Resumen: La dermatosis pustular subcórnea es una dermatosis infrecuente y poco conocida. El objetivo de este trabajo es describir la experiencia de los autores en el diagnóstico y tratamiento de un grupo de pacientes colombianos con esta enfermedad. Se presentan seis casos diagnosticados entre los años 2010 y 2021. Todos los afectados tenían lesiones de larga evolución (en promedio 5 años) y las zonas del cuerpo más afectadas fueron el tórax (83 %), las axilas (66 %) y el tercio proximal de las extremidades (50 %). Las lesiones semiológicas más comunes fueron las pústulas (83 %), las pápulas (83 %) y las placas eritematocostrosas con bordes circinados (50 %); las pústulas flácidas típicas solo se observaron en dos casos (33 %). En conclusión, el diagnóstico de la dermatosis pustular subcórnea requiere del reconocimiento de un amplio espectro de manifestaciones clínicas, así como una adecuada correlación clínico-patológica.
Palabras clave: Enfermedades cutáneas vesiculoampollosas, Enfermedad de Sneddon-Wilkinson, Dapsona.
Abstract: Subcorneal pustular dermatosis is a rare and little known dermatosis. The objective of this paper is to describe the experience of the authors in the diagnosis and treatment of a group of Colombian patients with this disease. Six cases are presented, diagnosed between 2010 and 2021. All of the patients had long-standing lesions (on average 5 years) and the most affected areas were the thorax (83%), the armpits (66%), and the proximal third of the extremities (50%). The most common lesions were pustules (83%), papules (83%), and erythematous-crusted plaques with circinated edges (50%); typical flaccid pustules were only observed in two cases (33%). In conclusion, the timely diagnosis of subcorneal pustular dermatosis requires recognition of a wide spectrum of clinical presentations, as well as adequate clinicopathological correlation.
Keywords: Dapsone, Sneddon-Wilkinson disease, Skin Diseases Vesiculobullous.
Reporte de caso
Dermatosis pustular subcórnea: experiencia de once años en un centro de referencia nacional. Reporte de casos
Subcorneal pustular dermatosis: Eleven years of experience in a national reference center.
Received: 28 July 2022
Accepted: 06 December 2022
La dermatosis pustular subcórnea (DPS), también conocida como enfermedad de Sneddon-Wilkinson es una erupción pustulosa estéril infrecuente (1) que hace parte de las dermatosis neutrofílicas (2-4). Afecta principalmente a las mujeres, en una proporción de 4:1 con respecto a los hombres. Se suele presentar entre la quinta y séptima décadas de vida (4-6), aunque también se han descrito casos en niños (3,5).
Se trata de una enfermedad crónica y recidivante, caracterizada por la aparición de pústulas flácidas que se diseminan rápidamente (4,6). La erupción es simétrica y se localiza principalmente en el tronco, las extremidades proximales, las superficies flexoras y las áreas intertriginosas (1-6). Es una enfermedad difícil de reconocer debido a su amplio espectro de diagnósticos diferenciales (2,4-6). A continuación, se describe la experiencia de los autores en el diagnóstico y tratamiento de seis pacientes colombianos con esta enfermedad.
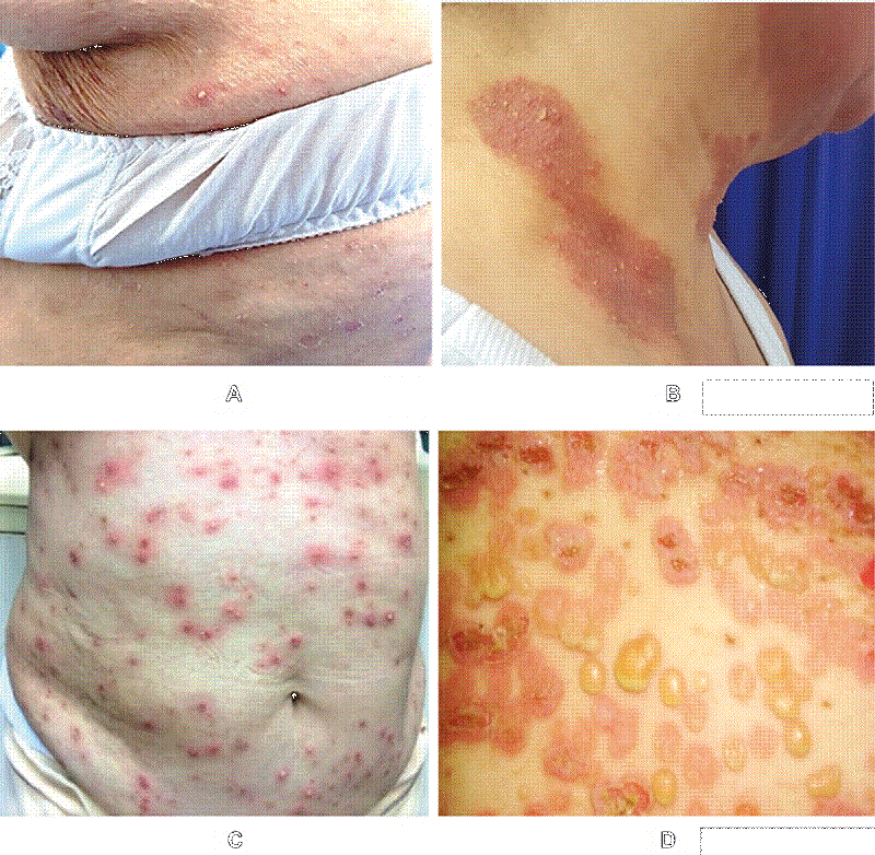
Se presenta una serie de casos de seis mujeres con DPS, con edades entre 45 y 82 años (Tabla 1), diagnosticadas en un centro dermatológico de referencia nacional entre el 2010 y el 2021. Las pacientes presentaban lesiones de larga evolución, en promedio de cinco años, con predominio de pústulas, pápulas y placas eritematocostrosas con bordes circinados, además de vesículas, ampollas, erosiones y costras (Figura 1). Las zonas más afectadas fueron el tórax, las áreas intertriginosas y el tercio proximal de las extremidades.



En dos casos se observaron las pústulas flácidas características de DPS, con material purulento en su base y contenido seroso en la parte superior (Figura 2). Todas las pacientes presentaron prurito, con excepción del caso número seis.

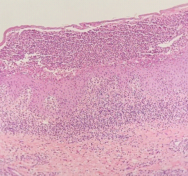
Todos los casos cumplieron los criterios clínicos descritos en la literatura (Tablas 2 y 3) y se analizó la correlación con los hallazgos identificados en la histopatología: acumulación subcorneal de neutrófilos en ausencia de espongiosis y acantólisis (Figura 3). Se realizó inmunofluorescencia directa (IFD) solo en el primer caso, con presencia de anticuerpos IgA e IgG positivos a nivel intercelular, C3 e IgM negativos (Tabla 1).

La clasificación de la DPS ha sido controversial desde su primera descripción. En 1956, Sneddon y Wilkinson la diferenciaron de la dermatitis herpetiforme y el pénfigo (1), y establecieron sus características clínicas e histológicas (Tabla 2).

Posteriormente, otros autores cuestionaron que la DPS fuera considerada una enfermedad independiente, y argumentaron que los hallazgos descritos por Sneddon y Wilkinson eran inespecíficos y se trataba de una variante de psoriasis pustulosa (7,8). En cuanto a la histopatología, en la psoriasis pustulosa es usual encontrar hiperplasia psoriasiforme, paraqueratosis y pústulas espongiformes (9), hallazgos no comunes en la DPS.
En la actualidad, la DPS se incluye dentro de las dermatosis neutrofílicas (2,3), aunque la literatura sobre el tema es limitada. Su incidencia es desconocida, con pocos casos reportados en Latinoamérica (9-11). Esta serie reúne todos los pacientes con diagnóstico confirmado de DPS en un centro de referencia en dermatología durante un periodo de 11 años.
El daño tisular que ocurre en la DPS es secundario a un proceso inflamatorio de origen incierto, derivado de la migración de neutrófilos hacia la parte superior de la epidermis (5). La hiperactivación de los neutrófilos bajo el estrato córneo es favorecida por niveles elevados de factores quimiotácticos, como interleucina (IL) 1β, IL-6, IL-8, IL-10, leucotrieno B4, complemento C5a, IgA y factor de necrosis tumoral alfa (TNF-α) (4,12). Es probable que las variaciones que se presentan en este perfil de mediadores proinflamatorios se relacionen con el espectro de manifestaciones clínicas, severidad y respuesta al tratamiento (13).
En cinco pacientes de la serie (83 %) se describieron pústulas, además de otras lesiones; sin embargo, solo en dos (33 %) se documentó la pústula hipopión. Estas pústulas pueden ser difíciles de identificar, pues su rápida y espontánea ruptura conduce a la formación de erosiones y placas escamocostrosas (4). El aspecto macroscópico de la pústula, con apariencia alargada o flácida (se compara con los nidos colgantes de las aves oropéndolas), explica el uso del término hipopión, que ocurre en algunas uveítis por acumulación de leucocitos y fibrina en la cámara anterior del ojo (14,15). Sin embargo, la enfermedad no se suele sospechar cuando predominan las erosiones o las placas escamocostrosas (ver Figura 2B).
En 1981, Pinkus definió seis criterios diagnósticos (16) que complementan la descripción original de Sneddon y Wilkinson (Tabla 3).

Teniendo en cuenta lo anterior, la sospecha clínica de DPS no debe partir exclusivamente de la presencia de una pústula hipopión. Cualquier erupción vésicopustulosa crónica en mujeres de mediana edad con afectación de zonas anatómicas características demanda una historia clínica completa, con el objetivo de obtener la información necesaria para el diagnóstico. La biopsia de piel, cuando se obtiene de una pústula reciente, favorece la precisión diagnóstica (9).
El diagnóstico de DPS se sospechó a partir de la experiencia de los dermatólogos que posteriormente examinaron a estos pacientes, o luego de la correlación histopatológica.
Los hallazgos histopatológicos fueron compatibles con DPS: pústulas subcórneas con acumulación de neutrófilos, en ausencia de acantólisis o espongiosis. También se observaron infiltrados dérmicos en cinco de las seis biopsias: en el caso cinco el infiltrado fue de predominio eosinofílico, en el caso seis fue de tipo linfocitario y en los demás fue de predominio neutrofílico.
En la paciente número uno se realizaron estudios de IFD, con presencia de inmunocomplejos IgA e IgG. La inmunofluorescencia usualmente es negativa en la DPS (17); sin embargo, se han descrito anticuerpos IgA en la parte superficial de la epidermis, que actúan contra la proteína desmogleína-1 (Dsg-1), hallazgo que hace parte de una variante del pénfigo por IgA, denominada tipo dermatosis pustular subcórnea (18,19).
La dapsona es el tratamiento de elección para la DPS (11,20,21). A todas las pacientes se les prescribió dapsona oral, con excepción del caso seis (Tabla 1); se observó mejoría en cuatro de ellas, con involución progresiva de lesiones y sin recurrencia después de tres meses. Solo una paciente no asistió a control y se desconoce su evolución. El mecanismo de acción de la dapsona en la DPS no está esclarecido. Se sabe que actúa inhibiendo la quimiotaxis de neutrófilos y la adherencia de polimorfonucleares al endotelio vascular (8,9). Aunque la respuesta al tratamiento suele ser rápida (entre 1 y 4 semanas), se recomienda continuar la terapia de mantenimiento (1).
La paciente de mayor edad (caso número seis) recibió tratamiento con corticoides tópicos y presentó mejoría total a los tres meses. La corticoterapia solo se recomienda en casos leves (4) y en combinación con dapsona y fototerapia (4,22), o cuando el paciente cursa, además, con otra dermatosis corticosensible (4,5). Otros tratamientos reportados en la literatura (23,24) con respuesta terapéutica variable se enumeran en la Tabla 4.

Aunque la DPS puede ocurrir en ausencia de cualquier trastorno subyacente, se ha descrito en asociación con enfermedades del tejido conectivo, enfermedad inflamatoria intestinal, disfunción tiroidea y hemopatías mieloides (24,25). Las gammapatías pueden ser el evento primario y anteceder a la DPS, ser simultáneas o aparecer tiempo después (3), como consecuencia del estímulo antigénico en la epidermis. Aunque todas las pacientes fueron estudiadas con diferentes pruebas de laboratorio, en dos de ellas se consideró realizar electroforesis de proteínas, reportadas sin pico monoclonal ni elevación policlonal de inmunoglobulinas.
La paciente con lesiones más extensas (caso número cinco) refirió astenia, mialgias, artralgias y cefalea; fue estudiada por medicina interna, reumatología y neurología, entre otras especialidades. El único hallazgo anormal fue la electromiografía de miembros superiores, que reportó una miopatía inflamatoria no clasificada. La paciente rechazó la biopsia muscular. Esta miopatía podría ser de origen autoinmune; sin embargo, tal asociación no ha sido reportada previamente en la literatura (26).
La experiencia adquirida durante 11 años en el diagnóstico y manejo de la DPS permitió recopilar información inédita sobre esta enfermedad, que complementa y actualiza la literatura existente. El reconocimiento de sus manifestaciones clínicas permite orientar oportunamente la sospecha diagnóstica y favorece una adecuada correlación clínico-patológica.
*Autor para correspondencia: Verónica Sánchez-González; verisago@hotmail.com







