Reporte de caso
Recepción: 04 Febrero 2020
Aprobación: 06 Mayo 2020
DOI: https://doi.org/10.18597/rcog.3477
RESUMEN
Objetivo: reportar el caso de una paciente gestante con diagnóstico de tumor retroperitoneal primario y hacer revisión de la literatura del diagnóstico, tratamiento y pronóstico materno-fetal de esta entidad durante el embarazo.
Materiales y métodos: gestante de 19 años que consulta por tumor retroperitoneal identificado por ecografía, se realizó biopsia percutánea con resultado de tumor benigno; parto por cesárea con recién nacido sano. A los 4 meses se realizó resección quirúrgica, la histopatología mostró un teratoma quístico maduro. Se realizó búsqueda en las bases de datos de: Medline vía PubMed, Lilacs, SciELO y ScienceDirect, con los términos: “embarazo”, “neoplasias” y “neoplasias retroperitoneales”, incluyendo reportes y series de caso de tumores retroperitoneales en el embarazo. Se identificó el diagnóstico, tratamiento y pronóstico materno-fetal
Resultados: se identificaron 1.658 títulos, de los cuales 34 reportes de casos y una serie de casos cumplieron con los criterios de inclusión. El 62,9 % eran tumores benignos. El diagnóstico se hizo como hallazgo incidental en el 63 % de los casos, el ultrasonido identificó la masa en el 77 %, la biopsia percutánea se utilizó en el 8 % de los casos incluyendo el reportado. El tratamiento quirúrgico fue utilizado en el 88 % de los casos, generalmente después del parto. Hubo mortalidad materna en el 8,5 % de los casos. El pronóstico fetal fue bueno en el 65 % de las gestaciones.
Conclusión: los tumores retroperitoneales en la gestación, a pesar de ser principalmente benignos, tienen un pronóstico materno y fetal reservado en un importante número de casos. Se requiere evaluar los beneficios y riesgo de la biopsia percutánea.
Palabras clave: embarazo, neoplasias, neoplasias retroperitoneales.
ABSTRACT
Objective: To report the case of a pregnant patient diagnosed with a primary retroperitoneal tumor and to conduct a review of the literature pertaining to the diagnosis, treatment and maternal-fetal prognosis of this disease condition during pregnancy.
Materials and methods: A 19-year-old patient who presented with a retroperitoneal tumor identified on ultrasound. The results of the percutaneous biopsy showed a benign tumor. A healthy neonate was delivered by cesarean section. Surgical resection was performed four months later, and histopathology showed a mature cystic teratoma. A search was conduced in the Medline via PubMed, Lilacs, SciELO and ScienceDirect databases using the terms “pregnancy,” “neoplasms,” and “retroperitoneal neoplasms,” including case reports and case series of retroperitoneal tumors during pregnancy. Diagnosis, treatment and maternal-fetal prognosis were identified.
Results: Overall, 1658 titles were identified. Of these, 34 case reports and 1 case series met the inclusion criteria. Of the cases, 62.9 % were benign. Diagnosis was made as an incidental finding in 63 % of cases, and 77 % of the masses were identified on ultrasound. Percutaneous biopsy was used in 8 % of cases, including the case reported here. Surgical treatment was used in 88 % of cases usually after delivery. Maternal mortality occurred in 8.5 % of cases. Fetal prognosis was good in 65 % of the pregnancies.
Conclusion: Despite being frequently benign, retroperitoneal tumors during gestation have a reserved maternal and fetal prognosis in a substantial number of cases. There is a need to assess the risks and benefits of percutaneous biopsy.
Key words: Pregnancy, neoplasms, retroperitoneal neoplasms.
INTRODUCCIÓN
Los tumores retroperitoneales primarios son neoplasias que se desarrollan en el espacio retroperitoneal, se originan de estructuras no parenquimatosas como los tejidos adiposo, muscular, conectivo, linfático, nervioso y del tracto urogenital, presentándose con una gran variedad histológica 1. En cuanto a su comportamiento biológico se dividen en malignos o benignos 2; estos tumores son extremadamente raros y alrededor del 80 % son malignos, donde los sarcomas son los más frecuentes, con el liposarcoma que se presenta en el 45 % de los casos 3, el restante 20 % son tumores benignos y los más frecuentes son lipomas, fibromas y tumores neurogénicos 4. Los tumores retroperitoneales representan menos del 0,2 % de todas las neoplasias malignas 5.
El diagnóstico generalmente es tardío y causan síntomas o se vuelven palpables al alcanzar un tamaño significativo 2. Su diagnóstico se hace por medio de la tomografía computarizada (TC) o la resonancia magnética (RM) 4, que aportan información sobre su ubicación retroperitoneal, tamaño, relación con los órganos adyacentes y la presencia o ausencia de metástasis 4; el estudio con biopsia percutánea se realiza en pacientes que presentan un tumor donde la apariencia radiológica es incierta o sugiere una patología en la que el tratamiento neoadyuvante puede ser apropiado como terapia de inducción 2. El tratamiento se basa en la resección quirúrgica con un potencial curativo, y la probabilidad de una resección completa depende de la biología tumoral y la invasión de órganos y estructuras vasculares adyacentes al tumor. La pieza quirúrgica confirma el diagnóstico histopatológico definitivo 2.
Se desconoce la frecuencia de los tumores retroperitoneales que se presentan durante el embarazo, que a menudo son confundidos con masas ováricas, quistes renales, tumores suprarrenales y linfomas 6. Los sarcomas son los tumores más frecuentes y el embarazo no afecta el pronóstico ni la supervivencia global de la enfermedad, aunque son tumores capaces de crecer con gran rapidez durante la gestación 7. Hay reportes de casos que describen que se asocian a mortalidad materna 7,8. Son condiciones especiales en el embarazo, el hemangioma retroperitoneal, que puede presentar expansión significativa, probablemente por los factores vasoactivos secretados durante la gestación, lo que resulta en vasodilatación periférica 9, y el angiolipoma, que experimenta un crecimiento significativo, lo que indica una dependencia hormonal por la presencia de receptores de estrógenos y progesterona en las células musculares lisas 10. La escasa presentación de tumores retroperitoneales en el embarazo plantea un desafío diagnóstico y terapéutico al obstetra, al cirujano general y al oncólogo 11, ya que las consideraciones de tratamiento deben tener en cuenta tanto a la madre como al feto 12; sumado a esto, es poca la información publicada respecto al pronóstico fetal.
El objetivo de este estudio es reportar el caso de una paciente con gestación de 19 semanas, con diagnóstico de tumor retroperitoneal primario, a quien se le realizó seguimiento clínico con manejo quirúrgico diferido, con un adecuado resultado materno-fetal, y hacer una revisión de la literatura en cuanto al diagnóstico, tratamiento y pronóstico de esta entidad durante el embarazo.
REPORTE DE CASO
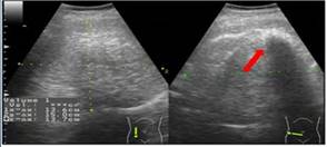
Paciente de 19 años, con embarazo de 19 semanas, quien consultó en febrero del año 2017 al servicio de urgencias de la Clínica Universitaria Colombia, institución de alta complejidad ubicada en Bogotá, que atiende pacientes afiliados al régimen contributivo en el Sistema General de Seguridad Social en Colombia. Consultó por primer episodio de dolor en epigastrio tipo peso, intensidad 4/10, de 10 días de evolución, acompañado de emesis con contenido gástrico; no presentaba antecedentes personales patológicos, farmacológicos ni quirúrgicos; antecedentes ginecológicos, con menarquia a los 15 años, periodos menstruales regulares, primigestante de un embarazo deseado, con asistencia a tres con- troles prenatales. El examen físico arrojó tensión arterial de 110/60 mm/Hg, frecuencia cardiaca de 80 latidos por minuto (l/m), frecuencia respiratoria de 16 respiraciones minuto, escala de Glaslow de 15/15 y temperatura de 36 grados centígrados, con mucosa oral seca, presentaba dolor a la palpación en epigastrio e hipocondrio derecho sin irritación peritoneal, altura uterina de 18 centímetros con feto único longitudinal y fetocardia de 148 l/m, exploración ginecológica sin pérdidas vaginales por lo cual no se realizó examen ginecológico. Con diagnóstico de dolor abdominal en estudio, deshidratación y sospecha de colelitiasis se hospitalizó para inicio de cristaloides parenterales y toma de estudios complementarios. El laboratorio mostró hemograma sin leucocitosis, con un diferencial leucocitario normal; las funciones hepática y renal normales, parcial de orina normal. Se realizó ecografía obstétrica con una biometría para 19 semanas, peso fetal estimado de 264 g, percentil 52 %, placenta normo-inserta, índice de líquido amniótico de 13,5 cm. Para excluir colelitiasis se tomó ultrasonido abdominal que descartó patología biliar y evidenció un tumor sólido de contornos regulares, retroperitoneal derecho, de 15 x 13 x 13 cm, con ecogenicidad heterogénea por probable componente graso, y material ecogénico que proyecta sombra acústica por probable componente óseo (figura1); el estudio se complementó con resonancia magnética, la cual mostró un tumor retroperitoneal de 20 x 13 x 15 cm, encapsulado, con bordes definidos, áreas hiperintensas en secuencia T1, hipointensas en secuencias FatSat por contenido graso; y otras áreas hipointensas en T1 e hiperintensas en T2 por componente quístico tumoral; en el interior del componente graso se hallaron múltiples áreas marcadamente hipointensas que corresponden a tejido de tipo cálcico. Respecto a la glándula suprarrenal derecha, se encontró que ejercía efecto compresivo, desplazando asas intestinales y riñón sin invasión de dichas estructuras. Como posibles diagnósticos se consideraron: teratoma maligno frente a liposarcoma (figura 2). Ante el diagnóstico de tumor retroperitoneal de naturaleza desconocida se solicitó marcador tumoral antígeno del cáncer 125 (CA-125) de 15,7 U/mL, con valor de referencia normal menor a 35 U/mL. Se realizó por parte de radiología intervencionista una biopsia percutánea guiada por ecografía con aguja Tru-cut, se obtuvieron dos cilindros de muestra del componente sólido del tumor, sin complicaciones. En el segundo día de hospitalización la paciente presentó mejoría con resolución del dolor abdominal al manejo con metamizol parenteral, y con tolerancia de la vía oral se dio salida hospitalaria.


A los 15 días asistió a junta médica multidisciplinaria con los servicios de cirugía general, ginecología oncológica, oncología y medicina materno-fetal, con reporte histopatológico (coloración de hematoxilina-eosina) que mostró tejido compuesto por epitelio escamoso queratinizante, glándulas sebáceas, folículos pilosos y músculo liso sin tejido inmaduro, consistente con teratoma maduro; se consideró que no tenía indicación quirúrgica por lo que se decidió hacer seguimiento clínico, con manejo quirúrgico diferido posterior a la terminación de la gestación al término. La paciente continuó control prenatal ambulatorio por medicina materno-fetal mensual, donde se realizó un control ecográfico fetal mensual sin presentar complicaciones; se programó cesárea por desproporción cefalo-pélvica a las 39 semanas, con recién nacido sano de 2.720 g, talla 48 centímetros, APGAR 8/9/9, al minuto, 5 y 10 minutos respectivamente; no se realizó la resección quirúrgica del tumor retroperitoneal en el mismo tiempo con el fin de no aumentar los riesgos quirúrgicos asociados y debido al campo quirúrgico limitado por el útero aumentado de tamaño; presentó adecuada evolución posoperatoria, con puerperio sin complicaciones.
A los 4 meses el servicio de cirugía realizó la resección quirúrgica por laparotomía, con hallazgo de tumor retroperitoneal con un diámetro mayor de 25 cm, con desplazamiento del riñón, colon derecho y cava, el cual presentó adherencia al lóbulo caudado del hígado y el diafragma, de contenido heterogéneo, componente quístico, presencia de tejido graso y pelos (figura 3). Durante la liberación del tumor se presentó apertura del diafragma que fue corregida con rafia y colocación de tubo de toracostomía; con un sangrado estimado intraoperatorio de 1000 cc, se transfundieron dos unidades de glóbulos rojos empaquetados durante el procedimiento; durante la vigilancia en hospitalización el control de hemoglobina fue de 13,1 g/dL, por lo cual no requirió más transfusión de hemoderivados. Con una adecuada evolución sin complicaciones, se retiró el tubo de toracostomía al sexto día de vigilancia y al séptimo día se dio salida hospitalaria. El estudio histopatológico definitivo (coloración de hematoxilina-eosina) mostró una lesión quística con elementos teratomatosos maduros que incluyen epidermis, anexos cutáneos, tejido óseo y tejido adiposo, sin observar elementos inmaduros, con bordes sin compromiso tumoral y diagnóstico definitivo de teratoma quístico maduro. Posterior a 24 meses la paciente se encuentra asintomática.

MATERIALES Y MÉTODOS
Con base en la pregunta: ¿cuál es el diagnóstico, tratamiento y pronóstico materno-fetal de los tumores retroperitoneales en el embarazo?, se realizó la búsqueda bibliográfica en las bases de datos electrónicas de: Medline vía PubMed, Lilacs, SciELO y ScienceDirect con los términos “embarazo”, “neoplasias” y “neoplasias retroperitoneales”. Se incluyeron reportes de caso, series de casos y revisiones bibliográficas en inglés y español, desde enero de 1998 a enero de 2019, que describieran diagnóstico, tratamiento y pronóstico materno-fetal de los tumores retroperitoneales en pacientes durante el embarazo, se excluyeron aquellos casos que se diagnosticaban 12 semanas posteriores al parto. Por parte de dos autores, de manera independiente, se seleccionaron los artículos por título y resumen; de los artículos que cumplían con los criterios de población y diseño se buscó el texto completo, se verificó el cumplimiento de los criterios para inclusión y, en caso de discrepancia, un tercer autor, posterior al análisis del artículo en texto completo, definía su inclusión. Las variables evaluadas fueron: edad, naturaleza del tumor, síntomas, marcadores tumorales utilizados, estudios diagnósticos, tratamiento no quirúrgico, tratamiento quirúrgico, momento de la cirugía, terapia adyuvante, resultado fetal, vía de parto, complicaciones maternas antenatales, complicaciones maternas en el parto, complicaciones maternas en posparto.
Aspectos éticos
Se solicitó autorización a la paciente con consentimiento informado escrito, a la Clínica Universitaria Colombia y la Fundación Universitaria Sanitas, a través del Centro de Investigación en Ciencias de la Salud, para publicar el caso; se tomaron las precauciones para garantizar la confidencialidad de la información, el anonimato de la paciente; el registro fotográfico fue tomado por los autores.
RESULTADOS
Se encontraron 1.658 títulos, de los cuales se incluyeron 35 artículos relacionados con tumores retro- peritoneales asociados al embarazo que cumplieron con los criterios de búsqueda en texto completo: 34 reportes de caso 1,6-38 y una serie de casos de tumores retroperitoneales primarios mucinosos, la cual reporta un caso en el embarazo 39 (tabla 1). De los 35 casos reportados, uno se presentó en una paciente menor de 20 años 14, 13 casos se presentaron en pacientes entre los 20 y 29 años 1,6,13,20-22,25-28,30,33,37, 20 casos en pacientes entre los 30 y 39 años 7-12,15-19,23,24,29,31,32,34-36,38, y un caso no registra la edad de la paciente 39; según su comportamiento biológico durante la gestación, el 62,9 % de los tumores retroperitoneales asociados al embarazo son benignos, con 22 casos 1,6,9-11,14,20,22-24,27-32,34-39, y el 37,1 % malignos, con 13 casos 7,8,12,13,15-19,21,25,26,33.
Diagnóstico
el diagnóstico se realizó previo a la gestación en tres casos 7,9,36, en el primer trimestre en 11 casos 10,11,16,20,23,27,29,31,35,38,39, segundo trimestre en seis casos 13,21,25,26,30,33, tercer trimestre en 12 casos 1,6,8,12,15,17-19,22,24,28,37, en el puerperio un caso 10 y no se registró el momento del diagnóstico en dos casos 32,34. Los tumores retroperitoneales alcanzan un gran tamaño antes de ser diagnosticados o generar síntomas 11, durante el embarazo el diagnóstico es difícil debido al abdomen distendido y los síntomas que se atribuyen a la gestación, por lo cual una detección temprana es infrecuente 17,18; se observó que 22 de los casos fueron asintomáticos 1,9,12-14,16,18-20,22-26,28,29,31-33,35,37,38, seis presentaron dolor abdominal 6,10,11,21,30,39, tres casos sensación de masa abdominal 15,17,27 y un caso que consultó por pérdida de peso 8.

Los marcadores tumorales se solicitaron en 13 casos 1,6,12-14,16,18,19,23-25,31,33, de los cuales cinco salieron normales 6,13,16,23,33, y con valores elevados de CA19-9 en tres casos 12,19,24, de alfafetoproteína en tres casos 1,14,18 y el CA 125 en dos casos 25,31. Algunos autores afirman que estos marcadores no son útiles para diferenciar la naturaleza del tumor retroperitoneal, ya que por el embarazo pueden alterar sus valores y no son específicos 14,19,20.
La ecografía se realizó en 27 casos 1,6,7,10-14,16,19-21,23-33,35-38, los hallazgos ecográficos fueron masas quísticas o sólidas de localización abdominal o retroperitoneal, que medían desde cinco cm 12 hasta 32 cm de diámetro 19, que persistían en el seguimiento ecográfico. La TC se realizó en seis casos 16,18,22,25,27,31 y la RM en 13 9,11-13,18-21,26,31-33,35; esta se ha descrito como el mejor método no invasivo para el estudio radiológico de tumores retroperitoneales durante el embarazo, ya que la paciente no se somete a radiación ionizante 16. Por otra parte, estos estudios tienen una mejor caracterización de la lesión (localización, morfología, composición del tejido, delinear planos) y evaluación de las posibilidades de resección quirúrgica, como complemento de la ecografía 1,14,20.
En cuanto a la biopsia percutánea del tumor retroperitoneal, esta se realizó en dos oportunidades: a las 2 31 y a las 18 semanas 21. No se presentaron complicaciones.
Tratamiento
En los casos reportados se realizó manejo quirúrgico en 31 casos 1,6-8,10-20,22-31,33-35,37-39, un caso en el primer trimestre 16, seis en el segundo trimestre 11,13,20,25,26,38, dos en el tercer trimestre 19,33, tres casos en el mismo tiempo quirúrgico de la cesárea 1,7,12, 18 posterior al resultado obstétrico 6,8,10,14,15,17,18,22-24,27-31,34,35,37, y un caso que no registra el momento del manejo quirúrgico 39; no se realizó manejo quirúrgico en cuatro casos 9,21,32,36 uno por tumor no resecable 21 y tres tumores benignos que continuaron en observación clínica 9,32,36. Durante el embarazo, la cirugía puede realizarse mediante una intervención quirúrgica abierta o laparoscópica 11, aunque la vía tradicional y más frecuente es la laparotomía 14,24, cuyo objetivo es la resección completa del tumor.
En cuanto a la terapia adyuvante, se documentaron cuatro casos de liposarcoma retroperitoneal, dos de estos recibieron radioterapia 7,25, uno quimioterapia 8 y uno radioterapia más quimioterapia 18; un caso de tumor neuroectodérmico primitivo retroperitoneal que recibió quimioterapia durante el embarazo, y en puerperio quimioterapia más radioterapia 21, y un caso de rabdomiosarcoma de células fusiformes que recibió quimioterapia 17.
Pronóstico
El pronóstico de los tumores retro- peritoneales durante el embarazo está dado por la naturaleza del tumor y resección completa de este 13,16. Dentro de las complicaciones maternas antenatales reportadas, en dos casos se presentó un síndrome febril que resolvió posterior a la resección quirúrgica de los tumores retroperitoneales 11,30, y un teratoma quístico maduro retroperitoneal con absceso, que requirió manejo quirúrgico durante la gestación 6; se reportó como complicación materna en el momento del parto una distocia mecánica por el tamaño y la ubicación del tumor retroperitoneal, por lo cual se requirió cesárea 28, y como complicaciones maternas posparto se asoció a mortalidad materna en tres casos 7,8,17.
Respecto a los resultados fetales se realizaron interrupciones del embarazo en tres casos para el tratamiento del tumor retroperitoneal 27,31,32; según la vía de parto se realizaron 17 cesáreas 1,7,9,12,15,16,18,20-23,26,28,29,35-37, 11 partos 6,8,10,11,13,17,19,25,33,34,38 y no se registró la vía de parto en dos casos clínicos 24,39, con un total de 23 recién nacidos sanos 1,7-13,15-17,19,20,22,23,26,29,33-38.
Respecto a las complicaciones obstétricas se reportaron dos abortos 14,30, dos partos pretérmino espontáneos 6,25, una ruptura prematura de membranas a las 34 semanas 28, un parto pretérmino a las 27 semanas con restricción de crecimiento intrauterino 21 y otro parto a las 29 semanas por sospecha de malignidad en el tumor retroperitoneal, por lo cual se realizó una terminación de la gestación posterior a la maduración pulmonar fetal para dar tratamiento quirúrgico al tumor 18.
CONCLUSIONES
Los tumores retroperitoneales primarios durante el embarazo son extremadamente raros, el diagnóstico se basa en la ecografía como el primer enfoque de las masas retroperitoneales y como estudio complementario la RM, la cual es de elección para el estudio radiológico preoperatorio; la biopsia percutánea parece segura durante el embarazo, la cual ayudaría a determinar la naturaleza prequirúrgica; el diagnóstico definitivo es por estudio histopatológico.
Durante el embarazo no se ha determinado un enfoque terapéutico unificado, aunque se considera la resección quirúrgica del tumor con un plan individualizado para cada paciente, a fin de mejorar el resultado materno-perinatal y el pronóstico materno, que está dado por la naturaleza del tumor y su resección completa.
REFERENCIAS
1. Wei D, Shen L, Yang K, Fang F. Giant retroperitoneal lipoma in a pregnant patient. J Obstet Gynaecol. 2013;33(5):522. Doi: 10.3109/01443615.2013.788621
2. Strauss DC, Hayes AJ, Thomas JM. Retroperitoneal tumours: Review of management. Ann R Coll Surg Engl. 2011;93(4):275-80. Doi: 10.1308/003588411X571944
3. van Roggen JFG, Hogendoorn PC. Soft tissue tumours of the retroperitoneum. Sarcoma. 2000;4:17-26. Doi: 10.1155/S1357714X00000049
4. Scali EP, Chandler TM, Heffernan EJ, Coyle J, Harris AC, Chang SD. Primary retroperitoneal masses: What is the differential diagnosis? Abdom Imaging. 2015;40:1887-1903. Doi: 10.1007/s00261-014-0311-x
5. Porter GA, Baxter NN, Pisters PW. Retroperitoneal sarcoma: A population-based analysis of epidemiology, surgery, and radiotherapy. Cancer. 2006;106(7):1610- 6. Doi: 10.1002/cncr.21761
6. Talwar N, Andley M, Ravi B, Kumar A. Subhepatic abscess in pregnancy-an unusual presentation of infected primary retroperitoneal teratoma. Acta Obstet Gynecol Scand. 2005;84(11):1127-8. Doi: 10.1111/j.0001-6349.2005.00120d.x
7. Jeng CJ, Tzen CY, Huang WC, Yang YC, Shen J, Tzeng CR. Recurrent retroperitoneal myxoid liposarcoma during pregnancy: A case report and literature review. Int J Gynecol Cancer. 2005;15(6):1235-8. Doi: 10.1111/j.1525-1438.2005.00180.x
8. Rousková L, Melichar B, Nikolov DH, Cerman J Jr, Havel E, Megancová J, et al. Fulminant course of metastatic liposarcoma after delivery-case report. Eur J Gynaecol Oncol. 2007;28(1):67-8.
9. Tan SQ, Lim JS, Tan YR, Tan HK. Challenges in the management of a rare case of extensive retroperitoneal haemangioma in a pregnant woman. Singapore Med J. 2014;55(11):e177-9. Doi: 10.11622/smedj.2014165
10. Ramírez Daniel L, García Sabela L, Rey Jorge R, Calvo Antonio O. Angiomiolipoma retroperitoneal: revisión de la literatura y reporte de un nuevo caso. Actas Urol Esp. 2010;34(9):815-7. Doi: 10.1016/j.acuro.2009.12.014
11. Berczi C, Osvath P, Flasko T. Large benign retroperitoneal tumour in pregnancy. Can Urol Assoc J. 2015;9(7-8):E551-E553. Doi: 10.5489/cuaj.2908
12. Sonntag B, Lellé RJ, Steinhard J, Brinkmann OA, Hungermann D, Kiesel L. Retroperitoneal mucinous adenocarcinoma occurring during pregnancy in a supernumerary ovary. J Obstet Gynaecol. 2005;25(5):515- 6. Doi: 10.1080/01443610500193478
13. Ulker V, Gungorduk K, Numanoglu C, Sahbaz A, Aslan O, Tekirdag AI, et al. Complete surgical resection of retroperitoneal leiomyosarcoma in pregnancy: A case report. Arch Gynecol Obstet. 2008;277(4):353-6. Doi: 10.1007/s00404-007-0457-7
14. Becerril-González AN, Pérez-Martínez A, Sereno-Coló JA. Teratoma pélvico retroperitoneal. Reporte de un caso. Ginecol Obstet Mex. 2013;81(12):727-32.
15. Dueñas-García OF, Díaz-Sotomayor M, Rico-Olvera H. Well differentiated giant retroperitoneal liposarcoma during the pregnancy. Rev Esp Enferm Dig. 2011;103(12):657-8. Doi: 10.4321/s1130-01082011001200012.
16. Lopes RI, Machado M, Paz C, Santos AC, Rezende WW. Successful outcome of a surgically treated giant retroperitoneal liposarcoma during pregnancy. Arch Gynecol Obstet. 2009;280(6):1067-9. Doi: 10.1007/s00404-009-1061-9.
16. Yu L, Yang SJ. Spindle cell rhabdomyosarcoma of the retroperitoneum: An unusual case developed in a pregnant woman but obscured by pregnancy. Int J Clin Exp Pathol. 2014;7(8):4904-12.
17. Oh SE, Kim HJ, Choi SJ, Oh SY, Roh CR, Kim JH. A case of huge retroperitoneal liposarcoma in pregnancy. Obstet Gynecol Sci. 2014;57(3):236-9. Doi: 10.5468/ogs.2014.57.3.236
18. Hanhan HM, Gungorduk K, Ozdemir IA, Gokcu M, Sanci M, Ayaz D, et al. Primary retroperitoneal mucinous cystadenocarcinoma during pregnancy. J Obstet Gynaecol. 2014;34(6):535-8. Doi: 10.3109/01443615.2014.910501
19. Sousa-Santos R, Coelho D, Oliveira P. 1st trimester incidental abdominopelvic mass: Ganglioneuroma in pregnancy. J Obstet Gynaecol. 2012;32(3):307-9. Doi: 10.3109/01443615.2011.647733
20. Sivarajan S, Roy M, Pattwardan S, Steele J, Sanghi A. A primitive neuroectodermal tumour of the retroperitoneum treated with chemotherapy in pregnancy: Case report and review of the literature. J Obstet Gynaecol. 2004;24(5):598-9. Doi: 10.1080/01443610410001722888.
21. Wang X, Yang L, Shi M, Liu X, Liu Y, Wang J. Retroperitoneal ganglioneuroma combined with scoliosis: A case report and literature review. Medicine (Baltimore). 2018;97(37):e12328. Doi: 10.1097/MD.0000000000012328
22. Parveen S, Gonsalves R, Feroz AS, Rogers J. Retroperitoneal schwannoma presenting as an ovarian tumour in pregnancy. J Obstet Gynaecol. 2007;27(4):429-30. Doi: 10.1080/01443610701327222
23. Dayan D, Abu-Abeid S, Klausner JM, Sagie B. Primary retroperitoneal mucinous cystic neoplasm: Authors' experience and review of the literature. Am J Clin Oncol. 2016;39(5):433-40. Doi: 10.1097/COC.0000000000000298
24. Paul DP, Garg K. Giant retroperitoneal liposarcoma during pregnancy: Case report. Int J Reprod Contracept Obstet Gynecol. 2018;7(11):4768- 71. Doi: 10.18203/2320-1770.ijrcog 20184231
25. Huo D, Liu L, Tang Y. Giant retroperitoneal liposarcoma during pregnancy: A case report. World J Surg Oncol. 2015;13:145. Doi: 10.1186/s12957-015-0555-0
26. Goel S, Aeron R, Goel A, Singhai A. Retroperitoneal teratoma simulating giant adrenal myelolipoma: A diagnostic puzzle. BMJ Case Rep. 2017;2017:bcr221762. Doi: 10.1136/bcr-2017-221762.
27. Nithya J, Banumathy M, Radha A. Retroperitoneal pelvic schwannoma in pregnancy: A case report. Int J Reprod Contracept Obstet Gynecol. 2017;6(8):3689- 91. Doi: 10.18203/2320-1770.ijrcog20173515.
28. Ibraheim M, Ikomi A, Khan F. A pelvic retroperitoneal schwannoma mimicking an ovarian dermoid cyst in pregnancy. J Obstet Gynaecol. 2005;25(6):620-1. Doi: 10.1080/01443610500243752.
29. Molina M, Ruipérez J, Ortega N, Parrilla P. Angiomiolipoma retroperitoneal en una embarazada. Med Clin. 2001;117(5),199. Doi: 10.1016/ s0025-7753(01)72061-1
30. Acín D, Carabias A, Bertomeu A, Giménez L, Colao L, Limones M. Giant retroperitoneal ganglioneuroma. Rev Esp Enferm Dig. 2010;102(3):205-7.
31. Yadav Y, Onon T, Sukumar S. Conservative management of a pelvic Schwannoma presenting as an adnexal mass. J Obstet Gynaecol. 2008;28(3):364-5. Doi: 10.1080/01443610802066265.
32. Kashima K, Yahata T, Fujita K, Tanaka K. Primary retroperitoneal mucinous cystadenocarcinoma as- sociated with pregnancy. Int J Gynecol Cancer. 2008;18(5):908-12. Doi: 10.1111/j.15251438.2007.01130.x.
33. Li F, Munireddy S, Jiang L, Cheng N, Mao H, Pawlik TM. Infected primary retroperitoneal teratoma presenting as a subhepatic abscess in a postpartum woman. Am J Surg. 2010;199(2):e27-e28. Doi: 10.1016/j.amjsurg.2009.03.018
34. Haakova L, Krofta L, Kucerova I, Stefanovicova H. P09.09: Retroperitoneal schwannoma in pregnancy: A case report. Ultrasound Obstet Gynecol. 2009; 34(Sup- pl.1):212-212. Doi: 10.1002/uog.7131
35. Greimel P, Klaritsch P, Csapo B, Haeusler M. Electronic poster abstracts, EP24.09 - Recurrent benign pelvic schwannoma in pregnancy: A case report. Ultrasound Obstet Gynecol. 2017;50(Suppl. 1):257-399. Doi: 10.1002/uog.18704
36. Subramony C, Habibpour S, Hashimoto LA. Retroperitoneal mucinous cystadenoma. Arch Pathol Lab Med. 2001;125(5):691-4. Doi: 10.1043/0003-9985(2001)125<0691:RMC>2.0.CO;2
37. Chen CH, Chiu LH, Lin JY, Liu WM. Pelvic retro- peritoneal cyst during pregnancy. Taiwan J Obstet Gynecol. 2013;52(1):117-9. Doi: 10.1016/j.tjog.2012.07.041.
38. Roma AA, Malpica A. Primary retroperitoneal mucinous tumors: A clinicopathologic study of 18 cases. Am J Surg Pathol. 2009;33(4):526-33. Doi: 10.1097/PAS.0b013e3181909018.
Notas
Notas de autor
* Correspondencia: Rafael Aragón. Dirección: calle 23B # 66-46 Unidad Materno-Fetal, Clínica Universitaria Colombia, Bogotá, Colombia. Cel: 3112065051. rafaaragon2@hotmail.com
Declaración de intereses