Casos Clínicos
Gastritis hemorrágica inducida por radiación (gastritis actínica). Reporte de caso
Hemorrhagic radiation gastritis: A case report
Gastritis hemorrágica inducida por radiación (gastritis actínica). Reporte de caso
Acta Gastroenterológica Latinoamericana, vol. 48, núm. 3, pp. 154-158, 2018
Sociedad Argentina de Gastroenterología
Recepción: 25 Abril 2017
Aprobación: 03 Abril 2018
Publicación: 17 Septiembre 2019
Resumen: La gastritis hemorrágica inducida por radiación (gastritis actínica) es una causa muy poco frecuente de hemorragia digestiva masiva. Presentamos el caso de una mujer de 78 años que 1 año antes de su ingreso había sido sometida a una hepatectomía parcial por un colangiocarcinoma, y 6 meses antes había recibido quimioterapia y radioterapia por sospecha de recidiva, con una dosis total de radiación de 50 Gy en 25 sesiones. Un mes antes del ingreso, la paciente presentó melena y anemia severa sintomática, con necesidad de transfusiones; se le realizó una endoscopia digestiva alta y se observó a nivel del antro gástrico colindante al ángulo y curvatura menor un área con múltiples angiodisplasias con sangrado en napa, sugerentes de daño por radiación. Se realizó tratamiento endoscópico con argón plasma. En su ingreso actual, la paciente cursó nuevamente con anemia severa sintomática y melena. En la nueva endoscopía evidenció en antro un área mayor de lesión con múltiples angiodisplasias con sangrado en napa, y se realizaron nuevamente dos sesiones de argón plasma, la evolución sin embargo fue tórpida con persistencia del sangrado gástrico, mayor necesidad de transfusiones e inestabilidad hemodinámica, por lo cual se decidió realizar una gastrectomía subtotal, con lo cual se controló el sangrado.
Palabras clave: Gastritis hemorrágica inducida por radiación, gastritis actínica, coagulación con argón plasma, gastrectomía.
Abstract: Radiation-induced hemorrhagic gastritis (actinic gastritis) is a very rare cause of massive digestive hemorrhage. We report the case of a 78-year-old female who had undergone a partial hepatectomy for a cholangiocarcinoma 1 year before admission, and 6 months before had received chemotherapy and radiotherapy on suspicion of relapse, with a total radiation dose of 50 Gy in 25 sessions. 1 month before admission, the patient presented melena and symptomatic severe anemia, with need of transfusions; a high digestive endoscopy was performed, and was observed at the level of the gastric antrum adjacent to the angle and minor curvature an area with multiple angiodysplasias with oozing bleed, suggestive of radiation damage. Endoscopic management with argon plasma was performed. In her current admission, the patient returns with severe symptomatic anemia and melena. Was given transfusional support to stabilize her and in the new endoscopy a greater area of multiple angiodysplastic lesions with oozing bleed was evidenced in antrum, again two sessions of argon plasma, the evolution, however, was torpid with persistence of gastrointestinal losses, greater need for transfusions and hemodynamic instability, which was why a subtotal gastrectomy was decided to perform, which was the bleeding controlled.
Keywords: Radiation-induced hemorrhagic gastritis, actinic gastritis, argon plasma clotting, gastrectomy.
La gastritis inducida por radiación (gastritis actínica) es una complicación grave de la radioterapia, que se presenta generalmente dentro de los 12 meses posteriores al término del tratamiento y puede causar sangrado gastrointestinal masivo que puede comprometer la vida.1, 2
La gastritis actínica es una vasculopatía aguda secundaria a irradiación que puede progresar desde edema de la mucosa a endarteritis obliterante, vasculitis y proliferación endotelial, que conduce a la isquemia de la mucosa, zonas friables, telangiectasias y ulceración, lo que conlleva a una lesión crónica sangrante.3, 4
Hasta el momento, no existe tratamiento estándar definido, su manejo es desafiante y puede poner en juego la vida, al grado que se debe considerar el manejo quirúrgico ante la falta de respuesta al manejo conservador.3, 4
Caso clínico
Mujer de 78 años, natural y procedente de Lima, portadora de una arritmia cardíaca en tratamiento con amiodarona y apixaban. Doce meses antes del primer ingreso por la especialidad había sido sometida a una hepatectomía izquierda con quimioterapia adyuvante por un colangiocarcinoma. Seis meses antes del ingreso, se identificó una lesión sugerente de recidiva por lo cual recibió un nuevo ciclo de quimioterapia complementado con radioterapia 5000 cGy en 25 aplicaciones mediante múltiples campos de entrada, utilizando la técnica tridimensional, en el lapso de 1 mes.
Un mes antes del ingreso, la paciente desarrolló melena en dos oportunidades, al examen físico se notaba pálida y con hemoglobina de 7 gr/dl, y se le realizó la transfusión de dos unidades de sangre y una videoendoscopía digestiva alta (VEDA) que demostró múltiples lesiones angiodisplásicas en el antro, por lo cual recibió coagulación con argón plasma y se suspendió el apixaban.
En su ingreso actual por emergencia, la paciente presentó melena y un cuadro de síncope, presentaba palidez marcada, con una hemoglobina de ingreso de 4 gr/dl y el resto de los análisis, que incluían pruebas de coagulación, se encontraban en límites normales. Recibió transfusión de 4 unidades de sangre y fluidoterapia, y se realizó una nueva VEDA: en la zona antral colindante al ángulo gástrico se observó la presencia de múltiples lesiones angiodisplásicas de diversos tamaños, que presentan sangrado espontáneo en napa, sumamente friables al roce (Figura 1), de mayor número que las vistas cuatro semanas antes; se realizó una nueva sesión de coagulación con argón plasma a 2 lt/min y 50W, con control del sangrado.

Durante las siguientes 48 horas, la paciente continuó presentando melena y se presentó mayor descenso de la hemoglobina, se le transfundieron dos paquetes globulares más, se realizó una nueva VEDA que evidenció múltiples angiodisplasias en toda la zona antral, sangrado en napa y friabilidad, y se le aplicó nuevamente terapia con argón plasma (Figura 2). La respuesta en las siguientes 48 horas fue desfavorable, con dolor abdominal, nauseas, vómitos y finalmente hematemesis y melena, con caída de la hemoglobina e inestabilidad hemodinámica, por lo que se realizó gastrectomía subtotal (Figura 3). La evolución posquirúrgica fue favorable, no presentó sangrado digestivo, la paciente salió de la unidad de cuidados intensivos a la semana y fue dada de alta a las 2 semanas con buena tolerancia oral.
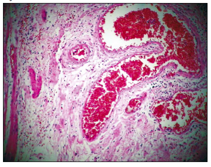
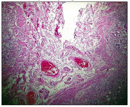
El informe anatomopatológico de la pieza operatoria mostró la mucosa y la submucosa con intensas áreas de hemorragia, congestión de la submucosa con numerosas arterias y venas con marcada dilatación (Figura 4 y 5).




Discusión
La gastritis hemorrágica inducida por radiación es una entidad poco frecuente, y su presentación como causa de hemorragia digestiva masiva es aún menor. Sin embargo, la gastritis inducida por radiación es una entidad subdiagnosticada, debido a la variedad de hallazgos endoscópicos, la falta de sospecha diagnóstica por parte del evaluador y que la mayoría de los casos leves de gastritis actínica pasan desapercibidos en el contexto de la enfermedad oncológica de fondo. En la actualidad, no existe ningún esquema definido para el diagnóstico y manejo de la gastritis hemorrágica inducida por radiación. Los casos severos de la enfermedad son un desafío diagnóstico y terapéutico, que sin el manejo oportuno puede precipitar la muerte del paciente.5
No existen datos de incidencia ni prevalencia, sin embargo, en un estudio realizado por Chon y col. en pacientes con hepatocarcinoma no resecable tratados con quimioterapia y radioterapia, a quienes se les realizó una VEDA antes del tratamiento y un mes después de completar el esquema, con el objetivo de investigar toxicidad gastrointestinal posterior a la radioterapia, los investigadores encontraron complicaciones gastroduodenales endoscópicas asociadas a radiación en el 52,8% de los pacientes, y solo el 14,6% presentó complicaciones severas que necesitaron manejo endoscópico o quirúrgico.1
La fisiopatología de la gastritis por radiación no se conoce completamente; se presume que existe una respuesta inflamatoria incrementada, con migración celular, producción de citoquinas y diversos factores de crecimiento que incluyen factores endoteliales.4, 5 La radiación genera daño del epitelio columnar secretor de moco, edema, hemorragia microscópica y exudados en células parietales y principales. El daño por radiación puede progresar a endarteritis obliterante, vasculitis y proliferación endotelial. Estos cambios de la microvasculatura generan isquemia de la mucosa, telangiectasias, zonas friables y en algunos casos ulceración.3,4, 5, 9
La dosis de tolerancia de radiación en el estómago es de 45 Gy, con una prevalencia de hasta el 10% de complicaciones con dosis de 45 a 55 Gy, siendo más alta con mayores dosis de radiación.1, 4, 5 En nuestro caso, la paciente fue tratada con 50 Gy de dosis acumulada de radiación, y con ello desarrolló un cuadro severo de gastritis hemorrágica.
La gastritis actínica ocurre dentro de los 12 meses posteriores al término de la radioterapia, siendo más frecuente entre los 2 y 9 meses; en el caso de nuestra paciente el lapso fue de 5 meses.1 Sin embargo, hay reportes de daños hasta 3 años después del término de la radioterapia.4 La mayoría de los casos reportados de gastritis actínica comprometen el antro, como en el caso presentado; esto se puede explicar por mayor sensibilidad de la zona antral prepilórica a la radiación.7
Existen ciertos factores de riesgo asociados con el desarrollo de gastritis por radiación, como la dosis diaria y acumulada de radioterapia; muy pocos reportes han demostrado ulceración con menos de 45 Gy. Otros factores son: cirugías abdominales previas, la presencia de cirrosis hepática y el tratamiento combinado con quimioterapia.1, 4 En nuestro caso, la paciente tenía antecedentes de cirugía abdominal, tratamiento con quimioterapia y dosis de radiación mayores a 45 Gy.
El cuadro clínico se relaciona con el grado de injuria de la mucosa gástrica, que varía desde inflamación de la mucosa, que genera síntomas de dispepsia y vómitos, hasta sangrado y ulceraciones.4 Esta variabilidad de manifestaciones clínicas hace que el diagnóstico de gastritis inducida por radiación no se registre.
El diagnóstico de gastritis inducida por radiación no tiene una prueba definitiva, se basa en correlacionar la presencia de hallazgos endoscópicos con el antecedente de radiación y los hallazgos histopatológicos.6, 11 Los hallazgos endoscópicos incluyen eritema de la mucosa, erosiones, úlceras, cicatrices y, lo más característico, la telangiectasia.7 El diagnóstico diferencial incluye gastritis erosiva, gastropatía por AINES, ectasia vascular antral, watermelon stomach.
No existe un tratamiento definitivo para la gastritis hemorrágica inducida por radiación, ni menos aún un algoritmo terapéutico claro, dada la poca casuística. La mayoría de los tratamientos se basan en reportes de casos. Sin embargo, la mayoría de los reportes considera a la terapia endoscópica de coagulación con argón plasma y las transfusiones sanguíneas como la primera línea de tratamiento a las angiodisplasias de la gastritis hemorrágica inducida por radiación.8, 9, 12, 13,14 La terapia de coagulación con argón plasma es un método termo ablativo, monopolar de electrocoagulación sin contacto, que permite la aplicación de energía eléctrica de alta frecuencia por medio de gas argón ionizado a los tejidos, lo que genera desde una zona de retracción superficial hasta una zona de desvitalización profunda y con ello destrucción del tejido o hemostasia por coagulación. La seguridad de la aplicación de argón depende del tiempo de exposición al tejido y la intensidad de la energía utilizada, con una profundidad de quemadura entre 0,5 y 3 mm, lo cual la convierte en una técnica con bajo riesgo de perforación.12 La intensidad de argón reportada es variable, nosotros utilizamos en la última sesión un flujo de argón de 2 l/min y un poder de coagulación de 60 W. Existen reportes de casos de terapias alternativas exitosas muy variables como manejo con prednisolona oral,2, 3 prednisolona intraarterial (arteria gastroepiploica y gástrica derecha),8 terapias con hormona de crecimiento,5 y tratamiento endoscópico con ligadura en banda10 o ablación por radiofrecuencia. En el caso de nuestra paciente, se realizó inicialmente manejo conservador con tres sesiones de coagulación con argón plasma a dosis máximas. Sin embargo, la pobre respuesta clínica, determinada por la severidad del sangrado y la presencia de inestabilidad hemodinámica con alto requerimiento de transfusiones, determinó que se realice una gastrectomía subtotal. La opción quirúrgica es una buena opción en los casos de gastritis hemorrágica severa inducida por radiación que fracasan al manejo conservador.4 La evolución de nuestra paciente fue favorable, no presentó nuevos episodios de sangrado, y fue dada de alta tres semanas después.
Conflictos de interés. Los autores declaran no tener ningún conflicto de interés.
Referencias
1. Chon YE, Seong J, Kim BK, Cha J, Kim SU, Park JY, Ahn SH, Han KH, Chon CY, Shin SK, Kim DY. Gastroduodenal complications after concurrent chemoradiation therapy in patients with hepatocellular carcinoma: endoscopic findings and risk factors. Int J Radiat Oncol Biol Phys 2011; 81: 1343-1351.
2. Yun HG, Kim HY, Do Yeun K, Yun JL. Successful treatment of intractable bleeding caused by radiation-induced hemorrhagic gastritis using oral prednisolone: A Case Report. Cancer Res Treat 2015; 47: 334-338.
3. Zhang L, Xie XY, Wang Y, Wang YH, Chen Y, Ren ZG. Treatment of radiation-induced hemorrhagic gastritis with prednisolone: A case report. World J Gastroenterol 2012; 18: 7402-7404.
4. Tatsis V, Peponi E, Papadopoulos G, Tsekeris P, Fatouros M, Glantzounis G. Subtotal gastrectomy for diffused hemorrhagic gastritis induced by radiation, following liver resection for hilar cholangiocarcinoma. A case report. Int J Surg Case Rep 2016; 18: 30-32.
5. Zhang L, Xia WJ, Zhang Z-S, Liang X. Growth hormone used to control intractable bleeding caused by radiation-induced gastritis. World J Gastroenterol 2012; 18: 7402-7404.
6. Palacios F, Cervera Z, Vidal P, Ichiyanagui C, Mayorga R. Gastritis hemorrágica actínica tratada con probeta caliente. Enferm Apar Dig 2003; 6: 34-35.
7. Chao CJ, Shin JS, Hsu WC, Wang PM. Endoscopic features of radiation gastritis after irradiation of hepatocellular carcinoma. Endoscopy 2013; 45: E280-E281.
8. Kawata K, Kobayashi Y, Souda K, Kawamura K, Takahashi Y, Noritake H, Watanabe S, Suehiro T, Kamiya M, Yamashita S, Ushio T, Nakamura H. Hemorrhagic radiation gastritis successfully treated with repeated intra-arterial steroid infusions. Clin J Gastroenterol 2011; 4: 34-38.
9. Shukuwa K, Kume K, Yamasaki M, Yoshikawa I, Otsuki M. Argon plasma coagulation therapy for a hemorrhagic radiation induced gastritis in patient with pancreatic cancer. Intern Med 2007; 46: 975-977.
10. Staiano T, Grassia R, Iiritano E, Bianchi G, Dizioli P, Buffoli F. Treatment of radiation-induced hemorrhagic gastritis with endoscopic band ligation. Gastrointest Endosc 2010; 72: 452-453.
11. De Sagher LI, Van den Heule B, Van Houtte P, Engelholm L, Balikdjan D, Bleiberg H. Endoscopic appearance of irradiated gastric mucosa. Endoscopy 1979; 11: 163-165.
12. Cañadas R, Serrano C, Hani A, Galiano M, Vargas R, Alvarado J, Rodríguez A, Suárez Y, Torres D, Rincón R, Valle F, Casasbuenas P, Zuleta J. Experiencia con argón plasma en lesiones del tracto gastrointestinal en dos instituciones de Bogotá. Rev Col Gastroenterol 2010; 25: 44-51.
13. Corbinais S, Garín L, Pagenault M, Bretagne JF. Successful treatment by argon plasma coagulation of bleeding radiation-induced gastroduodenal vasculopathy. Endoscopy 2002; 34: 593.
14. Wada S, Tamada K, Tomiyama T, Yamamoto H, Nakazawa K, Sugano K. Endoscopic hemostasis for radiation-induced gastritis using argon plasma coagulation. J Gastroenterol Hepatol 2003; 18: 1215-1218.
Notas de autor
hcedron@gmail.com
Enlace alternativo
http://www.actagastro.org/numeros-anteriores/2018/Vol-48-N3/Vol48N3-PDF05.pdf (pdf)