Biotecnologia
Venom of the giant ant Dinoponera quadriceps attenuates inflammatory pain in mouse cutaneous wound healing model
Venom of the giant ant Dinoponera quadriceps attenuates inflammatory pain in mouse cutaneous wound healing model
Acta Scientiarum. Biological Sciences, vol. 44, e49794, 2022
Universidade Estadual de Maringá
Recepción: 01 Septiembre 2019
Aprobación: 12 Diciembre 2019
Abstract: Arthropod venoms are potential sources of bioactive substances, providing tools for the validation of popular use and new drugs design. Ants belonging to the genus Dinoponera are used in the folk medicine to treat inflammatory conditions. It was previously demonstrated that the venom of the giant ant Dinoponera quadriceps (DqV), containing a mixture of polypeptides, elicit antinociceptive effect in mice models of chemical, mechanical and thermal nociception. The aim of this study was to evaluate DqV antiinflammatory and antihypernociceptive effects in a mice model of traumatic cutaneous wound. Colonies of D. quadriceps were collected in the ‘Serra de Maranguape’ (State of Ceará, northeastern Brazil), a small mountain range located on the coastal zone, and the venom secreted by the ant glands was extracted with capillary tubes, further lyophilized and maintained at -20 ± 1şC until use. Wounds were performed in the dorsum of Swiss mice. Animals received intravenous (i.v.) injection of DqV (50 µg kg-1 day-1) during 3 days for evaluation of inflammatory parameters present in the wounds: hypernociception, leukocyte infiltrate, myeloperoxidase activity, nitrite/nitrate content. Data was tested by two-way ANOVA and Bonferroni’s post-hoc test. DqV reduced (2.7 folds) hypernociception at 48 hours, leukocyte infiltration by 65% at 6 hours and myeloperoxidase activity by 60% at 0.5 hour after wound induction. In conclusion, the venom extracted from D. quadriceps glands attenuates inflammation and hypernociception in mice cutaneous wounds.
Keywords: DqV, hypernociception, leukocyte infiltrate, scar.
Introduction
In Brazilian folk medicine, ants belonging to the genus Dinoponera (Formicidae: Ponerinae) are used to treat inflammatory conditions: the ant sting for rheumatism by indigenous population (Haddad Junior, Amorim, Haddad Junior, & Cardoso, 2015) and the macerate of the entire ant for ear ache (Costa Neto, 2011). The venom gland in the sting apparatus of Dinoponera quadriceps produces a venom that contains dinoponera toxins (DnTxs), pilosulin-like toxins, ICK-folded toxins, lethal-like toxins, allergen proteins and esterases (phospholipases and carboxylesterases) (Torres et al., 2014; Ceolin Mariano et al., 2019). Experimental studies using the crude venom of D. quadriceps (DqV) demonstrated antinociceptive effect in mice models of chemical, mechanical and thermal nociception (Sousa et al., 2012). Other pharmacological properties were also demonstrated for DqV, such as antimicrobial (Lima et al, 2014), antiplatelet, anticoagulant (Madeira et al., 2015), pro- and antiinflammatory (Sousa et al., 2016), and pro- and anticonvulsant (Nôga et al., 2015).
Based on the both popular use of Dinoponera ants as analgesic and antiinflammatory and experimental results with DqV in mice models of nociception, the aim of this study was to evaluate its antiinflammatory and antinociceptive effects in a model of traumatic cutaneous wound.
Material and methods
Material
Colonies of D. quadriceps Santschi, 1921 were collected (SISBIO authorization 28794-1) in the ‘Serra de Maranguape’ (State of Ceará, northeastern Brazil), a small mountain range located on the coastal zone, and maintained at the Laboratory of Entomology (Universidade Estadual do Ceará). The venom secreted by the ant glands was extracted with capillary tubes, lyophilized and maintained at -20 ± 1şC until use (Sousa et al., 2012).
Female Swiss mice (22-35 g), kept at 26 ± 1şC under 12/12 hours light/dark cycle and receiving food and water ad libitum, were brought to the laboratory 1h before experiments conducted according to protocols approved by our institutional Animal Care and Use Committee (CEUA/UECE 1776865/2015) and international principles (NIH publication #85-23, revised in 2011).
Wound model
For wound induction, animals were anesthetized by intraperitoneal (i.p.) route with 10% ketamine (1.25 mL kg-1) and 2% xylazine (0.652 mL kg-1). After dorsum shaving and antisepsis with 70% ethanol, two circular full-thickness wounds were performed using biopsy punch of 7 mm diameter (ABC Instrumentos Cirúrgicos, Brazil), followed by excision of epidermis, dermis and hypodermis to expose the panniculus carnosus (Pereira et al., 2016). Twenty-four hours after ulceration, animals received intravenous (i.v.) injection of sterile saline as control, celecoxib (Celebra®, 30 mg kg-1) as reference drug, or DqV at 50 µg kg-1 (dose of maximal antinociceptive effect) (Sousa et al., 2012) for 3 days, once a day. After intervals of 0.5, 1, 6, 12, 24 - 96 hours, wounds were excised for quantification of myeloperoxidase activity (MPO) (Bradley, Priebat, Christensen, & Rothstein, 1982), nitrite/nitrate content (Green et al., 1982), polymorphonuclear leukocyte infiltrate and hypernociception.
Leukocyte infiltrate
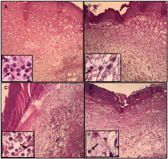
Skin fragments were fixed for 24 hours in 10% formaldehyde, subjected to dehydration in an increasing alcohol series, cleared in xylol, embedded in paraffin (60°C), sectioned in microtome (5 µm thickness) and stained with hematoxylin and eosin (H&E). Five fields were selected per slide in areas close to the ulcer presenting high cell density. Polymorphonuclear cells (segmented nucleus cells with multilobulated nucleus morphology/field) were quantified by optical microscopy (1000x) (Andrade et al., 2011). The sample unit for each animal was the sum of 5 fields per slide.
Hypernociception
Hypernociception was measured in grams (g) using the analgesiometer (Insight Equipamentos, Brasil), composed of a pressure transducer connected to a digital counter. The mechanical pressure, using a polypropylene tip - 0.5 mm diameter, was applied to the ulcer edges as nociceptive stimuli, being the frequency of the behavioral responses (squeaking and writhing) measured. The nociceptive threshold (average of three values) was measured prior to ulceration and after DqV treatment at 0.5, 1, 6, 12, 24, 48 and 72 hours) (Pereira et al., 2016), and expressed as the area under the curve (AUC).
Statistical analysis
Results were expressed as mean ± SEM and tested by two-way Analysis of Variance (ANOVA) followed by Bonferroni’s post-hoc test. Statistical significance was set at α = 0.05.
Results and discussion
The present study demonstrated that DqV inhibits the nociceptive behavior and the number of polymorphonuclear leukocytes at the inflammatory stage of the healing process, corroborating the popular use in inflammatory and painful conditions (Haddad et al., 2015).
The three-day treatment with DqV (50 µg kg-1 day-1; i.v) brought the nociceptive threshold at the wound margins to control values. The antinociceptive effect of DqV (AUC: 300) started 30 min after injection and was maintained until the 2nd day of treatment (48 hours) compared to saline (AUC: 100). The reference drug celecoxib was also antinociceptive (AUC: 200) (Figure 1A/B). Although DqV had inhibited nociception in the wound area at several stages of healing (0.5 until 48 hours), it only decreased by 65% the number of polymorphonuclear cells at 0.5 and at 6h post-treatment (Figure 1C and Figure 2). These data suggest that DqV antinociceptive effect could be associated with the inhibition of inflammatory cells and nociceptive mediators.

Our data are in line with the literature, since cutaneous wounds, such as those caused by pressure, venous insufficiency, neuropathy, or arterial disease, may evoke considerable pain (Young & McNaught, 2011). Besides, during the healing inflammatory phase, several cellular mediators are released, primarily by neutrophils and macrophages, in order to clean the wound site of cellular debris and pathogens and to attract other cells accounted for closing the wound (Patel, Maheshwari, & Chandra, 2016). These mediators, such as cytokines (interleukins, tumor necrosis factor, etc.), arachidonic acid by-products (prostaglandins), reactive species (hydrogen peroxide, superoxide anion, nitrate, etc.) and enzymes (MPO, nitric oxide synthase, etc.) are also involved in the genesis of pain, signaling to the nociceptor (Singh, Kumar, & Vinayak, 2018). Accordingly, Dqv inhibition on leukocyte infiltrate was confirmed by the inhibition of MPO activity at 0.5 (12.8 µg mg-1 tissue) and 6h (30 µg mg-1 tissue), by 60 and 48%, respectively (Figure 1D). However, DqV did not alter the nitrite/nitrate content (0.5h: 5.17 ± 0.28 vs. saline: 5.14 ± 0.29 µM; 6h: 5.05 ± 0.2 vs. saline: 5.49 ± 0.08 µM). This parameter is a feature of acute inflammation, being involved in vascular alterations, such as vasodilatation and augment of vascular permeability (Patel et al., 2016). The lack of DqV effect on the nitrate content could be seen as beneficial, considering the dual role of NO in the inflammatory response, being toxic to infectious organisms and/or to host tissues or acting as antiinflammatory agent (Bogdan, 2001).
The present study is in accordance with the literature that show antinociceptive and antiinflammatory activities of other Hymenoptera venoms, such as bee venom constituents (Bogdan, 2001; Lee & Bae, 2016) and ant venoms (Altman et al., 1984; Yoon at al., 2015), including those of D. quadriceps (Sousa et al., 2012). In this line, the novel data concerning the antiinflammatory and antinociceptive effects of DqV on traumatic wounds in mice open new and better possibilities for wound care.

Conclusion
The venom extract of D. quadriceps glands attenuates inflammation and hypernociception in traumatic cutaneous wounds of mice.
Acknowledgements
This work was supported by Fundaçăo Cearense de Apoio ao Desenvolvimento Científico e Tecnológico (FUNCAP) and Conselho Nacional de Desenvolvimento Científico e Tecnológico (CNPq).
References
Altman, R. D., Schultz, D. R., Collins-Yudiskas, B., Aldrich, J., Arnold, P. I., & Brown, H. E. (1984). The effects of a partially purified fraction of an ant venom in rheumatoid arthritis. Arthritis Rheumatism, 27(3), 277-284. DOI: https://doi.org/10.1002/art.1780270305
Andrade, T. A., Iyer, A., Das, P. K., Foss, N. T., Garcia, S. B., Coutinho-Netto, J., ... Frade, MA. (2011). The inflammatory stimulus of a natural latex biomembrane improves healing in mice. Brazilian Journal of Medical and Biological Research, 44(10), 1036-1047. DOI: https://doi.org/10.1590/S0100-879X2011007500116
Bogdan, C. (2001). Nitric oxide and the immune response. Nature Immunology, 2(10), 907-916. DOI: https://doi.org/10.1034/j.1600-065X.2000.917307.x
Ceolin Mariano, D. O., Oliveira Ú. C., Zaharenko A. J., Pimenta, D. C., Rádis-Baptista; & G., Prieto-da-Silva, Á. R. B (2019). Bottom-up proteomic analysis of polypeptide venom components of the giant ant Dinoponeraquadriceps. Toxins, 11(8), 448. DOI: https://doi.org/10.3390/toxins11080448
Bradley, P. P., Priebat, D. A., Christensen, R. D., & Rothstein, G. (1982). Measurement of cutaneous inflammation: estimation of neutrophil content with an enzyme marker. The Journal of Investigative Dermatology, 78(3), 206-209. DOI: https://doi.org/10.1111/1523-1747.ep12506462
Costa Neto, E. (2011). The popular zootherapy in Bahia state: registration of new animal species used as medicinal resources. Cięncia & Saúde Coletiva, 16(suppl 1), 1639-1650. DOI: https://doi.org/10.1590/S1413-81232011000700100
Green, L. C., Wagner, D. A., Glogowski, J., Skipper, P. L., Wishnok, J. S., & Tannenbaum, S. R. (1982). Analysis of nitrate, nitrite, and [15N] nitrate in biological fluids. Analytical Biochemistry, 126(1), 131-138. DOI: https://doi.org/10.1016/0003-2697(82)90118-X.
Haddad Junior, V., Amorim, P., Haddad Junior, W., & Cardoso, J. (2015). Venomous and poisonous arthropods: identification, clinical manifestations of envenomations, and treatments used in human injuries. Revista da Sociedade Brasileira de Medicina Tropical, 48(6), 650-657. DOI: https://doi.org/10.1590/0037-8682-0242-2015
Lee, G., & Bae, H. (2016). Bee venom phospholipase A2: yesterday’s enemy becomes today’s friend. Toxins, 8(2), 48. DOI: https://doi.org/10.3390/toxins8020048
Lima, D. B., Torres, A. F., Mello, C. P., Menezes, R. R., Sampaio, T. L., Canuto, J.A., ... Martins, A. M. (2014). Antimicrobial effect of Dinoponera quadriceps (Hymenoptera: Formicidae) venom against Staphylococcus aureus strains. Journal of Applied Microbiology, 117(2), 390-396. DOI: https://doi.org/10.1111/jam.12548
Madeira, J. C., Quinet, Y. P., Nonato, D. T., Sousa, P. L., Chaves, E. M., Honório Júnior, J. E., ... Assreuy A M. (2015). Novel pharmacological properties of Dinoponera quadriceps giant ant venom. Natural Product Communications, 10(9), 1607-1609.
Nôga, D. A., Cagni, F. C., Santos, J. R., Silva, D., Azevedo, D. L., Araújo, A., ... Ribeiro, A. M. (2015). Pro- and anticonvulsant effects of the ant Dinoponera quadriceps (Kempf) venom in mice. Neotropical Entomology, 44(4), 410-417. DOI: https://doi.org/10.1007/s13744-015-0292-7
Patel, S., Maheshwari, A., & Chandra, A. (2016). Biomarkers for wound healing and their evaluation. Journal of Wound Care, 25(1), 46-55. DOI: https://doi.org/10.12968/jowc.2016.25.1.46
Pereira, L. P., Mota, M. R., Brizeno, L. A., Nogueira, F. C., Ferreira, E. G., Pereira, M. G., & Assreuy, A. M. (2016). Modulator effect of a polysaccharide-rich extract from Caesalpinia ferrea stem barks in rat cutaneous wound healing: role of TNF-α, IL-1β, NO, TGF-β. Journal of Ethnopharmacology, 187(1), 213-223. DOI: https://doi.org/10.1016/j.jep.2016.04.043
Singh, A. K., Kumar, S., & Vinayak, M. (2018). Recent development in antihyperalgesic effect of phytochemicals: anti-inflammatory and neuro-modulatory actions. Inflammation Research, 67(8), 633-654. DOI: https://doi.org/10.1007/s00011-018-1156-5
Sousa, P. L., Quinet, Y., Ponte, E. L., Vale, J. F., Torres, A. F., Pereira, M. G., & Assreuy, A.M. (2012). Venom's antinociceptive property in the primitive ant Dinoponera quadriceps. Journal of Ethnopharmacology, 144(1), 213-216. DOI: https://doi.org/10.1016/j.jep.2012.08.033
Sousa, P. L., Quinet, Y. P., Brizeno, L. A., Sampaio, T. L., Torres, A. F., Martins, A. M., & Assreuy, A.M. (2016). The acute inflammatory response induced in mice by the venom of the giant ant Dinoponeraquadriceps involves macrophage and interleukin-1β. Toxicon, 117(1), 22-29. DOI: https://doi.org/10.1016/j.toxicon.2016.03.009
Torres, A. F., Huang, C., Chong, C. M., Leung, S. W., Prieto-da-Silva, A. R., Havt, A., … Rádis-Baptista, G. (2014). Transcriptome analysis in venom gland of the predatory giant ant Dinoponera quadriceps: insights into the polypeptide toxin arsenal of hymenopterans. PLoS One, 9(1), e87556. DOI: https://doi.org/10.1371/journal.pone.0087556
Yoon, H., Kim, M. J., Yoon, I., Li, D. X., Bae, H., & Kim, S. K. (2015). Nicotinic acetylcholine receptors mediate the suppressive effect of an injection of diluted bee venom into the GV3 acupoint on oxaliplatin-induced neuropathic cold allodynia in rats. Biological & Pharmaceutical Bulletin, 38(5), 710-714. DOI: https://doi.org/10.1248/bpb.b14-00797.
Young, A., & McNaught, C. (2011). The physiology of wound healing. Surgery Oxford, 29(10), 475-479. DOI: https://doi.org/10.1016/j.mpsur.2011.06.011
Notas de autor
anassreuy@gmail.com