Reporte de caso
Tumor de ovario de los cordones sexuales con túbulos anulares: reporte de caso y revisión de la literatura
Ovarian sex cord tumor with annular tubules: case report and review of the literature
Tumor de ovario de los cordones sexuales con túbulos anulares: reporte de caso y revisión de la literatura
Revista Colombiana de Obstetricia y Ginecología, vol. 73, núm. 3, pp. 317-329, 2022
Federación Colombiana de Obstetricia y Ginecología; Revista Colombiana de Obstetricia y Ginecología
Recepción: 14 Junio 2022
Aprobación: 31 Agosto 2022
RESUMEN
Objetivos: Reportar un caso de Tumor de Ovario de los Cordones Sexuales con Túbulos Anulares (TCSTA), hacer una revisión de la literatura acerca del diagnóstico, tratamiento y pronóstico de esta condición.
Materiales y métodos: Se informa el caso de una mujer que consultó al Instituto Nacional de Cancerología, Bogotá (Colombia), con diagnóstico final de TCSTA avanzado, quien recibió tratamiento quirúrgico y quimioterapia con evolución satisfactoria a los 6 meses. Se realizó una búsqueda de la literatura en las bases de datos Medline vía PubMed, LILACS y Scielo, que incluía reportes y series de caso de mujeres con diagnóstico de TCSTA, publicados desde 1990, sin incluir rango de edad. Se extrajo información sobre el diagnóstico, tratamiento y pronóstico reportado. Se realizó resumen narrativo de los hallazgos.
Resultados: Se incluyeron 14 publicaciones que incluían 26 pacientes. La edad media al diagnóstico fue de 22,5 años. Los síntomas principales fueron alteraciones de la menstruación y dolor pélvico. La tomografía computarizada fue la tecnología de imágenes más frecuentemente utilizada. El tratamiento fue quirúrgico, siempre usado, acompañado de quimioterapia (29 %); 2 casos recibieron radioterapia. Hubo recaída en el 20 % de los casos. La mortalidad fue del 12,5 %, toda en el primer año.
Conclusiones: La información sobre la utilidad diagnóstica de las imágenes, marcadores tumorales y estudios de histoquímica es escasa, como también los datos sobre el pronóstico de la entidad. El tratamiento quirúrgico es el de elección, teniendo en cuenta el deseo de fertilidad de la paciente y el estadio tumoral. Se requieren más estudios que documenten de manera más detallada el manejo de esta condición.
Palabras clave: tumores de los cordones sexuales y estroma de las gónadas+ cáncer de ovario+ síndrome de Peutz-Jeghers.
ABSTRACT
Objectives: To report a case of ovarian sex cord tumor with annular tubules (SCTAT) and conduct a literature review on diagnosis, treatment and prognosis of this condition.
Material and methods: Case report of a woman with a final diagnosis of advanced SCTAT seen at the National Cancer Institute in Bogota (Colombia) who received surgical treatment and chemotherapy with a satisfactory course after 6 months. A literature search was conducted in the Medline via PubMed, LILACS and Scielo databases, including case reports and series of women diagnosed with SCTAT published since 1990, not using age ranges. Information about diagnosis, treatment and reported prognosis was retrieved. A narrative summary of the findings was prepared.
Results: Fourteen publications with 26 patients were included. Mean age at diagnosis was 22.5 years. The main symptoms were menstruation abnormalities and pelvic pain. Computed tomography (CT) was the imaging technology most frequently used. Surgical treatment was used in all cases, together with chemotherapy in 29 %; 2 patients received radiotherapy. Recurrence occurred in 20 % of cases. Mortality was 12.5 %, with all deaths occurring within the first year.
Conclusions: There is a paucity of information about the diagnostic utility of imaging, tumor markers and histochemical studies, as well as prognosis of this disease condition. Surgery is the treatment of choice, taking into consideration the patient's wishes regarding fertility, as well as the stage of the tumor. Further studies are needed to provide more detailed information about this condition.
Keywords: Gonadal sex cord and stromal tumors, ovarian cancer, Peutz-Jeghers syndrome.
INTRODUCCIÓN
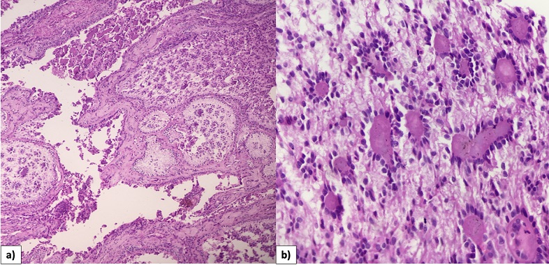
El tumor de cordones sexuales con túbulos anulares (TCSTA) del ovario es un tumor de cordón sexual de etiología desconocida, histológicamente se caracteriza por nidos de células tumorales bien delimitados compuestos de túbulos en forma de anillo que los rodean en forma de membrana basal 1. Fue descrito por primera vez por Scully en 1970, quien realizó el reporte de 10 casos 2. En general es un tipo de tumor de ovario muy raro, ya que representa menos del 1 % de todos los tumores de los cordones sexuales, aunque es frecuente en pacientes con Síndrome de Peutz-Jeghers (SPJ) 3.
El SPJ es una enfermedad hereditaria autosómica dominante rara (incidencia entre 1:8.300 y 1:200.000 nacimientos) que se caracteriza por pólipos hamartomatosos que afectan principalmente al intestino delgado, grueso y al estómago, además de un mayor riesgo de malignidad 4. Esto ocurre debido a mutaciones de la línea germinal en la serina/treonina quinasa 11 o en la quinasa hepática B1 (STK11/LKB1) en el cromosoma 19p13, combinado con un defecto genético adquirido del segundo alelo STK1/LKB1 en células somáticas 5.
El TCSTA se presenta a cualquier edad, y típicamente se presenta como un hallazgo incidental en un paciente con diagnóstico de SPJ 2; los casos no asociados a este síndrome se presentan con síntomas y signos inespecíficos e irregularidades menstruales 6,7. Cuando se asocia a SPJ, el tamaño va desde lesiones microscópicas hasta de 3 cm., que pueden ser bilaterales y multifocales, y microscópicamente puede haber una calcificación extensa dentro de los túbulos, y se observa ocasionalmente una proliferación sólida de células indiferenciadas de los cordones sexuales o un patrón tubular tipo sertoli. Cuando no están asociadas a SPJ son masas unilaterales grandes sólidas o quística; microscópicamente la morfología clásica puede hacer una transición focal a la morfología de la granulosa o de las células de Sertoli 1-3. El TCSTA es más frecuente en mujeres en edad reproductiva, 7. Este tumor también puede producir progesterona con cambios deciduales endometriales o pólipos endometriales 8. El diagnóstico histopatológico es el patrón de oro 3.
No existe un tratamiento estándar para pacientes con TCSTA debido a su baja frecuencia, aunque el tratamiento quirúrgico es el más recomendado, dependiendo del deseo de fertilidad. Tampoco hay mucha claridad sobre el pronóstico del tumor. Los informes iniciales de Scully 2 y Young (3), no presenta información al respecto. Por otra parte, no se identificaron reportes en la literatura nacional de casos de TCSTA; por lo tanto, el presente trabajo tiene por finalidad reportar un caso de esta enfermedad en una mujer en edad reproductiva, así como hacer una revisión de la literatura con el objetivo de describir cómo se ha realizado el diagnóstico, el tratamiento y cuál es el pronóstico de las pacientes diagnosticadas con este tipo de tumor de ovario.
PRESENTACIÓN DEL CASO
Paciente nulípara de 26 años quien consulta por primera vez en octubre de 2021 al centro nacional de referencia de cáncer (Instituto Nacional de Cancerología, INC) en Bogotá, Colombia, por diagnóstico de carcinomatosis peritoneal secundaria a tumor de ovario remitida de la ciudad de Barranquilla. Como antecedente se le había realizado una cistectomía de ovario por laparoscopia en una institución privada, en mayo del 2019, en Barranquilla; con reporte de patología de tumor de células de la granulosa, no recibió tratamiento adyuvante. En enero de 2021 comenzó a presentar dolor en cicatriz de puerto de laparoscopia izquierdo, por lo que consulta nuevamente a la institución donde se realizó el procedimiento. Allí se realiza Resonancia Magnética (RM) de abdomen con contraste en la que se documenta masa de pared abdominal que se extiende hacia fosa iliaca y flanco izquierdo. En septiembre del 2021 se toma biopsia trucut percutánea guiada por ecografía: el reporte de biopsia fue tumor de cordones sexuales. Es llevada nuevamente a laparoscopia diagnóstica en octubre de 2021 en otra institución en la ciudad de Barranquilla, donde se documentan signos de carcinomatosis peritoneal y se toman biopsias con reporte de tumor de células de la granulosa juvenil.
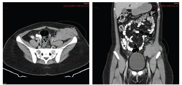
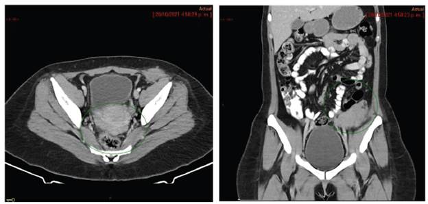
En diciembre de 2021 es valorada en junta de Ginecología Oncológica del INC con imágenes de RM institucionales realizadas una semana antes de la junta las cuales reportan masa que compromete la pared abdominopélvica izquierda a nivel extra e intra pélvica que contacta el borde antimesentérico del colon descendente y signos de carcinomatosis peritoneal (Figuras 1 y 2); la revisión institucional de patología reportó un Tumor de los Cordones Sexuales con Túbulos Anulares (TCSTA) por caracterización histológica e inmunohistoquímica la cual fue positiva para queratina AE1-AE3, inhibina, calretinina, CD56, CD99 (focal) y WT1; la inmunohistoquímica fue negativa para cromogranina y sinaptofisina. El índice KI 67 fue del 10 %. En esta junta se define llevarla a cirugía citorreductora, que es llevada a cabo el 11 de enero de 2022, y se realiza citorreducción vía abierta que incluye histerectomía, salpingooforectomía bilateral, peritonectomía de cúpula diafragmática derecha, peritonectomía parietal derecha flanco y fosa iliaca derecha, peritonectomía pélvica anterior y posterior, resección anterior baja de recto con anastomosis colorrectal, omentectomía supracólica, resección local amplia de pared abdominal de flanco y fosa iliaca izquierda con resección de cicatriz sobrelínea media, resección del ligamento redondo, fulguración y resección de implantes peritoneales en meso del íleon distal, resección del ligamento de treitz. Se calcula Índice de Carcinomatosis Peritoneal (ICP) en 18; este índice tiene un valor mínimo de 0 y máximo de 39, se utiliza para evaluar la cantidad y la distribución de la enfermedad tumoral en el peritoneo 9.


Durante la evolución del posoperatorio, la paciente presenta, el 21 de enero de 2022, dehiscencia de anastomosis colorectal con peritonitis fecal, es llevada a lavado peritoneal, colostomía tipo Hartmann y colocación de sistema de presión negativa ABTHERA. Es conducida a nuevo lavado peritoneal el 24 de enero de 2022; el 25 de enero de 2022 se recibe resultado de patología final que confirma diagnóstico histopatológico (Figura 3). Por último, el 26 de enero de 2022 es llevada a cierre de pared abdominal. Durante su progreso, y después de cierre de pared abdominal, cursa con evolución estacionaria dada por picos febriles y disnea, en imagen de TC de abdomen y pelvis, se documenta colección pélvica con dehiscencia parcial de muñón rectal y fístula enterovesical y fístula atmosférica. En tomografía computarizada (TC) de tórax se documenta, además, tromboembolismo pulmonar. El cultivo de colección abdominal es positivo para Enterococcus faecium. La paciente recibe tratamiento con antibiótico de amplio espectro y clínica de heridas, además de anticoagulación plena. Valorada intrahospitalariamente por oncología en junta multidisciplinaria el 01 de febrero de 2022, donde se decide inicio de tratamiento adyuvante con esquema Carboplatino/Paclitaxel por 6 ciclos.

Se da egreso el 14 de febrero con hospitalización domiciliaria para continuar tratamiento. Finalizó tratamiento antibiótico con evolución favorable. Durante el seguimiento hasta agosto de 2022, la paciente ha recibido 6 ciclos de quimioterapia sin toxicidad y se encuentra en seguimiento en su ciudad de origen.
MATERIALES Y MÉTODOS
Con base en la pregunta ¿cómo se ha hecho el diagnóstico, el tratamiento y cuál es el pronóstico de las pacientes diagnosticadas con TCSTA?, se realizó una búsqueda sistemática de la literatura en la base de datos MEDLINE vía PubMed y LILACS, usando los términos MeSH: "Sex cord tumour with annular tubules", "Sex cordstromal tumours", "Pure sex cord tumours". En las bases de datos Medline vía PubMed, LILACS y Scielo se realizó una búsqueda con las palabras: "Tumor de los cordones sexuales con túbulos anulares", "Tumores de los cordones sexuales y estromales" y "Tumor de los cordones sexuales". Se seleccionaron artículos originales en español, inglés y portugués, desde 1990 a agosto de 2022, se seleccionó este periodo porque a partir de los años 90 se presenta el mayor desarrollo de las imágenes diagnósticas y biología molecular. Se incluyeron reportes o series de caso, no se incluyó rango de edad y se seleccionaron los estudios que incluyeran pacientes con diagnóstico con confirmación histológica de TCSTA asociados o no a SPJ. Dentro de las características de los estudios se evaluó el diseño, año de publicación, país, población, rango de edad, características clínicas, diagnóstico, tratamiento y desenlaces del tratamiento. Dos autores (FR y JL) revisaron los títulos y resúmenes de forma independiente; después de identificar los títulos y los resúmenes en la búsqueda inicial se evaluó el texto completo, en los casos en los que no se contó con el texto completo, se solicitó al autor el envío de este. La información de la revisión se organizó mediante un instrumento de recolección de datos (tabla de Excel), que incluyó las siguientes variables: año de publicación, autor, país de realización del estudio, edad, tipo de estudio, número de casos, diagnóstico (incluyendo síntomas, signos y hallazgos en laboratorios e imágenes como ecografía, TC u otras modalidades), tratamiento recibido (tipo de tratamiento quirúrgico y tipo de tratamiento adyuvante) y desenlace del tratamiento y seguimiento (seguimiento, recaídas y el tratamiento de la recaída). Se realizó un resumen narrativo de los hallazgos con los resultados de la búsqueda, los tipos de estudios incluidos y los resultados de las variables incluidas en la búsqueda.
Aspectos éticos. El comité de ética médica del Instituto Nacional de Cancerología (INC) dio autorización para su publicación en sesión del 13 de abril de 2022 con el número de oficio 722660.
RESULTADOS
Se identificaron 32 títulos publicados: dos títulos correspondían a doble publicación, quedando 30 títulos. Al revisar el resumen se identificó que 13 estudios no cumplían con los criterios de inclusión porque tenían histología diferente a TCSTA, y 3 estudios estaban en idiomas diferentes al inglés, español y portugués (1 en alemán, 1 en polaco y 1 en eslovaco), por lo que tampoco fueron incluidos (Figura 4). De esta manera, fueron incluidos 14 estudios (Tabla 1), de ellos 13 correspondian a reportes de caso 10,12-23 y 1 a serie de casos 11; incluyeron un total de 26 casos. Los países de origen de los estudios fueron Estados Unidos 20-23, Corea 10, Chile 12, India 13, Canadá 14, Tanzania 15, Suiza 16, Argentina 17, Escocia 18 y México 19. La serie de casos fue publicada en China 11.


La población incluida presenta una edad media al diagnóstico de 22,5 años (6-60 años), 10 pacientes (38,4 %) eran menores de 18 años 10,11,15,17,19,20,23, y 16 pacientes eran mayores de 18 años 11-14,16,18,20-22. La paciente de mayor edad tenía 60 años al momento del diagnóstico 14.
Diagnóstico. Los síntomas principales en orden de frecuencia fueron: amenorrea en 8 pacientes (30,7 %) 11, pubertad precoz en 7 pacientes (26,9 %) 10,11,17,19,23, dolor abdominal en 5 pacientes (19,2 %) 12-15,21, hemorragia uterina anormal en 5 pacientes (19,2 %) 11,21,23, dolor pélvico crónico en dos pacientes (7,6 %) 16,20, e hipermenorrea 12 y sensación de masa y distensión abdominal 22, en un solo caso, respectivamente (3,3 %). 3 pacientes tenían asociado el diagnóstico de SPJ, (11,5 %) 18-20.
En cuanto a las imágenes diagnósticas, la más usada fue la tomografía computarizada de abdomen y pelvis (TC) en 19 pacientes (73 %), que evidenció el hallazgo de masa anexial en todos los casos 10-12,14,15,20,23, seguida de la ecografía pélvica reportada en 2 casos (7,6 %), 17,19, y por último, la RM reportada en solo un caso que evidenció una masa anexial 16. En los hallazgos ecográficos se reportó asimetría ovárica en 1 caso 17, y masa anexial en el segundo caso 19. Se reportó intususcepción intestinal en un solo caso 18.
Qian et al. 11 informaron el uso de inmunohistoquímica en 7 casos, los cuales fueron positivos para inhibina, calretinina, CD99 y citoqueratina AE1/AE3 y negativos para cromogranina, sinaptofisina, EMA, p53, WT-1. El índice proliferación Ki 67 tuvo un rango del 2-30 %.
Tratamiento. En cuanto al tratamiento quirúrgico se realizó salpingooforectomía unilateral en doce pacientes (46,1 %) 10-14,16,17,19-21,23 y cirugía de estadificación en 9 pacientes (34,6 %) 11,18,23. La linfadenectomía pélvica se realizó en 3 pacientes (11,5 %) 12,17,23, el abordaje más frecuente fue por vía abierta (24 pacientes) (92,3 %) 10-15,17-23. En una paciente se realizó, además, linfadenectomía paraaórtica y omentectomía 23, y en otra paciente se realizó histerectomía abdominal total y salpingooforectomía bilateral 22, lo que equivale al 3,8 % en cada caso, respectivamente. En un reporte de caso se realizó manejo preservador de la fertilidad con gestación a término, 24 meses después de cirugía, con desenlace materno fetal favorable 16. En 7 pacientes (30,4 %) se dio tratamiento adyuvante con quimioterapia después del manejo quirúrgico 11, los regímenes de quimioterapia fueron: PVB (cisplatino, vinblastina y bleomicina) en dos casos, 5-fluoruracilo en 1 caso, nitrosurea en 1 caso y PEB (cisplatino, etopósido y bleomicina) en 3 casos. En cuanto al seguimiento, se reportaron 10 recaídas, en 9 casos el tratamiento fue resección del tumor y adyuvancia con quimioterapia 11,18,21,22, y una paciente no recibió tratamiento por decisión propia 14. Se reportó tratamiento adyuvante con radioterapia después del tratamiento inicial en dos casos 11,18. En los casos reportados de la búsqueda no se reportaba uso de otras terapias como inmunoterapia, terapia dirigida o inhibidores de la angiogénesis.
En cuanto al seguimiento, en un rango de 0-7 meses murieron 3 pacientes (12,5 %) por la enfermedad 11,14,18; sin embargo, el período de seguimiento no es el mismo en todos los estudios y no en todos se informó si se presentó o no recaída de la enfermedad o muerte, por lo tanto, los desenlaces oncológicos de supervivencia libre de progresión (SLP) y supervivencia global (SO) no se pueden estimar con base a los casos reportados.
CONCLUSIONES
La información sobre la utilidad diagnóstica de las imágenes diagnósticas, marcadores tumorales y estudios de histoquímica es escasa, así como también los datos sobre el pronóstico de la entidad. El tratamiento quirúrgico es el de elección, teniendo en cuenta el deseo de fertilidad de la paciente y el estadio tumoral. Se requieren más estudios que documenten de manera más detallada el manejo de esta condición.
AGRADECIMIENTOS
Instituto Nacional de Cancerología, Bogotá, Colombia.
REFERENCIAS
Young RH, Kiyokawa T, Stewart C. Sex cord tumour with annular tubules. WHO Classification of Tumours Editorial Board. Female Genital Tumours. 2020. p. 111-2.
Scully RE. Sex cord tumor with annular tubules a distinctive ovarian tumor of the Peutz-Jeghers syndrome. Cancer. 1970;25(5):1107-21. https://doi.org/10.1002/1097-0142(197005)25:5<1107::AIDCNCR2820250516>3.0.CO;2-7
Young RH, Welch WR, Dickersin GR, Scully RE. Ovarian sex cord tumor with annular tubules. Review of 74 cases including 27 with Peutz-Jeghers syndrome and four with adenoma malignum of the cervix. Cancer. 1982;50(7):1384-402. https://doi.org/10.1002/1097-0142(19821001)50:7<1384::AIDCNCR2820500726>3.0.CO;2-5
Tacheci I, Kopacova M, Bures J. Peutz-Jeghers syndrome. Curr Opin Gas-troenterol.2021;37(3):245-54. https://doi.org/10.1097/MOG.0000000000000718
Hemminki A, Markie D, Tomlinson I, Avizienyte E, Roth S, Loukola A, et al. A serine/threonine kinase gene defective in Peutz-Jeghers syndrome. Nature. 1998;391(6663):184-7. https://doi.org/10.1038/34432
Scully RE. The prolonged gestation, birth, and early life of the sex cord tumor with annular tubules and how it joined a syndrome. Int J Surg Pathol. 2000;8(3):233-8. https://doi.org/10.1177/106689690000800312
Oliva E, García-Miralles N, Vu Q, Young RH. CD10 expression in pure stromal and sex cordstromal tumors of the ovary: an immunohistochemical analsis of 101 cases: An immunohistochemical analysis of 101 cases. Int J Gynecol Pathol. 2007;26(4):359-67. https://doi.org/10.1097/PGP.0b013e318064511c
Dolan J, AlTimimi AH, Richards SM, Jeffs JB, Mason GC, Smith DB, et al. Does ovarian sex cord tumour with annular tubules produce progesterone? J Clin Pathol. 1986;39(1):29-35. https://doi.org/10.1136/jcp.39.1.29
Sugarbaker PH. Peritoneal carcinomatosis: principles of management. Boston, MA: Kluwer Academic Publishers; 1996. https://doi.org/10.1007/978-1-4613-1247-5
Moon WK, Kim SH, Kim WS, Kim IO, Yeon KM, Han MC. Case report: ovarian sex cord tumour with annular tubules: imaging findings. Clin Radiol. 1995;50(8):581-2. https://doi.org/10.1016/S0009-9260(05)83200-3
Qian Q, You Y, Yang J, Cao D, Zhu Z, Wu M, et al. Management and prognosis of patients with ovarian sex cord tumor with annular tubules: a retrospective study. BMC Cancer. 2015;15(1):270. https://doi.org/10.1186/s12885-015-1277-y
Mayerson B, Cuello D, Brañes M, Leiva J, Castiblanco V. Tumor de los cordones sexuales con túbulos anulares del ovario no asociado a síndrome de Peutz-Jeghers. Rev chil Obstet ginecol. 2006; 71(1): 57-62. https://doi.org/10.4067/s0717-75262006000100010
Singh M, Mandal S, Majumdar K. Sex cord tumor with annular tubules: An incidental finding in an endometriotic cyst - The first known cooccurrence. Biomed Res Int. 2014; 2014:970243. https://doi.org/10.1155/2014/970243
Senn D, Videira H, Haagsma B, El-Bahrawy M, Madhuri TK. Sex cord tumour with annular tubulesan unusual case of abdominal pain. J Obstet Gynaecol Can. 2021; 43(3):361-4. https://doi.org/10.1016/j.jogc.2020.06.025
Yahaya JJ, Mshana D, Mremi A. Ovarian sex cord tumour with annular tubules in a 13-year old female: a case report. Oxf Med Case Reports. 2020; 2020(4):omaa024. https://doi.org/10.1093/omcr/omaa024
Chatziioannidou K, Botsikas D, Tille JC, Dubuisson J. Preservation of fertility in non Peutz- Jegher syndromeassociated ovarian sex cord tumour. BMJ Case Reports. 2015. https://doi.org/10.1136/bcr-2014-207841
Sánchez J, Ruiz J, Sánchez S. Causa muy rara de pubertad precoz periférica en una niña: tumor de cordones sexuales con túbulos anulares. Arch Argent Pediatr 2017; 115(3):e179-e182. https://doi.org/10.5546/aap.2017.e179
Hales SA, Cree IA, Pinion S. A poorly differentiated Sertoli-Leydig cell tumour associated with an ovarian sex cord tumour with annular tubules in a woman with Peutz-Jeghers syndrome. Histopathology. 1994; 25(4):391-3. https://doi.org/10.1111/j.1365-2559.1994.tb01361.x
López Corella E, Garza Elizondo R, Silva Martínez MT, González del Ángel A, Fuentes-Gutiérrez D. Tumor de cordón sexual con túbulos anulares y cistadenoma mucinoso de ovario, en una adolescente con Síndrome de Peutz Jeghers. Acta pediátr Méx. 2020; 41(4):178. https://doi.org/10.18233/apm41no4pp178-1862098
Ravishankar S, Mangray S, Kurkchubasche A, Yakirevich E, Young RH. Unusual Sertoli cell tumor associated with sex cord tumor with annular tubules in Peutz- Jeghers syndrome: Report of a case and review of the literature on ovarian tumors in Peutz-Jeghers syndrome: Report of a case and review of the literatura on ovarian tumors in peutz-jeghers syndrome. Int J Surg Pathol. 2016; 24(3):269-73. https://doi.org/10.1177/1066896915620663
Gustafson ML, Lee MM, Scully RE, et al. Müllerian inhibiting substance as a marker for ovarian sexcord tumor. N Engl J Med. 1992; 326(7):466-71. https://doi.org/10.1056/nejm199202133260707
Puls LE, Hamous J, Morrow MS, Schneyer A, MacLaughlin DT, Castracane VD. Recurrent ovarian sex cord tumor with annular tubules: tumor marker and chemotherapy experience. Gynecol Oncol. 1994; 54(3):396-401. https://doi.org/10.1006/gyno.1994.1232
Nosov V, Park S, Rao J, Memarzadeh S. Non-Peutz- Jeghers syndrome associated ovarian sex cord tumor with annular tubules: a case report. Fertil Steril 2009; 92(4):1497.e5-1497.e8. https://doi.org/10.1016/j.fertnstert.2009.07.1002
CONTRIBUCIÓN DE LOS AUTORES
Notas de autor
* Correspondencia: Franco Rafael Ruiz-Echeverría. Instituto Nacional de Cancerología, Universidad Militar Nueva Granada. Bogotá (Colombia). Dirección: Calle 1 #9-85, Bogotá (Colombia). Correo electrónico: est.franco.ruiz@unimilitar.edu.co
Declaración de intereses