Imagen del Número - Solución del caso
Placas elevadas de esófago: no todo es acantosis glucogénica
Placas elevadas de esófago: no todo es acantosis glucogénica
Acta Gastroenterológica Latinoamericana, vol. 49, núm. 1, p. 88, 2019
Sociedad Argentina de Gastroenterología
Solución del caso: Placas elevadas de esófago: no todo es acantosis glucogénica
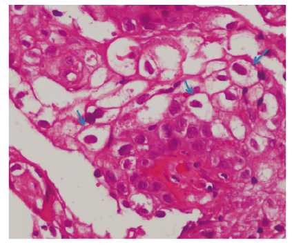
La anatomía patológica informó hallazgos compatibles con lesión papilomatosa y focos sugestivos de infección viral (coilocitos) (Figura 3).
Se realizó genotificación del ADN viral para los serotipos considerados de alto riesgo oncogénico (16, 18, 31, 33, 35, 39, 45, 51, 52, 56, 58 y 59), sin detectarse ADN viral.
La infección crónica por virus del papiloma humano (HPV) ha sido implicada como un factor predisponente para el desarrollo de carcinoma escamoso esofágico, si bien esta asociación es controversial.1, 2 Tampoco se conoce el mecanismo por el cual puede ocurrir este acontecimiento.3, 4
No existe actualmente un consenso sobre el manejo o seguimiento de la condilomatosis esofágica. En este caso, debido a la extensión difusa de las lesiones en todo el esófago y al no detectarse ADN viral de riesgo oncogénico alto, se decidió con el equipo multidisciplinario realizar un seguimiento endoscópico con biopsias seriadas cada 6 meses.

Referencias
1. Li X, Gao C, Yang Y, Zhou F, Li M, Jin Q, Gao L. Systematic review with meta-analysis: the association between human papillomavirus infection and oesophageal cancer. Aliment Pharmacol Ther 2014; 39: 270-281.
2. Petrick JL, Wyss AB, Butler AM, Cummings C, Sun X, Poole C, Smith JS, Olshan AF. Prevalence of human papillomavirus among oesophageal squamous cell carcinoma cases: systematic review and meta-analysis. Br J Cancer 2014; 110: 2369-2377.
3. Odze R, Antonioli D, Shocket D, Noble-Topham S, Goldman H, Upton M. Esophageal squamous papillomas. A clinicopathologic study of 38 lesions and analysis for human papillomavirus by the polymerase chain reaction. Am J Surg Pathol 1995; 19: 489-490.
4. Shimizu M, Ban S, Odze RD. Squamous dysplasia and other precursor lesions related to esophageal squamous cell carcinoma. Gastroenterol Clin North Am 2007; 36: 797-811.