Revisión Bibliográfica
Optimización de los protocolos de extracción de ADN y del marcador molecular tipo RAPD en Anonáceas
Optimization of the protocols of extraction of ADN and of the molecular marker type RAPD in Anonáceas
Optimización de los protocolos de extracción de ADN y del marcador molecular tipo RAPD en Anonáceas
Cultivos Tropicales, vol. 37, pp. 91-98, 2016
Instituto Nacional de Ciencias Agrícolas

Recepción: 15 Mayo 2015
Aprobación: 18 Enero 2016
Resumen: Las técnicas moleculares requieren de protocolos que permitan determinar los niveles de variación genética, dentro de las poblaciones en diferentes condiciones ambientales. Tanto la optimización del aislamiento del ADN, como el de las condiciones de trabajo de las amplificaciones, son fundamentales para alcanzar el éxito de los análisis moleculares, por lo que la presente investigación tiene como objetivo: optimizar los protocolos de extracción de ADN y del marcador molecular tipo RAPD (Random Amplified Polymorphic DNA) en Anonáceas. Para la extracción de ADN se utilizaron los Kit Nucleon PHYTOpure y DNeasy. de QIAGEN. Se ajustaron las condiciones de trabajo del protocolo de amplificación, en el que se variaron las concentraciones de ADN y las de los cebadores utilizados. Seguido de esto, se realizó un testaje con diez cebadores de la serie OPH y cinco de la serie OPA, para seleccionar los más polimórficos. Los primeros resultados con el Kit Nucleon PHYTO pure mostraron un ADN de baja calidad, debido a la alta fenolización del material vegetal, no así con el Kit DNeasy. de QIAGEN, que permitió obtener un ADN de calidad, pureza y homogeneidad a una concentración aproximada de 30 ng µL-1. Los mayores productos de amplificación se obtuvieron al usar 3 ng µL-1 de cebador y 2 ng µL-1 de ADN. Los cuatro cebadores que presentaron mayor polimorfismo fueron OPA-16, OPH-03, OPH-13 y OPH-18. Los resultados de esta investigación permitieron optimizar las condiciones de trabajo de la técnica RAPD para la caracterización de la colección ex situ de Anonáceas bajo nuestras condiciones ambientales.
Palabras clave: aislamiento de ADN, Annonaceae, RAPD.
Abstract: The molecular techniques need of protocols that allow determine levels of genetic change inside the populations in different environmental conditions. So much the optimization of the isolation of the DNA, as that of the working conditions of the amplifications, they are fundamental to reach the success of the molecular analyses, therefore the present research has like objective: optimize protocols of extraction of DNA and of the molecular marker type RAPD (Random Amplified Polymorphic DNA) in Anonáceas. For the DNA extraction were used the Kit Nucleon PHYTOpure and DNeasy. of QIAGEN. The working conditions of the protocol of amplification were fittedand changed the concentrations of DNA and of the used chokers. Followed by this, a tes was realized with 10 fatteners of the series OPH and five of the series OPA, to select more polimorphiss. The first results obtained with the Kit Nucleon PHYTOpure showed an DNA of low quality, due to the high fenolization of the vegetable material, not like that with the Kit DNeasy. of QIAGEN, who allowed obtain an DNA of quality, purity and homogeneity to an approximate concentration of 30 ng µ L-1. The biggest amplification products were obtained touse 3 ng µ L-1 of choke and 2 ng µ L-1 of DNA. Four chokers that presented major polymorphism were OPA-16, OPH-03, OPH-13 and OPH-18. The results of this research allowed optimize the working conditions of the technical RAPD for the characterization of the collection ex-situ of Anonáceas under our environmental conditions.
Keywords: DNA isolation, Annonaceae, RAPD.
INTRODUCCIÓN
La explotación de las plantas ha impulsado a los agricultores a seleccionar y mejorar líneas, cultivos o determinadas especies con características deseadas (1). En la actualidad se ha recurrido a técnicas de biología molecular con el fin de obtener marcadores genéticos específicos de cada especie, encontrar diferencias polimórficas y proporcionar la información necesaria para la identificación de materiales vegetales en estudio1 (2, 3, 4).
Los marcadores moleculares permiten estimar la distancia genética, la identificación y la discriminación de poblaciones, variedades, líneas puras e híbridos; además establecen relaciones de parentesco y localizan e identifican regiones del ADN que afectan caracteres cuantitativos (5, 6). El análisis de los marcadores genéticos es muy útil por el polimorfismo que detectan, la herencia mendeliana sin epístasis; es decir, sin interacción entre los genes, la insensibilidad a los factores ambientales o al desarrollo de la planta y su fácil identificación y co-dominancia (7, 8).
En la identificación de una especie, el primer paso a desarrollar es el aislamiento del ADN o material genético, el cual debe estar lo suficientemente puro para su manipulación y amplificación. Actualmente existen diferentes sistemas comerciales que permiten la extracción del ADN a partir del material vegetal. Sin embargo, no hay que descartar el uso de otras técnicas que han sido propuestas con el fin de disminuir la interferencia que provoca el alto contenido de polifenoles o polisacáridos en determinadas especies como los Agaves y las Anonáceas. Esta interferencia en la muestra trae consigo la disminución de la pureza y el rendimiento del ADN1,2.
Las técnicas moleculares requieren de protocolos que permitan determinar los niveles de variación genética dentro de las poblaciones, en diferentes condiciones ambientales y la caracterización de los recursos fitogenéticos. Es esencial contar con métodos adecuados de aislamiento y purificación del ADN que permita la aplicación de diversas técnicas de biología molecular, así como de eficientes protocolos para la amplificación del ADN mediante marcadores (9).
Existen dos importantes alternativas de conservación de los recursos fitogenéticos (RFG) la in situ y la ex situ, en la actualidad se destaca la última (10).
El éxito de este tipo de conservación depende de la accesibilidad de los materiales conservados en ellos y la correcta caracterización de su germoplasma (11). Esto facilita el manejo racional de las colecciones y los programas de mejora, la selección adecuada de los progenitores para estrategias de cruzamiento y la construcción de mapas genéticos. Además, elimina las duplicaciones y asegura la correcta identificación de sus accesiones (12, 13).
En Cuba, la única colección ex situ de Anonáceas que existe se ecuentra ubicada en la Estación Experimental de Frutales de Alquízar, perteneciente al Instituto de Investigaciones de Fruticultura Tropical (IIFT). Esta familia comprende un importante grupo de frutas tropicales muy apetecidas por la población. Sin embargo, las plantaciones comerciales establecidas se han reducido notablemente, su cultivo se ha visto limitado por años, por lo que solo se les localiza casi exclusivamente en los patios y jardines de los poblados rurales y en algunas ciudades (14, 15).
En el país no existen informes sobre el uso de marcadores moleculares tipo RAPD para la caracterización de la familia Annonaceae. El éxito, tanto de esta técnica molecular como de otras, radica en el ajuste de las condiciones de trabajo, desde el aislamiento de ADN hasta las condiciones de la PCR, por esta razón, la presente investigación tiene como objetivo optimizar los protocolos de extracción de ADN y del marcador molecular tipo RAPD en Anonáceas.
MATERIALES Y MÉTODOS
El presente trabajo se realizó a partir de muestras de plantas de la colección ex situ de la familia Annonaceae de Cuba. La colección se encuentra conservada en la Estación Experimental de Frutales de Alquízar, perteneciente al Instituto de Investigaciones de Fruticultura Tropical (IIFT), ubicada en los 22° 47 de latitud Norte y los 82° 31 de longitud Oeste a 110 m s.n.m. Se encuentra sembrada en un suelo Ferralítico Rojo típico con pH alrededor de 5,5-6,5 y topografía llana, a una distancia de plantación de 7 x 7 m. No presenta riego, por lo que está bajo condiciones de secano, sin fertilización y los árboles tienen diferentes edades (plantas de resiembra y hasta con más de 15 años).
Aislamiento de ADN
Para la optimización del protocolo de amplificación del ADN con el marcador molecular tipo, se garantizó la calidad y la homogeneidad del ADN de los materiales. En el aislamiento del ADN se emplearon dos protocolos, el Kit de extracción NucleonPHYTOpure (sin columnas) de la firma comercial Amersham y el Kit de extracción DNeasy. de la firma comercial QIAGEN (con columnas) Figura 1. Como material vegetal se utilizaron hojas jóvenes de plantas visiblemente sanas (Tabla I).


La calidad y homogeneidad del ADN genómico se verificó en gel de agarosa al 0,8 % en buffer TBE al 1X, que se corrió a 100 V durante 30 min. Para estimar visualmente la concentración del ADN el gel se observó en un transiluminador de luz ultravioleta.
Amplificación del ADN con el marcador molecular tipo RAPD
Para establecer las condiciones de trabajo en la optimización del protocolo a utilizar en la amplificación del ADN mediante el marcador molecular tipo RAPD, se modificaron algunos de los componentes de la mezcla maestra para un volumen total de 30 µL. Inicialmente se probaron diferentes concentraciones de ADN genómico (30 ng µL-1) (1, 2 y 4 ng µL-1 de reacción), una vez ajustada la concentración más adecuada, se procedió entonces a variar la del cebador (100 µM) (1, 2 y 3 ng µL-1) (Tabla II).

En la amplificación por PCR se utilizó un termociclador de la marca TECHNE modelo TC-3000 en el que se siguió un programa de tres horas de duración aproximadamente donde la desnaturalización inicial fue de 5 min a 94 °C; seguida de 35 ciclos compuestos cada ciclo de desnaturalización de 30 s a 94 °C, hibridación a 36 °C durante 30 s y extensión a 72 °C durante 1 min, el programa finaliza con un ciclo de extensión final a 72 °C durante 5 min.
Los productos de amplificación RAPD generados se separaron mediante electroforesis horizontal, en geles de agarosa al 1,5 % (buffer 1X TBE). Se corrieron en cámara electroforética con buffer de conducción eléctrica a igual concentración, a 80 V y se utilizó el marcador de pesos moleculares (1Kb DNA Ladder, INVITROGEN.).
Estos geles, se tiñeron con Bromuro de etidio 0,75 µg mL-1 y se observaron en un transiluminador de luz ultravioleta (312 nm), para la visualización de los fragmentos amplificados.
Una vez estandarizado el protocolo de amplificación del ADN, mediante el marcador molecular tipo RAPD, se procedió a la selección de los cebadores más polimórficos para la posterior caracterización de la colección ex situ de Anonáceas. Para esto se probaron un total de 15 cebadores decaméricos (Tabla III) de Operon Technologies (Alameda CA, EE.UU.) con el ADN de tres genotipos diferentes de las accesiones en estudio.

La mezcla maestra que se utilizó fue la que permitió mejor amplificación del ADN, donde en un volumen total de 30 µL habían 15 µL de Master mix (2X), 3 µL de cebador (10 pmoles µL-1); 0,2 µL de Taq polimerasa (5 U µL-1) (Fermentas), 30 ng de ADN genómico y a completar con agua. En la amplificación de la PCR para la separación de los productos RAPD y su visualización, se siguió la metodología anteriormente descrita. De los productos amplificados, se tomaron fotografías de 300 píxeles/pulgadas y se analizaron manualmente para seleccionar los cebadores que mayor polimorfismo detectaron (las reacciones de PCR se repitieron dos veces).
RESULTADOS Y DISCUSIÓN
Aislamiento de ADN
En la selección del protocolo adecuado de aislamiento de ADN, no se obtuvieron los resultados deseados con el Kit de extracción Nucleon PHYTOpure (Figura 2). Este resultado negativo pude deberse a los elevados niveles de fenolización que se alcanzaron en la mayoría de las accesiones, fundamentalmente en las muestras de la especie A. reticulata. Resultados similares de fenolización han sido obtenidos al extraer el ADN de plantas de Anonáceas conservadas en el banco de germoplasma de Ecuador3 y en Annona senegalensis Pers recolectadas en un bosque de Kachia Kaduna, Nigeria (15).

Esta es una etapa fundamental en el proceso de amplificación del ADN mediante PCR, ya que la presencia de polifenoles, polisacáridos, proteínas, taninos, pigmentos, entre otros; son elementos que dañan el ADN, su precipitación y como consecuencia de ello comprometen posteriores análisis moleculares (9, 16).
La ausencia del ADN también podría deberse a que en este Kit no se utilizan columnas, por lo que el tiempo de exposición del material vegetal y su manipulación fue mayor. Aunque los Kit facilitan el aislamiento del ADN genómico y disminuyen el tiempo de manipulación se ha demostrado, en Tectona grandis L., que la carencia de columnas en estos permite obtener mejores resultados (17), respecto a los métodos clásicos con CTAB (18, 19, 20), empleados en plantas, aunque no superan la calidad que se obtiene con aquellos que si tienen incorporadas columnas.
Por otra parte, se realizó un nuevo aislamiento de ADN mediante Kit de extracción DNeasy® de QIAGEN, con el que se alcanzaron excelentes resultados (Figura 3), pues fue posible obtener un ADN genómico de calidad, pureza y homogeneidad. Esto en gran medida puede deberse a las facilidades y a la calidad que permiten el uso de las columnas. A pesar de los altos costos de estos Kit de extracción de ADN, las grandes ventajas, en cuanto a la obtención de un ADN de calidad, la disminución de la manipulación y el menor número de equipos utilizados, han sido demostrados en especímenes de la familia Juncaceae (21).

Las columnas del kit DNeasy® utilizado en este estudio, tienen como características, según QIAGEN4, el intercambio aniónico. Se plantea que esta propiedad le permite tener una alta afinidad por ácidos nucleicos, junto con el uso de sales caotrópicas que rompen puentes de hidrógeno, aumentando la solubilidad de sustancias no polares en agua, las que afectan fundamentalmente la estructura secundaria de polímeros tales como ADN, ARN y proteínas (17).
La calidad del ADN y la homogeneidad entre las muestras son condiciones fundamentales para la amplificación del mismo (22). Por otra parte, se plantea que la calidad y la pureza de los ácidos nucleicos son dos de los elementos más importantes en los análisis moleculares y la clonación5. Otro criterio, es que contar con protocolos rápidos, fiables y de bajo costo para la extracción de ADN resulta siempre deseable (9).
Amplificación del ADN con el marcador molecular tipo RAPD
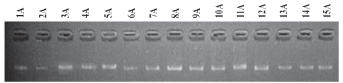
De las tres concentraciones de ADN genómico utilizadas (1, 2, 4 ng µL-1) con los tres genotipos seleccionados para establecer las modificaciones más adecuadas, los mejores resultados se fueron al usar 2 ng µL-1 y aceptables con 1 ng µL-1. Con esta primera se alcanzó un mayor número de bandas (Figura 4).

Como se observa en la figura anterior, con las tres concentraciones de ADN genómico empleadas no se generaron productos de amplificación (bandas) en las amplificaciones de A. squamosa, por tal motivo, se decidió eliminarlas de los restantes análisis. Una de las causas de la ausencia de bandas son que los cebadores utilizados no encontraron zonas de homología del ADN o la calidad del ADN genómico en esta especie.
Aunque en los trabajos de optimización de protocolos con el marcador molecular tipo RAPD, este no es uno de los componentes que se tiende a variar, es necesario ajustar la concentración a utilizar porque afecta las amplificaciones. Los rangos de concentración de ADN más recomendados a usar deben estar entre los 50-100 ng, ya que por encima de este valor se afecta la amplificación por la dilución de los cebadores y por debajo no se obtiene suficiente producto de amplificación (23).
Otro de los componentes que se varían en la mezcla de amplificación es la concentración del cebador. Entre las tres concentraciones utilizadas en la reacción (1, 2 y 3 ng µL-1de reacción) la mejor fue la última (Figura 5). Al aplicar 1 ng µL-1 de cebador no se obtuvo prácticamente producto de la amplificación, solamente una banda en A. reticulata; aunque con 2 ng µL-1 hay un incremento de productos de amplificación este es inferior a lo obtenido con 3 ng µL-1, en el que el patrón de bandas es más característico de un marcador RAPD.

No hay una concentración de cebadores establecida para las amplificaciones, este es un elemento que se ajusta en cada especie y en condiciones diferentes de trabajo (9). Estos mismos autores, pero en la especie Ceratozamia mexicana Brongn. emplearon dosis de cebadores de 1, 2 y 3 ng µL-1; sin embargo, con el primero es suficiente para obtener bandas claras, distintivas y reproducibles.
El ADN de las tres accesiones seleccionadas para el pesquizaje amplificó con los 15 cebadores probados. Los productos de amplificación de estas tres especies, revelaron en los geles para cada una, entre dos y cinco bandas polimórficas (datos no mostrados), lo que se corroboró en ambas réplicas. Finalmente fueron seleccionados los cuatro cebadores más polimórficos: OPA-16, OPH-03, OPH-13 y OPH-18, a partir de los cuales podrá ser estudiada la diversidad genética de la colección.
CONCLUSIONES
El Kit de extracción DNeasy® de QIAGEN permite aislar con calidad y pureza el ADN de las accesiones de la colección ex situ de Anonáceas de Cuba.
Las concentraciones más efectivas en las amplificaciones mediante RAPD en Anonáceas son de 2 ng µL-1 ADN y 3 ng µL-1 del cebador.
BIBLIOGRAFÍA
1. González, L. M. “Aspectos generales sobre la tolerancia a la salinidad en las plantas cultivadas”. Cultivos Tropicales, vol. 23, no. 2, 2013, pp. 27–37, ISSN 0258-5936.
2. Espósito, M. A.; Martin, E.; Cravero, V. P. y Cointry, E. L. “Uso de marcadores morfológicos, bioquímicos y moleculares SRAP para diferenciar variedades de Cynara cardunculus L. (Asteraceae)”. Revista de la Facultad de Ciencias Agrarias. Universidad Nacional de Cuyo, vol. 43, no. 2, diciembre de 2011, pp. 35-45, ISSN 1853-8665.
3. Sánchez-Betancourt, E. y Zarantes, V. M. N. “Evaluación de marcadores moleculares tipo SCAR para determinar sexo en plantas de papaya (Carica papaya L.)”. Revista Corpoica Ciencia y Tecnología Agropecuaria, vol. 9, no. 2, 23 de diciembre de 2013, pp. 31-36, ISSN 0122-8706.
4. van Zonneveld, M.; Dawson, I.; Thomas, E.; Scheldeman, X.; van Etten, J.; Loo, J. y Hormaza, J. I. “Application of Molecular Markers in Spatial Analysis to Optimize In Situ Conservation of Plant Genetic Resources” [en línea]. En: eds. Tuberosa R., Graner A., y Frison E., Genomics of Plant Genetic Resources, edit. Springer Netherlands, Dordrecht, 2014, pp. 67-91, ISBN 978-94-007-7571-8, [Consultado: 8 de octubre de 2015], Disponible en: http://link.springer.com/10.1007/978-94-007-7572-5_4
5. Perera, M. F.; García, M. G.; Noguera, A. S.; Sepúlveda Tusek, M.; Filippone, M. P. y Castagnaro, A. P. “Evaluación de la variación somaclonal en vitroplantas de caña de azúcar mediante marcadores moleculares”. Revista industrial y agrícola de Tucumán, vol. 87, no. 2, diciembre de 2010, pp. 13-21, ISSN 1851-3018.
6. Valdés de la Cruz, M.; González, C.; Lara, R. M.; Román, M. I.; Hernández, Y.; Hernández, R. M.; Cabrera, M. y Torrecilla, G. “Diversidad genética de especies silvestres del género Nicotiana I: caracterización mediante marcadores bioquímicos”. Revista de Protección Vegetal, vol. 25, no. 2, agosto de 2010, pp. 88-97, ISSN 1010-2752.
7. Bautista-Puga, M.; Vazquez-Garcia, L. M.; Leszczynska-Borys, H.; Borys, M. W. y Arzate-Fernandez, A. M. “Characterization of aztec lily through morphological and molecular markers”. Agrociencia, vol. 45, no. 4, 2011, pp. 413–422, ISSN 1405-3195.
8. Rojas, K. M.; Roa, M.; Briceño, I.; Guaneme, C. y Gómez, A. “Polimorfismos de 17 marcadores STR del cromosoma-Y en una muestra poblacional del altiplano cundiboyacense”. Colombia Médica, vol. 42, no. 1, marzo de 2011, pp. 88-97, ISSN 1657-9534.
9. Sanchez-Coello, N.; Luna-Rodriguez, M.; Vazquez-Torres, M.; Rafael Sanchez-Velasquez, L.; Santana-Buzzy, N.; Octavio-Aguilar, P. y Georgina Iglesias-Andreu, L. “Optimization of a protocol for dna isolation and issr-pcr amplification system for ceratozamia mexicana brongn (Zamiaceae)”. Revista Chapingo Serie Ciencias Forestales y del Ambiente, vol. 18, no. 1, 2012, pp. 127–137, ISSN 2007-3828.
10. FAO. Normas para bancos de germoplasma de recursos fitogenéticos para la alimentación y la agricultura. Edición revisada ed., edit. Organización de las Naciones Unidas para la Alimentación y la Agricult, Roma, 2014, 126 p., ISBN 978-92-5-308262-9.
11. Lobo, M. A. y Medina, C. I. C. “Conservación de recursos genéticos de la agrobiodiversidad como apoyo al desarrollo de sistemas de producción sostenibles”. Revista Corpoica Ciencia y Tecnología Agropecuaria, vol. 10, no. 1, 24 de diciembre de 2013, pp. 33-42, ISSN 0122-8706.
12. Rao, V. R.; Brown, A. H. D. y Jackson, M. Managing Plant Genetic Diversity. edit. CABI, 13 de diciembre de 2001, 510 p., ISBN 978-0-85199-886-2.
13. Cubero Salmeron, J. I. Introducción a la Mejora Genética Vegetal [en línea]. 2.. ed., edit. Mundi-Prensa, Madrid, España, 2003, ISBN 84-7114-813-7, [Consultado: 28 de marzo de 2015], Disponible en: http://www.sidalc.net/cgi-bin/wxis.exe/?IsisScript=LIBROS.xis&method=post&formato=2&cantidad=1&expresion=mfn=007740
14. Cota, L.; Vieira, F.; Melo J; Brandão, M.; Santana, K.; Guedes, M. y Oliveira, D. “Genetic diversity of Annona crassiflora (Annonaceae) in northern Minas Gerais State”. Genetics and Molecular Research, vol. 10, no. 3, 2011, pp. 2172-2180, ISSN 1676-5680, DOI 10.4238/vol10-3gmr1188.
15. Ukwubile, C. A. “Genomic DNA extraction method from Annona senegalensis Pers. (Annonaceae) fruits”. African Journal of Biotechnology, vol. 13, no. 6, 5 de febrero de 2014, pp. 749-753, ISSN 1684-5315, DOI 10.5897/AJB12.2956.
16. Puchooa, D. “A simple, rapid and efficient method for the extraction of genomic DNA from lychee (Litchi chinensis Sonn.)”. African Journal of Biotechnology, vol. 3, no. 4, 25 de octubre de 2004, pp. 253-255, ISSN 1684-5315, DOI 10.4314/ajb.v3i4.14954.
17. Quiala, E.; Valledor, L.; Hazbun, R.; Barbón, R.; Feria, M. de; Chávez, M. y Rodríguez, R. “Estandarización de un protocolo de obtención de ADN genómico para la cuantificación de 5mC en brotes epicórmicos de Tectona grandis L”. Biotecnología vegetal, vol. 8, no. 1, 2008, pp. 51–56, ISSN 2074-8647.
18. Dellaporta, S. L.; Wood, J. y Hicks, J. B. “A plant DNA minipreparation: Version II”. Plant Molecular Biology Reporter, vol. 1, no. 4, 1 de septiembre de 1983, pp. 19-21, ISSN 0735-9640, 1572-9818, DOI 10.1007/BF02712670.
19. Doyle, J. J. “Isolation of plant DNA from fresh tissue”. Focus, vol. 12, 1990, pp. 13-15.
20. Aras, S.; Duran, A. y Yenilmez, G. “Isolation of DNA for RAPD analysis from dry leaf material of some Hesperis L. specimens”. Plant Molecular Biology Reporter, vol. 21, no. 4, 3 de septiembre de 2012, pp. 461-462, ISSN 0735-9640, 1572-9818, DOI 10.1007/BF02772597.
21. Drábková, L.; Kirschner, J. y Vlcek, C. “Comparison of seven DNA extraction and amplification protocols in historical herbarium specimens of juncaceae”. Plant Molecular Biology Reporter, vol. 20, no. 2, 3 de septiembre de 2012, pp. 161-175, ISSN 0735-9640, 1572-9818, DOI 10.1007/BF02799431.
22. Oropeza, M.; Marilyn R, E. A. y Vargas C, T. E. “Establecimiento de un protocolo rapds eficiente para plantas de ñame”. Agronomía Tropical, vol. 56, no. 4, diciembre de 2006, pp. 601-606, ISSN 0002-192X.
23. Almeida, I. P.; Graterol, L. R. A.; Osorio, G.; Ramis, C.; Bedoya, Á. M.; Figueroa, R.; Molina, S. y Infante, D. “Método modificado de obtención de ADN genómico en orquídeas (Cattleya spp.) para amplificación con marcadores moleculares”. Bioagro, vol. 23, no. 1, 2011, pp. 27–34
Notas