Artículo original
Tomografía abdominal sin contraste oral: evaluación de su rendimiento en el dolor abdominal agudo no traumático**
Abdominal tomography without oral contrast: evaluation of its performance in acute non-traumatic abdominal pain
Tomografía abdominal sin contraste oral: evaluación de su rendimiento en el dolor abdominal agudo no traumático**
Iatreia, vol. 34, núm. 2, pp. 116-123, 2021
Universidad de Antioquia
Recepción: 05 Mayo 2020
Aprobación: 05 Julio 2020
RESUMEN
Objetivo: evaluar el rendimiento diagnóstico de la tomografía abdominal sin medio de contraste oral en pacientes con dolor abdominal.
Materiales y métodos: se incluyeron tomografías de pacientes con dolor abdominal entre el 1 de septiembre y 31 de diciembre del 2015 en el Hospital Universitario San Vicente Fundación. Se analizó el desempeño de las tomografías con o sin contraste oral y se consideró como prueba de referencia el resultado diagnóstico definitivo en la intervención quirúrgica o por diagnóstico clínico. Se calculó la sensibilidad, especificidad y los valores predictivos positivos y negativos con intervalos de confianza del 95 %.
Resultados: fueron evaluadas un total de 128 tomografías de abdomen, 91 con contraste oral y 37 sin él. La tomografía sin contraste oral tuvo una sensibilidad y especificidad muy similar a la que sí lo tenía, con valores de 84 % y 91,6 %, respectivamente.
Conclusión: el rendimiento global de la tomografía con contraste oral fue similar a la que no lo tenía, con valores cercanos al 90 %. La adquisición de la tomografía con contraste oral tomó casi 3 veces más tiempo que el requerido en los estudios sin contraste oral.
PALABRAS CLAVE: Abdomen Agudo+ Dolor Abdominal+ Medios de Contraste+ Tomografía Computarizada.
SUMMARY
Objective: Evaluate the diagnostic performance of abdominal tomography without oral contrast medium in patients with abdominal pain.
Materials and methods: Abdominal tomographies of patients with abdominal pain were included, between September 1 and December 31, 2015 at the Hospital Universitario San Vicente Fundación. For the analysis of the tomographies with or without oral contrast, the definitive diagnostic result in the surgical intervention or by clinical diagnosis was considered as a reference test. We calculated the sensitivity, specificity and positive and negative predictive values with their respective 95% confidence intervals for tomography with and without oral contrast.
Results: 128 abdominal tomographies, 91 with oral contrast and 37 without this type of contrast were evaluated. The tomography without oral contrast had a sensitivity and specificity very similar to the tomography with contrast, with values of 84% and 91.6%, respectively.
Conclusion: The performance of the tomography with oral contrast was similar to the tomography without oral contrast, with values close to 90%. The acquisition of tomography with oral contrast took almost 3 times longer than that required in the studies without oral contrast.
KEY WORDS: Abdomen Acute, Abdominal Pain, Contrast Media, Tomography, X-Ray Computed.
INTRODUCCIÓN
Actualmente, algunos pacientes que se presentan al servicio de urgencias con dolor abdominal agudo requieren frecuentemente de una caracterización tomográfica como parte de la evaluación inicial y del estudio de la causa de su dolor. La tomografía abdominal y pélvica ha demostrado ser útil en dicho proceso diagnóstico al disminuir los niveles de incertidumbre, las admisiones hospitalarias innecesarias y ayudar a realizar intervenciones quirúrgicas más oportunas 1-3.
Se han desarrollado múltiples protocolos de escaneo y de preparación del paciente con el objetivo de estudiar las diferentes causas del abdomen agudo. La administración del medio de contraste intravenoso mejora la diferenciación de estructuras, identifica las causas vasculares y las inflamatorias del dolor abdominal y, además, caracteriza masas y tiene otros beneficios 1-3,4.
La administración del medio de contraste oral positivo en estudios tomográficos abdominales y pélvicos era considerada obligatoria. Esto tenía el objetivo de mejorar la detección de la patología intestinal, ya que proporciona una mejor diferenciación entre la luz intestinal y las estructuras adyacentes 5,6. Entre los protocolos más comunes está la administración de 1000 ml de una solución al 2 % del medio de contraste hidrosoluble, de 1 a 2 horas antes de la realización del estudio tomográfico 1,7.
En el contexto del dolor abdominal agudo de origen traumático, se ha demostrado que el uso del contraste oral puede ser perjudicial y que los estudios tomográficos realizados solo con contraste intravenoso no son inferiores en su rendimiento diagnóstico. Por lo tanto, hoy es aceptada la realización de estudios tomográficos sin medio de contraste oral 8,9.
En pacientes oncológicos, un estudio encontró una mayor comodidad y aceptación de parte de ellos, sin la disminución en el rendimiento diagnóstico al hacer el estudio tomográfico sin contraste oral 10.
En el caso del dolor abdominal agudo, la literatura es menos evidente debido, en parte, a la heterogeneidad de los escenarios en que se presenta este cuadro. Varios estudios han demostrado una equivalencia en el rendimiento diagnóstico, la disminución de los tiempos de estancia en los servicios de urgencias, una mejora del flujo del trabajo y mayor aceptación en los pacientes cuando se solicitan imágenes tomográficas sin medio de contraste oral 11-13.
En nuestro medio no existen datos acerca de la realización de estudios tomográficos sin medio de contraste oral. Tampoco ha sido evaluado su rendimiento diagnóstico ni las ventajas o desventajas que puede tener.
La hipótesis de este estudio fue que la tomografía computarizada de abdomen con contraste intravenoso y sin contraste oral tiene el mismo rendimiento que la tomografía (CT) con contraste oral y venoso. El objetivo fue evaluar la exactitud diagnóstica de ambos protocolos.
MATERIALES Y MÉTODOS
Con previa aprobación del Comité de ética del Hospital Universitario San Vicente Fundación se realizó un estudio retrospectivo, que evaluó y comparó el rendimiento diagnóstico de la tomografía abdominal con contraste intravenoso y oral positivo contra la tomografía con contraste intravenoso y sin contraste oral.
Protocolo de la tomografía
Se usó un tomógrafo GE de 64 cortes, con un protocolo de adquisición desde la base del tórax hasta la sínfisis del pubis, con grosor de corte de 1,6 mm, con kilovoltaje de 120, miliamperaje automático calculado por el equipo y PITCH de 1.1, posterior a la inyección del medio de contraste intravenoso en un volumen entre 80 y 100 ml, en la fase portal.
Selección de pacientes
Se seleccionaron pacientes adultos con tomografía contrastada abdominal o pélvica, del sistema para almacenamiento de imágenes y comunicación radiológica (PACS, por su sigla en inglés) de la institución, con diagnóstico de dolor abdominal no traumático que acudieron al servicio de urgencias de la institución en el periodo comprendido entre el 1 de septiembre y el 31 diciembre del 2015. Se excluyeron aquellos con antecedente de cirugía reciente (1 mes) y los casos en los que el contraste oral era indispensable para el diagnóstico tomográfico: sospecha clínica de colección intraabdominal o de fístula gastrointestinal.
En la institución hay presencia continua de radiólogos experimentados en urgencias (10 especialistas con experiencia de 5 a 10 años). Ellos eran los encargados de decidir el uso o no del medio de contraste oral, basados enteramente, en su experiencia personal. El único criterio absoluto para usar el medio de contraste oral positivo en la institución estaba dado por la necesidad clínica de descartar colecciones intraabdominales.
Un radiólogo que desconocía la información clínica de los pacientes realizó la recolección de los diagnósticos tomográficos del reporte, los agrupó en las siguientes categorías: Estudio negativo para patología abdominal/pélvica, Apendicitis, Diverticulitis, Colecistitis, Genitourinaria (pielonefritis, infarto renal, hidronefrosis, nefro/urolitiasis, cistitis), Hepatitis, Trombosis venosa y/o trombosis arterial agudas, Pancreatitis, Infarto esplénico, Patología inflamatoria del tracto gastrointestinal (esofagitis, gastritis, enteritis y colitis), Apendagitis aguda, Infarto omental, Obstrucción intestinal o íleo, Patología de la vesícula biliar / vía biliar (colangitis, dilatación de la vía biliar, tumor de vesícula o colangiocarcinoma), Neoplasia intraabdominal diagnosticada de novo, Complicaciones postquirúrgicas, Ginecológicas (quiste ovárico roto, quiste hemorrágico, embarazo ectópico, enfermedad pélvica inflamatoria), Absceso/colección intraabdominal o de la pared abdominal, Perforación intestinal, Peritonitis, Vasculitis, Disección y/o aneurisma vascular y Hemorragia del tracto gastrointestinal. Los reportes tomográficos con más de un diagnóstico fueron revisados y se eligió aquel que se relacionara con el origen del dolor abdominal para la categorización.
De forma independiente, se usó la historia clínica electrónica institucional para obtener los datos demográficos (sexo y edad) y el diagnóstico final del alta de los pacientes. Se calculó el tiempo que transcurrió entre el momento en que fue ordenada la tomografía hasta el de su realización.
Análisis de los datos
La base de datos fue digitada en Microsoft Excel® (2007) y luego fue exportada al programa estadístico SPSS®, versión 21.0. La Universidad de Antioquia tiene licencia para el uso de este programa. Las variables cuantitativas se expresaron como promedio y la desviación estándar como medianas o rangos intercuartílicos. Para el análisis del desempeño de las tomografías, con o sin contras-te oral, se consideró como estándar de referencia (gold standard) el diagnóstico definitivo en la intervención quirúrgica o por el diagnóstico clínico, según fuera el caso. Se construyeron tablas 2x2 para los cálculos de sensibilidad, especificidad y valores predictivos positivos o negativos con sus respectivos intervalos de confianza del 95 %. Se consideró como positivo verdadero aquel caso en el que coincidieron el diagnóstico tomográfico y el definitivo. El negativo verdadero fue aquel con un diagnóstico tomográfico de “estudio negativo para patología abdominal/pélvica” y diagnóstico definitivo de “dolor abdominal no especificado”. Estos pacientes no requirieron de cirugía, los resultados de las ayudas diagnósticas no detectaron enfermedad, clínicamente no fueron necesarias más pruebas a nivel hospitalario; esto por la resolución del dolor que permitió continuar su estudio de forma ambulatoria. El falso positivo fue definido como aquel con un resultado tomográfico que concluyó alguna patología, pero con diagnóstico final no concordante. El falso negativo tuvo un “estudio tomográfico negativo para patología abdominal/pélvica”, pero con diagnóstico final no concordante.
RESULTADOS
Se incluyeron 128 tomografías de abdomen, 91 con contraste oral y 37 sin él. Todas ellas fueron de abdomen total.
En la Tabla 1 se pueden observar las variables demográficas de los pacientes.

No se observaron diferencias significativas en la distribución de la edad en ambos grupos de tomografías.
En la Tabla 2 se puede observar la distribución del diagnóstico definitivo, su frecuencia y si se realizó tomografía con o sin contraste oral. El diagnóstico más común fue el de dolor abdominal no especificado, es decir, sin causa identificable luego de la realización de todas las pruebas diagnósticas. La apendicitis fue el tercer diagnóstico más común, con menor frecuencia se identificó diverticulitis.

El diagnóstico final al egreso fue quirúrgico en 37 pacientes (29 %) y médico en 91 (71 %). El desempeño global de la tomografía con contraste oral se describe en la Tabla 3. La exactitud fue del 87,91 %. Adicionalmente, se observó una razón de verosimilitud positiva de 10,9.

Se presentaron 9 pacientes con resultado falso negativo, ninguno de ellos requirió de manejo quirúrgico. De estos, 8 fueron diagnosticados con patología inflamatoria gastrointestinal y otro con hemorragia del tracto digestivo que se autolimitó. La patología inflamatoria fue confirmada mediante endoscopia en 3 casos y en los 6 restantes el diagnóstico final fue clínico.
En este grupo se hallaron dos con resultado falso positivo. Un de ellos con diagnóstico tomográfico de diverticulitis y final de pielonefritis confirmada con urocultivo. El otro paciente con diagnóstico por imagen de vasculitis aórtica y final de hematoma mural aórtico extenso; ambos fueron de manejo médico.
El desempeño de la tomografía sin contraste oral se presenta en la Tabla 3. Se encontraron 4 pacientes con estudio tomográfico negativo para patología, ninguno de ellos requirió de manejo quirúrgico. Dos de ellos con diagnóstico definitivo de patologías inflamatorias del tracto gastrointestinal, uno con ileítis ulcerada hemorrágica y el otro con gastritis eritematosa antral, ambos confirmados mediante el estudio endoscópico. A los otros dos pacientes se les realizó un diagnóstico clínico de pielonefritis y de hemorragia del tracto digestivo.
En este grupo se encontró un paciente con resultado falso positivo, con diagnóstico tomográfico de diverticulitis y otro quirúrgico de lesión tumoral en el sigmoides con microperforaciones y peritonitis. Esta lesión fue confirmada posteriormente mediante el estudio histopatológico.
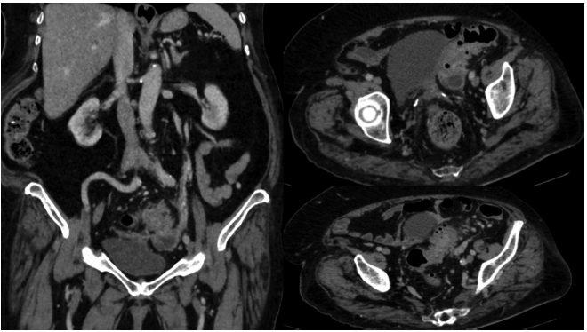
En el grupo de tomografía con contraste oral que requirieron de manejo quirúrgico, solo se encontraron verdaderos positivos (Figura 1).

De forma similar, en el grupo con tomografía sin contraste oral, que requirieron manejo quirúrgico (14 pacientes), no se encontraron resultados falsos negativos ni verdaderos negativos. En 13 de ellos la tomografía coincidió con el diagnóstico final. En un paciente la tomografía reportó diverticulitis con diagnóstico final de tumor en el sigmoides perforado sin diverticulitis, lo cual constituye un falso positivo.
En la Tabla 4 se muestran los resultados del grupo de pacientes que recibieron el manejo médico. Fue en este grupo en el que se observaron la mayoría de los falsos, positivos y negativos, descritos en el rendimiento global. Un total de 13 falsos negativos, de los cuales a 10 se les realizó el diagnóstico definitivo de patología inflamatoria del tracto gastrointestinal y, solo en 5 de ellos, se confirmó mediante un estudio endoscópico.

En todos los pacientes incluidos en este estudio, el promedio del tiempo transcurrido entre la orden de la tomografía de abdomen y la realización de esta fue de 9,25 ± 9,7 horas. En el caso de la CT de abdomen con contraste de vía oral, el tiempo tuvo un promedio de 11,28 ± 10,37 horas (mediana 8,33 RIQ 25-75 % 4,68, 15,85 horas).
En el caso de la CT sin contraste de vía oral, el tiempo promedio de realización fue de 4,27 ± 5,18 horas (mediana 2,26 RIQ 25-75 % 0,38, 6,97 horas).
DISCUSIÓN
En este estudio se logró confirmar la hipótesis de que el rendimiento global de la tomografía con contraste oral es similar al de la tomografía sin medio de contraste oral, con valores cercanos al 90 %. Aunque no fue posible calcular la mayoría de las variables del rendimiento diagnóstico en el grupo que recibió el manejo quirúrgico, la exactitud de la tomografía con contraste fue similar a la sin contraste (100 % frente a 92 %). En el grupo de pacientes que requirió de manejo médico también se conservó la similitud entre los resultados: 83,82 % exactitud del grupo con contraste y, 82,6 % del grupo sin contraste. La CT sin contraste oral presentó un rendimiento ligeramente mayor en la especificidad y en los valores predictivos. Se le atribuye esta discreta ventaja a la ausencia de falsos positivos en el grupo sin contraste oral.
Se han publicado pocos estudios que, como este, abarcan un amplio número de diagnósticos 11,14-16 en lugar de evaluar el rendimiento en uno específico. En el año 2005 Anderson et al. 17 en una revisión sistemática de la literatura, evaluaron la necesidad del contraste oral en el diagnóstico de la apendicitis aguda. Encontrando una equivalencia en el rendimiento diagnóstico entre la CT con y sin medio oral. Poste-riormente, en el 2009, el mismo autor 18 publicó un estudio aleatorizado controlado, con y sin medio de contraste oral, comparando el rendimiento en la apendicitis y halló un rendimiento similar. Kepner et al. 19, publicaron un estudio similar en el que demostraron también un rendimiento diagnóstico comparable y, además, menores tiempos de estancia en urgencias para los pacientes que no recibieron con-traste oral. Laituri et al. 20 determinaron la falta de eficacia del medio oral en el diagnóstico de apendicitis con tomografía. Encontraron que en el 30 % de los pacientes el medio de contraste no había alcanzado el punto de interés (el ciego). Otros estudios han comparado el rendimiento de CT sin medio oral contra CT con medio oral o rectal; también reportaron una similitud en las variables medidas 11,14. Este es el único estudio de esta clase realizado y publicado en Colombia.
En concordancia con otros estudios 11,21, el diagnóstico final más frecuente fue el de “dolor abdominal no especificado”; es decir, pacientes en los cuales no se encontró la causa de su dolor, no requirieron de manejo quirúrgico y este se resolvió. De forma similar a lo publicado, las patologías como la apendicitis y diverticulitis también fueron comunes. A diferencia de otras publicaciones, en este la patología inflamatoria intestinal fue el segundo hallazgo más frecuente.
En cuanto al tiempo requerido para la realización de los estudios, se observó una diferencia sustancial. La tomografía con contraste oral tardó casi 3 veces más que el requerido en los estudios sin contraste. Huynh et al. 22 reportaron mayores intervalos de tiempo entre el momento en que se solicita el estudio y en el que se llega al diagnóstico definitivo en los pacientes con tomografías con contraste oral; estos intervalos de tiempo fueron mayores que aquellos esperados, solo por el tiempo que requiere la administración del medio de contraste. Esto ha sido postulado como un factor que alarga la estancia en el servicio de urgencias y retrasa el inicio del manejo definitivo, sumado a los demás efectos no deseados que se le han atribuido al uso del contraste oral como las náuseas y los vómitos 11,23,24.
Dentro de las limitaciones del estudio se encuentran: 1. Limitaciones propias de los estudios retrospectivos, principalmente, el sesgo de selección dada la imposibilidad de controlar la administración o no del medio de contraste oral; 2. Al no contar con dos cohortes no se pudo realizar comparaciones estadísticas; 3. El menor número de pacientes en el grupo sin contraste oral y, aunque no hubo diferencias significativas en el rendimiento de la prueba en los dos grupos, es probable que los resultados fueran más evidentes en el grupo sin contraste si este tuviera un número mayor de pacientes 17,18; 4. No evaluar la variabilidad entre observadores y no analizar la pertinencia de la indicación del estudio, análisis que se debe hacer en estudios posteriores Es necesario la realización de un análisis prospectivo, comparativo y aleatorio de tomografía, con y sin medio de contraste oral, en pacientes con dolor abdominal agudo no traumático, con el objeto de demostrar estas hipótesis con un nivel de evidencia más alto.
CONCLUSION
Este estudio apoya la evidencia desde la cual se postula que el rendimiento diagnóstico de la tomografía abdominal sin contraste oral es similar al de aquella con contraste. También apoya la hipótesis que el tiempo requerido para realizar la tomografía con con-traste oral es mucho mayor que el tiempo necesario de administración del contraste descrito en los protocolos usuales, sugiriendo que hay otros factores que tienen influencia en esta variable y que pueden estar relacionados: el tiempo de iniciación desde la ingesta y la tolerancia del paciente al contraste.
REFERENCIAS BIBLIOGRÁFICAS
1. Gore R, Levine M. Textbook of Gastrointestinal Radiology. 4. ed. Philadelphia: Saunders Co; 2015.
2. Ros PR, Mortele KJ. CT & MRI of the Abdomen and Pelvis: A Teaching File. 3. ed. Philadelphia: LWW; 2013.
3. Anderson SW, Menias C, Soto JA. Gastrointestinal Imaging Cases. New York: McGraw-Hill Education; 2013.
4. Soto JA, Lucey BC. Emergency radiology: the requisites. 2. ed. Philadelphia: Elsevier; 2016.
5. Hamlin D, Burgener F. Positive and negative contrast agents in CT evaluation of the abdomen and pelvis. J Comput Tomogr. 1981;5(2):82-90. DOI 10.1016/0149-936X(81)90020-5.
6. Garrett P, Meshkov S, Perlmutter G. Oral contrast agents in CT of the abdomen. Radiology. 1984;153(2):545-6. DOI 148/radiology.153.2.6484186.
7. Lee JKT, Sagel SS, Stanley RJ. Computed Body Tomography with MRI Correlation. 4. ed. North Carolina: Wolters Kluwer Health; 2006.
8. Stuhlfaut J, Soto J, Lucey B, Ulrich A, Rathlev N, Burke P, et al. Blunt Abdominal Trauma: Performance of CT without Oral Contrast Material. Radiology. 2004;233:689-94. DOI 10.1148/radiol.2333031972.
9. Lee C, Haaland B, Earnest A, Tan C. Use of positive oral contrast agents in abdominopelvic computed tomography for blunt abdominal injury: metaanalysis and systematic review. Eur Radiol. 2013;23(9):2513-21. DOI 10.1007/s00330-013-2860-8.
10. Harieaswar S, Rajesh A, Griffin Y, Tyagi R, Morgan B. Routine Use of Positive Oral Contrast Material Is Not Required for Oncology Patients Undergoing Follow-up Multidetector CT. Radiology. 2009;250(1):246-53. DOI 10.1148/radiol.2493080353.
11. Levenson R, Camacho M, Horn E, Saghir A, McGillicuddy D, Sanchez L. Eliminating routine oral contrast use for CT in the emergency department: impact on patient throughput and diagnosis. Emerg Radiol. 2012;19:513-7. DOI 10.1007/s10140-012-1059-7.
12. Razavi S, Johnson J, Kassin M, Applegate K. The impact of introducing a no oral contrast abdominopelvic CT examination (NOCAPE) pathway on radiology turnaround times, emergency department length of stay, and patient safety. Emerg Radiol. 2014;21:605-13. DOI 10.1007/s10140-014-1240-2.
13. Schuur J, Chu G, Sucov A. Effect of oral contrast for abdominal computed tomography on emergency department length of stay. Emerg Radiol. 2010;17:267-3. DOI 10.1007/s10140-009-0847-1.
14. Hill B, Johnson S, Owens E, Gerber J, Senagore A. CT Scan for Suspected Acute Abdominal Process: Impact of Combinations of IV, Oral, and Rectal Contrast. World J Surg. 2010;34:699-703. DOI 10.1007/s00268-009-0379-6.
15. Uyeda J, Yu H, Ramalingam V, Devalapalli A, Soto J, Anderson S. Evaluation of Acute Abdominal Pain in the Emergency Setting Using Computed Tomography Without Oral Contrast in Patients With Body Mass Index Greater Than 25. J Comput Assist Tomogr. 2015;39(5):681-6. DOI 10.1097/RCT.0000000000000277.
16. Alabousi A, Patlas M, Sne N, Katz D. Is Oral Contrast Necessary for Multidetector Computed Tomography Imaging of Patients With Acute Abdominal Pain? Can Assoc Radiol J. 2015;66:318-22. DOI 10.1016/j.carj.2015.03.003.
17. Anderson B, Salem L, Flum D. A systematic review of whether oral contrast is necessary for the computed tomography diagnosis of appendicitis in adults. Am J Surg. 2005;190(3):474-8. DOI 10.1016/j.amj-surg.2005.03.037.
18. Anderson S, Soto J, Lucey B, Ozonoff A, Jordan J, Ratevosian J, et al. Abdominal 64-MDCT for Suspected Appendicitis: The Use of Oral and IV Contrast Material Versus IV Contrast Material Only. AJR Am J Roentgenol. 2009;193(5):1282-8. DOI 10.2214/AJR.09.2336.
19. Kepner A, Bacasnot J, Stahlman B. Intravenous con-trast alone vs intravenous and oral contrast computed tomography for the diagnosis of appendicitis in adult ED patients. Am J Emerg Med. 2012;30(9):1765-73. DOI 10.1016/j.ajem.2012.02.011.
20. Laituri C, Frasier J, Aguayo P, Fike F, Garey C, Sharp S, et al. The Lack Of Efficacy For Oral Contrast In The Diagnosis Of Appendicitis By Computed Tomo-graphy. J Surg Res. 2011;165(2):193-4. DOI 10.1016/j.jss.2010.11.605
21. Rosen M, Sands D, Longmaid H, Reynolds K, Wagner M, Raptopoulos V. Impact of Abdominal CT on the Management of Patients Presenting to the Emergency Department with Acute Abdominal Pain. AJR Am J Roentgenol. 2000;174(5):1391-6. DOI 10.2214/ajr.174.5.1741391.
22. Huynh L, Coughlin B, Wolfe J, Blank F, Lee S, Smithline H. Patient encounter time intervals in the evaluation of emergency department patients requiring abdominopelvic CT: oral contrast versus no contrast. Emerg Radiol. 2003;10:310-3. DOI 10.1007/s10140-004-0348-1.
23. Platon A, Jlassi H, Rutschmann O, Becker C, Verdun F, et al. Evaluation of a low-dose CT protocol with oral contrast for assessment of acute appendicitis. Eur Ra-diol. 2008;19:446-54. DOI 10.1007/s00330-008-1164-x.
24. Buttigieg E, Grima K, Cortis K, Soler S, Zarb F. An evaluation of the use of oral contrast media in abdo-minopelvic CT. Eur Radiol. 2014;24(11):2936-44. DOI 10.1007/s00330-014-3285-8.
Notas
Notas de autor
*Correspondencia: María Fernanda Saldarriaga Arango; mafesa2511@hotmail.com
Declaración de intereses