Reporte de caso
Linfoma no Hodgkin de células B primario de mama. Reporte de caso y revisión de la literatura
Primary breast B-cell non-Hodgkin's lymphoma of the breast. Case Report and review of the literature
Linfoma no Hodgkin de células B primario de mama. Reporte de caso y revisión de la literatura
Revista Colombiana de Obstetricia y Ginecología, vol. 74, núm. 1, pp. 53-67, 2023
Federación Colombiana de Obstetricia y Ginecología; Revista Colombiana de Obstetricia y Ginecología
Recepción: 28 Abril 2022
Aprobación: 24 Enero 2023
RESUMEN
Objetivos: Reportar un caso de linfoma no Hodgkin de células B primario de mama (LPM) y realizar una revisión de la literatura de su diagnóstico y tratamiento.
Materiales y métodos: Se reporta el caso de una paciente de 80 años que acudió a una institución privada de referencia en México por un LPM. Además, se diagnosticó un melanoma primario de hígado, mediante biopsia dirigida y estudio de patología. La paciente recibió tratamiento con R-CHOP (rituximab, ciclofosfamida, doxorrubicina, vincristina y prednisona), cuadrantectomía, resección de cadenas ganglionares y radioterapia. La paciente presenta adecuada respuesta del LPM, sin embargo, el segundo tumor primario progresa llevando a la paciente a cuidados paliativos. Se realizó una búsqueda bibliográfica en Medline vía PubMed, LILACS y Google Scholar. Se incluyeron estudios de cohortes, reportes y series de casos en pacientes con LPM que abordaran el diagnóstico, tratamiento y pronóstico de esta patología, publicados en inglés y español entre los años 2000 a 2022.
Resultados: Se identificaron 23 títulos, de los cuales 17 cumplieron con los criterios de inclusión, estos fueron reportes de caso y series de caso. La mayoría de las pacientes recibió un esquema quimioterapéutico R-CHOP, el cual se complementó con radioterapia. Cerca del 80 % presentó remisión completa. El sitio más frecuente de recaída fue el sistema nervioso central. La sobrevida a 5 años fue del 83,6 % en los estudios incluidos.
Conclusiones: En la actualidad, el esquema CHOP -con o sin rituximab- es el más empleado y el único que ha mostrado tener un impacto positivo en la supervivencia, este suele acompañarse de radioterapia. Se requieren más estudios clínicos aleatorizados para establecer de manera más clara la efectividad y seguridad de estos tratamientos.
Palabras clave: Linfoma no Hodgkin+ cáncer de mama+ factores pronósticos+ neoplasia maligna de la mama+ reporte de caso.
ABSTRACT
Objectives: To report a case of primary breast B-cell non-Hodgkin's lymphoma (PBL) and to conduct a literature review of its diagnosis and treatment.
Material and methods: Case report of an 80-year-old female patient who presented to a private referral institution in Mexico, with PBL. She was also diagnosed with primary liver melanoma by means of targeted biopsy and pathology testing. The patient received treatment with R-CHOP (rituximab, cyclophosphamide, doxorubicin, vincristine and prednisone), quadrantectomy, lymph node dissection and radiotherapy. The PBL showed good response but, because of progression of the second primary tumor, the patient went on to receive palliative care. A review of the literature was conducted in Medline via PubMed, LILACS and Google Scholar. Cohort studies, case reports and case series in patients with PBL that discussed diagnosis, treatment and prognosis of this disease, published in English and Spanish between 2000 and 2022, were included.
Results: Overall, 23 titles were identified, of which 17 consisting of case reports and case series met the inclusion criteria. The majority of patients received R-CHOP as chemotherapy regimen, with irradiation as adjunct therapy. Close to 80 % went into complete remission. The most frequent site of recurrence was the central nervous system. Five-year survival was 83.6 % in the included studies.
Conclusions: At present, the CHOP regimen, with or without rituximab and usually accompanied by radiotherapy, is the most widely used and the only one that has shown a positive impact on survival. Additional randomized clinical trials are needed in order to gain a clearer insight into the effectiveness and safety of these treatments.
Keywords: Non-Hodgkin's lymphoma, breast cancer, prognostic factors, malignant neoplasm of the breast, case report.
INTRODUCCIÓN
Los linfomas representan un grupo amplio y heterogéneo de neoplasias malignas linfocíticas. Estos se pueden originar a partir de linfocitos B, linfocitos T o linfocitos T natural killer (NK) detenidos en diferentes etapas de maduración 1.
El linfoma primario de mama (LPM) fue primeramente definido por Wiseman y Liao en 1972 y no ha habido cambios desde entonces. En su definición, los LPM se caracterizan por 1) la presencia de tejido mamario e infiltrado linfomatoso en estrecha relación, 2) adecuada muestra histopatológica, 3) no evidencia de la diseminación del linfoma al momento del diagnóstico y 4) sin existencia de linfoma extramamario al momento del diagnóstico, aunque puede haber compromiso ganglionar ipsilateral al momento del diagnóstico 2.
En cuanto a la frecuencia, los linfomas constituyen el quinto cáncer más común a nivel mundial 3. Los linfomas no Hodgkin primarios de la glándula mamaria corresponden a una entidad rara que conforma el 0,04 al 0,5 % de los tumores malignos mamarios, del 1,7 al 2,2 % de los linfomas extranodales y del 0,38-0,7 % de todos los linfomas 4,5.
Los LPM suelen ser no Hodgkin de tipo células B, siendo más comunes que los de células T, que alcanzan un 7 % 6. El subtipo más predominante, que representa a la mitad de los LPM, es el difuso de células B grandes (LDCBG) 7. Otros subtipos menos frecuentes son los linfomas foliculares (15 %) asociados a mucosas (tejido linfoide asociado a la mucosa - MALT) (12 %), Burkitt (10 %) y el 6 % restante está conformado por los extranodales de la zona marginal, linfocítico de células B pequeñas, linfoplasmocítico, de células del manto y anaplásico 8,9. Este último se ha visto implicado a implantes mamarios 10. Es importante diferenciar el subtipo, dado que las tasas de recurrencia y mortalidad son inherentes a este, siendo el linfoma difuso de células B grandes (LDCBG) el que peores cifras presenta 11.
No existe una asociación o factor de riesgo propio para los LPM. Dado que existe un predominio en mujeres, se ha desarrollado la teoría de que los estrógenos juegan un papel importante en la fisiopatogenia de los LPM, ya que se ha observado mayor incidencia en mujeres con terapia hormonal de reemplazo con estrógenos sin oposición. Al igual que otros linfomas, la inmunodeficiencia o inmunosupresión, la cual se ha visto inducida por la infección por virus del Epstein-Barr, puede representar uno de los factores de riesgo más importantes 11.
Clínicamente se presentan como un nódulo solitario, palpable, móvil, indoloro, de rápido crecimiento, que puede estar o no acompañado de linfadenopatía axilar. Otras formas de presentación infrecuente incluyen al eritema, retracción o edema cutáneo. Suele presentarse en mujeres entre la quinta y sexta década de la vida. La glándula mamaria derecha se ha visto mayormente implicada, sin embargo, se ha reportado 10 % de bilateralidad, siendo este un factor de mal pronóstico 6,7. Los síntomas B, que usualmente suelen asociarse con los linfomas, como pérdida de peso, fiebre y sudoraciones nocturnas, no suelen ser tan frecuentes en los LPM 6.
La presentación clínica radiológica es similar a otros tumores de la glándula mamaria. En la mastografía puede identificarse al nódulo solitario como la lesión más característica (69-76 %). Por otra parte, al ultrasonido no se evidencian características específicas, puede observarse un nódulo oval o irregular, con márgenes indistintos, con reforzamiento posterior. Los linfomas suelen presentar hipervascularidad a la modalidad Doppler en la ecografía (55-64 %). En la resonancia magnética no se advierten características específicas, sin embargo, se pueden observar masas ovaladas con hipointensidad en T1 e hiperintensidad en T2. En la tomografía por emisión de positrones (PET-CT), los linfomas muestran una captación alta de 18 FDG (fluorodeoxiglucosa), indistinguible de cualquier carcinoma mamario. Esta última modalidad por imagen es muy sensible y específica en la evaluación de respuesta al tratamiento 10.
Para poder integrar el diagnóstico es necesaria la toma de biopsia, la cual puede ser escisional o por aguja de corte, esta última se prefiere por su naturaleza menos invasiva. No se recomienda la aspiración con aguja fina, ya que con esta no se pueden visualizar datos histopatológicos imprescindibles para la correcta subclasificación de los linfomas 6. Se debe complementar su estudio por medio de inmunohistoquímica con CD15 (antígeno de diferenciación), CD30, CD3, CD45, CD20, CD79a, BCL6 (proteína 6 del linfoma de células B), PAX-5 (paired box) 1.
Es posible diferenciar los LPM y el carcinoma ductal por medio de sus características citológicas. Los LPM muestran proliferaciones de células linfoides caracterizadas por células redondas no cohesivas de tamaños variables, mientras que el carcinoma ductal de mama muestra grupos tridimensionales cohesivos de células tumorales que contienen vacuolas de mucina, un hallazgo característico del adenocarcinoma 10.
El tratamiento incluye cirugía, radioterapia (RT), quimioterapia (QT) e inmunoterapia, ya sea solos o en combinación 8. Es importante mencionar que no hay guías de tratamiento establecidas y este es aún controversial 9. Actualmente, la mayoría de las pacientes reciben quimioterapia y radioterapia, y un número cada vez menor de pacientes se someten a cirugía, ya que esta última no ha reportado un impacto en la sobrevida. Se cuestiona si la terapia dirigida coadyuvante y la quimioterapia deben ser parte del manejo actual, por ello vale la pena revisar la experiencia del tratamiento de estos tumores 11-13. Se ha descrito que el pronóstico depende del tiempo de inicio de tratamiento y de la estirpe histológica, los cuales son determinantes en la supervivencia 14.
Dado que es importante que el ginecólogo conozca estos tumores para poder tener un tratamiento oportuno y adecuado, y que hay controversia sobre la efectividad de las diferentes alternativas terapéuticas, se presenta este caso de LPM con el objetivo realizar una revisión de la literatura centrada en el diagnóstico y tratamiento de esta condición y sus resultados.
PRESENTACIÓN DEL CASO
Paciente de 80 años sin antecedentes personales ni familiares relevantes para cáncer de mama. Acudió al servicio de ginecología del Hospital Ángeles Lomas (México), centro de referencia en patología mamaria a nivel privado, por autodetección de un tumor de reciente aparición, indoloro, que se extendía de la región retroareolar hacia el cuadrante superior externo de la mama derecha, acompañado de un ganglio palpable en axila ipsilateral. Negaba síntomas constitucionales y antecedente de traumatismos a nivel del tórax.
A la exploración clínica, durante la inspección se apreciaban mamas péndulas, simétricas, sin hundimientos, sin cambios en la coloración de la piel y red venosa, con adecuada relación areola-pezón, sin presencia de telorrea. A la palpación digital manual se identificó un tumor sólido en glándula mamaria derecha, retroareolar, en el radio de la 1, que se extendía hacia el cuadrante superior externo, de aproximadamente 2 x 1 cm, móvil, no doloroso, de bordes bien delimitados en el plano superficial. En la axila ipsilateral se palpó un ganglio ovalado, bien delimitado, de 3 x 2 cm, móvil, no doloroso. Se descartaron otros ganglios a nivel de la región supraclavicular. El resto de la exploración fue normal.
En la mamografía por tomosíntesis (Figura 1) se reportó tejido heterogéneamente denso en ambas glándulas mamarias. En la glándula mamaria derecha, en el cuadrante superior externo, se reportó engrosamiento difuso de la piel, con un patrón denso que sustituía la mayor parte de la glándula mamaria y se extendía de forma irregular, así como un nódulo ovalado, con márgenes indistintos y microlobulados de aproximadamente 1,5 cm en su eje mayor. Contaba con calcificaciones puntiformes, en anillo y distróficas, típicamente benignas, en ambas glándulas mamarias. En las axilas se reportaron ganglios de tamaño y forma adecuada.

El estudio se complementó con ecografía mamaria (Figura 2), la cual reportó tejido mamario fibroglandular y heterogéneo, con distorsión de la arquitectura, con un tumor en glándula mamaria derecha en el radio de la 1, bordes microlobulados y heterogéneos debido a zonas de mayor y menor ecogenicidad en el interior, sin reforzamiento posterior, con vascularidad interna incrementada a la aplicación de Doppler color. Los complejos areola-pezón con ductos de calibre y distribución adecuados. A nivel cutáneo se apreció engrosamiento de la piel. En las axilas se reportaron ganglios de tamaño y forma adecuadas, que conservaban su centro graso.

Una vez integrados los estudios de imagen se otorgó una categoría Breast Imaging Reporting and Data System (BI-RADS) 5, según el sistema del American College of Radiology, por lo que se prosiguió a realizar biopsia con aguja gruesa guiada por ultrasonido para su estudio histopatológico.
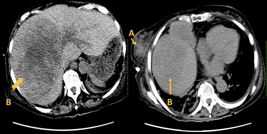
Se realizó tomografía computarizada como estudio de extensión, con cortes axiales, en fase simple, el cual reportó estructuras de la base del cuello sin alteraciones, calcificación en válvula aórtica, con morfología y tamaño normales, glándulas mamarias asimétricas, sin evidencia de adenomegalias mediastinales, cambios degenerativos en estructuras óseas. Se reportó una lesión hepática (Figura 3), la cual se protocolizó, se realizó biopsia y al resultado histopatológico se encontró un segundo tumor primario, el cual resultó un melanoma hepático. Se descartó la presencia de linfomas en otras localizaciones.

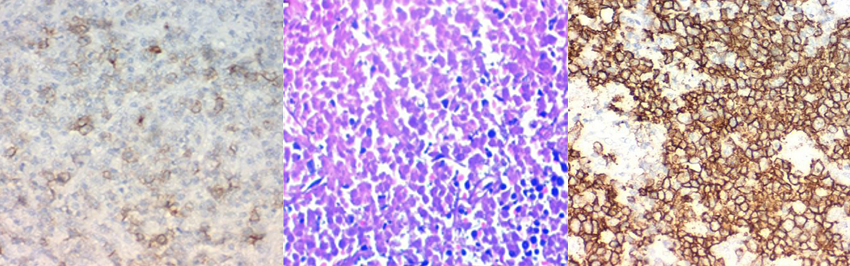
Posteriormente, se realizó perfil inmunohistoquímico (Figura 4) que reportó: CD5 positivo, CD10 positivo, CD20 positivo, BCL-2 positivo, MUM-1 negativo, Ki-67 100 %. Se realizó el diagnóstico de un linfoma no Hodgkin (LNH) inmunofenotipo B de células gigantes, con un índice de proliferación del 100 %. Se estadificó como etapa clínica I en la clasificación de Lugano de LNH (Tabla 1) 15,16 dado que cumplía con la definición de LPM, con involucramiento local de glándula mamaria con infiltración a un ganglio axilar ipsilateral, corroborado por biopsia por aspiración con aguja fina guiada por ecografía.


Una vez integrado el diagnóstico, se inició inmediatamente con ciclos de quimioterapia de inducción con esquema R-CHOP (rituximab, ciclofosfamida, doxorrubicina, vincristina y prednisona) por seis ciclos, un ciclo cada tres semanas. Las dosis y vías de administración fueron conforme a lo más aceptado en la bibliografía médica, por una duración de 18 semanas (Tabla 2) 17.

Se decidió optar por manejo quirúrgico complementario debido al volumen del tumor, por lo que se realizó cuadrantectomía y resección de cadenas ganglionares. Posteriormente, recibió quimioterapia adyuvante con esquema R-CHOP por un ciclo cada ocho semanas durante un año y posteriormente recibió radioterapia adyuvante en campos tangenciales con 50 Gy en 20 fracciones. Se decidió realizar una biopsia por aguja fina de control en mama derecha, que demostró respuesta clínica y patológica completa.
A pesar de la respuesta adecuada y el control del LNH, un año y medio después presenta progresión del segundo tumor primario, el cual comprometió el pronóstico. Se realizó una tomografía axial computarizada, en donde se apreció derrame pleural del 60 % (Figura 3), por lo que se realizó pleurodesis, la cual drenó 600 cc de líquido serohemático, por lo que se colocó un catéter tunelizado.
La paciente presentó un mal pronóstico condicionado por el segundo tumor primario debido a su progresión, a pesar de que el LNH se encontraba controlado. En los últimos cuatro meses, la paciente permaneció con cuidados paliativos.
MATERIALES Y MÉTODOS
Con base en la pregunta: ¿cómo se hace el diagnóstico de los linfomas no Hodgkin primarios de mama y cuál es el efecto de los diferentes tratamientos en términos de la sobrevida global?, se realizó la búsqueda sistemática de la literatura médica en las bases de datos PubMed, LILACS y Google Scholar usando los términos MeSH: "linfoma de mama", "tumor primario", "non-hodgkin lymphoma", "breast", "B-cell lymphoma", "breast carcinoma", "treatment", "chemotherapy", "mastectomy", "surgery". La búsqueda se amplió a otras fuentes de información a partir de la estrategia de búsqueda "bola de nieve", con base en los estudios recuperados. Se seleccionaron reportes, series de casos y cohortes de pacientes con diagnóstico histopatológico de linfoma no Hodgkin primario de mama, que abordaran esquemas o modos de tratamientos en términos de los efectos en la sobrevida global y sobrevida libre de enfermedad entre los años 20002020, en inglés y español. Se decidió establecer esta temporalidad dado que, a partir del año 2000, se presentó el mayor avance en tratamientos quimioterapéuticos dirigidos hacia esta entidad.
Los autores revisaron los títulos y resúmenes de forma independiente y se seleccionaron aquellos que cumplieron con los criterios de selección. De cada estudio se buscó información sobre país, número de casos, institución, diagnóstico clínico, imágenes diagnósticas e inmunohistoquímica, estadio clínico, tipo de tratamiento, tiempo de seguimiento, sobrevida global a cinco años, sobrevida libre de enfermedad, efectos adversos. La información se organizó mediante un instrumento de recolección de datos (Excel). Se realizó un resumen narrativo de los hallazgos con los resultados de búsqueda, los tipos de estudios incluidos y los resultados.
Aspectos éticos. Para la publicación del presente caso se informó a la paciente del diagnóstico, se firmó el consentimiento informado en cada procedimiento realizado, así como el consentimiento expreso para poder publicar su caso. Se tomaron las precauciones pertinentes para garantizar la confidencialidad de la información, así como el anonimato de la paciente.
RESULTADOS
Se identificaron 23 títulos publicados, de estos, tres se encontraban duplicados, por lo que se revisaron 20 títulos. Al revisar los resúmenes se identificó que tres estudios no cumplían los criterios de inclusión debido a que dos se encontraban en idiomas diferentes al inglés y español (uno en turco y uno en alemán), y otro no reportó el tratamiento empleado (Figura 5). Se analizaron, entonces, 17 estudios (Tabla 3), de los cuales 12 correspondían a reportes de caso 20,21,23-31,34, y 5 series de casos 18,19,22,32,33, que sumaron un total de 92 casos. Los países de origen fueron: Bolivia 20, México 21,30,31, Estados Unidos 23, Marruecos 24, Japón 25,26, Egipto 27, Venezuela 28, India 29, Portugal 34. Las series de casos fueron publicadas en Colombia 19, Singapur 18, Francia 22 y Estados Unidos 32,33.


Al momento del diagnóstico, la población incluida presentaba una edad media de 55,5 años (rango 17-86 años), la mayoría eran mayores de 60 años. La paciente mayor tenía 86 años 22.
El síntoma principal al momento de la primera consulta fue el nódulo palpable en la mayoría de las pacientes, presentándose en 87 de ellas (94,5 %) 18,19,21,22-33, otra sintomatología reportada fue dolor en dos pacientes (2,1 %) 20,34, cambios cutáneos en 5 pacientes (5,4 %) 22,24,34, disnea en 2 pacientes (2,1 %) 20,23 y retracción del pezón solamente en una paciente (1,08 %) 24.
En cuanto a las imágenes diagnósticas, la empleada fue la mastografía tomada en todas las pacientes excepto en dos 20,22 debido a las condiciones físicas de estas: en la primera por el deterioro, pues acude con disnea, astenia, dolor, adinamia y síntomas B 20, en el segundo caso por la gran presencia de edema, por lo que se prefirió realizar ultrasonido 22. En la mayoría de las mastografías se reportaron como hallazgos asimetrías, microcalcificaciones y nódulos irregulares. El estudio complementario más utilizado fue la ultrasonografía (70,6 %). Otras modalidades de imagen utilizadas para evaluación del tumor fueron la tomografía en 12 pacientes (13 %) 18,23,32,34 y la resonancia magnética en dos pacientes (2,1 %) 25,26.
El diagnóstico se realizó por biopsia en 5 estudios 19,26-28,34. En cuanto al uso de inmunohistoquímica, se reportaron positivos en su mayor parte CD20 21,24,25,27-31 y CD3 28,31 y este último negativo en tres estudios 25,27,30. El índice de proliferación Ki 67 fue del 100 % según lo reportado por Zamudio et al. 21, mientras que Ferbeyre et al. 30 lo reportan únicamente como positivo.
Una vez realizada la estadificación, 54 pacientes (58,6 %) se encontraban en estadio I, 8 pacientes (8,6 %) en estadio IE, 7 pacientes (7,6 %) en estadio II, 14 pacientes (15,2 %) en estadio IIE, 3 pacientes (3,2 %) en estadio IIIE, 4 pacientes (4,3 %) en estadio IV y 2 pacientes (2,1 %) en estadio IVE. El tiempo de seguimiento fue ≤ 1 año en 6 pacientes 20,23,24,27,29,30, de 2 a 4 años en 56 pacientes 18,19,21,22,32,34 y ≥ 5 años en 28 pacientes 26,31,33, mientras que en dos de ellas no se especificó el tiempo de seguimiento 25,28.
En cuanto al tratamiento, la mayoría de las pacientes recibió quimioterapia. El esquema más empleado fue el CHOP, con o sin rituximab (R-CHOP). En siete estudios 18,21,25,28,30,32,34 se empleó el esquema R-CHOP, en donde se obtuvo una sobrevida global a 5 años del 94,05 % y una sobrevida libre de enfermedad de 40 meses mientras que dos pacientes en dos estudios 26,31 que emplearon el esquema CHOP reportaron una sobrevida global a 5 años del 100 % y sobrevida libre de enfermedad de 6 años respectivamente. Cheah et al. 13 sugieren contemplar el uso de anticuerpos monoclonales como el rituximab, teniendo en cuenta de la profilaxis al sistema nervioso central (SNC), sitio que presenta mayores recaídas. Mencionan que las pacientes en estadio 0-I, sin otros factores de riesgo, se pueden beneficiar de 4-6 ciclos de esquema R-CHOP y las pacientes con alto riesgo, en estadio II-IV, de 6 ciclos 13. Otros esquemas utilizados fueron el empleo de vincristina, ciclofosfamida y prednisona 18,24, COPP (ciclofosfamida, etopósido, procarbazina y prednisona) 33. En una paciente 32 reportada por Wadhwa et al. se empleó rituximab en monoterapia, presentando buena respuesta al tratamiento; a los 16 meses de seguimiento la paciente permaneció libre de enfermedad, sin involucro a otros órganos o linfadenopatías.
En cuanto a la radioterapia, esta se utilizó en conjunto con la quimioterapia en la mayoría de los casos 19,21-23,27,31-34 en 68 pacientes (73,9 %). En cuanto a los eventos adversos, se reportó recaída a sistema nervioso central en 8 pacientes (8,6 %), el cual fue el sitio más común 18,32. De estas pacientes, además una presentó recaída en pulmón y otra en mama contralateral 19, urosepsis en una paciente (1,08 %) 23, 14 pacientes presentaron diseminación de la enfermedad (15,2 %) 33, una paciente paro cardiorrespiratorio (1,08 %) 20, una paciente presentó recidiva tras cirugía sin márgenes libres (1,08 %) 33. No se presentaron eventos adversos en 40 pacientes (43,4 %) 19,21,24-34, mientras que dichos eventos no se reportaron eventos adversos en 27 pacientes (29,3 %) 18,22,29.
La sobrevida global a 5 años fue de 83,62 % (18-22, 24-33), sin embargo, ésta no se reportó en dos estudios 23,34. La sobrevida libre de enfermedad fue de 30,9 meses, en cuatro estudios no se reportó dicha información 19,24,28,29.
CONCLUSIÓN
En la actualidad el esquema CHOP, con o sin rituximab, es el más empleado y el único que ha mostrado tener un impacto positivo en la supervivencia, este suele acompañarse de radioterapia. Se requieren más estudios clínicos aleatorizados para establecer de manera más adecuada la efectividad y seguridad de estos tratamientos.
REFERENCIAS
Pérez JM, Aguilar C, Álvarez JL, Augusto M, Báez E, Bates RA, et al. Generalidades sobre linfomas. Hematol. 2018;19(4):174-88.
Wiseman C, Liao KT. Primar y lymphoma. Cancer. 1971;29:1705-12. https://doi.org/10.1002/1097-0142(197206)29:6<1705::AIDCNCR2820290640>3.0.CO;2-I
Garcés JP, González JR, Ortiz RE, Quijije JJ, Pacuruco JI, Maita EGV, et al. Linfoma de Hodgkin y no Hodgkin: desde una perspectiva molecular, diagnóstica y terapéutica. Arch Venez Farm y Ter. 2021;40(3):302-13.
Villalón JS, Souto R, Méndez PG. Linfoma no Hodgkin primario de la glándula mamaria. Reporte de un caso. Cir y Cir. 2017;85(1):70-5. https://doi.org/10.1016/j.circir.2015.09.009
Duncan VE, Reddy VVB, Jhala NC, Chhieng DC, Jhala DN. Non-Hodgkin’s lymphoma of the breast: A review of 18 primary and secondary cases. Ann Diagn Pathol. 2006;10(3):144-8. https://doi.org/10.1016/j.anndiagpath.2005.09.018
Guo M, Liu J, Gilmore R, Tian GG. Primary breast diffuse large B cell lymphoma. BMJ Case Rep. 2022;15(6):10-3. https://doi.org/10.1136/bcr-2022-250478
Jia Y, Sun C, Liu Z, Wang W, Zhou X. Primary breast diffuse large B-cell lymphoma: A populationbased study from 1975 to 2014. Oncotarget. 2018;9(3):3956-67. https://doi.org/10.18632/oncotarget.23285
Peng F, Li J, Mu S, Cai L, Fan F, Qin Y, et al. Epidemiological features of primary breast lymphoma patients and development of a nomogram to predict survival. Breast. 2021;57:49-61. https://doi.org/10.1016/j.breast.2021.03.006
Jennings WC, Baker RS, Murray SS, Howard CA, Parker DE, Peabody LF, et al. Primary breast lymphoma: The role of mastectomy and the importance of lymph node status. Ann Surg. 2007;245(5):784-9. https://doi.org/10.1097/01.sla.0000254418.90192.59
Raj SD, Shurafa M, Shah Z, Raj KM, Fishman MDC, Dialani VM. Primary and secondary breast lymphoma: Clinical, pathologic, and multimodality imaging review. Radiographics. 2019;39(3):610-25. https://doi.org/10.1148/rg.2019180097
Karlin NJ, Wong DA. Mesenchymal neoplasms and primary lymphomas of the breast. Fifth Edition. The Breast: Comprehensive Management of Benign and Malignant Diseases. Elsevier; 2018.156-168. e6 p. https://doi.org/10.1016/B978-0-323-35955-9.00011-8
Zhang M, Liu N, Wang B, Zhang J, Zhao A, Yang J, et al. Role of local treatment in primary breast B-cell non- Hodgkin’s lymphoma: A propensity score matchingbased analysis from SEER database. 2022;22-31.
Cheah CY, Campbell BA, Seymour JF. Primary breast lymphoma. Cancer Treat Rev. 2014;40(8):900-8. https://doi.org/10.1016/j.ctrv.2014.05.010
Ganjoo K, Advani R, Mariappan MR, McMillan A, Horning S. Non-Hodgkin lymphoma of the breast. Cancer. 2007;110(1):25-30. https://doi.org/10.1002/cncr.22753
Cheson BD. Staging and response assessment in lymphomas: The new Lugano classification. Chinese Clin Oncol. 2015;4(1):1-9. https://doi.org/10.3978/j. issn.2304-3865.2014.11.03
Academia Nacional de Medicina (Venezuela), Congreso Venezolano de Ciencias Médicas, Congreso Venezolano de Medicina, Sociedad de Médicos y Cirujanos de Caracas Gaceta Médica de Caracas [Internet]. Sociedad de Médicos y Cirujanos de Caracas. 2017;125. Disponible en: http://ve.scielo.org/scielo.php?script=sci_arttext&pid=S0367-47622017000400003&lng=es&nrm=iso&tlng=
Müller A, Torres MA, Soyano AE, Soyano A. Tratamiento del linfoma difuso de células B grandes (LDCBG) en estadios avanzados. Gac Méd Caracas [Internet]. 2017;125(4):276-98. Disponible en: http://ve.scielo.org/scielo.php?script=sci_arttext&pid=S0367-47622017000400003&lng=es
Foo MY, Lee WP, Seah CMJ, Kam C, Tan SM. Primary breast lymphoma: A single-centre experience. Cancer Rep. 2019;2(1):1-7. https://doi.org/10.1002/cnr2.1140
Rodríguez M, Grajales M, Londoño S, Ortiz N. Linfoma primario de mama: 23 años de experiencia en el Instituto Nacional de Cancerología de Colombia. Rev Colomb Cancerol [Internet]. 2004;8(3):39-46. Disponible en: https://pesquisa.bvsalud.org/portal/resource/es/lil-412472
León MJ, Tola GB, Cortez-Olivera NJ, Peláez- Pacheco CD. Linfoma primario de mama en paciente masculino. Scientifica (Cairo). 2015;13(1):43-6.
Zamudio JL, Alonso J, Colosia R, Alberto J, Labra O, Enrique L, et al. Linfoma no Hodgkin tipo B primario de mama. Rev Mex Mastol. 2019;9(1):20-3.
Vignot S, Ledoussal V, Nodiot P, Bourguignat A, Janvier M, Mounier N, et al. Non-Hodgkin’s lymphoma of the breast: A report of 19 cases and a review of the literature. Clin Lymphoma. 2005;6(1):37-42. https://doi.org/10.3816/CLM.2005.n.025
Parashar K, Nepal P, Assaker R, Vargas J, Rosasco S. Incidentally detected Non-Hodgkin’s lymphoma of the breast. A case report with review of literature. Radiol Case Reports. 2021;16(1):205-9. https://doi.org/10.1016/j.radcr.2020.11.009
Meklaa A, Kharass A El. Lymphome malin non hodgkinien du sein et VIH: à propos d’un cas. Pan Afr Med J. 2017;27:27. https://doi.org/10.11604/pamj.2017.27.27.12279
Yoneyama K, Nakagawa M, Hara A. Primary lymphoma of the breast: A case report and review of the literature. Radiol Case Reports. 2021;16(1):55-61. https://doi.org/10.1016/j.radcr.2020.10.039
Uesato M, Miyazawa Y, Gunji Y, Ochiai T. Primary non-Hodgkin’s lymphoma of the breast: Report of a case with special reference to 380 cases in the Japanese literature. Breast Cancer. 2005;12(2):154-8. https://doi.org/10.2325/jbcs.12.154
Harb OA, Balata SA, Ashour H, Eltokhy E, Gertallah LM, Ahmed RZ, et al. Primary diffuse large B-cell non-Hodgkin’s lymphoma of the breast-A case report and review of the literature. Radiol Case Reports. 2019;14(1):22-7. https://doi.org/10.1016/j.radcr.2018.09.004
Quintero MEM, Salem HS. Linfoma No Hodgkin primario de mama. Presentación de un caso. Rev Obstet Ginecol Venez. 2017;77(1):67-70.
Gupta V, Bhutani N, Singh S, Chhabra S, Sen R. Primary non-Hodgkin’s lymphoma of breast -A rare cause of breast lump. Hum Pathol Case Reports. 2017;7:47-50. http://doi.org/10.1016/j.ehpc.2016.07.004
Ferbeyre L, Cavazos C, Salinas JC. Linfoma no Hodgkin primario de mama. Reporte de un caso y revisión de la literatura. Gac Mex Oncol. 2013;12(6):453-8.
Rivas S, Aguilar L, Mendoza L, Arce C. Linfoma primario de mama. Reporte de un caso y revisión de la literatura. Rev Mex Mastología. 2014;4(1):18-22.
Wadhwa A, Senebouttarath K. Primary lymphoma of the breast: A case series. Radiol Case Reports. 2018;13(4):815-21. https://doi.org/10.1016/j.radcr.2018.04.009
Wong WW, Schild SE, Halyard MY, Schomberg PJ. Primary non-Hodgkin lymphoma of the breast: The mayo clinic experience. J Surg Oncol. 2002;80(1):19-25. https://doi.org/10.1002/jso.10084
Melo A, Silva S, Ferreira C, Pereira R, Esteves A, Abreu Marques R, et al. Primary breast lymphoma: A mimic of inflammatory breast cancer. Int J Surg Case Rep. 2018;53:410-3. https://doi.org/10.1016/j.ijscr.2018.11.040
Notas
Notas de autor
* Correspondencia: Leopoldo Santiago Sanabria. Vialidad de la Barranca, Sin Número, Colonia Hacienda de las Palmas. Código Postal: 52763, Huixquilucan, Estado de México (México). leopoldosantiagosanabria@gmail.com
Declaración de intereses