Zoologia
Impact of atrazine and nitrate on liver and kidney of egyptian toad Sclerophrys regularis: bioindicator alarming on ecosystem
Impact of atrazine and nitrate on liver and kidney of egyptian toad Sclerophrys regularis: bioindicator alarming on ecosystem
Acta Scientiarum. Biological Sciences, vol. 44, e56386, 2022
Universidade Estadual de Maringá
Recepción: 28 Octubre 2020
Aprobación: 13 Octubre 2021
Abstract: Atrazine and nitrate have been shown to act as potent oxidative stressors in amphibians either alone or in combination under stable laboratory conditions, causing histopathological alternations in liver and kidney structures at the sub-lethal concentrations. A control group and three treatments groups were tested; atrazine, nitrate, atrazine-nitrate treatments with doses of 300 μg L-1, 200 mg L-1 and their combination respectively. Sever distortion in liver and kidney tissues were shown related to the different treatments. The most hepatic lesions were observed depletion in glycogen content, degeneration of hepatocytes, hemorrhage, necrosis, vasodilatation, congestion in blood vessels, cloudy swelling in the hepatocytes and aggregation of melanomacrophage cells in between the hepatocytes that increased in combination treatment group. In kidney, the most lesions were represented in degeneration of renal tubules, fibrosis, hemorrhage, leucocytes infiltration, thickness in the wall of the renal capsule, atrophy of glomerulus, deformation of Bowman’s epithelium. These negative impacts may be a bioindicator alarming the ecosystem disrupting caused by the uncontrolled apply of these chemicals in agriculture.
Keywords: atrazine, nitrate, tadpole, liver, kidney.
Introduction
Amphibians are important ecological components of both wet and dry lands (Bickford, Howard, Ng, & Sheridan, 2010). Among vertebrates they are distinctive in many ways and contribute in many ecosystem services, so they have an important ecological and human role. Amphibians, a unique group of vertebrates containing over 6,300 known species, are threatened worldwide AmphibiaWeb (2010) and the number of extinct and threatened species will probably continue to rise (Stuart et al., 2004). There is little evidence for a single factor causing this decline but multiple factors as increased ultraviolet radiation, fungal and bacterial epidemics, droughts, climate changes, habitat destruction and fragmentation, exotic species, heavy metals, acid rain, herbicides can act together to cause mortality or sub-lethal effects.
Atrazine, one of the most widely used herbicide in the world for control of pre and post-emergence broadleaf and grassy weeds in crops (Ramesh & Crissman, 2013), can be transported more than 1,000 km from the point of application via rainfall (Rybicki & Jungmann, 2018) even in remote areas where it is not used. Although nitrogen enters ecosystems from sewage effluents, industrial waste, atmospheric deposition and other sources, agricultural application of nitrogen-based fertilizers remains the major source of nitrates in the environment (Rouse, Bishop, & Struger, 1999). Safe levels of nitrate in groundwater for humans are 10 mg L-1 nitrate (Moore & Bringolf, 2020), exceeding this level may result in severe disorders (Hecnar, 1995).
The present study will intensely focus on the atrazine and nitrate as the most common herbicide and fertilizer respectively addressing their role in amphibian decline in general and their effect on Sclerophrys regularis in particular which is a common Egyptian toad using agricultural fields. So, the current work aims to evaluate the possible occurrence of organogenesis and histopathological changes in liver and kidney structures of amphibian as a biotoxicity of such chemicals using histopathological techniques and to assess the impact of human activities on amphibian and environment.
Material and methods
Collection of test organisms
Tadpoles of the amphibian species were collected from Al-wahat region in Egypt, this region is a natural habitat with a minimum level of contamination to obtain less interfering of other negative impacts, tadpoles are collected at their earliest stage that is characterized by their bodies look like small pin head, larvae of Gosner stage (24-27), nearly 2-3 weeks post- hatching (Gosner, 1960). Collection was performed at the initiation of mating season at the end of March. Rearing and testing were done in the postgraduate ecotoxicological research laboratory at the Department of Zoology, University of Al-Azhar, Cairo. Four hundreds of larval tadpoles were collected in aerated plastic bags immersing into their ground water and transferred to the laboratory, tadpoles are equally distributed into four plastic containers in a width of (37×40 cm) and a height of (25 cm), each containing 8 liter of dechlorinated tap water. They were allowed to acclimatize for seven days in the holding containers prior to the bioassay ‘ASTM 1985’. Tadpoles were fed on dried algae and fish feeding minute grains available in the market. Larvae were reared on natural conditions of a 12:12 hours light: dark cycle (dark from 4, 5 p.m. to 4, 5 a.m.) and room temperature was at 30-35şC throughout the duration of the experiment, the water in each container was changed every 3 days (Ezemonye & Tongo, 2009).
Test chemicals
The chemicals used for the toxicity tests, were the herbicide organochlorine, Atrazine (C8H14ClN5; 6-chloro-4-N-ethyl-2-N-propan-2-yl-1,3,5-triazine-2,4-diamine) and sodium nitrate NaNo3 fertilizers, The chemicals are commonly used on farms in Egypt and worldwide for controlling weeds or as fertilizer.
Test water
Water used for toxicity testes was dechlorinated tap water. The water was dechlorinated as stock by adding calcium thiosulphate crystals (few crystals per 50 liters were added) which have no effect on PH or oxygen dissolved (Ryder, Parker, Blake, & Loiselle, 2009) and air pumping for 1hr). This water was used for acclimatization, control tests, and for making the various concentrations of the test chemicals.
Test solutions
Stock solutions of 300 μg L-1 from pure commercially available Atrazine and 200 mg L-1 of sodium nitrate for toxicity test (Ryder et al., 2009).
Experiment design
Toxicity tests were conducted by preparing 4 containers. Each container contains 8 liters of DE chlorinate tap water and constantly inserted air pump in each. Larval tadpoles were distributed into the containers as 100 larvae in each container to make four groups with different concentrations as following: 1) 0 concentration of both herbicides act as control (C), 2) 300 μg L-1 of Atrazine (A), 2) 200 mg L-1 of sodium nitrate (N), 4) Combination of 300 μg L-1 of Atrazine and 200 mg L-1 of sodium nitrate (AN). These concentrations are chosen as sublethal doses according to pre-study test on many concentrations which resulted in a sub-lethal dose of atrazine at 300 μg L-1 and of nitrate at 200 mg L-1. New solution of water and chemicals was prepared at each container every 3 days since atrazine has a minimum half-life of 48hours in water (Solomon et al., 1996), and this work had been done until metamorphosis (complete tail reabsorption - Niewkwoop - Faber Stage 66) was reached.
Histopathological study
After most individuals have been metamorphed (after 12 weeks of care), the individuals of the same stage and size at each group were stored at the end of the experiment. Animals were anesthetized and dissected. The liver and kidney tissues of the metamorphed toads were taken for histological study and fixed with 10% neutral formalin for 24 hours. Afterwards, tissues were preserved in 70% ethyl alcohol. Tissues were dehydrated in ascending ethanol series, cleared with methyl benzoate, and then embedded in paraffin. Tissues were sectioned at 7 µ and stained with haematoxyline and eosin (H&E) for general histological examination. In addition, tissues were stained by Masson’s trichrome stain to investigate collagen fibers (green) and Acid-Schiff (PAS) reaction stain to investigate the polysaccharide condensation (Bancroft & Stevens 1996). Slides were examined by light microscope (Zeiss) model 25 and photographed using microscope-computerized camera, this examination was done to evaluate the impact of pollution on liver and kidney tissues induced by herbicides.
Results
Hepatic histopathology
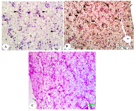
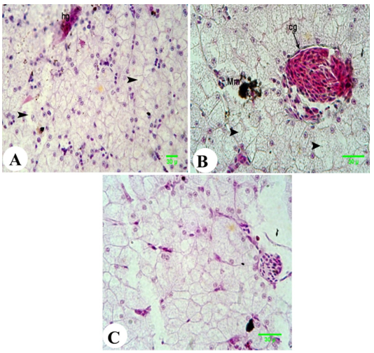
No histological alterations were observed in liver of control group. The tadpole's liver showed normal structure including normal capsule, blood vessel, hepatic sinusoids and nuclei, additionally, normal distribution and concentration of collagen fibers and glycogen content around and within hepatocytes (Figure 1).

Atrazine effect
The most common hepatic lesions were observed in atrazine treated individuals is mild degeneration of hepatocytes with patch of hemorrhage and vasodilatation, in addition, fibrosis around blood vessels. Also, Depletion in glycogen from cytoplasm and concentrated in the borders of hepatocytes and nuclei (Figure 2).
Nitrate effect
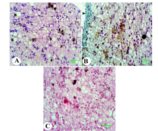
The nitrate treatment alone was more toxic to cause the highest severe effects on liver; severe accumulation of lipid droplets in the cytoplasm of hepatocytes (necrosis) has shown. Also, great aggregation of melanomacrophage cells in between the hepatocytes, fibrotic thickness in the hepatic capsule, and depletion of glycogen in the hepatocytes cytoplasm (Figure 3).


Atrazine-nitrate effect
The accumulation of lipid droplets in the cytoplasm of hepatocytes were noticeably increased when atrazine was combined with nitrate, in addition, congestion in blood vessels and cloudy swelling in the hepatocytes with focal aggregation of melanomacrophage cells in between the hepatocytes and depletion of glycogen in the hepatocytes cytoplasm (Figure 4).

Renal histopathology
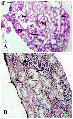
Kidney showed great histopathological alterations related to the different treatments, while the control group showed normal renal structure; Bowman’s corpuscle and glomerulus, proximal and distal tubules, and renal capsule (Figure 5).
Atrazine effect
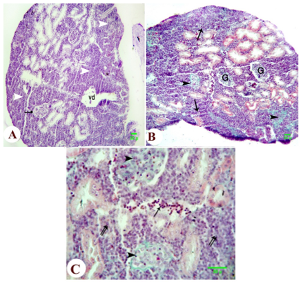
Histopathological studies of atrazine exposed specimens revealed the presence of renal lesions such as; great reduction in formation of the renal tubules, Leucocytes infiltrations and fibrosis in glomerulie and parenchyma (Figure 6).
Nitrate effect
Toads were exposed to nitrate showed great congestion in the renal tubules, leucocytes infiltration, fibrosis and thickness in the wall of the renal capsule and Bowman's epithelium, as well as deformation of renal tubules (Figure 7).



Atrazine-nitrate effect
Atrophy of glomerulus with deformation of Bowman’s epithelium, degeneration of renal tubules and leucocytes infiltration were common on combined treatment (Figure 8).

Discussion
The present study assessed the potential influence of atrazine and nitrate exposure on S. regularis toads reared under controlled laboratory conditions, by investing possible effects of such contaminants on liver and kidney tissues on exposure to sublethal doses, that seemed to be relevant to environmental concentrations at many areas worldwide. 300 μg L-1 atrazine, 200 mg L-1 nitrate and combined dose treated animals experienced increased oxidative stress of liver and kidney.
Great abnormalities were observed in liver tadpoles following atrazine and/or nitrate exposure. Liver structure and its glycogen content, an ecological endpoint of oxidative stress, were assessed in this study. Treatments have been found to cause degeneration of hepatocytes in addition to accumulation of lipid droplets in the hepatocyte cytoplasm, vasodilation, hemorrhage and aggregation of melanomacrophage cells in between the hepatocytes, in addition to depletion in glycogen content and appearance of fibrosis. Although the degree of impact varies between the treatments, the decomposition of liver cells generally impairs body functions, which may cause the loss of the organism and its ability to remain within its environment.
The interaction of atrazine in organisms is frequently associated with depletion in glycogen storage, which is an evidence of decreased energy production (Cicik & Engin, 2005). The glycogen content of tadpoles exposed to atrazine was observed to vary negatively compared to control group, glycogen content was lower in atrazine treatment. These findings are concurred with the depletion of glycogen level tested in serum on exposure to atrazine at different concentrations (Ezemonye & Tongo, 2009). The depletion in the glycogen content in organisms exposed to atrazine and compared to the control group, is an indication of probable toxicological effect as observed in oxidative stress. The reduction in glycogen levels of tadpoles exposed to atrazine could be the result of the pesticide affecting the activities of enzymes that work in glycogenolysis (Craven et al., 2021). Some investigations have also showed that organic contaminants like pesticides could decrease the glycogen level of invertebrates and fish by affecting the activities of enzymes that play active role in the carbohydrate metabolism (Cicik & Engin, 2005). The loss of glycogen could be regarded as a nonspecific response signifying stress, and that has been linked to changes in cortisol during exposures of toxicity stress (Wedemeyer, Barton, & Mcleay, 1990). Such effect also may be referred to thyroid hormone dysfunction which affects glucose homeostasis via its action on a variety of organs including increased hepatic glucose output, increased futile cycling of glucose degradation products between the skeletal muscle and the liver, decreased glycogen stores in the liver and skeletal muscle, altered oxidative and non-oxidative glucose metabolism (El Gawad, El-Kenawy, Mousa, & Omar, 2012). The depletion of glycogen content in liver of organisms exposed to atrazine treatment was complementary with the other abnormalities of the degeneration of hepatocytes, hemorrhage, fibrosis and vasodilatation of the liver. Such decomposition of liver structure was synergetic with the increased rates of liver apoptosis (Zaya, Amini, Whitaker, Kohler, & Ide, 2011).
One of the established mechanisms of toxicity of nitrate is their ability to induce oxidative stress through the generation of free radicals (Van Breda et al., 2019; Ward et al., 2018), the nitrate may react with amines of the foods in the stomach and produce nitrosamines and free radicals, such products may increase lipid peroxidation, which can be harmful to different organs including liver and kidney (Choi, Chung, & Sung, 2002); therefore, nitrate was more toxic to cause high severe oxidative stress effect on liver in which severe accumulation of lipid droplets in the cytoplasm and the depletion of glycogen content in liver and its concentration at nuclei of hepatocytes with great aggregation of melanomacrophage cells in between the hepatocytes were observed. Although; there is no previous studies on oxidative stress of liver and kidney caused to amphibians on exposure to nitrate, there was a significant decrease in liver glycogen content of nitrite-treated rats, increase in serum levels of glucose, aspartate aminotransferase (AST), alanine aminotransferase (ALT), alkaline phosphatase (ALP), hepatic AST and ALT and increase in lipid peroxidation, also a decrease in glutathione content and catalase activity were observed in the liver, they suggested nitrite-stimulation of gluconeogenesis (Amin, Elsabagh, & Amin, 2016), and glucose shift from tissue to blood or an impairment of glucose mobilization. Also, an inhibitory effect of nitrite on the biosynthesis of protein was obtained suggesting a stimulation of the thyroid and adrenal glands by nitrite which can lead to a blockage in protein synthesis, fast breakdown, increased rate of free amino acids, and decreased protein turnover (Hinther, Edwards, Guillete Jr, & Helbin, 2012). Also the severe hepatic necrosis as an adverse impact resulted in liver was attributed to the toxic effect of nitroso-compounds, formed in the acidic environment of the stomach (Kalantari & Salehi, 2001), also alanine transaminase (ALT), aspartate transaminase (AST), alkaline phosphatase (ALP) were significantly increased and butyryl cholinestersea (BChE) content were significantly decreased in hepatic tissue in nitrate exposed rats (Anwar & Mohamed, 2015). All these findings together with our results reveal the nitrate to be a large contributor in oxidative stress the animal could face in habitat with heavy use of the chemical.
Also, fibrosis of collagen fibers in atrazine and nitrate treatments indicates the remarkable toxic effect of such contaminants on hepatic cells. On the other hand, No histological alterations were observed in the liver of control group as the toad liver showed normal structure including normal capsule, normal blood vessel, normal hepatic sinusoids and normal nuclei. In addition, glycogen content in the hepatocytes showed normal distribution and concentration.
The degree of abnormalities observed in kidney on exposure to atrazine was synergetic with the great reduction in renal tubules formation and fibrosis of collagen fibers compared to control kidney that showed normal structure indicating severe toxic stress of the pesticide on renal tissues and their functions. Some investigations have also showed that atrazine could increase blood urea nitrogen and creatinine levels in serum, contents of nitric oxide in the kidney tissue of rats and play an antioxidant role by up-regulated the expression of antioxidant enzymes such as catalase, superoxide dismutase and glutathione peroxidase (Liu et al., 2014). Consequently, with the mechanisms of toxicity of nitrate, oxidative stress extends to cause hemorrhage in the renal tubules and leucocytes infiltration in the kidney in nitrate exposed animals in the current study. A decrease in glutathione content and catalase activity as well as urea and creatinine in the kidney and increase in bilirubin, urea and creatinine in serum were observed suggesting an impairment of kidney functions (Amin et al., 2016). They attributed these effects to the changes in the threshold of tubular re-absorption, renal blood flow and glomerular filtration rate (Poli, Madduru, Aparna, Kandukuri, & Motireddy, 2021). Moreover, NaNO2-inhibiting glutathione content and catalase enzyme activity in the liver and the kidney were attributed to the observed induction of lipid peroxidation (Abarikwu, Njoku, Lawrence, Charles, & Ikewuchi, 2017). Furthermore, there was a significant increase in thiobarbituric reactive substances (TBARS) accompanied by a significant decrease in reduced glutathione (GSH) content in rat renal tissue. In addition microscopic examination of renal tissue showed atrophy of glomerular tuft and congestion of renal blood vessels in nitrate treated rats (Anwar & Mohamed, 2015).
Atrophy of glomerulus with deformation of Bowman’s epithelium and hemorrhage in the kidney tissue are complementary side for the severe toxicity of nitrate when combined to atrazine in this study. This may be due to the nitric oxide increased by nitrate exposure which can cause adverse effects on kidney tissue as atrophy of glomerular tuft and congestion of renal blood vessels (Anwar & Mohamed, 2015). In addition, atrazine can increase the content of nitric oxide in kidney tissue (Liu et al., 2014), so the damage can be larger when the two chemicals brought to combine together. Atrophy of the glomerulus and hemorrhage of the kidney in this study may be due to nitric oxide formation, which causes vascular smooth muscle relaxation; this leads to dilatations of their lumens and increases their blood flow. That also may be the mechanism by which combination of the two chemicals can cause congestion of blood vessels in kidney and can decrease hepatic glycogen content to a notably higher amount than that each chemical can cause alone.
This study has explored the effects of atrazine and nitrate on amphibian; From the chemical point of view, atrazine is capable of interacting synergistically with other agricultural chemicals to decrease survival, growth or metamorphosis of amphibian larvae (Howe, Gillis, & Mowbray, 1998) and it is possible that an interaction between atrazine and nitrate could increase the impairment rather than a single action (Gadel-Rab et al., 2018). Some authors discussed the possible mechanism of interaction between atrazine and nitrate as combined together, this mechanism involves the oxygen-carrying capacity of larval blood because nitrite can cause methemoglobinemia and atrazine is known to reduce circulating erythrocytes, also nitrate and atrazine may increase the risk due to nitrosamine formation (Ward et al., 2005), many nitrosamines are known to be carcinogens (Jain, Chaudhary, Varshney, & Janmeda, 2020). During digestion nitrate is reduced to nitrite and many secondary amines are nitrosated in the presence of nitrite, atrazine is a secondary amine that nitrosates to form N-nitrosoatrazine (NNAT) which has been shown to significantly increase chromosomal abnormalities in lymphocytes at low concentrations. These interactions were clearly seen to cause severe negative impacts rather than atrazine or nitrate can cause alone, that these impacts were supported by our results which histologically seemed to have the higher increase in abnormalities in combined treatment compared to control and all other treatments regarding the presented data, indicating that double impact represented by atrazine, synergistically with nitrate have ability to increase impairment of development in S. regularis, these results also were in accordance with results from several studies as mentioned previously. The problem that both chemicals mostly showed to be found in agriculture areas together, the problem also extend to include all contaminants when many chemicals interact together in agriculture. There is mounting evidence that some amphibian species living in regions of intensive agrochemical contaminants use suffer great developmental and survival impacts (McCoy et al., 2008). Considering this possibility and the fact that atrazine and nitrate co-occur ecologically, these results suggest the interaction between atrazine and nitrate to increase developmental instability of amphibian populations.
Rather than the observed effect on liver and kidney, atrazine and/or nitrate had a wide range of severe effects concerning growth and body size at metamorphosis, genotoxicity (Wang, Chai, Zhao, Wua, & Wang, 2015; Patar et al., 2016), malformations (Saber, Tito, Said, Mengistou, & Alqahtan, 2017), gonadal abnormalities (Hayes et al., 2010; Gadel-Rab et al., 2018) indicating the disrupting action of such chemicals on amphibian development and organogenesis.
Over the years, human activities in agrochemical use have increased causing disturbances to all organisms in the ecosystem either in direct or indirect route, while the high concentrations were detected as well as low concentrations (Storrs & Kiesecker, 2004); by this approach the present study can be a good assessment for relevant chronic high exposure.
The obtained results also indicates that amphibians can act as bioindicator at high level execution alarming increased toxins at the environment and their effects, the adverse effects yielded indicate their sensitivity to environment change and pesticide toxicity, their life between land and water and having them a permeable skin allows toxins to move relatively freely and concentrate into their bodies, the results also were a good bioindication that atrazine and nitrate have organogenesis fluctuation impact and oxidative stress effect.
Organogenesis fluctuation, heavy oxidative stress and other impacts may act as indirect contributor in amphibian decline (McCoy, Mccoy, Amick, Guillette, & Mary, 2007) in which these abnormalities impair body function, reproductive success, activity, behavior and fitness of the animals and make them more vulnerable to be attacked by enemies and lower their population by generations.
Environmental Protection Agency (EPA) has considered atrazine as well as nitrate to be an ecological risk to the aquatic community-population level due to the off-target impacts on aquatic animals and plants in neighboring watersheds, where the concentrations used may exceed their levels of concern. Therefore, contamination can be found in nearly all surface and ground waters, in both agriculture and non-agriculture.
Conclusion
In conclusion, all these findings reveal that atrazine and nitrate could increase the histopathological alternations in liver and kidney structures, other organs need more investigations, these histopathological alternations could be higher when chemicals interact together in habitats of heavy use, such alternation may impair functions of body organs and activities of the toads and make them more vulnerable to attack by diseases and enemies and that may have contribution in their decline.
Acknowledgements
Our great appreciation to all staff members of Zoology Department, Faculty of Science, Assiut University for their continuous encouragement.
References
Abarikwu, S. O., Njoku, R., Lawrence, C. J., Charles, I. A., & Ikewuchi, J. C. (2017). Rutin ameliorates oxidative stress and preserves hepatic and renal functions following exposure to cadmium and ethanol. Pharmaceutical Harmaceutical Biology, 55(1), 2161–2169. DOI: https://doi.org/10.1080/13880209.2017.1387575
American Society for Testing and Materials ASTM (1985). Standard practices for conducting acute toxicity test with fishes macro invertebrates and amphibians. Annual Book of ASTM standards, 11(4), 272-296.
Amin, R. A., Elsabagh, R. A., & Amin, A. (2016). Protective Effects of ascorbic acid and garlic oil against toxic effects induced by sodium nitrite as meat additive in male rats. Global Veterinaria, 16(6), 508-524, DOI: https://doi.org/10.5829/idosi.gv.2016.16.06.10393
AmphibiaWeb (2010). Information on amphibian biology and conservation. Berkeley, CA: University of California. Retrieved from https://amphibiaweb.org
Anwar, M. M., & Mohamed, N. E. (2015). Amelioration of liver and kidney functions disorders induced by sodium nitrate in rats using wheat germ oil. Journal of Radiation Research and Applied Sciences, 8(1), 77-83. DOI: https://doi.org/10.1016/J.JRRAS.2014.11.004.
Bancroft, J. D., & Stevens, A. (1996). Theory and practice of histological techniques. Edinburgh, UK: Churchill Livingstone.
Bickford, D., Howard, S. D., Ng, D. J. J., & Sheridan, J. A. (2010). Impacts of climate change on the amphibians and reptiles of southeast Asia. Biodiversity and Conservation, 19(4), 1043-1062. DOI: https://doi.org/10.1007/s10531-010-9782-4.
Choi, S. Y., Chung, M. J., & Sung, N. J. (2002). Volatile N-nitrosamine inhibition after intake of Korean green tea and Maesil (Prunus mume SIEB. et ZACC.) extracts with an amine-rich diet in subjects ingesting nitrate. Food and Chemistry Toxicology, 40(7), 949-957. DOI: https://doi.org/10.1016/s0278-6915(02)00025-x
Cicik, B., & Engin, K. (2005). The effects of cadmium on levels of glucose in serum and glycogen reserves in the liver and muscle tissues of Cyprinus carpio. Turkish Journal of Veterinary and Animal Sciences, 29(1), 113-117.
Craven, J., Desbrow, B., Sabapathy, S., Bellinger, P., McCartney, D., Irwin, C. (2021). The effect of consuming carbohydrate with and without protein on the rate of muscle glycogen re-synthesis during short-term post-exercise recovery: A systematic review and meta-analysis. Sports Medicine, 7(9). DOI: https://doi.org/10.1186/s40798-020-00297-0
El Gawad, S., El-Kenawy, F., Mousa, A., & Omar, A. (2012). Plasma levels of resist in and ghrelin before and after treatment in patients with hyperthyroidism. Endocrine Practice, 18(3), 376-381. DOI: https://doi.org/10.4158/EP11130.OR
Ezemonye, L. I. N., & Tongo, I. (2009). Lethal and sublethal effects of atrazine to amphibian larvae. Jordan Journal of Biological Sciences, 2(1), 29-36.
Gadel-Rab, A. G., Mahmoud, F. A., Said, R. E., Saber, S. A., ElSalkh, B. A., & Said, A. S. (2018). Hermaphroditism induction of sub-lethal dose of atrazine and atrazine-nitrate on egyptian toad Sclerophrys regularis. International Journal of Ecological and Ecotexiology, 3(3), 63-72. DOI: https://doi.org/10.11648/j.ijee.20180303.11
Gosner, K. L. (1960). A simplified table for staging anuran embryos and larvae. Herpetologica, 16(3), 183-190.
Hayes, T., Khoury, V., Narayan, A., Nazir, M., Park, A., Brown, T., … Gallipeau, S. (2010). Atrazine induces complete feminization and chemical castration in male African clawed frogs (Xenopus laevis). Proceedings of the National Academy of Sciences, 107(10), 4612-4617. DOI: https://doi.org/10.1073/pnas.0909519107
Hecnar, S. J. (1995). Acute and chronic toxicity of ammonium nitrate fertilizer to amphibians from southern Ontario. Environmental Toxicology and Chemistry, 14(12), 2131-2137. DOI: https://doi.org/10.1002/etc.5620141217
Hinther, A., Edwards, T. M., Guillete Jr, L. J., & Helbin, C. C. (2012). Influence of nitrate and nitrite on thyroid hormone responsive and stress- associated gene expression in cultured Rana catesbeiana tadpole tail fine tissue. Frontiers in Genetics, 3(51), 1-7. DOI: https://doi.org/10.3389/fgene.2012.00051
Howe, G. E., Gillis, R., & Mowbray, R. C. (1998). Effect of chemical synergy and larval stage on the toxicity of atrazine and alachlor to amphibian larvae. Environmental Toxicology and Chemistry, 17(3), 519-525. DOI: https://doi.org/10.1002/ETC.5620170324
Jain, D., Chaudhary, P., Varshney, N., & Janmeda, P. (2020). Carcinogenic effects of N-nitroso compounds in the environment. Environment Conservation Journal, 21(3), 25-41. DOI: https://doi.org/10.36953/ECJ.2020.21304. https://www.environcj.in/
Kalantari, H., & Salehi, M. (2001). The protective effect of garlic oil on hepatotoxicity induced by acetaminophen in mice and comparison with N-acetylcysteine. Saudi Medical Journal, 22(12), 1080-1084.
Liu, W., Du, Y., Liu, J., Wang, H., Sun, D., Liang, D., Zhao, L., & Shang, J. (2014). Effects of atrazine on the oxidative damage of kidney in Wister rats. International Journal of Clinical and Experimental and Medicine, 7(10), 3235-3243.
McCoy, K. A., Mccoy, M. W., Amick, A., Guillette, L. J., & Mary, C. M. S. (2007). Tradeoffs between somatic and gonadal investments during development in the African clawed frog (Xenopus laevis). Journal of Experimental Zoology, Part A-Ecological Genetics and Physiology, 308A(11), 637-646. DOI: https://doi.org/10.1002/jez.417
McCoy, K. A., Bortnick, L. J., Campbell, C. M., Hamlin, H. J., Guillette, L. J., & Mary, C. M. (2008). Agriculture alters gonadal form and function in the toad Bufo marinus. Environmental Health Perspectives, 116(11), 1526-1532. DOI: https://doi.org/10.1289/ehp.11536
Moore, A. P., & Bringolf, R. (2020). Comparative toxicity of nitrate to common and imperiled freshwater mussel glochidia and larval fishes. Archives of Enviromental Contamination and Toxicology, 78(4), 536-544. DOI: https://doi.org/10.1007s00244-020-00708-z
Patar, A., Giri, A., Boro, F., Bhuyan, K., Singha, U., & Giri, S. (2016). Cadmium pollution and amphibians - Studies in tadpoles of Rana limnocharis. Chemosphere, 144(1), 1043-1049. DOI: https://doi.org/10.1016/j.chemosphere.2015.09.088
Poli, V., Madduru, R., Aparna, Y., Kandukuri, V., & Motireddy, S. R. (2021). Amelioration of cadmium-induced oxidative damage in wistar rats by Vitamin C, Zinc and N-Acetylcysteine. Medical Sciences, 10(7). DOI: https://doi.org/10.3390/medsci10010007
Ramesh, C. G., & James, W. C. (2013). Agricultural chemicals. In W. M. Haschek, C. G. Rousseaux, & M. A. Wallig, Haschek and Rousseaux's handbook of toxicologic pathology (Vol. 2, p. 1349-1372). Amsterdam, NL: Academic Press.
Rouse, J. D., Bishop, C. A., & Struger, J. (1999). Nitrogen pollution: an assessment of its threat to amphibian survival. Environmental Health Perspectives, 107(10), 799-803. DOI: https://doi.org/10.1289/ehp.99107799
Rybicki, M., & Jungmann, D. (2018). Direct and indirect effects of pesticides on a benthic grazer during its life cycle. Environmental Science Europe, 30(35). DOI: https://doi.org/10.1186/s12302-018-0165-x
Ryder, T. B., Parker, P. G., Blake, J. G., & Loiselle, B. A. (2009). It takes two to tango: reproductive skew and social correlates of male mating success in a lek-breeding bird. Proceedings of the Royal Society B. Biological Sciences, 276(1666), 2377-2384. DOI: https://doi.org/10.1098/rspb.2009.0208
Saber, S., Tito, W., Said, R., Mengistou, S., & Alqahtan, A. (2017). Amphibians as bioindicators of the health of some wetlands in Ethiopia. The Egyptian Journal of Hospital Medicine, 66(1), 66-73. DOI: https://doi.org/10.12816/0034635
Solomon, K. R., Baker, D. B., Richard, R. P., Dixon, D. R., Ktaine, S. J., & Lapoint, T. W. (1996). Ecological risk assessment of atrazine in North American surface waters. Environmental Toxicology and Chemistry, 15(1), 31-74. DOI: https://doi.org/10.1002/etc.5620150105
Storrs, S. I., & Kiesecker, J. M. (2004). Survivorship patterns of larval amphibians exposed to low concentrations of atrazine. Environmental Health Perspectives, 112(10), 1054-1057. DOI: https://doi.org/10.1289/ehp.6821.
Stuart, S. N., Chanson, J. S., Cox, N. A., Young, B. E., Rodrigues, A. S. L., Fischman, D. L., & Waller, R. W. (2004). Status and trends of amphibian declines and extinctions worldwide. Science, 306(5702), 1783-1786. DOI: https://doi.org/10.1126/science.1103538
van Breda, S. G., Mathijs, K., Sági-Kiss, V., Kuhnle, G. G., van der Veer, B., Jones, R. R., … de Kok, T. M. (2019). Impact of high drinking water nitrate levels on the endogenous formation of apparent N-nitroso compounds in combination with meat intake in healthy volunteers. Environmental Health, 18(87). DOI: https://doi.org/10.1186/s12940-019-0525-z
Wang, M., Chai, L., Zhao, H., Wua, M., & Wang, H. (2015). Effects of nitrate on metamorphosis, thyroid and iodothyronine deiodinases expression in Bufo gargarizans larvae. Chemosphere, 139(1), 402-409. DOI: https://doi.org/10.1016/j.chemosphere.2015.07.037
Ward, M. H., de Kok, T. M., Levallois, P., Brender, J., Gulis, G., Nolan, B. T., & Van Derslice, J. (2005). Workgroup report: drinking-water nitrate and health-recent findings and research needs. Environmental Health Perspectives, 113(11), 1607-1614. DOI: https://doi.org/10.1289/ehp.8043
Ward, M. H., Jones, R. R., Brender, J. D., de Kok, T. M., Weyer, P. J., Nolan, B. T., … van Breda, S. G. (2018). Drinking water nitrate and human health: An Updated Review. International Journal of Environmental Research and Public Health, 15(7), 1557. DOI: https://doi.org/10.3390/ijerph15071557
Wedemeyer, G. A., Barton, B. A., & Mcleay, D. J. (1990). Stress and acclimation. In C. B. Schreck, & P. B. Moyle (Eds.), Methods for fish (p. 451-489). Bethesda, MD: American Fisheries Society.
Zaya, R. M., Amini, Z., Whitaker, A. S., Kohler, S. L., & Ide, C. F. (2011). Atrazine exposure affects growth, body condition and liver health in Xenopus laevis tadpoles. Aquatic Toxicology, 104(3-4), 243-253. DOI: https://doi.org/10.1016/j.aqatox.2011.04.021
Notas de autor
M_F11_7@yahoo.com