Resumen: El absceso intraabdominal es una condición patológica quirúrgica de emergencia, resultado de una complicación frecuente de la apendicitis de difícil diagnóstico. Las manifestaciones clínicas son el dolor abdominal, la hipertermia en picos y una respuesta inflamatoria sistémica. Presentamos el caso clínico inusual de una paciente de 18 años, con edad gestacional de 37,4 semanas, que consulta por dolor abdominal y sintomatología urinaria. Se maneja como una infección de vías urinarias, el dolor se incrementa y desencadena actividad uterina y parto normal; con permanencia del dolor, la fiebre y una sensación de masa. Por imagenología se encuentra un absceso gigante intraabdominal por lo que es llevada a cirugía laparoscópica con posterior drenaje exitoso de un absceso intraabdominal, con evolución satisfactoria. Es importante destacar el diagnóstico temprano de apendicitis aguda durante el embarazo, teniendo en cuenta la clínica y la relación de los síntomas que se presentan durante la gestación. El objetivo de este caso es dar a conocer la relevancia de implementar la cirugía laparoscópica en el manejo de abscesos intraabdominales, para evidenciar las ventajas como método de tratamiento quirúrgico, y el menor trauma para la paciente.
Palabras clave: Absceso intraabdominal Absceso intraabdominal, apendicitis apendicitis, cirugía laparoscópica cirugía laparoscópica.
Abstract: The intra-abdominal abscess is an emergency surgical pathological condition, result of frequent complication of appendicitis difficult to diagnose. Within the clinical manifestations, there is abdominal pain, elevation ends in spikes and a systemic inflammatory response. We present the unusual clinical case in the midst of a patient of 18 years, with a gestational age of 37.4 weeks, who consulted for abdominal pain and urinary symptomatology. It is managed as an infection of the urinary tract, the pain is increased and triggers uterine activity and normal delivery; with permanence of pain, fever and mass sensation. Imaging is a giant intra-abdominal abscess, which is why it is taken to laparoscopic surgery with successful subsequent drainage of intra-abdominal abscess, with satisfactory evolution. It is important to emphasize the early diagnosis of acute appendicitis during pregnancy, taking into account the clinical and the relationship of the symptoms that occur during pregnancy. The objective of this case is to make known the relevance of implementing laparoscopic surgery in the management of intra-abdominal abscesses, to evidence the advantages as a method of surgical treatment, and the least trauma for the patient.
Keywords: Intra-abdominal abscess, appendicitis, laparoscopic surgery.
Caso Clínicos
Laparoscopía de un absceso gigante intraabdominal. Reporte de caso posparto inmediato
Laparoscopic of giant abstract intraabdo-minal. Report of immediate postpartum case
Recepción: 05 Junio 2017
Aprobación: 26 Julio 2018
Publicación: 17 Diciembre 2018
Paciente de 18 años con embarazo de 37,4 semanas de gestación, presenta hace 72 horas dolor abdominal difuso y episodios de emesis. Los movimientos fetales son normales, niega amniorrea y genitorragía; acude a una entidad de salud, donde se maneja como una infección de vías urinarias (IVU) y estreñimiento e inicia tratamiento con ampicilina vía oral. A pesar de implementarse, el dolor se exacerba, tornándose tipo contracción, por lo que la paciente decide asistir a otro servicio de urgencias. Al examen físico se encuentra hemodinámicamente estable, alerta e hidratada. Abdomen útero grávido con altura uterina de 29 cm, fetocardía de 140 por minuto, actividad uterina y movimientos fetales presentes. Al tacto vaginal el cuello cervical es posterior, pelvis ginecoide, dilatación de 1 cm y borramiento del 60%. Se hospitaliza con diagnóstico de embarazo en trabajo de parto e infección urinaria, se solicita monitoreo fetal, laboratorio con hemograma: serie roja normal, leucocitosis: 17.800/mm3, neutrófilos 94%, cayados 2% y un uroanálisis con leucocitosis y bacterias +++.
Se realiza la atención del parto vaginal 12 horas después, con recién nacido vivo y con una evolución clínica favorable, y se traslada a piso para continuar el control posparto. Se continúa el tratamiento con ampicilina intravenosa para la infección de vías urinarias y analgesia.
En el segundo día posparto, presenta pico febril de 38,5 °C con rápida resolución, continúa con el tratamiento instaurado hasta las 72 horas; luego refiere dolor abdominal en zona de hipogastrio. Se solicita un nuevo hemograma: leucocitosis 20.900/mm3 con neutrófilos 87%. Se rota el antibiótico a ceftriaxona. Examen físico: útero aumentado de tamaño y restos fétidos, se realiza una ecografía transvaginal que reporta una gran colección semisólida en el fondo de saco posterior por lo que se solicita interconsulta con cirugía.
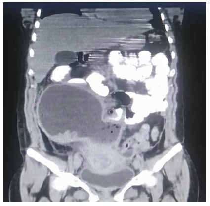
Se solicita una tomografía abdominal que revela una gran colección intraabdominal en el hemiabdomen derecho (Figura 1); se decide la laparoscopía exploratoria en la que se encuentra un absceso gigante intraabdominal de 750 cc (Figuras 2 y 3), que va desde el reborde inferior del hígado hasta el fondo de saco de Douglas. Se toma muestra para cultivo y se drena. Un útero aumentado de tamaño con fibrina en sus paredes, edema y eritema severo en la trompa derecha, revisando con azul de metileno para verificar su permeabilidad. Se encuentra el apéndice cecal en fase necrosada y perforada (Figura 4), el cual se extrae. Posteriormente se realiza el lavado peritoneal con 6.000 cc de solución salina normal (Figura 5). Se deja drenaje en fondo de saco de Douglas (Figura 6). El tiempo de hospitalización y el manejo antibiótico con piperacilina tazobactam fue de 10 días. El reporte del cultivo fue Escherichia coli.






Actualmente, la mayoría de las apendicectomías se realizan utilizando la técnica laparoscópica, lo que ha contribuido a reducir el tiempo de estancia posoperatoria, las infecciones del sitio quirúrgico, el dolor y el costo. Por otra parte, en la técnica abierta el riesgo de infección es mayor y las reintervenciones quirúrgicas pueden ser de 3 a 5 para lavados de cavidad abdominal, según la respuesta de cada paciente; por esta razón resulta en una mayor estancia hospitalaria, entre 20 a 25 días. De acuerdo a nuestra experiencia estas apendicitis complicadas, cuando se manejan de forma laparoscópica solo necesitan una intervención quirúrgica, un drenaje intraabdominal y el manejo antibiótico de amplio espectro por 10 días. Se evidencia una frecuencia de infecciones en cirugía laparoscópica del 2,8% y de 4,6% en cirugías abiertas en países como Corea; 7,2%, 6,2% y 5,9% en Brasil, China y Suecia, respectivamente. Las tasas más bajas de infección son reportadas por el Centro para la Seguridad y Control de Enfermedades de los Estados Unidos (CDC/NHSN) y el Consorcio Internacional de Control de Infecciones Nosocomiales, siendo de 1,4% y 2,9%.1 Yarmuch, citando a Kort B y col.2, afirma que 1 de cada 600 mujeres embarazadas requerirá de cirugía abdominal no obstétrica durante el embarazo, siendo la vía laparoscópica un método seguro y justificado durante el embarazo, además de asegurar el éxito de este procedimiento y la experiencia del cirujano.3
Existe cierta dificultad para diagnosticar la apendicitis durante el embarazo, debido a los cambios anatómicos y fisiológicos que se producen durante la gestación.18 Con mayor frecuencia las pacientes tienen un ciego móvil; el embarazo provoca que el apéndice se deslice hacia arriba, ubicándose en un sitio diferente según la edad gestacional.2, 3, 4, 5, 6, 7, 8, 9 La literatura evidencia que el apéndice, conforme el útero va creciendo, sufre variaciones de posición debido al ciego libre y móvil que produce un desplazamiento hacia arriba y al lateral: al sexto mes está al nivel de la cresta ilíaca y al término de la gestación en el cuadrante superior derecho.18
Es por este motivo que se torna más difícil el diagnóstico cuando la paciente presenta un ciego fijo que no va a permitir el desplazamiento del mismo hacia el hipocondrio, sino hacia la fosa pélvica donde estará cubierto por el útero grávido; generando una clínica confusa, al punto de desencadenar el trabajo de parto e incluso desarrollar sintomatología urinaria, como se evidenció en nuestra paciente.10En la literatura se presenta en el 15% de las embarazadas,3, 11 situación que generó gangrena apendicular y condujo a la perforación y formación del gran absceso intraabdominal que se presentó en la mujer embarazada.5, 7, 12
La bibliografía publicada al respecto concuerda que a mayor severidad de la apendicitis (tiempo de evolución, perforación, presencia de absceso), mayor probabilidad de formación de abscesos intraabdominales.12
El diagnóstico del absceso intraabdominal como complicación de apendicitis aguda debe realizarse a partir de la historia clínica completa, síntomas como fiebre, dolor abdominal y ayudas complementarias con presencia de leucocitosis (> 10.000/mm3) y tomografía axial computarizada (no se puede realizar en las embarazadas).
Hoy en día la mayor parte de los abscesos gigantes son abordados por cirugía laparoscópica, existiendo varias ventajas como la disminución de las infecciones de la herida quirúrgica del 3,8% y 7,6% de la cirugía abierta (OR: 0,47; IC95%: 0,36 - 0,62);13-1 además el dolor, el abordaje quirúrgico y el tiempo de hospitalización es mucho menor, así como también el número de reintervenciones quirúrgicas y el menor daño de la pared abdominal.15, 16
El abordaje en este caso fue la vía laparoscópica para drenar el absceso, con lavado exhaustivo de la cavidad (10 litros de solución salina), se insertó un drenaje mixto que consistió en colocar a un dren de penrose una sonda Foley para controlar los residuos de la cavidad. El tiempo de hospitalización y el tratamiento antibiótico para el control de la sepsis es por 10 días.13, 14, 17
1- En el embarazo es difícil tener clara la clínica de una apendicitis y más si la posición del ciego es fija. Por esta razón se debe valorar exhaustivamente a la mujer gestante con dolor abdominal, y no guiarse solo por la aparente evolución del embarazo y su labor de parto.
2- Esta patología puede abordarse por vía laparoscópica, disminuyendo el trauma quirúrgico de la pared abdominal, el dolor posoperatorio, las estancias hospitalarias, y con una mínima incidencia de complicaciones intraoperatorias y posoperatorias.
3- Evita nuevas reintervenciones quirúrgicas ya que se logra una buena evolución con el drenaje colocado y el tratamiento instaurado.
4- Reduce la incapacidad laboral.
5- Disminuye el riesgo de hernias gigantes de la pared abdominal.
La paciente evoluciona satisfactoriamente sin complicaciones, fue informada previamente de las ventajas de llevar a cabo este procedimiento, y firmó el consentimiento informado.
Nota. Este manuscrito se elaboró aplicando la lista de comprobación CARE (2013).
http://www.actagastro.org/numeros-anteriores/2018/Vol-48-N4/Vol48N4-PDF10.pdf (pdf)
luenbeco2@hotmail.com





