CASE REPORT
DOI: 10.1097/CJ9.0000000000000098
Abstract
Introduction: Not transfusing in certain medical settings can be a life-threatening decision; however, Jehovah's Witness patients who reject transfusions have led to learning and multiple medical interventions to avoid it. Despite this, heart surgery follows a specialty that is clearly related to the risk of transfusion, making operating on a Jehovah's Witness patient a challenge.
Case presentation: An ascending aorta surgery was performed on a Jehovah's Witness patient, where different strategies were applied, both for blood saving and for the prevention and management of coagulopathy.
Results: Surgery of the ascending aorta with extracorporeal circulation was successfully performed without requiring administration of blood components.
Conclusions: Adequate planning and implementation of bleeding prevention strategies and coagulopathy management may contribute to avoid and/or reduce the administration of blood products, allowing for the absence of transfusions to not be utopia in major cardiac surgery.
Keywords: Blood Transfusion, Hemorrhage, Jehovah's Witnesses, Case Reports, Blood Coagulation.
Resumen
Introducción: No transfundir en algunos escenarios médicos puede ser una decisión que amenaza la vida del paciente, sin embargo, los pacientes testigos de Jehová quienes rechazan las transfusiones, han conducido al aprendizaje y realización de múltiples intervenciones médicas para evitarla. A pesar de ello, la cirugía cardiaca sigue una especialidad claramente relacionada con el riesgo de transfusiones, por lo que operar a un paciente testigo de Jehová constituye un reto.
Presentación del caso: Se llevó a cabo una cirugía de aorta ascendente en un paciente testigo de Jehová, donde se aplicaron diferentes estrategias, tanto de ahorro sanguíneo como de prevención y manejo de la coagulopatía.
Resultados: Se llevó a cabo exitosamente una cirugía de aorta ascendente con circulación extracorpórea, sin requerir la administración de componentes sanguíneos
Conclusiones: La adecuada planeación y realización de estrategias de prevención del sangrado y manejo de la coagulopatía pueden contribuir a evitar y/o reducir la administración de hemoderivados, permitiendo que en cirugía cardiaca mayor la ausencia de transfusiones no sea una utopia.
Palabras clave: Transfusión sanguínea, Hemorragia, Testigos de Jehová, Informes de Casos, Coagulación sanguínea.
Introduction
Jehovah's Witnesses are present in approximately 240 countries with 119,485 congregations, being the only religious group that does not accept blood transfusions.1 This has generated ethical-medical-legal conflicts and has encouraged research on alternatives for the management of anemia and blood conservation in surgery. Aortic surgery is associated with bleeding from extensive surgical dissection, hypothermia, extracorporeal circulation (ECC), fibrinolysis, dilution, and/or consumption of coagulation factors, platelet dysfunction, pre-operative anti-thrombotic therapy. The requirements of blood products in ascending aortic surgery (AAS) can exceed blood volume, which is why this surgery in Jehovah's Witnesses poses a challenge in controlling bleeding. Multiple successful cases of nontransfusion cardiac surgery in Jehovah's Witnesses have now been reported, however AAS with aortic valve replacement and coronary reinsertion (Bentall procedure (BP)) represents a higher risk subgroup. The case of a Jehovah's Witness patient (who signs informed consent) with a diagnosis of ascending aortic aneurysm and severe aortic insufficiency who required BP, in which the use of non-transfusion strategies for the prevention and control of bleeding allowed it to be performed successfully, without the administration of blood products is reported.
Case
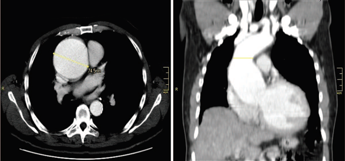
A 61-year-old male with a history of dyslipidemia and high arterial blood pressure (ABP) being managed with enalapril 10mg/day and carvedilol 3125mg/day. He presented a clinical record of 2 months of evolution of occasional episodes of puncture-type chest pain associated with palpitations that spontaneously gave way. He was diagnosed with ascending aortic aneurysm and severe aortic insufficiency, requiring cardiovascular surgery. However, he manifested he was a Jehovah's Witness and did not accept transfusions. Pre-operative optimization was initiated with Erythropoietin 280U/kg weekly, ferrous sulfate 200 mg/day, folic acid 1000 μg/day reaching a hemoglobin (Hb) level of 11 to 14.6 g/dL. He consulted the emergency room with 2 hours of sudden pain in the left hemithorax irradiated to the ipsilateral axilla, associated with dyspnea, coldness and paresthesia in the hands. His ABP was 122/35 mm Hg, heart rate (HR) 58bpm, respiratory rate 18/minutes, arterial oxygen saturation 98%, diastolic heart murmur grade IV/IV in aortic focus without other relevant findings. Transthoracic echocardiogram showing severely dilated left cavities, eccentric left ventricular hypertrophy, left ventricular ejection fraction 41%, tricuspid aortic valve with severe insufficiency (AI), mild mitral insufficiency, annuloaortic ectasia (52 mm aortic root, 71 mm ascending aorta). Thoracic aortogram evidenced severe dilation of the sinuses of valsalva and ascending aorta with a diameter of 70.9 mm (Fig. 1).

Because of these findings, BP was considered. On the day of the surgery, the patient was admitted with ABP 141/ 48 mm Hg, HR 63x' sinus rhythm. Right radial arterial line was channeled and anesthesia was induced with Fentanyl 200 μg, propofol 100 mg, lidocaine 40 mg, and rocuronium bromide 40 mg, orotracheal intubation with no 8.0 tube and internal jugular vein was channeled with multilumen catheter 8.5 French. Temperature was monitored with a nasopharyngeal thermometer and the consciousness with a Bispectral Index. Hydrocortisone 100 mg, desmopressin 15 μg, and tranexamic acid 1.5 g in bolus were administered, leaving an infusion of 15 mg/kg/hour. Maintenance was with fentanyl 2 μg/kg/hour and Sevoflurane at 0.5 minimum alveolar concentration (MAC). Initial tests showed an activated coagulation time (ACT) of 153 seconds, glucometry 86 mg/dL, arterial gases with normal oxygenation state and base acid, serum electrolytes. Heparin 4mg/kg was administered, achieving an ACT of463 seconds and 1 mg/kg was added. A 500 mL acute normovolemic hemodilution (ANH) and 450 mL retrograde purge were performed before the initiation of the ECC. Hyperkalemic solution 100mL followed by Bretschneider solution 1000 mL via antegrade were used for myocardial protection. Conventional ultrafiltration of 5500 mL and modified ultrafiltration of 200 mL were performed during the ECC; he was kept monothermal and required vasopressor support with norepinephrine, with urinary output between 0.5 and 1cm3/hour. BP was performed in 123 minutes of ECC and 108 minutes of ischemia. He was removed from the ECC with dobutamine at 10μg/kg/minutes and norepinephrine at 0.1μg/kg/ minutes. After the administration of protamine, he presented significant bleeding so prothrombin complex concentrate (PCC: Octaplex 1500 U) and desmopressin 15 μg were administered. 678 mL of blood was recovered with the cell salvage (CS). He was resuscitated with crystalloids 2000 mL, ANH and lactalbumin at 5% 500 mL. Control examinations showed good oxygenation and base acid status, lactate 1.8 mg/dL, central venous oxygen saturation 83% Hb 9.5g/dL, normal electrolytes, normal thromboelastography. The post-ECC transesophageal echocardiogram showed left ventricular ejection fraction (LVEF) 30%, aortic biological prosthesis without para-valvualr leaks, mean gradient 5 mm Hg. After controlling the bleeding the chest was left open with a suction system. He was moved to the intensive care unit with dobutamine and norepinephrine. Twenty-four hours after the procedure, sternum closure was performed without any complications (Table 1). He presented thrombocytopenia up to 24,000 platelets, without manifestations of bleeding and recovery up to 98,000; the Hb descended up to 7.5g/dL. He continued with hemodynamic stability and good postsurgical evolution, being discharged on the tenth day.

Discussion
Heart surgery is associated with bleeding and risk of transfusion. Approximately 50% of patients receive some type of transfusion, with patients of advanced age, pre-operative anemia, use of anti-thrombotic medication, complex procedures, reoperations, and important medical conditions being considered high risk. For this reason, guidelines have been developed to optimize blood conservation and transfusions in cardiac surgery, recognizing their risks and benefits.2 Pre-operative Hb optimization is the first step in patient management. Administration of erythropoietin at least 2 pre-operative weeks has been shown to reduce the rate of transfusions in non-cardiac surgery. Although there are no large-scale studies on the use of this drug in heart surgery, some studies have shown a decrease in the rate of transfusions,3 and morbidity and mortality.4 In the reported case, the patient had been receiving erythropoietin and iron for 2 months, optimizing his hematocrit up to 43%.
It is known that anti-fibrinolytics in cardiac surgery decrease hemostasis activation, bleeding, and transfusions. Plasma concentrations of tranexamic acid to inhibit fibrinolysis vary from study to study. Low dose schedules (bolus of 10 mg/kg followed by infusion 1-2 mg/kg/hour) versus high doses (bolus of 30 mg/kg followed by infusion 16 mg/kg/hour), have shown no difference in transfusions at the 7th postoperative day, however, high doses are associated with less revision for bleeding and less percentage of fresh frozen plasma (FFP) and platelet transfusions.5 For this reason, the patient decided to administer a high dose of tranexamic acid followed by continuous infusion.
Desmopressin is a vasopressin analog that stimulates the release of von Willembrand factor from WeibelPallade bodies and endothelial cell factor VIII. Routine administration in cardiac surgery is not recommended, but the subgroup of patients with aspirin, ECC times greater than 140 minutes and platelet function disorders could benefit from doses of 0.3 μg/kg.6 Because BP is associated with prolonged ECC time, prophylactic administration of desmopressin was decided in our patient.
Steroids in heart surgery are controversial. Although no impact on mortality has been demonstrated, some studies have reported benefit on the incidence of atrial fibrillation (AF) and decreased bleeding. Studies such as DECS (Dexamethasone for Cardiac Surgery)7 and steroids in cardiac surgery trial (SIRS Trial) (methylprednisolone in patients undergoing cardiopulmonary bypass)8 with dexamethasone in high doses (1 mg/kg) and methylprednisolone respectively, found no benefit in the bleeding rate. Remarkably, the DECS study in a post-hoc analysis reported a higher rate of reexploration for bleeding in the dexamethasone group.7 Hydrocortisone, on the other hand, has been associated with a decrease in AF and the use of vasoactive agents in smaller studies, which could justify their use, although it is not clear in which type of patients or which dose.9
The use of PCC as first-line management of bleeding in cardiac surgery instead of FFP has shown a decrease in the bleeding rate and transfusions with no difference in complications such as thrombosis.10 In this patient, PCC was used as the first line in bleeding management, obtaining good results without any complications. However, although the indications of PCC have increased over time, and of having advantages over the FFP such as lower risk of infection transmission, volume administered, and rapid correction of deficit of coagulation factors, its use as a first line in bleeding management is "off label".
CS, ANH, and ultrafiltration have proven to be important techniques for blood conservation in cardiac surgery. Ultrafiltration hemoconcentrates the blood by removing excess water from the plasma, showing a decrease in transfusions during cardiac surgery by maintaining adequate Hb levels.11 The SC takes the blood from the surgical field and after being washed and concentrated returns it to the patient in a continuous or non-continuous manner. Only when the process is uninterrupted is it accepted by Jehovah's Witness patients. SC has been evaluated in cardiac surgery, in small coronary revascularization studies, but differences in its use have potentially influenced their results. A Cochrane review showed that in cardiac surgery SC reduced the risk of transfusions by 27%.12 The Blood Conservation Guidelines for cardiac surgery recommend, with level A evidence, the routine use of SC in ECC surgery, except in infected or malignant patients. ANH is a technique regularly accepted by Jehovah's Witness patients as a blood-saving technique, if continuity with the patient's circulation is maintained. It has been shown to decrease not only the number of transfusions (Risk Ratio 0.7) but also bleeding during cardiac surgery.13
Conclusion
Despite the multiple cases of cardiac surgery in Jehovah's Witnesses, so far, no results have been reported in AAS surgery with the Bentall technique, which represents a challenge due to its relationship with the risk of bleeding and coagulopathy. In this case, by combining the different described techniques of pre-operative optimization, bleeding prevention, and blood saving, it was possible to carry it out successfully, without the need for blood transfusions.
Ethical responsibilities
Protection of people and animals: The authors state that no human or animal experiments have been conducted for this research.
Data confidentiality: The authors state that they have followed their workplace protocols on the publication of patient data.
Right to privacy and informed consent: The authors have obtained the informed consent of the patients and/or subjects referred to in the article. This document is held by the author of correspondence.
References
1. Murillo-Godínez G. Blood transfusions and Jehovah's Witnesses: unresolved ethical-medical-legal issues. Med Int Mex 2010;26: 390-396.
2. Ferraris VA, Brown JR, Despotis GJ, et al. 2011 update to the Society of Thoracic Surgeons and the Society of Cardiovascular Anesthesiologists Blood Conservation Clinical Practice Guidelines. Ann Thorac Surg 2011;91:944-982.
3. Walpoth B, Galliker B, Spirig P, et al. Use of Epoetin Alfa in autologous blood donation programs for patients scheduled for elective cardiac surgery. Semin Hematol 1996;33 (2 suppl 2):75-76.
4. Vaislic CD, Dalibon N, Ponzio O, et al. Outcomes in cardiac surgery in 500 consecutive Jehovah'sWitness patients: 21 year Experience. J Cardiothorac Surg 2012;7:95.
5. Sigaut S, Tremey B, Ouattara A, et al. Comparison of two doses of tranexamic acid in adults undergoing cardiac surgery with cardiopulmonary bypass. Anesthesiology 2014;120:590-600.
6. Wademan BH, Galvin SD. Desmopressin for reducing postoperative blood loss and transfusion requirements following cardiac surgery in adults. Interact Cardiovasc Thorac Surg 2014;18:360-370.
7. Van Osch D, Dieleman JM, Nathoe HM, et al. Intraoperative highdose dexamethasone in cardiac surgery and the risk of rethoracotomy. Ann Thorac Surg 2015;100:2237-2242.
8. Whitlock RP, Devereaux PJ, Teoh KH, et al. Methylprednisolone in patients undergoing cardiopulmonary bypass (SIRS): a randomised, double-blind, placebo-controlled trial. Lancet 2015;386:1243-1253.
9. Kristeller JL, Jankowski A, Reinaker T. Role of corticosteroids during cardiopulmonary bypass. Hosp Pharm 2014;49:232-236.
10. Cappabianca G, Mariscalco G, Biancari F, et al. Safety and efficacy of prothrombin complex concentrate as first-line treatment in bleeding after cardiac surgery. Crit Care 2016;20:5.
11. Luciani GB, MenonT, Vecchi B, et al. Modified ultrafiltration reduces morbidity after adult cardiac operations. A prospective, randomized clinical trial. Circulation 2001;104 (12 Suppl 1):I253-I259.
12. Carless PA, Henry DA, Moxey AJ, et al. Cell salvage for minimizing perioperative allogeneic blood transfusion. Cochrane Database Syst Rev 2010;17:CD001888.
13. Barile L, Fominskiy E, Di Tomasso N, et al. Acute normovolemic hemodilution reduces allogeneic red blood cell transfusion in cardiac surgery: a systematic review and meta-analysis of randomized trials. Anesth Analg 2017;124:743-752.
Notes
Author notes
Correspondence: Fundación Valle del Lili, Carrera 98 # 18-49, Cali, Colombia. E-mail: jacok20@hotmail.com