Buenas prácticas endoscópicas en estómago

Histología Normal
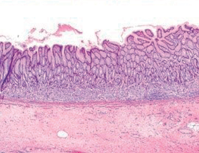
El antro gástrico está constituído por glándulas mucosas redondeadas y con muy poca lámina propia visible entre ambas. El área foveolar representa un 1/3 del espesor total de la mucosa.
El epitelio de superficie es cilíndrico con núcleos ovales y basales y rico en mucinas neutras (Figura 1).

La lámina propia presenta tejido colágeno laxo y escaso infiltrado inflamatorio que no supera 5 linfocitos por campo de gran aumento.
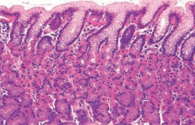
La mucosa oxíntico-fúndica en tanto, está constituída por glándulas redondeadas con células parietales y principales (Figura 2).

Las foveolas sólo representan un 10% del espesor total de dicha mucosa.
Gastritis crónica
Gastritis se refiere a una serie de entidades donde existe daño de la mucosa gástrica con presencia de infiltrado inflamatorio. Son causadas por agentes infecciosos (Helicobacter pylori), reacciones de hipersensibilidad, autoinmunes o idiopáticos. Su diagnóstico se establece única y exclusivamente con histología mediante toma de biopsia.
El término "Gastropatía" se emplea cuando hay daño mucoso gástrico y la alteración predominante es epitelial (Gastropatía Química) o vascular (congestiva, isquémica, etc.).
Sistema Sydney Modificado, OLGA y OLGIM
Se han propuesto varias clasificaciones de Gastritis Crónicas, pero para lograr la estandarización en la redacción de informes de patología de biopsias gástricas, los patólogos están siguiendo las recomendaciones de la Clasificación de Sydney modificada (Figura 3).

OLGA: Enlace Operativo para la Evaluación de Gastritis.
OLGA (Enlace Operativo para la Evaluación de Gastritis) y OLGIM (Enlace Operativo para la Evaluación de la Metaplasia Gastrointestinal) se utilizan cada vez más, ya que permiten cumplir con las expectativas de los médicos seleccionando, sobre una base morfológica, las formas de Gastritis Crónicas de alto riesgo de desarrollo de Adenocarcinoma.
Gastritis Crónica, Recomendación de Sydney System 1990
Se recomiendan 5 biopsias: 2 de Antro a 2-3 cm del píloro (1 biopsia sobre curvatura menor y 1 biopsia sobre curvatura mayor); 2 de Cuerpo a 8 cm del Cardias (1 biopsia sobre curvatura menor y 1 biopsia sobre curvatura mayor) y 1 biopsia de Incisura angularis (Figura 4).

Todas las biopsias deben sumergirse inmediatamente en frascos separados que contengan Formol al 10% (1, las de antro, 2, las de cuerpo y 3 la de incisura), deben ser etiquetados correctamente, deben estar perfectamente orientados para un examen de toda la altura de la mucosa gástrica.
Se efectúan cortes histológicos seriados con Hematoxilina & Eosina y Técnica de Giemsa para Helicobacter pylori.
Gastritis Crónica
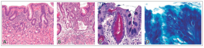
En las biopsias se evalúa:
Atrofia y sus grados: leve, moderada y severa (Figura 5 A).
Inflamación crónica: leve, moderada e intensa (Figura 5 B).
Actividad: presencia de polimorfonucleares neutrófilos en el epitelio de superficie y en las glándulas.
Metaplasia intestinal Completa (tipo intestino delgado) e Incompleta (tipo colónica) (Figura 5 C).
Helicobacter pylori (técnica de Giemsa), cantidadleve, moderada o numerosos (Figura 5 D).

Bibliografía recomendada
1. Kahrilas PJ, Bredenoord AJ, Fox M, et al. The Chicago classification of esophageal motility disorders, v3.0. Neurogastroenterol Motil 2015; 27 (2): 160-174.
2. Wilkinson JM, Halland M. Esophageal Motility Disorders. Am Fam Physician 2020; 102 (5): 291-296.
3. Agrawal A, Hila A, Tutuian R, Mainie I, Castell DO. Clinical relevance of the nutcracker esophagus: suggested revision of criteria for diagnosis. J Clin Gastroenterol 2006; 40 (6): 504-509.
4. Pandolfino JE, Fox M, Bredenoord A, Kahrilas PJ. High-resolution manometry in clinical practice: utilizing pressure topography to classify oesophageal motility abnormalities. Neurogastroenterol Motil 2009; 21 (8): 796-806.
5. Roman S, Pandolfino JE, Chen J, Boris L, Luger D, Kahrilas PJ. Phenotypes and clinical context of hypercontractility in high-resolution esophageal pressure topography (EPT). Am J Gastroenterol 2012; 107 (1): 37.