ESTUDIOS HISTOLÓGICOS DEL PROCESO DE EMBRIOGÉNESIS SOMÁTICA EN PALMA COCO CUMBÉ (Parajubaea cocoides Burret) A PARTIR DE EMBRIONES CIGÓTICOS INMADUROS
Histological studies of the somatic embryogenesis process in Coco Cumbé Palm (Parajubea cocoides Burret), from cigotyc immatures embryos
ESTUDIOS HISTOLÓGICOS DEL PROCESO DE EMBRIOGÉNESIS SOMÁTICA EN PALMA COCO CUMBÉ (Parajubaea cocoides Burret) A PARTIR DE EMBRIONES CIGÓTICOS INMADUROS
Cultivos Tropicales, vol. 38, núm. 2, pp. 36-44, 2017
Instituto Nacional de Ciencias Agrícolas

Recepción: 01 Julio 2016
Aprobación: 22 Diciembre 2016
Resumen: El objetivo propuesto para este estudio fue determinar el tipo de tejido presente en una muestra obtenida de callos embriogénicos y de embriones somáticos en estado globular de Palma Coco Cumbé (Parajubaea cocoides Burret). Para esto se procedió según el protocolo establecido en el manual de procedimiento de análisis histotecnológico del Servicio de Patología del Hospital "Carlos Andrade Marín" (HCAM), ubicado en Quito, Pichincha, Ecuador. Los resultados mostraron que los callos embriogénicos están conformados por células meristemáticas y que además presentan células con gránulos de almidón, muy cercanas a las embriogénicas, indicador este, de la formación de embriones. En el caso de los embriones somáticos se comprobó que estos se encontraban en etapa globular, pues presentaban una estructura característica de la primera etapa de desarrollo embrionario denominada protoderma. Se determinó además que los callos presentan características distintivas de competencia embriogénica y viabilidad de los embriones somáticos.
Palabras clave: Callos, embrión somático, histología vegetal, meristema.
Abstract: The aim of the present research was to determinate the type of tissue present in a sample obtained from an embryogenic callus of Coco Cumbé Palm, Parajubaea cocoides Burret and somatic embryos on globular stage. For this purpose, in order to the protocol established in the histotechnology analysis procedure manual of Patology Service from "Carlos Andrade Marín" Hospital (HCAM, according its acronyms in Spanish) was proceeded located in Quito, Pichincha, Ecuador. The results showed that the embryogenic calli are conformed by meristematic cells and although present cells with starch granules near to embryogenic cells, indicating embryos formation. In somatic embryos case, was verified that these were in globular stage, because of these showed a characteristic structure of the first development stage, named protoderm. Therefore was determined that calli present distinctive characteristics of embryogenic competence and viability of the somatic embryos.
Keywords: Calli, somatic embryos, plant histology, meristems.
INTRODUCCIÓN
Mediante la técnica del cultivo de tejidos vegetales es posible propagar masivamente una gran variedad de plantas; sin embargo, en la actualidad se brinda un mayor interés a aquellas especies vegetales que tienen dificultades en reproducirse, tomando en cuenta, además, su estado de recalcitrancia, así como la amenaza de extinción por afectación de diferentes factores (1). Tal es el caso de la Palma Coco Cumbé (Parajubaea cocoides Burrett), planta monoica que forma un estípite, perteneciente a la familia de la Aracaceaes, nativa del sur del continente americano, utilizada como ornamental en las ciudades del Ecuador, donde constituye una especie emblemática y patrimonial. La misma que se encuentra en estado de extinción por sus dificultades reproductivas y sus requerimientos de mantenimiento.
Actualmente en el Ecuador se realizan múltiples esfuerzos por rescatar a esta especie, mediante diferentes técnicas de multiplicación. Los mismos no han sido suficientes, pues la reproducción del material inicial presenta dificultades por diferentes razones; siendo indispensable realizar un seguimiento o trazabilidad del material propagado por distintas vías, como la embriogénica, por ser la más eficiente; así como, para el mantenimiento de esta especie después de haber sido obtenida mediante su cultivo in vitro,por lo que se hace imprescindible realizar estudios de sus estructuras internas y así conocer su viabilidad embriogénica. Estos análisis son necesarios para dar cumplimiento a un protocolo de micropropagación eficiente, tomando como base la observación microscópica de la estructura de sus tejidos y órganos celulares mediante técnicas basadas en cortes histológicos.
Los estudios histológicos brindan un gran aporte en el establecimiento de la secuencia y dinámica del material vegetal obtenido in vitro y especialmente del proceso de embriogénesis somática, donde es posible comprender, de mejor manera, el desarrollo morfogénico y los cambios estructurales y funcionales que ocurren durante cada una de las etapas que caracterizan a las estructuras embriogénicas (1, 2).
Al realizar los análisis complementarios de tejidos que conforman las estructuras embriogénicas de callos y embriones somáticos, donde se determinan zonas con mayor actividad de división celular, así como de aquellas que poseen un alto potencial de respuesta del explante a la formación de estructuras embriogénicas (3) se debe usar, únicamente, aquellas que respondieron eficientemente a los tratamientos y a la actividad generada a través de reguladores del crecimiento vegetal (PGRs).
Los reguladores del crecimiento exógeno, intervienen directamente en la inducción de células embriogénicas y en la formación de embriones somáticos, mediante la modificación de la polaridad celular e interferencia de los gradientes de pH del citoplasma y pared celular del material vegetal, después de una división asimétrica, lo que implica que las células del explante cambien su patrón de expresión y generen estructuras embriogénicas.
Las auxinas son responsables de la reprogramación de la expresión génica, seguido de una serie de divisiones celulares que inducen, tanto al crecimiento desorganizado para producir callos, como al crecimiento polarizado que conduce a la formación de embriones somáticos en estado globular (4).
El conocimiento y estudio de la histogénesis de los callos formados es importante, pues permite establecer relaciones entre la influencia de los reguladores del crecimiento vegetal sobre la organización celular de los tejidos que conforman estas estructuras, con la organización tisular normal de una estructura presente en otro tipo de órgano vegetal (2).
Mediante la realización de cortes histológicos, se puede determinar la viabilidad de las células presentes en tejidos que conforman las zonas embriogénicas derivadas de los centros meristemáticos, el establecimiento del porcentaje de polaridad y división asimétrica y sobre todo la formación de embriones somáticos que posteriormente representarán una nueva planta, tomando muy en cuenta la similitud de estos con los patrones que se dan en la embriogénesis cigótica (5). Teniendo como base estas premisas se plantearon los siguientes objetivos: determinar los diferentes tipos de tejidos presentes en una muestra obtenida de un callo embriogénico y los embriones somáticos en estado globular, para establecer su viabilidad embriogénica en la obtención de plántulas de Palma Coco Cumbé (Parajubaea cocoides Burret).
MATERIALES Y MÉTODOS
Los análisis histológicos fueron realizados en los laboratorios del Servicio de Patología del Hospital "Carlos Andrade Marín" (HCAM), ubicado en el sector de Miraflores Bajo, parroquia San Juan, cantón Quito, provincia Pichincha, Ecuador. Se tomó como material inicial, muestras de callos embriogénicos y embriones somáticos (Figura 1), que se mantenían en un medio de cultivo semisólido que contenía sales y vitaminas MS (6), modificado, con extra tiamina (1 mg L-1), sacarosa (30 g L-1), agar (6 g L-1) y diferentes concentraciones de ácido indol acético (AIA), bencilaminopurina (BAP) y kinetina (Kin) (1,0, 2,0 y 3,0 mg L-1), que fueron obtenidos a partir de embriones cigóticos, provenientes de la Palma Coco Cumbé (Parajubaea cocoides Burret), Arecaceae nativa del Ecuador (5, 7), que se la denomina también “coquito o cumbe” y es muy típica en los paisajes de las calles de las ciudades del Ecuador (8).
Para la realización de este estudio se siguió el protocolo establecido en el manual de procedimiento de análisis histológico del Servicio de Patología del mismo hospital, elaborado en el año 2015A.

EM= embriones maduros.
Primeramente, se obtuvieron explantes provenientes de cortes de callos embriogénicos de 1,5 x 1,5 cm y 3 mm de espesor. Estas muestras se sumergieron en una solución de fijador (formol bufferado al 10 %, pH=7) durante dos horas. A continuación fueron colocadas en el procesador de tejidos marca (Thermo CIENTIFIC SHANDON PATHCENTRE) (Figura 2) y se siguieron los pasos establecidos en el protocolo que se encuentra en la Tabla I, donde las muestras fueron expuestas a diferentes concentraciones de alcohol y xilol.

Se elaboraron bloques de parafina en un dispensador marca (Thermo SCIENTIFIC, Histo Star), cuya función es expender este material mediante boquillas (Figura 3). Posteriormente a los tejidos que se encuentran en estos bloques se les realizó cortes semifinos de 3 μm, utilizando un micrótomo marca (Thermo SCIENTIFIC SHANDON), seguidamente se colocaron en agua, a una temperatura de 40 °C; se recogieron y se extendieron en un portaobjetos adherente (Figura 4).
Las muestras fueron colocadas en un equipo coloreador marca (Dako Cover Stainer), para su posterior desparafinización, hidratación y tinción del tejido (Figura 5). Para esto fueron sometidos a una temperatura de 60 °C, seguido de los pasos que se indican en la Tabla II. Una vez teñidas las muestras con azul de metileno, se realizaron microfotografías, mediante un microscopio óptico de fluorescencia marca (NIKON ECLIPSE 80i), que utiliza un marcador fluorescente DAPI (4 ‘,6-diamino-2-fenilindol) (9).

(A) muestras cortadas y colocadas en una canastilla, (B) muestras sumergidas en una solución de fijador, (C) muestras colocadas en el procesador de tejidos (Thermo CIENTIFIC SHANDON PATHCENTRE).



(A) Equipo coloreador (Dako Cover Stainer), (B) placas con las muestras teñidas con azul de metileno.

RESULTADOS Y DISCUSIÓN
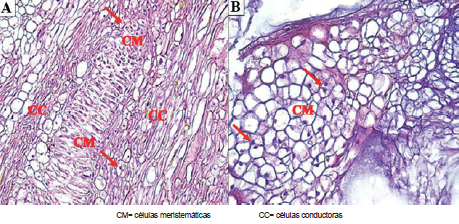
Los cortes histológicos mostraron que las muestras provenientes de callos embriogénicos de Palma Coco Cumbé (Parajubaea cocoides Burret) poseían una composición celular muy heterogénea, donde predominaba una mayor cantidad de tejido meristemático conformado por células isodiamétricas, con citoplasma denso y un núcleo grande y oscuro, característico de callos embriogénicos y en menor escala se encontró tejido vascular (10). El tejido meristemático se encontraba tanto en la parte interna como en la periferia de porciones de callodonde la actividad mitótica fue más intensa y visible (Figura 6).

(A) corte histológico de callo embriogénico de Palma Coco Cumbé (Parajubaea cocoides Burret) 10x, (B) células en división con núcleos claramente visibles 40x.
Las características histológicas encontradas en las muestras de callos embriogénicos provenientes de esta especie de palma, muestran la presencia de rasgos propios de las células meristemáticas en diferentes etapas de división, los que son específicos de estructuras embriogénicas que se encuentran en sitios localizados, donde se realiza una mayor actividad meristemática de las células. Estos resultados son corroborados por los descritos en otras variedades de palmas, como la Acrocomia aculeata (1), Cocos nucifera L. (9) y Euterpe oleracea(11).
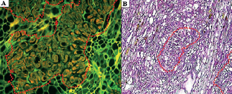
Se pudo observar también la presencia de células conductoras o elementos traqueales, mediante la utilización de una sustancia fluorescente denominada (DAPI), que permite la tinción de células vivas y fijadas, que pueden encontrarse cercanas a las células meristemáticas o embriogénicas. De esta manera se accede y se facilita la observación de pequeñas estructuras, a través de la membrana celular (Figura 7).
Se han realizado estudios en especies de arecaceaes como la Acrocomia aculeata (12) y Bactris gasipaes Kunth (13), mediante los cuales se ha comprobado que estos elementos se formaron a partir de células predeterminadas para posteriormente diferenciarse en xilema, tomando en cuenta que estas células se encuentran en etapas más avanzadas de diferenciación celular, donde la auxina empleada (AIA), influyó favorablemente en su maduración. Esta misma situación favoreció la diferenciación de los elementos traqueales en callos embriogénicos; esto se debe a la conexión de estos callos con el explante de origen.
Las condiciones de cultivo en las que se desarrollaron los elementos antes descritos, influyeron de manera directa en la diferenciación celular, donde fue determinante la presencia, la concentración y la actividad de los reguladores del crecimiento empleados.
Como se aprecia en la Figura 8, las células meristemáticas presentes en algunos cortes histológicos realizados en los callos embriogénicos de esta especie vegetal, se encontraban formando zonas, donde se realizaba una mayor división celular o actividad mitótica, lo que da lugar a una mayor formación de tejido embriogénico y de embriones somáticos.

(A) Microfotografía con luz, (B) Microfotografía con fluorescencia 10x.

(A) zonas de células en fluorescencia en constante división celular 40x, (B) zonas de células en división celular 10x.
Mediante la actividad meristemática, se demuestra que los embriones obtenidos fueron de origen multicelular; aunque se necesitaría un estudio histológico más profundo y completo donde se involucren todas las etapas de formación del tejido embriogénico, así como del embrión somático.
Anteriormente se han obtenido resultados por otros investigadores, donde se brinda información acerca de los factores que afectan el proceso embriogénico, desde el inicio del proceso, hasta la aparición de embriones somáticos, ya sea de origen unicelular o multicelular, que fueron tomados en cuenta en este estudio (12, 14).
En algunos casos se pueden dar los dos tipos de orígenes en un mismo callo, como se indica en el estudio realizado con la especie Euterpe oleracea(15), donde se informaron resultados que, además de embriones de origen multicelular, se encontraron embriones de origen unicelular, situación que ha sido revalidada por medio de los resultados en estudios histológicos, donde se utilizaron equipos más sofisticados y que indican la secuencia de estructuras embriogénicas en otras especies de palmeras (12).
Adicionalmente, se observaron células que contenían gránulos de almidón, las que se encontraban situadas cerca de las células meristemáticas (16); estas células que contienen almidón, no presentaban características embriogénicas. Los gránulos fueron más visibles al utilizar técnicas de fluorescencia (Figura 9).
Este hecho fue también observado en la palma Acrocomia aculeata, donde se indicó que las reservas de almidón en los callos, ocurrían mayormente en células que no exhibían características embriogénicas (12).
También se señaló que la presencia de estos elementos de reserva en células adyacentes a las embriogénicas, obedece a un fenómeno que indica comúnmente la adquisición de una competencia embriogénica (17). Sin embargo, la probable función del almidón en el proceso de embriogénesis somática no es clara todavía, pero se cree que el almacenamiento del almidón puede estar relacionado con la baja actividad mitótica de las células que lo contienen, pues las células embriogénicas tienen mayor actividad mitótica cuando menor es la presencia de almidón. No obstante, en un estudio realizado en Euterpe oleracea (11) semencionó, que tanto el almidón, como otras sustancias de reserva, se incrementan en las células con la consiguiente formación de embriones somáticos.
En cuanto a la caracterización de los embriones somáticos, se observó, que estos se encontraban en estado globular y posían características propias como su coloración blanquecina, forma redondeada definida y lisa, semejante a un globo; constituidos por células meristemáticas, organizadas y distribuidas en todo su entorno, similar a lo encontrado por otros autores (17, 18). Se determinó que el embrión somático se encontraba en su primer estadio (etapa globular), donde se observó presencia de tejidos como el protoderma del embrión, el cual pertenece a la capa más externa de las células que se encuentran en constante división y que su presencia es más notoria en las primeras etapas de desarrollo del embrión y que posteriormente se convertirá en la epidermis definitiva de la planta (Figura 10).

(A) (Parajubaea cocoides Burret) 40x, (B) células no embriogénicas con gránulos de almidón, próximas a zonas meristemáticas 40x.

(A) parte de un embrión con células meristemáticas organizadas 40x; (B) embrión en florescencia con células meristemáticas y protoderma 40x; (C) división celular en el protoderma y células meristemáticas adyacentes 100x.
A través de estudios histológicos realizados en varias especies de palmas como Bactris gasipaes Kunth, Acrocomia aculeata . Euterpe oleracea, se observó que las estructuras globulares están formadas por numerosas células esféricas y organizadas, además de la presencia de un protoderma bien definido, como característica básica de la primera etapa de desarrollo embrionario (11, 12, 14).
CONCLUSIONES
El análisis histológico de los callos provenientes de la Palma Coco Cumbé (Parajubaea cocoides Burret), confirmó que eran embriogénicos, debido a la presencia de células meristemáticas.
La presencia de gránulos de almidón en las células que se encontraban cercanas a las embriogénicas, implica que existe formación de embriones somáticos.
Los embriones que se encontraban en etapa globular se caracterizan por poseer una capa de células bien definida y en constante división celular, localizada en su periferia, denominada protoderma.
BIBLIOGRAFÍA
1. Lara, A., Valverde, R. y Gómez, L. “Histología de embriones somáticos y brotes adventicios inducidos en hojas de Psychotria acuminata”. Agronomía Costarricense, vol. 27, no. 1, 2003, pp. 37–48, ISSN 0377-9424, [Consultado: 16 de febrero de 2017], Disponible en: http://www.mag.go.cr/rev_agr/v27n01_037.pdf .
2. González, O. S., Sam, O., Hernández, M. M., Coronado, M. J. y Silva, J. J. “Caracterización histológica de la embriogénesis somática a partir de limbos foliares de boniato (Ipomoea batatas L. Lam.)”. Cultivos Tropicales, vol. 26, no. 4, 2005, pp. 37–42, ISSN 1819-4087, [Consultado: 16 de febrero de 2017], Disponible en: http://go.galegroup.com/ps/i.do?id=GALE%7CA321058097&sid=googleScholar&v=2.1&it=r&linkaccess=fulltext&issn=02585936&p=AONE&sw=w .
3. Lázaro, A. A., Azpeitia-Morales, A., Sáenz-Carbonell, L. y Mirafuentes-Hernández, F. “Embriogénesis somática secundaria en el genotipo de cacao (Theobroma cacao L.) INIFAP 1 y su descripción histológica”. Nova scientia, vol. 7, no. 14, 2015, pp. 398-417, ISSN 2007-0705, [Consultado: 16 de febrero de 2017], Disponible en: http://www.scielo.org.mx/scielo.php?script=sci_abstract&pid=S2007-07052015000200398&lng=es&nrm=iso&tlng=es .
4. Viñas, M. y Jiménez, V. M. “Factores que influyen en la embriogénesis somática in vitro de palmas (Arecaceae)”. Revista Colombiana de Biotecnología, vol. 13, no. 2, 2011, pp. 229-242, ISSN 0123-3475, [Consultado: 16 de febrero de 2017], Disponible en: http://search.proquest.com/openview/b3ccbb4b714ede220a9d6380137b2dc6/1?pq-origsite=gscholar&cbl=2035764 .
5. Caranqui, A. J. “Descripción de especies arbóreas en la ciudad de Riobamba”. Revista Perfiles, vol. 32, no. 2, 2011, ISSN 1390-5740, [Consultado: 16 de febrero de 2017], Disponible en: https://www.researchgate.net/profile/Jorge_Caranqui/publication/284670113_DESCRIPCION_DE_ESPECIES_ARBOREAS_EN_LA_CIUDAD_DE_RIOBAMBA/links/5655e7e108aefe619b1cf049.pdf .
6. Murashige, T. y Skoog, F. “A Revised Medium for Rapid Growth and Bio Assays with Tobacco Tissue Cultures”. Physiologia Plantarum, vol. 15, no. 3, 1962, pp. 473-497, ISSN 1399-3054, DOI 10.1111/j.1399-3054.1962.tb08052.x, [Consultado: 12 de febrero de 2017], Disponible en: http://onlinelibrary.wiley.com/doi/10.1111/j.1399-3054.1962.tb08052.x/full .
7. Roca, F. “Parajubaea cocoides, a New Record for Peru”. Palms, vol. 54, no. 3, 2010, pp. 133-136, ISSN 2415-5896.
8. Giraldo, Z. y María, A. La Palma Coquito. Guía para el visitante. 1.. ed., Ed. Jardín Botánico «José Celestino Mutis», 2008, Bogotá, Colombia, 47 p., ISBN 978-958-44-2967-4.
9. Megías, M., Molist, P. y Pombal, M. Á. Atlas de histología vegetal y animal [en línea]. Ed. Universidad de Vigo, 2016, España, [Consultado: 16 de febrero de 2017], Disponible en: https://mmegias.webs.uvigo.es/ .
10. Perera, P. I. P., Hocher, V., Verdeil, J. L., Doulbeau, S., Yakandawala, D. M. D. y Weerakoon, L. K. “Unfertilized ovary: a novel explant for coconut (Cocos nucifera L.) somatic embryogenesis”. Plant Cell Reports, vol. 26, no. 1, 2007, pp. 21-28, ISSN 0721-7714, 1432-203X, DOI 10.1007/s00299-006-0216-4, [Consultado: 16 de febrero de 2017], Disponible en: http://link.springer.com/article/10.1007/s00299-006-0216-4 .
11. Scherwinski-Pereira, J. E., Guedes, R. da S., da Silva, R. A., Fermino, P. C. P., Luis, Z. G. y Freitas, E. de O. “Somatic embryogenesis and plant regeneration in açaí palm (Euterpe oleracea)”. Plant Cell, Tissue and Organ Culture, vol. 109, no. 3, 2012, pp. 501-508, ISSN 0167-6857, 1573-5044, DOI 10.1007/s11240-012-0115-z, [Consultado: 16 de febrero de 2017], Disponible en: http://link.springer.com/article/10.1007/s11240-012-0115-z .
12. Moura, E. F., Ventrella, M. C., Motoike, S. Y., Júnior, A. Q. de S., Carvalho, M. y Manfio, C. E. “Histological study of somatic embryogenesis induction on zygotic embryos of macaw palm (Acrocomia aculeata (Jacq.) Lodd. ex Martius)”. Plant Cell, Tissue and Organ Culture, vol. 95, no. 2, 2008, pp. 175-184, ISSN 0167-6857, 1573-5044, DOI 10.1007/s11240-008-9430-9, [Consultado: 16 de febrero de 2017], Disponible en: http://link.springer.com/article/10.1007/s11240-008-9430-9 .
13. de Alencar, M. S., Poeta, P. C., da Silva, R. A. y Scherwinski-Pereira, J. E. “Morpho-anatomical characterization of embryogenic calluses from immature zygotic embryo of peach palm during somatic embryogenesis”. Acta Scientiarum. Agronomy, vol. 32, no. 2, 2010, pp. 263-267, ISSN 1807-8621, DOI 10.4025/actasciagron.v32i2.3248, [Consultado: 16 de febrero de 2017], Disponible en: http://www.scielo.br/scielo.php?script=sci_abstract&pid=S1807-86212010000200012&lng=en&nrm=iso&tlng=en .
14. Steinmacher, D. A., Cangahuala-Inocente, G. C., Clement, C. R., Guerra, M. P. y Yeung, E. “Somatic embryogenesis from peach palm zygotic embryos”. In Vitro Cellular and Developmental Biology - Plant, vol. 43, no. 2, 2007, pp. 124-132, ISSN 1054-5476, DOI 10.1007/s11627-007-9032-y, [Consultado: 16 de febrero de 2017], Disponible en: http://www.bioone.org/doi/abs/10.1007/s11627-007-9032-y .
15. Abohatem, M., Zouine, J. y El Hadrami, I. “Low concentrations of BAP and high rate of subcultures improve the establishment and multiplication of somatic embryos in date palm suspension cultures by limiting oxidative browning associated with high levels of total phenols and peroxidase activities”. Scientia Horticulturae, vol. 130, no. 1, 2011, pp. 344-348, ISSN 0304-4238, DOI 10.1016/j.scienta.2011.06.045, [Consultado: 16 de febrero de 2017], Disponible en: http://www.sciencedirect.com/science/article/pii/S0304423811003499 .
16. Urrea, A. I., Atehortúa, L. y Gallego, A. M. “Regeneration through somatic embryogenesis of an elite colombian Theobroma cacao L. variety”. Revista Colombiana de Biotecnología, vol. 13, no. 2, 2011, pp. 39-50, ISSN 0123-3475, [Consultado: 16 de febrero de 2017], Disponible en: http://www.scielo.org.co/scielo.php?script=sci_abstract&pid=S0123-34752011000200004&lng=en&nrm=iso&tlng=pt .
17. Aslam, J., Khan, S. A., Cheruth, A. J., Mujib, A., Sharma, M. P. y Srivastava, P. S. “Somatic embryogenesis, scanning electron microscopy, histology and biochemical analysis at different developing stages of embryogenesis in six date palm (Phoenix dactylifera L.) cultivars”. Saudi Journal of Biological Sciences, vol. 18, no. 4, 2011, pp. 369-380, ISSN 1319-562X, DOI 10.1016/j.sjbs.2011.06.002, [Consultado: 16 de febrero de 2017], Disponible en: http://www.sciencedirect.com/science/article/pii/S1319562X1100043X .
18. Yusnita y Hapsoro, D. “In Vitro Callus Induction and Embryogenesis of Oil Palm (Elaeis guineensis Jacq.) from Leaf Explants”. HAYATI Journal of Biosciences, vol. 18, no. 2, 2011, pp. 61-65, ISSN 1978-3019, DOI 10.4308/hjb.18.2.61, [Consultado: 16 de febrero de 2017], Disponible en: http://linkinghub.elsevier.com/retrieve/pii/S1978301916301590 .
Notas
Notas de autor