Presentación de casos
Reporte de un caso de Malacoplaquia renal: una enfermedad inusual de difícil diagnóstico
Renal malokaplakia: An unusual disease of difficult diagnosis
Reporte de un caso de Malacoplaquia renal: una enfermedad inusual de difícil diagnóstico
Iatreia, vol. 31, núm. 3, pp. 294-299, 2018
Universidad de Antioquia
Recepción: 02 Marzo 2017
Aprobación: 28 Marzo 2017
RESUMEN:
La malacoplaquia es una enfermedad granulomatosa crónica inicialmente descrita en las vías urinarias, pero posteriormente encontrada en múltiples órganos. La presentación clínica depende del sitio comprometido; en el tracto urinario produce disuria, dolor pélvico o abdominal, fiebre, malestar general y, a veces, sensación de masa. Su etiopatogenia aún no ha sido completamente entendida, pero se cree que es debida a un trastorno en la función lisosomal de los macrófagos que afecta la destrucción de las bacterias. Histológicamente se caracteriza por presentar macrófagos llamados “células de von Hansemann” e inclusiones de Michaelis-Gutmann. Describimos el caso de una paciente con diabetes mellitus de larga evolución y malacoplaquia renal que le produjo síntomas debilitantes crónicos.
PALABRAS CLAVE: Inflamación, Malacoplaquia, Riñón, Tracto Urinario.
SUMMARY:
Malakoplakia is a chronic granulomatous disease, firstly described in the urinary tract but then it has been reported in many organs. The clinical presentation depends on the affected site, when it affects the urinary tract the symptoms are dysuria, abdominal or pelvic pain, fever, discomfort, and, something mass sensation. The etiopathogenesis is not yet clear, but is believed it is due to lysosomal dysfunction of the macrophages that affects the destruction of bacteria. Histologically it is characterized for the presence of von Hansemann cells and Michaelis-Gutmann bodies. We describe the case of a patient with long-term diabetes mellitus and renal malakoplakia that caused chronic debilitating symptoms.
KEY WORDS: Inflammation, Kidney, Malakoplakia, Urinary Tract.
INTRODUCCIÓN
Las infecciones crónicas y recurrentes son frecuentes en pacientes diabéticos, principalmente cuando hay mal control de la glicemia1. Se cree que hay cambios en la función leucocitaria como consecuencia de la hiperglicemia y que esta alteración metabólica puede producir activación persistente de leucocitos polimorfonucleares, lo que lleva a una disminución de la respuesta a infecciones2,3. También se ha descrito que hay aumento de niveles basales de citoquinas pro-inflamatorias que contribuyen a una insuficiente respuesta inmune contra patógenos3. En pacientes con diabetes mellitus hay también un riesgo incrementado de infecciones atípicas y poco frecuente1-3.
Se describe el caso de una infección renal persistente y debilitante que no respondió adecuadamente al tratamiento antibiótico prolongado, requiriendo nefrectomía. En el estudio anatomopatológico se documentó la malacoplaquia, como un defecto en la función de los macrófagos que limita su capacidad de respuesta inmune y que puede asociarse con diabetes mellitus.
CASO CLÍNICO
Mujer de 63 años procedente de un área rural con difícil acceso a servicios de salud, con antecedente de diabetes mellitus tipo 2 mal controlada, en tratamiento con hipoglicemiante oral. Otros antecedentes personales: histerectomía, colecistectomía por litiasis, consumo de tabaco hasta hace 15 años y exposición a humo de leña. Consultó en un servicio de salud ambulatorio por cuadro clínico de dos meses de evolución consistente en dolor en flanco derecho y fiebre subjetiva sin síntomas urinarios. Con el diagnóstico presuntivo de infección del tracto urinario (ITU) se inició trimetropin-sulfametoxazol y gentamicina.
Posteriormente, ante persistencia de síntomas, consulta en hospital local (de primer nivel) donde continúan tratamiento antibiótico con ciprofloxacina y metronidazol sin mejoría, por lo que es hospitalizada. Se inicia la administración por vía parenteral de ceftriaxona y amikacina y se remite a una institución hospitalaria de cuarto nivel.
Al ingreso la paciente relata dolor en hipocondrio derecho referido a espalda, edema en miembros inferiores, hematuria, debilidad generalizada y pérdida marcada de peso. Durante el examen físico se encuentra con taquicardia y evidencia de abdomen doloroso en cuadrantes derechos con masa profunda palpable y sin signos de irritación peritoneal.
Se realiza TAC de Abdomen que evidencia pielonefritis enfisematosa y aire libre en retroperitoneo, alrededor de vejiga y duodeno. Luego de ser valorada por cirugía general, es llevada para exploración quirúrgica en la que describen aproximadamente 100 cc de material purulento fétido en espacio perirrenal con necrosis y pus en fascia renal derecha, se realiza drenaje de este y se inicia cubrimiento antibiótico con piperacilina tazobactam. Una muestra del material extraído es enviado para cultivo, el resultado da positivo Escherichia coli betalactamasa de espectro extendido (BLES) positivo, resistente a fluoroquinolonas, sensibilidad disminuida a gentamicina y amikacina y sensible a carbapenemicos y piperacilina tazobactam. Debido a este resultado se inicia meropenem.
Dado que durante la estancia hospitalaria presenta evolución tórpida, se opta por cubrimiento antibiótico contra hongos, basados en resultado de urocultivo con presencia de Cándida albicans, y se realiza nefrectomía.
En el acto quirúrgico se encuentra coágulo en espacio retroperitoneal de aproximadamente 1.000 cc y se realiza nefrectomía derecha con lavado de cavidad.
Estudio anatomopatológico: el espécimen macroscópico corresponde a un riñón derecho de 383 gramos con superficie irregular y material fibrinopurulento adherido. Al corte, parénquima sin diferenciación cortico-medular, con extensas áreas necróticas y purulentas, sin identificarse alguna masa bien definida.
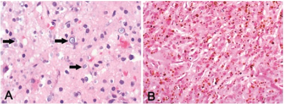
El estudio histológico evidencia extensa destrucción del parénquima el cual esta infiltrado por linfocitos, plasmocitos y densos acúmulos de macrófagos con citoplasma granular y eosinofílico que contiene inclusiones basofílicas: cuerpos de Michaelis-Gutmann (Figura 1). Hay áreas de franca abscedación y necrosis. La alteración compromete todo el riñón y se extiende a la pelvis renal y al tejido perirrenal.

Diagnóstico: malacoplaquia renal.
Finalmente, la paciente presenta una evolución satisfactoria con un adecuada corrección de su estado metabólico e hidroelectrolítico, al completar 14 días de meropenem se dio de alta en óptimas condiciones generales.
DISCUSIÓN
La malacoplaquia es una condición inflamatoria granulomatosa crónica que afecta predominantemente los tractos gastrointestinal y urinario, aunque se ha descrito en muchos otros órganos4.
Frecuentemente está asociada a condiciones que disminuyen la respuesta inmune, entre otra, terapia inmunosupresora, trasplante de órganos, hipogammaglobulinemia, síndrome de inmunodeficiencia adquirida (SIDA), enfermedades autoinmunes, diabetes mellitus5,6, sugiriendo que hay una alteración en la función de los linfocitos T que podría jugar un rol en su patogénesis7-10. El primer caso fue publicado en 1902 por Michaelis y Gutmann11, quienes describieron unas inclusiones intracelulares en un tumor de vejiga urinaria que estudiaron. Este caso se trataba de un hombre de 56 años con tuberculosis intestinal y pulmonar activa en quien la vejiga urinaria contenía múltiples “formaciones tumorales amarillas, planas, redondeadas u ovoides”. Posteriormente Michaelis y Gutmann buscaron estructuras similares en otros tumores de vejiga y encontraron dos casos más. Microscópicamente detectaron la presencia de inclusiones diferentes a cualquiera previamente descrita en tumores. La gran mayoría de estas son intracitoplasmáticas en macrófagos, con algunas que pueden identificarse como extracelulares (al fragmentarse los macrófagos que las contienen). Estas inclusiones son ahora conocidas como “cuerpos de MichaelisGutmann” y pueden verse fácilmente con la tinción rutinaria de hematoxilina-eosina como esferas basofílicas de tamaño variable: desde menos de una micra hasta aproximadamente 10 micras5. Corresponden a lisosomas secundarios que contienen microorganismos parcialmente digeridos. La fusión y calcificación de estos lisosomas lleva a la formación de dichas inclusiones, consideradas patognomónicas de la enfermedad12. El término malacoplaquia fue introducido por von Hansemann en 1903 y es derivado de las palabras griegas “malakos” (blando) y “plakos” (placa)13.
Se ha informado mayor incidencia en hombres, pero cuando afecta el tracto urinario las mujeres son afectadas más frecuentemente. No tiene predilección por raza y pueden afectar a personas de cualquier edad, aunque es más frecuente en personas mayores de 50 años12,14.
La sintomatología depende del sitio donde se presente la enfermedad, los pacientes con compromiso renal podrían presentar fatiga, fiebre, dolor en flanco, hematuria, piuria y masa palpable. En algunos casos puede producir falla renal aguda o deterioro progresivo de la función renal en pacientes con alguna enfermedad pre-existente. La malacoplaquia bilateral ha sido relacionada con alta mortalidad15,16. Se han descrito casos asociados con neoplasias del tracto urinario y de otros órganos17-19.
Se considera que la malacoplaquia es el resultado de inadecuada destrucción de bacterias por macrófagos que presentan actividad fagolisosomal defectuosa, aunque se desconoce la causa de este defecto. La bacteria parcialmente digerida se acumula en los macrófagos y lleva al depósito de calcio y hierro sobre los glucolípidos residuales de bacterias: cuerpos de Michaelis-Gutmann5-10.
Microscópicamente, la malacoplaquia consiste en acúmulos de macrófagos grandes llamados células de von Hansemann, (Figura 2) con una asociación variable de infiltrado inflamatorio compuesto por linfocitos, células plasmáticas y neutrófilos. Los macrófagos tienen citoplasma eosinofílico amplio, con núcleo redondo, pequeño, hipercrómatico y excéntrico, asociado a un número variable de las inclusiones intracitoplasmáticas basófilas ya descritas. Formas grandes de estas inclusiones han sido identificadas fuera de las células, con similares propiedades de tinción y podrían parecerse a levaduras. Se pueden observar mejor con el uso de otras tinciones como von Kossa (para calcio), PAS (periodic-acid-Schiff) y azul de Prusia. En algunos casos se identifica también fagocitosis de leucocitos y eritrofagocitosis. En la microscopia electrónica se evidencian macrófagos que contienen lisosomas, fagolisosomas, cuerpos de Michaelis-Gutmann en varios estadios de desarrollo y bacterias9,10,12,17.

La apariencia radiográfica de la malacoplaquia renal incluye nefromegalia con masas solidas unifocales o multifocales, y puede ser similar a la pielonefritis xantogranulomatosa o al carcinoma renal15,16,20-22.
El tratamiento consiste en la eliminación de bacterias mediante el uso de antibióticos, la modulación de estados de inmunosupresión y en algunos casos, resección quirúrgica de la lesión. La ciprofloxacina y el trimetropin-sulfametoxazol son los más comúnmente usados debido a su actividad contra coliformes y a la capacidad para penetrar leucocitos y fagolisosomas23-25. Adicionalmente, en pacientes tratados con inmunosupresores, se recomienda reducir las dosis de estos medicamentos, lo que podría resultar en resolución de las lesiones24. Dependiendo de las características clínicas del paciente, su evolución clínica, la localización y la extensión de las lesiones, puede considerarse la opción quirúrgica, buscando eliminar o reducir el tamaño de la lesión. En casos de obstrucción urinaria o de inadecuada respuesta al tratamiento médico suele hacerse cirugía23.
El pronto diagnóstico de malacoplaquia renal y el inicio de terapia antibiótica adecuada, son esenciales para minimizar las secuelas a largo plazo(23, 25).
CONCLUSIÓN
Los niveles altos de glucemia inducen alteraciones funcionales en la actividad del sistema innato de inmunidad, lo que favorece el incremento de infecciones y sus presentaciones atípicas. Entre estas se ha descrito la malacoplaquia, una enfermedad de difícil diagnóstico por su amplio espectro de manifestaciones clínicas y que requiere en su valoración diferencial, descartar entidades de etiología tumoral. Es prioritario hacer una detección temprana, precisa y rápida que permita implementar terapia dirigida y en lo posible, lo menos invasiva.
REFERENCIAS BIBLIOGRÁFICAS
1. Dryden M, Baguneid M, Eckmann C, Corman S, Stephens J, Solem C, et al. Pathophysiology and burden of infection in patients with diabetes mellitus and peripheral vascular disease: focus on skin and soft-tissue infections. Clin Microbiol Infect. 2015 Sep;21 Suppl 2:S27-32. DOI: 10.1016/j.cmi.2015.03.024.
2. Gallacher SJ, Thomson G, Fraser WD, Fisher BM, Gemmell CG, MacCuish AC. Neutrophil bactericidal function in diabetes mellitus: evidence for association with blood glucose control. Diabet Med. 1995 Oct;12(10):916-20.
3. Rajagopalan S. Serious infections in elderly patients with diabetes mellitus. Clin Infect Dis. 2005 Apr 1;40(7):990-6.
4. Yousef GM, Naghibi B, Hamodat MM. Malakoplakia outside the urinary tract. Arch Pathol Lab Med. 2007 Feb;131(2):297-300. Erratum in: Arch Pathol Lab Med. 2009 Jun;133(6):850. Hamodat, Mowafak M [added].
5. Biggar WD, Keating A, Bear RA. Malakoplakia: evidence for an acquired disease secondary to immunosuppression. Transplantation. 1981 Feb;31(2):109-12.
6. McClure J. Malakoplakia. J Pathol. 1983 Aug;140(4):275-330.
7. Rubinson R, Mendes VS, Sanchez G, Costantini S. Malakoplakia. Pediatr Dermatol. 2012 Jul-Aug;29(4):541-3. DOI: 10.1111/j.1525-1470.2011.01467.x.
8. Archer SR, Abramowsky CR, Kobrynski L, Simoneaux S, Vogler LB, Ricketts RR, et al. Malakoplakia and primary immunodeficiency. J Pediatr. 2014 Nov;165(5):1053-6. DOI: 10.1016/j.jpeds.2014.07.035.
9. Kohl SK, Hans CP. Cutaneous malakoplakia. Arch Pathol Lab Med. 2008 Jan;132(1):113-7. DOI: 10.1043/1543-2165(2008)132[113:CM]2.0.CO;2.
10. Damjanov I, Katz SM. Malakoplakia. Pathol Annu. 1981;16(Pt 2):103-26.
11. Scott EV, Scott WF Jr. A fatal case of malakoplakia of the urinary tract. J Urol. 1958 Jan;79(1):52-6.
12. Dasgupta P, Womack C, Turner AG, Blackford HN. Malacoplakia: von Hansemann's disease. BJU Int. 1999 Sep;84(4):464-9.
13. von Hansemann D. Über Malakoplakie der Harnblase. Virch Arch Path Anat 1903; 173: 302-8. DOI: 10.1007/BF01944507.
14. Hyun KH, Shin HD, Kim DH. Malakoplakia in a healthy young female patient. Korean J Intern Med. 2013 Jul;28(4):475-80. DOI: 10.3904/kjim.2013.28.4.475.
15. Richter LA, Isaacson M, Verghese M, Krishnan J. Bilateral renal malakoplakia with acute renal failure: a case report and literature review. Can J Urol. 2011 Oct;18(5):5911-3.
16. Zimina OG, Rezun S, Armao D, Braga L, Semelka RC. Renal malacoplakia: demonstration by MR imaging. Magn Reson Imaging. 2002 Oct;20(8):611-4.
17. Lee SL, Teo JK, Lim SK, Salkade HP, Mancer K. Coexistence of Malakoplakia and Papillary Urothelial Carcinoma of the Urinary Bladder. Int J Surg Pathol. 2015 Oct;23(7):575-8. DOI: 10.1177/1066896915595464.
18. Medlicott S, Magi-Galluzzi C, Jimenez RE, Trpkov K. Malakoplakia associated with prostatic adenocarcinoma: Report of 4 cases and literature review. Ann Diagn Pathol. 2016 Jun;22:33-7. DOI: 10.1016/j.anndiagpath.2016.03.004.
19. Edmund L, Mohammed W. Colonic Carcinoma Associated with Malakoplakia. West Indian Med J. 2014 Jul;63(6):664-6. DOI: 10.7727/wimj.2014.079.
20. Wang GQ, Xu XY, Chen YP, Cheng H. Renal Parenchymal Malakoplakia Presenting as Acute Renal Failure in a Young Woman. Chin Med J (Engl). 2016 Aug;129(15):1880-1. DOI: 10.4103/0366-6999.186629.
21. Ayllon J, Verkarre V, Scotté F, Fournier L, Corréas JM, Mejean A, et al. Renal malacoplakia: Case report of a differential diagnosis for renal cell carcinoma. Am J Case Rep. 2012;13:38-40. DOI: 10.12659/AJCR.882596.
22. Das DP, Pal DK. Co-existing malakoplakia and xanthogranulomatous pyelonephritis of kidney: Two different spectrum of same disease process. Urol Ann. 2016 Apr-Jun;8(2):252-4. DOI: 10.4103/0974-7796.179242.
23. Dong H, Dawes S, Philip J, Chaudhri S, Subramonian K. Malakoplakia of the Urogenital Tract. Urol Case Rep. 2014 Nov;3(1):6-8. DOI: 10.1016/j.eucr.2014.10.002.
24. Graves AL, Texler M, Manning L, Kulkarni H. Successful treatment of renal allograft and bladder malakoplakia with minimization of immunosuppression and prolonged antibiotic therapy. Nephrology (Carlton). 2014 Apr;19 Suppl 1:18-21. DOI: 10.1111/nep.12194.
25. Leão CA, Duarte MI, Gamba C, Ramos JF, Rossi F, Galvão MM, et al. Malakoplakia after renal transplantation in the current era of immunosuppressive therapy: case report and literature review. Transpl Infect Dis. 2012 Dec;14(6):E137-41. DOI: 10.1111/tid.12012.
Notas
Notas de autor
*Correspondencia: José Armando Justinico-Castro; jose.justinico@udea.edu.co
Declaración de intereses