Zoologia
Pressure-induced left ventricular hypertrophy in canine model of aortic stenosis using nylon tie
Pressure-induced left ventricular hypertrophy in canine model of aortic stenosis using nylon tie
Acta Scientiarum. Biological Sciences, vol. 42, 2020
Universidade Estadual de Maringá

Recepción: 25 Julio 2019
Aprobación: 08 Junio 2020
Abstract: The aim of this study was to develop an experimentally-induced canine model of left ventricular hypertrophy through banding of the ascending aorta using nylon ties. Seven clinically normal dogs free of cardiovascular disease were used. Nylon tie was used in banding the mid-ascending aorta. Clinical, radiographic and echocardiographic evaluations were done at 1.5, 3 and 6 months. Dogs were euthanized at 6 months for post mortem and histopathological evaluation. Clinically, dogs did not exhibit any signs of cardiovascular disease at 1.5 or 3 months, while at 6 months two dogs (28.6 %) exhibited mild weight loss, exercise intolerance and heart murmurs. Radiographic evaluation revealed significant increase in cardiac size only at 6 months based on measurement of the cardiothoracic area evaluation. Echocardiography revealed increased left ventricular wall thickness starting from 1.5 month, although this increase was statistically significant at 3 and 6 months (p > 0.05). Left ventricular hypertrophy was confirmed by post mortem examination. Histopathological sections of left ventricle in all dogs demonstrated myocyte hypertrophy and interstitial fibrosis. This model simulates the naturally occurring ventricular hypertrophy using a rapid and economic technique. Such models are required to understand pathogenesis of heart disease and to develop effective treatment strategy.
Keywords: Heart, aorta, left ventricle, dog, enlargement, model.
Introduction
Cardiovascular diseases constitute the first leading cause of death and morbidity worldwide (Zaragoza et al., 2011; Heron & Anderson, 2016;Van Dyke et al., 2018). Left ventricular hypertrophy usually results from an increased ventricular work load which is compensated by ventricular dilatation and/or hypertrophy, but this does not result in heart failure until the compensatory response fail to meet the metabolic demands of the body (Shenasa & Shenasa, 2017; Geske, Ommen, & Gersh, 2018). Initially, left ventricular hypertrophy is an adaptive mechanism to increase the muscle mass to normalize the wall stress to maintain the pump function of the heart (Selvetella, Hirsch, Notte, Tarone, & Lembo, 2004; Geske et al., 2018). Severe and long standing hypertrophy usually results in stress-induced ischemia and congestive heart failure (Shenasa & Shenasa, 2017). Left ventricular hypertrophy may be asymptomatic for many years before the development of congestive heart failure or unexpected sudden death (Lech, Dobrowolski, Klisiewicz, & Hoffman, 2017; Shenasa & Shenasa, 2017).
Animal models remain the best tool for understanding the mechanisms of cardiovascular disease in human. Several animal models have been developed to elucidate the mechanism responsible for the pathophysiological features of left ventricular hypertrophy in order to establish potential treatment strategies (Hess et al., 1984; Marano & Ferrari, 2007; Powers & Recchia, 2018).These models usually based on increasing the ventricular work out and induce left ventricular hypertrophy including rapid cardiac pacing, pressure overload, volume overload and valvular stenosis or insufficiencies (Hess et al., 1984; Marano & Ferrari, 2007; You et al., 2018).
Nylon cable ties have been used previously for many surgical procedures. These procedures includes but not limited to, repair of sternotomy wounds in human, repair of rib fractures in foals and ligation of rectum during transaction and spermatic cord during castration in dogs (Downs & Rodgerson, 2011; Grapow, Melly, Eckstein, & Reuthebuch, 2012; Höglund et al., 2014; Omer, 2018; Bi et al., 2020). In these studies, the use of nylon cable tie had resulted in shortened surgical time through its safe, rapid, easy to perform ligation procedures. The ligation of the cable tie provides a secure permanent ligation which resists pulling and displacement of the surrounding soft tissue (Downs & Rodgerson, 2011; Grapow, et al., 2012; Höglund et al., 2014; Omer, 2018;Bi et al., 2020).
The purpose of the present study was to develop and evaluate an easy applicable canine model of pressure induced left ventricular hypertrophy by aortic stenosis using nylon ties.
Material and methods
Animals and design
An experimental prospective study was done to induce a canine model of left ventricular hypertrophy through banding the ascending aorta using the commercially available “nylon cable ties” (Egyptian Patent n. 29110, 2018).
Seven adult 24-30 month (mean ± SD; 26 ± 2) mongrel dogs weighing approximately 20-25 kg (mean ± SD; 21.1 ± 2.4) were included in the study. All study procedures were approved by and in accordance to the Institutional Animal Care and Use ethical Committee of Faculty of Veterinary Medicine- Cairo University (Approval # VetCU06201519050).
Before enrollment in the study each dog was given a complete physical, cardiovascular, hematological, radiographic and echocardiographic examination to exclude the evidence of systemic and/or cardiovascular disease.
The heart size was evaluated using the cardiothoracic ratio (CTR) measurement based on the previously described method (Torad & Hassan, 2014). Transthoracic two-dimensional, M-mode and colored Doppler echocardiography was done for all dogs prior to surgery. The mean aortic root diameter (AoD) was measured from three cardiac cycles “c”. The aortic circumference (baseline aortic circumference) “r” was calculated using the following equation.
where: c = aortic circumference, r = aortic root diameter.
Anesthesia
Dogs were pre-medicated by Atropine sulphate (Atropine®, ADWIA Co., Egypt) subcutaneously 10-30 minutes before induction of anesthesia in a dose of 0.05 mg kg-1 body weight and tranquilized with xylazine HCL (Xylaject®, ADWIA Co., Egypt) 1mg kg-1 body weight =I.M. Sodium thiopental (Thiopental®, EPICO Co., Egypt) was used for anesthetic induction in a dose 20-25 mg kg-1 body weight I.V. via the cephalic catheter. Dogs were intubated and coupled to a ventilator. Anesthesia was maintained using Isoflurane inhalation with oxygen supplementation.
Surgical technique
In all dogs, a standardized left lateral thoracotomy at the level of the fourth intercostal space was done under complete aseptic precautions. The most cranial part of the heart was carefully exposed. A curved hemostat was then passed around the mid ascending aorta. A blunt dissection was done to clear the aorta from the surrounding tissue and a curved hemostat was passed around the aorta while keeping it in place. Care was taken to avoid injuring or collapsing the aorta during dissection. The jaws of the hemostat were then opened to grasp the end of the gas-sterilized “nylon cable tie”. The hemostat was then drawn holding the tip of the tie to pass under the aorta to enclose it. The tie was then closed around the mid ascending aorta in a non-constricting manner. Stenosis of the aorta was standardized to be 30 % of the baseline aortic circumference. The remaining free end of the tie was then cut as close as possible to avoid injuring the surrounding tissue. The ribs were approximated using the subcutaneous tissue and the skin were sutured using Vicryl (Vicryl®, Johnson and Johnson, Hungary) then the peumothorax was evacuated.
Animal evaluation
Dogs were monitored daily and examined weekly by clinical examination. Animals were evaluated at 1.5, 3 and 6 months post-induction by radiographic and echocardiographic examinations. Dogs were euthanized at the end of the study at 6 months for histopathological examination.
Clinical evaluation
Dogs were carefully evaluated during the study period for signs of congestive heart failure. Any dog shows a life threaten sign of congestive heart failure would be humanely euthanized using an over dosage of barbiturates for ethical considerations.
Radiographic examination
Using a standardized positioning, right lateral and ventro-dorsal thoracic radiographs were taken at inspiration prior to (0 time) and at 1.5, 3 and 6 months following induction of aortic stenosis. The radiographs were taken using of 70 - 80 kVp and 3 mAs with a focal film distance of 70 - 90 cm.
Echocardiographic examination
Trans-thoracic two dimensional and M-mode echocardiographic measurements were done prior to enrollment in the study (0 Time), and at 1.5, 3, 6 months following induction of aortic stenosis. Examination was done using a 4 MHz transducer coupled with Samsung Medison machine (Sonovet R3, Korea). The following measurements were recorded: left ventricular internal diameter in diastole (LVIDd), left ventricular internal diameter in systole (LVIDs), interventricularseptal thickening in diastole (IVSd), interventricularseptal thickening in systole (IVSs), left ventricular wall thickness in diastole (LVWd), and left ventricular wall thickness in systole (LVWs). The relative wall thickness (RWT), left ventricular mass (LVM) as well as the fractional shortening (FS) and the ejection fraction (EF) were calculated from the obtained measurements. The left atrial to the aortic root diameter (LA/Ao) ratio was also calculated. Doppler echocardiographic scan at the level of the aorta was done where the trans-stenosis gradient was recorded. All examinations and measurements were made by the leading edge technique following the criteria of the American Society of Echocardiography.
Euthanasia and histopathological examination
At the end of the 6 months, all dogs were euthanized using an over dosage of barbiturates. Gross pathologic examination of cardiac compartments and the aorta was done for all dogs immediately after euthanasia.Samples were collected from different levels of the left ventricles as well as the aorta at the level of the “nylon tie” and processed for histopathological examination. Samples were fixed with buffered formalin, processed routinely and stained with H&E for histopathological examination.
Statistical Analysis
Data were expressed as mean ± SD, all echocardiographic measurements and indices were compared through the time period using repeated measures analysis of variance (ANOVA). When statistically significant differences were detected, a post hoc Tukey’s multiple comparison test was used to locate the difference. Data were analyzed using SPSS software 21 (IPM SPSS Inc., Chicago, IL). Results were considered to be statistically significant if p < 0.05.
Results
Clinical evaluation
All dogs included in the study were survived till the end of the study at 6 months. Non-of the dogs showed any specific clinical signs of cardiovascular disease at 1.5 or 3 months post induction. At 6 months following aortic stenosis, two dogs (28.6 %) exhibited mild weight loss, exercise intolerance and thoracic auscultation revealed heart murmurs. The other five dogs still did not show any remarkable clinical signs till 6 months post-induction of aortic stenosis.
Radiographic examination
Thoracic radiographs obtained at 1.5 months after banding of the ascending aorta did not reveal a remarkable change in size of the heart while at 3 months following aortic banding a non-significant increase in the heart size based on cardiothoracic area measurement (CTR). At 6 months following induction of stenosis, there was a significant increase in the heart size based on CTR measurements (Table 1).
| CTR (%) | 0 Time | 1.5 Months | 3 Months | 6 Months |
| Lateral Radiographs | 25.3 ± 1.7 | 26.2 ± 2.1 | 27.1 ± 1.3 | 31.1 ± 1.2* |
| Ventro-dorsal radiographs | 29.2 ± 2.3 | 29.8 ± 2.2 | 31.4 ± 2.7 | 37.1 ± 1.3* |
Echocardiographic examination
Echocardiographic measurements demonstrated that the diameter of the ascending aorta was decreased approximately 27.1 ± 2.1 % following banding. An increase in the ventricular wall thickness was evident starting from 1.5 month following banding of the ascending aorta, although this increase was not statistically significant at 1.5 month compared to baseline measurements. Significant increase in ventricular wall thickness as measured by left ventricular wall thickness in diastole (LVWd), left ventricular wall thickness in systole (LVWs), interventricularseptal thickening in diastole (IVSd), interventricularseptal thickening in systole (IVSs), relative wall thickness (RWT) and left ventricular mass (LVM)was recorded at 3 months. This increase in ventricular wall thickness was still apparent at 6 months echocardiographic measurement and was also confirmed by the post-mortum examination (Figure 1).

The ejection fraction (EF) as a measure of left ventricular systolic function was also decreased at 3 months (37.3 ± 1.5) and 6 months (29.3±2.1) following aortic stenosis compared to their baseline values (54.9 ± 4.6 %). The fractional shortening (FS) was decreased significantly at 6 months post- induction of stenosis.
Echocardiographic measurements and indices during the study are presented in (Table 2).
| 0 Time | 1.5 Months | 3 Months | 6 Months | |
| LVIDd (mm) | 34.9 ± 2.1 | 35.6 ± 2.8 | 36.1 ± 2.3 | 35.5 ± 2.9 |
| LVIDs (mm) | 22.3 ± 0.7 | 24.2 ± 2.6 | 25.1 ± 3.2 | 25.3 ± 3.5 |
| LVFWd (mm) | 9.1 ± 0.7 | 10.1 ± 1.3 | 12.2 ± 1.0 * | 13.8 ± 1.5 * |
| LVFWs (mm) | 13.7 ± 1.1 | 14.1 ± 2.1 | 16.1 ± 1.6* | 17.1 ± 2.3* |
| IVSd (mm) | 10.2 ± 1.6 | 12.9 ± 2.0 | 13.2 ± 1.8* | 13.7 ± 2.0* |
| IVSs (mm) | 15.1 ± 0.6 | 15.9 ± 2.4 | 16.2 ± 1.2 | 17.2 ± 2.4* |
| FS (%) | 39.5 ± 7.8 | 38.1 ± 6.8 | 33.4 ± 4.1 | 28.2 ± 4.3 |
| EF (%) | 54.9 ± 4.6 | 48.6 ± 2.4 | 37.3 ± 1.5* | 29.3 ± 2.1* |
| RWT | 55.3 ± 3.8 | 64.6 ± 2.3 | 79.3 ± 4.2* | 85.2 ± 2.1* |
| Ao diameter (mm) | 23.9 ± 0.7 | 16.1 ± 1.0 | 15.9 ± 1.3 | 16.4 ± 0.5 |
| LA/Ao | 1.2 ± 0.2 | 1.7 ± 0.2 | 1.7 ± 0.2 | 1.7 ± 0.2 |
| LVM (gm) | 98.1 ± 5.6 | 113.2 ± 4.3 | 135.4 ± 3.7* | 139.2 ± 4.4* |
| Pressure gradient (mmHg) | 140.3 ± 20.1 | 200.1 ± 15.5 | 210.4 ± 10.7 | 218 ± 18.7 |
Macroscopic and histopathologic examination
Postmortem examination did not reveal any remarkable changes within the thoracic cavity. Examination of the cardiac silhouette revealed marked left ventricular thickness. Encapsulation of the nylon cable tie at the site of banding in ascending by a whitish tissue was recorded suggesting being a fibrous tissue foreign body reaction (Figure 2).

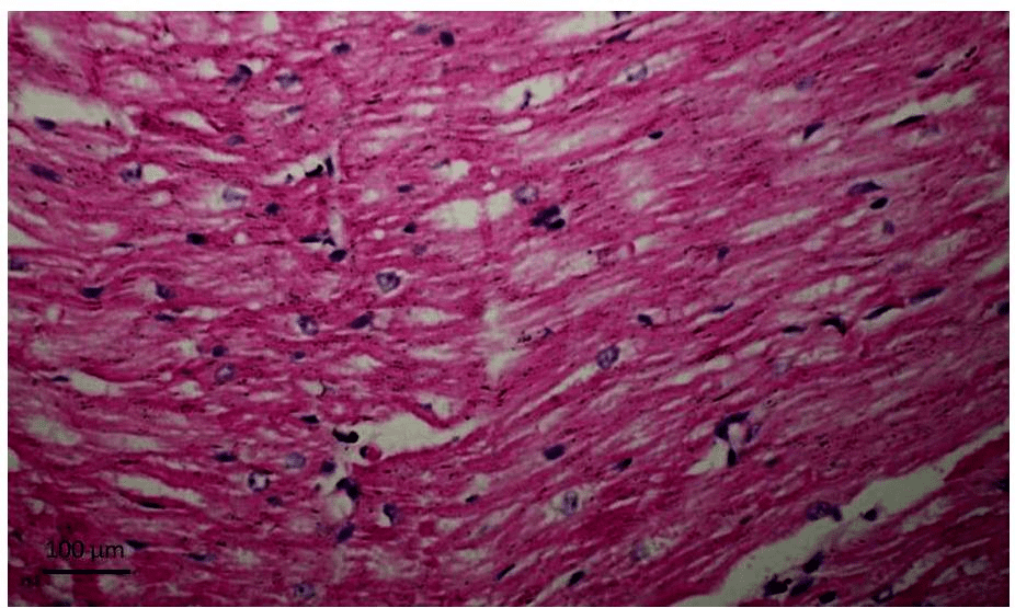
This reaction visualized microscopically by the accumulation of macrophage and lymphocyte with few multinucleated giant cells and fibrous connective tissue of the site of ligation. Examination of different sections of left ventricle in all dogs was consistent with the presence of myocyte hypertrophy with their characteristic large hyperchromatic nuclei. An increase in connective tissue deposition in the ground substance was visualized in sections obtained from different areas indicating the presence of interstitial fibrosis (Figure 3).

Discussion
The study presented a canine model of pressure induced left ventricular hypertrophy through aortic stenosis using commercially available nylontie.
The technique of banding the aorta by the nylon tie was quick with easy ligation procedures. The cable ties proved to be safe, rapid, practical, and flexible with a high mechanical strength and durability. Moreover, the nylon cable tie is economic and easy to be sterilized. All of these criteria highlight the usefulness of the nylon ties in the induced model of aortic banding.
Placement of the tie as a ring around the vessel narrows the diameter of the aorta creating a systolic overload leading to increasing the left ventricular afterload and work. Based on La Place’s law, the load on any surface (myocardium) is given as follows: (pressure * radius)/(2* wall thickness) thus an increase in pressure can be compensated by an increase in wall thickness (Lorell & Carabello, 2000; You et al., 2018). It has been reported that cardiac hypertrophy seems to be a complicated and dynamic process (Ou et al., 2010; You et al., 2018), it has been reported that expression of some cardiac genes and proteins may be included in the morphological abnormalities and ultrastructural changes recorded in cardiac hypertrophy (Lorell & Carabello, 2000; Bella & Göring, 2012).
The diagnosis of left ventricular hypertrophy depends predominately on the non-invasive imaging through echocardiographic examination. Echocardiography is the gold standard in diagnosing heart disease. In the present study, echocardiography was more sensitive than radiography in diagnosing early increase in the cardiac size. Data obtained from echocardiographic evaluation of dogs during the six month evaluation underlined the effectiveness of the induced model. The significant increase in left ventricular wall thickness and mass had indicated a compensated concentric left ventricular hypertrophy. However, the cardiac function did not change significantly till 6 months evaluation as indicated by the insignificant changes in fractional shortening. This observation may explain that most humans and dogs remain asymptomatic for ventricular hypertrophy before development of clinical signs of heart failure.
The increase in the ventricular muscle mass is a compensatory mechanism of the heart to face the hemodynamic overload (Geske et al., 2018). This increase in muscle mass is due to myocyte hypertrophy rather than hyperplasia as myocytes become terminally differentiated soon after birth (Lorell & Carabello, 2000).Myocyte hypertrophy is an adaptation to support the biomechanical load;this adaptation is also coordinated with an increased surrounding ground substances and connective tissue (Lorell & Carabello, 2000). The increased connective tissue is concise with collagen production and unbalanced collagen turnover (Hess et al., 1984; Bella & Göring, 2012). This increased collagen deposition should be differentiated from pathological collagen deposition which is characterized by both perivascular and interstitial fibrosis.
The present study highlighted the use of the dog as an animal model to simulate the naturally occurring ventricular hypertrophy using a rapid and economic technique. Such models are required to provide information regarding the progression and pathogenesis of heart disease which will aid in the development of effective treatment strategies (Powers & Recchia, 2018).
The aim of the treatment of left ventricular hypertrophy should be directed to early diagnosis of cardiac abnormalities through periodical echocardiographic scans, maintaining the normal cardiac function through medicinal therapy, physiotherapy and controlled exercise, and to prevent the progression of early increase in ventricular size leading to heart failure with the subsequent sudden death. Limitations of the present study include the absence of genetic, protein, cellular and molecular analysis of the myocardium to deepen our understanding of the disease mechanism.
Conclusion
The present study highlighted the use of the dog as an animal model to simulate the naturally occurring ventricular hypertrophy using a rapid and economic technique. Such models are required to provide information regarding the progression and pathogenesis of heart disease which will aid in the development of effective treatment strategies. Nylon cable tie provided a reliable, easy to apply, applicable and economic tool for banding the ascending aorta to induce left ventricular hypertrophy in dog model.
Acknowledgements
Authors would like to thank Dr. Mohammed S. Amer for his assistance during the study.
References
Bella, J. N., & Göring, H. H. (2012). Genetic epidemiology of left ventricular hypertrophy. American Journal of Cardiovascular Disease, 2(4), 267-278.
Bi, L., Deng, X., Meng, X., Yang, X., Wei, M., Wu, Q., …. Wang, Z. (2020). Ligating the rectum with cable tie facilitates rectum transection in laparoscopic anterior resection of rectal cancer. Langenbeck's Archives of Surgery, 405(2), 233–239. doi: 10.1007/s00423-020-01863-6
Downs, C., & Rodgerson, D. (2011). The use of nylon cable ties to repair rib fractures in neonatal foals. The Canadian Veterinary Journal, 52(3), 307-309
Elgohary, D. H., Shamaa, A. A., Hassan, E. A., Khalifa, T.F., Salem, M. M., & Aly, N. M. (2018). Egyptian Patent n. 29110. Arab Republic of Egypt.
Geske, J. B., Ommen, S. R., & Gersh, B. J. (2018). Hypertrophic cardiomyopathy: clinical update. JACC Heart Failure, 6(5), 364–375. doi: 10.1016/j.jchf.2018.02.010
Grapow, M. T. R., Melly, L. F., Eckstein, F. S., & Reuthebuch, O. T. (2012). A new cable-tie based sternal closure system: description of the device, technique of implantation and first clinical evaluation. Journal of Cardiothoracic Surgery, 7(59), 1-5. doi:10.1186/1749-8090-7-59
Heron, M., & Anderson, R. N. (2016). Changes in the leading cause of death: recent patterns in heart disease and cancer mortality. NCHS Data Brief, (254), 1-8.
Hess, O. M., Ritter, M., Schneider, J., Grimm, J., Turina, M., & Krayenbuehl, H. P. (1984). Diastolic stiffness and myocardial structure in aortic valve disease before and after valve replacement. Circulation, 69(5), 855-865. doi:10.1161/01.CIR.69.5.855
Höglund, O. V., Ingman, J., Södersten, F., Hansson, K., Borg, N., & Lagerstedt, A.-S. (2014). Ligation of the spermatic cord in dogs with a self-locking device of a resorbable polyglycolic based co-polymer-feasibility and long-term follow-up study. BMC Research Notes, 7(825), 1-8. doi:10.1186/1756-0500-7-825
Lech, A. K., Dobrowolski, P. P., Klisiewicz, A., & Hoffman, P. (2017). Exercise-induced changes in left ventricular global longitudinal strain in asymptomatic severe aortic stenosis. Kardiologia Polska, 75(2), 143–149. doi: 10.5603/KP.a2016.0131
Lorell, B. H., & Carabello, B. A. (2000). Left ventricular hypertrophy: pathogenesis, detection, and prognosis. Circulation, 102(4), 470-479. doi: 10.1161/01.cir.102.4.470
Marano, G., & Ferrari, A. U. (2007). Surgical animal model of ventricular hypertrophy. Methods in Molecular Medicine, 139, 95-104. doi: 10.1007/978-1-59745-571-8_5
Omer, S. (2018). Polymer cable tie closure of the sternum: is it an acceptable fix? The Journal of Thoracic and Cardiovascular Surgery, 156(4), 1611–1612. doi: 10.1016/j.jtcvs.2018.05.067
Ou, L., Li, W., Liu, Y., Zhang, Y., Jie, S., Kong, D., ... Ma, N. (2010). Animal models of cardiac disease and stem cell therapy. The Open Cardiovascular Medicine Journal, 4, 231-239. doi: 10.2174/1874192401004010231
Powers, J. C., & Recchia, F. (2018). Canine model of pacing-induced heart failure. Methods in Molecular Biology, 1816, 309-325. doi: 10.1007/978-1-4939-8597-5_24
Selvetella, G., Hirsch, E., Notte, A., Tarone, G., & Lembo, G. (2004). Adaptive and maladaptive hypertrophic pathways: points of convergence and divergence. Cardiovascular Research, 63(3), 373-380. doi:10.1016/j.cardiores.2004.04.031
Shenasa, M., & Shenasa, H. (2017). Hypertension, left ventricular hypertrophy, and sudden cardiac death. International Journal of Cardiology, 237, 60-63. doi: 10.1016/j.ijcard.2017.03.002
Torad, F. A., & Hassan, E. A. (2014). Two-dimensional cardiothoracic ratio for evaluation of cardiac size in German shepherd dogs. Journal of Veterinary Cardiology, 16(4), 237-244. doi:10.1016/j.jvc.2014.08.001
Van Dyke, M., Greer, S., Odom, E., Schieb, L., Vaughan, A., Kramer, M., & Casper, M. (2018). Heart disease death rates among blacks and whites aged < 35 years - United States, 1968-2015. Morbidity and Mortality Weekly Report MMWR, 67(5), 1-11. doi: 10.15585/mmwr.ss6705a1
You, J., Wu, J., Zhang, Q., Ye, Y., Wang, S., Huang, J., … Zou, Y. (2018). Differential cardiac hypertrophy and signaling pathways in pressure versus volume overload. American Journal of Physiology - Heart and Circulatory Physiology, 314(3), 552‐562. doi:10.1152/ajpheart.00212.2017
Zaragoza, C., Gomez-Guerrero, C., Martin-Ventura, J. L., Blanco-Colio, L., Lavin, B., Mallavia, B., …, Egido, J. (2011). Animal models of cardiovascular diseases. Animal Models of Human Pathology, 1-13. doi:10.1155/2011/497841
Notas de autor