Casos Clínicos
Drenaje biliar combinado percutáneo y endoscópico en hepático-yeyuno anastomosis en Y-de-Roux: reporte de un caso
Combined percutaneous and endoscopic biliary drainage in Roux-en-Y hepaticojejunostomy: a case report
Drenaje biliar combinado percutáneo y endoscópico en hepático-yeyuno anastomosis en Y-de-Roux: reporte de un caso
Acta Gastroenterológica Latinoamericana, vol. 49, núm. 4, pp. 375-377, 2019
Sociedad Argentina de Gastroenterología
Recepción: 13 Agosto 2018
Aprobación: 29 Noviembre 2018
Publicación: 17 Diciembre 2019
Resumen: La colangitis aguda se produce cuando una obstrucción, generalmente litiásica, produce colestasis e infección bacteriana de la bilis. La mortalidad es alta si no se trata en forma temprana con antibióticos y drenaje biliar. Es importante utilizar criterios de severidad para poder identificar a los pacientes cuyo pronóstico puede ser mejorado con un drenaje biliar temprano. Presentamos el caso de una paciente de 50 años de edad con colangitis severa por hepato litiasis y antecedente de una hepático-yeyuno anastomosis en Y-de-Roux 10 años antes de la consulta. Se realizó el drenaje biliar temprano de forma percutánea. Cuando las condiciones clínicas lo permitieron, se llevó a cabo un drenaje endoscópico transpapilar asistido en forma percutánea (rendez-vous) con extracción de los litos. Consideramos que este método de drenaje biliar es útil en nuestros días, debido a que tiene una alta tasa de éxito con un perfil de seguridad adecuado.
Palabras clave: Colangitis, reconstrucción en Y-de-Roux, rendez-vous.
Abstract: Acute cholangitis develops when an obstruction, usually due to lithiasis, produces cholestasis and bacterial infection of the bile. Mortality is high if it is not treated early with antibiotics and biliary drainage. It is important to identify the patients whose prognosis can be improved with early biliary drainage. We present the case of a 50-year-old patient with severe cholangitis due to lithiasis and Roux-en-Y hepaticojejunostomy. First, we performed a percutaneous biliary drainage. When the clinical conditions improved, we performed a transpapillary endoscopic drainage with percutaneous assistance (rendez-vous) with removal of the stones. We consider this method of biliary drainage is still useful in our days because it has high success rate with a good safety profile.
Keywords: Cholangitis, Roux-en-Y hepaticojejunostomy, rendez-vous.
Caso clínico
Presentamos una paciente de sexo femenino de 50 años, con diagnóstico de colangitis severa por hepatolitiasis. Al momento de la consulta presentaba signos de colestasis, dolor abdominal y fiebre de 72 horas de evolución, y signos de descompensación hemodinámica. Es admitida en la unidad de cuidados intensivos para recibir hidratación parenteral y antibióticos endovenosos.
Como antecedente importante, 10 años atrás se le había realizado una hepático-yeyuno anastomosis con reconstrucción en Y-de-Roux por una lesión quirúrgica de la vía biliar secundaria a una colecistectomía.
En el laboratorio presentaba: hematocrito: 42%, glóbulos blancos: 23.000/mm3, urea 100 mg/dl, creatinina: 3 mg/dl, bilirrubina total: 6 mg/dl, bilirrubina directa 90%, fosfatasa alcalina: 700 UI/l, GTO: 143 UI/l, GTP: 126 UI/l. Se realizó una ecografía abdominal que informó vía biliar intrahepática dilatada, con múltiples litos en ambos conductos hepáticos.
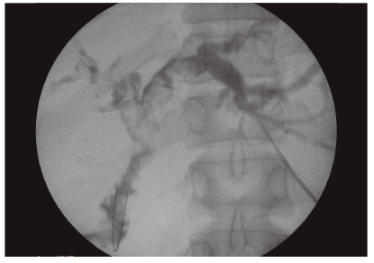
Se decide realizar el drenaje biliar de forma inmediata, teniendo en cuenta que se trataba de una paciente con colangitis severa. Debido al antecedente quirúrgico se optó por un acceso percutáneo. Se colocó por vía transhepática un drenaje interno-externo y se realizó una colangiografía donde se evidenciaron múltiples litos en ambas ramas hepáticas principales y en sus ramas secundarias. Asociado a esto, se observaba una estenosis de la hepático-yeyuno anastomosis (Figuras 1 y 2).


La paciente evolucionó de forma favorable con respecto al cuadro infeccioso, pero aún quedaba pendiente resolver el cuadro de litiasis compleja. Cuando las condiciones clínicas lo permitieron, se decidió aprovechar el drenaje que tenía colocado para realizar un drenaje endoscópico transpapilar percutáneo-asistido (rendez-vous) (Video WEB). Se pasó a través del drenaje percutáneo, bajo guía radiológica, una guía hidrofílica de vía biliar. Luego se ingresó con un colonoscopio de adultos al asa eferente hasta observar la guía. Se tomó la guía con un ansa y con su ayuda se logró avanzar hasta acceder a la hepático-yeyuno anastomosis. Se canuló la vía biliar con ayuda de la guía colocada en forma percutánea, y luego se progresó otra guía desde el colonoscopio. En primer lugar, se introdujo un balón de dilatación de 12 mm para dilatar la anastomosis, y luego se usaron una canastilla y un balón con los que se extrajeron, de forma completa, todos los litos de ambos hepáticos y sus ramas secundarias.
Evolucionó de forma favorable y dos semanas después se realizó una nueva colangiografía percutánea, donde se observó la ausencia de imágenes negativas en la vía biliar, por lo que se retiró el drenaje percutáneo (Figura 3).

Discusión
La colangitis aguda ocurre cuando una obstrucción, generalmente de origen litiásico, produce colestasis e infección bacteriana de la bilis. Este bloqueo al flujo de la bilis produce un aumento en la presión dentro del sistema biliar y, como consecuencia de este, se produce el pasaje de bacterias y endotoxinas desde la vía biliar a la circulación general, induciendo una respuesta inflamatoria sistémica. La mortalidad es alta si no es tratada de forma adecuada con antibióticos y drenaje biliar.1
Es importante utilizar criterios de severidad para poder identificar a los pacientes cuyo pronóstico puede ser mejorado con un drenaje biliar temprano. Según los criterios de severidad de las Guías de Tokio para colangitis aguda, nuestra paciente correspondía a una colangitis severa, ya que presentaba compromiso hemodinámico. Por esta razón se debía realizar el drenaje biliar en forma temprana.2 La decisión de realizar el drenaje de forma percutánea se tomó en base al estado de la paciente y el antecedente quirúrgico de una hepático-yeyuno anastomosis con reconstrucción en Y-de-Roux (que dificultaba el acceso a la anastomosis con un duodenoscopio).
El método de elección para drenaje biliar, según la literatura, es el drenaje transpapilar por vía endoscópica, debido a que es menos invasivo y está asociado a menos eventos adversos que las técnicas alternativas.3, 4 El drenaje biliar transhepático percutáneo conlleva mayor morbilidad debido a problemas cosméticos, infecciones cutáneas, fugas biliares y sangrados. De todas maneras, en pacientes con una papila inaccesible por vía endoscópica, esta técnica continúa siendo de utilidad.5
Otra opción válida en este caso es el drenaje mediante endosonografía endoscópica. Este es un método que cuenta con un alto éxito técnico y baja tasa de complicaciones, incluso menores que el drenaje percutáneo, pero solo si es realizado en centros con altos volúmenes y en manos expertas. En nuestro medio, aún contamos con escasa experiencia en drenajes por este medio.
En casos de colangitis en pacientes con reconstrucción en Y-de-Roux, la técnica de elección es el drenaje endoscópico transpapilar asistido por enteroscopía con balón, siempre que se cuente con equipos entrenados en la técnica.4 En nuestro caso, no contábamos con disponibilidad inmediata para poder realizar el drenaje por este método.
Luego de realizado el drenaje de forma inmediata y estabilizada la paciente, quedaba pendiente la resolución del cuadro de base, la litiasis intrahepática y la estenosis de la hepático-yeyuno anastomosis. Debido a la presencia de litos en ramas secundarias, no se podía realizar su extracción por vía percutánea. Por esta razón, y porque contábamos con un drenaje ya colocado de forma percutánea, decidimos realizar el procedimiento de forma combinada, percutánea y endoscópica, accediendo a la anastomosis con ayuda de la guía colocada por vía percutánea y extrayendo los litos de forma endoscópica.
Existen pocos reportes de drenajes biliares y extracción de hepatolitiasis asistidos de forma percutánea en casos de pacientes con reconstrucción en Y-de-Roux.6, 7
Conclusiones
Consideramos que el drenaje biliar endoscópico transpapilar asistido en forma percutánea es un método que continúa siendo útil en nuestros días, debido a que tiene una alta tasa de éxito con un perfil de seguridad adecuado.
Referencias
1. Lipsett PA, Pitt HA. Acute cholangitis. Surg Clin North Am 1990; 70: 1297-1312.
2. Kiriyama S, Kozaka K, Takada T, Strasberg SM, Pitt HA, Gabata T, Hata J, Liau KH, Miura F, Horiguchi A, Liu KH, Su CH, Wada K, Jagannath P, Itoi T, Gouma DJ, Mori Y, Mukai S, Giménez ME, Huang WS, Kim MH, Okamoto K, Belli G, Dervenis C, Chan ACW, Lau WY, Endo I, Gomi H, Yoshida M, Mayumi T, Baron TH, de Santibañes E, Teoh AYB, Hwang TL, Ker CG, Chen MF, Han HS, Yoon YS, Choi IS, Yoon DS, Higuchi R, Kitano S, Inomata M, Deziel DJ, Jonas E, Hirata K, Sumiyama Y, Inui K, Yamamoto M. Tokyo Guidelines 2018: diagnostic criteria and severity grading of acute colangitis. J Hepatobiliary Pancreat Sci 2018; 25: 17-30.
3. Lai EC, Mok FP, Tan ES, Lo CM, Fan ST, You KT, Wong J. Endoscopic biliary drainage for severe acute cholangitis. N Engl J Med 1992; 326: 1582-1586.
4. Mukai S, Itoi T, Baron TH, Takada T, Strasberg SM, Pitt HA, Ukai T, Shikata S, Teoh AYB, Kim MH, Kiriyama S, Mori Y, Miura F, Chen MF, Lau WY, Wada K, Supe AN, Giménez ME, Yoshida M, Mayumi T, Hirata K, Sumiyama Y, Inui K, Yamamoto M. Indications and techniques of biliary drainage for acute cholangitis in updated Tokyo guidelines 2018. J Hepatobiliary Pancreat Sci 2017; 24: 537-549.
5. Saad WE, Wallace MJ, Wojak JC, Kundu S, Cardella JF. Quality improvement guidelines for percutaneous transhepatic cholangiography, biliary drainage, and percutaneous cholecystostomy. J Vasc Interv Radiol 2010; 21: 789-795.
6. Tomizawa Y, Di Giorgio J, Santos E, McCluskey KM, Gelrud A. Combined interventional radiology followed by endoscopic therapy as a single procedure for patients with failed initial endoscopic biliary access. Dig Dis Sci 2014; 59: 451-458.
7. Gostout CJ, Bender CE. Cholangiopancreatography, sphincterotomy, and common duct stone removal via Roux-en-Y limb enteroscopy. Gastroenterology 1988; 95: 156-163.
Notas de autor
i.fanjul@hotmail.com
Enlace alternativo
http://www.actagastro.org/numeros-anteriores/2019/Vol-49-N4/Vol49N4-PDF15.pdf (pdf)