Presentación de Casos
Pericarditis Aguda asociada a infección por COVID-19**
Acute pericarditis associated with COVID-19 infection
Pericarditis Aguda asociada a infección por COVID-19**
Iatreia, vol. 35, núm. 1, pp. 74-78, 2022
Universidad de Antioquia
Recepción: 26 Abril 2021
Aprobación: 08 Julio 2021
RESUMEN:
La infección por el coronavirus de tipo 2 causante del síndrome respiratorio agudo grave (SARS-COV2, por sus siglas en inglés), ha sido asociada con múltiples manifestaciones cardiovasculares. El mecanismo por el cual el virus afecta el corazón es objeto de discusión; sin embargo, se ha planteado que el receptor de la enzima convertidora de angiotensina (ACE2) sirve como entrada directa del virus. Así mismo, un estado de inflamación mediado por una tormenta de citoquinas puede generar falla multiorgánica y explicar algunas manifestaciones cardíacas. Las principales asociaciones al sistema cardiovascular reportadas en la infección por COVID-19 son el síndrome coronario agudo, la falla cardiaca aguda, el choque cardiogénico y las arritmias. La pericarditis aguda es un síndrome inflamatorio de etiología principalmente viral, pero su relación con la infección por SARS-COV2 parece ser infrecuente, con pocos reportes en la literatura. Se presenta el caso de una paciente que desarrolló pericarditis concomitante a la infección por SARS-COV2.
PALABRAS CLAVE: COVID-19, Pericarditis, SARS-CoV2.
SUMMARY:
Infection by coronavirus type 2 that causes severe acute respiratory syndrome (SARS-CoV-2) has been associated with multiple cardiovascular manifestations. The mechanism by which the virus affects the heart is under discussion; however, it has been proposed that the angiotensinconverting enzyme 2 (ACE2) serves as a direct entry point for the virus; likewise, the state of inflammation mediated by cytokine storm can generate multiorgan failure, explaining some cardiac manifestations. The main associations to the cardiovascular system reported in COVID-19 infection are acute coronary syndrome, acute heart failure, cardiogenic shock and arrhythmias. Acute pericarditis is an inflammatory syndrome of mainly viral etiology, and its relationship to SARS-CoV-2 infection seems infrequent, with few reports in the literature. We present the case of a patient who developed pericarditis, concomitant with SARS-CoV-2 infection.
KEY WORDS: COVID-19, Pericarditis, SARS-CoV-2.
INTRODUCCIÓN
La infección causada por el SARS-CoV2 afecta de forma principal el sistema respiratorio, ocasionando una variedad de síntomas que varían desde tos, expectoración y disnea, hasta el síndrome de distrés respiratorio agudo y la muerte (1).
Se han reportado múltiples complicaciones en otros sistemas asociados a la infección por COVID-19, principalmente el cardiovascular, entre las que se incluyen: lesión cardiaca, miocarditis, infarto agudo de miocardio, falla cardiaca, arritmias y eventos tromboembólicos venosos (2,3).
El mecanismo por el cual el SARS-CoV2 ingresa a la célula ha sido objeto de estudio. Se ha identificado que la unión de la proteína S y el receptor de la enzima convertidora de angiotensina 2 (ACE2), expresado principalmente en corazón y pulmones, sirve como puerta de entrada del virus (4), lo cual podría explicar la concomitancia entre los síntomas respiratorios y cardiovasculares.

La pericarditis aguda es un síndrome inflamatorio de etiología principalmente viral (5). El COVID-19 como etiología de la misma es poco frecuente, con algunos reports de caso en la literatura (6-9). Presentamos el caso de una paciente con pericarditis como manifestación cardiovascular secundaria a infección por COVID-19.
DESCRIPCIÓN DEL CASO
Mujer de 33 años, raza negra, ama de casa, con antecedente de obesidad. Procedente y residente en zona urbana del Chocó, Colombia. Es direccionada desde consulta externa al servicio de urgencias por cuadro de un mes de evolución de pirosis y dos días de tos seca y exacerbación de sus síntomas gastrointestinales.
Se realizó electrocardiograma en su ingreso, con evidencia de taquicardia sinusal, inversion de ondas T simétricas y alternancia eléctrica en V1, V2 y V3 (Figura 1). Se solicitó troponina de alta sensibilidad, cuyo valor fue negativo (1.7 VR: 0.0-26.2) y al examen físico no se encontraron hallazgos anormales a la auscultación cardiopulmonar.
Por síntomas respiratorios, se obtuvo muestra de hisopado nasofaríngeo para COVID-19, con resultado positivo por reacción en cadena de la polimerasa con transcriptasa inversa (RT-PCR por sus siglas en inglés).
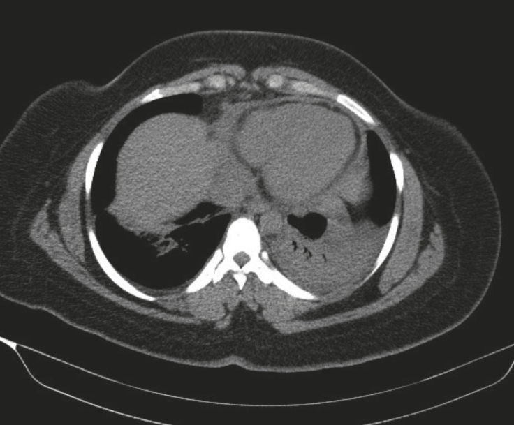
Durante su estancia se documentó infección de vías urinarias por Escherichia coli resistente a ciprofloxacina, para lo cual recibió manejo con piperacilina tazobactam 4.5 gramos intravenosos cada 6 horas durante siete días. Evolucionó con persistencia de febrículas, dolor de tipo pleurítico y elevación de reactantes de fase aguda, se realizó tomografía axial computarizada de tórax ante sospecha de sobreinfección bacteriana que fue descartada, pero con signos de derrame pericárdico en moderada cantidad, sin signos de taponamiento cardíaco (Figura 2). Posteriormente, fue llevada a ecocardiograma transtorácico, con reporte dentro de la normalidad. Se realiza nuevamente troponina de alta sensibilidad con resultado negativo (1.4 VR: 0.0-26.2).

Se realizaron hemocultivos con resultado negativo a las 96 horas y se descartó infección por virus de inmunodeficiencia humana (VIH), enfermedades reumatológicas y hemoparásitos dado su nexo epidemiológico. Se conceptuó que cursaba con pericarditis de origen viral secundaria a SARS-CoV2 ante presencia de líquido pericárdico, dolor retroesternal con empeoramiento al decúbito, fiebre e inflamación sistémica.
Se inició tratamiento con Colchicina 0.5 miligramos vía oral cada 12 horas por siete días y no se consider candidata a manejo con antiinflamatorios no esteroideos (AINES) por enfermedad ácido péptica. Se realizó esofagogastroduodenoscopia que mostró moniliasis esofágica y gastropatía erosiva antral. Recibió manejo con Fluconazol 200 miligramos por 14 días, y se dio egreso a los 19 días de estancia hospitalaria. Fue valorada nuevamente en consulta externa a las ocho semanas desde su egreso, con buena evolución clínica y sin recurrencia de síntomas.
DISCUSIÓN
Las manifestaciones cardiovasculares juegan un rol importante en la infección por COVID-19. Se ha descrito que alrededor del 8% de los pacientes presentan alguna lesión cardíaca y, a su vez, hay asociación con resultados adversos como ingreso a unidad de cuidados intensivos y muerte (10). Se han evidenciado cifras de mortalidad más altas en los pacientes con lesión cardiaca en comparación a los que no la presentan, 59.6% vs 8-9%, respectivamente (11).
La pericarditis es un síndrome inflamatorio de etiología generalmente viral (5). Puede estar acompañada o no de derrame pericárdico, encontrándose hasta en el 60% de los pacientes, mientras que el taponamiento cardiaco solo aparece en el 5 % (12). El diagnóstico de la pericarditis se realiza con dos de los siguientes cuatro criterios: Dolor torácico, roce pericárdico, cambios electrocardiográficos (elevación del segment ST, depresión del PR) y derrame pericárdico (13). Para este reporte se cumplieron 2 criterios: dolor torácico y derrame pericárdico.
Los cambios electrocardiográficos documentados de inversión generalizada de la onda T, aunque no reflejan un estado agudo, son manifestación de la evolución del proceso inflamatorio del pericardio (pericarditis estadio III). Con respecto a la alternancia eléctrica que se observa en V1, V2, V3, podría sugerir taponamiento cardiaco o derrame pericárdico (14). (Figura 1. Cambios electrocardiográficos).
En este caso, la presencia de derrame pericárdico en la tomografía de tórax y la ausencia del mismo en el ecocardiograma transtorácico (ETT) realizado días después, posiblemente sea explicada por su naturaleza autolimitada. Estos hallazgos son consistentes con lo reportado en la literatura, en donde la ausencia de derrame pericárdico u otras anormalidades en el ecocardiogramano excluyen el diagnóstico de pericarditis (13).
El abordaje inicial de la pericarditis incluye el manejo con colchicina y AINES (15); este último no fue utilizado en el presente caso por enfermedad ácido péptica concomitante.
Es llamativa la controversia del uso de AINES en COVID-19; sin embargo, en estudios observacionales no se ha encontrado asociación entre su uso y mortalidad, hospitalización o admisión a UCI a los 30 días (16). En cuanto al tratamiento con colchicina, se ha planteado como un potencial agente terapéutico en pacientes con COVID-19, al reducir los niveles de citoquinas, la activación de macrófagos, los neutrófilos y el inflamasoma (17).
La Sociedad Europea de Cardiología recomienda administrar colchicina en monoterapia o en combinación con AINES para el tratamiento de la pericarditis (13). Recientemente, el estudio COLCORONA sugirió los efectos de la colchicina en eventos clínicos, incluidos admisión hospitalaria y muerte, así como su seguridad y tolerancia en pacientes con COVID-19.
Para el desenlace de admisión hospitalaria y muerte no se encontraron resultados estadísticamente significativos en pacientes tratados de forma ambulatorial con colchicine versus placebo ([OR] 0·79, 95·1% CI 0·61-1·03; p=0·081). Sin embargo, en caso de que no haya disponibilidad de otras terapias orales para prevenir complicaciones de la infección por SARS COV-2, la colchicina puede ser un agente seguro y económico a considerar en un esquema de tratamiento menor o igual a 30 días (18).
CONCLUSIÓN
Las manifestaciones cardiovasculares de la infección por SARS-COV2 continúan siendo objeto de estudio. Los datos de pericarditis asociados a COVID-19 son poco frecuentes, y en la literatura sólo existen reports de caso (6-9). La finalidad de este reporte es ayudar al personal sanitario a mejorar su reconocimiento y sospecha clínica mediante herramientas disponibles como el electrocardiograma, y así mismo exponer las consideraciones en el tratamiento en los pacientes con infección concomitante por COVID-19, que no varían del manejo actual.
REFERENCIAS BIBLIOGRÁFICAS
1. Chakraborty C, Sharma AR, Sharma G, Bhattacharya M, Lee SS. SARS-CoV-2 causing pneumonia-associated respiratory disorder (COVID-19): Diagnostic and proposed therapeutic options. Eur Rev Med Pharmacol Sci. 2020;24(7)4016-26. DOI 10.26355/EURREV_202004_20871.
2. Atri D, Siddiqi HK, Lang JP, Nauffal V, Morrow DA, Bohula EA. COVID-19 for the Cardiologist: Basic Virology, Epidemiology, Cardiac Manifestations, and Potential Therapeutic Strategies. JACC Basic Transl Sci. 2020 Apr 10;5(5):518-36. DOI 10.1016/j.jacbts.2020.04.002.
3. Long B, Brady WJ, Koyfman A, Gottlieb M. Cardiovascular complications in COVID-19. Am J Emerg Med. 2020 Jul;38(7):1504-07. DOI 10.1016/j.ajem.2020.04.048.
4. Wu L, O’Kane AM, Peng H, Bi Y, Motriuk-Smith D, Ren J. SARS-CoV-2 and cardiovascular complications: From molecular mechanisms to pharmaceutical management. Biochem Pharmacol. 2020 Aug;178:114114. DOI 10.1016/j.bcp.2020.114114.
5. Imazio M, Gaita F, LeWinter M. Evaluation and Treatment of Pericarditis: A Systematic Review. JAMA. 2015 Oct 13;314(14):1498-506. DOI 10.1001/jama.2015.12763.
6. Tung-Chen Y. Acute pericarditis due to COVID-19 infection: An underdiagnosed disease? Med Clin (Barc). 2020 Jul 10;155(1):44-5. DOI 10.1016/j.medcli.2020.04.007.
7. Naqvi SGZ, Naseeb U, Fatima K, Riffat S, Memon AG. Acute Pericarditis and Pericardial Effusion in a Hypertensive COVID-19 Patient. Cureus. 2020 Sep 29;12(9):e10705. DOI 10.7759/cureus.10705.
8. Kumar R, Kumar J, Daly C, Edroos SA. Acute pericarditis as a primary presentation of COVID-19. BMJ Case Rep. 2020 Aug 18;13(8):e237617. DOI 10.1136/bcr-2020-237617.
9. Tufo-Pereyra A, Scatularo CE, Cardone F, Grancelli H. [Pericarditis por SARS-CoV-2: informe de caso]. Arch Cardiol Mex. 2021 Jun 2. Spanish. DOI 10.24875/ACM.21000033.
10. Bansal M. Cardiovascular disease and COVID-19. Diabetes Metab Syndr. 2020 May-Jun;14(3):247-250. DOI 10.1016/j.dsx.2020.03.013.
11. Guo T, Fan Y, Chen M, Wu X, Zhang L, He T, et al. Cardiovascular Implications of Fatal Outcomes of Patients with Coronavirus Disease 2019 (COVID-19). JAMA Cardiol. 2020 Jul 1;5(7):811-818. DOI 10.1001/jamacardio.2020.1017.
12. Imazio M, Demichelis B, Parrini I, Giuggia M, Cecchi E, Gaschino G, et al. Day-hospital treatment of acute pericarditis: a management program for outpatient therapy. J Am Coll Cardiol. 2004 Mar 17;43(6):1042-6. DOI 10.1016/j.jacc.2003.09.055.
13. Adler Y, Charron P, Imazio M, Badano L, Barón-Esquivias G, Bogaert J, et al. 2015 ESC Guidelines for the diagnosis and management of pericardial diseases: The Task Force for the Diagnosis and Management of Pericardial Diseases of the European Society of Cardiology (ESC)Endorsed by: The European Association for Cardio-Thoracic Surgery (EACTS). Eur Heart J. 2015 Nov 7;36(42):2921-2964. DOI 10.1093/eurheartj/ehv318.
14. Ariyarajah V, Spodick DH. Acute pericarditis: diagnostic cues and common electrocardiographic manifestations. Cardiol Rev. 2007 Jan-Feb;15(1):24-30. DOI 10.1097/01.crd.0000210645.89717.34.
15. Chiabrando JG, Bonaventura A, Vecchié A, Wohlford GF, Mauro AG, Jordan JH, et al. Management of Acute and Recurrent Pericarditis: JACC State-of-the-Art Review. J Am Coll Cardiol. 2020 Jan 7;75(1):76-92. DOI 10.1016/j.jacc.2019.11.021.
16. Lund LC, Kristensen KB, Reilev M, Christensen S, Thomsen RW, et al. Adverse outcomes and mortality in users of non-steroidal anti-inflammatory drugs who tested positive for SARS-CoV-2: A Danish nationwide cohort study. PLoS Med. 2020 Sep 8;17(9):e1003308. DOI 10.1371/journal.pmed.1003308.
17. Reyes AZ, Hu KA, Teperman J, Wampler Muskardin TL, Tardif JC, Shah B, Pillinger MH. Anti-inflammatory therapy for COVID-19 infection: the case for colchicine. Ann Rheum Dis. 2021 May;80(5):550-557.DOI 10.1136/annrheumdis-2020-219174.
18. Tardif JC, Bouabdallaoui N, L’Allier PL, Gaudet D, Shah B, Pillinger MH. Colchicine for community-treated patients with COVID-19 (COLCORONA): a pase 3, randomised, double-blinded, adaptive, placebocontrolled, multicentre trial. Lancet Respir Med. 2021 May 27:S2213-2600(21)00222-8. DOI 10.1016/S2213-2600(21)00222-8.
Notas
Notas de autor
*Correspondencia: Jhon Edwar García-Rueda; edwartel@gmail.com
Declaración de intereses