Casos Clínicos
Resección endoscópica transmural del colon. Reporte de tres casos
Transmural endoscopic colon resection. Three cases published
Resección endoscópica transmural del colon. Reporte de tres casos
Acta Gastroenterológica Latinoamericana, vol. 50, núm. 3, pp. 316-324, 2020
Sociedad Argentina de Gastroenterología
Recepción: 25 Septiembre 2018
Aprobación: 28 Agosto 2020
Publicación: 28 Septiembre 2020
Resumen: Introducción. La terapéutica endoscópica transmural (Endoscopic Full thickness Resection) consiste en la resección del espesor de la pared del tracto digestivo, incluyendo la lesión y el cierre de la brecha, en un mismo procedimiento. Esta práctica sería efectiva en lesiones no pasible de resección endoscópica convencional. Objetivo. Analizar los primeros tres casos realizados en Argentina. Material y métodos. Se describen tres pacientes: uno con un tumor de extensión lateral de 35-40 mm y dos con una resección incompleta de un adenoma y una cicatriz con signo de levantamiento negativo (non-lifting sign). Luego de marcar los márgenes de las lesiones, se realizó la resección endoscópica transmural con el dispositivo de resección de espesor total (Full Thickness Resection Device, de la fábrica Ovesco, Germany). Se les indicó la profilaxis antibiótica y un control con una radiografía de abdomen a las 5 horas. Se les otorgó el alta hospitalaria a las veinticuatro horas. Resultados. Se confirmó a través de la anatomía patológica la resección completa de dos adenomas tubulovellosos y un adenoma tubular, todos con un elevado grado de displasia. No se observaron complicaciones durante el seguimiento. Se llegó a la conclusión de que la resección endoscópica transmural es una técnica innovadora que fue utilizada como un tratamiento efectivo y seguro en esta pequeña serie de pacientes como una alternativa a la cirugía.
Palabras clave: Resección transmural, adenomas, colon.
Abstract: Introduction. Endoscopic Full-thickness Resection (EFTR) consists of the full-thickness resection of a limited portion of the digestive wall immediately followed by defect closure. This technique has been proposed for the resection of selected lesions not amenable to conventional endoscopic resection. Objective. The aim of this work is to describe the first three cases of colonic EFTR performed in Argentina. Material and methods. Three patients are described, one with a laterally spreading tumor of approximately 35-40 mm (n = 1) and two with an incomplete adenoma resection with a scar and a non-lifting sing (n = 2). After tumor delineation using a marking probe, EFTR was performed using the full thickness resection device (FTRD, Ovesco, Germany). Antibiotic prophylaxis was prescribed, abdominal plain film was performed 5 hours after the procedure and hospital discharge was granted after twenty four hours. Results. The resection of the lesions was macroscopically complete and no signs of perforation or significant bleeding were detected. Histopathological examination confirmed the complete resection of a tubulovillous (n = 2) and a tubular (n = 1) adenoma, all with high-grade dysplasia. No complications were detected during the follow up. Conclusion. It was concluded that the EFTR is an innovative technique that was effective and safe used in this small series of patients as an alternative to surgery.
Keywords: Endoscopic Full-thickness Resection, adenomas, colon.
Abreviaturas
ANMAT: Administración Nacional de Medicamentos, Alimentos y Tecnología Médica.
CCR: Cáncer colorectal.
DES: Disección endoscópica submucosa.
EFTR: Endoscopic Full-thickness Resection.
FTRD: Full Thickness Resection Device.
OTSC: Over the scope clip-OTSC.
REM: Resección endoscópica mucosa.
TSE: Tumores subepiteliales.
VCC: Videocolonoscopía.
Introducción
La resección endoscópica transmural (llamada en inglés Endoscopic Full-Thickness Resection- EFTR) es un campo de interés creciente en la endoscopia intervencionista. Este método, que incluye la resección en bloque de la lesión junto con el espesor de la pared del tracto digestivo, está indicado en lesiones epiteliales o algunas subepiteliales que no podrían resecarse mediante técnicas convencionales como la resección endoscópica mucosa (REM) o la disección endoscópica submucosa (DES).
Las principales indicaciones de la EFTR en el colon son los adenomas primarios no elevables (“lifting sign” negativos), las resecciones incompletas de un adenoma, los adenomas de difícil acceso, las resecciones de los adenocarcinomas en los estadios T1 diagnosticados inicialmente con las técnicas convencionales, la extirpación de lesiones subepiteliales y de la pared del colon con intención diagnóstica (por ejemplo, la aganglionosis congénita de colon).2
Según los resultados de los estudios realizados en pacientes con adenomas colónicos con las características mencionadas,2, 3 la EFTR sería un tratamiento efectivo para evitar las cirugías. Describimos los tres casos de EFTR realizados por nuestro equipo de trabajo.
Material y métodos
Presentamos a tres pacientes que se efectuaron una videocolonoscopía (VCC), donde se pudo visualizar una lesión en la mucosa con el signo de lifting negativo e irresecabilidad con las técnicas convencionales, por lo que se les realizó la EFTR.
Procedimiento
Esta técnica utiliza un dispositivo llamado Full Thickness Resection Device, FTRD, de la empresa Ovesco Endoscopy de Tübingen, Alemania. Este fue aprobado por la ANMAT en 2017 (Figura 1 A y B) y se adapta al extremo distal de un endoscopio estándar.

La preparación colónica se realizó con polietilenglicol y su resultado fue valorado con la escala de Boston. Se consideró una buena preparación a un Boston > o igual a 6, con un valor de 2 como mínimo en cada sector colónico. Las videocolonoscopías se realizaron bajo la sedación con propofol y se utilizaron endoscopios CFH-190 (marca Olympus, de Tokio, Japón). Se utilizó aire como método de insuflación del colon durante la colonoscopía.
Todos los pacientes firmaron un consentimiento informado antes de la realización del procedimiento.
Luego de la identificación de la lesión y la marcación de sus bordes con una coagulación de alta frecuencia utilizando un catéter de marcado con coagulación, se colocó en el extremo distal del endoscopio el FTRD. Nuevamente frente a la lesión, se introdujo hacia el interior del capuchón con una pinza de tracción. A continuación, mediante un mecanismo secuencial de liberación del clip over-the-scope (OTSC) y corte por electrocoagulación con un ansa monofilamento, se realizó la resección del tejido y el cierre de la pared colónica, recuperándose la muestra (Figura 2).

El endoscopio fue reinsertado posteriormente para confirmar la correcta posición del clip y evaluar eventuales signos de perforación o de hemorragia. El tiempo promedio del procedimiento fue de 50 minutos. Se indicó la profilaxis antibiótica con ceftriaxona 1 gr intravenoso en una única dosis y se realizó una radiografía de abdomen de control a las cinco horas de efectuado el procedimiento.
Se les otorgó el alta hospitalaria, con pautas de alarma, a las 24h. En los 3 casos se realizó un control clínico a la semana y otro al mes del procedimiento.
Caso 1
Una paciente femenina de 62 años presentó en la VCC, realizada por vigilancia de pólipos, una lesión elevada con una extensión lateral de tipo granular (LST-G) de aproximadamente 40 mm en colon ascendente.
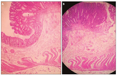
Se le realizó una REM en fragmentos por no obtener una buena elevación mucosa (Figura 3 A y B).

El resultado de la anatomía patológica de los fragmentos recuperados informó un adenoma tubulovelloso con una displasia de bajo grado con los márgenes de resección comprometidos.
Se le realizó un nuevo intento de tratamiento endoscópico a los 4 meses con el objetivo de evitar una cirugía. La falta de elevación de la mucosa por fibrosis en un extremo fue un criterio de irresecabilidad para técnicas convencionales, motivo por el cual se procedió a la EFTR (Figuras 3 C y 4).

El clip cerró el sitio de la resección de manera eficiente, pudiéndose observar del lado intraluminal los bordes del peritoneo sujetos (Figura 5 A).

La reinspección endoscópica no mostró signos de perforación o de sangrado. El tiempo estimado del procedimiento fue de 40 minutos.
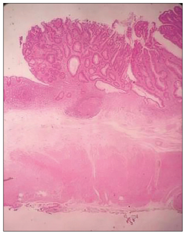
El examen anatomopatológico confirmó la resección transmural completa, en bloque, de un adenoma tubulovelloso de 2,4 x 2 x 0,5 cm, con displasia de alto grado y márgenes libres (Figura 6 A y B).
La radiografía de abdomen de control (Figura 7) no mostró signos de perforación intestinal. Egresó del sanatorio con pautas de alarma (dolor abdominal, fiebre, heces rojizas) y seguimiento ambulatorio en 48 h.


Caso 2
Un paciente masculino de 58 años presentó en la VCC, realizada por vigilancia de pólipos, una lesión elevada con una extensión lateral de tipo granular, de aproximadamente 40 mm con signo de levantamiento negativo (non-lifting sign) en el ángulo hepático (Figura 8 A). Ante esta evidencia de irresecabilidad endoscópica por técnicas convencionales, se indicó la EFTR (Figura 8 B).

La reinspección endoscópica no mostró signos de perforación ni de sangrado (Figura 9). El tiempo estimado del procedimiento fue de 55 minutos.

Luego de la resección, al evaluar la pieza extendida, se observó la marcación realizada de forma previa a la EFTR (Figura 10).
El examen anatomopatológico confirmó la resección transmural completa, en bloque, de un adenoma tubulovelloso con una displasia de alto grado y márgenes libres de lesión de 3,2 x 2 x 0,3 cm (Figura 11).


Caso 3
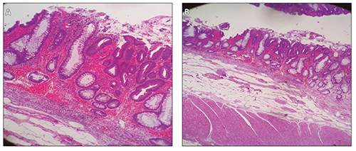
Un paciente masculino de 51 años, sin antecedentes personales de relevancia ni familiares de cáncer colorectal (CCR), se realizó una VCC en búsqueda de CCR. Se observó una lesión plana elevada (0-IIa) de 35 mm en el ángulo hepático que se intentó resecar con REM en fragmentos (Figura 12). El resultado de la anatomía patológica informó adenoma tubular con focos de una displasia de alto grado y márgenes no evaluables.

Se repitió la VCC a los 3 meses evidenciándose una lesión elevada residual en el ángulo hepático, indurada a la semiología endoscópica, de aproximadamente 12 a 15 mm (Figura 13). Se realizó un nuevo intento de REM, pero no se logró la resección completa debido a la marcada fibrosis, por lo que se decidió realizar la EFTR.
A los 4 meses se efectuó la EFTR (Figuras 14 y 15 A y B), sin complicaciones y sin signos de lesión residual.



El tiempo estimado del procedimiento fue de 60 minutos. El examen histológico confirmó la resección transmural en bloque de un adenoma tubular con displasia de alto grado, de 2 x 2 cm (Figuras 16 A y B); los márgenes de resección se hallaban libres de lesión.

Se realizó un control endoscópico a los 9 meses en el primer caso (Figura 17), y a los 4 meses en el segundo caso (Figura 18) sin evidencia de complicaciones.
Todos los pacientes continúan con vigilancia endoscópica.


Discusión
La EFTR es una valiosa herramienta terapéutica que permite la resección de lesiones residuales, recidivantes o que no elevan a la semiología endoscópica y que no pueden ser tratadas satisfactoriamente mediante las técnicas endoscópicas convencionales.5
Según los resultados de los estudios que incluyeron adenomas colónicos con “lifting sign” negativo (non-lifting sign) como los pacientes de esta serie, se evidenció que el tratamiento fue efectivo y seguro. Schmidt et al. publicaron en 2015 una serie de 25 pacientes a quienes se les realizó la EFTR con diversas indicaciones, de los cuales 13 eran adenomas “lifting sign” negativos (non-lifting sign). La resección de la lesión fue macroscópicamente completa y en bloque en 20 de los 24 pacientes (83,3%). El diámetro de la lesión fue de 24 mm (rango 12-40 mm). La extirpación completa según el resultado anatomopatológico se confirmó en 18 pacientes (75%). No se reportaron perforaciones ni hemorragia mayor durante o después del procedimiento. Dos pacientes desarrollaron síndrome post polipectomía, que fue manejado con antibioticoterapia.2
En el mismo año, Fähndrich et al. publicaron un estudio retrospectivo, observacional, de 17 pacientes a quienes se les realizó la EFTR. Las indicaciones fueron: seis tumores carcinoides, siete cánceres de colon resecados que comprometían la mucosa o submucosa, tres adenomas colónicos con resección incompleta por fibrosis y una lesión submucosa gástrica. En 16 casos se utilizó la combinación del sistema OTSC y la tapa Inoue para EFTR y en un caso se utilizó el nuevo dispositivo FTRD- OTSC.3
La resección fue posible en el 94% (16/17) y completa en el 100% de los pacientes. No se reportaron complicaciones.4
En 2017 Vitali et al. publicaron un trabajo prospectivo realizado con 12 pacientes, en el que evaluaron la seguridad y eficacia de 13 EFTR de colon realizadas entre junio del 2015 y junio de 2017. El tamaño medio de las lesiones era de 17 ± 4 mm. El éxito técnico se logró en todas las lesiones (13/13, 100%), y la resección fue completa en 83,3% (10/12 pacientes). No se observaron perforaciones. Sólo dos pacientes desarrollaron síndrome post-polipectomía que fue resuelto con un tratamiento conservador.
Bucalau et al.1 en 2018 y Andrisani et al.6 en 2017 reportaron, respectivamente, dos pacientes a quienes se les realizó la EFTR: una paciente femenina con un pólipo periapendicular granular París IIa, NICE tipo 2, “lifting sign” negativo, y un paciente varón de 55 años, al que se le realizó la resección de dos carcinomas sincrónicos del recto distal. No se observaron complicaciones en ningún paciente.
En 2017 Schmidt et al. reclutaron 181 pacientes en 9 centros con indicación de resección de adenomas difíciles (sin elevación o en lugares de difícil acceso), cánceres tempranos y TSE. La EFTR fue técnicamente exitosa en 89,5%. La tasa de resección completa fue del 76,9%. En 127 pacientes con adenomas difíciles e histología benigna, la tasa de resección completa fue del 77,7%. En 29 pacientes que tenían diagnóstico de CCR, la resección completa se logró en el 72,4%. Ocho casos más tenían infiltración submucosa profunda > 1000 μm. Por lo tanto, la resección curativa sólo se pudo lograr en el 44,8% (13/29). En el subgrupo de pacientes con TSE (n = 23), la tasa de resección completa fue del 87%, mayor con lesiones ≤ 2 cm vs. > 2 cm (81,2% vs. 58,1%, p = 0,0038). La tasa de eventos adversos fue del 9,9%. El seguimiento a los tres meses estuvo disponible en 154 casos y un tumor residual fue diagnosticado en el 15,3%.5
Entre las limitaciones de la EFTR con el cierre del clip se encuentran el tamaño máximo de la lesión a resecar, la localización de las lesiones por la restricción en la visibilidad al realizar las maniobras y la rigidez de la pared en donde asiente la lesión,6 y la dificultad de eliminar los clips en casos de resección incompleta.7
Respecto al tamaño del capuchón, impide que lesiones mayores a 30 mm puedan ser resecadas en forma completa. Otras formas híbridas de resección podrían ser implementadas para estos casos, aunque escapan al alcance de este estudio.8
En nuestro estudio, todas las lesiones fueron mayores a 2 cm y en todos los casos la resección histológica fue completa (R0). Al comparar nuestros resultados con la literatura publicada se evidencia que las lesiones hasta 4 cm de diámetro pueden tener resultados histológicos R0, siendo más probable con lesiones menores a 2 cm. Esto indica que una limitante de este procedimiento es el tamaño de la lesión (≥ 3 cm).
Conclusión
La EFTR es una técnica endoscópica innovadora que fue efectiva y segura en esta serie de pacientes. Permitió evitar la cirugía, con mínima morbilidad.
También la correcta colocación del clip OTSC colabora a evitar la fuga de material colónico y la hemorragia. Por último, el uso cuidadoso de la aspiración durante la introducción de la pieza dentro del capuchón puede evitar el anclaje y lesión de vísceras extracolónicas.
Sostén financiero. Ninguno.
Referencias
1. Bucalau AM, Lemmers A, Arvanitakis M, Blero D, Neuhaus H. Endoscopic Full-Thickness Resection of a Colonic Lateral Spreading Tumor. Dig Dis 2018; 36: 252-256.
2. Schmidt A, Bauerfeind P, Gubler C, Damm M, Bauder M, Caca K. Endoscopic full-thickness resection in the colorectum with a novel over-the-scope device: First experience. Endoscopy 2015; 47 (8): 719-725.
3. Fähndrich M, Sandmann M. Endoscopic full-thickness resection for gastrointestinal lesions using the over-the-scope clip system: a case series. Endoscopy 2015; 47 (1): 76-79.
4. Vitali F, Naegel A, Siebler J, Neurath MF, Rath T. Endoscopic full-thickness resection with an over-the-scope clip device (FTRD) inthecolorectum: results from a university tertiary referral center. EndoscInt Open 2018; 6 (1): E98-E103.
5. Schmidt A, Beyna T, Schumacher B, Meining A, Richter-Schrag HJ, Messmann H, Neuhaus H, Albers D, Birk M, Thimme R, Probst A, Faehndrich M, Frieling T, Goetz M, Riecken B, Caca K. Colonoscopic full-thickness resection using an over-the-scope device: a prospective multicentrestudy in various indications. Gut 2018; 67 (7): 1280-1289.
6. Marín-Gabriel JC, Díaz-Tasende J, Rodríguez-Muñoz S, Del Pozo-García AJ, Ibarrola-Andrés C. Colonic endoscopic full-thickness resection (EFTR) with the over-the-scope device (FTRD): a short case series. Rev Esp Enferm Dig 2017; 109 (3): 230-233.
7. Kukreja K, Chennubhotla S, Bhandari B, Arora A, Singhal S. Closing the Gaps: Endoscopic Suturing for Large Submucosal and Full-Thickness Defects. Clin Endosc 2018; 51 (4): 352-356.
8. Meier B, Caca K, Schmidt A. Hybrid endoscopic mucosal resection and full-thickness resection: a new approach for resection of large non-lifting colorectal adenomas (with video). Surg Endosc 2017; 31 (10): 4268-4274.
Notas de autor
martinkrause@gedyt.com.ar
Enlace alternativo
http://www.actagastro.org/numeros-anteriores/2020/Vol-50-N3/Vol50N3-PDF20.pdf (pdf)