Imagen del Número
Dolor abdominal agudo y suboclusión intestinal
Recepción: 24 Marzo 2017
Aprobación: 23 Octubre 2017
Publicación: 18 Junio 2018
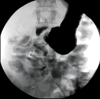
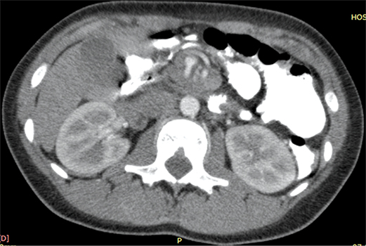
Paciente de sexo femenino, de 18 años, que concurre al servicio de emergencias presentando dolor epigástrico agudo e intermitente de 6 horas de evolución. Semiológicamente el dolor empeora con la ingesta y se asocia con náuseas y vómitos de tipo biliosos. Al examen físico, llama la atención la marcada distensión abdominal. Se solicitan como estudios complementarios una ecografía abdominal (Figura 1), un tránsito de intestino delgado con contraste hidrosoluble (Figura 2) y una tomografía computada con contraste oral y endovenoso (Figura 3).



¿Qué diagnóstico le sugieren estas imágenes?
Resolución del caso en la página 144
[Artículo corregido , vol. 48, 71] http://www.actagastro.org/numeros-anteriores/2018/Vol-48-N2/Vol48N2-PDF03.pdf
hugoaltieri@hotmail.com


