Imágen del Número (Solución del caso)
Dolor abdominal y tumoración pancreática
Dolor abdominal y tumoración pancreática
Acta Gastroenterológica Latinoamericana, vol. 50, núm. 1, pp. 83-84, 2020
Sociedad Argentina de Gastroenterología
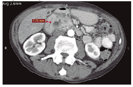
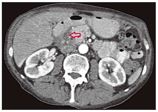
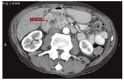
En la TCMD de abdomen con contraste endovenoso se observan imágenes quísticas parietales (Figura 2) y engrosamiento de la pared duodenal con estrechamiento de su luz (Figura 3). Además se logra visualizar a nivel del surco pancreaticoduodenal rarefacción de la grasa y dilatación del colédoco (Figuras 4 y 5).
El área del surco pancreático está comprendida entre la cabeza (medial), la serosa duodenal descendente (lateral), la tercera porción del duodeno / vena cava inferior (posterior), el colédoco en su segmento intrapancreático es parte del límite posterior, la primera porción duodenal y el antro gástrico (anterior) (Figura 6).1
La pancreatitis del surco es una patología poco frecuente, que se presenta como causa de pancreatitis aguda a repetición con estenosis duodenal. El término fue acuñado en 1973 por Becker y Bauchspeichel.2
Afecta predominantemente a varones entre 40 y 50 años con historia de abuso de alcohol, aunque su etiología es incierta.3 El diagnóstico representa un desafío para el médico radiólogo, que frente a una masa de morfología laminar entre la cabeza pancreática y la segunda porción duodenal, que se presenta en la TCMD como una formación hipodensa (Figura 4) acompañada de engrosamiento concéntrico de la pared duodenal con estenosis de su luz,4 y presencia de formaciones quísticas en la pared del mismo.5 (Figuras 2 y 3), debe reconocer los múltiples diagnósticos diferenciales, como el carcinoma ductal pancreático y el carcinoma duodenal.
El tratamiento es principalmente conservador, con abstinencia alcohólica, analgésicos y reposo pancreático.
Se espera una mejoría parcial de los síntomas ya que la alteración morfológica es permanente, siendo la cirugía6, 7, 8, 9, 10, 11(duodenopancreatectomía) el tratamiento de elección si los síntomas no mejoran y ante las eventuales complicaciones.





Referencias
1. Normal anatomy and disease processes of the pancreatoduodenal groove: imaging features. AJR 2004; 183: 839-846. Disponible en: http://dx.doi.org/10.2214/ajr.183.3.1830839
2. Groove pancreatitis. Int J Pancreatol 1991; 10: 173-182.
3. Paraduodenal pancreatitis: a clinico-pathologically distinct entity unifying cystic dystrophy of heterotopic pancreas, para-duodenal wall cyst, and groove pancreatitis. Semin Diagn Pathol 2004; 21: 247-254.
4. Groove pancreatic carcinomas: radiological and pathological findings. Eur Radiol 2003; 13: 1679-1684. Disponible en: http:// dx.doi.org/10.1007/s00330-002-1743-1
5. Cystic dystrophy of the duodenal wall in the heterotopic pancreas: radiopathological correlations. J Comput Assist Tomogr 2000; 24: 635-643.
6. A special form of segmental pancreatitis: groove pancreatitis. Hepatogastroenterology 1982; 29: 198-208.
7. Normal anatomy and disease processes of the pancreatoduodenal groove: imaging features. AJR 2004; 183: 839-846. Disponible en: http://dx.doi.org/10.2214/ajr.183.3.1830839
8. Groove pancreatitis: report of a case and review of the clinical and radiologic features of groove pancreatitis reported in Japan. Intern Med 2002; 41: 537-542.
9. Paraduodenal pancreatitis: a clinico-pathologically distinct entity unifying cystic dystrophy of heterotopic pancreas, para-duodenal wall cyst, and groove pancreatitis. Semin Diagn Pathol 2004; 21: 247-254.
10. MRI of groove pancreatitis. J Comput Assist Tomogr 1998; 22: 651-655.
11. Duodenopancreatectomy for cystic dystrophy in heterotopic pancreas of the duodenal wall. Gastroenterol Clin Biol 2006; 30: 24-28.
Enlace alternativo
http://www.actagastro.org/numeros-anteriores/2020/Vol-50-N1/Vol50N1-PDF19.pdf (pdf)