Resumen: Se presenta el caso clínico de una mujer de 48 años, con diagnóstico de enfermedad de Crohn de 28 años de evolución, con trastorno evacuatorio crónico secundario a la presencia de un puente mucoso a nivel de recto bajo. Se realizó tratamiento endoscópico mediante la sección del puente mucoso, sin incidentes, con resolución de los síntomas de manera inmediata.
Palabras clave:Puente mucosoPuente mucoso,enfermedad de Crohnenfermedad de Crohn,tratamiento endoscópicotratamiento endoscópico,trastorno defecatoriotrastorno defecatorio.
Abstract: A case is presented of a 48-year-old patient, with a 28-year history of Crohn's disease, with chronic constipation with outlet obstruction symptoms due to the presence of a mucosal bridge at the low rectum. Endoscopic treatment was performed with section of the bridge, without any complications, and with immediate resolution of the symptoms.
Keywords: Mucosal bridge, Crohn's disease, endoscopic treatment, defecatory disorder.
Casos Clínicos
Causa infrecuente de trastorno evacuatorio por puente mucoso rectal en una paciente con enfermedad de Crohn
Infrequent constipation cause due to a mucosal rectum bridge in a patient with Crohn´s disease
Recepción: 14 Marzo 2019
Aprobación: 28 Septiembre 2020
Publicación: 28 Septiembre 2020
Mujer de 48 años que presenta enfermedad de Crohn diagnosticada a los 20 años, L2 A2 B2 por clasificación de Montreal,1 con múltiples brotes severos que requirieron corticoides e inmunomoduladores.
A once años del diagnóstico se realizó hemicolectomía izquierda con anastomosis colo-cólica termino-terminal por oclusión intestinal secundaria a la actividad inflamatoria de su enfermedad.
Consultó por alteración de su hábito evacuatorio que, si bien movilizaba todos los días, refería tenesmo, esfuerzo defecatorio y debía realizar maniobras digitales. Se interpretó como trastorno evacuatorio crónico tipo obstrucción al tracto de salida. No presentaba otros síntomas digestivos.
Al tacto rectal, se palpa puente transversal a nivel de recto bajo próximo al canal anal, de consistencia fibro-elástica, que divide la luz en dos hemicircunferencias. La mucosa rectal presentaba lesiones polipoideas blandas y móviles.
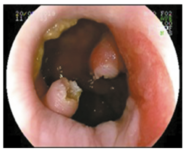
Se realizó videocolonoscopía, observándose a nivel de recto bajo próximo a canal anal puente mucoso de 10 mm de grosor que dificultaba el pasaje del endoscopio (Figuras 1 y 2).


Se discutió con equipo de coloproctología las opciones respecto del abordaje terapéutico, considerando que no existía un beneficio significativo del proctológico sobre el endoscópico, y se optó en conjunto por la vía endoscópica. Se seccionó el puente mucoso con papilotomo de punta (Needle Knife, Boston, Scientifics, Natick, Massachusetts), se utilizó corriente de corte-coagulación con unidad electroquirúrgica ERBE ICC 200 (Efecto 3, 120-60 W), sin incidentes (Figuras 3 y 4).


Se consideró la opción de realizar ligaduras laterales previas a la sección del puente mucoso, pero debido a que estos mismos son característicamente muy poco vascularizados, con baja probabilidad de sangrado en agudo y diferido, se optó por utilizar corte únicamente, contando con el instrumental necesario (clips) frente a la eventualidad de sangrado.
En recto se observaron múltiples pseudopólipos.
Se ingresó a la paciente para observación durante 24 horas, no presentando dolor ni sangrado.
A las 48 horas del procedimiento terapéutico la paciente refirió mejoría de la sintomatología, con deposiciones Bristol 4, sin esfuerzo defecatorio ni necesidad de maniobras digitales.
Se presenta el caso de una paciente con trastorno de la defecación por la presencia de un puente mucoso a nivel de recto bajo.
Los puentes mucosos generalmente están formados por ulceraciones de todo el grosor del epitelio seguido por un proceso regenerativo que deja la mucosa con aspecto polipoideo o puentes. Estos se forman en las fases de regeneración y curación de la inflamación. Histológicamente, se caracterizan por hallazgos de inflamación y tejido de granulación.2
Los puentes mucosos se ven en pacientes con larga historia de enfermedad inflamatoria intestinal con múltiples brotes, generalmente severos, y su presencia refleja inflamación pasada y no actual, como en el caso de esta paciente. Se corresponden con una lesión de naturaleza benigna, sin potencial neoplásico..
Generalmente, no presentan manifestaciones clínicas, y cuando lo hacen, dependen de su topografía. Cuando se ubican en colon, pueden presentar síntomas oclusivos o de constipación, existiendo algunos reportes en la literatura.3, 4, 5
Si bien lo más frecuente es que se observen en colitis ulcerosa y enfermedad de Crohn, también pueden observarse en colitis severas por amebiasis, isquemia o disentería bacteriana.. Pueden verse también como consecuencia de anastomosis quirúrgicas, causando síntomas de constipación.3, 4
También pueden formarse puentes mucosos a nivel de la anastomosis en el pouch en J ileoanal, descrito en la literatura como “síndrome de puente apical”.4 En el trabajo de Takagi et al., se realizó tratamiento quirúrgico de este tipo de puente por vía transanal con asistencia endoscópica.6
En la literatura actual, no hemos encontrado casos reportados de puentes mucosos rectales tratados exclusivamente por vía endoscópica.
Se presenta una paciente con una causa infrecuente de trastorno de la defecación por un puente mucoso rectal, que se resolvió de manera exitosa por vía endoscópica.
Creemos que debe tenerse en consideración esta etiología como causa de trastorno evacuatorio y considerar la resolución endoscópica como una excelente alternativa terapéutica.
http://www.actagastro.org/numeros-anteriores/2020/Vol-50-N3/Vol50N3-PDF17.pdf (pdf)
lucia.secondo@gmail.com



