejiga (24) fue 45 años (rango de 16-74); ocho presentaban hipertensión y seis, hematuria. Se les hizo seguimiento en promedio por 6,3 años con los siguientes resultados: ocho seguían vivos y sin evidencia de neoplasia; dos murieron por otras causas; tres tuvieron metástasis o recurrencia; una presentó carcinoma cervical y dos se perdieron del seguimiento. En la serie de 18 pacientes (25), dos presentaron paragangliomas con feocromocitomas en tórax y abdomen asociados a hipertensión. En la serie de 14 pacientes (23), siete fueron hombres y siete, mujeres, con 3 (21,4 %) paragangliomas funcionales asociados a hipertensión.
CONCLUSIÓN
En la revisión de la literatura fue necesario usar términos libres debido a que los tumores derivados de las células cromafines extraadrenales y adrenales están descritos en la literatura como feocromocitomas o como paragangliomas; por esa terminología variable, se hizo una primera búsqueda sensible sin pérdida de reportes de casos, objetivo de este artículo, y una segunda búsqueda manual específica que describiera los casos de tumores de células cromafines extraadrenales secretores de catecolaminas y asociados a hipertensión.
Los paragangliomas son tumores infrecuentes con prevalencia similar en ambos sexos; los tumores hipersecretores caracterizados por hipertensión juvenil se detectan cada vez más tempranamente, de 6 años en adelante; en los adultos, la asociación a hipertensión arterial es más común en personas de 36 a 45 años. Aproximadamente 80 % de los tumores derivados de las células cromafines se identifican en las adrenales; sin embargo, aun siendo la minoría, los paragangliomas funcionales se consideran de igual importancia clínica al ser potencialmente letales por sus efectos cardiovasculares (infarto del miocardio, accidentes cerebrovasculares y arritmias, entre otras manifestaciones); también por sus efectos de masa compresiva y por la malignidad. La mayoría de los paragangliomas de cabeza y cuello no secretan catecolaminas; los identificados como funcionales se ubican con mayor frecuencia en el cuerpo carotídeo.
La mayoría de los paragangliomas del tórax y con mayor frecuencia los del abdomen son hipersecretores; en el tórax predominan en el mediastino y, en segundo lugar, se hallan en el corazón; en el abdomen predominan los situados en la región paraaórtica/pericava; otras localizaciones en orden descendente de frecuencia son: vejiga, riñón, paravertebrales/intraespinales, órgano de Zuckerkandl, próstata, hígado y páncreas.
Los paragangliomas causan síntomas y signos muy variables lo que dificulta su diagnóstico precoz. Aunque la hipertensión no está presente en todos los pacientes, se detecta en la mayoría con cifras tensionales altas paroxísticas, refractarias al tratamiento antihipertensivo, asociadas a palpitaciones, palidez, temblor, cefalea y sudoración, que también se pueden describir como episodios paroxísticos caracterizados por sensación de prurito en el pecho y de falta de aire, seguido de palpitaciones y cefalea pulsátil, que nuestro paciente manifestaba. Estos síntomas pueden ser desencadenados por los cambios de postura, la ansiedad, los medicamentos, el ejercicio o las maniobras que aumentan la presión intraabdominal (1),(4).
El análisis diagnóstico inicial debe incluir pruebas bioquímicas para detectar metanefrinas libres en plasma y metanefrinas fraccionadas en orina. Según el Instituto Nacional de Salud de los Estados Unidos(National Institutes of Health), la prueba de metanefrinas libres en plasma tiene sensibilidad de 97 % y especificidad promedio de 91 %. La masa se puede localizar mediante tomografía computarizada (TC) y resonancia magnética (RM), o con gammagrafía con metayodobencilguanidina (MIBG). Por su resolución espacial y sensibilidad, la TC y la RM son de primera elección porque permiten una adecuada localización en tórax, abdomen y pelvis; sin embargo, su especificidad es limitada. Se considera que la gammagrafía con MIBG es una herramienta para pacientes con metástasis (1),(27).
Se han asociado varios síndromes al diagnóstico de paraganglioma: neoplasia múltiple endocrina tipos 2A y 2B, síndrome de Von Hippel-Lindau y neurofibromatosis tipo 1. Las enfermedades que causan mutaciones en tres genes (SDHB, SDHC y SDHD), que codifican para subunidades de la succinato deshidrogenasa (SDH) o para el complejo II mitocondrial, son responsables de la mayoría de los casos de paraganglioma familiar. Sin embargo, la historia familiar no se considera como predictor de tumores funcionales o hipersecretores; por el contrario, se ha evidenciado que un antecedente familiar de paraganglioma se puede relacionar con un mayor riesgo de malignidad (1).
El tratamiento de los pacientes con paraganglioma es la resección quirúrgica después de la cual se ha evidenciado resolución completa de los síntomas en la mayoría de los casos reportados, con reducción de la morbimortalidad.
En conclusión, los paragangliomas son una causa rara de hipertensión; con miras a un enfoque clínico y paraclínico adecuado que permita su detección precoz, se debe plantear tal diagnóstico en casos de hipertensión arterial juvenil, con una variedad de síntomas secundarios a la hipersecreción de catecolaminas, En nuestro paciente las manifestaciones clínicas fueron características, se hizo tempranamente la resección y hubo resolución de los síntomas
REFERENCIAS BIBLIOGRÁFICAS
1. Lenders JW, Duh QY, Eisenhofer G, Gimenez-Roqueplo AP, Grebe SK, Murad MH, et al. Pheochromocytoma and paraganglioma: an endocrine society clinical practice guideline. J Clin Endocrinol Metab. 2014 Jun;99(6):1915-42.
2. Barnes L, Tse LLY, Hunt JL, Michaels L. Tumours of the paraganglionic system. In: World Health Organization Classification of Tumours. Pathology and genetics of head and neck tumours. Barnes L, Eveson JW, Reichart P, Sidransky D, editors. Lyon: IARC; 2005. p. 363-5.
3. Plouin PF, Amar L, Lepoutre C. Phaeochromocytomas and functional paragangliomas: clinical management. Best Pract Res Clin Endocrinol Metab. 2010 Dec;24(6):933-41.
4. Mazza A, Armigliato M, Marzola MC, Schiavon L, Montemurro D, Vescovo G, et al. Anti-hypertensive treatment in pheochromocytoma and paraganglioma: current management and therapeutic features. Endocrine. 2014 Apr;45(3):469-78.
5. Vijan SS, Ibrahim Z, Thompson GB, Schaff HV, Young WF Jr. Familial paragangliomas: case report and literature review. Endocr Pract. 2008 Jul- Aug;14(5):603-6.
6. Levine DS, Metzger DL, Nadel HR, Oviedo A, Adam MJ, Skarsgard E. Novel use of F-DOPA PET/CT imaging in a child with paraganglioma/pheochromocytoma syndrome. Pediatr Radiol. 2011 Oct;41(10):1321-5.
7. Marshall L, Shah P, Yeung S, Mundy J. Synchronous presentation of cardiac and abdominal paragangliomas. Ann Thorac Surg. 2012 May;93(5):e115-7.
8. Drucker AM, Houlden RL. A case of familial paraganglioma syndrome type 4 caused by a mutation in the SDHB gene. Nat Clin Pract Endocrinol Metab. 2006 Dec;2(12):702-6.
9. Díaz RE, Utreras C, Ascuí R, Hidalgo F, Véliz J, Wohllk N. Paragangliomas múltiples asociados a mutación del gen SDHB. Caso clínico. Rev Méd Chil. 2011 Nov;139(11):1475-80.
10. Peczkowska M, Cascon A, Prejbisz A, Kubaszek A, Cwikła BJ, Furmanek M, et al. Extra-adrenal and adrenal pheochromocytomas associated with a germline SDHC mutation. Nat Clin Pract Endocrinol Metab . 2008 Feb;4(2):111-5.
11. Peczkowska M, Gessek J, Januszewicz A, Neumann HP, Januszewicz M, Janaszek-Sitkowska H, et al. Pheochromocytoma of the urinary bladder coexisting with another extra-adrenal tumour-case report of a 19-year-old male patient. Blood Press. 2002;11(2):101-5.
12. Musil Z, Puchmajerová A, Krepelová A, Vícha A, Panczak A, Veselá J, et al. Paraganglioma in a 13-yearold girl: a novel SDHB gene mutation in the family? Cancer Genet Cytogenet. 2010 Mar;197(2):189-92.
13. Scopsi L, Cozzaglio L, Collini P, Gullo M, Bongarzone I, Giarola M, et al. Concurrent Pheochromocytoma, Paraganglioma, Papillary Thyroid Carcinoma, and Desmoid Tumor: A Case Report with Analyses at the Molecular Level. Endocr Pathol. 1998 Spring;9(1):79-90.
14. Jacobsson H, Svartberg J, Wallin G, Grimelius L, Larsson SA. Multifocal paragangliomas depicted by I-123 metaiodobenzylguanidine. Clin Nucl Med. 1998 Nov;23(11):783.
15. Díaz-Soto G, Serrano Morte A, Rodríguez Martín C, García-Talavera P, Abril CM, Puig-Domingo M. Síndrome de paraganglioma familiar: expresividad clínica y relevancia de una nueva mutación en SDHB. Med Clin (Barc). 2013 May;140(10):453-7.
16. Pahwa HS, Kumar A, Srivastava R, Misra S, Goel MM. Urinary bladder paraganglioma-a case series with proposed treating algorithm based on our experience and review of literature. Indian J Surg Oncol. 2013 Sep;4(3):294-7.
17. Hes FJ, Weiss MM, Woortman SA, de Miranda NF, van Bunderen PA, Bonsing BA, et al. Low penetrance of a SDHB mutation in a large Dutch paraganglioma family. BMC Med Genet. 2010 Jun;11:92.
18. Polistena A, Cavallaro G, Cotesta D, Petramala L, Letizia C, Basile U, et al. Surgical management of extra-adrenal abdominal paragangliomas: Report of three cases and review of the literature. Endocrinologist. 2010 Mar-Apr;20(2):63-5.
19. Zhang L, Liao Q, Hu Y, Zhao Y. Paraganglioma of the pancreas: a potentially functional and malignant tumor. World J Surg Oncol. 2014 Jul;12:218.
20. Lorenzo FR, Yang C, Ng Tang Fui M, Vankayalapati H, Zhuang Z, Huynh T, et al. A novel EPAS1/HIF2A germline mutation in a congenital polycythemia with paraganglioma. J Mol Med (Berl). 2013 Apr;91(4):507-12.
21. Manabe O, Oyama-Manabe N, Alisa K, Hirata K, Itoh K, Terae S, et al. Multimodality evaluation of cardiac paraganglioma. Clin Nucl Med . 2012 Jun;37(6):599-601.
22. Santiago AH, Campbell BT, Estrada DE. Early presentation of familial paraganglioma with SDHB mutation in a 13 year old child and its mother. J Pediatr Endocrinol Metab. 2010 Apr;23(4):419-22.
23. Somasundar P, Krouse R, Hostetter R, Vaughan R, Covey T. Paragangliomas-a decade of clinical experience. J Surg Oncol. 2000 Aug;74(4):286-90.
24. Cheng L, Leibovich BC, Cheville JC, Ramnani DM, Sebo TJ, Neumann RM, et al. Paraganglioma of the urinary bladder: can biologic potential be predicted? Cancer. 2000 Feb;88(4):844-52.
25. Loh KC, Shlossberg AH, Abbott EC, Salisbury SR, Tan MH. Phaeochromocytoma: a ten-year survey. QJM. 1997 Jan;90(1):51-60.
26. Erickson D, Kudva YC, Ebersold MJ, Thompson GB, Grant CS, van Heerden JA, et al. Benign paragangliomas: clinical presentation and treatment outcomes in 236 patients. J Clin Endocrinol Metab . 2001 Nov;86(11):5210-6.
27. van Berkel A, Lenders JW, Timmers HJ. Diagnosis of endocrine disease: Biochemical diagnosis of phaeochromocytoma and paraganglioma. Eur J Endocrinol. 2014 Feb;170(3):R109-19.
28. Han EJ, Lee SH, Song IU, Chung YA, Maeng LS. Simultaneous adrenal pheochromocytoma and carotid body paraganglioma in a woman. Nucl Med Mol Imaging. 2013 Mar;47(1):67-8.
29. Challapalli A, Howell L, Farrier M, Kelsey A, Birch J, Eden T. Cervical paraganglioma-a case report and review of all cases reported to the Manchester Children's Tumour Registry 1954-2004. Pediatr BloodCancer . 2007 Jan;48(1):112-6.
30. Díez Porres L, García Iglesias F, Pérez Martín G, García Puig J, Gil Aguado A. Paraganglioma multicéntrico: cuidado con la cirugía. Rev Clin Esp. 2003 Sep;203(9):434-8.
31. Banarer S, McGregor VP. Functional intercarotid paraganglioma. Endocrinologist . 2002 Sep- Oct;12(5):395-8.
32. Kudoh Y, Kuroda S, Shimamoto K, Iimura O. Intracranial pheochromocytoma-a case of noradrenaline- secreting glomus jugulare tumor. Jpn Circ J. 1995 Jun;59(6):365-71.
33. Graillon T, Fuentes S, Régis J, Metellus P, Brunel H, Roche PH, et al. Multidisciplinary management of giant functional petrous bone paraganglioma. Acta Neurochir (Wien). 2011 Jan;153(1):85-9.
34. Salunke PS, Gupta K, Srinivasa R, Sura S. Functional? Paraganglioma of the cerebellum. Acta Neurochir (Wien) . 2011 Jul;153(7):1527-8.
35. Maturo S, Brennan J. Baroreflex failure: a rare complication of carotid paraganglioma surgery. Laryngoscope. 2006 May;116(5):829-30.
36. Al-Githmi I, Baslaim G, Batawil N. Primary cardiac paraganglioma with dual coronary blood supply presenting with angina chest pain. Can J Cardiol. 2010 Aug-Sep;26(7):e278-9.
37. Khalid TJ, Zuberi O, Zuberi L, Khalid I. A rare case of cardiac paraganglioma presenting as anginal pain: a case report. Cases J. 2009 Jan;2(1):72.
38. Delgado V, Vidal B, Sitges M, Azqueta M, Pare C. A rare association of pheochromocytoma and thoracic paraganglioma: utility of 2D contrast enhanced echocardiography. Int J Cardiol. 2007 Apr;117(2):e66-7.
39. Kuji I, Imabayashi E, Minagawa A, Matsuda H, Miyauchi T. Brown adipose tissue demonstrating intense FDG uptake in a patient with mediastinal pheochromocytoma. Ann Nucl Med. 2008 Apr;22(3):231-5.
40. Tekin UN, Khan IA, Singh N, Nair VM, Vasavada BC, Sacchi TJ. A left atrial paraganglioma patient presenting with compressive dysphagia. Can J Cardiol . 2000 Mar;16(3):383-5.
41. Yamazaki A, Masuda S, Oose Y, Tahara M, Nakahara K, Yakumaru K. A case of resected left pulmonary adenocarcinoma accompanied by extra adrenal pheochromocytoma. JJLC. 1998;38(7):871-5. Japanese.
42. Fernández R, García Septiem J, Limones M, Camareroa E, Dancausaa A, Dotor De Lamab A. Un caso de paraganglioma del arco aórtico. Cir Esp. 2002;71(3):158-60.
43. Liu L, Mei J, Che G. Asymptomatic paraganglioma of the posterior mediastinum misdiagnosed until operation. Thorac Cardiovasc Surg. 2010 Aug;58(5):302-4.
44. Ceresa F, Sansone F, Rinaldi M, Patanè F. Left atrial paraganglioma: diagnosis and surgical management. Interact Cardiovasc Thorac Surg. 2010 Jun;10(6):1047-8.
45. Paul S, Jain SH, Gallegos RP, Aranki SF, Bueno R. Functional paraganglioma of the middle mediastinum. Ann Thorac Surg . 2007 Jun;83(6):e14-6.
46. Sosa N, Fontanella J, Florián Díaz ME. Paraganglioma funcionante del mediastino. Informe de un caso. Prensa Méd Argent. 2002;89(2):171-80.
47. Sadraoui A, Yousri B, Merini MF. Adrenal pheochromocytoma and mediastinal paraganglioma in the same patient, treated by one-stage exeresis. Ann Pediatr. 1996;43(10):748-50.
48. Simpson LN, Hughes BD, Karikari IO, Mehta AI, Hodges TR, Cummings TJ, et al. Catecholaminesecreting paraganglioma of the thoracic spinal column: report of an unusual case and review of the literature. Neurosurgery. 2012 Apr;70(4):E1049-52.
49. Tracy JC, Wein RO. Intrapericardial paraganglioma associated with succinate dehydrogenase complex subunit C mutation syndrome. Head Neck. 2013 Aug;35(8):E251-3.
50. Thomas D, Grant FD, Kwong R, Nose V, Di Carli MF, Dorbala S. Multimodality imaging of an unusual case of cardiac paraganglioma. J Nucl Cardiol. 2009 Jul-Aug;16(4):644-7.
51. Gupta N, Karwande S, Gupta S. Primary cardiac pheochromocytoma. J Am Coll Cardiol. 2009 Feb;53(8):732.
52. Karabinos I, Rouska E, Charokopos N. A primary cardiac paraganglioma. Eur Heart J. 2012 Mar;33(6):790.
53. Hayek ER, Hughes MM, Speakman ED, Miller HJ, Stocker PJ. Cardiac paraganglioma presenting with acute myocardial infarction and stroke. Ann Thorac Surg . 2007 May;83(5):1882-4.
54. Lupinski RW, Shankar S, Agasthian T, Lim CH, Mancer K. Primary cardiac paraganglioma. Ann Thorac Surg . 2004 Sep;78(3):e43-4.
55. Illouz F, Pinaud F, De Brux JL, Mirebeau-Prunier D, Rodien P. Long-delayed localization of a cardiac functional paraganglioma with SDHC mutation. Ann Intern Med. 2012 Aug;157(3):222-3.
56. Miraldi F, Taffon C, Toscano M, Barretta A. Black cardiac paraganglioma in a multiple paraganglioma syndrome. Eur J Cardiothorac Surg. 2007 Dec;32(6):940-2.
57. Yuan WQ, Wang WQ, Su TW, Chen HT, Shi ZW, Fang WQ, et al. A primary right atrium paraganglioma in a 15-year-old patient. Endocrine . 2007 Oct;32(2):245-8.
58. Imperatori A, De Monte L, Rotolo N, Dionigi G, Uccella S, Mariscalco G, et al. Hypertension and intrapericardial paraganglioma: an exceptional presentation of multiple endocrine neoplasia type IIA syndrome. Hypertension. 2011 Nov;58(5):e189-90.
59. Wang Y, Xiao Y, Wang X. Primary cardiac paraganglioma arising from interatrial septum. J Card Surg. 2013 May;28(3):274-5.
60. Ko YG, Ha JW, Chang BC. Images in cardiology. An intrapericardial pheochromocytoma presented with paroxysmal attacks of hypertension and palpitation: typical presentation with unusual location of the tumour. Heart. 2005 Nov;91(11):1379.
61. Emir S, Demir HA, Güven B, Kaçar A, Ötkün İ. Paraganglioma presenting with marked proteinuria: a case report. J Pediatr Hematol Oncol. 2014 Jan;36(1):e16-8.
62. Han IS, Kim YS, Yoo JH, Lim SS, Kim TK. Anesthetic management of a patient with undiagnosed paraganglioma -a case report-. Korean J Anesthesiol. 2013 Dec;65(6):574-7.
63. Kota SK, Jammula S, Panda S. Extra-adrenal paraganglioma: An uncommon cause of secondary hypertension in a young subject. J Nep Paedtr Soc. 2011;31(3):238-40.
64. Kwan RB, Erasmus AM, Hunn AW, Dubey A, Waites P, Jessup PJ, et al. Pre-operative embolisation of metastatic paraganglioma of the thoracic spine. J Clin Neurosci. 2010 Mar;17(3):394-6.
65. Sato H, Kanai G, Hirabayshi K, Kajiwara H, Itoh J, Osamura RY. L157X nonsense mutation of the succinate dehydrogenase subunit B gene in a Japanese patient with right paraaortic paraganglioma. Endocrine . 2010 Aug;38(1):18-23.
66. de Souza F, Altenburg Odebrecht Curi Gismondi R, Henriques Cunha Neto S, de Mattos MA. Tako-tsubo- like cardiomyopathy and extra-adrenal pheochromocytoma: case report and literature review. Clin Res Cardiol. 2008 Jun;97(6):397-401.
67. Ladroue C, Carcenac R, Leporrier M, Gad S, Le Hello C, Galateau-Salle F, et al. PHD2 mutation and congenital erythrocytosis with paraganglioma. N Engl J Med. 2008 Dec;359(25):2685-92.
68. Lewis CE, Yeh MW. Inherited endocrinopathies: an update. Mol Genet Metab. 2008 Jul;94(3):271-82.
69. Park SK, Lee JK, Joo SP, Kim TS, Kim JH, Kim SH, et al. Spontaneous intracerebral haemorrhage caused by extra-adrenal phaeochromocytoma. J Clin Neurosci . 2006 Apr;13(3):388-90.
70. Correia MJ, Mascarenhas M, Madureira R, Neves LS, Ferreira JA, Gonçalves MD. Extra-adrenal pheochromocytoma (paraganglioma). Rev Port Cardiol. 2000 Jan;19(1):117-9.
71. Andiran N, Köseoğlu V, Andiran F, Büyükpamukçu N, Kutluk T, Büyükpamukçu M. Malignant hypertension and paraganglioma in a 14-year-old girl. Pediatr Hematol Oncol. 1999 Jan-Feb;16(1):67-70.
72. Gustin AF, Lee EY. Extra-adrenal pheochromocytoma in an adolescent. Pediatr Radiol . 2006 Nov;36(11):1219.
73. Harza MC, Preda AT, Ismail G, Voinea S, Dudu CE, Baston C, et al. Challenges and limits in paraganglioma. Case report. Acta Endocrinol Buch. 2013;9(4):613-22.
74. Petramala L, Cavallaro G, Polistena A, Cotesta D, Verrienti A, Ciardi A, et al. Multiple catecholaminesecreting paragangliomas: diagnosis after hemorrhagic stroke in a young woman. Endocr Pract . 2008 Apr;14(3):340-6.
75. Otsuka F, Miyoshi T, Murakami K, Inagaki K, Takeda M, Ujike K, et al. An extra-adrenal abdominal pheochromocytoma causing ectopic ACTH syndrome. Am J Hypertens. 2005 Oct;18(10):1364-8.
76. Ayllón-Terán MD, Torres-Lorite M, Benítez-Cantero JM, Sánchez-Hidalgo JM, Díaz-Iglesias C, Rufián-Peña S. An uncommon cause of high blood pressure in young people: retroperitoneal paraganglioma with vascular invasion. Nefrologia. 2013;33(3):435-6.
77. Ho ET, Gardner DS. Paraganglioma with acute hyperamylasaemia masquerading as acute pancreatitis. Singapore Med J. 2011 Dec;52(12):e251-4.
78. Lendvai N, Szabó I, Butz H, Beko G, Horányi J, Tarjányi M, et al. [Extra-adrenal pheochromocytoma associated to SDHD gene mutation]. Orv Hetil. 2009 Apr;150(14):645-9. Hungarian.
79. Chiang KH, Liou JY, Shyu KG, Yeh CH, Wu CC, Chen TJ, et al. Hypertension due to co-existing paraganglioma and unilateral adrenal cortical hyperplasia. J Formos Med Assoc. 2007 Dec;106(12):1043-7.
80. Faria J, Valente V, Lima P, Silva JA, Polónia J. Paraganglioma-a case of secondary hypertension. Rev Port Cardiol . 2010 Oct;29(10):1583-9.
81. Kodama H, Iihara M, Nissato S, Isobe K, Kawakami Y, Okamoto T, et al. A large deletion in the succinate dehydrogenase B gene (SDHB) in a Japanese patient with abdominal paraganglioma and concomitant metastasis. Endocr J. 2010;57(4):351-6.
82. Koumaras Ch, Anagnostis P, Tzimou M, Giavanidis I, Gossios T, Antoniadis A, et al. Paraganglioma in a young patient with asymptomatic severe hypertension: a case report and review of the literature. Hippokratia. 2010 Oct;14(4):300-2.
83. Lowenthal MS, Sadow PM, Raut C, Metzler EC. Intraoperative diagnosis of a functional paraganglioma presenting as a gastrointestinal stromal cell tumor (GIST). J Clin Anesth. 2009 Feb;21(1):57-60.
84. Godfrey JA, Rickman OB, Williams AW, Thompson GB, Young WF Jr. Pheochromocytoma in a patient with end-stage renal disease. Mayo Clin Proc. 2001 Sep;76(9):953-7.
85. Maezawa T, Yonese J, Tsukamoto T, Isii N, Hasegawa Y, Ishikawa Y, et al. [Low dose CVD chemotherapy as a tumor dormancy therapy for extra-adrenal malignant pheochromocytoma: a case report]. Nihon Hinyokika Gakkai Zasshi. 2001 Jul;92(5):593-6. Japanese.
86. Liu HW, Liu LR, Cao DH, Wei Q. Paraganglioma in the renal pelvis. Kaohsiung J Med Sci. 2014 Jun;30(6):319-20.
87. Sugisawa C, Okada Y, Arao T, Mori H, Nishida K, Isobe K, et al. Juvenile-onset hereditary pheochromocytoma- paraganglioma syndrome. Intern Med. 2013;52(2):281-4.
88. Guo Q, Li B, Guan J, Yang H, Wu Y. Intraoperative diagnosis of functional retroperitoneal multiple paraganglioma: A case report. Oncol Lett. 2012 Oct;4(4):829-31.
89. Ahallal Y, Tazi MF, Elfatemi H, Znati K, Tazi E, Amarti A, et al. Renal hilar pheochromocytoma: a case report. Cases J . 2009 Jun;2:6416.
90. Douma S, Doumas M, Petidis K, Tsorlalis I, Papaefthimiou P, Kartali N, et al. Intracerebral hemorrhage as the presenting feature of concurrent pheochromocytoma and paragangliomas. J Clin Hypertens (Greenwich). 2008 Dec;10(12):941-4.
91. Nicoleau A, Siskind S, Resta C, Noordhoorn M, Turner J, Saw D. Extra-adrenal pheochromocytoma 12 years in the making. Intern Med J. 2008 Jan;38(1):68-9.
92. Hirai K, Ota J, Miura T. [Case of recurrent retroperitoneal malignant paraganglioma 25 years after surgery]. Hinyokika Kiyo. 2007 Oct;53(10):703-6. Japanese.
93. Dionne JM, Wu JK, Heran M, Murphy JJ, Jevon G, White CT. Malignant hypertension, polycythemia, and paragangliomas. J Pediatr. 2006 Apr;148(4):540-5.
94. Nakano S, Kigoshi T, Uchida K, Morimoto S, Tsugawa R, Matsunou H. Hypertension and unilateral renal ischemia (Page kidney) due to compression of a retroperitoneal paraganglioma. Am J Nephrol. 1996;16(2):91-4.
95. Daab LJ, Cook P, Woo K, Hye R, Paluch T, Plecha E. Management of a catecholamine-secreting paraganglioma requiring aortic reconstruction. Vasc Endovascular Surg. 2010 Feb;44(2):150-4.
96. Arroyo-Martínez L, Álvarez-Pertuz H, Acuña-Calvo J, Montoya-Calles JD. Paraganglioma funcional extra- adrenal. AMC. 2006 Ene-Mar;48(1):39-42.
97. La Torre F, Petrozza V, Nicastro A, Pulvirenti S, Persico SL, Pia NA, et al. [Paranganglioma of the retroperitoneum. Report of a case localized at the kidney hilum and review of literature]. Chirurgia. 1994;7(6):438-44. Italian.
98. Chandra V, Thompson GB, Bower TC, Taler SJ. Renal artery stenosis and a functioning hilar paraganglioma: a rare cause of renovascular hypertension-a case report. Vasc Endovascular Surg . 2004 Jul- Aug;38(4):385-90.
99. Cadena M, Vergara A, Olarte A, Ospina-González D. Paraganglioma del órgano de Zuckerkandl. Rev Col Cir. 2010 Oct-Dic;25(4):309-22.
100. Luiz HV, da Silva TN, Pereira BD, Santos JG, Gonçalves D, Manita I, et al. Malignant paraganglioma presenting with hemorrhagic stroke in a child. Pediatrics. 2013 Dec;132(6):e1709-14.
101. Gutiérrez-Carreño AR, Sánchez-Fabela C, Lizola-Margolis RI, Sigler-Morales L, Mendieta-Hernández M. Paraganglioma del órgano de Zuckerkandl e hipertensión arterial. Rev Mex Angiol. 2012 Oct- Dic;40(4):139-43.
102. Methe H, Hinterseer M, Wilbert-Lampen U, Beckmann BM, Steinbeck G, Kääb S. Torsades de Pointes: a rare complication of an extra-adrenal pheochromocytoma. Hypertens Res. 2007 Dec;30(12):1263-6.
103. Agrawal V, Rahul M, Khan S, Vernon V, Rachana B. Functional Paraganglioma: A Rare Conus-cauda Lesion. J Surg Tech Case Rep. 2012 Jan;4(1):46-9.
104. da Silva ME, Carvalho MJ, Rodrigues AP, Neves NS, Gonçalves AM, Pinto RA, et al. Rare vertebral metastasis in a case of Hereditary Paraganglioma. Hered Cancer Clin Pract. 2012 Sep;10(1):12.
105. Pignatelli R, Law MA, Martinez H, Altman C, Ayres N, Jefferies JL, et al. Two-dimensional speckle strain imaging: in the management of paraganglioma, acute junctional tachycardia, and myocardial dysfunction in a child. Tex Heart Inst J . 2012;39(1):119-21.
106. Rakonjac N, Marković S. Paraganglioma--a cause of hypertension in a young patient. Vojnosanit Pregl. 2012 Aug;69(8):721-4.
107. Zileli M, Kalayci M, Başdemir G. Paraganglioma of the thoracic spine. J Clin Neurosci . 2008 Jul;15(7):823-7.
108. de Montpréville VT, Mussot S, Gharbi N, Dartevelle P, Dulmet E. Paraganglioma with ganglioneuromatous component located in the posterior mediastinum. Ann Diagn Pathol. 2005 Apr;9(2):110-4.
109. Case records of the Massachusetts General Hospital. Weekly clinicopathological exercises. Case 13-2001. A 19-year-old man with bouts of hypertension and severe headaches. N Engl J Med . 2001 Apr;344(17):1314-20.
110. Gibbons CE, Kashif KM, Lewi HJ. Paraganglionic phaeochromocytoma presenting twelve years after adrenalectomy. Eur Urol. 1995;27(3):264-5.
111. Homma K, Hayashi K, Wakino S, Irie R, Mukai M, Kumagai H, et al. Primary malignant hepatic pheochromocytoma with negative adrenal scintigraphy. Hypertens Res . 2006 Jul;29(7):551-4.
112. Singh VP, Singh M, Malhotra M, Kumar A, Agarwal AK. Extra-adrenal phaeochromocytoma-a case report of refractory hypertension. Indian Heart J. 2012 Mar-Apr;64(2):203-5.
113. Kers J, Choudhry ZA, Roeleveld TA, Houdijk AP. Hypertension secondary to a periprostatic paraganglioma: case report and review of the literature. BMC Endocr Disord. 2013 Nov;13:55.
114. Hanji AM, Rohan VS, Patel JJ, Tankshali RA. Pheochromocytoma of the urinary bladder: a rare cause of severe hypertension. Saudi J Kidney Dis Transpl. 2012 Jul;23(4):813-6.
115. Palla AR, Hogan T, Singh S. Malignant paraganglioma of the urinary bladder in a 45-year-old woman. Clin Adv Hematol Oncol. 2012 Dec;10(12):836-9.
116. She HL, Chan PH, Cheung SC. Urinary bladder paraganglioma in a post-heart transplant patient. Ann Acad Med Singapore. 2012 Aug;41(8):362-3.
117. De Pasquale V, Magistrelli A, Diomedi Camassei F, Caione P. Unusual bladder mass in a 14-year-old boy: bladder paraganglioma. Urol Int. 2011;86(1):117-20.
118. Chen CH, Boag AH, Beiko DT, Siemens DR, Froese A, Isotalo PA. Composite paraganglioma-ganglioneuroma of the urinary bladder: a rare neoplasm causing hemodynamic crisis at tumour resection. Can Urol Assoc J. 2009 Oct;3(5):E45-8.
119. Vesin C, Cadi P, Thony F, Picard JC, Descotes JL, Calizzano A, et al. A rare cause of complicated hypertension: urinary bladder paraganglioma. South Med J. 2009 Nov;102(11):1173-5.
120. Im SH, Kim NH. Thunderclap headache after micturition in bladder pheochromocytoma. Headache. 2008 Jun;48(6):965-7.
121. Naqiyah I, Rohaizak M, Meah FA, Nazri MJ, Sundram M, Amram AR. Phaeochromocytoma of the urinary bladder. Singapore Med J . 2005 Jul;46(7):344-6.
122. Moritani H, Sakamoto M, Yoshida Y, Nasu H, Nemoto R, Nakamura I. Pheochromocytoma of the urinary bladder revealed with cerebral hemorrhage. Intern Med . 2001 Jul;40(7):638-42.
123. Sanjoaquín MT, Fraile JR, Gutiérrez A, Canal MI, Navia J. Hypertensive crisis during a transurethral resection of the bladder: nondiagnosed bladder paraganglioma. Anesth Analg. 2000 Mar;90(3):556-8.
124. Masuda H, Onuki T, Machida M, Makino T, Shibayama K. Paraganglioma of the urinary bladder : A case report. Jap J Urol. 1997;51(3):235-7.
125. Li S, Lui S, Li F, Yue Q, Huang X, Gong Q. Unsuspected paraganglioma of the urinary bladder with intraoperative hypertensive crises: A case report. Exp Ther Med. 2013 Oct;6(4):1067-9.
126. Shen JG, Chen YX, Xu DY, Feng YF, Tong ZH. Vaginal paraganglioma presenting as a gynecologic mass: case report. Eur J Gynaecol Oncol. 2008;29(2):184-5.
127. Bozbora A, Barbaros U, Erbil Y, Kiliçarslan I, Yildizhan E, Ozarmagan S. Laparoscopic treatment of hypertension after micturition: Bladder pheochromocytoma. JSLS. 2006 Apr-Jun;10(2):263-6.
128. Wang HH, Chen YL, Kao HL, Lin SC, Lee CH, Huang GS, et al. Extra-adrenal paraganglioma of the prostate. Can Urol Assoc J . 2013 May-Jun;7(5-6):E370-2.
129. Padilla-Fernández B, Antúnez-Plaza P, Lorenzo-Gómez MF, Rodríguez-González M, Martín-Rodríguez A, Silva-Abuín JM. Paraganglioma of prostatic origin. Clin Med Insights Case Rep. 2012;5:69-75.