Casos Clínicos
Recepción: 02 Abril 2020
Aprobación: 21 Julio 2020
Publicación: 28 Septiembre 2020
Resumen: La perforación esofágica es un cuadro clínico bien caracterizado, con altos índices de morbilidad y mortalidad. Si bien etiológicamente la causa más frecuente es la iatrogénica, puede presentarse de forma espontánea, sin una patología esofágica preexistente. Esta entidad fue inicialmente descripta por Boerhaave en relación al aumento de la presión intraabdominal. Ante la sospecha clínica (por la tríada de Mackler), los estudios complementarios de imágenes (radiología convencional, contrastada y tomografía computada multicorte) son fundamentales para un diagnóstico correcto y precoz y para establecer una adecuada planificación terapéutica. El objetivo del presente estudio es exponer un caso clínico y realizar una revisión bibliográfica de la patología y su expresión radiológica.
Palabras clave: Síndrome de Boerhaave, neumomediastino, perforación esofágica, tríada de Mackler.
Abstract: The esophageal perforation is a well-documented clinical entity, with high morbidity and mortality rates. Although the etiology is usually iatrogenic, it can occur spontaneously without any known pre-existing esophageal patology. Boerhaave first described it in relation to the increased intra-abdominal pressure. Upon clinical suspicion (for the Mackler’s triad), further radiological studies (plain radiograph, chest radiograph with water-soluble contrast medium and computer tomography) are a key factors for a timely and precise diagnosis, leading to adequate treatment and managment. The objective of this study is to present a case report and a bibliographical review of the patology and its radiological signs.
Keywords: Boerhaave Syndrome, pneumomediastinum, esophageal perforation, Mackler triad.
Abreviaturas
TCMD: Tomografía computarizada con detectores múltiples.
IAM: Infarto agudo de miocardio.
EV: Contraste endovenoso.
Introducción
La ruptura esofágica espontánea, conocida como el síndrome de Boerhaave, es una entidad poco frecuente, pero con una gran mortalidad, manifestándose muchas veces sólo como un dolor abdominal.1 Dada la inespecificidad de los síntomas su diagnóstico suele demorarse.2
La causa se origina en un incremento brusco de la presión intraesofágica con una presión negativa intratorácica, acentuada por vómitos con contracción de la musculatura abdominal, además de una zona de debilidad de la anatomía normal esofágica en su tercio inferior que facilita la lesión.1,2, 3
Un retraso en su diagnóstico conlleva a un elevado número de complicaciones e incluso, si no es tratada de la forma quirúrgica, la muerte en la mayoría de los casos.1, 4
Debido a la importancia de estar alerta ante entidades como esta, cuyo diagnóstico correcto a tiempo es clave para el pronóstico y el bienestar del paciente, decidimos comunicar este caso. Consideramos que los estudios por imágenes tienen un rol activo en su búsqueda.
Nuestra paciente no se encuentra dentro de la población de afectación más frecuente y, si bien tuvo un retraso en su diagnóstico y en el tratamiento, evolucionó de una forma favorable.
Caso clínico
Se expone el caso de una mujer de 21 años que fue sometida a dos cirugías bariátricas, una de bypass gástrico y otra en Y de Roux hace 4 años. No presenta otros antecedentes de importancia. Consulta por un dolor torácico intenso y tiene vómitos hace un mes, que se asocian a la pérdida de 20 kg de peso.
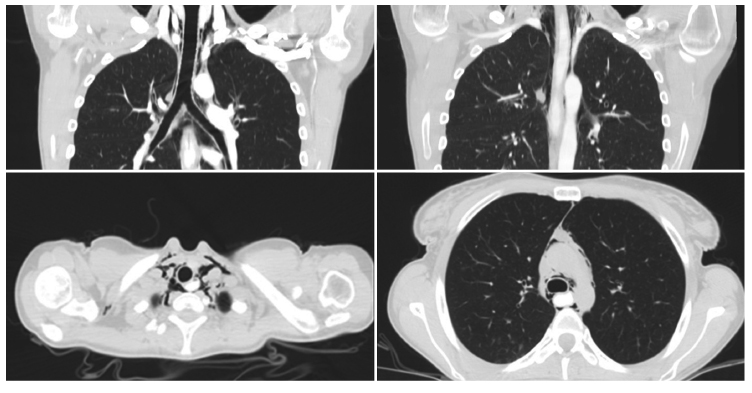
Se decide realizar un estudio dirigido mediante una TCMD de tórax, de abdomen y pelvis, con contraste oral y endovenoso, en la que se reconoce un neumomediastino que se extiende desde la región supraclavicular bilateral hasta el mediastino posterior y anterior (Figura 1).

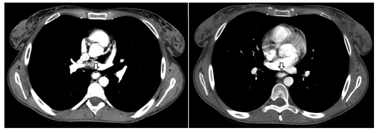
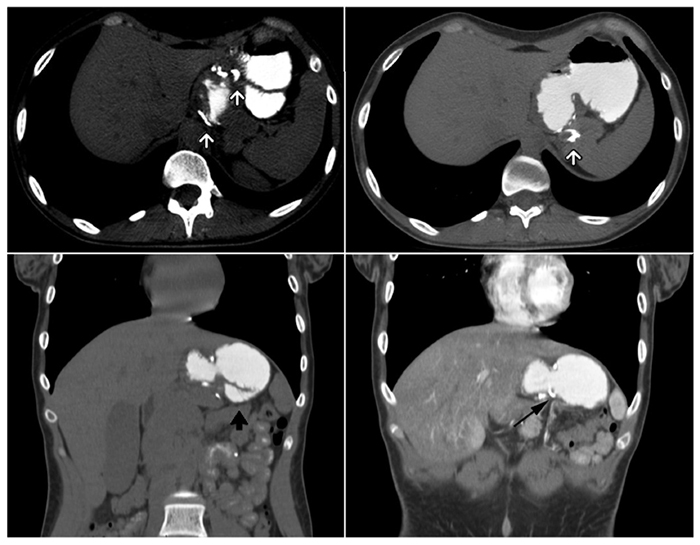
El esófago se encuentra dilatado en toda su extensión con el contenido de contraste hasta su tercio superior. Se observa una laceración esofágica en la cara anterior, en su tercio inferior, a 65 mm de la unión gastroesofágica (Figura 2). Se identifica abundante contenido de material de contraste en la cámara gástrica, asociado a las suturas mecánicas a su alrededor y una distensión del asa anastomosada, observando una oclusión intestinal del asa aferente (Figura 3).


Los hallazgos descriptos son compatibles con una perforación esofágica espontánea secundaria a los vómitos por el aumento de la presión gástrica (síndrome de Boerhaave).
La paciente fue sometida a una cirugía donde se identificó un gran proceso inflamatorio a nivel del asa alimentaria en la zona de la anastomosis gastroyeyunal. Se reconoció el bypass anillado con un deslizamiento del asa alimentaria (Figura 3). Al liberar el remanente gástrico se observó una fístula gastroesofágica. Se decidió resecar el extremo inferior del pouch y los primeros 10 cm del asa alimentaria para luego realizar una nueva anastomosis gastroyeyunal. Se optó por un tratamiento conservador de la perforación dado su pequeño tamaño. Luego del acto quirúrgico, permaneció internada para control clínico, evolucionando favorablemente, por lo que fue dada de alta con un posterior seguimiento de forma ambulatoria por el servicio de cirugía general.
Discusión
El síndrome de Boerhaave fue descripto por primera vez en 1724 por Herman Boerhaave.1, 4 Se trata de una entidad provocada por el aumento de la presión intramural del esófago, combinada con la presión negativa intratorácica que se acentúa debido a los vómitos y a la contracción abdominal asociada a estos..
El resultado es una laceración transmural completa del esófago, cuya ubicación más frecuente (en el 90% de los casos). es en el tercio inferior de la cara posterolateral izquierda, a unos 3 a 6 cm de la unión gastroesofágica1, 3 Esto se debe, principalmente, al hecho de que es una zona de debilidad anatómica, por la ausencia de la serosa y la disminución del espesor de la capa muscular en dicho nivel.2
Es fundamental descartar otras causas como los traumatismos, la iatrogenia o la presencia de un cuerpo extraño..
Se produce de manera espontánea poniendo en riesgo la vida del paciente ya que, si bien es un cuadro relativamente raro, presenta un índice de mortalidad del 20 al 40%,1afectando con mayor frecuencia a los varones entre los 50 y 70 años de edad.4 Presenta una gran asociación con el consumo de alcohol y la enfermedad por el reflujo gastroesofágico,3 aunque puede vincularse también a las enfermedades neurológicas, la hipertensión, la úlcera péptica, la estenosis esofágica, la esofagitis y el cáncer.
Clínicamente conforma la tríada de Mackler (vómitos, dolor torácico intenso y enfisema subcutáneo cervical), pero rara vez esta triada se presenta de forma completa siendo, en su mayoría, el dolor abdominal el que se manifiesta.5 La perforación transmural es lo que lo diferencia del síndrome de Mallory-Weiss donde sólo existe la laceración esofágica.2
Al ser un trastorno que pone en riesgo la vida del paciente, es fundamental llegar a un rápido diagnóstico y tratamiento, ya que un retraso genera una alta morbilidad y mortalidad. El pronóstico mejora si se logra instaurar el tratamiento dentro de las primeras 24 h.1, 4
El diagnóstico temprano suele estar entorpecido por la amplitud y la mayor prevalencia de los diagnósticos diferenciales. Entre estos se encuentran la úlcera gástrica o duodenal perforada, el IAM, la pericarditis, el neumotórax, el tromboembolismo pulmonar, la hernia diafragmática, el aneurisma disecante de la aorta y la pancreatitis aguda.1
Entre los estudios complementarios para llegar al diagnóstico encontramos la radiografía de tórax que muestra alteraciones en el 80 al 90% de los casos con un derrame pleural de predominio izquierdo, un neumotórax, un enfisema subcutáneo y un neumomediastino.3, 6, 7
El estudio tomográfico nos permite un análisis más detallado del mediastino, evidenciar a los abscesos adyacentes a la pleura, el esófago o el mediastino; así como también detectar la comunicación o la presencia de aire entre el esófago y el mediastino.6
El test de referencia ante la sospecha de la ruptura esofágica es la esofagografía8 con contraste hidrosoluble que aporta información sobre el tamaño y la localización de la perforación; es de gran utilidad en la planificación del abordaje quirúrgico.3, 6
El tratamiento puede ser conservador, endoscópico o quirúrgico, siendo la cirugía el tratamiento que nosotros elegimos. El objetivo principal es adecuar el tratamiento a cada paciente y evitar las complicaciones como las fugas persistentes, la efusión pleural, el empiema, la mediastinitis y la sepsis.9
La colonización por cándida es una complicación frecuente dado que estos pacientes sufren hospitalizaciones prolongadas y suelen requerir reintervenciones quirúrgicas favoreciendo la colonización oral y esofágica.2
Conclusión
La perforación o rotura esofágica es una entidad seria que conduce a infecciones graves y potencialmente letales, por lo que es necesario tenerla presente frente a un paciente con vómitos reiterados y un dolor retroesternal. Es fundamental un diagnóstico precoz para evitar el retraso del tratamiento, lograr la estabilidad del paciente y disminuir las complicaciones.
Sostén financiero. No se han recibido becas u otros aportes económicos para la realización del estudio.
Referencias
1. De Schipper JP, Pull ter Gunne AF, Oostvogel HJM, van Laarhoven CJHM. Spontaneous rupture of the oesophagus: Boerhaave's syndrome in 2008. Literature review and treatment algorithm. Dig Surg 2009; 26(1): 1-6. doi: 10.1159/000191283.
2. Squella Boer F, Catán Gouhamer F, Ugarte Ubiergo S, Ramírez Izquierdo M, Grenett Herrera C. Síndrome de Boerhaave. Revisión a propósito de dos casos clínicos. Revista Chilena de Medicina Intensiva 2004; 19 (1): 24-27. Disponible en: https://pdfs.semanticscholar.org/f27b/2f257572a0912192ec06960c7b3fb642593a.pdf
3. Katabathina VS, Restrepo CS, Martinez-Jimenez S, Riascos RF. Nonvascular, Nontraumatic Mediastinal Emergencies in Adults: A Comprehensive Review of Imaging Findings. RadioGraphics 2011; 31 (4): 1141-1160. doi: 10.1148/rg.314105177.
4. Tonolini M, Bianco R. Spontaneous esophageal perforation (Boerhaave syndrome): Diagnosis with CT-esophagography. J Emerg Trauma Shock 2013; 6 (1): 58-60. doi: 10.4103/0974-2700.106329.
5. Van der Weg G, Wikkeling M, van Leeuwen M, Ter Avest E. A rare case of oesophageal rupture: Boerhaave's syndrome. Int J Emerg Med 2014; 7: 27. doi: 10.1186/s12245-014-0027-2.
6. Giménez A, Franquet T, Erasmus JJ, Martínez S, Estrada P. Thoracic Complications of Esophageal Disorders. Radiographics 2002; 22 Spec No: S247-S258. doi:10.1148/radiographics.22.suppl_1.g02oc18s247.
7. Ghanem N, Altehoefer C, Springer O, Furtwängler A, Kotter E, Schäfer O, Langer M. Radiological findings in Boerhaave's syndrome. Emerg Radiol 2003; 10 (1): 8-13. Epub 2003 Mar 25. doi: 10.1007/s10140-002-0264-1.
8. Turner AR, Turner SD. Boerhaave Syndrome. In: StatPearls. Treasure Island (FL): StatPearls Publishing 2020.
9. Spapen J, De Regt J, Nieboer K, Verfaillie G, Honoré PM, Spapen H. Boerhaave's Syndrome: Still a Diagnostic and Therapeutic Challenge in the 21st Century. Case Rep Crit Care 2013; 2013: 161286. doi: 10.1155/2013/161286.
Notas de autor
pechiaradia@gmail.com
Enlace alternativo
http://www.actagastro.org/numeros-anteriores/2020/Vol-50-N3/Vol50N3-PDF21.pdf (pdf)