Imágen del Número
Traumatismo abdominal cerrado
Traumatismo abdominal cerrado
Acta Gastroenterológica Latinoamericana, vol. 50, núm. 1, p. 7, 2020
Sociedad Argentina de Gastroenterología
Recepción: 05 Diciembre 2018
Aprobación: 24 Enero 2019
Publicación: 23 Marzo 2020
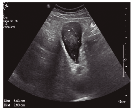
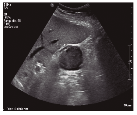
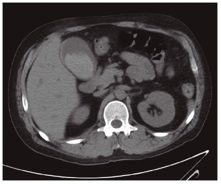
Presentamos el caso de un paciente que sufre un traumatismo abdominal cerrado por coz de caballo observándose en pruebas de imagen engrosamiento de la pared de la vesícula biliar con contenido hemorrágico como único hallazgo, sin otras lesiones asociadas intraabdominales.
Abreviaturas
TAC: Tomografía axial computarizada.
Caso clínico
Paciente de 38 años sin antecedentes personales de interés que acude a Urgencias por traumatismo abdominal cerrado por coz de caballo. A su llegada a nuestro Centro se encuentra estable hemodinamicamente. A la exploración destaca dolor a la palpación en hipocondrio derecho sin signos de irritación peritoneal. Se solicita analítica en la que destaca cifra de hemoglobina de 11,9 g/dL y transaminasas levemente elevadas, no constaban analíticas previas. Ante la estabilidad del paciente se solicita ecografía (Figuras 1 y 2) que se completa con TAC (Figura 3).
¿Cuál es su diagnóstico?
Resolución del caso en la página 82



Notas de autor
miriam.alcaide.lucena@gmail.com
Enlace alternativo
http://www.actagastro.org/numeros-anteriores/2020/Vol-50-N1/Vol50N1-PDF05.pdf (pdf)