Resumen: Introducción. La cirugía laparoscópica multipuerto ha mostrado buenos resultados y comparables con la vía de acceso clásica en casos de obstrucción intestinal por bridas y adherencias. La vía de acceso monopuerto está en sus etapas iniciales. Casos clínicos. Se presentan dos pacientes con obstrucción intestinal resueltos mediante la vía de acceso monopuerto. Uno de ellos tuvo una complicación postoperatoria (íleo adinámico). Conclusión. La vía de acceso monopuerto es una vía de acceso factible en casos de obstrucción intestinal, especialmente cuando el cuadro es producido por bridas y adherencias.
Palabras clave: Obstrucción intestinal Obstrucción intestinal, cirugía laparoscópica cirugía laparoscópica, adherencias intraabdominales adherencias intraabdominales.
Abstract: Introduction. Multiport laparoscopic surgery has shown good outcomes and is comparable with the open approach in small bowel obstruction surgery. Single-port surgery is in early stages. Case report. We present 2 patients with small bowel obstruction resolved by single-port surgery. Both patients were resolved by single-port surgery. One of them had a post-surgery complication, being this an adinamic ileus. Conclusion. Single-port laparoscopic surgery is feasible in cases of small bowel obstruction, especially when they are caused for adhesions.
Keywords: Small bowel obstruction, laparoscopic surgery, intraabdominal adhesions.
Casos Clínicos
Cirugía laparoscópica monopuerto en obstrucción intestinal. Experiencia inicial
Single-port laparoscopic surgery in small bowel obstruction. Initial experience
Recepción: 15 Junio 2017
Aprobación: 25 Agosto 2017
Publicación: 18 Junio 2018
CLMP: cirugía laparoscópica mono puerto.
SILS: single-port laparoscopic surgery.
CMIBM: unidad de cirugía mínimamente invasiva, bariátrica y metabólica.
LMSIU: laparotomía media supra e infra umbilical.
TAC: tomogafía axial computarizada.
La cirugía laparoscópica ha sido contraindicada por algunos cirujanos en casos de cirugía abdominal previa, porque la presencia de adherencias aumenta la posibilidad de lesiones intestinales.1 En 1991 Bastug y col. publicaron el primer caso de acceso laparoscópico en un paciente con obstrucción intestinal.2 Desde ese entonces la resolución laparoscópica de la obstrucción intestinal ha sido aceptada por más cirujanos debido a las escasas adherencias postoperatorias que provoca, la baja morbilidad, la estadía hospitalaria más corta y con una recuperación más rápida.3, 4 La cirugía laparoscópica monopuerto (CLMP, SILS en inglés) se ha ido popularizando los últimos años como un acceso mini invasivo en varios procedimientos, tales como colecistectomía, colectomías, histerectomías y cirugía bariátrica.5, 6, 7, 8 La CLMP ha sido asociada con menor dolor postoperatorio, recuperación más rápida y mejores resultados cosméticos, cuando se la compara con la cirugía laparoscópica multipuerto tradicional.5, 6, 7, 9 En la siguiente publicación mostramos nuestra experiencia inicial como grupo, resuelta en una institución única, privada, con la CLMP como vía de acceso para pacientes con obstrucción intestinal por bridas y/o adherencias.
Presentamos dos casos clínicos consecutivos de obstrucción intestinal resueltos en nuestro centro durante el año 2016. El equipo quirúrgico estuvo constituido por cirujanos de la unidad de cirugía mínimamente invasiva, bariátrica y metabólica (CMIBM).
Se posiciona el paciente en decúbito supino, con ambas extremidades superiores e inferiores aducidas. A nivel periumbilical se realiza una incisión en OMEGA y la disección por planos hasta alcanzar la aponeurosis. Se desinserta el ombligo y se escinde la aponeurosis en forma vertical con una extensión de 2 cm. Se posiciona el dispositivo GelPOINT Advanced Access Platform (applied medical) y se insufla la cavidad hasta trabajar con presión de 15 mmHg (Figura 1). Una vez terminado el procedimiento, se procede a suturar la aponeurosis con sutura trenzada reabsorbible en forma continua y la piel con sutura reabsorbible monofilamento intradérmico.

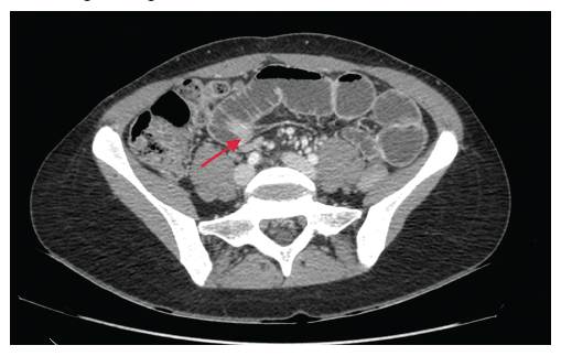
Paciente de sexo femenino de 30 años, con el único antecedente quirúrgico de haber sido operada el año 2002 por un cuadro de peritonitis apendicular por vía abierta. La paciente consulta por sus propios medios en la unidad de urgencia de nuestro centro por un cuadro de 72 horas de evolución, caracterizado por distensión abdominal progresiva, dolor abdominal difuso tipo cólico, vómitos y ausencia de eliminación de gases y deposiciones. Al examen físico se evidencia la cicatriz de la laparotomía mediana supra e infraumbilical (LMSIU), dolor a la palpación, sin irritación peritoneal y ruidos hidroaéreos disminuidos. Se solicita una tomografía axial computarizada (TAC) de abdomen y pelvis con contraste. La TAC mostró dilatación patológica de asas de intestino delgado, con un cambio de calibre hacia el hipogastrio, con colapso de asas a distal y sin signos de sufrimiento intestinal (Figura 2).

Ante el cuadro de obstrucción intestinal la paciente es evaluada por el cirujano de la unidad CMIBM y se decide la cirugía mediante la técnica descrita con anterioridad. Durante la cirugía se encuentra un asa de íleon proximal adherida a la región cercana al promontorio, lo que determina la dilatación del intestino a proximal hasta 4 cm y colapso del intestino a distal. No existe compromiso vascular de asas (Figura 3). Mediante las tijeras Metzenbaum se secciona la adherencia y se revisa la totalidad del intestino delgado y colon, sin otros hallazgos patológicos. La duración del procedimiento fue de 60 minutos. La paciente evoluciona en buenas condiciones clínicas con dieta líquida a las 12 horas post cirugía. Se decide su alta a las 36 horas post cirugía. Los controles alejados al mes, 3 y 6 meses postoperatorios mostraron una buena evolución, asintomática.

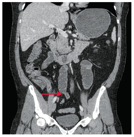
Paciente de sexo masculino de 41 años, con antecedente quirúrgico por trauma abdominal por arma blanca a los 20 años. Ingresa a la unidad de urgencia de nuestro centro por sus propios medios tras presentar un cuadro de dolor abdominal tipo cólico de 6 días de evolución, que se acentuó en las últimas 24 horas, agregándose distensión abdominal y el cese de eliminación de gases y deposiciones. Evaluado por el cirujano CMIBM en la unidad de urgencia, se constata un abdomen distendido, timpánico, sin ruidos hidroaéreos, doloroso a la palpación, sin irritación peritoneal, además de una cicatriz de LMSIU. Se solicita una TAC de abdomen y pelvis, que muestra distensión patológica de asas delgadas con cambio de calibre a nivel del íleon distal y colapso de asas hacia el colon. Se decide la exploración laparoscópica con CLMP, hallándose un segmento de íleon distal adherido a la pared abdominal, determinando la dilatación de asas a proximal hasta 5-6 cm. Se revisa la totalidad del intestino delgado y el colon, sin encontrarse otras lesiones. No existe compromiso vascular del intestino. El paciente evoluciona con íleo postoperatorio (Clavien Dindo II), con buena respuesta al tratamiento médico mediante proquinéticos y sonda nasogástrica por 24 horas. A las 48 horas post cirugía el paciente comenzó con dieta líquida con buena tolerancia. Se decide el alta al quinto día de la cirugía. Los controles alejados al mes, 3 y 6 meses del postoperatorio mostraron buena evolución, sin síntomas.
La cirugía laparoscópica ha ido ganando espacio en el tratamiento de la obstrucción intestinal. Los reportes de procedimientos exitosos varían entre un 46-87%.10 Quezada y col. publicaron la experiencia de la universidad Católica de Chile en una serie de 38 pacientes, de los cuales en el 82% se puedo completar el procedimiento laparoscópico.11 La vía de acceso monopuerto está aún en etapas iniciales. Liao y col. publicaron su experiencia con 10 pacientes en los que realizaron CLMP para la resolución de la obstrucción intestinal por bridas. En esta serie se pudo completar el procedimiento en 9 pacientes, y solo se necesitó una conversión a cirugía multipuerto.12 Okamoto mostró su experiencia con un paciente en el cual realizó adherenciolisis con CLMP sin inconvenientes.13 El mismo autor publicó una serie en donde 16 pacientes fueron sometidos a CLMP, de los que dos casos necesitaron conversión (uno a cirugía abierta y otro a cirugía multipuerto). Los resultados fueron comparables con cirugía multipuerto en pacientes pareados en características.1 Choi y col. publicaron su experiencia con 36 pacientes realizados con CLMP, donde solo uno requirió conversión a vía abierta. En dos pacientes se requirió resección intestinal y solo cuatro pacientes tuvieron, complicaciones postoperatorias (2 pacientes con íleo adinámico, una infección de herida operatoria, una filtración de anastomosis).14 Hiro y col. publicaron su experiencia en 15 pacientes, de los cuales uno necesitó conversión a multipuerto. Dos pacientes requirieron resección intestinal con solo dos complicaciones infecciosas (infección urinaria y enteritis).15
Hasta el momento no hay publicaciones de CLMP en obstrucción intestinal en Chile y Sudamérica. En nuestros casos, solo tuvimos una complicación con un íleo adinámico, que se manejó con tratamiento médico. Creemos que es una vía de acceso útil en pacientes que tienen obstrucción intestinal por bridas, especialmente si esta es única. Además, cobra mayor utilidad en pacientes que tienen antecedentes de cirugías previas, especialmente con laparotomías medias, en quiénes se insuflará el neumoperitoneo con técnica abierta (técnica de Hasson). En las series mostradas los resultados fueron comparables con cirugía multipuerto, más el procedimiento debe ser llevado a cabo por cirujanos entrenados y con experiencia en cirugía laparoscópica. Un mayor número de estudios son necesarios para mostrar el real beneficio de la CLMP en pacientes con obstrucción intestinal.
Conflicto de interés. Los autores declaran no tener conflictos de interés.
Sostén financiero. No existió financiamiento de esta publicación por parte de ninguna institución.
http://www.actagastro.org/numeros-anteriores/2018/Vol-48-N2/Vol48N2-PDF08.pdf (pdf)
rdiazjara@gmail.com


