Reporte de caso
Angiosarcoma óseo en el humero de un paciente pediátrico, un reto diagnóstico: reporte de caso*
Bone angiosarcoma in the humerus of a pediatric patient, a whole diagnostic challenge: Case report
Angiosarcoma óseo en el humero de un paciente pediátrico, un reto diagnóstico: reporte de caso*
Iatreia, vol. 35, núm. 2, pp. 193-199, 2022
Universidad de Antioquia
Recepción: 23 Julio 2020
Aprobación: 19 Octubre 2020
Resumen: El angiosarcoma óseo es una neoplasia maligna rara, agresiva y de mal pronóstico, que es inusual en niños. Esta entidad afecta preferentemente a los huesos tubulares y se puede presentar como lesión solitaria o multicéntrica. Presentamos el caso de una niña de 7 años, sin antecedentes médico quirúrgicos, quien consultó al Instituto Nacional de Cancerología - Colombia, por presentar una lesión tumoral que comprometía la totalidad del húmero, destruyéndolo y deformando el brazo. Para orientar el diagnóstico de la lesión, se realizó un estudio histopatológico minucioso y marcadores de inmunohistoquímica, estos sugirieren una neoplasia vascular maligna. Por el extenso compromiso tumoral, la única opción terapéutica, fue la desarticulación escapulotorácica de la extremidad, seguida de manejo adyuvante con protocolo de quimioterapia. Durante los ciclos de quimioterapia, la paciente presentó lesiones metastásicas en pulmón, que fueron resecadas. En el momento, se encuentra sin lesiones tumorales y en seguimiento estricto.
Palabras clave: Hemangiosarcoma, Huesos, Niño.
Summary: Angiosarcoma of the bone is a rare, aggressive and poor-prognosis malignancy, that is unusual in children. This entity preferentially affects the tubular bones, and can present as a solitary or multicentric lesion. We present the case of a 7-year-old girl, without medical surgical history, who consulted to the National Cancer Institute - Colombia, for presenting a tumor lesion that compromised the entire humerus, destroying it and deforming the arm. To guide the diagnosis of the lesion, a detailed histopathological study and immunohistochemical markers were performed, which suggested a malignant vascular neoplasm. Due to the extensive tumor involvement, the only therapeutic option was scapulothoracic disarticulation of the limb, followed by adjuvant management with a chemotherapy protocol. During the chemotherapy cycles, the patient presented metastatic lesions in the lung, which were resected. At the moment, she is without tumor lesions and under close follow-up.
Keywords: Bone, Bones, Child, Hemangiosarcoma.
Introducción
El angiosarcoma óseo es una neoplasia vascular maligna agresiva y poco frecuente (1), con una frecuencia de 4 % dentro de todos los casos de angiosarcoma (2), que corresponde a menos del 1 % de los tumores malignos del hueso (3,4). Su edad de presentación tiene un amplio rango, pero con mayor frecuencia afecta a los adultos, con preferencia por el sexo masculino (5,6). El síntoma de presentación más común es la hinchazón en el sitio afectado, que se asocia a dolor y en ocasiones a fracturas patológicas (4,7).
Esta entidad se presenta clínicamente con lesiones solitarias o múltiples (30 % al 40 % de los casos) (2), que pueden afectar huesos contiguos o distantes (3). La distribución esquelética es amplia, pero los huesos tubulares son los principalmente afectados (1); especialmente el fémur, la tibia (2,5) y el húmero (6). Su comportamiento es agresivo, tiene una alta tasa de recurrencia (6) y la supervivencia a 5 años es menor del 31 % (1). En la mayoría de los casos, el tumor es primario del hueso sin conocerse su etiología (3); sin embargo, pueden estar asociados con infartos óseos, displasia fibrosa y radiación previa (8).
Los síntomas no son específicos y los hallazgos radiológicos no son patognomónicos, dado que muestran las características comunes de los tumores malignos, como destrucción ósea, márgenes mal definidos y afectación de los tejidos blandos circundantes (9). El diagnóstico definitivo solo se realiza mediante el estudio microscópico, pero la identificación histopatológica del angiosarcoma a veces es un desafío, porque puede confundirse con otros tumores (4,9). En el caso que se presenta, el diagnóstico definitivo requirió de la resección completa de la lesión, para el estudio histopatológico minucioso y la realización de marcadores de inmunohistoquímica.
Debido a la rareza del angiosarcoma óseo y a la escasez de datos, estos casos deben ser informados para ayudar a comprender esta enfermedad. Por lo tanto, posterior a la presentación del caso se mencionarán las características relevantes para un adecuado abordaje diagnóstico del angiosarcoma óseo.
Descripción del caso clínico
Paciente femenina de 7 años, natural de Venezuela, sin antecedentes médicos de importancia. Fue valorada en el Instituto Nacional de Cancerología - Colombia (INC), por un cuadro de 5 meses de evolución, consistente en aparición de deformidad fusiforme en el tercio medio del brazo izquierdo, que se presentó posterior a un trauma contundente en esta localización, al caerse desde su propia altura.
La Resonancia Magnética evidenció una lesión agresiva, expansiva y centrada en el húmero izquierdo que comprometía desde la metaepífisis proximal a la distal, con disrupción cortical y extensión hacia los tejidos blandos de los compartimentos anterior y posterior del brazo (Figura 1. A y B).

Se realizaron biopsias de la lesión para determinar la etiología tumoral, con las cuales se evidenció una neoplasia fusocelular, conformada por células pleomórficas positivas para CD34 y CD31 por inmunohistoquímica, con frecuentes figuras mitóticas siendo algunas atípicas y con formación de canales vasculares amplios, pero sin identificarse producción de osteoide. Con los hallazgos imagenológicos e histopatológicos, se plantearon dos diagnósticos: osteosarcoma telangiectásico y una lesión vascular maligna, siendo necesaria la resección completa de la tumoración para definir el diagnóstico.
En junta médico quirúrgica, los servicios de hemato-oncología pediátrica, ortopedia oncológica, radiología y patología, decidieron como única opción de tratamiento, el manejo ablativo con amputación transescapulotorácica del miembro superior izquierdo, con posterior manejo adyuvante. En el Laboratorio de Patología, se recibió el espécimen de la resección quirúrgica, el cual presentaba deformidad grave del brazo, observándose además una masa marrón violácea de 5 x 5 x 2 cm en la cara externa del mismo (Figura 1. C).
Al corte, había pérdida total de la anatomía, secundaria a la presencia de una masa predominantemente sólida, de 25 cm de diámetro, compuesta por tejido de aspecto carnoso y sanguinolento, con múltiples áreas necróticas (80 %) y un componente quístico tabicado (20 %) con sangre en su interior. El proceso destruyó y reemplazó por completo el húmero, siendo solo posible reconocer el cartílago correspondiente a la cabeza y los cóndilos humerales. Además, comprometía los tejidos blandos y focalmente la piel, con formación de la lesión descrita en la cara externa del brazo (Figura 1. D).
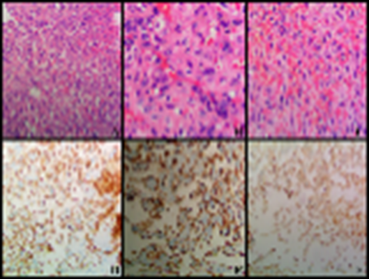
Microscópicamente, se observó una neoplasia maligna con patrón vasoformativo, compuesta por canales vasculares irregulares anastomosados y múltiples áreas de extravasación hemorrágica. La neoplasia destruía y atrapaba trabéculas óseas, sin evidenciarse producción de material osteoide. El tumor estaba compuesto por dos poblaciones celulares: la predominante, conformada por células de tamaño intermedio, marcado pleomorfismo y bordes mal definidos, algunas multinucleaciones y citoplasma eosinofílico o claro. El componente menor, correspondía a células fusocelulares con pleomorfismo leve a moderado, núcleos ovoides y citoplasma eosinofílico de bordes parcialmente definidos. Además, se observaron amplias áreas de necrosis y hemorragia, así como múltiples mitosis (Figura 2. A, B y C).
Se realizaron estudios de inmunohistoquímica, que evidenciaron inmunorreactividad en ambos componentes neoplásicos para CD31, CD34 y Factor VIII (Figura 2. D, E y F). Los marcadores D2-40, EMA y CKAE1/AE3 fueron negativos. Las características microscópicas junto con el inmunoperfil permitieron concluir que el caso en estudio era compatible con un angiosarcoma óseo.

Con el diagnóstico reportado por patología. Los servicios de hemato-oncología pediátrica y oncología pediátrica, consideraron iniciar protocolo de quimioterapia (6 ciclos) de acuerdo al estudio Angiotax del JCO 2008 con Paclitaxel y adicionaron al esquema doxorrubicina. Posterior al quinto ciclo de quimioterapia, luego de 9 meses de la resección quirúrgica, a la paciente le fueron detectados por tomografía axial de tórax, cinco nódulos pulmonares, localizados en el segmento superior y en el segmento basal lateral del lóbulo inferior derecho. El estudio histopatológico concluyó compromiso metastásico por angiosarcoma.
Posterior a la metastasectomía de las lesiones pulmonares, la paciente recibió el sexto ciclo del protocolo de quimioterapia y completó el esquema. En el momento, se encuentra en fase de seguimiento estricto, con realización de radiografía de tórax cada 2 meses y tomografía de tórax cada 4 meses, sin evidencia de nuevas lesiones metastásicas.
Discusión
En coincidencia con el presente caso, los sarcomas óseos pediátricos son tumores infrecuentes, con una incidencia de 2 a 8 casos por cada 1 000 000 niños entre los 0 a 14 años. La mayoría de estos tumores óseos corresponden a Osteosarcoma y Sarcoma de Ewing (10). Los angiosarcomas son extremadamente raros en la edad pediátrica, con casos reportados en neonatos y niños pequeños, la mayoría afectando la piel y los tejidos blandos superficiales; así como el hígado, el bazo y el pulmón, pero el compromiso óseo es muy infrecuente (11).
En el caso expuesto, por la edad de la paciente, la localización anatómica de la lesión y las características microscópicas observadas en las biopsias iniciales, se consideró como primera posibilidad diagnóstica un osteosarcoma telangiectático y remotamente un tumor vascular maligno. Sin considerarse entre las posibilidades diagnósticas iniciales un osteosarcoma convencional ni un Sarcoma de Ewing.
El osteosarcoma telangiectático es un tumor maligno formador de hueso, de presentación infrecuente y de predominio en la segunda década de la vida. Las características microscópicas consisten en espacios quísticos llenos de sangre divididos por septos de células sarcomatosas atípicas que no tienen revestimiento endotelial, por lo que las células tumorales están en contacto directo con las áreas hemorrágicas, además presenta áreas con producción de osteoide que pueden ser mínimas y focales (8).
La posibilidad diagnóstica de un osteosarcoma telangiectático se descartó, ya que no se observó producción de osteoide; además, el estudio complementario de inmunohistoquímica evidenció reactividad de las células que tapizan los canales vasculares para los marcadores endoteliales CD31, CD34 y Factor VIII, lo que corroboró la etiología vascular de la lesión y concluyó el diagnóstico de angiosarcoma óseo. A continuación, mencionaremos las características más relevantes para su diagnóstico.
Macroscópicamente, el angiosarcoma corresponde a una lesión de bordes irregulares, de consistencia friable, apariencia hemorrágica con áreas de necrosis. La lesión puede erosionar y destruir la corteza, e infiltrar los tejidos blandos (3), aspecto que pudimos confirmar.
El estudio histopatológico es fundamental para el diagnóstico de esta entidad (7). Los hallazgos microscópicos son variables y se caracterizan por células endoteliales atípicas a menudo de aspecto epitelioide (> 90 % de los casos) y menos frecuente de apariencia fusiforme. Los núcleos de las células tumorales son vesiculares con uno o varios nucleólos y el citoplasma es eosinofílico con vacuolas vacías o llenas de eritrocitos. Estas células neoplásicas se disponen en un patrón de crecimiento generalmente sólido (3), aunque en la mitad de los casos se puede identificar un patrón vasoformativo multicapa, con canales vasculares mal definidos anastomosados (2,5) en los que es posible visualizar gemación intraluminal de las células endoteliales (8). Además, la actividad mitótica de esta neoplasia es alta (2) y en ocasiones es posible observar células inflamatorias, específicamente eosinófilos (12).
Verbeke y colaboradores (13) identificaron tres parámetros histológico que se asocian con mal pronóstico: tres o más mitosis por 10 HPF, macronucleólos y menos de cinco eosinófilos por 10 HPF. De reportarse estos tres criterios, se reduce a 0 % la supervivencia a los 5 años del paciente.
La inmunohistoquímica juega un papel insustituible en el diagnóstico actual de esta entidad (7). El angiosarcoma óseo expresa marcadores de diferenciación endotelial como CD31, ERG, vWF, CD34 y FLI1 (13). De los anteriores, CD31 es considerado el más sensible (7,14), con reactividad en el 95 % al 100 % de los casos; otro marcador útil es ERG que está presente en el 96 %. Pero los otros marcadores endoteliales tienen una frecuencia de reactividad menor (13). Adicionalmente, los casos de angiosarcoma óseo con células de apariencia epitelioide también pueden presentar inmunoreactividad para CKAE1/AE3 (2).
Las áreas tumorales que exhiben características vasoformativas son las que generalmente muestran reactividad para los marcadores endoteliales, pero en las áreas menos diferenciadas la reactividad a los marcadores endoteliales puede ser muy focal o estar ausente (8). En algunos casos se puede encontrar reactividad para D2-40, lo que sugiere diferenciación linfangiogénica, característica que inicialmente fue asociada como indicador de comportamiento agresivo (2,13). Pero en 2015, se reportó que no hay correlación en la expresión de D2-40 con la supervivencia de los pacientes (15).
El angiosarcoma tiene una alta tendencia a la enfermedad multifocal metastásica. La diseminación es predominantemente hematógena, precoz y agresiva, siendo el pulmón el sitio más frecuente de angiosarcoma metastásico. Otros sitios frecuentes incluyen el hígado, los tejidos blandos y los ganglios linfáticos (4). En el caso comentado, la paciente al momento del diagnóstico no presentaba compromiso metastásico, pero 9 meses posterior a la resección quirúrgica y luego de 5 ciclos de quimioterapia, presentó nodulaciones metastásicas en pulmón derecho detectadas en una tomografía axial computarizada de tórax.
Teniendo en cuenta la variabilidad de los hallazgos microscópicos de esta entidad, recomendamos para un adecuado abordaje diagnóstico correlacionar los datos clínicos del paciente, los hallazgos radiológicos, las características histopatológicas y el inmunoperfil de la lesión.
Conclusión
Este es el primer caso de angiosarcoma óseo primario en niños reportado en Colombia. Se trata de una neoplasia vascular maligna infrecuente de alto grado, que se presenta generalmente en adultos. El caso reportado, corresponde a una niña en quien, el diagnóstico requirió la correlación de las características clínicas, radiológicas e histopatológicas. Los angiosarcomas en niños, son de rara presentación, localizándose con mayor frecuencia en la piel y tejidos blandos, así como en el hígado, bazo y pulmón. En este artículo proporcionamos información útil de los hallazgos microscópicos y el inmunoperfil de la neoplasia, que contribuirán en el abordaje diagnóstico de esta entidad, dado que es necesario tenerla en cuenta en el diagnóstico diferencial de las lesiones óseas agresivas en niños.
Referencias
1. Bernstock JD, Shafaat O, Hardigan A, Fox BM, Moore LS, Chagoya G, et al. Angiosarcoma of the Temporal Bone: Case Report and Review of the Literature. World Neurosurg. 2019 Oct;130:351-7. DOI 10.1016/j.wneu.2019.07.107.
2. van IJzendoorn DGP, Bovée JVMG. Vascular Tumors of Bone: The Evolvement of a Classification Based on Molecular Developments. Surg Pathol Clin. 2017 Sep;10(3):621-35.
3. WHO Classification of Tumours Editorial Board. Soft Tissue and Bone Tumours. 5th. ed. Lyon (France): Lyon International Agency for Research on Cancer; 2020.
4. Gaballah AH, Jensen CT, Palmquist S, Pickhardt PJ, Duran A, Broering G, et al. Angiosarcoma: clinical and imaging features from head to toe. Br J Radiol. 2017 Jul;90(1075):20170039.
5. Wenger DE, Wold LE. Malignant vascular lesions of bone: radiologic and pathologic features. Skeletal Radiol. 2000;29(11):619-31. DOI 10.1007/s002560000261.
6. Akhavan Tafti M, Jafari N, Zare J, Jalal Jafari M. A Case of Bone Angiosarcoma. Iran J Pathol. 2016;11(5):465-8.
7. Wang J, Zhao M, Huang J, Ang L, Zheng L. Primary epithelioid angiosarcoma of right hip joint: A case report and literature review. Medicine (Baltimore). 2018 Apr;97(15):e0307-e0307. DOI 10.1097/MD.0000000000010307.
8. Czerniak B, Dorfman HD. Dorfman and Czerniak’s bone tumours. Philadelphia: Elsevier; 2016.
9. Pülhorn H, Elliot T, Clark J, Gonzalvo A. Case report: Angiosarcoma of the cervical spine. J Clin Neurosci. 2017 Nov;45:129-31. DOI 10.1016/j.jocn.2017.07.018.
10. Eilebrecht K. Pediatric bone and soft tissue sarcomas. Berlin: Springer; 2010.
11. PDQ Pediatric Treatment Editorial Board. Childhood Vascular Tumors Treatment (PDQ®): Patient Version. 2019 Aug 29. In: PDQ Cancer Information Summaries. Bethesda (MD): National Cancer Institute (US); 2002.
12. Dunlap JB, Magenis RE, Davis C, Himoe E, Mansoor A. Cytogenetic analysis of a primary bone angiosarcoma. Cancer Genet Cytogenet. 2009 Oct;194(1):1-3. DOI 10.1016/j.cancergencyto.2009.04.008.
13. Verbeke SLJ, Bertoni F, Bacchini P, Sciot R, Fletcher CDM, Kroon HM, et al. Distinct histological features characterize primary angiosarcoma of bone. Histopathology. 2011 Jan;58(2):254-64. DOI 10.1111/j.1365-2559.2011.03750.x.
14. Sakamoto A, Takahashi Y, Oda Y, Iwamoto Y. Aggressive clinical course of epithelioid angiosarcoma in the femur: a case report. World J Surg Oncol. 2014 Sep 11;12:281. DOI 10.1186/1477-7819-12-281.
15. Verbeke SLJ, de Jong D, Bertoni F, Sciot R, Antonescu CR, Szuhai K, et al. Array CGH analysis identifies two distinct subgroups of primary angiosarcoma of bone. Genes Chromosomes Cancer. 2015 Feb;54(2):72-81. DOI 10.1002/gcc.22219.
Notas
Notas de autor
*Correspondencia: Lucy Bravo-Luna; lucy.bravo@fvl.org.co
Declaración de intereses