Reporte de caso
Recepción: 29 Marzo 2023
Aprobación: 14 Julio 2023
DOI: https://doi.org/10.18597/rcog.4011
RESUMEN
Objetivos: Reportar el caso de una paciente con tumor de colisión del útero y realizar una revisión de la literatura respecto al diagnóstico histopatológico, tratamiento y pronóstico de esta condición.
Materiales y métodos: Mujer de 76 años que consultó al centro nacional de referencia del cáncer en Bogotá (Colombia), donde se hizo el diagnóstico de tumor de colisión del útero, compuesto por un adenocarcinoma de endometrio tipo seroso y adenosarcoma de cérvix. Recibió tratamiento quirúrgico más quimioterapia y radioterapia complementaria, falleció a los 16 meses. Se realizó una búsqueda de la literatura en las bases de datos Medline vía PubMed y Embase, que incluía reportes y series de caso de mujeres con diagnóstico de tumor de colisión del útero, y se extrajo información sobre el diagnóstico, tratamiento y pronóstico. Se realizó un resumen narrativo de los hallazgos.
Resultados: La búsqueda identificó 36 títulos, de los cuales se incluyeron 14 estudios que incluían 17 pacientes. El diagnóstico histopatológico más frecuente fue el adenocarcinoma endometrioide de endometrio y sarcoma endometrial de alto y bajo grado (47 %). El tratamiento básico fue quirúrgico. Cerca del 50 % recibió tratamiento adyuvante con quimioterapia y radioterapia (15 %). La sobrevida a un año fue del 75 %.
Conclusiones: En la literatura no se identificaron casos de tumores de colisión de útero con la histopatología y en la ubicación del caso presentado. La mortalidad a dos años es cercana al 28 % si se toma en cuenta el caso reportado. Se necesitan más estudios que describan la inmunohistoquímica, el tratamiento y el pronóstico de esta condición.
Palabras clave: Neoplasias uterinas, neoplasias del cuello uterino, neoplasias endometriales, neoplasias, útero.
ABSTRACT
Objectives: To report the case of a patient with a uterine collision tumor and to conduct a review of the literature.
Material and methods: A 76-year-old patient who presented to the national cancer referral center in Bogota (Colombia), where she was diagnosed with a uterine collision tumor consisting of a serous-type endometrial adenocarcinoma and a cervical adenosarcoma. The patient underwent surgical treatment followed by chemotherapy and supplemental radiotherapy, and died 16 months later. A search was conducted in the Medline via PubMed and Embase databases, including reports and case series of women with a diagnosis of uterine collision tumor, with retrieval of information regarding diagnosis, treatment and prognosis. A narrative summary of the findings was made.
Results: The search identified 36 titles, of which 14 studies with 17 patients were included. The most frequent histopathological diagnosis was endometrial adenocarcinoma and high and low grade endometrial sarcoma (47 %). Primary treatment was surgery and adjuvant treatment with chemotherapy and radiotherapy (15 %) was performed in close to 50 % of cases. One-year survival was 75 %.
Conclusions: No cases of uterine collision tumors with the histopathology or in the location of the reported case were found in the literature. If this reported case is taken into account, 2-year mortality is 28 %. Further studies to describe the immunohistochemistry, treatment and prognosis of this condition are needed.
Keywords: Uterine neoplasms, uterine cervix neoplasms, endometrial neoplasms, neoplasms, uterus.
INTRODUCCIÓN
Un tumor de colisión se define como la combinación de dos tumores de diferente histología, donde cada tumor tiene un límite bien definido y está separado por estroma sano 1,2. En la actualidad, la patogénesis del tumor de colisión no es clara, sin embargo, se ha propuesto que este tumor se deriva de dos clones neoplásicos independientes en un órgano 3. Se han reportado tumores de colisión en varios órganos, como esófago, estómago, colon, pulmón, piel, glándula tiroides, mama, ovario y útero 4-6. El diagnóstico en general se basa en la histopatología e inmunohistoquímica, que definen las características de este tumor 2,4. En términos de tratamiento, debido a la baja incidencia del cáncer de colisión, no existe un tratamiento estándar u óptimo, este depende de los tipos de tumores que conforman la colisión y se sugiere que esté orientado según el manejo estándar del componente más agresivo 4.
Los tumores de colisión de útero (TCU) son raros y solo se han informado unos pocos casos hasta la fecha; son de especial interés para el patólogo ya que hay que diferenciarlos de los tumores compuestos. Uno de los diagnósticos diferenciales es el carcinosarcoma del útero 7,8. Existe una gran cantidad de evidencia de que la mayoría de los carcinosarcomas son monoclonales, inicialmente derivados de una única célula madre, y que el componente carcinomatoso es la "fuerza impulsora". La discusión se basa en conceptos genéticos, moleculares y clínicos. El comportamiento de estos tumores es similar al de los carcinomas metaplásicos, que son muy agresivos; en contraste, el pronóstico de los tumores de colisión parece ser mejor 8,9.
Para reducir el riesgo de diagnóstico erróneo es importante el trabajo interdisciplinario -entre médicos oncólogos, médico cirujanos y médicos patólogos- del tumor de colisión uterino 9,10, ya que puede tener implicaciones en el tratamiento y en el pronóstico. Presentamos un caso de tumor de colisión de útero conformado por un adenocarcinoma endometrial de tipo seroso papilar, de alto grado, y un adenosarcoma de cérvix con elementos heterólogos rabdomioblásticos, con el objetivo de realizar una revisión de la literatura respecto al diagnóstico histopatológico, tratamiento y pronóstico de esta condición.
PRESENTACIÓN DEL CASO
Paciente G6P4A2 de 76 años quien fue remitida del Hospital Regional de la Orinoquia, institución pública de III nivel ubicada en Yopal (Casanare), en la región oriental del país, al Instituto Nacional de Cancerología (INC), centro de referencia del cáncer de alta complejidad ubicado en Bogotá, que atiende pacientes del régimen de aseguramiento subsidiado por el Estado en el Sistema General de Seguridad Social en Colombia (SGSS). Refería un cuadro clínico de seis meses de sangrado uterino anormal y dolor pélvico; antecedentes personales de hipertensión arterial, obesidad y esquizofrenia. Asistió con informe de biopsia de endocérvix y endometrio que reportaba un carcinoma pobremente diferenciado, el cual requería estudio de inmunohistoquímica para clasificación. En el examen físico se encontró un índice de masa corporal de 30,4 m2, sin anormalidades cardiopulmonares, abdomen blando, no se palpaban masas; en el examen genitourinario en la especuloscopia se observaba la vagina sin lesiones, cérvix atrófico con salida de material purulento por el orificio cervical, parametrios y tabique recto vaginal sin compromiso. Con una impresión diagnóstica de un tumor del cuerpo uterino se realizaron estudios de extensión y se solicitó revisión de la patología por el servicio de Patología oncológica; la tomografía computarizada (TC) de abdomen y pelvis mostró una lesión expansiva a nivel de fondo uterino de 5 x 4 cm, con invasión miometrial y sin compromiso ganglionar o extrauterino. La TC de tórax fue negativa.
La revisión institucional de la patología informó un adenocarcinoma de patrón papilar con marcación inmunohistoquímica que favorecía tipo seroso de alto grado, de probable origen endometrial. Los estudios de inmunohistoquímica fueron positivos para citoqueratina 7 (CK7), vimentina focal, proteína del gen-8 (PAX 8), proteína p53 (p53), proteína p16 (p16), citoqueratina de bajo peso molecular 5,2 (CAM 5,2); fueron negativos para receptores de estrógenos (RE), receptores de progestágenos (RP), proteína 1 del tumor de wilms (WT1) y antígeno carcinoembrionario (CEA), el índice de proliferación (KI67) fue del 70 %.
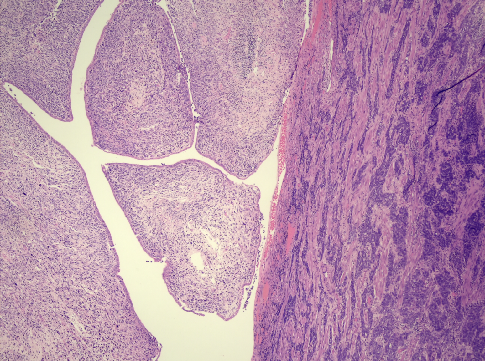
Con este diagnóstico preoperatorio se realizó manejo quirúrgico con histerectomía y salpingooforectomía bilateral, con omentectomía parcial por laparotomía con márgenes de resección libres de tumor. El reporte de patología informó la presencia de tumor de colisión conformado por un adenocarcinoma endometrial de tipo seroso papilar de alto grado, estadio II, y de adenosarcoma cervical, con elementos heterólogos rabdomioblásticos y sobrecrecimiento estromal casi del 100 % correspondiente al 60 % de la pared cervical, estadio IB2 (Figuras 1 y 2), con marcación inmunohistoquímica característica de cada tipo histológico (Figuras 1 a 3 y Tabla 1). Este tumor no fue identificado en las imágenes diagnósticas.




Durante el posoperatorio, la paciente presentó infección del sitio operatorio por Enterococcusfaecalis, tratada con drenaje y manejo antibiótico con ampicilina sulbactam durante siete días con adecuada evolución. En la junta del servicio de Ginecología oncológica, en conjunto con los servicios de Oncología clínica, Oncología radioterápica, Radiología y Patología, se define iniciar tratamiento adyuvante con quimioterapia y radioterapia secuencial con intención curativa. Recibió tratamiento con carboplatino a dosis de cinco AUC (unidades bajo la curva) y paclitaxel a dosis de 175 mg/m2 cada 21 días por seis ciclos; al terminar el sexto ciclo, al examen físico y por TC de abdomen y pelvis se evidenció una lesión en cúpula vaginal de 2,5 cm, sin compromiso ganglionar; se consideró que la enfermedad se encontraba en progresión y se indicó radioterapia externa, con técnica IMRT (radioterapia de intensidad modulada), fraccionada en 1,8 Gy hasta dosis total de 50 Gy, y luego braquiterapia intracavitaria HDR (alta tasa de dosis) hasta alcanzar una dosis de 80 Gy en GTV (volumen tumoral macroscópico), completando el tratamiento en ocho semanas.
Durante el seguimiento, y 12 meses después de finalizar el tratamiento, la TC de tórax, abdomen y pelvis reportó múltiples nódulos pulmonares bilaterales sugestivos de compromiso metastásico y progresión tumoral a nivel hepático, pélvico y peritoneal. Se inició quimioterapia de segunda línea, con doxorrubicina a dosis de 50 mg/m2, con intención paliativa; recibió un ciclo, presentando deterioro clínico importante y un evento tromboembólico pulmonar asociado al cáncer, que la llevó a la muerte 16 meses después del manejo quirúrgico.
MATERIALES Y MÉTODOS
A partir de las preguntas: ¿cuál es la histopatología descrita de los tumores de colisión del útero?, ¿cómo se trataron? y ¿cuál fue el pronóstico de estas pacientes?, se realizó una búsqueda bibliográfica en las bases de datos Medline vía PubMed y Embase usando los términos "Collision tumor", "Uterus" y "Uterine corpus". Se seleccionaron estudios en inglés, español y portugués, independientemente del año de publicación. Se incluyeron reportes de casos o series de casos o cohortes, en inglés o español, de mujeres con tumor de colisión localizado primariamente en el útero, con confirmación histológica, que tuvieran información sobre el diagnóstico histopatológico, inmunohistoquímico, el tratamiento o el pronóstico. Se excluyeron aquellas publicaciones de las cuales no se pudo obtener el texto completo, después de contactar al autor sin obtener respuesta.
Dos autores (FR y CS) revisaron de forma independiente los títulos y resúmenes, seleccionando aquellos que cumplían con los criterios de inclusión. No se presentaron discrepancias en este proceso. Los artículos seleccionados fueron revisados en texto completo y una vez verificados los criterios de inclusión y de exclusión, se extrajo la información relevante en un formato de recolección diseñado para tal fin, el cual contenía las siguientes variables: autor, año, país de publicación, edad, diagnóstico histológico de los tumores que conformaban la colisión e inmunohistoquímica, tratamiento recibido (quirúrgico y adyuvante), desenlaces oncológicos (supervivencia global y supervivencia libre de progresión) y periodo de seguimiento reportado sin importar el límite. Se realizó un resumen narrativo de los hallazgos respecto a las características de los estudios, diseño, población, diagnóstico, tratamiento y pronóstico.
Aspectos éticos. Para el reporte de caso se obtuvo el consentimiento informado por escrito, de acuerdo con el protocolo institucional. La paciente autorizó el uso de los datos de la historia clínica y el material fotográfico, garantizando la confidencialidad de la información. Para su publicación, el estudio fue aprobado por el comité de ética del Instituto Nacional de Cancerología en la sesión del día 25 de mayo de 2022, Oficio 720759.
RESULTADOS
Se identificaron 36 títulos publicados desde el año de 1963 hasta el año 2022, de los cuales se eliminaron nueve por estar duplicados. De los 27 restantes, otros 12 no fueron incluidos, cinco porque abarcaban tumores de colisión que no afectaban el útero, dos por ser estudios en animales, tres por estar en idiomas diferentes (uno en alemán, uno en francés y uno en neerlandés), dos estudios por ser revisiones de la literatura, y un estudio publicado en 1969 fue excluido, ya que no se tuvo acceso al texto completo. Finalmente se tuvieron en cuenta 14 estudios que cumplían los criterios de inclusión (Figura 4).

Los 14 estudios fueron reportes de caso 11-24. Los países de origen de los estudios fueron Israel 11,14, Estados Unidos 12,21,24, Japón 13,18, Corea del Sur 15, India 16,19,22, China 17,20, Hong Kong 23. Un estudio incluyó dos casos 23 y otro tres casos 24; por lo tanto, al final se analizaron 17 casos (Tabla 2).

Características de la población. La paciente de mayor edad tenía 85 años 23 al momento del diagnóstico y la de menor edad tenía 36 años 24. Se describía el antecedente de hipertensión arterial (HTA) en una paciente 15. En los reportes de caso no se identificó información sobre peso, uso de tabaco u otros antecedentes.
Características clínicas. Los síntomas más frecuentemente descritos fueron: hemorragia uterina anormal (84,2 %) 11-20,22-24 y dolor pélvico (15,7 %) 13,15,16. Los signos más frecuentes descritos en el examen físico fueron: útero aumentado de tamaño (50 %) 12,14-19,24, masa polipoide protruyendo del canal vaginal (16,6 %) 18,23,24, aumento de la circunferencia abdominal 21,24 (11,1 %), descarga vaginal purulenta (11,1 %) 19,23, hipertrofia cervical al examen bajo visión directa (5,5 %) 20 y nodulo cervical a la especuloscopia (5,5 %) 20.
Imágenes. El uso de imágenes fue reportado en 12 pacientes (70 %). Las imágenes más frecuentemente usadas fueron, en su orden, la TC (50 %), la resonancia magnética (RM) (33,3 %), la ecografía pélvica transvaginal (TV) (0,8 %) y la tomografía por emisión de positrones (PET-CT) (0,8 %). Los hallazgos descritos en la TC de abdomen y pelvis fueron: útero aumentado de tamaño 12,13,21, imagen normal 14,19 y masa uterina que ocupa toda la cavidad endometrial con infiltración miometrial y diseminación al omento 15. En la RM de abdomen y pelvis los hallazgos descritos fueron: masa en cavidad uterina con aumento de la intensidad de la señal del endometrio 17,18,22 y múltiples miomas en pared posterior del útero 16. En una paciente se reportó una ecografía TV donde se evidenciaba un mioma fúndico 23. Por último, en una paciente se reportó un PET-CT con informe de masa uterina endometrial con intensa actividad glucolítica 18.
Diagnóstico histopatológico. En la búsqueda se documentaron 15 casos de tumores de colisión del útero que incluían dos histologías distintas (88,2 %) 11-16,17,19-24 y dos casos de tumores de colisión del útero que incluían tres histologías distintas (11,7 %) 15,18. En dos casos se reportó como marcador tumoral positivo el CA125, con niveles de 155 U/L 17 y 91,8 U/L 18, respectivamente.
El tumor de colisión más frecuente del útero fue el conformado por el sarcoma endometrial de alto y bajo grado, y el adenocarcinoma endometrioide de endometrio, el cual fue reportado en ocho casos (47 %) 11,17,22-24. Los otros casos con dos tumores correspondieron a histologías raras: un caso con tumor rabdoide con un adenocarcinoma endometrioide de endometrio 12, un caso con un carcinoma hepatoide del útero en colisión con un carcinosarcoma 13, un carcinoma de células pequeñas del útero en colisión con un adenocarcinoma seroso de endometrio 14, un leiomiosarcoma uterino en colisión con un adenocarcinoma endometrioide de endometrio 16, un sarcoma del estroma endometrial de alto grado en colisión con un carcinoma escamocelular del cérvix no queratinizante 19, un carcinoma seroso de alto grado de la trompa de Falopio en colisión con un adenocarcinoma de endometrio 20 y, por último, un carcinoma neuroendocrino de célula grande del endometrio en colisión con un sarcoma del estroma endometrial de bajo grado 21. Los dos tumores de colisión incluían tres histologías distintas y estaban conformados por un tumor compuesto por un carcinosarcoma, adenocarcinoma seroso de endometrio y un adenocarcinoma endometrioide de endometrio 15 y un tumor compuesto por un carcinoma no especificado, un coriocarcinoma y un adenocarcinoma endometrioide de endometrio 18.
Estadificación. Del total de casos reportados, siete de ellos (es decir 14 tumores) reportaban la estadificación FIGO 15,22-24; de los casos que reportaban el estadio, 13 tumores (92,8 %) tenían un estadio temprano y un tumor se encontraba en estadio avanzado (7,1 %).
Tratamiento quirúrgico. Se realizaron en total 49 procedimientos en los 17 casos. Se realizó histerectomía abdominal total en 16 pacientes (94,1 %) 11-23, salpingooforectomía bilateral en 14 pacientes (82,3 %) 11-14,17-24, linfadenectomía pélvica en cinco pacientes (29,4 %) 15,18,19,20,22, linfadenectomía paraaórtica en tres pacientes (17,6 %) 15,20,22, omentectomía en dos pacientes (11,7 %) 20,22. También se describieron los siguientes procedimientos: salpingooforectomía izquierda 14, resección ganglionar retroperitoneal selectiva 14, resección de nódulo peritoneal de 2 cm 14, resección de masa superficial del sigmoides 15, apendicectomía 15, quimioterapia intraperitoneal con paclitaxel 15, resección de masa pélvica 19, debulking de tumor pélvico 21 e histerectomía vaginal asistida por laparoscopia 24.
Tratamiento adyuvante. Cuatro pacientes no tuvieron información sobre tratamiento adyuvante (23,5 %) 11,13,16,24; de las restantes, en cuatro pacientes hubo seguimiento clínico (30,7 %) 14,22,23, cuatro pacientes recibieron quimioterapia (30,7 %) 17-19,21, dos pacientes recibieron quimioterapia y radioterapia (15,3 %) 20,24, una paciente recibió radioterapia exclusiva (7,6 %) 12, una paciente recibió quimioterapia y radioterapia secuenciales y terapia de mantenimiento con letrozol oral (7,6 %) 15) y una paciente recibió acetato de megestrol oral como terapia de mantenimiento 24. Los regímenes de quimioterapia variaron: paclitaxel + epirrubicina + carboplatino 15, carboplatino + paclitaxel 20,24, oxaliplatino + docetaxel 17, paclitaxel + carboplatino y metrotexate 18 y cisplatino + etopósido 21. Una paciente recibió quimioterapia como tratamiento adyuvante, pero no se describe régimen usado 19. No se informó sobre otras terapias.
Pronóstico. El seguimiento varió entre los estudios de 0-96 meses. Cuatro pacientes fallecieron (23,5 %), todas el primer año luego del tratamiento 12,14,20,21; una paciente recibió radioterapia adyuvante con evidencia de progresión de la enfermedad a nivel hepático y peritoneal con muerte a los cuatro meses del posoperatorio 12. En otra paciente se había propuesto inicio de radioterapia adyuvante en el posoperatorio, sin embargo, se documentaron lesiones líticas óseas sugestivas de compromiso metastásico a nivel del pubis, sacro y L2; recibió radioterapia paliativa con rápida progresión de la enfermedad y muerte a los cinco meses después del posoperatorio 14. Una paciente presentó metástasis cerebrales un mes después de finalizar tratamiento adyuvante con quimioterapia y radioterapia secuenciales 20. Por último, una paciente murió un año después del posoperatorio al finalizar el tratamiento adyuvante con quimioterapia por complicaciones médicas 21. No se identificó información sobre supervivencia libre de progresión en los reportes de caso.
CONCLUSIONES
En la literatura no se identificaron casos de tumores de colisión de útero con la histopatología, ni en la ubicación del caso presentado. La mortalidad a dos años es cercana al 28 % si se toma en cuenta el caso reportado. Se necesitan más estudios que registren de manera más exhaustiva el abordaje de esta condición.
REFERENCIAS
Satter E, Metcalf J, Lountzis N, Elston D. Tumors composed of malignant epithelial and melanocytic populations: A case series and review of the literature. J Cutan Pathol. 2009;36(2):211-9. https://doi.org/10.1111/j.1600-0560.2008.01000.x
Bulte C, Hoegler K, Khachemoune A. Collision tumors: A review of their types, pathogenesis, and diagnostic challenges. Dermatol Ther. 2020;33(6):e14236. https://doi.org/10.1111/dth.14236
Fujii H, Zhu XG, Matsumoto T, Inagaki M, Tokusashi Y, Miyokawa N et al. Genetic classification of combined hepatocellular-cholangiocarcinoma. Hum Pathol. 2000;31:1011-7. https://doi.org/10.1053/hupa.2000.9782
Belle V, Sanglier F, Pestre J, Descazeaud A, Labrousse F. Renal collision tumours: Three additional case reports. BMC Urol. 2022;22(1):113. https://doi.org/10.1186/s12894-022-01063-y
Lin M, Lee C, Chen S, Shen C. Collision brain tumor with atypical meningioma and glioblastoma: Case report. Int J Surg Case Rep. 2022;94:107137. https://doi.org/10.1016/j.ijscr.2022.107137
Zhang J, He L, Yang L, Wang J, Wei L, Ma X et al. Ovarian collision tumor consisting of sclerosing stromal tumor and mature cystic teratoma complicated with Meigs syndrome: A case report. Oncol Lett. 2022;24(6):443. https://doi.org/10.3892/ol.2022.13563
Wada H, Enomoto T, Fujita M, Yoshino K, Nakashima R, Kurachi H, et al. Molecular evidence that most but not all carcinosarcomas of the uterus are combination tumors. Cancer Res. 1997;57:5379 85.
Palacios J, Ali-Fehmi R, Carlson JW. Carcinosarcoma of the uterine corpus. En: WHO Classification of Tumours Editorial Board. Female Genital Tumours; 2020.
McCluggage WG. Malignant biphasic uterine tumours: Carcinosarcomas or metaplastic carcinomas? J Clin Pathol. 2002;55(5):321-5. https://doi.org/10.1136/jcp.55.5.321
Schoolmeester JK, Keeney GL. Collision tumor of the ovary: Adult gran-ulosa cell tumor and endometrioid carcinoma. Int J Gynecol Pathol. 2012; 31:538-40. https://doi.org/10.1097/PGP.0b013e31824d354f
Lifschitz-Mercer B, Czernobilsky B, Dgani R, Dallenbach- Hellweg G, Moll R, Franke WW. Immunocytochemical study of an endometrial diffuse clear cell stromal sarcoma and other endometrial stromal sarcomas. Cancer. 1987;59:1494-9. https://doi.org/dh8rc2
Gaertner E, Farley J, Taylor R, Silver S. Collision of uterine rhabdoid tumor and endometrioid adenocarcinoma: A case report and review of the literature. Int J Gynecol Pathol. 1999;18:396-401. https://doi.org/10.1097/00004347-199910000-00017
Takahashi Y, Inoue T. Hepatoid carcinoma of the uterus that collided with carcinosarcoma. Pathol Int. 2003;53:323-6. https://doi.org/10.1046/j.1440-1827.2003.01467.x
Shaco-Levy R, Manor E, Piura B, Ariel I. An unusual composite endometrial tumor combining papillary serous carcinoma and small cell carcinoma. Am J Surg Pathol. 2004;28:1103-6. https://doi.org/10.1097/01.pas.0000116688.02105.5a
Jang KS, Lee WM, Kim YJ, Cho SH. Collision of three histologically distinct endometrial cancers of the uterus. J Korean Med Sci. 2012;27:89-92. https://doi.org/10.3346/jkms.2012.27.1.89
Nagamuthu EA, Fatima SS. Collision tumour-An unusual case report. Adv Appl Sci Res. 2014;5(3):172-8.
Liu G, Zhang C, Ma Z, Zhang Q, Lui B. Endometrial stromal sarcoma with endometrioid adenocarcinoma of the uterus: A case report. Int J Clin Exp Pathol. 2015;8:5242-6.
Masuyama H, Haraga J, Nishida T, Ogawa C, Kusumoto T, Nakamura K, et al. Three histologically distinct cancers of the uterine corpus: A case report and review of the literature. Mol Clin Oncol. 2016;4:563-6. https://doi.org/10.3892/mco.2016.770
Tanveer N, Gupta B, Pathre A, Rajaram S, Goyal N. A rare collision tumour of uterus-squamous cell carcinoma and endometrial stromal sarcoma. J Clin Diagn Res. 2017;11:ED20-ED22. https://doi.org/10.7860/JCDR/2017/23532.9405
Pan Y, Liao H, Qiu J, Jiang Y, Qi Q, Han S, et al. Collision carcinoma of endometrial adenocarcinoma and primary serous fallopian tube carcinoma: A case report. J Int Med Res. 2020;48:300060520970878. https://doi.org/10.1177/0300060520970878
Rivera G, Niu S, Chen H, Fahim D, Peng Y. Collision tumor of endometrial large cell neuroendocrine carcinoma and low-grade endometrial stromal sarcoma: A case report and review of the literature. Int J Surg Pathol. 2020;28:569-73. https://doi.org/10.1177/1066896920901764
Sharma S, Vasdev N, Pandey D. Uterine collision tumor of endometrial stromal sarcoma and endometrioid adenocarcinoma: A rare case report and review of literatura. Indian J Pathol Microbiol [Internet]. 2021;64(4):802-5. https://pubmed.ncbi.nlm.nih.gov/34673609/
Lam K, Khoo U, Cheung A. Collision of endometrioid carcinoma and stromal sarcoma of the uterus: A report of two cases. Int J Gynecol Pathol. 1999;18:77-81. https://doi.org/10.1097/00004347-199901000-00012
Kim G, Pham HQ, Ramzan A, Elishaev E, Mhawech- Fauceglia P. Endometrioid adenocarcinoma associated with endometrial stromal sarcoma: A rare, often unrecognized collision tumor. Gynecol Oncol Rep. 2015;13:8-12. https://doi.org/10.1016/j.gore.2015.04.005
Notas
Notas de autor
* Correspondencia: Franco Rafael Ruiz-Echeverría, calle 1 #9-85, Instituto Nacional de Cancerología, Bogotá (Colombia). est.franco.ruiz@unimilitar.edu.co
Declaración de intereses