Zoologia
Histopathological analysis of liver of the catfish Pimelodus maculatus in a tropical eutrophic reservoir from Southeastern Brazil
Histopathological analysis of liver of the catfish Pimelodus maculatus in a tropical eutrophic reservoir from Southeastern Brazil
Acta Scientiarum. Biological Sciences, vol. 41, 2019
Universidade Estadual de Maringá

Received: 19 December 2017
Accepted: 17 April 2018
Abstract: We described liver tissues of the long-whiskered catfish Pimelodus maculatus using histological techniques through structures stained with hematoxylin and eosin. A total of 21 adult individuals were collected using gill nets during the winter of 2012, in a eutrophic reservoir in Southeastern Brazil. The main aim was to characterize the tissues and eventual changes, since this organ has a notable sensitivity to changes in altered aquatic systems. The liver contains the exocrine pancreas (hepatopancreas) that have pancreatic cells arranged around a branch of the portal vein. The hepatocytes are diffuse and arranged in cords. Normal liver of P. maculatus have a continuous compact field of weakly eosinophilic, rounded hepatocytes with scattered islands of connective tissue that enclose the bile ducts and blood vessels. The organization of exocrine pancreatic tissues is similar to the acinar morphology of many teleosts. Histopathological alterations in liver were evaluated semi-quantitatively and based on the severity of the lesions. The alterations in each organ were classified in progressive stages of damage to the tissue. Six types of liver alterations were found: 1) cytoplasmic vacuolization; 2) congestion; 3) inflammatory infiltrated; 4) infiltration of adipocytes; 5) steatosis; 6) granuloma. Incidence of melano-macrophage centers were observed in the liver. However, we cannot directly associate such changes with the eutrophic conditions of the reservoir, because we have no available reference area to compare. These findings are a baseline contribution, which enables comparisons with similar fish species in other tropical aquatic systems in further studies.
Keywords: liver, freshwater fish, hepatic alterations, reservoirs.
Introduction
The liver is one of the most important organs of fish, because it plays a key role in the metabolic and biochemical processes associated with feeding ingestion or dealing with pollutants in the waters (Liebel, Tomotake, & Oliveira-Ribeiro, 2013; Ostaszewska, Chojnacki, Kamaszewski, & Sawosz-Chwalibóg, 2016). Several functions are attributed to the liver, such as the metabolism of proteins, lipids and carbohydrates, the storage and distribution of compound reserves, besides its fundamental role in xenobiotic biotransformation, detoxification and excretion (Brito et al., 2012). The liver is notable for its sensitivity to a great variety of environmental factors (Chavan, & Muley, 2014), being used for assessing fish diseases or as biomarker of aquatic contaminants (Liebel et al., 2013; Passantino et al., 2014). As widely accept in studies of biomarkers of environmental condition, organs such as liver and gills are the main target used to evaluate water quality, because their histopathological alteration can be associated to pollutants or other sources of water alterations (Marcon et al., 2016).
The growth in anthropogenic activities associated to industry and agriculture has increased pollution of aquatic ecosystems. This issue has raised concerns worldwide over the last decades. As fish are continuously exposed to chemicals in polluted waters, they could be used as biological markers of pollutants in aquatic systems (Milošković & Simić, 2015). In this sense, eutrophication is a potential environmental stressor, which alters the fundamental ecological processes that structure freshwater communities (Jacobson, Hansen, Bethke, & Cross, 2017). Disentangling the effects of these multiple stressors is required in order to fully understand the consequences eutrophication on freshwater ecosystems (Mantyka-Pringle, Martin, Moffatt, Linke, & Rhodes, 2014; Jacobson et al., 2017).
Histological studies are important for describing and comparing tissues in key organs, especially in those associated with changes in environmental conditions, such as the liver. The liver is regarded as the central organ of xenobiotic metabolism in fish, and alterations in this organ may be useful as biomarkers that indicate exposure to environmental stressors (Van Dyk, Cochrane, & Wagenaar, 2012; Dane & Sisman, 2017). Liver alterations are very useful tool to evaluate different levels of pollution, particularly those related to sub-lethal and chronic effects. Such alterations provide a rapid method for detecting effects of contaminants because the liver is a key organ for the initial detection of environmental changes (Brito et al., 2012; Paulino et al., 2014). In this sense, the melano-macrophage centers (MMC) are useful health biomarkers since they play an important role in defense and inflammatory responses, and they are responsible for the removal of foreign particles, dead cells and products of phagocytosis (Leknes, 2001; Steinel & Bolnick, 2017).
The first step to detect histological anomalies in the liver is the knowledge of the normal structure (without impairment), and the studies describing both normal and altered organs in order to assess the level of deleterious influence of the system on the individuals. Several anatomical and histochemical studies have been performed on livers of freshwater species from temperate areas. Among the species that have been studied in this subject, we can highlight the histology of the liver of the channel catfish Ictalurus punctatus (Rafinesque, 1818), the tigerfish Hydrocynus forskahlii (Cuvier, 1819), the trout Oncorhynchus mykiss (Walbaum, 1792), the goldfish Carassius auratus (Linnaeus 1758) and the Siberian sturgeon Acipenser baerii (Brandt, 1869) (Ostaszewska et al., 2016). However, information on liver tissues in tropical freshwater systems are scarce (e.g., Bombonato, Rochel, Vicentini, & Vicentini, 2007; Faccioli, Chedid, Bombonato, Vicentini, & Vicentini, 2014; Marcon, Bazzoli, Mounteer, & Benjamin, 2015). As most of Brazilian freshwater systems are undergoing increasing pollution, especially eutrophication, there is a need for studies on this subject on eutrophic systems.
The Funil Reservoir blocks the middle reaches of the Paraíba do Sul River, one of the most used riverine systems in Brazil that is used for many purposes, among them, hydro-power generation, flow regulation and water supply. The Paraíba do Sul River (PSR) basin drains a major industrialized area in Brazil and suffers several impacts along its extension, with the heaviest alteration occurring in the middle reaches, where generalized pollution from organic and industrial effluents are carried into the river, therefore, decreasing water quality due to poorly planned sewage treatment of the nearby municipalities (Linde-Arias, Inácio, Novo, Albuquerque, & Moreira, 2008b). This reservoir receives waste disposal of many industries (metallurgical, steel, paper, rubber and chemical), agricultural activities and domestic sewage discharges (Linde-Arias, Inácio, De Albuquerque, Freire, & Moreira, 2008a). According to Branco, Rocha, Pinto, Gomara, and Filippo (2002), Funil Reservoir is increasingly developing eutrophic conditions due to anthropogenic influences. The area has gone through an accelerated increase in industrial activity and urbanization, with intensification of environmental problems (Lima, Ribeiro, Barbosa, & Rotunno-Filho, 2016). As about 80% of the sewage is untreated (Teixeira & Oliveira, 2014), the PSR receives a large portion of the sewage that exerts a large influence on river water quality. As a result, the Funil Reservoir has experienced large eutrophication in recent decades, resulting in frequent and intense cyanobacterial blooms (Branco et al., 2002; Rocha, Branco, Sampaio, Gomara, & Filippo, 2002; Rangel, Silva, Rosa, Roland, & Huszar, 2012; Pacheco et al., 2017). Despite this situation, the reservoir supports a rich fish community (Duarte, Bemquerer, & Araújo, 2015). Among the fish species, the long-whiskered catfish Pimelodus maculatus Lacepède, 1803, is one of the most abundant and widely distributed fish that are found not only in this reservoir, but also through the entire Paraiba do Sul River extent (Araújo, Pinto, & Teixeira, 2009). This species has been reported as an excellent sentinel species in biomonitoring programs, because it is widely distributed through all river basin, and due to its benthic behavior, it reflects better the pollutants that accumulate into the substratum.
This study aimed to characterize the histological structures of the liver of the long-whiskered catfish P. maculatus an abundant and widely distributed fish species in rivers and reservoirs of the Neotropical Region. We also try to find changes in these tissues that could serve as a baseline contribution, which enables comparisons with similar fish species in other tropical aquatic systems in further studies.
Material and methods
Study area
The Funil Reservoir (22°30ʹS, 44°45ʹW, altitude 440 m) is located in the middle reaches of the Paraíba do Sul River basin, in southeastern Brazil. The reservoir has a surface of 40 km2, mean depth of 22 m, maximum depth of 70 m, and total volume of 890 × 106 m3. It was built in 1969 and it is used for domestic and public drinking water source, irrigation, industrial self-supply systems, aquaculture and hydroelectric power generation. Hydraulic residence time varies between 10 and 50 days, dictated by seasonal variation in precipitation. There is little vegetation cover around the reservoir because of previous agricultural use for coffee plantation and pasture. Reforestation programs have been implemented by the power generation company that uses the reservoir waters and by other industries in the adjacent areas.
Fish handling procedure
Twenty-one specimens of P. maculatus were collected using gill nets in the 2012 winter. Their average size and body weight ranged from 11.2 to 29.5 cm of total length (TL) and 40.3 to 345.9 g of body weight (BW), respectively. Immediately after collection, all fish were anaesthetized in benzocaine hydrochloride (50 mg L-1), killed by immersion in water at 4°C, and dissected. The euthanasia procedure is in accordance with the ethical principles of animal handling, established by the Brazilian College of Animal Experimentation, considering the ethics, well-being and regulations regarding animal use in research. The livers were removed and a portion of each lobe was fixed in Bouin’s solution during 8 hours, being subsequently transferred to 70% ethanol. Afterwards, they were dehydrated and embedded in paraffin wax. Cross-sections, of 4–6 µm thick, were made in a rotary microtome (Leica RM 2135, Wetzlar, Germany), stained with hematoxylin and eosin, and mounted on glass slides for light microscopy scrutiny. The microphotography was taken with a Nikon Coolpix 4300 digital camera coupled to an Olympus (Tokyo, Japan) B941 microscope.
Histopathological procedures
The histological changes in the liver tissues were classified according to the system proposed by Haschey and Rousseaux (1996). From each fish, 10 sections of each tissue were examined by light microscope, and 20 fields per section of each tissue were observed. The presence of histological alterations for each organ was assessed semi quantitatively by the degree of tissue change (DTC), which is based on the severity of the lesions. The alterations were classified in progressive stages of damage to the tissue: stage I alterations, which do not alter the normal functioning of the tissue; stage II, more severe alteration that impairs the normal functioning of the tissue; and stage III, alterations that are very severe and cause irreparable damage. A value of DTC was calculated for each individual following the formula: DTC = (1 × SI) + (10 × SII) + (100 × SIII), where I, II, and III correspond to the number of alterations of stages I, II, and III, respectively, and S represents the sum of alterations in a given stage. The DTC value obtained was used to calculate the average index. DTC values ranging between 0 and 10 indicate the normal functioning of the organ; values between 11 and 20 indicate slight alterations, values between 21 and 50 indicate moderate changes in the organ, whereas values between 51 and 100 indicate severe lesions, and values above 100 indicate irreversible damage to the organ (Poleksic & Mitrovic-Tutundzic, 1994).
Results
Twenty-one individuals of P. maculatus were used, and among them, 13 presented alterations in the liver. The classification of the severity of histopathological changes observed were: Stage I: cytoplasmic vacuolation, inflammatory infiltrate, infiltration of adipocytes; Stage II: congestion and steatosis; Stage III: granuloma.
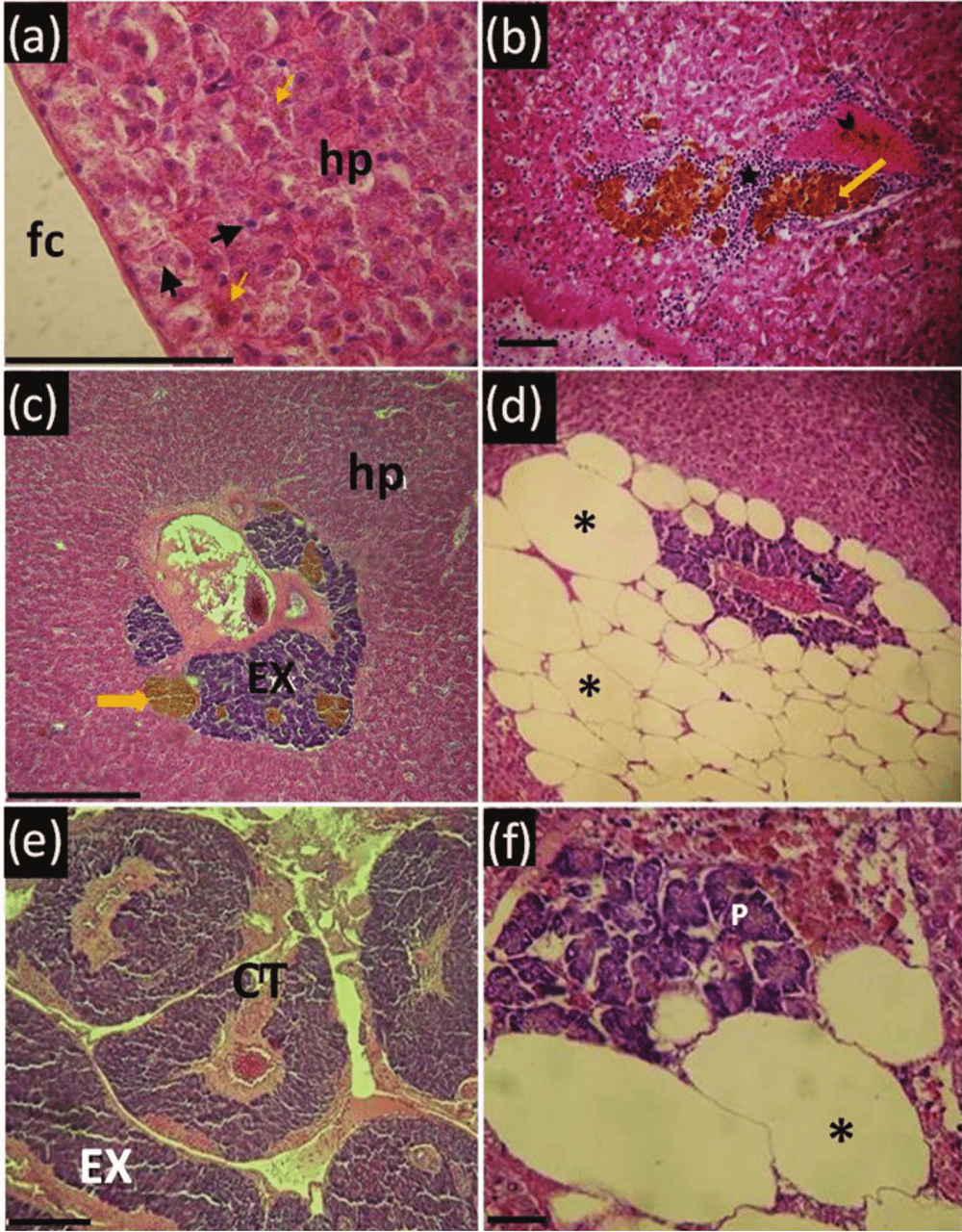
Six types of liver alterations were found: 1) cytoplasmic vacuolization; 2) congestion; 3) inflammatory infiltrated; 4) adipocytes infiltration; 5) steatosis; 6) cytoplasmic granules. Normal hepatic parenchyma of fish is shown in Figure 1 (a,c,e). Figure 2a exhibits well-defined hepatocytes, with polyhedral shape. The main alterations found in the liver were cytoplasmic vacuolization (Figure 1b), congestion (Figure 1d and Figure 2b), inflammatory infiltrated (Figure 1f, g, and Figure 2b), infiltration of adipocytes in the pancreas (Figure 2d, f), steatosis (Figure 1d, g), and granuloma (Figure 1b). The majority of the alterations found in the liver were stages I and II, i.e., the tissue varied from slightly to moderately damaged.
Overall, the histopathological changes found in the liver included irregular arrangements of hepatocytes. The hepatic steatosis was characterized by the presence of clear, rounded cytoplasmic vacuoles, with hepatocytes of increased volume and dislocated nuclei. Several MMC of different sizes containing pigments such as melanin and hemosiderin were observed associated to perivascular inflammatory infiltrate. Diffuse hepatodistrophy characterized mainly by congestion, cytoplasmic vacuolization and granulomatous process (Figure 2d) were observed. We also observed intrahepatic segments surrounded by adipocytes infiltration, and pancreocytes with vacuoles in their interior.


Discussion
Histological analysis of P. maculatus liver parenchyma revealed that this species has the general pattern of teleosts, with a thin connective tissue capsule and a simple columnar epithelium. It was not always possible to distinguish the hexagonal subdivisions, which are characteristics of the hepatic lobules. However, we observed a radial arrangement of hepatocyte cords, a classic organization of liver lobules.
The liver of P. maculatus have a continuous compact field of weakly eosinophilic, rounded hepatocytes with scattered islands of connective tissue that enclose the bile ducts and blood vessels. These findings differed from those of Bodammer and Murchelano (1990) for Pseudopleuronectes americanus (Walbaum, 1792) and of Pack et al. (1996) for Brachydanio rerio (Hamilton, 1822), that reported a continuous compact field of the eosinophilic polygonal hepatocytes.
In our investigation, the hepatopancreas was found for P. maculatus, being distinguished from the hepatic parenchyma by a thin layer of connective tissue. However, pancreatic tissue inside the liver is not present in all kinds of fish (Petcoff, Diaz, Escalante, & Goldenberg, 2006; El-Bakary & El-Gammal, 2010). The exocrine pancreatic tissue is formed around the portal vein, and during ontogenesis it penetrates deeply into the liver parenchyma (Vicentini et al., 2005), while its proportion depends on the species of fish (Gonzalez, Crespo, & Brusle, 1993). Both diffuse and compact pancreas have been reported elsewhere for different fish species, as the cases of Chalcalburnus tarichi (Güldenstädt, 1814) (Ünal, Çetinkaya, Kankaya, & Elp, 2001) and Ctenopharyngodon idella (Valenciennes, 1844) (Mokhtar, 2015). Moreover, Eastman and Devries (1997) stated that the notothenioid fish lack intrahepatic pancreas.
Melano-macrophage centers are distinctive groupings of pigment-containing cells normally located in the stroma of the haemopoietic tissue of the kidney (Agius & Roberts, 2003; Steinel & Bolnick, 2017). In some fish, they are also found in the liver (Passantino et al., 2014; Sayed & Younes, 2017), as the case of P. maculatus. They may also develop in association with chronic inflammatory lesions elsewhere in the body and during ovarian atresia. In higher teleosts, they often exist as complex discrete centers, containing lymphocytes and macrophages, and may be primitive analogues of the germinal centers of lymph nodes. The melano-macrophage centers (MMCs) or macrophage aggregates enclosed the absorbing region (artery/vein) and excretion (bile region) of the liver, and it is associated with metabolism of toxic compounds (Diaz, Garcia, & Goldemberg, 2005; Passantino et al., 2014; Steinel & Bolnick, 2017). In the present study, we found MMCs in both absorbing and excretion regions of the liver. According to Agius and Roberts (2003), MMCs play an important role in the sequestration of the products of cellular degradation and in potentially toxic tissue materials, such as free radicals and catabolic breakdown products. High occurrence of MMCs in the liver of P. maculatus was related to the toxicity at the more contaminated sites in a tropical reservoir (Paulino et al., 2014). Furthermore, large liver areas exhibiting disorganization of the tubular cord-like structure, large melanomacrophage aggregates close to the blood vessels, and sinusoid dilatation are considered as indicators of severe alteration in the environment (Brito et al., 2012; Sayed & Younes, 2017).
Liver is the main organ of metabolism that comes into contact with xenobiotics absorbed from the aquatic environment, also, liver lesions are often associated with exposure to aquatic pollutants (Fernandes, Fontainhas-Fernandes, Rocha, & Salgado 2008; Sayed & Younes, 2017). Morphological modifications, such as the vacuolization of the hepatocytes, glycogen depletion, inflammations, changes in the shape of the sinusoid vessels, and neoplasms may be interpreted as a response to environmental stress or a pathological process caused by infections or parasites (Köhler, Deisemann, & Lauritzen, 1992; Teh, Adams, & Hinton, 1997). Cytoplasmic vacuolization was the most frequent hepatocyte change and it can be a signal of degenerative processes involving metabolic damage (Pacheco & Santos, 2002). Inflammatory responses have been associated to leukocyte infiltration activation and clustering (Brito et al., 2012). Histopathological analysis of liver fragments examined showed some types of changes. Pimelodus maculatus showed steatosis and vacuolization, indicating a mobilization of glycogen and fat. This type of lipid deposition is a pathological process that can be used as an indicator of hepatic disturbances in the fat metabolism (Ghittino, 1978; Ferramosca & Zara, 2014). Spisni, Tugnoli, Ponticelli, Mordenti, & Tomasi (1998) described steatosis as a liver alteration due to an excessive dietary intake of lipid, which saturates the physiological capability of the liver. Similar hepatic lipid deposition due to the excessive caloric intake has been described for other vertebrates such as poultry, which indicates a pathological situation (Stake, Fredrickson, & Bourdeau, 1980).
Steatosis and congestion found in this species may be related to poisoning processes that are occurring in the Funil Reservoir. According to Cotran et al. (2005), the extent and severity of damage depends on the type, time, severity of aggression and physiological state of cell involved. Congestive hepatopathy is a liver dysfunction due to venous congestion, usually as a result of dysfunction of the heart, which is also known as congestive heart failure. The fish liver is especially liable to chemical products thanks to the slow blood flow in relation to the cardiac output. Campos, Moraes, and Moraes (2008) observed steatosis in fish maintained in contaminated environments, although Santos, Ranzani-Paiva, Felizardo, and Rodrigues (2004), and Camargo & Martinez (2007) found no lesions whatsoever, even in polluted environments. Therefore, it is very difficult to establish relations among this condition and toxic substances in water.
The hepatocytes have only small lipids droplets that tend to increase in diseased specimens due to adipocytes infiltration, and this change was common in P. maculatus, that had large and numerous lipids droplets. These changes are common in the carnivorous species such as Dissostichus mawsoni Norman, 1937 (Eastman & DeVries, 1981), Salmo truta Linnaeus, 1758 (Rocha, Monteiro, & Pereira, 1994), and Anguilla anguilla (Linnaeus, 1758) (Rodríguez, Gisbert, Rodríguez, & Castelló-Orvay, 2005). Conversely, a few and small lipid droplets are found in herbivorous species such as Labeo niloticus Linnaeus, 1758 (Weis, 1972), and B. rerio and Gambusia affinis (Baird & Girard, 1853) (Giari, Simoni, Manera, & Dezfuli, 2008).
These histopathological hepatic observations suggest that P. maculatus are suffering from exposure to sub lethal concentrations of many pollutants discharged into Funil Reservoir. This reservoir has poor water quality and it receives large amounts of phosphorus during the inflow increases of the Paraiba do Sul River. Chlorophyll (mean = 9.23 µg L-1 ± 18.6 sd), pH (7.1 ± 0.8) and total phosphorus (0.07 mg L-1 ± 0.06), in several cases, were recorded above the recommended Brazilian guidelines in this reservoir (Branco et al., 2002). Liver alterations, such as those observed in this study, could result in severe physiological problems and provide reliable information on stress to a broad range of environmental pollutants. However, we cannot associate such changes with the eutrophic conditions of the reservoir, because we have no available reference areas to compare. These findings are baseline contributions that enable comparisons with similar species in other tropical aquatic systems in further studies.
Conclusion
The liver has a parenchyma, which is divided into irregular lobules that contain the exocrine pancreas (hepatopancreas), with pancreatic cells arranged around a branch of the portal vein. The hepatocytes are diffuse and arranged in cords. The organization of exocrine pancreatic tissues is similar to the acinar morphology of many teleosts. Six types of liver alterations were found: 1) cytoplasmic vacuolization; 2) congestion; 3) inflammatory infiltrated; 4) infiltration of adipocytes; 5) steatosis; 6) cytoplasmic granules. The majority of the alterations found in the liver were stages I and II, i.e., the tissue varied between slightly to moderately damaged. The incidence of melano-macrophage centers was also observed, suggesting an immune response to contaminants. However, we cannot associate directly such changes with the eutrophic conditions of the reservoir, because we have no available reference area to compare. These findings are a baseline contribution that enables comparisons with similar fish species in other tropical aquatic systems in further studies.
Acknowledgements
We thank Nathália das Neves Cardoso from the Laboratory of Histological Techniques, Universidade Federal Rural do Rio de Janeiro, for helping in field and laboratory work. We especially thank Dr. Rinaldo Rocha for encouragement and support with the research. CNPq (Conselho Nacional de Desenvolvimento Científico e Tecnológico) and the Rio de Janeiro Carlos Chagas Filho Research Support Agency also supplied financial support (Process E-26⁄112.118⁄2008 and E-26⁄102.704⁄08). This research was conducted under SISBIO Collection of Species Permit number 10707 issued by ICMBio, Instituto Chico Mendes de Conservação da Biodiversidade.
References
Agius, C., & Roberts, R. J. (2003). Melano-macrophage centres and their role in fish pathology. Journal of Fish Diseases, 26(9), 499-509. doi: 10.1046/j.1365-2761.2003.00485.x
Araújo, F. G., Pinto, B. C. T., & Teixeira, T. P. (2009). Longitudinal patterns of fish assemblages in a large tropical river in southeastern Brazil: evaluating environmental influences and some concepts in river ecology. Hydrobiologia, 618(1), 89-107. doi: 10.1007/s10750-008-9551-5
Bodammer, J. E., & Murchelano, R. A. (1990). Cytological study of vacuolated cells and other aberrant hepatocytes in winter flounder from Boston Harbor. Cancer Research, 50(20), 6744-6756. PMID: 2208138
Bombonato, M. T. S., Rochel, S. S., Vicentini, C. A., & Vicentini, I. B. F. (2007). Estudo morfológico do tecido hepático de Leporinus macrocephalus. Acta Scientiarium Biological Sciences, 29(1), 81-85. doi: 10.4025/actascibiolsci.v29i1.157
Branco, C. W. C., Rocha, M. I. A., Pinto, G. F. S., Gomara, G. A., & Filippo, R. (2002). Limnological features of Funil Reservoir (RJ, Brazil) and indicator properties of rotifers and cladocerans of the zooplankton community. Lakes & Reservoirs: Research and Management, 7(2), 87-92. doi: 10.1046/j.1440-169X. 2002.00177.x
Brito, I. A., Freire, C. A., Yamamoto, F. Y., Assis, H. C. S., Souza-Bastos, L. R., Cestari, M. M., … Ribeiro, C.A.O. (2012). Monitoring water quality in reservoirs for human supply through multi-biomarker evaluation in tropical fish. Journal of Environmental Monitoring, 14(2), 615-625. doi: 10.1039/c2em10461j
Camargo, M. M. P., & Martinez, C. B. R. (2007). Histopathology of gills, kidney and liver of a Neotropical fish caged in an urban stream. Neotropical Ichthyology, 5(3), 327-336. doi: 10.1590/s1679-62252007000300013
Campos, C. M, Moraes, J. R. E., & Moraes, F. R. (2008). Histopatologia de fígado, rim e baço de Piaractus mesopotamicus, Prochilodus lineatus e Pseudoplatystoma fasciatum parasitados por myxosporídios, capturados no Rio Aquidauana, Mato Grosso do Sul, Brasil. Revista Brasileira de Parasitologia Veterinária, 17(4), 200-205. doi: 10.1590/S1984-29612008000400006
Chavan, V. R., & Muley, D. V. (2014). Effect of heavy metals on liver and gill of fish Cirrhinus mrigala. International Journal of Current Microbiology and Applied Sciences, 3(5), 277-288.
Cotran, R. S, Kumar, V., Nelson, F., Fausto, N. S., Robbins, L., & Abbas, A. K. (2005). Pathologic basis of disease. Philadelphia, PA: Elsevier Saunders.
Dane, H., & Sisman, T. (2017). A histopathological study on the freshwater fish species chub (Squalius cephalus) in the Karasu River, Turkey. Turkish Journal of Zoology, 41(1), 1-11. doi:10.3906/zoo-1509-21
Diaz, A. O., Garcia, A. M., & Goldemberg, A. L. (2005). Glyconjugates in the branchial mucous cells of Cynoscion guatucupa (Cuvier 1830) (Pisces: Sciaenidae). Scientia Marina, 69(4), 545-553. Retrieved from http://scimar.icm.csic.es/scimar/pdf/69/sm69n4545.pdf
Duarte, S, Bemquerer, M., & Araújo, F.G. (2015). Enzymatic activity in the gastrointestinal tract of Pimelodus maculatus (Teleostei, Siluriformes) in two Neotropical reservoirs with different trophic conditions. Brazilian Archives of Biology and Technology, 58(4), 605-612. doi: 10.1590/s1516-8913201500130
Eastman, J. T., & DeVries, A. L. (1981). Buoyancy adaptations in a swim- bladderless Antarctic fish. Journal of Morphology, 167(1), 91-102. doi: 10.1002/jmor.1051670108
Eastman, J. T., & DeVries, A. L. (1997). Biology and phenotypic plasticity of the Antarctic nototheniid fish Trematomus newnesi in McMurdo Sound. Antarctic Science, 9(1), 27-35. doi: 10.1017/S0954102097000047
El-Bakary, N. E. R., & El-Gammal, H. L. (2010). Comparative histological, histochemical and ultrastructural studies on the liver of flathead grey mullet (Mugil cephalus) and sea bream (Sparus aurata). Global Veterinaria, 4(6), 548-553.
Faccioli, C. K., Chedid, R. A., Bombonato, M. T. S., Vicentini, C. A., & Vicentini, I. B. F. (2014). Morphology and histochemistry of the liver of carnivorous fish Hemisorubim platyrhynchos. International Journal of Morphology, 32(2), 715-720. doi: 10.4067/S0717-95022014000200055
Fernandes, C., Fontainhas-Fernandes, A., Rocha, E., & Salgado, M. A. (2008). Monitoring pollution in Esmoriz-Paramos lagoon, Portugal: Liver histological and biochemical effects in Liza saliens. Environmental Monitoring and Assessment, 145(1-3), 315-322. doi: 10.1007/s10661-007-0041-4
Ferramosca, A., & Zara, V. (2014). Modulation of hepatic steatosis by dietary fatty acids. (2014) World Journal of Gastroenterology, 20(7), 1746-1755. doi: 10.3748/wjg.v20.i7.1746
Ghittino, P., (1978). L’ascite della cieca (Anguilla anguilla) d’allevamento da degenerazione lipoidea epatica. Rivista Italiana di Piscicoltura e Ittiopatologia, 13(1), 97-100.
Giari, L., Simoni, E., Manera, M., & Dezfuli, B. S. (2008). Histo-cytological responses of Dicentrarchus labrax (L.) following mercury exposure. Ecotoxicology and Environmental Safety, 70(3), 400-410. doi: 10.1016/j.ecoenv.2007.08.013
Gonzalez, G., Crespo, S., & Brusle, J. (1993). Histo-cytological study of the liver of the cabrilla sea bass, Serranus cabrilla (Teleostei, Serranidae), an available model for marine fish experimental studies. Journal of Fish Biology 43(3), 363-373. doi: 10.1111/j.1095-8649.1993.tb00571.x
Haschey, W. M., & Rousseaux, C. G. (1996). Handbook of toxicology pathology. London, UK: Academic Press.
Jacobson, P. C., Hansen, G. J. A., Bethke, B. J., & Cross, T. K. (2017). Disentangling the effects of a century of eutrophication and climate warming on freshwater lake fish assemblages. PLoS ONE, 12(8), e0182667. doi: 10.1371/journal.pone.0182667
Köhler, A., Deisemann, H., & Lauritzen, B. (1992). Histological and cytochemical indices of toxic injury in the liver of the dab Limanda limanda. Marine Ecology Progress Series, 91(1/3), 141-153. doi: 10.3354/ meps091141
Leknes, I. L. (2001). The uptake of foreign ferritin by macrophages in the spleen, trunk kidney and liver of platy. Journal of Fish Biology, 59(5), 1412-1415. doi: 10.1111/j.1095-8649.2001.tb00203.x
Liebel, S., Tomotake, M. E. M., & Oliveira-Ribeiro, C. A. (2013). Fish histopathology as biomarker to evaluate water quality. Ecotoxicology and Environmental Contamination, 8(2), 9-15. doi: 10.5132/ eec.2013.02.002
Lima, R. N. S., Ribeiro, C. B. M., Barbosa, C. C. F., & Rotunno-Filho, O. C. (2016). Estudo da poluição pontual e difusa na bacia de contribuição do reservatório da usina hidrelétrica de Funil utilizando modelagem espacialmente distribuída em Sistema de Informação Geográfica. Engenharia Sanitária e Ambiental, 21(1), 139-150. doi: 10.1590/S1413-41520201600100127676
Linde-Arias, A. R., Inácio, A. F., De Albuquerque, C., Freire, M. M., & Moreira, J. C. (2008a). Biomarkers in an invasive fish species, Oreochromis niloticus, to assess the effects of pollution in a highly degraded Brazilian River. Science of the Total Environment, 399(1-3), 186-192. doi: 10.1016/j.scitotenv.2008.03.028
Linde-Arias, A. R., Inácio, A. F., Novo, L. A., De Albuquerque, C., & Moreira, J. C. (2008b). Multibiomarker approach in fish to assess the impact of pollution in a large Brazilian river, Paraiba do Sul. Environmental Pollution, 156(3), 974-979. doi: 10.1016/j.envpol.2008.05.006
Mantyka-Pringle, C. S., Martin, T. G., Moffatt, D. B., Linke, S., & Rhodes, J. R. (2014). Understanding and predicting the combined effects of climate change and land-use change on freshwater macroinvertebrates and fish. Journal of Applied Ecology, 51(3), 572-581. doi: 10.1111/1365-2664.12236
Marcon, L., Bazzoli, N., Mounteer, A. H., & Benjamin, L. A. (2015). Histological and histometric evaluation of the liver in Astyanax bimaculatus (Teleostei: Characidae), exposed to different concentrations of an organochlorine insecticide. The Anatomical Record, 298(10), 1754-1764. doi: 10.1002/ar.23196
Marcon, L., Lopes, D. S., Mounteer, A. H., Goulart, A. M. A., Leandro, M. V., & Benjamin, L. A. (2016). Pathological and histometric analysis of the gills of female Hyphessobrycon eques (Teleostei: Characidae) exposed to different concentrations of the insecticide Dimilins. Ecotoxicology and Environmental Safety, 131(1), 135-142. doi: 10.1016/j.ecoenv.2016.05.016
Milošković, A., & Simić, V. (2015). Arsenic and other trace elements in five edible fish species in relation to fish size and weight and potential health risks for human consumption. Polish Journal of Environmental Studies, 24(1), 199-206. doi: 10.15244/pjoes/24929
Mokhtar, D. M. (2015). Histological, histochemical and ultrastructural characterization of the pancreas of the grass carp (Ctenopharyngodon idella). European Journal of Anatomy, 19(2), 145-153. Retrieved from https://pdfs.semanticscholar.org/9f2f/08af284c9b6e827617ac8720ed1224252c0b.pdf?_ga=2.84589785.1995710405.1552570970-843377745.1552570970
Ostaszewska, T., Chojnacki, M., Kamaszewski, M., & Sawosz-Chwalibóg, E. (2016). Histopathological effects of silver and copper nanoparticles on the epidermis, gills, and liver of Siberian sturgeon. Environmental Science and Pollution Research, 23(2), 1621-1633. doi: 10.1007/s11356-015-5391-9
Pacheco, M., & Santos, M. A. (2002). Biotransformation, genotoxic and histopathological effects of environmental contaminants in European eel (Anguilla anguilla L.). Ecotoxicology and Environmental Safety, 53(3), 331-347. doi: 10.1016/S0147-6513(02)00017-9
Pacheco, F. S., Miranda, M., Pezzi, L. P., Assireu, A., Marinho, M. M., Malafaia, M., ... Ometto, J. P. (2017). Water quality longitudinal profile of the Paraíba do Sul River, Brazil during an extreme drought event. Limnology and Oceanography, 62(S1), S131-S146. doi: 10.1002/lno.10586
Pack, M., Solnica-Krezel, L., Malicki, J., Neuhauss, S. C. F., Schier, A. F., Stemple, D. L., … Fishman, M. C. (1996). Mutations affecting development of zebrafish digestive organs. Development, 123(1), 321-328. PMID: 9007252
Passantino, L., Santamaria, N., Zupa, R., Pousis, C., Garofalo, R., Cianciotta, A., ... Corriero, A. (2014). Liver melanomacrophage centres as indicators of Atlantic bluefin tuna, Thunnus thynnus L. well-being. Journal of Fish Disease, 37(3), 241-250. doi: 10.1111/jfd.12102
Paulino, M. G., Benze, T. P., Sadauskas-Henrique, H., Sakuragui, M. M., Fernandes, J. B., & Fernandes, M. N. (2014). The impact of organochlorines and metals on wild fish living in a tropical hydroelectric reservoir: bioaccumulation and histopathological biomarkers. Science of the Total Environment, 497-498(1), 293-306. doi: 10.1016/j.scitotenv.2014.07.122
Petcoff, G. M., Diaz, A. O., Escalante, A. H., & Goldenberg, A. L. (2006). Histology of the liver of Oligosarcus jenysii (Ostariophysi, Characidae) from Los Padres Lake, Argentina. Iheringia, Série Zoologia, 96(2), 205-208. doi: 10.1590/S0073-47212006000200010
Poleksic, V., & Mitrovic-Tutundzic, V. (1994). Fish gills as a monitor of sublethal and chronic effects of pollution. In R. Muller, & R. Lloyd (Eds.), Sublethal and chronic effects of pollutants on freshwater fish (p. 339-352). Oxford, UK: Fishing News Books.
Rangel, L. M., Silva, L. H. S., Rosa, P., Roland, F., & Huszar, V. L. M. (2012). Phytoplankton biomass is mainly controlled by hydrology and phosphorus concentrations in tropical hydroelectric reservoirs. Hydrobiologia, 693(1), 13-28. doi: 10.1007/s10750-012-1083-3
Rocha, E., Monteiro, R. A. F., & Pereira, C. (1994). The liver of the trout, Salmo trutta fario: a light and electron microscope study. Journal of Anatomy, 185(Pt 2), 241-249. PMID: 7961130
Rocha, M. I. A., Branco, C. W. C., Sampaio, G. F., Gomara, G. A., & Filippo, R. (2002). Spatial and temporal variation of limnological features, Microcystis aeruginosa and zooplankton in a eutrophic reservoir (Funil Reservoir, Rio de Janeiro). Acta Limnologica Brasiliensia, 14(3), 73-86.
Rodríguez A., Gisbert, E., Rodríguez, G., & Castelló-Orvay, F. (2005). Histopathological observations in European glass eels (Anguilla anguilla) reared under different diets and salinities. Aquaculture, 244(1-4), 203-214. doi: 10.1016/j.aquaculture.2004.09.039
Santos, A. A., Ranzani-Paiva, M. J. T., Felizardo, N. N., & Rodrigues, E. L. (2004). Análise histopatológica de fígado de Tilápia-do-Nilo, Oreochromis niloticus, criada em tanque-rede na represa de guarapiranga, São Paulo, SP, Brasil. Boletim do Instituto de Pesca, 30(2), 141-145.
Sayed, A. H., & Younes, H. A. M. (2017). Melano-macrophage centers in Clarias gariepinus as an immunological biomarker for toxicity of silver nanoparticles. The Journal of Microscopy and Ultrastructure, 5(2), 97-104. doi: 10.1016/j.jmau.2016.07.003
Spisni, E., Tugnoli, M., Ponticelli, A., Mordenti, T., & Tomasi, V. (1998). Hepatic steatosis in artificially fed marine teleosts. Journal of Fish Diseases, 21(3), 177-184. doi: 10.1046/j.1365-2761.1998.00089.x
Stake, P. E., Fredrickson, T. N., & Bourdeau, C. A. (1980). Induction of fatty liver-hemorrhagic syndrome in laying hens by exogenous beta-estradiol. Avian Diseases, 25(2), 410-422. doi: 10.2307/1589933
Steinel, N. C., & Bolnick, D. I. (2017). Melanomacrophage centers as a histological indicator of immune function in fish and other poikilotherms. Frontiers in Immunology, 8(1), 827. doi: 10.3389/fimmu.2017.00827
Teixeira, M. C. S., & Oliveira, V. P. S. (2014). Avaliação ambiental das águas pluviais na Baixada Campista: estudo de casos dos canais de drenagem e dos impactos da transposição no baixo curso do rio Paraíba do Sul. Boletim do Observatório Ambiental Alberto Ribeiro Lamego, 8(1), 63-74. doi: 10.5935/2177-4560.201 40005
Teh, S. J., Adams, S. M., & Hinton, D. E. (1997). Histopathologic biomarkers in feral freshwater fish populations exposed to different types of contaminant stress. Aquatic Toxicology, 37(1), 51-70. doi: 10.1016/S0166-445X(96)00808-9
Ünal, G, Çetinkaya, O., Kankaya, E., & Elp, M. (2001). Histological study of the organogenesis of the digestive system and swim bladder of the Chalcalburnus tarichi Pallas, 1811 (Cyprinidae). Turkish Journal of Zoology, 25(3), 217-228. Retrieved from http://dergipark.gov.tr/tbtkzoology/issue/12661/153790
Van Dyk, J. C., Cochrane, M. J., & Wagenaar, G. M. (2012). Liver histopathology of the sharptooth catfish Clarias gariepinus as a biomarker of aquatic pollution. Chemosphere, 87(4), 301-311. doi: 10.1016/j.Chemosphere.2011.12.002
Vicentini, C. A., Franceschini-Vicentini, I. B., Bombonato, M. T. S., Bertolucci, B., Lima, S. G., & Santos, A. S. (2005). Morphological study of the liver in the teleost Orechromis niloticus. International Journal of Morphology, 23(3), 211-216. doi: 10.4067/S0717-95022005000300003
Weis, P. (1972). Hepatic ultrastructure in two species of normal, fasted and gravid teleost fishes. American Journal of Anatomy, 133(3), 317-332. doi: 10.1002/aja.1001330306