Revisión Bibliográfica
Análisis comparativo de indicadores químicos de la hoja y diterpenos de exudados foliares de Nicotiana tabacum L.
Comparative analysis of leaf chemical indicators and diterpenes from leaf exudates of Nicotiana tabacum L.
Análisis comparativo de indicadores químicos de la hoja y diterpenos de exudados foliares de Nicotiana tabacum L.
Cultivos Tropicales, vol. 37, pp. 127-135, 2016
Instituto Nacional de Ciencias Agrícolas

Recepción: 15 Mayo 2015
Aprobación: 18 Enero 2016
Resumen: Las plantas son una fuente extraordinaria para el aislamiento de productos naturales. El descubrimiento de nuevos metabolitos es esencial para el desarrollo de químicos en diferentes industrias. El objetivo de esta investigación es determinar la composición química de la hoja y de los extractos etanólicos obtenidos a partir de exudados foliares de diez accesiones no comerciales de Nicotiana tabacum L., dos de ellas cubanas, para proponer su uso en la obtención de productos naturales bioactivos o en la inclusión de ellas en programas de mejoramiento genético con fines comerciales. Los indicadores morfológicos y químicos evaluados mostraron diferencias entre accesiones. La accesión Nic 1016 mostró la mayor altura y número de hojas, junto a las accesiones Nic 1061 y SNN mientras que la accesión cubana BHmN se mantuvo por debajo de todas las accesiones. Las accesiones evaluadas mostraron una diversidad química de los extractos crudos a partir de los exudados foliares y cuatro de ellas (Nic 1017, Nic 1003, CE y BHmN) mostraron la presencia del diterpeno cis abienol, metabolito secundario de interés por sus potenciales de aplicación. La Nic 1017 mostró los mejores indicadores de composición química de la hoja y la BHmN los menos adecuados, que influyen en la calidad. Estos resultados permiten realizar un acercamiento a una determinación morfológica comparativa entre accesiones y una caracterización química de la composición de la hoja y de los extractos obtenidos a partir de las accesiones de tabaco no antes caracterizadas, con posible actividad biológica.
Palabras clave: aislamiento, composición química, indicadores, mejoramiento genético, tabaco.
Abstract: Plants are a great source for the isolation of natural products. The discovery of novel metabolites from plants is essential for the development of chemicals used in different industries. The objective of this research is to determine the chemical composition of leaf and ethanolic leaf exudates from 10 noncommercial accessions of Nicotiana tabacum L., two of them cuban, to propose their use for the production of bioactive natural products or their inclusion in breeding program to commercial purposes. The morphological and chemical indicators evaluated showed differences among accessions. The accession Nic 1016 showed the highest height and number of leaves, together with Nic 1061 and SNN while BHmN remained low compared with the rest of accessions. Accessions showed a chemical diversity of the crude extracts from leaf exudates and four of them (Nic 1017, Nic 1003, CE y BHmN) showed the presence of diterpene cis abienol, secondary metabolite of interest due to its potential application. The accession Nic 1017 showed the best indicators of leaf chemical composition with influence in quality and BHmN showed the indicators less adequate. These results allow a comparative morphological approach to determine the chemical characterization of the leaf composition and the obtained extracts using tobacco accessions not fully characterized before with possible biological activity.
Keywords: isolation, chemical composition, indicator, genetic improvement, tobacco.
INTRODUCCIÓN
Las plantas constituyen una fuente importante de diversidad natural por la gran cantidad de compuestos que sintetizan, muchos de los cuales son útiles en la agricultura, la medicina humana, en la preservación de alimentos, en el control de enfermedades, (1, 2, 3, 4, 5, 6). Los aspectos morfológicos de las plantas determinados por la genética entre otros factores, están en estrecha relación con la existencia de esta amplia diversidad química en la composición de los metabolitos entre diferentes especies (7). Semejante diversidad química es consecuencia del proceso evolutivo que ha llevado a la selección de especies con mejores defensas contra el ataque microbiano, o la depredación de insectos y animales (7). Hoy en día se sabe que estos metabolitos tienen un rol importante en el mecanismo defensivo de las plantas (8). Por lo tanto, debido al impacto negativo que provoca el uso desmedido de plaguicidas sintéticos sobre la fauna benéfica, el hombre y en general sobre el medio ambiente (9, 10), en los últimos años se está retornando al uso de las plantas como fuente de plaguicidas más seguros (11, 12). Estos productos naturales se presentan como alternativa al uso de productos sintéticos para el control de plagas (13).
El tabaco (Nicotiana tabacum L.) es una planta modelo de la familia Solanácea, a la que pertenecen cultivos de importancia agrícola como el tomate y la papa. El tabaco es resistente al medio, de ciclo corto, de fácil cultivo. Se conocen las propiedades curativas y plaguicidas de la planta de tabaco, por sus características y presencia de compuestos que le confieren además propiedades organolépticas y una alta productividad, así como también la presencia de tricomas glandulares en las hojas, involucrados en la secreción de compuestos, principalmente diterpenos y ésteres de azúcares en los exudados de la superficie de las hojas (14). El aislamiento de estos compuestos de la superficie foliar, permite obtener estos productos con un menor grado de contaminación de los constituyentes del interior de la hoja. Todas estas características convierten al tabaco en un cultivo atractivo para el estudio de indicadores químicos de las hojas, que son de gran importancia en la calidad del producto con fines comerciales, la aleloquímica y los usos alternativos del tabaco para la obtención de productos naturales con diferentes fines (15).
No obstante a todo lo conocido del tabaco, se desconocen comparativamente las características químicas y morfológicas de accesiones no comerciales de Nicotiana tabacum L. Este trabajo tiene como objetivo determinar la composición química de la hoja y de los extractos obtenidos a partir de exudados foliares de accesiones de Nicotiana tabacum L, para proponer su uso en la obtención de productos naturales bioactivos o su inclusión en programas de mejoramiento genético con fines comerciales.
MATERIALES Y MÉTODOS
1. Determinación de indicadores morfológicos de accesiones de tabaco seleccionadas
Se seleccionaron diez accesiones de tabaco para la experimentación que mostraron en investigaciones previas diferentes perfiles de diterpenos en extractos diclorometánicos (datos no mostrados), ocho de ellas se proporcionaron por el Banco de Germoplasma del IPK-Gatersleben, Alemania: Nic 1003 (“TI 66”), Nic 1006 (“TI 193”), Nic 1015 (“TI 1341”), Nic 1016 (“Incekara”), Nic 1017 (“Red Russian”), Nic 1019 (“TI 998”), Nic 1061 (“TI 1738”) y SNN (Samsun NN), las accesiones BHmN y CE (Corojo Especial) por el Centro de Ingeniería Genética y Biotecnología, Habana, Cuba. Las semillas se sembraron en semillero y bandejas flotantes1 que se llenaron con una mezcla compuesta por suelo sustrato zeolita (55:40:5) (m:m:m) en la Estación Experimental del Tabaco de Cabaiguán, perteneciente al Instituto de Investigaciones del Tabaco. Se utilizó un suelo pardo sialítico carbonatado. Se desinfectó el suelo al inocular el patógeno antagonista Trichoderma sp. y como sustrato se utilizó cachaza y paja de arroz (3:2:1) (m:m:m). A los siete días de sembradas se le aplicó el fertilizante al agua 3 Kg de fórmula completa: nitrógeno, fósforo y potasio (NPK+Mg) 5-12-6-2,6, a los 21 días se volvió a aplicar al agua 100 g del mismo fertilizante.
A los 45 días las plantas se individualizaron y se trasplantaron a las bolsas de polietileno con capacidad para 6 kg, se llenaron con suelo cachaza zeolita (3:2:1) (m:m:m) respectivamente. Se trasplantaron un total de diez plantas por accesión que crecieron hasta los 70 días después del trasplante.
Después de 14 días de su trasplante a las bolsas se evaluaron los indicadores morfológicos cada 14 días cómo, número de hojas y altura de la planta, para un total de cinco evaluaciones hasta los 70 días.
2. Obtención, separación e identificación de extractos crudos ricos en diterpenos obtenidos a partir de exudados foliares de hojas frescas de accesiones de tabaco
2.1 Obtención de extractos crudos etanólicos de exudados foliares de tabaco
Se obtuvieron extractos crudos de exudados foliares a partir de todas las hojas de tres plantas de las diez accesiones seleccionadas, a los 70 días de trasplantadas a las bolsas con el empleo de 500 mL de etanol al 90 % como solvente y se concentraron hasta un volumen de 50 mL en el laboratorio de Ingeniería Metabólica del Centro de Bioplantas. El extracto se almacenó a 4 ºC para su análisis posterior (16).
2.2 Separación e identificación de diterpenos de extractos crudos obtenidos a partir de exudados foliares de accesiones de tabaco por cromatografía en capa fina (CCF)
Para determinar la presencia de compuestos en los extractos etanólicos de exudados foliares obtenidos se realizaron cromatografías de capa fina en placas de silicagel sobre tarjetas de aluminio (DC-60 F 254, 20 x 10 cm, MERCK) en el Instituto de Fitomedicina de la Universidad de Hohenheim, Stuttgart. Se aplicaron 20 μL de cada extracto preparado a una concentración de 10 μg μL-1 con una separación de 1 cm entre ellos. Se utilizó el siguiente sistema de solvente para las corridas cromatográficas: Terbutyl Metil Éter (TBME): Isooctano: Metanol (50:50:10; v:v:v). Las placas se observaron a 254 nm y 366 nm.
3. Determinación de indicadores químicos en hojas secas de accesiones de tabaco
Se tomaron al azar 30 hojas de tabaco de diferentes partes de la planta de varias plantas por accesión, se ensartaron en cujes de tabaco y se colocaron en la casa de curado para su secado y curación durante 55 días, posteriormente se enviaron dichas muestras al Instituto de Investigaciones del Tabaco de la Habana para evaluarle los siguientes indicadores químicos: K2O (%), Na2O (%), CaO, MgO, Cu (mg kg-1), Zn(mg kg-1), Mn(mg kg-1), Fe(mg kg-1), Nitrógeno (%), Nicotina (%), Cl (%), Cenizas (%), pH y Alcalinidad. Los análisis se realizaron de acuerdo a los métodos establecidos en el Laboratorio de Agroquímica del Instituto de Investigaciones del Tabaco2.
4. Análisis estadístico
El análisis de los datos se realizó con el utilitario Statistical Package for Social Sciences (SPSS) (versión 15 para Windows) (17). Se realizaron pruebas paramétricas (ANOVA de un factor y bifactorial). Se aplicaron pruebas de Tukey HSD en los casos en los cuales los ANOVA presentaron diferencias significativas. Previamente se demostró que los datos de cada tratamiento cumplían los supuestos de distribución normal y homogeneidad de varianzas, según las pruebas Kolmogorov-Smirnov y Levene respectivamente para p=0,05. Los detalles del tratamiento estadístico aparecen en cada Tabla en resultados y discusión.
RESULTADOS Y DISCUSIÓN
1. Indicadores morfológicos de accesiones de tabaco seleccionadas
Los indicadores morfológicos evaluados muestran las diferencias entre accesiones para cada momento de evaluación.
Todas las plantas de las accesiones evaluadas presentaron un incremento de la altura y el número de hojas al transcurrir el tiempo acorde con el crecimiento de las plantas (Tablas I y II). La gran mayoría de las accesiones mostraron una altura y un número similar de hojas a los 14 días después del trasplante a bolsas con excepción de la accesión 1016 que mostró valores superiores a todas.
Con el transcurso del tiempo el ritmo de crecimiento de las accesiones se mostró diferente, tal es el caso de la accesión 1061 que incrementó su altura y número de hojas considerablemente a partir de los 28 días después del trasplante a las bolsas para lograr ser una de las accesiones con mayor altura y número de hojas junto a las accesiones 1016 y SNN al final del experimento. La accesión BHmN siempre se mantuvo por debajo en altura de todas las accesiones, similar a la Nic1015.
En la dinámica del crecimiento la mayoría de las accesiones desarrollaron de dos a tres hojas cada 14 días (Tabla II). Para el caso de la Nic 1061 y SNN el crecimiento y desarrollo de las hojas fue mayor, al formarse alrededor de cuatro a siete hojas cada 14 días sobre todo en los primeros 42 días después del trasplante a las bolsas (Tabla II).
El indicador número de hojas por planta conjuntamente con el área foliar, son aspectos importantes en este cultivo dónde las hojas son el órgano vegetal fundamental, tanto por ser el órgano de la fotosíntesis del cual se deriva un eficiente crecimiento y desarrollo, como que es uno de los pocos cultivos, que llega al mercado en forma de hojas.
A los 70 días después del trasplante a las bolsas, las accesiones con mayor altura y número de hojas fueron Nic 1016, SNN y Nic 1061 (Tablas I y II). Estos dos parámetros generalmente tienden a estar muy relacionados porque a medida que la planta crece en altura emite un mayor número de hojas durante este crecimiento. Las plantas con mayor altura se encontraron en las accesiones mencionadas anteriormente pero sin diferencia con la accesión CE, cubriendo valores entre 60 y 68 cm aproximadamente, lo que corresponde a una altura esperada para la edad de las plantas en condiciones de bolsas en casas de cultivo. Las plantas con estatura mediana presentaron valores entre 45 y 55 cm aproximadamente. La accesión de menor altura fue la BHmN sin diferencia con las accesiones Nic 1015 y Nic 1003 (Tabla I).

(ANOVA bifactorial, Tukey, p≤0,05, n = 8)
Para el caso del número de hojas, a los 70 días se definen tres grupos; un primer grupo comprendido por las accesiones Nic 1016, SNN y Nic 1061 con los mayores valores entre 18 y 19 hojas por planta, un segundo grupo en el que se encuentra la accesión Nic 1003 con 16 hojas y un tercer grupo representado por el mayor número de accesiones con valores de entre 12 y 14 hojas por planta (Tabla II).

(ANOVA bifactorial, Tukey, p≤0,05, n = 8)
Estos resultados permiten realizar un acercamiento a una determinación morfológica comparativa de desarrollo dinámico entre accesiones, analizando estos indicadores morfológicos para su caracterización parcial, pero no determinan en la producción de compuestos específicos en tricomas y la superficie de la hoja, ni en la composición química del interior de la hoja, ni en la actividad biológica de los mismos. La composición química está determinada genéticamente pero en relación con la presencia de estructuras especializadas en la hoja involucradas en la síntesis y almacenamiento de los metabolitos presentes en ella (14, 18, 19, 20). Por supuesto, una vez que la accesión muestre la capacidad de síntesis de un metabolito determinado, una planta que produce una adecuada altura y por consiguiente un gran número de hojas con un área foliar considerable, pudiera producir grandes cantidades del metabolito de interés. Por lo que, el conocimiento de los aspectos morfológicos es importante a la hora de establecer un proceso de producción.
2. Separación e Identificación de compuestos presentes en los exudados foliares de hojas frescas
2.1 Obtención de extractos crudos etanólicos de exudados foliares de tabaco
Se obtuvieron extractos crudos etanólicos a partir de los exudados foliares de tabaco de las diez accesiones a los 70 días después del trasplante a las bolsas, que presentaron diferencias entre ellos en cuanto a concentración y rendimiento de los extractos (16).
2.2. Separación e Identificación por cromatografía en capa fina (CCF) de extractos etanólicos
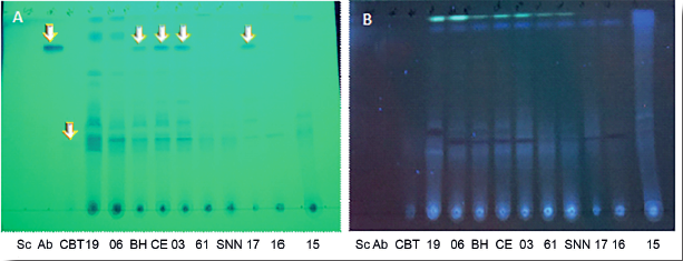
La cromatografía en capa fina de los extractos reveló una diversidad en la composición química dada por la accesión de tabaco, así como también la concentración de los extractos y los compuestos mayoritarios en todos los casos (Figura 1). Al observar las CCF a las dos longitudes de onda, se detectó un mayor número de compuestos a 254 nm y un menor número de compuestos a 366 nm por lo que la CCF observada a 254 nm nos permite comparar la presencia diferencial de varios compuestos. La CCF mostró que el esclareol (Sc), un diterpeno de tipo labdano de Salvia sclarea, utilizado como patrón en este ensayo, no es visible a la luz ultravioleta, por lo que en estas condiciones no es posible determinar la presencia de este diterpeno en los exudados etanólicos obtenidos. La presencia de cis abienol, otro diterpeno de tipo labdano se observó en las accesiones Nic 1003, Nic 1017 y en las cubanas BHmN y CE.

A: CCF observada a 254 nm
B: CCF observada a 366 nm para la separación de los extractos crudos etanólicos obtenidos a partir de exudados foliares de diez accesiones de tabaco
19: Nic 1019, 06: Nic 1006, BH: BHmN, CE: Corojo Especial, 03: Nic 1003, 61: Nic 1061, SNN: Samsun NN, 17: Nic 1017, 16: Nic 1016, 15: Nic 1015. Patrones: Sc: esclareol, Ab: cis Abienol, CBT: α-CBT diol
No se observó presencia de cis abienol en el resto de las accesiones evaluadas. El máximo de absorción para el cis abienol es de 238 nm por lo que a 254 nm se puede observar mucho mejor que para 366 nm, es por ello que en estas condiciones podemos observar una banda en la CCF a la altura que corresponde según las características de la corrida. Se comprobó que estos extractos etanólicos muestran la presencia de este diterpeno, excepto para la SNN que en estos extractos carecen de este compuesto por lo que consideramos que las semillas adquiridas no son SNN originales. La presencia o ausencia de estos compuestos en los tricomas y superficies foliares está determinada genéticamente, por lo que además constituye un indicador que caracteriza a cada una de estas accesiones y permite conjuntamente con los otros descriptores comprobar la autenticidad del material vegetal. Determinar la presencia de cis abienol en accesiones no comerciales de tabaco, permite determinar fuentes naturales de este compuesto, lo que es de gran importancia teniendo en cuenta las nuevas perspectivas de la ingeniería metabólica en las múltiples aplicaciones de este compuesto. Se tienen en cuenta sus propiedades como precursor de importantes compuestos del sabor y aroma del tabaco durante el proceso de curado de la hoja (20). Además, la aplicación de este compuesto en la industria de perfumes por sus cualidades, basadas en la estructura química y enzimas involucradas en su síntesis (21), que proporcionan en ocasiones un mejor material de partida a partir del cis abienol que del esclareol ya usado para estos fines (22). Se destaca su relación con la defensa de la planta de tabaco a patógenos (8) y su actividad inhibitoria de la enfermedad bacteriana del Wilt producida por la bacteria Ralstonia solanacearum en tomate, tabaco y arabidopsis entre otras (23).
Para el caso del patrón de a-CBT diol se aprecia una banda tenue en la CCF observada a 254 nm. El máximo de absorción de los diterpenos de tipo cembreno (a, ß-CBTdioles y a,ß-CBT oles) es 210 nm, por lo que se explica que a 254 nm la banda esperada sea tenue incluso cuando la cantidad aplicada sea alta. Por tanto, determinar la presencia de este compuesto en los extractos de exudados foliares obtenidos resulta difícil en estas condiciones de corrida y revelado además de la presencia de otras bandas alrededor de la altura esperada.
Un menor número de compuestos, bajo las condiciones de corrida utilizadas, quedan retenidos en el punto de aplicación y otros se escapan con el frente de corrida no obstante este sistema permite la separación de una gran cantidad de compuestos de interés de los extractos crudos, la identificación del cis abienol y muestra la diversidad química que presentan los extractos, lo que presupone a una amplia diversidad de aplicaciones potenciales de los mismos. La separación e identificación por HPLC permitiría comprobar la presencia de estos diterpenos de interés y otros compuestos.
Resultados similares en la composición química de exudados foliares se han encontrado en un gran número de accesiones de Nicotiana pertenecientes al germoplasma del USDA (United States Department of Agriculture) y a las colecciones del Instituto de Tabaco Bergerac de Francia que mostraron una variación considerable entre ellas en cuanto a la presencia y contenido de los diferentes tipos de diterpenos (20). Se cree que esta diversidad es el resultado de una variación intraespecífica, se ha visto que las variedades de tipo Burley sólo producen diterpenos de tipo cembranoides, mientras que las de tipo oriental producen diterpenos de tipo labdanoides en general cis abienol y los cembranoides (14, 20).
3. Indicadores químicos hojas secas de accesiones de tabaco seleccionadas
La composición química foliar es determinante en la calidad del tabaco como producto fumable pero también en el crecimiento y desarrollo de la planta de tabaco, por tanto en la caracterización de la misma. El análisis foliar es además herramienta útil para el manejo de la nutrición de los cultivos agrícolas en general, que lleva un determinado procesamiento de la muestra en dependencia del cultivo para que este análisis sea eficaz (24). La Tabla III muestra los resultados de la caracterización química de las accesiones evaluadas. La variabilidad en todos los indicadores químicos estudiados podría ser de valor para los bancos de germoplasmas de tabaco, como base de futuros programas de mejoramiento genético en la obtención de nuevas variedades con fines comerciales.
Las accesiones evaluadas en la mayoría de los indicadores evaluados presentaron valores con diferencias significativas entre ellas lo que demuestra que estas accesiones seleccionadas contrastantes en la presencia de diterpenos en los exudados foliares también son contrastantes para estos indicadores (Tabla III).

Una de las propiedades apreciadas por el fumador es el porciento de cenizas, así como la calidad de ellas y la combustibilidad de la hoja. Esto está determinado por varios factores y por tanto varios indicadores químicos influyen. Los elementos fundamentales constituyentes de las cenizas son K, Ca y Cl, otros elementos como Mg, Na, entre otros también influyen. El porciento de cenizas en las accesiones evaluadas se comportó entre un 24 y 29 %. La accesión Nic 1003 presentó el mayor porciento de cenizas con un valor promedio de 29,33 % mientras que la Nic 1015 el menor valor con promedio de 24,07 %. Además del porciento es importante en este caso la calidad de las cenizas y la combustibilidad. El principal constituyente de la ceniza es el K y el segundo el Ca, estos son antagónicos por lo que mientras el K aumenta combustibilidad, el Ca la disminuye. Un adecuado balance de ambos influye en una mejor estructura y elasticidad de la hoja dado por el K y una ceniza más blanca dado por el Ca. Los resultados indican que no se mostraron insuficiencias de estos elementos en las accesiones evaluadas al presentar valores de K2O por encima de un 2 % y de CaO por encima de un 1 %. Se destaca la accesión Nic 1017 con el mayor valor de K2O (4,86 %) y el menor valor lo presentó la accesión Nic 1006 (3,42 %). Se plantea que valores superiores al óptimo pueden aún servir para compensar excesos de otros elementos perjudiciales como N y Cl, aunque no es recomendable que estos valores sean superiores al 6 % ya que las hojas se vuelven quebradizas e impropias para tabacos de capa (25). Ninguna de las accesiones evaluadas excede este valor. El mayor valor de CaO lo muestra la accesión SNN con un 8,86 % y el menor la BHmN con un 3,15 % (Tabla III).
Los nutrientes tienen un rol importante en la planta de tabaco, sólo una nutrición balanceada puede conducir a la obtención de una cosecha elevada de hojas de alta calidad. El tabaco absorbe una cantidad relativamente grande de nutrientes y esta varía dependiendo del tipo de tabaco cultivado (26).
En las accesiones evaluadas se muestran valores de Cl- desde un 1,19 % (BHmN) hasta un 2,3 % (CE y Nic 1003). Una cantidad adecuada de Cl- es aproximadamente 0,5 %, lo que le confiere una mejor textura a la hoja y por consiguiente posibilita una mejor manipulación de la misma. Los valores de Cl- por encima de un 1,1 % pueden generar problemas de combustibilidad en las hojas y por encima de 3 % la hoja no arde, por lo que los valores de las accesiones evaluadas no son adecuados por excederse al 1,1 %, aunque ninguno se excede a un 3 %.
Es conocido que una relación K+/Cl- alta también suele ser sinónimo de elevada combustibilidad, propiedad muy apreciada por el fumador. Los valores más altos lo muestra la BHmN y los menores las accesiones CE y Nic 1003, dados fundamentalmente por los valores de Cl-, esto manifiesta que la BHmN es la accesión que podría presentar menos problemas con la combustibilidad aunque esta relación no determina por si sola esta propiedad.
Los valores de MgO de las accesiones BHmN, Nic1016, Nic 1006 y Nic 1019 se encontraron por debajo del 1 %. Los valores de MgO entre 0,5 y 2 % son considerados normales y determinan la calidad de la hoja en masa y elasticidad (26), así como una ceniza compacta y blanca, esto sólo se observó en las restantes seis accesiones de las diez evaluadas. La accesión Nic 1003 presentó el mayor valor (1,32 %).
Los mayores valores de cobre (Cu) entre 20 y 22 mg kg-1, lo presentan las accesiones Nic 1015, Nic 1006, Nic 1003 y CE, mientras que los menores valores lo presenta la BHmN junto a la Nic1019 sin diferencias significativas entre ellas (11 y 12 mg kg-1 respectivamente). Para el caso del cinc (Zn) los mayores valores lo presentó la accesión SNN con 89 mg kg y los menores valores las accesiones BHmN y Nic 1019 con 33 y 32 mg kg-1 respectivamente sin diferencias significativas entre ellas. Para el manganeso (Mn) los mayores valores lo presentó la accesión Nic 1017 con 78 mg kg-1 y los menores valores las accesiones BHmN y Nic 1019 con 6 y 8 mg kg-1 respectivamente.
Estos tres elementos se han vinculado a determinados procesos fisiológicos de la planta, sobre todo enzimáticos como cofactores, pero no se ha determinado claramente su influencia directa sobre la calidad del tabaco. Es notable que en los tres casos la BHmN y la Nic 1019 presentan las menores cantidades de ellos. El hierro (Fe) por su parte mostró valores desde 90 mg kg-1 con la accesión Nic 1061 y hasta 40 mg kg-1 con la accesión Nic 1017. El Fe es indispensable en la formación de clorofila e interviene en la coloración carmelita de la hoja después de la fermentación, además es un componente enzimático, relacionado con la respiración y con la regulación de la síntesis de proteínas.
La BHmN también presenta un mayor porciento de nitrógeno, de un 5,23 %, mientras que la accesión Nic 1017 es la que presenta un menor valor de 3,78 %. El porciento normal de nitrógeno está en dependencia del tipo de tabaco pero para tabaco en general se refieren valores entre 2 y 5 % y los síntomas de deficiencia comienzan a aparecer en valores por debajo de 1,5 %. Un exceso de nitrógeno en la hoja conduce a un contenido excesivo de proteínas, lo que es perjudicial para la combustibilidad, es indicador de falta de madurez en hojas jóvenes y además provoca un sabor amargo al fumador. Este elemento esta además vinculado con la formación de compuestos como la clorofila y la nicotina (26). También se realizó un análisis de la composición química de las hojas de tabaco cultivadas en condiciones controladas, teniendo en cuenta diferentes niveles foliares y los relacionó con los indicadores de calidad (24). El estado nutricional de forma general mostró valores de N, Ca, Mg y K en las accesiones evaluadas superiores a los informados para hoja entera que representa todas las partes de la hoja a nivel foliar central de la planta de la variedad Criollo-98 con buen crecimiento vegetativo y buena apariencia nutricional (24), mientras que los valores correspondientes a Na, Fe, Mn, Cu, Zn fueron muy inferiores a esta en todas las accesiones evaluadas.
Otra característica importante y que determina la fortaleza del habano, es el porcentaje de nicotina. Un porcentaje de este alcaloide superior al 3 % puede ser la causa principal de tabacos con elevada fortaleza y por tanto va aparejado con la madurez y contrario al contenido de nitrógeno y proteínas (26). Los mayores valores de nicotina se encuentran en la accesión Nic 1017 con 3,78 %, y este es el único superior al 3 %, mientras que los menores lo presentan la BHmN y la Nic 1006 con 0,87 y 0 88 % respectivamente.
Los valores de pH se encuentran entre 5,8 con la accesión SNN y alrededor de 5,3 con las accesiones BHmN, Nic 1019, CE, Nic 1003 y Nic 1006 que no mostraron diferencias significativas entre ellas, los segundos valores más altos de pH lo presentan las accesiones Nic 1017 y Nic 1061 con aproximadamente 5,5 y no presentan diferencias significativas con las accesiones restantes (Nic 1015 y Nic 1016) con valores similares. El tejido verde presenta un pH ácido entre 4,8 y 5,6, en el proceso de secado la destrucción de los ácidos provoca un aumento de pH por lo que en tejido seco el pH de la hoja de tabaco se encuentra entre 5,0 y 6,8 según el tipo de tabaco (Virginia, Oriental o Negro). Un aumento del pH es adecuado ya que aumenta la volatilización del amoníaco y así desaparecen sustancias irritantes. Los valores de alcalinidad estuvieron entre 1,26 con la accesión Nic 1017 y 0,73 con la accesión Nic 1016.
Otros investigadores también realizaron un estudio sobre otros indicadores químicos de la hoja de tabaco además de los ya mencionados (24), brindando una información más detallada acerca del papel de los constituyentes químicos sobre la calidad de la hoja (26).
Es necesario señalar que ninguna de estas accesiones es comercial con excepción de la CE que es una variedad comercial en desuso, además por no haber sido cultivadas en sus mejores condiciones para desarrollar un follaje adecuado con la calidad requerida, se espera que todos estos indicadores de calidad evaluados en su mayoría no sean adecuados, pero si resulta interesante esta caracterización química de la hoja, en la búsqueda de accesiones con rasgos a considerar en un programa de mejoramiento genético en la obtención de nuevas variedades de tabaco que además combinen con la presencia de diterpenos y ésteres de azúcares en la superficie foliar que también están involucrados en conferir propiedades organolépticas a la hoja y resistencia de la planta de tabaco a enfermedades, como es el caso del cis abienol en la enfermedad de la pata prieta ocasionada por Phytophthora nicotianae (8).
De todos estos resultados podemos concluir que la accesión Nic 1017 mostró de forma general los mejores indicadores de composición química de la hoja que influyen en la calidad y la BHmN los menos adecuados. Por lo que la accesión Nic 1017, por su composición química en la hoja seca, así como la presencia de cis abienol en los exudados foliares, podría tenerse en cuenta su inclusión en programas de mejoramiento genético para la obtención de nuevas variedades con fines comerciales.
En cuanto a la obtención de extractos etanólicos de exudados foliares, todas las accesiones, debido a su diversidad química, resultan interesantes en la búsqueda de nuevos compuestos con actividades biológicas específicas destacándose las accesiones Nic 1006 y Nic 1003 de mayor rendimiento y Nic 1015 de actividad antibacteriana específica contra Xanthomonas campestris y Pectobacterium carotovorum (16).
CONCLUSIONES
La accesión Nic 1016 es la de mayor altura y número de hojas, junto con las accesiones Nic 1061 y SNN después de los 42 días del trasplante a bolsas. La accesión BHmN se mantuvo por debajo de las otras accesiones en altura y número de hojas.
Los extractos crudos etanólicos de las accesiones Nic 1017, Nic 1003, BHmN y CE mostraron la presencia de cis abienol en sus exudados foliares y todas las accesiones mostraron una diversidad química en sus extractos crudos.
La accesión Nic 1017 mostró los mejores indicadores de composición química de la hoja que influyen en la calidad y la BHmN los menos adecuados.
Agradecimientos
Los autores agradecemos al Banco de germoplasma del IPK-Gatersleben en Alemania y al Centro de Ingeniería Genética y Biotecnología de La Habana, Cuba, por la donación de las semillas de las accesiones de tabaco utilizadas, al Proyecto Nacional “Obtención de extractos vegetales bioactivos, ricos en metabolitos secundarios para el control de plagas y enfermedades de cultivos de importancia agrícola” por permitir realizar la investigación, al Food Security Center (FSC) de Alemania por financiar parte de la investigación realizada y al laboratorio de química del Instituto de Fitomedicina de la Universidad de Hohenheim, Stuttgart, Alemania y en especial a las personas Jochen Schöne, Frank Walker, Abbas el Hassan y Ralf Vögele por permitir y contribuir a la realización de parte de la investigación.
BIBLIOGRAFÍA
1. Fernández, A. S.; Rodríguez, M. I. C.; Beltrán, D. R.; Pasini, F.; Joven, J.; Micol, V.; Segura, C. A. y Fernández, G. A. “Quantification of the polyphenolic fraction and in vitro antioxidant and in vivo anti-hyperlipemic activities of Hibiscus sabdariffa aqueous extract”. Food Research International, vol. 44, no. 5, junio de 2011, pp. 1490-1495, ISSN 0963-9969, DOI 10.1016/j.foodres.2011.03.040.
2. Kennedy, D. O. y Wightman, E. L. “Herbal Extracts and Phytochemicals: Plant Secondary Metabolites and the Enhancement of Human Brain Function”. Advances in Nutrition: An International Review Journal, vol. 2, no. 1, 1 de enero de 2011, pp. 32-50, ISSN 2156-5376, DOI 10.3945/an.110.000117, PMID: 22211188.
3. Matiz, G. E.; O, L. A. F. y Rincón, J. “Actividad antiinflamatoria de flores y hojas de Caesalpinia pulcherrima L. (Swartz)”. Revista Salud UIS, vol. 43, no. 3, 2011, pp. 281-287, ISSN 2145-8464, 0121-0807.
4. Quiñones, G. J.; Trujillo, S. R.; Capdesuñer, R. Y.; Quirós, M. Y. y Hernández, de la T. M. “Potencial de actividad antioxidante de extractos fenólicos de Theobroma cacao L. (cacao)”. Revista Cubana de Plantas Medicinales, vol. 18, no. 2, junio de 2013, pp. 201-215, ISSN 1028-4796.
5. Staniek, A.; Bouwmeester, H.; Fraser, P. D.; Kayser, O.; Martens, S.; Tissier, A.; van der Krol, S.; Wessjohann, L. y Warzecha, H. “Natural products – modifying metabolite pathways in plants”. Biotechnology Journal, vol. 8, no. 10, 1 de octubre de 2013, pp. 1159-1171, ISSN 1860-7314, DOI 10.1002/biot.201300224.
6. Murtaza, G.; Mukhtar, M. y Sarfraz, A. “A Review: Antifungal Potentials of Medicinal Plants”. Journal of Bioresource Management, vol. 2, no. 2, 30 de junio de 2015, pp. 23-31, ISSN 2309-3854.
7. Montes, B. R. “Diversidad de compuestos químicos producidos por las plantas contra hongos fitopatógenos”. Revista mexicana de micología, vol. 29, junio de 2009, pp. 73-82, ISSN 0187-3180.
8. Vontimitta, V. y Lewis, R. S. “Mapping of quantitative trait loci affecting resistance to Phytophthora nicotianae in tobacco (Nicotiana tabacum L.) line Beinhart-1000”. Molecular Breeding, vol. 29, no. 1, 4 de noviembre de 2010, pp. 89-98, ISSN 1380-3743, 1572-9788, DOI 10.1007/s11032-010-9528-8.
9. Martínez, S.; Terrazas, E.; Alvarez, T.; Mamani, O.; Vila, J. y Mollinedo, P. “Actividad antifúngica in vitro de extractos polares de plantas del genero baccharis sobre fitopatogenos”. Revista Boliviana de Química, vol. 27, no. 1, agosto de 2010, pp. 13-18, ISSN 0250-5460.
10. Lara, V. F. M. y Landero, V. N. “Químicos vegetales: alternativa contra los agentes patógenos”. Revista de Divulgación Científica y Tecnológica de la Universidad Veracruzana, vol. 25, no. 1, 2012, ISSN 0187-8786.
11. Pino, O.; Sánchez, Y. y Rojas, M. M. “Metabolitos secundarios de origen botánico como una alternativa en el manejo de plagas. I: Antecedentes, enfoques de investigación y tendencias”. Revista de Protección Vegetal, vol. 28, no. 2, agosto de 2013, pp. 81-94, ISSN 1010-2752.
12. Pino, O.; Sánchez, Y. y Rojas, M. M. “Metabolitos secundarios de origen botánico como una alternativa en el manejo de plagas. II: Visión general de su potencial en Cuba”. Revista Protección Vegetal, vol. 28, no. 2, 2013, pp. 95-108, ISSN 2224-4697.
13. Celis, Á.; Mendoza, C.; Pachón, M.; Cardona, J.; Delgado, W. y Cuca, L. E. “Extractos vegetales utilizados como biocontroladores con énfasis en la familia Piperaceae. Una revisión”. Agronomía Colombiana, vol. 26, no. 1, 28 de febrero de 2010, pp. 97-106, ISSN 2357-3732.
14. Tissier, A. “Glandular trichomes: what comes after expressed sequence tags?”. The Plant Journal, vol. 70, no. 1, 1 de abril de 2012, pp. 51-68, ISSN 1365-313X, DOI 10.1111/j.1365-313X.2012.04913.x.
15. Wagner, G.; Wang, E. y Shepherd, R. “New approaches for studying and exploiting an old protuberance, the plant trichome., New Approaches for Studying and Exploiting an Old Protuberance, the Plant Trichome”. Annals of Botany, vol. 93, no. 1, enero de 2004, pp. 3-11, ISSN 0305-7364, DOI 10.1093/aob/mch011, 10.1093/aob/mch011, PMID: 14678941.
16. Capdesuñer, R. Y.; Rivas, P. M.; Rodríguez, H. E.; Gallo, R. M.; Quiñones, G. J.; Yanes, P. E. y Hernández, de la T. M. “In vitro antibacterial effect of tobacco leaf exudates against two bacterial plant pathogens”. Revista Colombiana de Biotecnología, vol. 17, no. 1, enero de 2015, pp. 91-100, ISSN 0123-3475, DOI 10.15446/rev.colomb.biote.v17n1.50707.
17. IBM SPSS Statistics [en línea]. versión 20, [Windows], edit. IBM Corporation, U.S, 2011, Disponible en: http://www.ibm.com
18. Kang, J.-H.; Shi, F.; Jones, A. D.; Marks, M. D. y Howe, G. A. “Distortion of trichome morphology by the hairless mutation of tomato affects leaf surface chemistry”. Journal of Experimental Botany, vol. 61, no. 4, 1 de marzo de 2010, pp. 1053-1064, ISSN 0022-0957, 1460-2431, DOI 10.1093/jxb/erp370, PMID: 20018901.
19. Cui, H.; Zhang, S.-T.; Yang, H.-J.; Ji, H. y Wang, X.-J. “Gene expression profile analysis of tobacco leaf trichomes”. BMC Plant Biology, vol. 11, 2011, p. 76, ISSN 1471-2229, DOI 10.1186/1471-2229-11-76.
20. Sallaud, C.; Giacalone, C.; Töpfer, R.; Goepfert, S.; Bakaher, N.; Rösti, S. y Tissier, A. “Characterization of two genes for the biosynthesis of the labdane diterpene Z-abienol in tobacco (Nicotiana tabacum) glandular trichomes”. The Plant Journal, vol. 72, no. 1, 1 de octubre de 2012, pp. 1-17, ISSN 1365-313X, DOI 10.1111/j.1365-313X.2012.05068.x.
21. Zerbe, P.; Chiang, A.; Yuen, M.; Hamberger, B.; Hamberger, B.; Draper, J. A.; Britton, R. y Bohlmann, J. “Bifunctional cis-Abienol Synthase from Abies balsamea Discovered by Transcriptome Sequencing and Its Implications for Diterpenoid Fragrance Production”. Journal of Biological Chemistry, vol. 287, no. 15, 4 de junio de 2012, pp. 12121-12131, ISSN 0021-9258, 1083-351X, DOI 10.1074/jbc.M111.317669, PMID: 22337889.
22. Barrero, A. F.; Alvarez-Manzaneda, E. J.; Altarejos, J.; Salido, S. y Ramos, J. M. “Synthesis of Ambrox® from (-)-sclareol and (+)-cis-abienol”. Tetrahedron, vol. 49, no. 45, 1993, pp. 10405-10412, ISSN 0040-4020, DOI 10.1016/S0040-4020(01)80567-6.
23. Seo, S.; Gomi, K.; Kaku, H.; Abe, H.; Seto, H.; Nakatsu, S.; Neya, M.; Kobayashi, M.; Nakaho, K.; Ichinose, Y.; Mitsuhara, I. y Ohashi, Y. “Identification of Natural Diterpenes that Inhibit Bacterial Wilt Disease in Tobacco, Tomato and Arabidopsis”. Plant and Cell Physiology, vol. 53, no. 8, 8 de enero de 2012, pp. 1432-1444, ISSN 0032-0781, 1471-9053, DOI 10.1093/pcp/pcs085, PMID: 22685082.
24. Trémols, A. J.; Valiente, M. del C.; Cánepa, Y. y Monzón, L. “El procesamiento de las muestras de tabaco para análisis foliar”. Cuba Tabaco, vol. 12, no. 2, 2011, pp. 23-30, ISSN 0138-7456.
25. Guerrero, G. A. Cultivos herbáceos extensivos. 6.a ed., edit. Mundi-Prensa Libros, 1999, 833 p., ISBN 978-84-7114-797-4.
26. Trémols, A. J.; Monzón, L.; Cánepa, Y.; Valiente, M. del C.; González, A. y Villalón, A. “Diagnóstico nutricional del tabaco cultivado sobre suelos ferralíticos y ferrálicos rojos. II: Análisis de plantas”. Cuba Tabaco, vol. 13, no. 1, 2012, pp. 77-84, ISSN 0138-7456.
Notas