Respuesta Imagen del Número
Solución del caso: Un huésped insospechado
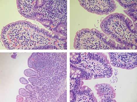
La anatomía patológica informó mucosa de segunda porción duodenal con aplanamiento vellositario leve a moderado, con más de 40 linfocitos intraepiteliales cada 100 enterocitos y signos de inflamación crónica moderada; además se reconocen a nivel superficial organismos parasitarios piriformes con delgados flagelos, en relación con la infección por Giardia lambia (Figura 2). Por dicho motivo se indicó metronidazol por 7 días.

Giardia lamblia (también denominado G. duodenalis y G. intestinalis) es un protozoario flagelado que se transmite a través de la ingestión del quiste de este parásito y que está presente en aguas contaminadas. Los viajes a establecimientos de bajos ingresos son un factor de riesgo común para la adquisición de esta enfermedad; las áreas de mayor riesgo son Asia y Asia sudoriental, África del Norte, el Caribe y América del Sur.1
La giardiasis es más común en los niños que en los adultos y la mayoría son asintomáticos. En estos casos, si la enfermedad no se diagnostica y se trata, la eliminación de los quistes facilita la diseminación entre los miembros de la familia.2 La diarrea acuosa es el síntoma clínico principal, que puede ser grave y con deshidratación y a veces con vómitos. La infección puede extenderse por todo el tracto gastrointestinal, comprometer el árbol biliar y el pulmón y presentarse con dolor en hipocondrio derecho o condiciones patológicas del pulmón. Además de la diarrea, esta infección intestinal se ha asociado con un pobre crecimiento en la infancia.3
En el examen microscópico directo de las heces, la presencia de trofozoítos o quistes ha sido durante mucho tiempo el estándar para la detección de la infección por giardia. En un único frotis de materia fecal, el espécimen tiene una sensibilidad del 75% al 95% en manos de un técnico experimentado. Más recientemente, el inmunoensayo enzimático ha sustituido al examen microscópico en la mayoría de los laboratorios clínicos.3 Aunque la mayoría de las biopsias duodenales con giardiasis crónica muestran poca o ninguna reacción inflamatoria, algunos pacientes pueden desarrollar una enfermedad grave con una inflamación mucosa significativa y varios grados de ensanchamiento de las vellosidades.4
El metronidazol administrado durante 5 a 7 días produce tasas de curación del 80 al 95%. El tinidazol es similar o ligeramente más eficaz después de la administración de solo una dosis única para los niños de 3 años o más. La nitazoxanida oral en un curso de 3 días se puede utilizar hasta un año, y es tan eficaz como el metronidazol y el tinidazol. El albendazol, el mebendazol y la paromomicina son bien tolerados y pueden ser eficaces. En casos de recaída, la mayoría de los expertos recomiendan repetir el curso de la terapia en pacientes inmunocompetentes, incluyendo dos fármacos para cubrir la resistencia, y un régimen de tratamiento más prolongado en pacientes inmunocomprometidos. Los pacientes deben ser advertidos que después del tratamiento la deficiencia de lactosa es común y se debe evitar o reducir al mínimo los alimentos que contienen lactosa por unas pocas semanas.3
http://www.actagastro.org/numeros-anteriores/2018/Vol-48-N2/Vol48N2-PDF17.pdf (pdf)
